引用本文: 鄧馨, 王薇薇, 王利霞, 吳遜. 雙外側裂綜合征伴發作性肢體感覺障礙及手足畸形一例報道. 癲癇雜志, 2020, 6(6): 553-556. doi: 10.7507/2096-0247.20200090 復制
雙外側裂綜合征(Bilateral perisylvian syndrome,BPS)又稱先天性雙外側裂綜合征(Congenital bilateral perisylvian syndrome,CBPS),是少見的皮質發育畸形[1, 2],為雙側外側裂發育異常,其周圍腦回異常,有皮質增厚及多小腦回[3-5]。臨床癥狀以假性球麻痹為主,以及口部運動性失用以致構音困難,舌部運動減少,癲癇發作以及智力及運動發育遲滯[3-8]。少數有肢體畸形[6, 8]。國內報道 31 例 BPS,其中 22 例有不同類型的癲癇發作[2, 3, 5, 7, 9]。現報道一例經核磁共振成像(MRI)證實的 BPS,肢體發育障礙,以感覺為主的發作,但有輕度腦干功能障礙。
病例介紹 患者 女,15 歲。因“發作性肢體無力”就診于我院。患者足月順產,出生即發現右手雙足掌跖關節屈曲畸形,智力發育正常。目前就讀于初中二年級,成績中等,可以參加體育課。2018 年 9 月(14 歲)首次發作:右腳無知覺而后雙下肢無力,但可以行走,無尿失禁,神智清楚,持續 10 余秒。當年 10 月 7 日發作性雙下肢無知覺,而后右上肢無知覺,并出現無力不能站立。此后至 2019 年共發作 9 次,每次持續 1~2 min,發作時神智清楚。未就醫未服藥。檢查:神智清楚,語言流利清晰。左側舌肌肥大、力弱。右手及雙足掌(跖)指(趾)關節屈曲畸形,右手<左手,雙足小(圖 1、2)。視頻腦電圖(VEEG)監測:清醒期背景活動正常[10]。睡眠期左中央、雙頂、頂中線高波幅負相尖波,有時呈尖慢復合波(圖 3a、b)。MRI 雙外側裂畸形皮質增厚,左側顯著(圖 4a、b)。
圖1
患者足部表現
a. 右足;b. 左足。雙足小,足弓深,足背隆起
圖2
患者手部表現
a. 雙手掌面;b. 雙手背面。右手小,右側第 2-5 指,掌指關節屈曲,不能伸直
圖3
患者腦電圖
a. 睡眠期雙頂及頂中線同步性尖波;b. 睡眠期左中央、頂、頂中線同步性尖波,左頂有時為尖慢復合波
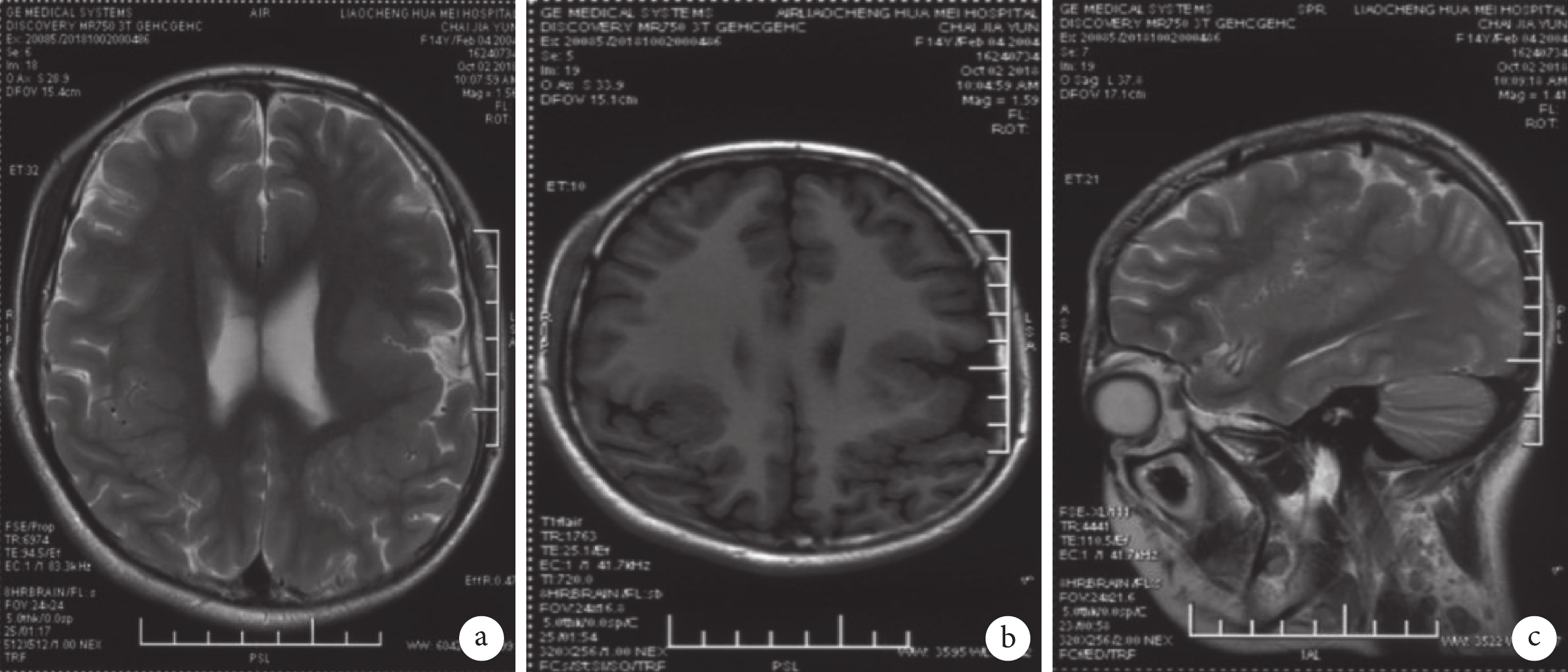
圖4
患者頭部核磁共振成像
a. T2 加權相軸位;b. T1 FLAIR 相軸位;c. T1 FLAIR 相矢狀位(左)。MRI 示雙外側裂形態異常,周圍皮質增厚,左側著矢狀位左島葉灰質異常增厚,正常溝回消失
討論 BPS 在皮質發育畸形的分類中屬于“移行后發育異常”中的側裂周圍多小腦回畸形中的“畸形伴有多小腦回畸形或類似多小腦回畸形”[11]。
1989 年 Kuzniecky 等已報道類似病例稱之為“雙側巨腦回”[12]。1993 年該作者又報道 31 例首次稱之為先天性雙外側裂綜合征[8],并提出診斷標準:第一,必要條件(100% 患者):① 口咽舌功能障礙,② 中至嚴重構音障礙,③ 影像學有雙側外側裂發育異常;第二,附加標準(>85% 患者):① 發育遲滯;② 癲癇,通常為不典型失神及失張力發作;③ 智力低下;④ EEG 異常。第三,其他標準(≤50% 患者):① 關節攣縮,② 其他肢體畸形,③ 嬰兒痙攣。根據國內外報道的病例 MRI 是確定診斷的唯一根據[1, 3, 12]。在診斷標準中癲癇為附加標準,又在其他標準中有嬰兒痙攣。后者實際為癲癇的一個類型[13, 14]。也有部分患者無口咽舌功能障礙[1, 6]。本文報道的 1 例亦無口咽舌功能障礙。
國內報道 31 例 BPS 中 22 例(68.8%)有各種型式的癲癇發作[2, 3, 5, 7, 9]。其中侯梅等[3]報道 23 例中 15 例(65.3%)[3]。Kuzniecky 等[8]發現在 31 例中 27 例(87%)有癲癇發作。因此,癲癇發作在 BPS 中并非少見。發作類型多種多樣,包括全面性發作[1, 4, 7, 9],單純部分性發作[6, 7]、繼發全面發作[6],自動癥[4],不典型失神,失張力及強直發作[8],以及非驚厥持續狀態(NCSE)[15]。不同的發作類型可能與發育異常皮質嚴重性的部位及殘留的功能有關[5]。本文報道的患者為發作性雙下肢無知覺,有時包括右上肢及無力,這種發作型式尚未見報道。
BPS 無癲癇發作者 EEG 正常,有發作者在發作間為雙側同步棘波及慢波、多棘波或尖慢復合波,在中央及頂區著[8]。該患者為雙頂、頂中線及左中央尖波。與過去報道相似,且與癥狀吻合。
BPS 的發生機制可能為宮內缺血、先天性巨細胞病毒感染[1, 4]、遺傳因素[3, 6]、代謝性疾病[5]等有關。臨床癥狀與病變最顯著處有關,如雙側前島蓋主要控制口及面部運動的障礙,如在感覺運動區皮質可有偏癱[5]。該病例的發作形式可能涉及島葉[16]。Paetau 等[6]用軀體感覺刺激及聽刺激做 MEG 溯源發現在異常腦回中于未預期的部位鑲嵌有正常功能區,因此在術前評估時應做功能分布圖。
MRI 尤其是高分辨率 MRI 是 BPS 最重要的診斷依據,可發現雙側裂畸形,側裂周圍有異常增多的多小腦回,以致皮質變厚[1],弓狀束小或無以及側腦室擴大[3]。抗癲癇藥物可能減少發作[4]。胼胝體切開術后也可能有一定效果[1, 8]。
雙外側裂綜合征(Bilateral perisylvian syndrome,BPS)又稱先天性雙外側裂綜合征(Congenital bilateral perisylvian syndrome,CBPS),是少見的皮質發育畸形[1, 2],為雙側外側裂發育異常,其周圍腦回異常,有皮質增厚及多小腦回[3-5]。臨床癥狀以假性球麻痹為主,以及口部運動性失用以致構音困難,舌部運動減少,癲癇發作以及智力及運動發育遲滯[3-8]。少數有肢體畸形[6, 8]。國內報道 31 例 BPS,其中 22 例有不同類型的癲癇發作[2, 3, 5, 7, 9]。現報道一例經核磁共振成像(MRI)證實的 BPS,肢體發育障礙,以感覺為主的發作,但有輕度腦干功能障礙。
病例介紹 患者 女,15 歲。因“發作性肢體無力”就診于我院。患者足月順產,出生即發現右手雙足掌跖關節屈曲畸形,智力發育正常。目前就讀于初中二年級,成績中等,可以參加體育課。2018 年 9 月(14 歲)首次發作:右腳無知覺而后雙下肢無力,但可以行走,無尿失禁,神智清楚,持續 10 余秒。當年 10 月 7 日發作性雙下肢無知覺,而后右上肢無知覺,并出現無力不能站立。此后至 2019 年共發作 9 次,每次持續 1~2 min,發作時神智清楚。未就醫未服藥。檢查:神智清楚,語言流利清晰。左側舌肌肥大、力弱。右手及雙足掌(跖)指(趾)關節屈曲畸形,右手<左手,雙足小(圖 1、2)。視頻腦電圖(VEEG)監測:清醒期背景活動正常[10]。睡眠期左中央、雙頂、頂中線高波幅負相尖波,有時呈尖慢復合波(圖 3a、b)。MRI 雙外側裂畸形皮質增厚,左側顯著(圖 4a、b)。
圖1
患者足部表現
a. 右足;b. 左足。雙足小,足弓深,足背隆起
圖2
患者手部表現
a. 雙手掌面;b. 雙手背面。右手小,右側第 2-5 指,掌指關節屈曲,不能伸直
圖3
患者腦電圖
a. 睡眠期雙頂及頂中線同步性尖波;b. 睡眠期左中央、頂、頂中線同步性尖波,左頂有時為尖慢復合波
圖4
患者頭部核磁共振成像
a. T2 加權相軸位;b. T1 FLAIR 相軸位;c. T1 FLAIR 相矢狀位(左)。MRI 示雙外側裂形態異常,周圍皮質增厚,左側著矢狀位左島葉灰質異常增厚,正常溝回消失
討論 BPS 在皮質發育畸形的分類中屬于“移行后發育異常”中的側裂周圍多小腦回畸形中的“畸形伴有多小腦回畸形或類似多小腦回畸形”[11]。
1989 年 Kuzniecky 等已報道類似病例稱之為“雙側巨腦回”[12]。1993 年該作者又報道 31 例首次稱之為先天性雙外側裂綜合征[8],并提出診斷標準:第一,必要條件(100% 患者):① 口咽舌功能障礙,② 中至嚴重構音障礙,③ 影像學有雙側外側裂發育異常;第二,附加標準(>85% 患者):① 發育遲滯;② 癲癇,通常為不典型失神及失張力發作;③ 智力低下;④ EEG 異常。第三,其他標準(≤50% 患者):① 關節攣縮,② 其他肢體畸形,③ 嬰兒痙攣。根據國內外報道的病例 MRI 是確定診斷的唯一根據[1, 3, 12]。在診斷標準中癲癇為附加標準,又在其他標準中有嬰兒痙攣。后者實際為癲癇的一個類型[13, 14]。也有部分患者無口咽舌功能障礙[1, 6]。本文報道的 1 例亦無口咽舌功能障礙。
國內報道 31 例 BPS 中 22 例(68.8%)有各種型式的癲癇發作[2, 3, 5, 7, 9]。其中侯梅等[3]報道 23 例中 15 例(65.3%)[3]。Kuzniecky 等[8]發現在 31 例中 27 例(87%)有癲癇發作。因此,癲癇發作在 BPS 中并非少見。發作類型多種多樣,包括全面性發作[1, 4, 7, 9],單純部分性發作[6, 7]、繼發全面發作[6],自動癥[4],不典型失神,失張力及強直發作[8],以及非驚厥持續狀態(NCSE)[15]。不同的發作類型可能與發育異常皮質嚴重性的部位及殘留的功能有關[5]。本文報道的患者為發作性雙下肢無知覺,有時包括右上肢及無力,這種發作型式尚未見報道。
BPS 無癲癇發作者 EEG 正常,有發作者在發作間為雙側同步棘波及慢波、多棘波或尖慢復合波,在中央及頂區著[8]。該患者為雙頂、頂中線及左中央尖波。與過去報道相似,且與癥狀吻合。
BPS 的發生機制可能為宮內缺血、先天性巨細胞病毒感染[1, 4]、遺傳因素[3, 6]、代謝性疾病[5]等有關。臨床癥狀與病變最顯著處有關,如雙側前島蓋主要控制口及面部運動的障礙,如在感覺運動區皮質可有偏癱[5]。該病例的發作形式可能涉及島葉[16]。Paetau 等[6]用軀體感覺刺激及聽刺激做 MEG 溯源發現在異常腦回中于未預期的部位鑲嵌有正常功能區,因此在術前評估時應做功能分布圖。
MRI 尤其是高分辨率 MRI 是 BPS 最重要的診斷依據,可發現雙側裂畸形,側裂周圍有異常增多的多小腦回,以致皮質變厚[1],弓狀束小或無以及側腦室擴大[3]。抗癲癇藥物可能減少發作[4]。胼胝體切開術后也可能有一定效果[1, 8]。

