引用本文: 王煥明, 胡飛, 熊玉波. 神經外科機器人輔助立體定向腦電圖定位手術治療頑固性枕葉癲癇一例. 癲癇雜志, 2023, 9(1): 64-68. doi: 10.7507/2096-0247.202206004 復制
立體定向腦電圖(Stereoelectroencephalography,SEEG)是一種介入方法和分析方法,它主要探討影像解剖學-電生理-臨床癥狀學相互之間的關系,用于耐藥性局灶性癲癇的定位。它是采用立體定向的方法,向腦內植入深部電極,利用深部電極對癲癇放電在三維空間內進行實時記錄并提供客觀依據,從時間和空間上對癲癇樣放電進行評估,以明確癲癇放電的起源灶、傳播形式及所涉及的皮層結構,從而精確定位致癇灶,為“解剖-電-臨床關聯分析”及精確外科切除致癇灶提供依據[1]。武漢腦科醫院神經外科于2021年12月對一例頑固性癲癇患者在神經外科機器人輔助下行SEEG定位致癇灶,隨后開顱切除左枕葉致癇灶,取得了滿意的效果,現報道如下。
病例介紹 患者 女,23歲,因“發作性愣神14年余”于2021年12月1日入院。患者于14年前開始出現愣神發作,表現為發作前眼前視野變為“淡黃色波紋狀”,其后神志不清,并出現“喉部咕嚕”聲,然后出現動作停止,愣神,雙眼無神,手中持物掉落,無倒地,持續約1~2 s后,愣神恢復。其后患者“自行上廁所”或“自行回房間睡覺”,此時意識模糊,休息約1 h后可完全恢復。患者訴感冒、發熱或月經期時更易發作。發病早期癲癇發作頻繁,曾到多家醫院就診,診斷為“癲癇”,予口服抗癲癇藥物治療,剛開始治療有效,經過約半年左右后難以控制,多次調整藥物治療無效。入院前口服“丙戊酸鈉緩釋片 0.5 g 每日兩次,拉莫三嗪 100 mg 每日兩次,左乙拉西坦 0.5 g 每日兩次,吡侖帕奈 2 mg每日一次”,發作頻率2~3次/月。患者既往左側眼瞼下垂,6歲時曾行手術治療,母孕期有發熱史,患者嬰幼兒期及童年期有熱性驚厥史,否認藥物過敏史。
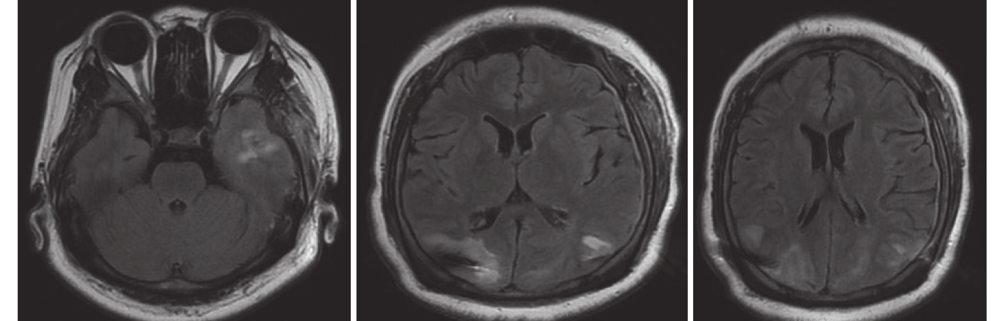
入院查體:神志清晰,精神不佳,對答可。雙瞳孔等大等圓,D=3 mm,光反射存在。左側眼瞼順目較右側少,鼓腮左側漏氣,示齒口角稍右偏。腦膜刺激征陰性。四肢可自主活動,肌力5級,肌張力正常。病理征陰性。視野缺損。入院后查頭部計算機斷層掃描(Computerized tomography,CT)及核磁共振(Magnetic resonance imaging,MRI)提示:雙側枕葉軟化灶。磁共振波譜(Magnetic resonance spectroscopy,MRS)檢查提示:左側海馬代謝較右側低(圖1)。長程視頻腦電圖(Videoelectroencephalography,VEEG)提示:發作間期右側額極、額區、左側額極、額區、顳區及額中線少量不同步中低波幅尖波散發出現,左枕區及后顳區可見部分低波幅尖波;視頻腦電圖監測發作期表現為愣神-咂嘴-右手摸索動作,持續約30 s后出現咳嗽,意識逐步好轉,但此時意識尚未完全恢復清楚,此后患者自行摘除網帽,事后不自知。發作期視頻腦電圖表現為剛開始在右枕(O2)、右后顳區(T6)出現低波幅快節律改變,波幅壓低,其后雙側額顳區出現高波幅慢波節律(圖2)。


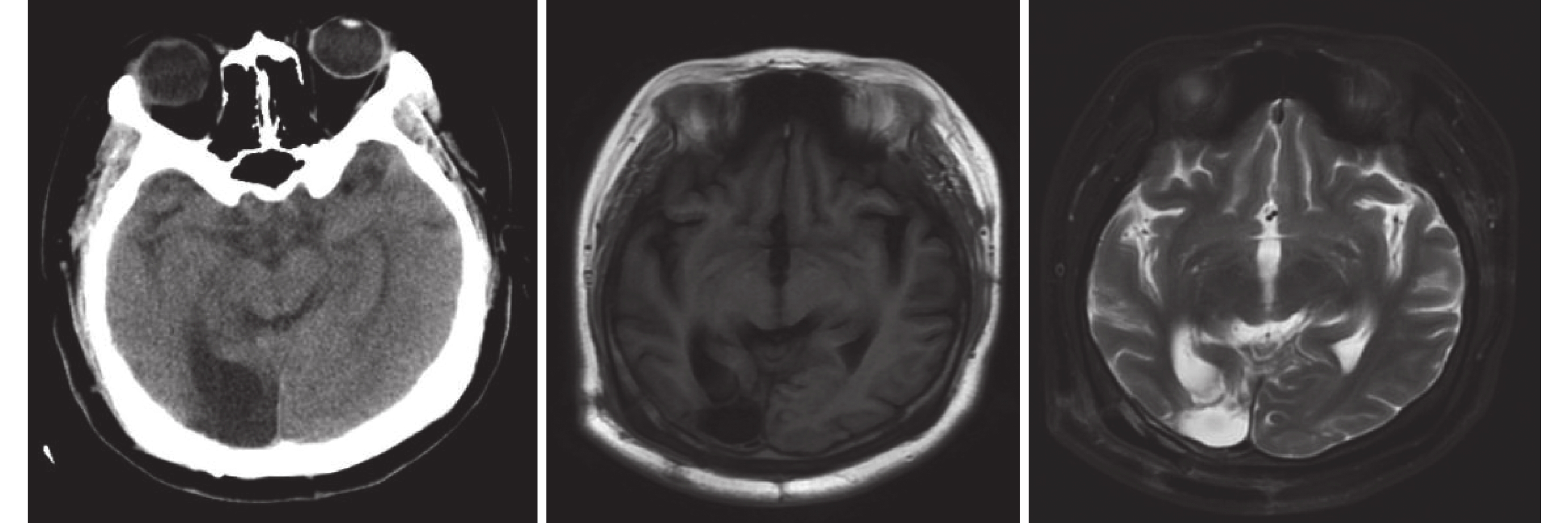
2021年12月3日在全麻下行神經外科手術機器人輔助下行SEEG植入手術,共植入4根電極,分別為左側海馬、左枕舌葉、左枕楔葉和右側枕葉,術后復查提示電極位置良好(圖3、4、5)。植入電極后監測72 h,監測過程中共監測到三次發作,致癇灶定位于左側枕葉(圖6)。遂再次于2021年12月6日在全麻下行右枕葉致癇灶切除術+腦深部電極拔除術,手術順利,術后患者恢復良好,術后病理報告提示:腦軟化灶伴急慢性炎性滲出。術后繼續口服抗癲癇發作藥物,隨訪半年復查頭部CT及MRI提示:術后改變(圖7)。未再有癲癇發作。





討論 本例患者發作前有視覺先兆,致癇灶可能在枕葉,但是發作表現為愣神(知覺障礙)-咂嘴、右手摸索(自動癥)-咳嗽(自主神經發作)-發作后無意識活動,不能排除致癇灶在顳葉。而視頻腦電圖監測發現發作間期雙枕、雙側額顳尖波散發,左側為主;發作期見異常放電在右枕、右后顳;CT和MRI檢查提示:雙側枕葉軟化灶。MRS檢查提示:左側海馬代謝較右側低。根據癥狀學及發作期視頻腦電圖枕葉癲癇可能性大,患者雙側枕葉有軟化灶,發作間期腦電提示雙側放電,左側為著;MRS左側海馬代謝較右側低,且存在顳葉癥狀學。從以上檢查結果,很難定位致癇灶,故采用SEEG來明確癲癇起源,共植入4根電極,雙側枕葉(病灶區)、左側顳葉。術后視頻腦電圖監測明確致癇灶在左枕葉,經過再次手術切除后,患者癲癇發作滿意控制,說明SEEG在難治性枕葉癲癇定位致癇灶中有明顯的優勢。
枕葉癲癇最常見的主觀癥狀為視覺先兆,主要為單純視覺幻覺,其次是視覺幻覺、復雜視覺幻覺和視力模糊。視幻覺通常被描述為從對側移動到同側的偏野,枕頂型的視覺幻覺和黑蒙病更為常見。枕顳型的患者往往表現出復雜的視覺幻覺和視覺模糊,最常見的早期發作運動體征是眼部偏移,其次是頭部偏移(同側/對側)和眨眼。在大多數患者中,眼偏移位于枕葉發作區對側,超過一半的患者存在意識障礙,早期意識障礙可能表明致癇灶的組織范圍更廣泛,還有部分枕葉癲癇患者會出現顳葉癥狀或額葉運動癥狀[2]。
枕葉致癇灶很多位于皮層深部,且容易遠端快速傳導,導致頭皮腦電圖定位的困難[3]。枕葉的致癲癇指數由高到低分別是: ① 梭狀回的枕葉部分;② 枕背外側區和舌回;③ 楔葉和枕外側回。枕葉外致癇指數由高到低分別是:① 顳葉最高的是中顳區;② 頂葉最高的是楔前葉。枕葉癲癇分為兩種類型:①單純枕葉型:致癇指數最高的是舌回,其次是梭狀回;② 枕葉(+)型(第一大致癇區是梭狀回的枕葉部分):1)枕顳葉型:第二大致癲癇區域是枕外側回;2)枕頂葉型:第二大致癲癇區域是枕葉背側區域。起源于距狀裂上下的癲癇發作傾向于分別通過額枕下束(Inferior fronto-occipital fasciculus,IFOF)直接擴散到額頂葉上區域,并通過下縱束(Inferior longitudinal fasciculus,ILF)擴散到顳下結構。
SEEG在頑固性癲癇患者的定位致癇灶有其獨到的優勢。郭強等[4]通過對78例患者臨床資料的分析發現,SEEG相較于硬膜下電極腦電圖有如下優勢:① SEEG電極更容易完成對深部結構(顳葉內側、額葉內側面、島葉、腦溝內皮質甚至白質束等)的探測;② SEEG無需開顱,并且得益于術前計劃的精準、手術的精細及電極制作的精良工藝,故遠較硬膜下電極技術微創;③ 對于需要雙側、大范圍置入電極者或一些粘連嚴重的二次手術患者置人電極,運用硬膜下電極置人術常十分困難,而SEEG技術無須開顱,更顯優勢。Fierain等[5]分析了18例外傷性癲癇患者的發作期SEEG監測結果,發現致癇灶大部分在顳葉,其次是額葉,半數患者癲癇灶的范圍小于MRI顯示的范圍,行裁剪式切除患者均取得了良好的療效,3例患者因為雙側致癇灶未行手術治療。15例手術患者中10例(67%)術后癲癇控制達到了Engel I,提示SEEG在外傷性癲癇患者術前評估具有其獨特的優勢,對裁剪式切除致癇灶有一定的指導意義。
SEEG除了能定位致癇灶外,還可以進行致癇灶的微創手術治療。關宇光等[6]分析了33例藥物難治性癲癇的臨床資料,對視頻腦電圖、MRI、腦磁圖和正電子發射斷層掃描(Positron emission tomography,PET)檢查仍不能明確致癇灶的患者行SEEG記錄,以更好的確定致癇灶。所有患者均采用SEEG引導下射頻熱凝毀損術治療,射頻毀損靶點為SEEG監測下的癲癇起始區或癲癇網絡中頻繁放電的電極位點。結果發現SEEG記錄顯示33例中5例為單電極起始(同一電極的1~3個觸點),15例為單腦區/部位起始(多根電極起始,但局限于同一腦區或病灶部位),6例為相鄰多腦區起始,7例為不同腦區的多部位彌漫起始區。每例患者射頻毀損1~11個靶點,手術期間未觀察到嚴重不良反應。術后隨訪6~15個月,4例癲癇發作停止、3例發作減少80%以上、10例減少50%~79%、8例減少10%~49%、8例較術前無明顯緩解,提示SEEG引導下射頻熱凝毀損術是藥物難治性癲癇安全有效的治療方法。馮韜等[7]分析了17例下丘腦錯構瘤繼發癲癇患兒的臨床資料,所有的患兒均行SEEG檢查及SEEG引導下射頻熱凝治療。采用Engel分級評估患兒術后的療效。結果 17例患兒共植入62根電極,每例植入1~6根電極,平均(3.6±1.4)根。隨訪時間為24~68個月,平均(33.9±11.6)個月。術后9例患兒癲癇得到完全控制(Engel Ⅰ級),5例術后發作部分改善(Engel Ⅲ級),3例患兒經射頻熱凝治療后癲癇無明顯改善(Engel Ⅳ級)。所有病例均未發生永久性神經功能缺損,提示SEEG引導射頻熱凝毀損術是兒童下丘腦錯構瘤繼發癲癇安全、有效的治療方式。
目前研究顯示,SEEG并發癥發生率較低[8-9],在定位致癇灶方面安全性相對較高。Miller等[10]研究了2019年-2019年多家癲癇中心131例患者的152次SEEG次植入手術,這131例患者共植入1603根電極,平均每例患者植入10.5根電極,大多數患者(84%)在行了SEEG后都做了切除手術,其中只有6例患者出現嚴重的并發癥:3例患者出現電極保留,2例出現術后再出血,1例術后電極無法探測,但最終僅1例患者出現永久神經功能障礙。63.3%的患者在一年以上的隨訪中癲癇控制達到Engel Ⅰ級。綜上,SEEG是一種安全有效的評估方法,對于難治性癲癇的術前準確定位致癇灶,以及使手術獲得滿意的結果[9],提供了可靠的技術保證。
利益沖突聲明 所有作者無利益沖突。
立體定向腦電圖(Stereoelectroencephalography,SEEG)是一種介入方法和分析方法,它主要探討影像解剖學-電生理-臨床癥狀學相互之間的關系,用于耐藥性局灶性癲癇的定位。它是采用立體定向的方法,向腦內植入深部電極,利用深部電極對癲癇放電在三維空間內進行實時記錄并提供客觀依據,從時間和空間上對癲癇樣放電進行評估,以明確癲癇放電的起源灶、傳播形式及所涉及的皮層結構,從而精確定位致癇灶,為“解剖-電-臨床關聯分析”及精確外科切除致癇灶提供依據[1]。武漢腦科醫院神經外科于2021年12月對一例頑固性癲癇患者在神經外科機器人輔助下行SEEG定位致癇灶,隨后開顱切除左枕葉致癇灶,取得了滿意的效果,現報道如下。
病例介紹 患者 女,23歲,因“發作性愣神14年余”于2021年12月1日入院。患者于14年前開始出現愣神發作,表現為發作前眼前視野變為“淡黃色波紋狀”,其后神志不清,并出現“喉部咕嚕”聲,然后出現動作停止,愣神,雙眼無神,手中持物掉落,無倒地,持續約1~2 s后,愣神恢復。其后患者“自行上廁所”或“自行回房間睡覺”,此時意識模糊,休息約1 h后可完全恢復。患者訴感冒、發熱或月經期時更易發作。發病早期癲癇發作頻繁,曾到多家醫院就診,診斷為“癲癇”,予口服抗癲癇藥物治療,剛開始治療有效,經過約半年左右后難以控制,多次調整藥物治療無效。入院前口服“丙戊酸鈉緩釋片 0.5 g 每日兩次,拉莫三嗪 100 mg 每日兩次,左乙拉西坦 0.5 g 每日兩次,吡侖帕奈 2 mg每日一次”,發作頻率2~3次/月。患者既往左側眼瞼下垂,6歲時曾行手術治療,母孕期有發熱史,患者嬰幼兒期及童年期有熱性驚厥史,否認藥物過敏史。
入院查體:神志清晰,精神不佳,對答可。雙瞳孔等大等圓,D=3 mm,光反射存在。左側眼瞼順目較右側少,鼓腮左側漏氣,示齒口角稍右偏。腦膜刺激征陰性。四肢可自主活動,肌力5級,肌張力正常。病理征陰性。視野缺損。入院后查頭部計算機斷層掃描(Computerized tomography,CT)及核磁共振(Magnetic resonance imaging,MRI)提示:雙側枕葉軟化灶。磁共振波譜(Magnetic resonance spectroscopy,MRS)檢查提示:左側海馬代謝較右側低(圖1)。長程視頻腦電圖(Videoelectroencephalography,VEEG)提示:發作間期右側額極、額區、左側額極、額區、顳區及額中線少量不同步中低波幅尖波散發出現,左枕區及后顳區可見部分低波幅尖波;視頻腦電圖監測發作期表現為愣神-咂嘴-右手摸索動作,持續約30 s后出現咳嗽,意識逐步好轉,但此時意識尚未完全恢復清楚,此后患者自行摘除網帽,事后不自知。發作期視頻腦電圖表現為剛開始在右枕(O2)、右后顳區(T6)出現低波幅快節律改變,波幅壓低,其后雙側額顳區出現高波幅慢波節律(圖2)。


2021年12月3日在全麻下行神經外科手術機器人輔助下行SEEG植入手術,共植入4根電極,分別為左側海馬、左枕舌葉、左枕楔葉和右側枕葉,術后復查提示電極位置良好(圖3、4、5)。植入電極后監測72 h,監測過程中共監測到三次發作,致癇灶定位于左側枕葉(圖6)。遂再次于2021年12月6日在全麻下行右枕葉致癇灶切除術+腦深部電極拔除術,手術順利,術后患者恢復良好,術后病理報告提示:腦軟化灶伴急慢性炎性滲出。術后繼續口服抗癲癇發作藥物,隨訪半年復查頭部CT及MRI提示:術后改變(圖7)。未再有癲癇發作。





討論 本例患者發作前有視覺先兆,致癇灶可能在枕葉,但是發作表現為愣神(知覺障礙)-咂嘴、右手摸索(自動癥)-咳嗽(自主神經發作)-發作后無意識活動,不能排除致癇灶在顳葉。而視頻腦電圖監測發現發作間期雙枕、雙側額顳尖波散發,左側為主;發作期見異常放電在右枕、右后顳;CT和MRI檢查提示:雙側枕葉軟化灶。MRS檢查提示:左側海馬代謝較右側低。根據癥狀學及發作期視頻腦電圖枕葉癲癇可能性大,患者雙側枕葉有軟化灶,發作間期腦電提示雙側放電,左側為著;MRS左側海馬代謝較右側低,且存在顳葉癥狀學。從以上檢查結果,很難定位致癇灶,故采用SEEG來明確癲癇起源,共植入4根電極,雙側枕葉(病灶區)、左側顳葉。術后視頻腦電圖監測明確致癇灶在左枕葉,經過再次手術切除后,患者癲癇發作滿意控制,說明SEEG在難治性枕葉癲癇定位致癇灶中有明顯的優勢。
枕葉癲癇最常見的主觀癥狀為視覺先兆,主要為單純視覺幻覺,其次是視覺幻覺、復雜視覺幻覺和視力模糊。視幻覺通常被描述為從對側移動到同側的偏野,枕頂型的視覺幻覺和黑蒙病更為常見。枕顳型的患者往往表現出復雜的視覺幻覺和視覺模糊,最常見的早期發作運動體征是眼部偏移,其次是頭部偏移(同側/對側)和眨眼。在大多數患者中,眼偏移位于枕葉發作區對側,超過一半的患者存在意識障礙,早期意識障礙可能表明致癇灶的組織范圍更廣泛,還有部分枕葉癲癇患者會出現顳葉癥狀或額葉運動癥狀[2]。
枕葉致癇灶很多位于皮層深部,且容易遠端快速傳導,導致頭皮腦電圖定位的困難[3]。枕葉的致癲癇指數由高到低分別是: ① 梭狀回的枕葉部分;② 枕背外側區和舌回;③ 楔葉和枕外側回。枕葉外致癇指數由高到低分別是:① 顳葉最高的是中顳區;② 頂葉最高的是楔前葉。枕葉癲癇分為兩種類型:①單純枕葉型:致癇指數最高的是舌回,其次是梭狀回;② 枕葉(+)型(第一大致癇區是梭狀回的枕葉部分):1)枕顳葉型:第二大致癲癇區域是枕外側回;2)枕頂葉型:第二大致癲癇區域是枕葉背側區域。起源于距狀裂上下的癲癇發作傾向于分別通過額枕下束(Inferior fronto-occipital fasciculus,IFOF)直接擴散到額頂葉上區域,并通過下縱束(Inferior longitudinal fasciculus,ILF)擴散到顳下結構。
SEEG在頑固性癲癇患者的定位致癇灶有其獨到的優勢。郭強等[4]通過對78例患者臨床資料的分析發現,SEEG相較于硬膜下電極腦電圖有如下優勢:① SEEG電極更容易完成對深部結構(顳葉內側、額葉內側面、島葉、腦溝內皮質甚至白質束等)的探測;② SEEG無需開顱,并且得益于術前計劃的精準、手術的精細及電極制作的精良工藝,故遠較硬膜下電極技術微創;③ 對于需要雙側、大范圍置入電極者或一些粘連嚴重的二次手術患者置人電極,運用硬膜下電極置人術常十分困難,而SEEG技術無須開顱,更顯優勢。Fierain等[5]分析了18例外傷性癲癇患者的發作期SEEG監測結果,發現致癇灶大部分在顳葉,其次是額葉,半數患者癲癇灶的范圍小于MRI顯示的范圍,行裁剪式切除患者均取得了良好的療效,3例患者因為雙側致癇灶未行手術治療。15例手術患者中10例(67%)術后癲癇控制達到了Engel I,提示SEEG在外傷性癲癇患者術前評估具有其獨特的優勢,對裁剪式切除致癇灶有一定的指導意義。
SEEG除了能定位致癇灶外,還可以進行致癇灶的微創手術治療。關宇光等[6]分析了33例藥物難治性癲癇的臨床資料,對視頻腦電圖、MRI、腦磁圖和正電子發射斷層掃描(Positron emission tomography,PET)檢查仍不能明確致癇灶的患者行SEEG記錄,以更好的確定致癇灶。所有患者均采用SEEG引導下射頻熱凝毀損術治療,射頻毀損靶點為SEEG監測下的癲癇起始區或癲癇網絡中頻繁放電的電極位點。結果發現SEEG記錄顯示33例中5例為單電極起始(同一電極的1~3個觸點),15例為單腦區/部位起始(多根電極起始,但局限于同一腦區或病灶部位),6例為相鄰多腦區起始,7例為不同腦區的多部位彌漫起始區。每例患者射頻毀損1~11個靶點,手術期間未觀察到嚴重不良反應。術后隨訪6~15個月,4例癲癇發作停止、3例發作減少80%以上、10例減少50%~79%、8例減少10%~49%、8例較術前無明顯緩解,提示SEEG引導下射頻熱凝毀損術是藥物難治性癲癇安全有效的治療方法。馮韜等[7]分析了17例下丘腦錯構瘤繼發癲癇患兒的臨床資料,所有的患兒均行SEEG檢查及SEEG引導下射頻熱凝治療。采用Engel分級評估患兒術后的療效。結果 17例患兒共植入62根電極,每例植入1~6根電極,平均(3.6±1.4)根。隨訪時間為24~68個月,平均(33.9±11.6)個月。術后9例患兒癲癇得到完全控制(Engel Ⅰ級),5例術后發作部分改善(Engel Ⅲ級),3例患兒經射頻熱凝治療后癲癇無明顯改善(Engel Ⅳ級)。所有病例均未發生永久性神經功能缺損,提示SEEG引導射頻熱凝毀損術是兒童下丘腦錯構瘤繼發癲癇安全、有效的治療方式。
目前研究顯示,SEEG并發癥發生率較低[8-9],在定位致癇灶方面安全性相對較高。Miller等[10]研究了2019年-2019年多家癲癇中心131例患者的152次SEEG次植入手術,這131例患者共植入1603根電極,平均每例患者植入10.5根電極,大多數患者(84%)在行了SEEG后都做了切除手術,其中只有6例患者出現嚴重的并發癥:3例患者出現電極保留,2例出現術后再出血,1例術后電極無法探測,但最終僅1例患者出現永久神經功能障礙。63.3%的患者在一年以上的隨訪中癲癇控制達到Engel Ⅰ級。綜上,SEEG是一種安全有效的評估方法,對于難治性癲癇的術前準確定位致癇灶,以及使手術獲得滿意的結果[9],提供了可靠的技術保證。
利益沖突聲明 所有作者無利益沖突。