引用本文: 向天新, 劉家明, 許飛, 程娜, 劉洋, 錢克儉, 張偉. 江西地區 49 例新型冠狀病毒肺炎患者臨床特征分析. 中國呼吸與危重監護雜志, 2020, 19(2): 154-160. doi: 10.7507/1671-6205.202002070 復制
2019 年 12 月,湖北省武漢市暴發了新型冠狀病毒肺炎(簡稱新冠肺炎),并迅速蔓延至全國各省市。其病原體是一種先前未在人類發現的新型冠狀病毒(SARS-CoV-2),世界衛生組織于 2020 年 2 月 11 日將其命名為 coronavirus disease 2019,縮寫為 COVID-19。新冠肺炎初期主要表現為發熱、干咳、乏力,進而出現呼吸困難,嚴重者可進展為急性呼吸窘迫綜合征或膿毒性休克,甚至死亡[1]。截止 2 月 10 日,全國累計報道確診病例 3 萬余例,累計死亡病例 1 千余例,死亡率為 2.7%。
我院作為江西省新冠肺炎患者定點收治醫院,收治了全省最早一批發病的新冠肺炎患者。自 2020 年 1 月 21 日收治首例新冠肺炎病例,至 1 月 27 日首例患者治愈出院。為分析我院早期收治的新冠肺炎病例特點,為江西地區新冠肺炎疫情的防控提供參考,我們收集了 2020 年 1 月 21 至 27 日在我院住院治療新冠肺炎的臨床資料,對比分析了普通型和重型/危重型患者的臨床特征,報告如下。
1 資料和方法
1.1 一般資料
2020 年 1 月 21 至 27 日,我院總共收治 49 例新冠肺炎患者。其中男 33 例,女 16 例,年齡 18~78 歲。46 例(93.9%)患者有明確的武漢旅居史或武漢人員接觸史。
1.2 診斷標準
根據國家衛健委頒布的《新型冠狀病毒感染的肺炎診療方案(試行第四版)》關于新冠肺炎診斷標準:(1)有流行病學接觸史;(2)具備相應的臨床表現:發熱;有肺炎影像學特征;發病早期白細胞總數正常或降低,或淋巴細胞計數減少;(3)具備以下病原學證據:① 呼吸道標本或血液標本實時熒光 RT-PCR 檢測 SARS-CoV-2 核酸陽性;② 呼吸道標本或血液標本病毒基因測序,與已知的 SARS-CoV-2 高度同源[2]。按其中的臨床分型方法,依據患者病情嚴重程度分為普通型、重型、危重型三類。本院所有確診病例均采用咽拭子核酸檢測為陽性。
1.3 觀察指標
所有患者入院后均詳細詢問流行病學接觸史、發病癥狀及病情演變。入院后完善血常規、尿常規、大便常規、肝腎功能、電解質、心肌酶、紅細胞沉降率(erythrocyte sedimentation,ESR)、C 反應蛋白(C-reactive protein,CRP)、降鈣素、凝血、T 細胞亞群等實驗室檢查;胸部 CT。對比分析普通型與重型/危重型患者的臨床特征。
1.4 統計學方法
采用 SPSS 19.0 統計軟件。計量資料以均數±標準差(
±s)表示,兩組比較采用 t 檢驗;計數資料采用例數(%)的形式表示,兩組比較采用 χ2 檢驗。P<0.05 為差異有統計學意義。
2 結果
2.1 一般資料特點
49 例患者中,普通型患者 40 例,重型/危重型患者 9 例。男女性別比為 2.06∶1,平均年齡 42.9 歲。平均發病潛伏期為 4.7 d。首發癥狀以發熱(78.7%)、咳嗽(38.8%)、乏力(18.4%)為主,部分患者有畏寒(16.3%)、咽痛/咽部不適(14.9%)、頭痛/頭暈(12.2%)、腹瀉(4.1%)等癥狀。3 例患者入院時無明顯癥狀,僅因感染患者接觸史來就診,因病毒核酸檢測陽性收入院。癥狀持續時間平均為 6.7 d。6.1%(3 例)的患者有吸煙史,28.6%(14 例)的患者合并有高血壓、糖尿病等內科疾病(表 1)。
)
重型/危重型與普通型患者相比,平均年齡更大(重型/危重型:53.0 歲,普通型:40.6 歲,P=0.023);就診前癥狀持續時間更長(重型/危重型:9.1 d,普通型:5.9 d,P=0.002);而入院平均舒張壓更低[重型/危重型:69.1 mm Hg,普通型:80.7 mm Hg,P=0.013)]。此外,重型/危重型患者內科合并癥的比例為 66.7%,明顯高于普通型患者(20.0%),差異有統計學意義(表 1)。
2.2 實驗室檢查特點
實驗室檢查方面,確診病例普遍出現了淋巴細胞計數下降、鈣離子濃度降低;乳酸脫氫酶、ESR、CRP、血清淀粉樣蛋白 A 升高;而 T 淋巴細胞亞群(CD3+、CD4+、CD8+)明顯下降。部分患者出現了白細胞、中性粒細胞計數、膽紅素和轉氨酶的升高。但降鈣素、凝血功能無明顯改變(表 2、3)。
)
)
與普通型患者相比,重型/危重型患者入院時白細胞計數(P=0.039)和中性粒細胞計數(P=0.014)明顯升高;白蛋白(P<0.001)、鈣離子濃度(P=0.001)顯著降低;乳酸脫氫酶顯著升高(P<0.001);ESR(P=0.001)、CRP(P=0.010)和血清淀粉樣蛋白 A(P=0.040)明顯升高;而 CD3+(P<0.001)、CD4+(P=0.012)、CD8+(P=0.006)均顯著下降。上述數值對比,差異均具有統計學意義(表 2、3)。
此外,ABO 血型在感染患者中也存在明顯差異。統計發現,患者中 A 型血的占比最高(48.9%),明顯高于 B 型(24.4%)、O 型(24.4%)和 AB 型(2.2%)患者,但差異無統計學意義(表 1)。
2.3 肺部 CT 特征
49 例患者中,47 例(95.9%)出現了單發或散在多發的斑片狀磨玻璃密度影(圖 1),部分患者出現了實變影和支氣管充氣征等,以中下葉胸膜下為著。病灶累及范圍廣,平均累及 2.8 個肺葉。2 例(4.1%)患者入院時肺部無明顯表現,但在病情進展過程中逐漸出現了斑片狀磨玻璃樣改變(圖 2)。重型/危重型患者與普通型患者相比,肺部 CT 顯示病灶范圍更廣(平均累及 3.4 個肺葉)(圖 3),但差異無統計學意義(P=0.253)。
圖1
新冠肺炎患者胸部 CT 檢查像
女性,43 歲,發熱 1 d 入院。雙肺可見斑片狀磨玻璃密度影
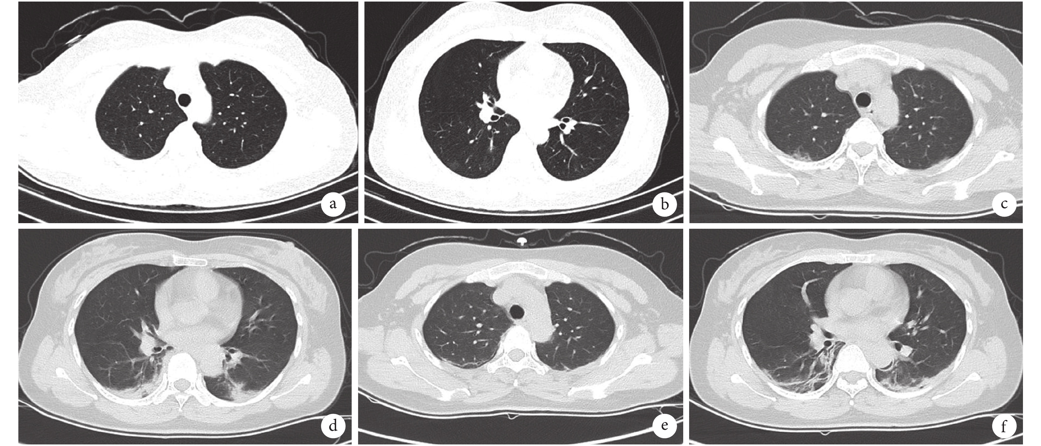
圖2
新冠肺炎患者胸部 CT 檢查像
女性,37 歲,發熱、乏力 6 d 入院。入院時,雙肺散在斑片狀滲出影(a、b);入院第 5 天,雙肺可見斑片狀滲出影(c、d);入院第 9 天,雙肺 CT 提示條索狀改變(e、f)
圖3
危重型新冠肺炎患者胸部 CT 檢查像
男性,55 歲,因咳嗽、咳痰、發熱 12 d,呼吸困難 2 d 入院。雙肺多發斑片狀高密度影
3 討論
自 2019 年 12 月武漢暴發新冠肺炎,疫情迅速播散至全國各省世界各地,并被世界衛生組織列為國際關注的突發公共衛生事件。目前研究已經明確,引起此次疫情的是一種新型的冠狀病毒,SARS-CoV-2。冠狀病毒屬于單股正鏈 RNA 病毒。目前已知的冠狀病毒有 6 種[3-4],包括 HCoV-229E、HCoV-OC43、SARSr-CoV、HCoV-NL63、HCoV-HKU1 和 MERSr-CoV。而本次武漢暴發的肺炎,其病原體是一種屬于 β 屬的 SARS-CoV-2,屬于第 7 種[5]。研究顯示,SARS-CoV-2 與蝙蝠 SARS 樣冠狀病毒(bat-SL-CoVZC45)同源性達 85% 以上[2]。
SARS-CoV-2 具有明顯的傳染性,可通過呼吸道飛沫和接觸發生人際傳播,人群普遍易感。流行病學調查顯示,新冠肺炎的潛伏期一般為 3~7 d,最長不超過 14 d[6]。與 SARS 不同之處在于,新冠肺炎在潛伏期也具有傳染性[7]。Chan 等[8]通過對一個旅居武漢的家庭 6 人聚集性發病的流行病學調查,證實了新冠肺炎可在醫院和家庭環境中發生人際傳播。
Huang 等[9]于 1 月 24 日首次報道了武漢金銀潭醫院收治的 41 例新冠肺炎患者的臨床特征、實驗室檢查和影像學特點,同時比較了普通患者和轉入重癥加強治療病房(intensive care unit,ICU)患者的臨床特征。研究結果顯示,73% 的感染者為男性,32% 的患者合并有基礎疾病,中位年齡為 49 歲。發病最常見的臨床癥狀為發熱(98%)、咳嗽(76%)和肌痛/乏力(44%)。63% 的患者出現淋巴細胞計數減少。所有患者胸部 CT 均出表現異常。進一步分析顯示,與普通患者相比,轉入 ICU 患者的白細胞介素(interleukin,IL)-2、IL-7、IL-10、粒細胞集落刺激因子、干擾素 γ 誘導蛋白 10、單核細胞趨化蛋白-1、巨噬細胞炎性蛋白 1α 和腫瘤壞死因子 α 等細胞因子和炎癥因子明顯升高。
隨后,Chen 等[10]于 1 月 30 日再次報道了 99 例在武漢金銀潭醫院住院治療的新冠肺炎患者的臨床特征和流行病學。結果發現,各年齡段均可發病,平均年齡為 55.5 歲。51% 的患者具有慢性基礎疾病,有合并癥的中老年患者更易感 SARS-CoV-2。臨床癥狀方面,發熱(83%)、咳嗽(82%)、氣短(31%)為最常見的癥狀。胸部 CT 顯示,75% 的患者出現了雙肺的炎性改變,表現為多葉段的高密度小斑片影和磨玻璃影。實驗室檢查提示,98% 的患者出現血清白蛋白降低,35% 的患者淋巴細胞絕對數降低,且淋巴細胞降低的患者預后較差。
近日,武漢大學中南醫院的 Wang 等[11]分析了該院收治的 138 例新冠肺炎患者的臨床資料,發現 54.3% 的患者為男性,中位年齡為 56 歲。常見癥狀為發熱(98.6%)、乏力(69.6%)和干咳(59.4%)。41.3% 的患者為院內感染發病,包括 40 例醫務工作者。58% 的患者凝血酶原時間延長;39.9% 的患者乳酸脫氫酶升高。26.1% 的患者轉入 ICU 治療。從首次出現癥狀到呼吸困難的中位時間為 5.0 d。與普通患者相比,ICU 的患者年齡更大,更容易出現并發癥(72.2%)。
上述文獻報道的均是武漢疫區新冠肺炎患者的臨床特征和流行病學特點,而對于武漢地位以外其他省市發生的新冠肺炎臨床特征文獻報道較少。為此,我們分析了我院收治的江西地區首批新冠肺炎臨床資料和流行病學。
本組 49 例患者中,93.9% 的患者有明確的武漢旅居史或武漢人員接觸史,說明江西地區的新冠肺炎感染者主要是由武漢輸入為主。與上述文獻報道相似,江西地區新冠肺炎患者也是男性居多(67.3%)。患者平均年齡為 42.9 歲,說明年輕患者增多,各年齡段均對病毒易感。本組患者發病癥狀也以發熱、咳嗽、乏力最多見,但有 3 例患者入院時無癥狀,而病毒核酸檢測陽性,提示部分患者發病早期無癥狀,是潛在的傳播源,需做好隔離。同樣,本組患者也出現了淋巴細胞計數下降;乳酸脫氫酶、ESR、CRP 升高。與文獻報道不同之處在于,本組患者血清鈣離子濃度下降、T 淋巴細胞亞群(CD3+、CD4+、CD8+)明顯降低,提示 SARS-CoV-2 造成的淋巴細胞較少,主要是消耗 T 淋巴細胞亞群。此外,我們發現本組患者中,A 型血的占比高達 48.9%,提示 A 型血患者可能更易感 SARS-CoV-2。影像學方面,本組患者的肺部表現與文獻報道相似,但發病時以多肺葉受累為主,平均累及 2.8 個肺葉。另外,2 例患者入院時肺部無異常表現,提示部分新冠肺炎早期肺部損害不明顯,應注意避免漏診。
進一步比較普通型肺炎和重型/危重型肺炎患者臨床資料發現,重型/危重型患者年齡更大、就診時間更晚、內科合并癥更多,提示這類患者更容易進展為重型/危重型肺炎。此外,本組重型/危重型肺炎患者白細胞計數、中性粒細胞計數、ESR、CRP 升高更為明顯(P<0.05),提示重型/危重型患者全身炎癥反應更為劇烈,治療中需注意加強抗炎治療。影像學方面,普通型和重型/危重型肺部病灶受累范圍都很廣,提示新冠肺炎早期即可造成多肺炎損傷。
綜上所述,江西地區首批發病的新冠肺炎以武漢輸入為主。發病男性居多,癥狀以發熱、咳嗽、乏力為主,部分患者可無癥狀。實驗室檢查可見淋巴細胞計數下降;乳酸脫氫酶、ESR、CRP 升高;同時血清鈣離子濃度和 T 淋巴細胞亞群(CD3+、CD4+、CD8+)明顯降低。肺部表現早期多肺葉受累,部分患者早期肺部無表現。重型/危重型患者年齡更大、就診時間更晚、內科合并癥更多、全身炎癥反應更為劇烈。
利益沖突:本研究不涉及任何利益沖突。
2019 年 12 月,湖北省武漢市暴發了新型冠狀病毒肺炎(簡稱新冠肺炎),并迅速蔓延至全國各省市。其病原體是一種先前未在人類發現的新型冠狀病毒(SARS-CoV-2),世界衛生組織于 2020 年 2 月 11 日將其命名為 coronavirus disease 2019,縮寫為 COVID-19。新冠肺炎初期主要表現為發熱、干咳、乏力,進而出現呼吸困難,嚴重者可進展為急性呼吸窘迫綜合征或膿毒性休克,甚至死亡[1]。截止 2 月 10 日,全國累計報道確診病例 3 萬余例,累計死亡病例 1 千余例,死亡率為 2.7%。
我院作為江西省新冠肺炎患者定點收治醫院,收治了全省最早一批發病的新冠肺炎患者。自 2020 年 1 月 21 日收治首例新冠肺炎病例,至 1 月 27 日首例患者治愈出院。為分析我院早期收治的新冠肺炎病例特點,為江西地區新冠肺炎疫情的防控提供參考,我們收集了 2020 年 1 月 21 至 27 日在我院住院治療新冠肺炎的臨床資料,對比分析了普通型和重型/危重型患者的臨床特征,報告如下。
1 資料和方法
1.1 一般資料
2020 年 1 月 21 至 27 日,我院總共收治 49 例新冠肺炎患者。其中男 33 例,女 16 例,年齡 18~78 歲。46 例(93.9%)患者有明確的武漢旅居史或武漢人員接觸史。
1.2 診斷標準
根據國家衛健委頒布的《新型冠狀病毒感染的肺炎診療方案(試行第四版)》關于新冠肺炎診斷標準:(1)有流行病學接觸史;(2)具備相應的臨床表現:發熱;有肺炎影像學特征;發病早期白細胞總數正常或降低,或淋巴細胞計數減少;(3)具備以下病原學證據:① 呼吸道標本或血液標本實時熒光 RT-PCR 檢測 SARS-CoV-2 核酸陽性;② 呼吸道標本或血液標本病毒基因測序,與已知的 SARS-CoV-2 高度同源[2]。按其中的臨床分型方法,依據患者病情嚴重程度分為普通型、重型、危重型三類。本院所有確診病例均采用咽拭子核酸檢測為陽性。
1.3 觀察指標
所有患者入院后均詳細詢問流行病學接觸史、發病癥狀及病情演變。入院后完善血常規、尿常規、大便常規、肝腎功能、電解質、心肌酶、紅細胞沉降率(erythrocyte sedimentation,ESR)、C 反應蛋白(C-reactive protein,CRP)、降鈣素、凝血、T 細胞亞群等實驗室檢查;胸部 CT。對比分析普通型與重型/危重型患者的臨床特征。
1.4 統計學方法
采用 SPSS 19.0 統計軟件。計量資料以均數±標準差(
±s)表示,兩組比較采用 t 檢驗;計數資料采用例數(%)的形式表示,兩組比較采用 χ2 檢驗。P<0.05 為差異有統計學意義。
2 結果
2.1 一般資料特點
49 例患者中,普通型患者 40 例,重型/危重型患者 9 例。男女性別比為 2.06∶1,平均年齡 42.9 歲。平均發病潛伏期為 4.7 d。首發癥狀以發熱(78.7%)、咳嗽(38.8%)、乏力(18.4%)為主,部分患者有畏寒(16.3%)、咽痛/咽部不適(14.9%)、頭痛/頭暈(12.2%)、腹瀉(4.1%)等癥狀。3 例患者入院時無明顯癥狀,僅因感染患者接觸史來就診,因病毒核酸檢測陽性收入院。癥狀持續時間平均為 6.7 d。6.1%(3 例)的患者有吸煙史,28.6%(14 例)的患者合并有高血壓、糖尿病等內科疾病(表 1)。
)
重型/危重型與普通型患者相比,平均年齡更大(重型/危重型:53.0 歲,普通型:40.6 歲,P=0.023);就診前癥狀持續時間更長(重型/危重型:9.1 d,普通型:5.9 d,P=0.002);而入院平均舒張壓更低[重型/危重型:69.1 mm Hg,普通型:80.7 mm Hg,P=0.013)]。此外,重型/危重型患者內科合并癥的比例為 66.7%,明顯高于普通型患者(20.0%),差異有統計學意義(表 1)。
2.2 實驗室檢查特點
實驗室檢查方面,確診病例普遍出現了淋巴細胞計數下降、鈣離子濃度降低;乳酸脫氫酶、ESR、CRP、血清淀粉樣蛋白 A 升高;而 T 淋巴細胞亞群(CD3+、CD4+、CD8+)明顯下降。部分患者出現了白細胞、中性粒細胞計數、膽紅素和轉氨酶的升高。但降鈣素、凝血功能無明顯改變(表 2、3)。
)
)
與普通型患者相比,重型/危重型患者入院時白細胞計數(P=0.039)和中性粒細胞計數(P=0.014)明顯升高;白蛋白(P<0.001)、鈣離子濃度(P=0.001)顯著降低;乳酸脫氫酶顯著升高(P<0.001);ESR(P=0.001)、CRP(P=0.010)和血清淀粉樣蛋白 A(P=0.040)明顯升高;而 CD3+(P<0.001)、CD4+(P=0.012)、CD8+(P=0.006)均顯著下降。上述數值對比,差異均具有統計學意義(表 2、3)。
此外,ABO 血型在感染患者中也存在明顯差異。統計發現,患者中 A 型血的占比最高(48.9%),明顯高于 B 型(24.4%)、O 型(24.4%)和 AB 型(2.2%)患者,但差異無統計學意義(表 1)。
2.3 肺部 CT 特征
49 例患者中,47 例(95.9%)出現了單發或散在多發的斑片狀磨玻璃密度影(圖 1),部分患者出現了實變影和支氣管充氣征等,以中下葉胸膜下為著。病灶累及范圍廣,平均累及 2.8 個肺葉。2 例(4.1%)患者入院時肺部無明顯表現,但在病情進展過程中逐漸出現了斑片狀磨玻璃樣改變(圖 2)。重型/危重型患者與普通型患者相比,肺部 CT 顯示病灶范圍更廣(平均累及 3.4 個肺葉)(圖 3),但差異無統計學意義(P=0.253)。
圖1
新冠肺炎患者胸部 CT 檢查像
女性,43 歲,發熱 1 d 入院。雙肺可見斑片狀磨玻璃密度影
圖2
新冠肺炎患者胸部 CT 檢查像
女性,37 歲,發熱、乏力 6 d 入院。入院時,雙肺散在斑片狀滲出影(a、b);入院第 5 天,雙肺可見斑片狀滲出影(c、d);入院第 9 天,雙肺 CT 提示條索狀改變(e、f)
圖3
危重型新冠肺炎患者胸部 CT 檢查像
男性,55 歲,因咳嗽、咳痰、發熱 12 d,呼吸困難 2 d 入院。雙肺多發斑片狀高密度影
3 討論
自 2019 年 12 月武漢暴發新冠肺炎,疫情迅速播散至全國各省世界各地,并被世界衛生組織列為國際關注的突發公共衛生事件。目前研究已經明確,引起此次疫情的是一種新型的冠狀病毒,SARS-CoV-2。冠狀病毒屬于單股正鏈 RNA 病毒。目前已知的冠狀病毒有 6 種[3-4],包括 HCoV-229E、HCoV-OC43、SARSr-CoV、HCoV-NL63、HCoV-HKU1 和 MERSr-CoV。而本次武漢暴發的肺炎,其病原體是一種屬于 β 屬的 SARS-CoV-2,屬于第 7 種[5]。研究顯示,SARS-CoV-2 與蝙蝠 SARS 樣冠狀病毒(bat-SL-CoVZC45)同源性達 85% 以上[2]。
SARS-CoV-2 具有明顯的傳染性,可通過呼吸道飛沫和接觸發生人際傳播,人群普遍易感。流行病學調查顯示,新冠肺炎的潛伏期一般為 3~7 d,最長不超過 14 d[6]。與 SARS 不同之處在于,新冠肺炎在潛伏期也具有傳染性[7]。Chan 等[8]通過對一個旅居武漢的家庭 6 人聚集性發病的流行病學調查,證實了新冠肺炎可在醫院和家庭環境中發生人際傳播。
Huang 等[9]于 1 月 24 日首次報道了武漢金銀潭醫院收治的 41 例新冠肺炎患者的臨床特征、實驗室檢查和影像學特點,同時比較了普通患者和轉入重癥加強治療病房(intensive care unit,ICU)患者的臨床特征。研究結果顯示,73% 的感染者為男性,32% 的患者合并有基礎疾病,中位年齡為 49 歲。發病最常見的臨床癥狀為發熱(98%)、咳嗽(76%)和肌痛/乏力(44%)。63% 的患者出現淋巴細胞計數減少。所有患者胸部 CT 均出表現異常。進一步分析顯示,與普通患者相比,轉入 ICU 患者的白細胞介素(interleukin,IL)-2、IL-7、IL-10、粒細胞集落刺激因子、干擾素 γ 誘導蛋白 10、單核細胞趨化蛋白-1、巨噬細胞炎性蛋白 1α 和腫瘤壞死因子 α 等細胞因子和炎癥因子明顯升高。
隨后,Chen 等[10]于 1 月 30 日再次報道了 99 例在武漢金銀潭醫院住院治療的新冠肺炎患者的臨床特征和流行病學。結果發現,各年齡段均可發病,平均年齡為 55.5 歲。51% 的患者具有慢性基礎疾病,有合并癥的中老年患者更易感 SARS-CoV-2。臨床癥狀方面,發熱(83%)、咳嗽(82%)、氣短(31%)為最常見的癥狀。胸部 CT 顯示,75% 的患者出現了雙肺的炎性改變,表現為多葉段的高密度小斑片影和磨玻璃影。實驗室檢查提示,98% 的患者出現血清白蛋白降低,35% 的患者淋巴細胞絕對數降低,且淋巴細胞降低的患者預后較差。
近日,武漢大學中南醫院的 Wang 等[11]分析了該院收治的 138 例新冠肺炎患者的臨床資料,發現 54.3% 的患者為男性,中位年齡為 56 歲。常見癥狀為發熱(98.6%)、乏力(69.6%)和干咳(59.4%)。41.3% 的患者為院內感染發病,包括 40 例醫務工作者。58% 的患者凝血酶原時間延長;39.9% 的患者乳酸脫氫酶升高。26.1% 的患者轉入 ICU 治療。從首次出現癥狀到呼吸困難的中位時間為 5.0 d。與普通患者相比,ICU 的患者年齡更大,更容易出現并發癥(72.2%)。
上述文獻報道的均是武漢疫區新冠肺炎患者的臨床特征和流行病學特點,而對于武漢地位以外其他省市發生的新冠肺炎臨床特征文獻報道較少。為此,我們分析了我院收治的江西地區首批新冠肺炎臨床資料和流行病學。
本組 49 例患者中,93.9% 的患者有明確的武漢旅居史或武漢人員接觸史,說明江西地區的新冠肺炎感染者主要是由武漢輸入為主。與上述文獻報道相似,江西地區新冠肺炎患者也是男性居多(67.3%)。患者平均年齡為 42.9 歲,說明年輕患者增多,各年齡段均對病毒易感。本組患者發病癥狀也以發熱、咳嗽、乏力最多見,但有 3 例患者入院時無癥狀,而病毒核酸檢測陽性,提示部分患者發病早期無癥狀,是潛在的傳播源,需做好隔離。同樣,本組患者也出現了淋巴細胞計數下降;乳酸脫氫酶、ESR、CRP 升高。與文獻報道不同之處在于,本組患者血清鈣離子濃度下降、T 淋巴細胞亞群(CD3+、CD4+、CD8+)明顯降低,提示 SARS-CoV-2 造成的淋巴細胞較少,主要是消耗 T 淋巴細胞亞群。此外,我們發現本組患者中,A 型血的占比高達 48.9%,提示 A 型血患者可能更易感 SARS-CoV-2。影像學方面,本組患者的肺部表現與文獻報道相似,但發病時以多肺葉受累為主,平均累及 2.8 個肺葉。另外,2 例患者入院時肺部無異常表現,提示部分新冠肺炎早期肺部損害不明顯,應注意避免漏診。
進一步比較普通型肺炎和重型/危重型肺炎患者臨床資料發現,重型/危重型患者年齡更大、就診時間更晚、內科合并癥更多,提示這類患者更容易進展為重型/危重型肺炎。此外,本組重型/危重型肺炎患者白細胞計數、中性粒細胞計數、ESR、CRP 升高更為明顯(P<0.05),提示重型/危重型患者全身炎癥反應更為劇烈,治療中需注意加強抗炎治療。影像學方面,普通型和重型/危重型肺部病灶受累范圍都很廣,提示新冠肺炎早期即可造成多肺炎損傷。
綜上所述,江西地區首批發病的新冠肺炎以武漢輸入為主。發病男性居多,癥狀以發熱、咳嗽、乏力為主,部分患者可無癥狀。實驗室檢查可見淋巴細胞計數下降;乳酸脫氫酶、ESR、CRP 升高;同時血清鈣離子濃度和 T 淋巴細胞亞群(CD3+、CD4+、CD8+)明顯降低。肺部表現早期多肺葉受累,部分患者早期肺部無表現。重型/危重型患者年齡更大、就診時間更晚、內科合并癥更多、全身炎癥反應更為劇烈。
利益沖突:本研究不涉及任何利益沖突。

