引用本文: 朱永云, 吳崇民, 保健見, 尹蔚芳, 殷康福, 劉彬, 王芳, 楊興隆, 任惠. 以面-臂肌張力障礙為主要臨床表現的抗 LGI1 抗體腦炎一例. 癲癇雜志, 2020, 6(3): 255-257. doi: 10.7507/2096-0247.20200045 復制
富含抗亮氨酸的神經膠質瘤滅活蛋白 1(Anti-leucine-rich gliomainactivated 1,抗 LGI1)腦炎是一種罕見疾病,是自身免疫性腦炎中發病率僅次于抗 N-甲基-D-天冬氨酸受體腦炎的一個類型,約占自身免疫性腦炎的 1/10[1]。通常與癲癇發作、不對稱性面-臂肌張力障礙(Faciobrachial dystonic seizure,FBDS)、性格改變和快速發展的認知障礙有關[2]。腦脊液 LGI1 抗體陽性是抗 LGI1 抗體相關自身免疫性腦炎的特異性標志物[3]。FBDS 于 2008 年首次被描述為抗 LGI1 腦炎具有特征性的臨床癥狀[4, 5]。FBDS 臨床表現多樣,抗癲癇藥物(AEDs)通常無效,而免疫療法效果顯著,研究表明停止 FBDS 可以阻止認知障礙的發展[5]。因此,臨床上對 FBDS 快速的臨床診斷和及時的治療對改善患者的預后十分重要。
病例介紹 患者 男,35 歲。于 2019 年 11 月 5 日因“右上肢一過性觸電樣疼痛伴無力 10 天,加重 2 天”收住我科。患者自訴 10 天前無明顯誘因出現右上肢一過性放電樣疼痛,具體表現為一過性右側面部及右上肢肩部至指尖觸電樣疼痛,每次持續約 1~2 s,每日發作 4~5 次,發作時伴有右上肢持物不穩,手中物體掉落,伴有全額部頭痛,無頭暈、黑曚、暈厥、視物模糊及視物旋轉,無心悸、胸悶、胸痛、氣促,無肢體麻木、行走不穩等癥狀。未予重視,未診治。2 天前患者上述癥狀發作頻次及發作時疼痛性質較前加重,表現為每天發作十數次至數十次不等,每次持續時間同前。既往有糖尿病病史,余無特殊。入院一般查體及神經專科查體正常。結合患者急性起病,起病后短時間內緩解,無后遺癥,既往有糖尿病病史,入院神經系統查體未見異常,入院初步診斷為:發作性右側上肢感覺異常、無力查因(癲癇發作可能;短暫性腦缺血發作可能)。
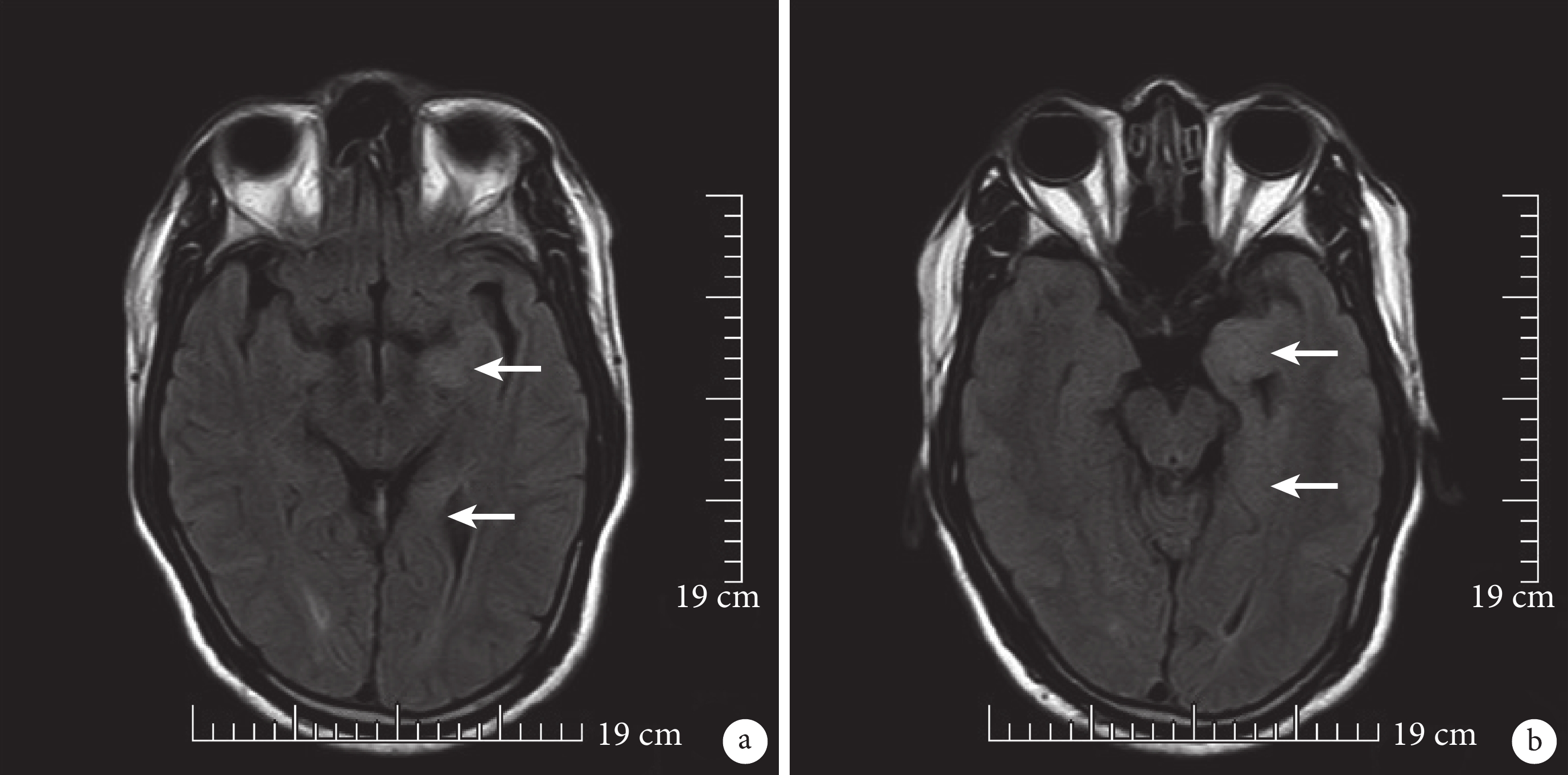
輔助檢查 入院完善相關檢查回示:① 三大常規、肝腎功、電解質、C-反應蛋白、凝血、風濕免疫全套未見異常;② 頭顱核磁共振+彌散+頭顱動脈成像(MRI+DWI+MRA)(圖 1a、b)示:1)FLAIR 見左側顳葉內側、海馬高信號,炎癥待排;2)顱內動脈主干未見異常;③ 腦脊液壓力:190 mm H2O;腦脊液免疫球蛋白:IgG:67.80 mg/L,IgA:8.67 mg/L,血清、腦脊液自身免疫性腦炎檢測 6 項:腦脊液抗 LGI1 抗體 IgG:陽性,1:1;血清抗 LGI1 抗體 IgG:陽性,1:30;腦脊液生化、細胞學、常規、真菌涂片、抗酸染色、細菌涂片、需厭氧培養、PCR、TORCH 未見明顯異常;④ 24 h 視頻腦電圖(VEEG)正常。

箭頭所指為 FLAIR 上見左側顳葉內側、海馬組織水腫、高信號。a. 為中腦層;b.為腦橋層
治療經過 該患者臨床表現以右側面部及右上肢肩部至指尖觸電樣疼痛,發作時伴有右上肢持物不穩,持續時間短暫,每天可發作數十次,無后遺癥;考慮患者癲癇發作可能性較大,予“奧卡西平 0.3 g,口服,每日兩次”抗癲癇治療;病情無改善,調整用量為“奧卡西平 0.45 g,口服,每日兩次”,病情仍無改善。患者 MRI 回示結果結合其發作癥狀考慮自身免疫性腦炎可能性較大,立即予甲潑尼龍琥珀酸鈉(500 mg 起始,靜脈滴注)治療,治療 3~5 天時患者訴癥狀較前次數減少、程度減輕。1 周時患者訴癥狀完全消失,無特殊不適;隨后血清和腦脊液檢查結果回示:抗 LGI1 抗體陽性,診斷為抗 LGI1 抗體腦炎。患者癥狀改善后出院繼續予口服醋酸潑尼松龍,逐漸減量。隨訪 3 個月未再出現類似癥狀。
討論 FBDS 于 2008 年首次被描述為抗 LGI1 腦炎具有特征性的臨床癥狀,為一種獨特的癲癇發作癥狀學[4, 5]。FBDS 非常短暫(通常<3 s)且頻繁,有研究表明其峰值每天平均出現 50 次[5];FBDS 通常累及手臂,也累及同側面部(76%)和腿部(34%)、軀干(28%)。在任何情況下發作總是單側的。面部癲癇發作可表現為發作性口角抽搐、發作性言語不能、發作性反應遲鈍等癥狀;手臂癲癇發作表現為時常出現手中的物體掉落;下肢癲癇發作表現為突發跌倒在地;通常無意識喪失。本例患者臨床癥狀主要為自我描述一過性右側面部及右上肢肩部至指尖觸電樣疼痛,并伴有發作時右上肢手中物品掉落,持續時間 2~3 s,無后遺癥,一天反復發作數十次。癥狀急性起病,快速進展,EEG 無異常表現,AEDs 對病情無改善,因此考慮該患者為累及面部、右上肢的 FBDS 發作。關于 FBDS 的機制目前尚不明確。有學者認為 FBDS 的活動環路包括額葉皮層、雙側基底節以及雙側顳葉的海馬和杏仁核,而基底節的電活動產生了 FBDS[6]。基底節的電活動可能與額葉以及顳葉存在環路,后期的額顳葉受累可以解釋肌張力發作后的意識狀態改變、性格改變現象,以及可以解釋 FBDS 在動作發作時無 EEG 改變,而在發作前和發作后部分患者可見額葉皮層或顳葉皮層電位改變的現象。
疾病早期顳葉內側 MRI FLAIR 高信號是診斷 LGI1 腦炎的重要證據[7, 8]。基底節和額葉皮層的 FLAIR 高信號也有報道[8]。有 24%的 FBDS 患者 EEG 檢測顯示局灶性減慢或癲癇樣變化[9]。LGI1 腦炎的診斷依賴于 LGI1 抗體,約 89%FBDS 患者的抗 LGI1 IgG 抗體陽性[5],且在血清中檢測到的這些抗體比在腦脊髓液中檢測具有更高的敏感性[2]。然而,腦脊液中高水平的抗 LGI1 抗體可能提示神經功能受損更嚴重[10]。本例患者頭部 MRI 提示左側顳葉內側海馬水腫以及高信號,血清和腦脊液中均檢測到抗 LGI1 IgG 抗體,且血清中抗體滴度高于腦脊液。這些結果均支持 LGI1 腦炎的診斷。此外,大多數 LGI1 腦炎患者是非副腫瘤的,據報道很少有患者患有惡性腫瘤,包括胸腺瘤或肺癌[11]。該例患者亦無腫瘤相關跡象。
FBDS 通常使用 AEDs 無效,相比之下,免疫療法可使 FBDS 頻率明顯降低[5]。Thompson 等[12]研究表明 56%的 FBDS 患者因其最初特征在活動性 FBDS 90 天后出現認知障礙;他們發現 FBDS 對免疫療法表現出明顯的時間敏感性反應,而 FBDS 的停止可以阻止認知障礙的發展。本例患者于疾病早期應用 AEDs 后病情無改善,應用類固醇治療后癥狀消失,隨訪期內未再發,也未發現認知功能受損情況,有待遠期隨訪。
目前,LGI1 抗體腦炎仍未被廣泛認識。其臨床表現多變不一,頻繁發作的 FBDS、認知障礙、MRI 上顳葉內側異常、LGI1 抗體陽性是 LGI1 抗體腦炎的主要特征。FDBS 發作與起始治療的時間間隔以及認知能力下降是影響 LGI1 抗體腦炎預后的兩個主要因素。因此,快速臨床診斷和及時治療對改善患者的預后很重要。在臨床實踐中,從最初的特征性臨床表現結合影像學及其他臨床指標可以考慮自身免疫性腦炎的診斷,從而有利于臨床醫生在確認 LGI1 抗體陽性之前就開始進行經驗性免疫治療。本例患者以其早期反復出現的 FBDS 癥狀以及頭部 MRI 的異常信號可考慮診斷為自身免疫性腦炎,在腦脊液及血清抗體檢測結果未回前即開始進行經驗性免疫治療,預后良好,有待遠期隨訪。
富含抗亮氨酸的神經膠質瘤滅活蛋白 1(Anti-leucine-rich gliomainactivated 1,抗 LGI1)腦炎是一種罕見疾病,是自身免疫性腦炎中發病率僅次于抗 N-甲基-D-天冬氨酸受體腦炎的一個類型,約占自身免疫性腦炎的 1/10[1]。通常與癲癇發作、不對稱性面-臂肌張力障礙(Faciobrachial dystonic seizure,FBDS)、性格改變和快速發展的認知障礙有關[2]。腦脊液 LGI1 抗體陽性是抗 LGI1 抗體相關自身免疫性腦炎的特異性標志物[3]。FBDS 于 2008 年首次被描述為抗 LGI1 腦炎具有特征性的臨床癥狀[4, 5]。FBDS 臨床表現多樣,抗癲癇藥物(AEDs)通常無效,而免疫療法效果顯著,研究表明停止 FBDS 可以阻止認知障礙的發展[5]。因此,臨床上對 FBDS 快速的臨床診斷和及時的治療對改善患者的預后十分重要。
病例介紹 患者 男,35 歲。于 2019 年 11 月 5 日因“右上肢一過性觸電樣疼痛伴無力 10 天,加重 2 天”收住我科。患者自訴 10 天前無明顯誘因出現右上肢一過性放電樣疼痛,具體表現為一過性右側面部及右上肢肩部至指尖觸電樣疼痛,每次持續約 1~2 s,每日發作 4~5 次,發作時伴有右上肢持物不穩,手中物體掉落,伴有全額部頭痛,無頭暈、黑曚、暈厥、視物模糊及視物旋轉,無心悸、胸悶、胸痛、氣促,無肢體麻木、行走不穩等癥狀。未予重視,未診治。2 天前患者上述癥狀發作頻次及發作時疼痛性質較前加重,表現為每天發作十數次至數十次不等,每次持續時間同前。既往有糖尿病病史,余無特殊。入院一般查體及神經專科查體正常。結合患者急性起病,起病后短時間內緩解,無后遺癥,既往有糖尿病病史,入院神經系統查體未見異常,入院初步診斷為:發作性右側上肢感覺異常、無力查因(癲癇發作可能;短暫性腦缺血發作可能)。
輔助檢查 入院完善相關檢查回示:① 三大常規、肝腎功、電解質、C-反應蛋白、凝血、風濕免疫全套未見異常;② 頭顱核磁共振+彌散+頭顱動脈成像(MRI+DWI+MRA)(圖 1a、b)示:1)FLAIR 見左側顳葉內側、海馬高信號,炎癥待排;2)顱內動脈主干未見異常;③ 腦脊液壓力:190 mm H2O;腦脊液免疫球蛋白:IgG:67.80 mg/L,IgA:8.67 mg/L,血清、腦脊液自身免疫性腦炎檢測 6 項:腦脊液抗 LGI1 抗體 IgG:陽性,1:1;血清抗 LGI1 抗體 IgG:陽性,1:30;腦脊液生化、細胞學、常規、真菌涂片、抗酸染色、細菌涂片、需厭氧培養、PCR、TORCH 未見明顯異常;④ 24 h 視頻腦電圖(VEEG)正常。

箭頭所指為 FLAIR 上見左側顳葉內側、海馬組織水腫、高信號。a. 為中腦層;b.為腦橋層
治療經過 該患者臨床表現以右側面部及右上肢肩部至指尖觸電樣疼痛,發作時伴有右上肢持物不穩,持續時間短暫,每天可發作數十次,無后遺癥;考慮患者癲癇發作可能性較大,予“奧卡西平 0.3 g,口服,每日兩次”抗癲癇治療;病情無改善,調整用量為“奧卡西平 0.45 g,口服,每日兩次”,病情仍無改善。患者 MRI 回示結果結合其發作癥狀考慮自身免疫性腦炎可能性較大,立即予甲潑尼龍琥珀酸鈉(500 mg 起始,靜脈滴注)治療,治療 3~5 天時患者訴癥狀較前次數減少、程度減輕。1 周時患者訴癥狀完全消失,無特殊不適;隨后血清和腦脊液檢查結果回示:抗 LGI1 抗體陽性,診斷為抗 LGI1 抗體腦炎。患者癥狀改善后出院繼續予口服醋酸潑尼松龍,逐漸減量。隨訪 3 個月未再出現類似癥狀。
討論 FBDS 于 2008 年首次被描述為抗 LGI1 腦炎具有特征性的臨床癥狀,為一種獨特的癲癇發作癥狀學[4, 5]。FBDS 非常短暫(通常<3 s)且頻繁,有研究表明其峰值每天平均出現 50 次[5];FBDS 通常累及手臂,也累及同側面部(76%)和腿部(34%)、軀干(28%)。在任何情況下發作總是單側的。面部癲癇發作可表現為發作性口角抽搐、發作性言語不能、發作性反應遲鈍等癥狀;手臂癲癇發作表現為時常出現手中的物體掉落;下肢癲癇發作表現為突發跌倒在地;通常無意識喪失。本例患者臨床癥狀主要為自我描述一過性右側面部及右上肢肩部至指尖觸電樣疼痛,并伴有發作時右上肢手中物品掉落,持續時間 2~3 s,無后遺癥,一天反復發作數十次。癥狀急性起病,快速進展,EEG 無異常表現,AEDs 對病情無改善,因此考慮該患者為累及面部、右上肢的 FBDS 發作。關于 FBDS 的機制目前尚不明確。有學者認為 FBDS 的活動環路包括額葉皮層、雙側基底節以及雙側顳葉的海馬和杏仁核,而基底節的電活動產生了 FBDS[6]。基底節的電活動可能與額葉以及顳葉存在環路,后期的額顳葉受累可以解釋肌張力發作后的意識狀態改變、性格改變現象,以及可以解釋 FBDS 在動作發作時無 EEG 改變,而在發作前和發作后部分患者可見額葉皮層或顳葉皮層電位改變的現象。
疾病早期顳葉內側 MRI FLAIR 高信號是診斷 LGI1 腦炎的重要證據[7, 8]。基底節和額葉皮層的 FLAIR 高信號也有報道[8]。有 24%的 FBDS 患者 EEG 檢測顯示局灶性減慢或癲癇樣變化[9]。LGI1 腦炎的診斷依賴于 LGI1 抗體,約 89%FBDS 患者的抗 LGI1 IgG 抗體陽性[5],且在血清中檢測到的這些抗體比在腦脊髓液中檢測具有更高的敏感性[2]。然而,腦脊液中高水平的抗 LGI1 抗體可能提示神經功能受損更嚴重[10]。本例患者頭部 MRI 提示左側顳葉內側海馬水腫以及高信號,血清和腦脊液中均檢測到抗 LGI1 IgG 抗體,且血清中抗體滴度高于腦脊液。這些結果均支持 LGI1 腦炎的診斷。此外,大多數 LGI1 腦炎患者是非副腫瘤的,據報道很少有患者患有惡性腫瘤,包括胸腺瘤或肺癌[11]。該例患者亦無腫瘤相關跡象。
FBDS 通常使用 AEDs 無效,相比之下,免疫療法可使 FBDS 頻率明顯降低[5]。Thompson 等[12]研究表明 56%的 FBDS 患者因其最初特征在活動性 FBDS 90 天后出現認知障礙;他們發現 FBDS 對免疫療法表現出明顯的時間敏感性反應,而 FBDS 的停止可以阻止認知障礙的發展。本例患者于疾病早期應用 AEDs 后病情無改善,應用類固醇治療后癥狀消失,隨訪期內未再發,也未發現認知功能受損情況,有待遠期隨訪。
目前,LGI1 抗體腦炎仍未被廣泛認識。其臨床表現多變不一,頻繁發作的 FBDS、認知障礙、MRI 上顳葉內側異常、LGI1 抗體陽性是 LGI1 抗體腦炎的主要特征。FDBS 發作與起始治療的時間間隔以及認知能力下降是影響 LGI1 抗體腦炎預后的兩個主要因素。因此,快速臨床診斷和及時治療對改善患者的預后很重要。在臨床實踐中,從最初的特征性臨床表現結合影像學及其他臨床指標可以考慮自身免疫性腦炎的診斷,從而有利于臨床醫生在確認 LGI1 抗體陽性之前就開始進行經驗性免疫治療。本例患者以其早期反復出現的 FBDS 癥狀以及頭部 MRI 的異常信號可考慮診斷為自身免疫性腦炎,在腦脊液及血清抗體檢測結果未回前即開始進行經驗性免疫治療,預后良好,有待遠期隨訪。