引用本文: 廖偉豪, 陸璐, 慕潔, 周東. 伴發癲癇的側腦室脈絡叢黃色肉芽腫一例. 癲癇雜志, 2023, 9(4): 335-337. doi: 10.7507/2096-0247.202305006 復制
黃色肉芽腫(Xanthogranulomas,XG)是一種良性的特發性組織細胞贅生物,以膽固醇裂隙、含鐵血黃素沉著、巨噬細胞(黃色瘤細胞)、淋巴細胞浸潤和纖維增生為特征[1]。XG于1900年被Blumer首次報道[2]。XG通常是偶然發現的。研究顯示,XG在1.6%~7%的大體活檢中被發現[3]。XG常表現為2歲以下兒童的皮膚病變,而中樞神經系統XG罕見[1]。中樞神經系統XG的發生部位包括第三腦室、側腦室、鞍上區和鞍旁區、大腦和小腦實質、第四腦室和硬腦膜[4]。其中,大多數中樞神經系統XG發生在側腦室脈絡叢并且沒有癥狀[5]。本文報道了一例罕見的伴發癲癇的側腦室脈絡叢黃色肉芽腫(Xanthogranulomas of the choroid plexus,XGCP)病例,旨在探討側腦室XGCP的診斷和鑒別診斷,以及可能伴發的癲癇的診療。
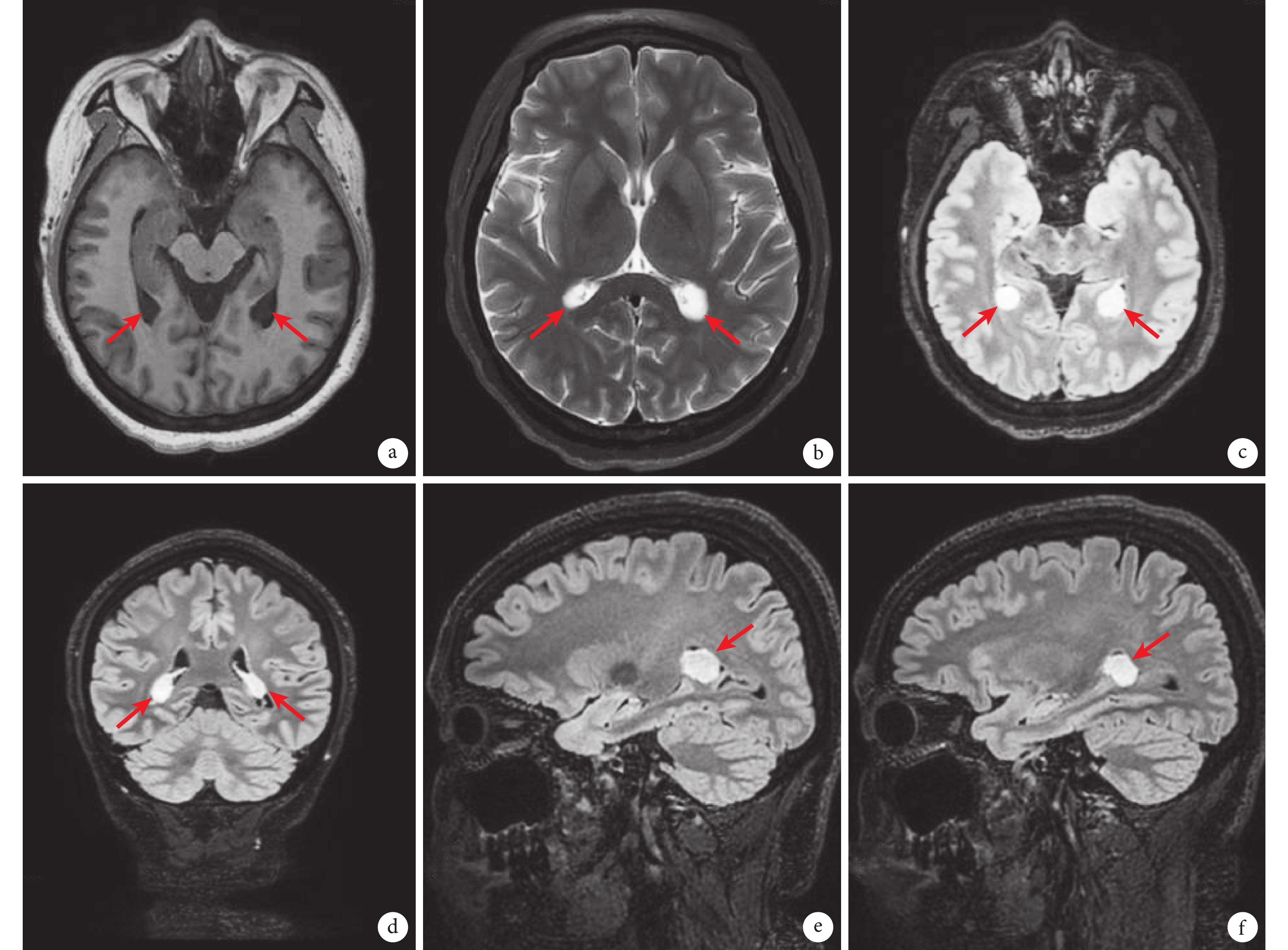
病例資料 患者 女,35歲,因“發作性腦鳴、呼之不應9個月”入院。患者分別于9個月前和2天前出現兩次發作性癥狀,表現為先出現無明顯誘因的腦鳴,伴頭暈不適感,后出現倒地、呼之不應,伴雙眼凝視、牙關緊閉,伴口吐白沫,伴四肢抽搐,癥狀持續3 min左右,20 min后人完全清醒,醒后不能回憶當時情況。兩次發作基本相似。既往史、個人史、生育史未見異常。神經系統查體未見明顯異常。24 h視頻腦電圖監測未見發作,但背景見右側顳區和左側顳-后顳區間斷性慢波和發作間期睡眠期右側后顳區T6>TP10>T4尖波(圖1)。頭顱磁共振成像(Magnetic resonance imaging,MRI)示雙側側腦室三角區結節(圖2)。其他檢查未見與本病明顯相關異常。未進行病理學檢查。臨床診斷為:① 非難治性癲癇,不伴有癲癇持續狀態;② XGCP。入院后予左乙拉西坦片每次0.5 g,每日兩次,口服。無癲癇發作,8天后帶藥出院。

a. 背景中度異常:右側顳區和左側顳-后顳區可見間斷性慢波;b. 發作間期放電:睡眠期右側后顳區T6>TP10>T4尖波(紅色方框所示)

a. 橫軸面T1WI示雙側側腦室三角區結節影,呈較低信號(箭頭所示);b. 橫軸面T2WI示病灶呈高信號(箭頭所示);c. 橫軸面T2-FLAIR示病灶呈高信號(箭頭所示);d. 冠狀面T2-FLAIR示病灶高信號(箭頭所示);e. 矢狀面T2-FLAIR(示右側腦室)示右側病灶呈高信號(箭頭所示);f. 矢狀面T2-FLAIR(示左側腦室)示左側病灶呈高信號(箭頭所示)
討論 目前顱內XGCP的診斷和鑒別診斷主要是基于計算機斷層掃描(Computed tomography,CT)、MRI的影像學結果以及術后標本或尸體的病理學結果。腦部MRI是XGCP的重要參考。XGCP的MRI結果為T1WI顯示低信號,T2WI顯示高信號[6]。然而,XGCP很少出現無需手術標本即可進行診斷的典型放射學特征[7]。對于MRI結果不典型的側腦室XGCP與其他側腦室腫塊的鑒別診斷有一定困難[8]。雖然本例患者因未行手術無病理學結果,但由于MRI結果符合XGCP的典型特征,結合臨床信息,考慮該患者患雙側側腦室XGCP可能性大。
臨床上應注意側腦室XGCP引發癲癇的可能。雖然側腦室脈絡叢是XG最常見的顱內受累部位,但有癥狀者多累及第三腦室脈絡叢,癥狀性側腦室XGCP更罕見。XGCP主要引起梗阻性腦積水,可能會出現神經癥狀,如頭痛、視乳頭水腫、步態不穩、認知障礙和泌尿紊亂[8]。據一項2020年的系統評價,18例癥狀性側腦室XGCP患者中7例患者出現癲癇發作,占比為39%[4]。本例患者也伴發癲癇。上述提示癲癇發作可能是罕見的癥狀性側腦室XGCP的常見癥狀之一。
無癥狀性XGCP通常無需處理,而目前癥狀性XGCP的主要治療方式是外科手術切除,還沒有被廣泛認可的其他治療方式[1]。 Yan等[9]總結了有關癥狀性側腦室XGCP治療的報道,發現絕大多數為常規開顱手術,放射外科手術和磁共振引導激光間質熱療僅各1例,并報道了1例腦室鏡入路的創新性切除。單純藥物治療癥狀性XGCP的國外報道極少。師璐等[10]對1例伴顱內壓升高的XGCP患者僅采取甘露醇脫水降低顱內壓等內科對癥治療,取得較好療效,未再行外科手術切除。本例患者僅伴癲癇,入院僅接受抗癲癇發作藥物左乙拉西坦治療,住院期間無癲癇發作。鑒于其住院觀察期較短,是否需外科手術切除尚待評估。
鑒別病因對于指導側腦室XGCP的并發癥,尤其是側腦室XGCP引發的癲癇的內外科治療選擇很重要。以往文獻表明側腦室XGCP通常會導致腦室擴張,不伴腦室擴張者極少[11]。據此推測,占位效應可能是側腦室XGCP引起包括癲癇在內的并發癥的主要原因。從解除側腦室XGCP占位效應的角度來看,外科手術切除是一個選擇。然而,從本質上看,XG是良性病變,可以保持穩定多年而不會產生癥狀或者癥狀輕微,尸檢或無關影像學檢查過程中的偶然發現證明了這一點[8]。據此考慮,某些輕癥的側腦室XGCP或許僅內科治療即可;而其他側腦室病變,尤其是各類側腦室腫瘤,往往進展更快,所以更需要外科手術切除,需注意鑒別。當然,若側腦室XGCP出現嚴重的并發癥,則需采取外科手術治療。根據國際抗癲癇聯盟的最新癲癇病因分類,側腦室XGCP引發的癲癇顯然屬于結構病因相關癲癇,如果兩個藥物治療失敗,成為耐藥性癲癇,應行手術切除治療[12]。
綜上,MRI是診斷和鑒別診斷側腦室XGCP的重要參考;雖然側腦室癥狀性XGCP罕見,但側腦室癥狀性XGCP可能表現出的癲癇發作,仍需要同側腦室腫瘤及其他病因引起的癲癇相鑒別;側腦室XGCP引發的耐藥性癲癇應給予手術切除治療。
利益沖突 所有作者無利益沖突。
黃色肉芽腫(Xanthogranulomas,XG)是一種良性的特發性組織細胞贅生物,以膽固醇裂隙、含鐵血黃素沉著、巨噬細胞(黃色瘤細胞)、淋巴細胞浸潤和纖維增生為特征[1]。XG于1900年被Blumer首次報道[2]。XG通常是偶然發現的。研究顯示,XG在1.6%~7%的大體活檢中被發現[3]。XG常表現為2歲以下兒童的皮膚病變,而中樞神經系統XG罕見[1]。中樞神經系統XG的發生部位包括第三腦室、側腦室、鞍上區和鞍旁區、大腦和小腦實質、第四腦室和硬腦膜[4]。其中,大多數中樞神經系統XG發生在側腦室脈絡叢并且沒有癥狀[5]。本文報道了一例罕見的伴發癲癇的側腦室脈絡叢黃色肉芽腫(Xanthogranulomas of the choroid plexus,XGCP)病例,旨在探討側腦室XGCP的診斷和鑒別診斷,以及可能伴發的癲癇的診療。
病例資料 患者 女,35歲,因“發作性腦鳴、呼之不應9個月”入院。患者分別于9個月前和2天前出現兩次發作性癥狀,表現為先出現無明顯誘因的腦鳴,伴頭暈不適感,后出現倒地、呼之不應,伴雙眼凝視、牙關緊閉,伴口吐白沫,伴四肢抽搐,癥狀持續3 min左右,20 min后人完全清醒,醒后不能回憶當時情況。兩次發作基本相似。既往史、個人史、生育史未見異常。神經系統查體未見明顯異常。24 h視頻腦電圖監測未見發作,但背景見右側顳區和左側顳-后顳區間斷性慢波和發作間期睡眠期右側后顳區T6>TP10>T4尖波(圖1)。頭顱磁共振成像(Magnetic resonance imaging,MRI)示雙側側腦室三角區結節(圖2)。其他檢查未見與本病明顯相關異常。未進行病理學檢查。臨床診斷為:① 非難治性癲癇,不伴有癲癇持續狀態;② XGCP。入院后予左乙拉西坦片每次0.5 g,每日兩次,口服。無癲癇發作,8天后帶藥出院。

a. 背景中度異常:右側顳區和左側顳-后顳區可見間斷性慢波;b. 發作間期放電:睡眠期右側后顳區T6>TP10>T4尖波(紅色方框所示)

a. 橫軸面T1WI示雙側側腦室三角區結節影,呈較低信號(箭頭所示);b. 橫軸面T2WI示病灶呈高信號(箭頭所示);c. 橫軸面T2-FLAIR示病灶呈高信號(箭頭所示);d. 冠狀面T2-FLAIR示病灶高信號(箭頭所示);e. 矢狀面T2-FLAIR(示右側腦室)示右側病灶呈高信號(箭頭所示);f. 矢狀面T2-FLAIR(示左側腦室)示左側病灶呈高信號(箭頭所示)
討論 目前顱內XGCP的診斷和鑒別診斷主要是基于計算機斷層掃描(Computed tomography,CT)、MRI的影像學結果以及術后標本或尸體的病理學結果。腦部MRI是XGCP的重要參考。XGCP的MRI結果為T1WI顯示低信號,T2WI顯示高信號[6]。然而,XGCP很少出現無需手術標本即可進行診斷的典型放射學特征[7]。對于MRI結果不典型的側腦室XGCP與其他側腦室腫塊的鑒別診斷有一定困難[8]。雖然本例患者因未行手術無病理學結果,但由于MRI結果符合XGCP的典型特征,結合臨床信息,考慮該患者患雙側側腦室XGCP可能性大。
臨床上應注意側腦室XGCP引發癲癇的可能。雖然側腦室脈絡叢是XG最常見的顱內受累部位,但有癥狀者多累及第三腦室脈絡叢,癥狀性側腦室XGCP更罕見。XGCP主要引起梗阻性腦積水,可能會出現神經癥狀,如頭痛、視乳頭水腫、步態不穩、認知障礙和泌尿紊亂[8]。據一項2020年的系統評價,18例癥狀性側腦室XGCP患者中7例患者出現癲癇發作,占比為39%[4]。本例患者也伴發癲癇。上述提示癲癇發作可能是罕見的癥狀性側腦室XGCP的常見癥狀之一。
無癥狀性XGCP通常無需處理,而目前癥狀性XGCP的主要治療方式是外科手術切除,還沒有被廣泛認可的其他治療方式[1]。 Yan等[9]總結了有關癥狀性側腦室XGCP治療的報道,發現絕大多數為常規開顱手術,放射外科手術和磁共振引導激光間質熱療僅各1例,并報道了1例腦室鏡入路的創新性切除。單純藥物治療癥狀性XGCP的國外報道極少。師璐等[10]對1例伴顱內壓升高的XGCP患者僅采取甘露醇脫水降低顱內壓等內科對癥治療,取得較好療效,未再行外科手術切除。本例患者僅伴癲癇,入院僅接受抗癲癇發作藥物左乙拉西坦治療,住院期間無癲癇發作。鑒于其住院觀察期較短,是否需外科手術切除尚待評估。
鑒別病因對于指導側腦室XGCP的并發癥,尤其是側腦室XGCP引發的癲癇的內外科治療選擇很重要。以往文獻表明側腦室XGCP通常會導致腦室擴張,不伴腦室擴張者極少[11]。據此推測,占位效應可能是側腦室XGCP引起包括癲癇在內的并發癥的主要原因。從解除側腦室XGCP占位效應的角度來看,外科手術切除是一個選擇。然而,從本質上看,XG是良性病變,可以保持穩定多年而不會產生癥狀或者癥狀輕微,尸檢或無關影像學檢查過程中的偶然發現證明了這一點[8]。據此考慮,某些輕癥的側腦室XGCP或許僅內科治療即可;而其他側腦室病變,尤其是各類側腦室腫瘤,往往進展更快,所以更需要外科手術切除,需注意鑒別。當然,若側腦室XGCP出現嚴重的并發癥,則需采取外科手術治療。根據國際抗癲癇聯盟的最新癲癇病因分類,側腦室XGCP引發的癲癇顯然屬于結構病因相關癲癇,如果兩個藥物治療失敗,成為耐藥性癲癇,應行手術切除治療[12]。
綜上,MRI是診斷和鑒別診斷側腦室XGCP的重要參考;雖然側腦室癥狀性XGCP罕見,但側腦室癥狀性XGCP可能表現出的癲癇發作,仍需要同側腦室腫瘤及其他病因引起的癲癇相鑒別;側腦室XGCP引發的耐藥性癲癇應給予手術切除治療。
利益沖突 所有作者無利益沖突。