引用本文: 寧俊杰, 官曉艷, 王紅宇, 李雪梅. LRBA 基因復合雜合突變致兒童彌漫性實質性肺疾病一例. 中國呼吸與危重監護雜志, 2021, 20(4): 278-281. doi: 10.7507/1671-6205.201907071 復制
兒童彌漫性實質性肺疾病/肺間質疾病(DPLD/ILD)罕見,診斷困難,發病原因與肺生長發育障礙及遺傳因素相關。已知表面活性物質基因 SFTPA1、SFTPA2、SFTPB、SFTPC、ABCA3 及 NKX2-1 的喪失或突變可致 DPLD。此外,肺泡蛋白沉積癥的發生亦與 CSF2RA、CSF2RB 和 MARS 的基因突變相關。雖然目前遺傳缺陷對此病的調控知之甚少,但不可否認的是兒童 DPLD 發病具有顯著的遺傳異質性。本文回顧分析 1 例由 LRBA(lipopolysaccharide-responsive beige-like anchor protein)基因復合雜合突變所致的兒童 DPLD,并復習相關文獻,為臨床提供參考。
1 臨床資料
患兒男,3 個月,因“咳嗽 1 個月,加重伴氣促 3 d”于 2019 年 4 月收入自貢市第一人民醫院小兒呼吸科。1 個月前患兒無明顯誘因出現咳嗽,無明顯活動受限,無喘息、氣促、發紺等,期間在我院住院治療 6 d,考慮診斷為“支氣管肺炎”,予以“頭孢他啶”治療好轉后出院,院外繼續口服“頭孢克肟顆粒”抗感染,但仍有咳嗽。3 d 前患兒咳嗽癥狀明顯加重,表現為陣發性刺激性串咳,早晚癥狀明顯,伴氣促,活動耐受差,再次以“支氣管肺炎”收入院。其母患有“精神分裂癥”,父親體健,非近親結婚。出生史:G3P3,第 1 胎女性 4 歲體健,第 2 胎男性在其 1 歲時因“重癥肺炎”死亡。此患兒足月剖宮產,出生體重 4.05 kg,產程順利,無產傷、窒息史。否認接觸鳥類或煙霧。喂養史:配方奶喂養。生長發育史:3 個月可抬頭。
入院體格檢查:體溫 36.7 ℃,脈搏 145 次/min,呼吸 55 次/min,血壓 92/66 mm Hg(1 mm Hg=0.133 kPa),體重 5.8 kg,面罩吸氧 2 L/min 下氧飽和度為 95%,神清,精神欠佳,面色口唇尚紅潤,呼吸促、規則,可見點頭樣呼吸及吸氣性三凹征,咽稍紅,未見分泌物,雙肺呼吸音粗,可聞及少許細濕啰音及哮鳴音,心腹及神經系統查體無特殊,未見杵狀指。
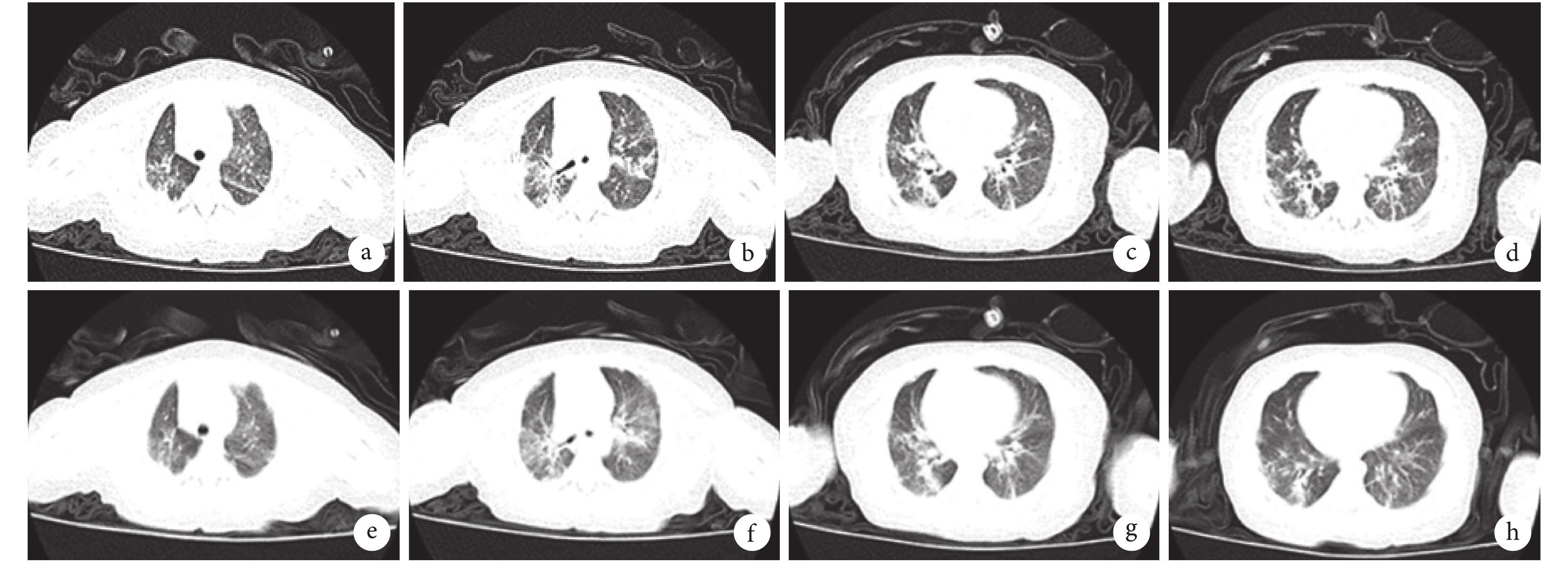
輔助檢查:血氣分析酸堿度 7.33,乳酸 2.3 mmol/L,二氧化碳分壓 50 mm Hg,氧分壓 198 mm Hg,細胞內堿剩余 0.5 mmol/L,細胞外堿剩余 0.4 mmol/L,實際碳酸氫根 26.4 mmol/L,標準碳酸氫根 25.3 mmol/L。血液分析、肝腎功、免疫球蛋白、細胞免疫、C 反應蛋白、真菌抗原檢測未見明顯異常。呼吸道病原體檢測 EB 病毒 IgM 抗體定性陰性,肺炎支原體抗體定量陰性,11 項呼吸道病原體陰性,TORCH 陰性。呼出氣一氧化氮(FeNO)濃度 9 ppb。痰培養、血培養陰性。肺功能檢查報告(潮氣分析):達峰時間比:17%,降低。達峰容積比:21.5%,降低;吸呼比:0.59,降低。呼氣時間明顯延長。提示:氣道阻力增加,潮氣通氣功能降低。胸部 CT + 氣道重建:雙肺可見斑片影及磨玻璃影,以斑片影為主,并見散在條索狀影,呈網格樣改變,肺組織含氣不均勻,見散在透光度增大區(圖 1a~d)。

a~d. 2019 年 4 月,雙肺可見斑片影及磨玻璃影,以斑片影為主,并見散在條索狀影,呈網格樣改變,肺組織含氣不均勻,見散在透光度增大區;e~f. 2019 年 5 月,較前期斑片影及磨玻璃影吸收好轉,只見少量透光度增加區。
在院期間考慮診斷:支氣管肺炎,嬰幼兒 DPLD 待排。經醫院醫學倫理委員會審核通過,征得家屬同意后完善遺傳性呼吸系統疾病基因檢測,并同時予以頭孢唑肟 50 mg/kg 微量泵泵入 q8h×10 d,口服阿奇霉素(商品名希舒美)10 mg·kg–1·d–1用 3 d 停 4 d 抗感染治療;甲基潑尼強松龍 15 mg/kg qd×3 d,隨后更改為潑尼松片 5 mg bid 抗炎治療;布地奈德 0.5 mg q12 h 霧化輔助治療。治療 10 d 患兒未再咳嗽、喘息,雙肺未聞及明顯細濕啰音及哮鳴音,予以出院。出院后繼續口服阿奇霉素 10 mg·kg–1·d–1用 3 d 停 4 d,口服潑尼松 10 mg qd,輔舒酮(125 μg)1 噴 bid,孟魯司特鈉咀嚼片 4 mg qn 治療。
1 個月后基因結果顯示該患兒 LRBA 基因存在 2 個致病突變位點(圖 2)。(1)在染色體位置 chr4:151770643 第 25 外顯子存在 c.4089A>T(p.Q1363H)雜合變異,根據 ACMG 遺傳變異分類標準與指南,將 c.4089A>T 變異判定為意義不明。支持證據:PM1+PM2+PP3,經家系分析,受檢者父親該位點為雜合變異,其母親該位點無變異。(2)在染色體位置 chr4:151836845 第 8 外顯子存在 c.929G>C(p.R310P)雜合變異,根據 ACMG 指南,將 c.929G>C 變異判定為意義不明。支持證據:PM1+PM2+PP3,經家系分析,受檢者父親該位點無變異,其母親該位點為雜合變異。結論:該案例,先證者在 LRBA 基因發現兩處雜合突變,經家系驗證為復合雜合突變,符合疾病常染色體隱性(AR)遺傳規律,不排除其發病可能,與常見變異型免疫缺陷癥 8 型伴自身免疫(OMIM 編號:614700,AR)相關。

a. 先證者染色體位置 chr4:151770643 第 25 外顯子存在 c.4089A>T(p.Q1363H)雜合變異(紅箭);b. 先證者染色體位置 chr4:151836845 第 8 外顯子存在 c.929G>C(p.R310P)雜合變異(紅箭);c. 父親染色體位置 chr4:151770643 第 25 外顯子存在 c.4089A>T(p.Q1363H)雜合變異(紅箭);d. 父親染色體 chr4:151836845 第 8 外顯子位點為野生型(紅箭);e. 母親染色體位置 chr4:151770643 第 25 外顯子位點為野生型(紅箭);f. 母親染色體位置 chr4:151836845 第 8 外顯子存在 c.929G>C(p.R310P)雜合變異(紅箭)。
根據患兒基因檢測結果,有可疑遺傳性肺疾病病史(親兄弟因肺疾病死亡),肺部病原學檢測陰性,肺 CT 提示雙肺彌漫性影像改變,最終診斷為 LRBA 基因復合雜合突變致兒童 DPLD。
隨訪:出院后 1 個月復查患兒呼吸平穩,精神飲食好,體重增長可。復查胸部 CT:較前片斑片影及磨玻璃影吸收好轉,只見少量透光度增加區(圖 1e~h)。復查肺功能(潮氣分析):達峰時間比 21.1%,降低;達峰容積比 24%,降低;吸呼比 0.72,正常。提示:氣道阻力增加,潮氣通氣功能降低。FeNO 為 28 ppb。臨床考慮治療有效,繼續予以阿奇霉素、潑尼松口服、輔舒酮霧化治療。出院后 6 個月再次追蹤患兒,無氣促及咳嗽,精神飲食好,體重增長可。復查胸部 CT 炎癥基本吸收,復查免疫球蛋白及細胞免疫仍未見明顯異常,逐漸停用阿奇霉素及潑尼松。目前患兒 2 歲,未見癥狀復發。
2 討論
LRBA 缺陷是由 LRBA 的純合或復合雜合突變引起的常見變異型免疫缺陷癥,其缺陷將導致 LRBA 蛋白質表達的喪失。LRBA 蛋白是在 B 細胞和 T 細胞以及其他細胞譜系中高度表達的胞質蛋白,參與細胞骨架裝配、信號轉導、囊泡運輸、轉錄調節、染色質動力學和細胞凋亡[1-2]。LRBA 缺陷的表現通常始于兒童早期,包括慢性腹瀉、自身免疫性疾病和器官腫大。除了低丙種球蛋白血癥和反復呼吸道感染外[3-4],23% 的患者出現嚴重的神經功能障礙,包括重癥肌無力、腦部病變和神經組織萎縮。自身免疫性疾病,最常見的是自身免疫性溶血性貧血和免疫性血小板減少性紫癜,可在 61% 的患者中出現[3]。重要的是,LRBA 可與蛋白激酶 A 結合,主要調節胞內囊泡的轉運過程,有助于免疫效應分子如細胞毒性 T 淋巴細胞抗原 4(CTLA-4)的分泌和膜沉積,當 LRBA 缺陷時,CTLA-4 迅速被溶酶體降解[5-6]。據統計,66% 的 CTLA-4 缺陷患者發現患有肉芽腫淋巴細胞間質性肺病[7-8]。
該患兒為 3 個月大嬰兒,以慢性咳嗽為主要表現,伴氣促,活動不耐受,CT 提示雙肺彌漫性病變,可見磨玻璃陰影;炎癥指標基本正常,病原學檢測陰性,真菌抗原陰性,不支持衣原體、支原體、病毒或真菌感染可能;否認環境暴露病史;根據《兒童肺間質疾病診斷程序專家共識》[9],應考慮嬰兒期 ILD,而美國指南已把基因診斷作為嬰幼兒 DPLD/ILD 的主要診斷手段之一[10],通過完善相關呼吸基因檢測提示該患兒為 LRBA 基因缺陷,最終診斷為 LRBA 基因復合雜合突變致兒童 DPLD。
隨訪至今,該患兒未見明顯免疫低下表現,且多次檢查細胞免疫及體液免疫亦未見明顯異常,似乎不能完全由 LRBA 缺陷解釋。但目前研究認為免疫缺陷并不是 LRBA 缺陷最具特征性的臨床表現,一項納入 22 例 LRBA 缺陷患者的臨床表型分析顯示該病主要臨床并發癥包括免疫失調(95%)、臟器腫大(86%)、反復感染(71%)和低丙球蛋白血癥(57%),其中 81% 的 LRBA 缺陷患者的 T 細胞計數可正常,但存在 73% 的調節性 T(Treg)細胞數量減少,而大多數 LRBA 缺陷患者的 B 細胞亞群計數低,主要發生在轉換記憶 B 細胞(80%)和漿母細胞(92%)中,特異性抗體應答不良的比例為 67%[4]。一例最初臨床表現為炎癥性腸病,最終經基因確診為 LRBA 缺陷的患兒,在長期隨訪中并未見 B 細胞亞群異常[11]。而另一項單中心研究追蹤了 7 例 LRBA 缺陷患者未見低丙種球蛋白血癥,但其中有 2 例患者出現轉換記憶 B 細胞數量減少[12]。這就可以解釋為什么本例患兒雖多次免疫功能提示正常,但仍需考慮 LRBA 缺陷,分析原因可能是患兒僅表現為免疫失調所致肺間質改變[13],后期可對該患兒的免疫功能行亞群分析以進一步明確診斷。
DPLD/ILD 的診斷依賴于詳細的病史記錄以及多科協作,但隨著基因檢測手段的進步,既往被歸類為不明原因的 ILD 可明確病因。治療上則以激素、免疫抑制劑、阿奇霉素、肺泡灌洗等為主[10],若常規治療無效,則需阿巴西普或造血干細胞移植(HSCT)治療。研究表明 LRBA 缺陷患者通過阿巴西普(一種 CTLA-4 免疫球蛋白融合藥物)治療后,其 ILD、自身免疫性疾病以及免疫表型都有了顯著和持續的改善[14],臨床上也未發現與阿巴西普治療相關的嚴重不良反應[15]。來自土耳其一項研究報道早期 HSCT 是一種治療 LRBA 缺陷的有效手段[12],但目前接受 HSCT 治療的病例非常有限,且缺乏多中心對照研究,HSCT 治療效果需待進一步研究。
利益沖突:本研究不涉及任何利益沖突。
兒童彌漫性實質性肺疾病/肺間質疾病(DPLD/ILD)罕見,診斷困難,發病原因與肺生長發育障礙及遺傳因素相關。已知表面活性物質基因 SFTPA1、SFTPA2、SFTPB、SFTPC、ABCA3 及 NKX2-1 的喪失或突變可致 DPLD。此外,肺泡蛋白沉積癥的發生亦與 CSF2RA、CSF2RB 和 MARS 的基因突變相關。雖然目前遺傳缺陷對此病的調控知之甚少,但不可否認的是兒童 DPLD 發病具有顯著的遺傳異質性。本文回顧分析 1 例由 LRBA(lipopolysaccharide-responsive beige-like anchor protein)基因復合雜合突變所致的兒童 DPLD,并復習相關文獻,為臨床提供參考。
1 臨床資料
患兒男,3 個月,因“咳嗽 1 個月,加重伴氣促 3 d”于 2019 年 4 月收入自貢市第一人民醫院小兒呼吸科。1 個月前患兒無明顯誘因出現咳嗽,無明顯活動受限,無喘息、氣促、發紺等,期間在我院住院治療 6 d,考慮診斷為“支氣管肺炎”,予以“頭孢他啶”治療好轉后出院,院外繼續口服“頭孢克肟顆粒”抗感染,但仍有咳嗽。3 d 前患兒咳嗽癥狀明顯加重,表現為陣發性刺激性串咳,早晚癥狀明顯,伴氣促,活動耐受差,再次以“支氣管肺炎”收入院。其母患有“精神分裂癥”,父親體健,非近親結婚。出生史:G3P3,第 1 胎女性 4 歲體健,第 2 胎男性在其 1 歲時因“重癥肺炎”死亡。此患兒足月剖宮產,出生體重 4.05 kg,產程順利,無產傷、窒息史。否認接觸鳥類或煙霧。喂養史:配方奶喂養。生長發育史:3 個月可抬頭。
入院體格檢查:體溫 36.7 ℃,脈搏 145 次/min,呼吸 55 次/min,血壓 92/66 mm Hg(1 mm Hg=0.133 kPa),體重 5.8 kg,面罩吸氧 2 L/min 下氧飽和度為 95%,神清,精神欠佳,面色口唇尚紅潤,呼吸促、規則,可見點頭樣呼吸及吸氣性三凹征,咽稍紅,未見分泌物,雙肺呼吸音粗,可聞及少許細濕啰音及哮鳴音,心腹及神經系統查體無特殊,未見杵狀指。
輔助檢查:血氣分析酸堿度 7.33,乳酸 2.3 mmol/L,二氧化碳分壓 50 mm Hg,氧分壓 198 mm Hg,細胞內堿剩余 0.5 mmol/L,細胞外堿剩余 0.4 mmol/L,實際碳酸氫根 26.4 mmol/L,標準碳酸氫根 25.3 mmol/L。血液分析、肝腎功、免疫球蛋白、細胞免疫、C 反應蛋白、真菌抗原檢測未見明顯異常。呼吸道病原體檢測 EB 病毒 IgM 抗體定性陰性,肺炎支原體抗體定量陰性,11 項呼吸道病原體陰性,TORCH 陰性。呼出氣一氧化氮(FeNO)濃度 9 ppb。痰培養、血培養陰性。肺功能檢查報告(潮氣分析):達峰時間比:17%,降低。達峰容積比:21.5%,降低;吸呼比:0.59,降低。呼氣時間明顯延長。提示:氣道阻力增加,潮氣通氣功能降低。胸部 CT + 氣道重建:雙肺可見斑片影及磨玻璃影,以斑片影為主,并見散在條索狀影,呈網格樣改變,肺組織含氣不均勻,見散在透光度增大區(圖 1a~d)。

a~d. 2019 年 4 月,雙肺可見斑片影及磨玻璃影,以斑片影為主,并見散在條索狀影,呈網格樣改變,肺組織含氣不均勻,見散在透光度增大區;e~f. 2019 年 5 月,較前期斑片影及磨玻璃影吸收好轉,只見少量透光度增加區。
在院期間考慮診斷:支氣管肺炎,嬰幼兒 DPLD 待排。經醫院醫學倫理委員會審核通過,征得家屬同意后完善遺傳性呼吸系統疾病基因檢測,并同時予以頭孢唑肟 50 mg/kg 微量泵泵入 q8h×10 d,口服阿奇霉素(商品名希舒美)10 mg·kg–1·d–1用 3 d 停 4 d 抗感染治療;甲基潑尼強松龍 15 mg/kg qd×3 d,隨后更改為潑尼松片 5 mg bid 抗炎治療;布地奈德 0.5 mg q12 h 霧化輔助治療。治療 10 d 患兒未再咳嗽、喘息,雙肺未聞及明顯細濕啰音及哮鳴音,予以出院。出院后繼續口服阿奇霉素 10 mg·kg–1·d–1用 3 d 停 4 d,口服潑尼松 10 mg qd,輔舒酮(125 μg)1 噴 bid,孟魯司特鈉咀嚼片 4 mg qn 治療。
1 個月后基因結果顯示該患兒 LRBA 基因存在 2 個致病突變位點(圖 2)。(1)在染色體位置 chr4:151770643 第 25 外顯子存在 c.4089A>T(p.Q1363H)雜合變異,根據 ACMG 遺傳變異分類標準與指南,將 c.4089A>T 變異判定為意義不明。支持證據:PM1+PM2+PP3,經家系分析,受檢者父親該位點為雜合變異,其母親該位點無變異。(2)在染色體位置 chr4:151836845 第 8 外顯子存在 c.929G>C(p.R310P)雜合變異,根據 ACMG 指南,將 c.929G>C 變異判定為意義不明。支持證據:PM1+PM2+PP3,經家系分析,受檢者父親該位點無變異,其母親該位點為雜合變異。結論:該案例,先證者在 LRBA 基因發現兩處雜合突變,經家系驗證為復合雜合突變,符合疾病常染色體隱性(AR)遺傳規律,不排除其發病可能,與常見變異型免疫缺陷癥 8 型伴自身免疫(OMIM 編號:614700,AR)相關。

a. 先證者染色體位置 chr4:151770643 第 25 外顯子存在 c.4089A>T(p.Q1363H)雜合變異(紅箭);b. 先證者染色體位置 chr4:151836845 第 8 外顯子存在 c.929G>C(p.R310P)雜合變異(紅箭);c. 父親染色體位置 chr4:151770643 第 25 外顯子存在 c.4089A>T(p.Q1363H)雜合變異(紅箭);d. 父親染色體 chr4:151836845 第 8 外顯子位點為野生型(紅箭);e. 母親染色體位置 chr4:151770643 第 25 外顯子位點為野生型(紅箭);f. 母親染色體位置 chr4:151836845 第 8 外顯子存在 c.929G>C(p.R310P)雜合變異(紅箭)。
根據患兒基因檢測結果,有可疑遺傳性肺疾病病史(親兄弟因肺疾病死亡),肺部病原學檢測陰性,肺 CT 提示雙肺彌漫性影像改變,最終診斷為 LRBA 基因復合雜合突變致兒童 DPLD。
隨訪:出院后 1 個月復查患兒呼吸平穩,精神飲食好,體重增長可。復查胸部 CT:較前片斑片影及磨玻璃影吸收好轉,只見少量透光度增加區(圖 1e~h)。復查肺功能(潮氣分析):達峰時間比 21.1%,降低;達峰容積比 24%,降低;吸呼比 0.72,正常。提示:氣道阻力增加,潮氣通氣功能降低。FeNO 為 28 ppb。臨床考慮治療有效,繼續予以阿奇霉素、潑尼松口服、輔舒酮霧化治療。出院后 6 個月再次追蹤患兒,無氣促及咳嗽,精神飲食好,體重增長可。復查胸部 CT 炎癥基本吸收,復查免疫球蛋白及細胞免疫仍未見明顯異常,逐漸停用阿奇霉素及潑尼松。目前患兒 2 歲,未見癥狀復發。
2 討論
LRBA 缺陷是由 LRBA 的純合或復合雜合突變引起的常見變異型免疫缺陷癥,其缺陷將導致 LRBA 蛋白質表達的喪失。LRBA 蛋白是在 B 細胞和 T 細胞以及其他細胞譜系中高度表達的胞質蛋白,參與細胞骨架裝配、信號轉導、囊泡運輸、轉錄調節、染色質動力學和細胞凋亡[1-2]。LRBA 缺陷的表現通常始于兒童早期,包括慢性腹瀉、自身免疫性疾病和器官腫大。除了低丙種球蛋白血癥和反復呼吸道感染外[3-4],23% 的患者出現嚴重的神經功能障礙,包括重癥肌無力、腦部病變和神經組織萎縮。自身免疫性疾病,最常見的是自身免疫性溶血性貧血和免疫性血小板減少性紫癜,可在 61% 的患者中出現[3]。重要的是,LRBA 可與蛋白激酶 A 結合,主要調節胞內囊泡的轉運過程,有助于免疫效應分子如細胞毒性 T 淋巴細胞抗原 4(CTLA-4)的分泌和膜沉積,當 LRBA 缺陷時,CTLA-4 迅速被溶酶體降解[5-6]。據統計,66% 的 CTLA-4 缺陷患者發現患有肉芽腫淋巴細胞間質性肺病[7-8]。
該患兒為 3 個月大嬰兒,以慢性咳嗽為主要表現,伴氣促,活動不耐受,CT 提示雙肺彌漫性病變,可見磨玻璃陰影;炎癥指標基本正常,病原學檢測陰性,真菌抗原陰性,不支持衣原體、支原體、病毒或真菌感染可能;否認環境暴露病史;根據《兒童肺間質疾病診斷程序專家共識》[9],應考慮嬰兒期 ILD,而美國指南已把基因診斷作為嬰幼兒 DPLD/ILD 的主要診斷手段之一[10],通過完善相關呼吸基因檢測提示該患兒為 LRBA 基因缺陷,最終診斷為 LRBA 基因復合雜合突變致兒童 DPLD。
隨訪至今,該患兒未見明顯免疫低下表現,且多次檢查細胞免疫及體液免疫亦未見明顯異常,似乎不能完全由 LRBA 缺陷解釋。但目前研究認為免疫缺陷并不是 LRBA 缺陷最具特征性的臨床表現,一項納入 22 例 LRBA 缺陷患者的臨床表型分析顯示該病主要臨床并發癥包括免疫失調(95%)、臟器腫大(86%)、反復感染(71%)和低丙球蛋白血癥(57%),其中 81% 的 LRBA 缺陷患者的 T 細胞計數可正常,但存在 73% 的調節性 T(Treg)細胞數量減少,而大多數 LRBA 缺陷患者的 B 細胞亞群計數低,主要發生在轉換記憶 B 細胞(80%)和漿母細胞(92%)中,特異性抗體應答不良的比例為 67%[4]。一例最初臨床表現為炎癥性腸病,最終經基因確診為 LRBA 缺陷的患兒,在長期隨訪中并未見 B 細胞亞群異常[11]。而另一項單中心研究追蹤了 7 例 LRBA 缺陷患者未見低丙種球蛋白血癥,但其中有 2 例患者出現轉換記憶 B 細胞數量減少[12]。這就可以解釋為什么本例患兒雖多次免疫功能提示正常,但仍需考慮 LRBA 缺陷,分析原因可能是患兒僅表現為免疫失調所致肺間質改變[13],后期可對該患兒的免疫功能行亞群分析以進一步明確診斷。
DPLD/ILD 的診斷依賴于詳細的病史記錄以及多科協作,但隨著基因檢測手段的進步,既往被歸類為不明原因的 ILD 可明確病因。治療上則以激素、免疫抑制劑、阿奇霉素、肺泡灌洗等為主[10],若常規治療無效,則需阿巴西普或造血干細胞移植(HSCT)治療。研究表明 LRBA 缺陷患者通過阿巴西普(一種 CTLA-4 免疫球蛋白融合藥物)治療后,其 ILD、自身免疫性疾病以及免疫表型都有了顯著和持續的改善[14],臨床上也未發現與阿巴西普治療相關的嚴重不良反應[15]。來自土耳其一項研究報道早期 HSCT 是一種治療 LRBA 缺陷的有效手段[12],但目前接受 HSCT 治療的病例非常有限,且缺乏多中心對照研究,HSCT 治療效果需待進一步研究。
利益沖突:本研究不涉及任何利益沖突。