引用本文: 陳智德, 曾俊莉, 柯明耀. 氬氦刀冷凍治療早期結節型非小細胞肺癌可行性觀察. 中國呼吸與危重監護雜志, 2022, 21(10): 710-714. doi: 10.7507/1671-6205.202206038 復制
盡管近年來肺癌防治取得了巨大進步,但全球肺癌的發病率仍居第二位,死亡率更是高居首位[1]。2022年國家癌癥中心發布了最新的全國癌癥統計數據,肺癌是我國發病率及死亡率最高的癌種,僅2016年肺癌死亡人數近65.7萬[2]。 早發現早干預有利于改善肺癌患者的生存率。非小細胞肺癌(non-small cell lung cancer,NSCLC)約占肺癌的85%,對于早期NSCLC,手術切除仍然是首選的治療方式。然而,僅有近1/3的Ⅰ~Ⅱ期NSCLC患者可以進行外科手術切除[3]。因此,心肺功能差或因基礎病而無法手術的患者亟需有效的治療手段。
近20年來,經皮影像引導下微創治療技術快速發展,主要包括射頻消融(radiofrequency ablation,RFA)、微波消融(microwave ablation,MWA)、冷凍消融(percutaneous cryoablation therapy,PCT)等。尤其是氬氦刀為代表的PCT技術,因具有術中可實時觀察冰球范圍、有效破壞腫瘤細胞,對周圍重要臟器損傷小等優點受到廣泛關注。氬氦刀越來越多的應用于早期肺癌的根治性消融及中晚期肺癌的姑息性消融[4-5]。本研究回顧性分析氬氦刀治療早期結節型肺癌的臨床療效及安全性,現報道如下。
1 資料與方法
1.1 臨床資料
回顧性分析2019年10月—2021年3月廈門醫學院附屬第二醫院接受氬氦刀冷凍治療的38例T1N0M0 NSCLC患者。納入標準:(1)病理確診為NSCLC;(2)根據TNM第8版分期為T1N0M0;( 3)因心肺功能或其他并存病等情況經包括胸外科在內多學科會診后考慮不適合手術切除或充分溝通后拒絕手術;(4)美國東部腫瘤協作組評分≤2分;5)隨訪超過6個月。排除標準:(1)嚴重肺纖維化;(2)難以控制的感染;(3)嚴重貧血、血小板減少、凝血功能異常等;(4)預計生存期短于3個月。治療前所有患者均簽署了手術治療知情同意書。
1.2 方法
1.2.1 主要設備
該研究所用超導冷凍消融系統、規格為1.7 mm及2.4 mm的直角超冷治療針均購自美國endocare公司。四排螺旋CT購自美國GE公司。
1.2.2 操作過程
根據腫瘤大小及形態選擇刀頭規格(1.7 mm或2.4 mm)及數量。根據病變部位輔助患者擺好相應體位,再用自制平行狀的金屬定位標尺緊貼于病變對應體表位置,行常規 CT掃描定位,根據掃描圖像確定穿刺層面、 穿刺點、及進針角度和深度。進針位置標記后,常規消毒鋪巾,2%利多卡因局部浸潤麻醉,再用尖刀于定位點切3 mm的皮膚切口,沿設定的穿刺路徑置入氬氦刀,再次掃描明確治療針的位置,必要時適當調整治療針的角度和深度。當氬氦刀到達瘤內合適位置后開始對病灶進行PCT。啟動超低溫手術系統, 啟動氬氣快速冷凍至 –138~–142 ℃,冷凍15 min后等待溫度自然升至–40 ℃,開始使用氦氣復溫至 18~20 ℃;2 min后啟動第2輪治療,持續冷凍15 min后復溫至18~20 ℃。術中注意監測患者生命體征,冷凍過程中每5 min重復CT掃描觀察病灶冰球大小及是否出現氣胸、出血等并發癥。完成2個冷凍治療循環后再次行CT掃描,觀察冰球覆蓋邊界是否充足。參考文獻報道及共識[6-7],設定冰球范圍需超出腫瘤邊界10 mm為完全消融。
1.2.3 隨訪及療效評價
術后1周復查胸部CT,查看是否有出血、氣胸等并發癥;并于第1、 3、6、12 個月復查胸部增強CT,記錄病灶大小、形態、強化情況等。此后每6個月復查胸部CT觀察病灶是否增大或出現新發病灶。因消融后早期消融區周圍的出血、水腫、滲出、炎性細胞的浸潤,使得消融后早期病變范圍顯著大于原病灶。其變化規律一般為消融后1個月內,CT表現為病灶增大;1~3個月病灶保持穩定或開始縮小,但仍可能大于治療前病灶[7]。因此,傳統的實體瘤療效評價RECIST標準,不適用于消融治療的療效評價。治療3個月后病灶有以下幾種演變:消失、纖維化瘢痕表現、空洞、結節、肺不張、增大。若3個月后病灶仍持續增大,或隨訪中出現強化部分大于治療前病灶提示腫瘤局部進展;若病灶較治療前縮小但仍有可測量病灶,則視為部分緩解;隨訪中病灶消失或呈纖維化瘢痕表現,則提示完全緩解。每6個月復查頭顱MRI、腹部CT等其他部位評估,1年復查骨掃描,必要時縮短復查時間間隔,一旦發現新發病灶或其他部位腫瘤轉移,提示腫瘤進展。收集術中、術后并發癥發生情況,以及處理措施、患者轉歸。
1.3 統計學方法
采用SPSS 26.0統計軟件。連續符合正態分布以均數±標準差(±s)表示,不符合正態分布則表示為中位數(最大值~最小值)。計數資料以百分比表示。Kaplan–Meier方法計算無進展生存。
2 結果
2.1 基線特征
納入的38例患者中男31例(81.6%),女7例(18.4%),平均年齡(70.1±10.5)歲。腺癌 24例(63.2%),鱗癌13例(34.2%),大細胞癌1例(2.6%),其中有3例因影像高度可疑惡性,多學科討論后術中同步活檢,病理均為腺癌。病灶位于左肺16例(左上肺13例,左下肺3例),位于右肺22例(右上肺12例,右中肺5例,右下肺5例)。術前胸部CT示病灶最大徑(1.8±0.7)cm。25例(65.8%)患者接受單針治療,而13例(34.2%)患者接受兩針治療。36例(94.7%)患者使用1.7 mm治療針,2例使用2.4 mm治療針。根據TNM第8版分期,T1a 6例,T1b 18例,T1c 14例。
2.2 可行性及療效
所有患者順利完成氬氦刀治療,術中冰球均覆蓋滿意,獲得完全消融,技術成功率100%。平均住院時間(3.7±1.6)d。術后1周消融后病變大小(4.2±0.8)cm,術后1個月(3.0±0.7)cm,術后3個月(1.8±0.8)cm,術后6個月(1.2±0.9)cm,術后12個月(0.7±0.9)cm。中位隨訪時間14.9(6.3~25.5)個月,隨訪期內有11例病灶完全緩解,1例病灶完全消失,10例病灶瘢痕化,僅存纖維條索影(圖1);23例病灶縮小;4例出現局部進展,局部控制率89.5%(圖2)。局部進展的4例患者中,1例在氬氦刀首次治療后6個月出現病灶進展,增強CT顯示強化結節明顯增大,再次行氬氦刀消融,治療后6個月病灶明顯縮小,但第二次治療后12個月復查時發現病灶再次進展,后續植入放射性125I粒子,截止最后一次隨訪病灶明顯縮小;另2例分別于18、24.6個月時發現病灶增大,再次氬氦刀治療,治療后病灶部分緩解,隨訪期內未發現進展;1例在治療后24.6個月時發現局部進展,并同時存在非消融部位新發病灶,患者拒絕進一步診治及隨訪。隨訪結果見表1。

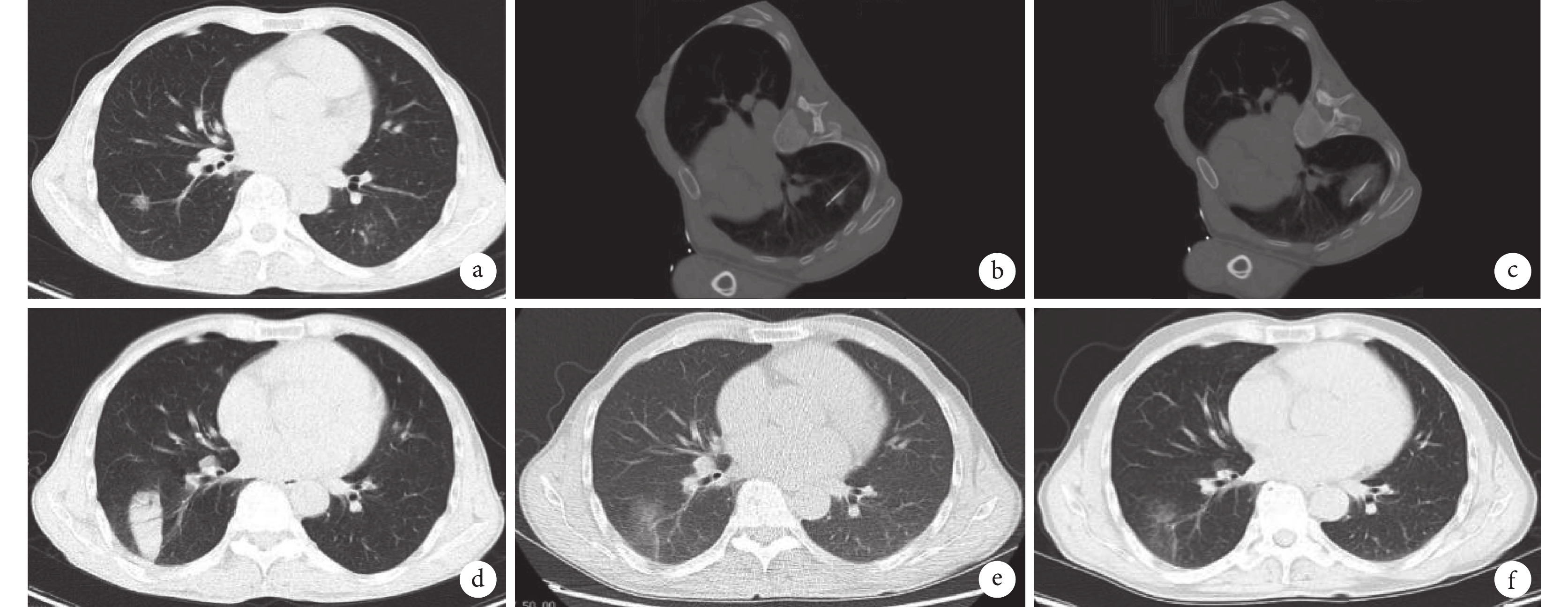
患者男,57歲,右下肺腺癌IA期T1bN0M0氬氦刀治療后病灶完全緩解。a. 治療前CT示右肺下葉結節,最大徑1.3 cm;b. 氬氦刀治療針置入病灶;c. 氬氦刀治療肺部結節,術中可見冰球形成;d. 氬氦刀治療1周后胸部CT示病變范圍明顯擴大;e. 氬氦刀治療后3個月病灶基本吸收,周圍部分滲出及纖維條索影;f. 氬氦刀治療23個月后,胸部CT示病灶完全吸收,殘留少量纖維條索影。


Kaplan–Meier生存分析顯示,1年無進展生存率96.7%,2年無進展生存率為87.9%(圖3a)。對比T1a-b及T1c的無進展生存,結果發現各亞組間差異無統計學意義(P=0.35)(圖3b)。隨訪期內未發生死亡事件。

a. 總無進展生存;b. T1a-b與T1c兩亞組的無進展生存對比。
2.3 安全性
操作過程中未發生嚴重并發癥,術中出現肺泡出血2例(5.3%);少量咯血1例(2.6%),予靜脈注射止血藥后未再咯血;氣胸2例(5.3%),均為少量氣胸,無需胸腔引流。術后并發癥:咳嗽加重3例(7.9%);氣胸3例(7.9%),僅1例需置管引流,少量咯血1例(2.6%),內科藥物止血后改善;未出現劇烈疼痛、發熱、大咯血、胸腔積液、血胸、低體溫等并發癥。
3 討論
外科手術仍然是早期NSCLC的標準治療方式。但仍有許多患者因心肺功能差,或其他并存病而失去手術機會。NCCN指南及ACCP指南均提出,對于不適合手術的I期NSCLC可考慮行局部消融治療[8-9]。經皮消融治因其微創的特性,在早期肺癌中的應用越來越多[5, 10]。本研究回顧性分析氬氦刀治療無法手術的T1N0M0 NSCLC,結果顯示氬氦刀可有效控制病灶,獲得較滿意的1、2年無復發生存,且未出現嚴重并發癥、術后恢復快。
應用于肺部腫瘤治療的主要經皮消融技術包括RFA、MWA和PCT。RFA是最早用于肺癌的消融技術,越來越多的證據表明它是無法手術的I期肺癌患者安全可行的治療選擇[11-12]。但其熱沉效應明顯,易受組織特性影響,消融范圍相對較小,且受消融部位影響大[13-14]。MWA相較于RFA阻抗小,可獲得更大消融面積,且消融時間更短,但其同RFA一樣,不適于靠近胸膜、重要臟器周圍病灶,而且因更高的能量應用具有更高的操作風險[15-17]。PCT中應用最廣泛的為氬氦刀,它通過高壓氬氣使組織迅速降溫至–140 ℃,再通過氦氣使組織升溫到20~40 ℃,溫度變化使得靶組織蛋白質變性、細胞裂解、組織缺血壞死等[15-16]。氬氦刀可達到與MWA相當的消融范圍,而且具有更好的保留細胞結構、對周圍組織損傷小、操作過程中可清晰觀察到消融邊界、疼痛癥狀輕等優點,使其被認為是極具潛力的消融治療技術[4, 18-19]。而且,對于較大、形態不規則病灶可采用多針幾何布針并通過調整功率可達到適形冷凍,使PCT的靶區更貼合病灶形態,冷凍效率更高[20]。對于局部復發進展的病灶,重復氬氦刀治療仍可獲益,且安全性高[18, 21]。Moore等[22] 報道了PCT治療早期肺癌的5年生存率為67.8%±15.3%,這與行肺葉切除及亞肺葉切除的5年生存率相當。但現已報道的PCT治療早期肺癌的數據有限,且均為小樣本回顧性研究,未來需要大樣本、前瞻性、長期隨訪的研究。
謹慎地選擇合適的病例是消融治療成功的基礎,尤其是作為根治性治療時需嚴格篩選患者。病灶大小是選擇患者時最重要的因素[23]。多項研究報道指出,病灶大小與消融效果有顯著的相關性,較一致的意見為<3 cm病灶消融效果好,可獲得完全消融[5, 24-25]。對于>3 cm的病灶,則需要多針、多次操作,這可能增加并發癥發生風險[10]。故此,本研究選擇<3 cm的T1病灶進行氬氦刀治療。術中冰球覆蓋范圍反映消融范圍,為達到完全消融,根據氬氦刀作用原理及文獻報道,消融邊界需超過病灶5~10 mm[6-7, 26-27]。因此,本研究以消融范圍超出病灶10 mm為標準,以達完全消融。本研究對3 cm以內病灶進行亞組分析,不同病灶大小的組間無進展生存未發現差異。這與Nomori等[28]報道的結果不一致,但需注意兩項研究的亞組設置不同、患者基線特征亦不相同,因此未來需要更多相關的研究探討。此外,病灶位置、降溫的速度、最低溫度持續的時間等因素均可能影響PCT的療效[5]。
消融治療療效評估較為復雜,因為靶病灶周圍常存在比如肺泡出血、壞死碎片、炎癥、水腫的急性期反應[29]。常用于實體腫瘤療效判斷的RECIST標準則不完全適合消融治療,主要因為個體對消融治療反應時間差異大,影像表現多樣。治療后1個月內胸部CT常顯示消融病變范圍大于治療前病灶的暫時性增大現象。這與本研究觀察到的病變變化一致。而且,有少數病例這種現象甚至可持續到治療后6個月[30-31]。Ito等[29]觀察PCT治療后消融范圍的CT影像,動態評估其大小、形態、強化情況等CT特征。結果發現,對比治療前影像,治療后即刻可見消融范圍增大,至消融后1個月病變范圍開始縮小,1~3個月時可見病變范圍快速縮小,6個月之后病灶縮小速度開始變慢。這與我們的研究結果及既往的一些研究報道一致[27, 32]。Ito等[29]的研究將消融后形態分為5類:實變或不張、結節、條索、胸膜增厚、消失。他們指出完全消融病灶的典型演變過程為消融區域1周內多表現為實變、不張,后續病灶開始呈現條索化,進而逐漸不明顯甚至消失。如果隨訪中病變形態由條索狀轉變為結節狀,則提示病灶復發進展。增強CT進行隨訪時,治療3個月內無論是病變內強化還是邊緣強化均與局部進展無直接關系。但治療6個月后的出現病灶內強化則提示局部復發進展。正電子發射斷層成像聯合CT對于判斷療效似乎更有幫助,但也需注意其局限性,尤其對于治療早期,局部炎癥反應可能導致假陽性[32]。
綜上所述,氬氦刀PCT技術安全可行,局部控制率高,為不適合外科手術的早期NSCLC患者提供有利的治療選擇。未來需要多中心、前瞻性、大樣本的長期研究進一步驗證其臨床價值。
利益沖突:本研究不涉及任何利益沖突。
盡管近年來肺癌防治取得了巨大進步,但全球肺癌的發病率仍居第二位,死亡率更是高居首位[1]。2022年國家癌癥中心發布了最新的全國癌癥統計數據,肺癌是我國發病率及死亡率最高的癌種,僅2016年肺癌死亡人數近65.7萬[2]。 早發現早干預有利于改善肺癌患者的生存率。非小細胞肺癌(non-small cell lung cancer,NSCLC)約占肺癌的85%,對于早期NSCLC,手術切除仍然是首選的治療方式。然而,僅有近1/3的Ⅰ~Ⅱ期NSCLC患者可以進行外科手術切除[3]。因此,心肺功能差或因基礎病而無法手術的患者亟需有效的治療手段。
近20年來,經皮影像引導下微創治療技術快速發展,主要包括射頻消融(radiofrequency ablation,RFA)、微波消融(microwave ablation,MWA)、冷凍消融(percutaneous cryoablation therapy,PCT)等。尤其是氬氦刀為代表的PCT技術,因具有術中可實時觀察冰球范圍、有效破壞腫瘤細胞,對周圍重要臟器損傷小等優點受到廣泛關注。氬氦刀越來越多的應用于早期肺癌的根治性消融及中晚期肺癌的姑息性消融[4-5]。本研究回顧性分析氬氦刀治療早期結節型肺癌的臨床療效及安全性,現報道如下。
1 資料與方法
1.1 臨床資料
回顧性分析2019年10月—2021年3月廈門醫學院附屬第二醫院接受氬氦刀冷凍治療的38例T1N0M0 NSCLC患者。納入標準:(1)病理確診為NSCLC;(2)根據TNM第8版分期為T1N0M0;( 3)因心肺功能或其他并存病等情況經包括胸外科在內多學科會診后考慮不適合手術切除或充分溝通后拒絕手術;(4)美國東部腫瘤協作組評分≤2分;5)隨訪超過6個月。排除標準:(1)嚴重肺纖維化;(2)難以控制的感染;(3)嚴重貧血、血小板減少、凝血功能異常等;(4)預計生存期短于3個月。治療前所有患者均簽署了手術治療知情同意書。
1.2 方法
1.2.1 主要設備
該研究所用超導冷凍消融系統、規格為1.7 mm及2.4 mm的直角超冷治療針均購自美國endocare公司。四排螺旋CT購自美國GE公司。
1.2.2 操作過程
根據腫瘤大小及形態選擇刀頭規格(1.7 mm或2.4 mm)及數量。根據病變部位輔助患者擺好相應體位,再用自制平行狀的金屬定位標尺緊貼于病變對應體表位置,行常規 CT掃描定位,根據掃描圖像確定穿刺層面、 穿刺點、及進針角度和深度。進針位置標記后,常規消毒鋪巾,2%利多卡因局部浸潤麻醉,再用尖刀于定位點切3 mm的皮膚切口,沿設定的穿刺路徑置入氬氦刀,再次掃描明確治療針的位置,必要時適當調整治療針的角度和深度。當氬氦刀到達瘤內合適位置后開始對病灶進行PCT。啟動超低溫手術系統, 啟動氬氣快速冷凍至 –138~–142 ℃,冷凍15 min后等待溫度自然升至–40 ℃,開始使用氦氣復溫至 18~20 ℃;2 min后啟動第2輪治療,持續冷凍15 min后復溫至18~20 ℃。術中注意監測患者生命體征,冷凍過程中每5 min重復CT掃描觀察病灶冰球大小及是否出現氣胸、出血等并發癥。完成2個冷凍治療循環后再次行CT掃描,觀察冰球覆蓋邊界是否充足。參考文獻報道及共識[6-7],設定冰球范圍需超出腫瘤邊界10 mm為完全消融。
1.2.3 隨訪及療效評價
術后1周復查胸部CT,查看是否有出血、氣胸等并發癥;并于第1、 3、6、12 個月復查胸部增強CT,記錄病灶大小、形態、強化情況等。此后每6個月復查胸部CT觀察病灶是否增大或出現新發病灶。因消融后早期消融區周圍的出血、水腫、滲出、炎性細胞的浸潤,使得消融后早期病變范圍顯著大于原病灶。其變化規律一般為消融后1個月內,CT表現為病灶增大;1~3個月病灶保持穩定或開始縮小,但仍可能大于治療前病灶[7]。因此,傳統的實體瘤療效評價RECIST標準,不適用于消融治療的療效評價。治療3個月后病灶有以下幾種演變:消失、纖維化瘢痕表現、空洞、結節、肺不張、增大。若3個月后病灶仍持續增大,或隨訪中出現強化部分大于治療前病灶提示腫瘤局部進展;若病灶較治療前縮小但仍有可測量病灶,則視為部分緩解;隨訪中病灶消失或呈纖維化瘢痕表現,則提示完全緩解。每6個月復查頭顱MRI、腹部CT等其他部位評估,1年復查骨掃描,必要時縮短復查時間間隔,一旦發現新發病灶或其他部位腫瘤轉移,提示腫瘤進展。收集術中、術后并發癥發生情況,以及處理措施、患者轉歸。
1.3 統計學方法
采用SPSS 26.0統計軟件。連續符合正態分布以均數±標準差(±s)表示,不符合正態分布則表示為中位數(最大值~最小值)。計數資料以百分比表示。Kaplan–Meier方法計算無進展生存。
2 結果
2.1 基線特征
納入的38例患者中男31例(81.6%),女7例(18.4%),平均年齡(70.1±10.5)歲。腺癌 24例(63.2%),鱗癌13例(34.2%),大細胞癌1例(2.6%),其中有3例因影像高度可疑惡性,多學科討論后術中同步活檢,病理均為腺癌。病灶位于左肺16例(左上肺13例,左下肺3例),位于右肺22例(右上肺12例,右中肺5例,右下肺5例)。術前胸部CT示病灶最大徑(1.8±0.7)cm。25例(65.8%)患者接受單針治療,而13例(34.2%)患者接受兩針治療。36例(94.7%)患者使用1.7 mm治療針,2例使用2.4 mm治療針。根據TNM第8版分期,T1a 6例,T1b 18例,T1c 14例。
2.2 可行性及療效
所有患者順利完成氬氦刀治療,術中冰球均覆蓋滿意,獲得完全消融,技術成功率100%。平均住院時間(3.7±1.6)d。術后1周消融后病變大小(4.2±0.8)cm,術后1個月(3.0±0.7)cm,術后3個月(1.8±0.8)cm,術后6個月(1.2±0.9)cm,術后12個月(0.7±0.9)cm。中位隨訪時間14.9(6.3~25.5)個月,隨訪期內有11例病灶完全緩解,1例病灶完全消失,10例病灶瘢痕化,僅存纖維條索影(圖1);23例病灶縮小;4例出現局部進展,局部控制率89.5%(圖2)。局部進展的4例患者中,1例在氬氦刀首次治療后6個月出現病灶進展,增強CT顯示強化結節明顯增大,再次行氬氦刀消融,治療后6個月病灶明顯縮小,但第二次治療后12個月復查時發現病灶再次進展,后續植入放射性125I粒子,截止最后一次隨訪病灶明顯縮小;另2例分別于18、24.6個月時發現病灶增大,再次氬氦刀治療,治療后病灶部分緩解,隨訪期內未發現進展;1例在治療后24.6個月時發現局部進展,并同時存在非消融部位新發病灶,患者拒絕進一步診治及隨訪。隨訪結果見表1。

患者男,57歲,右下肺腺癌IA期T1bN0M0氬氦刀治療后病灶完全緩解。a. 治療前CT示右肺下葉結節,最大徑1.3 cm;b. 氬氦刀治療針置入病灶;c. 氬氦刀治療肺部結節,術中可見冰球形成;d. 氬氦刀治療1周后胸部CT示病變范圍明顯擴大;e. 氬氦刀治療后3個月病灶基本吸收,周圍部分滲出及纖維條索影;f. 氬氦刀治療23個月后,胸部CT示病灶完全吸收,殘留少量纖維條索影。


Kaplan–Meier生存分析顯示,1年無進展生存率96.7%,2年無進展生存率為87.9%(圖3a)。對比T1a-b及T1c的無進展生存,結果發現各亞組間差異無統計學意義(P=0.35)(圖3b)。隨訪期內未發生死亡事件。

a. 總無進展生存;b. T1a-b與T1c兩亞組的無進展生存對比。
2.3 安全性
操作過程中未發生嚴重并發癥,術中出現肺泡出血2例(5.3%);少量咯血1例(2.6%),予靜脈注射止血藥后未再咯血;氣胸2例(5.3%),均為少量氣胸,無需胸腔引流。術后并發癥:咳嗽加重3例(7.9%);氣胸3例(7.9%),僅1例需置管引流,少量咯血1例(2.6%),內科藥物止血后改善;未出現劇烈疼痛、發熱、大咯血、胸腔積液、血胸、低體溫等并發癥。
3 討論
外科手術仍然是早期NSCLC的標準治療方式。但仍有許多患者因心肺功能差,或其他并存病而失去手術機會。NCCN指南及ACCP指南均提出,對于不適合手術的I期NSCLC可考慮行局部消融治療[8-9]。經皮消融治因其微創的特性,在早期肺癌中的應用越來越多[5, 10]。本研究回顧性分析氬氦刀治療無法手術的T1N0M0 NSCLC,結果顯示氬氦刀可有效控制病灶,獲得較滿意的1、2年無復發生存,且未出現嚴重并發癥、術后恢復快。
應用于肺部腫瘤治療的主要經皮消融技術包括RFA、MWA和PCT。RFA是最早用于肺癌的消融技術,越來越多的證據表明它是無法手術的I期肺癌患者安全可行的治療選擇[11-12]。但其熱沉效應明顯,易受組織特性影響,消融范圍相對較小,且受消融部位影響大[13-14]。MWA相較于RFA阻抗小,可獲得更大消融面積,且消融時間更短,但其同RFA一樣,不適于靠近胸膜、重要臟器周圍病灶,而且因更高的能量應用具有更高的操作風險[15-17]。PCT中應用最廣泛的為氬氦刀,它通過高壓氬氣使組織迅速降溫至–140 ℃,再通過氦氣使組織升溫到20~40 ℃,溫度變化使得靶組織蛋白質變性、細胞裂解、組織缺血壞死等[15-16]。氬氦刀可達到與MWA相當的消融范圍,而且具有更好的保留細胞結構、對周圍組織損傷小、操作過程中可清晰觀察到消融邊界、疼痛癥狀輕等優點,使其被認為是極具潛力的消融治療技術[4, 18-19]。而且,對于較大、形態不規則病灶可采用多針幾何布針并通過調整功率可達到適形冷凍,使PCT的靶區更貼合病灶形態,冷凍效率更高[20]。對于局部復發進展的病灶,重復氬氦刀治療仍可獲益,且安全性高[18, 21]。Moore等[22] 報道了PCT治療早期肺癌的5年生存率為67.8%±15.3%,這與行肺葉切除及亞肺葉切除的5年生存率相當。但現已報道的PCT治療早期肺癌的數據有限,且均為小樣本回顧性研究,未來需要大樣本、前瞻性、長期隨訪的研究。
謹慎地選擇合適的病例是消融治療成功的基礎,尤其是作為根治性治療時需嚴格篩選患者。病灶大小是選擇患者時最重要的因素[23]。多項研究報道指出,病灶大小與消融效果有顯著的相關性,較一致的意見為<3 cm病灶消融效果好,可獲得完全消融[5, 24-25]。對于>3 cm的病灶,則需要多針、多次操作,這可能增加并發癥發生風險[10]。故此,本研究選擇<3 cm的T1病灶進行氬氦刀治療。術中冰球覆蓋范圍反映消融范圍,為達到完全消融,根據氬氦刀作用原理及文獻報道,消融邊界需超過病灶5~10 mm[6-7, 26-27]。因此,本研究以消融范圍超出病灶10 mm為標準,以達完全消融。本研究對3 cm以內病灶進行亞組分析,不同病灶大小的組間無進展生存未發現差異。這與Nomori等[28]報道的結果不一致,但需注意兩項研究的亞組設置不同、患者基線特征亦不相同,因此未來需要更多相關的研究探討。此外,病灶位置、降溫的速度、最低溫度持續的時間等因素均可能影響PCT的療效[5]。
消融治療療效評估較為復雜,因為靶病灶周圍常存在比如肺泡出血、壞死碎片、炎癥、水腫的急性期反應[29]。常用于實體腫瘤療效判斷的RECIST標準則不完全適合消融治療,主要因為個體對消融治療反應時間差異大,影像表現多樣。治療后1個月內胸部CT常顯示消融病變范圍大于治療前病灶的暫時性增大現象。這與本研究觀察到的病變變化一致。而且,有少數病例這種現象甚至可持續到治療后6個月[30-31]。Ito等[29]觀察PCT治療后消融范圍的CT影像,動態評估其大小、形態、強化情況等CT特征。結果發現,對比治療前影像,治療后即刻可見消融范圍增大,至消融后1個月病變范圍開始縮小,1~3個月時可見病變范圍快速縮小,6個月之后病灶縮小速度開始變慢。這與我們的研究結果及既往的一些研究報道一致[27, 32]。Ito等[29]的研究將消融后形態分為5類:實變或不張、結節、條索、胸膜增厚、消失。他們指出完全消融病灶的典型演變過程為消融區域1周內多表現為實變、不張,后續病灶開始呈現條索化,進而逐漸不明顯甚至消失。如果隨訪中病變形態由條索狀轉變為結節狀,則提示病灶復發進展。增強CT進行隨訪時,治療3個月內無論是病變內強化還是邊緣強化均與局部進展無直接關系。但治療6個月后的出現病灶內強化則提示局部復發進展。正電子發射斷層成像聯合CT對于判斷療效似乎更有幫助,但也需注意其局限性,尤其對于治療早期,局部炎癥反應可能導致假陽性[32]。
綜上所述,氬氦刀PCT技術安全可行,局部控制率高,為不適合外科手術的早期NSCLC患者提供有利的治療選擇。未來需要多中心、前瞻性、大樣本的長期研究進一步驗證其臨床價值。
利益沖突:本研究不涉及任何利益沖突。