引用本文: 王微, 張榮麗, 凌繼祖, 余勤. 內質網應激導致間歇低氧模型大鼠腎臟損傷的機制及洛沙坦的干預作用. 中國呼吸與危重監護雜志, 2020, 19(6): 592-597. doi: 10.7507/1671-6205.201901009 復制
阻塞性睡眠呼吸暫停低通氣綜合征(obstructive sleep apnea hypopnea syndrome,OSAHS)是臨床最常見的一種睡眠呼吸障礙性疾病,其特征性的病理生理變化是睡眠過程中反復發生的間歇低氧(intermittent hypoxia,IH),導致體內低氧血癥和(或)高碳酸血癥,進而引起多器官功能障礙[1-2]。先前的動物實驗表明,IH 可通過激活內質網應激介導大鼠腎小管上皮細胞凋亡,使腎臟的超微結構發生改變,進而導致腎臟功能損傷[3-4],但涉及的相關通路及血管緊張素 Ⅱ 受體拮抗劑(angiotensin Ⅱ receptor blocker,ARB)類藥物洛沙坦的干預作用尚不明確。因此,本研究擬建立 IH 模型,腹腔注射洛沙坦給予干預,觀察大鼠腎功能血清學指標、腎臟組織形態學及超微結構改變、腎小管上皮細胞凋亡指數,以及腎臟 Caspase-12、JNK、CHOP mRNA 的表達水平,以探討 IH 通過內質網應激導致腎臟損傷的分子機制以及 ARB 類藥物洛沙坦的干預作用。
1 材料與方法
1.1 實驗動物及材料
實驗動物:60 只 8~10 周齡 SPF 級健康雄性 SD 大鼠,平均體重為(187.3±11.3)g。實驗動物及飼料、墊料由蘭州大學實驗動物中心提供。實驗前將動物置于自然光照、安靜環境、溫度 20~25 ℃、濕度 50%~60%、日溫差≤4 ℃ 的條件下適應性飼養 1 周。本實驗設計符合蘭州大學第一醫院實驗動物倫理學標準。
主要實驗材料:洛沙坦粉劑(大連美侖生物技術有限公司 MB1578);細胞凋亡檢測試劑盒(武漢博士德生物工程有限公司);反轉錄試劑盒及逆轉錄–聚合酶鏈反應(reverse transcription-polymerase chain reaction, RT-PCR)試劑盒(大連 TaKaRa 公司);醫用氧氣、高純度氮氣(甘肅省蘭州方圓建化有限責任公司);CY-12C 測氧儀(浙江省建德市梅城電化學分析儀器廠);全自動生化分析儀(日立 7170A);TKY-BMB 型石蠟包埋機(湖北泰康醫療設備有限公司);光學顯微鏡(日本 Olympus 公司);JEM-1230 透射電鏡(日本 JEOL 電子科技公司);Light Cycler480 全自動實時定量 PCR 系統(羅氏公司)。
1.2 方法
1.2.1 模型的建立與動物分組
將 60 只大鼠按隨機數字表法分為 4 組,每組 15 只。分別為 A 組(空白對照組):置于常氧環境;B 組(IH 組):置于間歇低氧艙內;C 組(IH+洛沙坦組):每日于實驗開始前 30 min 腹腔注射洛沙坦液 30 mg/kg,后置于間歇低氧艙內;D 組(IH+生理鹽水組):每日腹腔注射同劑量生理鹽水作平衡對照,后置于間歇低氧艙內。
參照文獻[5]將洛沙坦粉劑溶于磷酸鹽緩沖液后,于每日實驗前 30 min 測量大鼠體重后以 30 mg/kg 進行腹腔注射。參照文獻[6-7]設計間歇低氧模擬艙,設定程序為 120 s 1 次循環,包括 40 s 的低氧期(純氮氣 30 s+靜息狀態 10 s)和 80 s 的復氧期(純氧氣 20 s+壓縮空氣 60 s)。應用測氧儀實時監測艙內氧濃度,使低氧期艙內氧濃度維持在 6%~7%,并在復氧期迅速升至 21%。A 組置于普通飼養艙內間歇輸入壓縮空氣,輸入時間及流量同間歇低氧組,氧濃度為 21%。每日造模 8 h(9∶00 至 17∶00),連續 6 周。造模期間室內溫度、濕度適宜,飲水自由,無實驗動物死亡。
1.2.2 標本處理
實驗 6 周末將禁食 12 h 的大鼠常規稱重,用 10% 水合氯醛(3 mL/kg)腹腔注射進行麻醉,經腹主動脈采血,離心后送至蘭州大學第一醫院檢驗科,應用全自動生化分析儀檢測腎功能。迅速解剖分離大鼠腎臟,左側腎臟分為兩份,一份置于多聚甲醛中固定,用于病理蘇木精–伊紅染色及 TUNEL 檢測;一份置于戊二醛中固定,用于透射電鏡檢測。右側腎臟保存于–80 ℃ 冰箱用于 RT-PCR 檢測。
1.2.3 TUNEL 法檢測腎臟細胞凋亡
實驗操作參照 TUNEL 試劑盒說明書,行二氨基聯苯胺染色后凋亡的細胞其細胞核呈棕黃色,且大小不一,形態各異,正常細胞的細胞核被蘇木素復染成藍紫色。光鏡下(×400 倍)每張切片隨機選取 5 個不重疊視野,應用 ImagePro Plus6.0 圖像分析系統計數各類細胞數,取其平均值。凋亡指數(apoptotic index,%)=陽性細胞數/總細胞數×100%。
1.2.4 RT-PCR 檢測大鼠腎臟 ERS 通路中相關 mRNA
Trizol 法提取大鼠腎臟總 RNA,逆轉錄試劑盒合成 cDNA。β-actin、Caspase-12、CHOP 引物由大連 TaKaRa 公司合成,JNK 引物由蘭州裕博生物科技有限公司合成。β-actin 上游引物:5’-GGAGATTACTGCCCTGGCTCCTA-3’,下游引物:5’-GACTCATCGTACTCCTGCTTGCTG-3’;caspase-12 上游引物:5’-CAATTCCGACAAACAGCTGAGTTTA-3’,下游引物:5’-CATGGGCCACTCCAACATTTAC-3’;JNK 上游引物:5’-ACTGACAGGACAGGACGAGCAGTA-3’,下游引物:5’-GTGTGGCAGAAACTGACCAATGA-3’;CHOP 上游引物:5’-TGGAAGCCTGGTATGAGGATCTG-3’,下游引物:5’-GAGGTGCTTGTGACCTCTGCTG-3’。擴增條件如下:預變性 95 ℃,30 s,1 個循環;PCR 反應 95 ℃,5 s,40 個循環;融解曲線分析 60 ℃,1 min,1 個循環。每個樣本做 3 個復孔,取其平均值,結果經內參 β-actin 均一化處理后,以正常對照組目的基因表達量為參照因子。數據采用 2-ΔΔCt法進行結果分析。
1.3 統計學方法
采用 SPSS 22.0 統計軟件。符合正態分布的計量資料用均數±標準差(±s)表示。各組間比較用單因素方差分析(one-way ANOVA),若方差齊,采用最小顯著差異法;若方差不齊,采用 Dunnett’s T3 法。細胞凋亡與腎功能損害的相關性用 Pearson 相關性分析。P<0.05 為差異有統計學意義。
2 結果
2.1 大鼠血清腎功能指標
B、D 組大鼠血清尿素氮水平顯著高于 A 組(均 P<0.01),C 組血清尿素氮水平較 B、D 組降低(均 P<0.05);B、D 組大鼠血清肌酐水平均高于 A 組(P<0.01;P<0.05),B、C、D 組間血清肌酐水平差異無統計學意義(P>0.05)。結果見表 1。


2.2 大鼠腎臟病理學變化
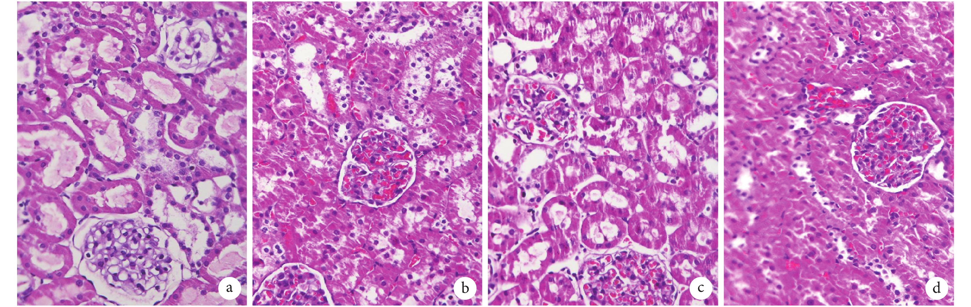
在光鏡下觀察,A 組大鼠腎臟組織形態均正常,未見明顯病理損害。B 組及 D 組大鼠腎臟組織可見多數腎小管上皮細胞高度水腫,呈氣球樣變,胞質淡染,結構紊亂,管腔狹窄,以近曲小管為著,腎小球毛細血管內可見大量紅細胞。C 組大鼠腎臟組織可見部分近曲小管上皮細胞輕度水腫,管腔無明顯狹窄,腎小球毛細血管內可見紅細胞,較 B 組及 D 組量少。結果見圖 1。

a. A 組大鼠腎臟組織形態均正常;b 和 d. B 組和 D 組大鼠腎臟組織可見多數腎小管上皮細胞高度水腫,呈氣球樣變,管腔狹窄;c. C 組大鼠腎臟組織可見部分近曲小管上皮細胞輕度水腫,管腔無明顯狹窄
2.3 大鼠腎臟超微結構變化
在透射電鏡下觀察大鼠腎臟組織超微結構變化,發現損傷以近曲腎小管上皮細胞為主。A 組:近曲腎小管上皮細胞刷狀緣整齊、致密,細胞核呈橢圓形,細胞器無明顯變化。B、D 組:腎小球系膜增生,足突局部融合,腎小管上皮細胞游離面微絨毛稀疏、大量脫落,腎小管上皮細胞內出現核固縮、異染色質增多,細胞器腫脹、溶解。C 組:腎小球系膜輕度增生,腎小管上皮細胞游離面微絨毛出現倒伏、稀疏,腎小管上皮細胞呈橢圓形,內可見少量細胞核異型,細胞器輕度腫脹。結果見圖 2。

a. A 組近曲腎小管上皮細胞刷狀緣整齊、致密,細胞核呈橢圓形,細胞器無明顯變化;b 和 d. B 組和 D 組腎小管上皮細胞游離面微絨毛稀疏、脫落,細胞內出現核固縮、異染色質增多,細胞器溶解;c. C 組腎小管上皮細胞游離面微絨毛倒伏、稀疏,細胞內可見少量細胞核異型,細胞器輕度腫脹
2.4 大鼠腎小管上皮細胞凋亡
TUNEL 法檢測結果顯示,A、B、C、D 組腎小管上皮細胞凋亡指數分別為 1.915±0.750、5.997±0.800、3.773±0.709、5.492±0.492。與 A 組比較,B、D 組腎小管上皮細胞凋亡指數顯著升高(均 P<0.01);與 C 組比較,B、D 組腎小管上皮細胞凋亡指數顯著升高(均 P<0.01)。結果見圖 3。

a. A 組;b. B 組;c. C 組;d. D 組;箭頭所示為部分凋亡細胞
2.5 細胞凋亡與腎功能損害的相關性
Pearson 相關性分析顯示各組大鼠腎小管上皮細胞凋亡指數與血清尿素氮呈顯著正相關(r=0.831,P<0.01),與血清肌酐亦呈正相關(r=0.581,P<0.01)。
2.6 大鼠腎臟內質網應激凋亡相關的 mRNA 表達
RT-PCR 檢測結果顯示,與 A 組相比,B、D 組大鼠腎臟組織 Caspase-12、JNK、CHOP mRNA 表達明顯上調(均 P<0.01)。給予洛沙坦干預后,C 組 Caspase-12 mRNA 表達水平較 B、D 組下調(P<0.01;P<0.05);JNK mRNA 表達水平較 B、D 組差異無統計學意義(P>0.05);CHOP mRNA 表達水平較 B、D 組顯著下調(均 P<0.01)。結果見表 2。


3 討論
OSAHS 是以 IH 為主要病理過程,以多系統損害為特點的睡眠呼吸障礙性疾病[8-10]。腎臟是機體內高流量高灌注的臟器,對缺氧極其敏感。OSAHS 所致 IH 與普通慢性持續性缺氧不同,其缺氧是短暫高頻間歇性的,存在循環復氧/再氧化,過程類似于缺血再灌注,可導致活性氧和氧化應激產物增多,增加交感神經活動,并伴有內皮功能障礙,與慢性持續性缺氧相比較可產生更嚴重的影響[9]。IH 可通過激活交感神經系統[11]和腎素–血管緊張素–醛固酮系統[12]、升高血壓[13]、產生氧化應激[14]、促進炎癥[15]、誘導內皮細胞功能障礙[16]和腎臟細胞凋亡[3-4]等導致腎臟損傷。本研究通過建立公認的 IH 動物模型進一步探究 OSAHS 所致腎臟損傷的潛在機制[17]。實驗結果顯示 IH 暴露 6 周的大鼠腎功能血清學指標及組織形態學表現較空白對照組均出現了明顯的損害,腎小管上皮細胞凋亡指數升高,且 Pearson 相關分析顯示凋亡指數與血清肌酐及尿素氮水平呈顯著正相關,提示 IH 可能通過誘導腎小管上皮細胞凋亡導致腎功能損傷。目前發現的誘導細胞凋亡的途徑主要有三種:內源性途徑、外源性途徑和內質網應激途徑。內質網應激是近年來新發現的細胞凋亡途徑,多見于外源性刺激導致內質網的蛋白折疊功能障礙,打破內質網穩態,最終導致內質網應激凋亡通路的激活[18]。內質網應激凋亡途徑主要包含三條凋亡通路,即 Caspase-12 的激活、JNK 磷酸化和 CHOP 的合成。其中,CHOP 和 JNK 是內質網應激與細胞凋亡之間相互聯系的重要中間信號分子,Caspase-12 是細胞凋亡命令的最終執行者[19]。本研究結果顯示,上述三條促凋亡通路中的標志性信號分子 Caspase-12、JNK、CHOP 的 mRNA 在 IH 暴露下均出現了明顯上調,提示 IH 暴露下的大鼠腎臟組織中的內質網應激凋亡通路被激活,IH 可能通過激活上述三條內質網應激凋亡通路導致腎臟細胞凋亡,進而損傷腎功能。由于光鏡下觀察腎臟的病理改變主要表現在腎小管上皮細胞,電鏡下腎小管上皮細胞損失極為明顯,可見核固縮、凋亡小體,因此推測 IH 所致腎臟損傷主要是腎小管上皮細胞的損傷;且 TUNEL 法檢測腎臟細胞凋亡可見黃褐色的凋亡細胞主要分布在腎小管區,考慮 IH 主要引起腎小管上皮細胞凋亡,對腎小球上皮細胞影響較小。因此,我們認為 IH 可通過內質網應激導致腎小管上皮細胞損傷,進而出現腎臟結構和功能學的異常。
IH 可導致腎素–血管緊張素系統的激活[20],是慢性腎臟損傷的主要機制之一。其產物血管緊張素Ⅱ的激活可能引起內質網功能失調,進而導致內質網應激介導的細胞凋亡,從而引起組織損傷[21-22]。但阻斷腎素–血管緊張素系統是否可通過抑制內質網應激而減輕 IH 的損傷作用,尚不得而知。本實驗應用臨床常見的 ARB 類藥物洛沙坦進行干預,旨在抑制腎素–血管緊張素系統。結果顯示,經 ARB 類藥物洛沙坦干預后,IH 大鼠血清尿素氮水平下降,腎臟組織病理及超微結構損傷減輕,腎小管上皮細胞凋亡指數下降,結合腎功能血清學指標與凋亡指數的相關性分析,提示洛沙坦可通過抑制腎小管上皮細胞凋亡保護腎功能。RT-PCR 結果顯示,經洛沙坦干預后腎臟 Caspase-12、CHOP mRNA 的表達降低,說明洛沙坦可能通過下調內質網應激凋亡通路中 Caspase-12、CHOP mRNA 的表達而減輕 IH 對大鼠腎臟的損傷作用。
綜上所述,IH 可通過激活內質網應激介導的 Caspase-12、JNK 及 CHOP 三條凋亡通路導致大鼠腎臟組織功能的損傷及形態學的變化,而 ARB 類藥物洛沙坦可能通過抑制內質網應激介導的 Caspase-12 和 CHOP 凋亡通路起到保護作用。這可能為今后 ARB 類藥物治療 OSAHS 所致腎臟損傷提供一個新的理論依據。
利益沖突:本研究不涉及任何利益沖突。
阻塞性睡眠呼吸暫停低通氣綜合征(obstructive sleep apnea hypopnea syndrome,OSAHS)是臨床最常見的一種睡眠呼吸障礙性疾病,其特征性的病理生理變化是睡眠過程中反復發生的間歇低氧(intermittent hypoxia,IH),導致體內低氧血癥和(或)高碳酸血癥,進而引起多器官功能障礙[1-2]。先前的動物實驗表明,IH 可通過激活內質網應激介導大鼠腎小管上皮細胞凋亡,使腎臟的超微結構發生改變,進而導致腎臟功能損傷[3-4],但涉及的相關通路及血管緊張素 Ⅱ 受體拮抗劑(angiotensin Ⅱ receptor blocker,ARB)類藥物洛沙坦的干預作用尚不明確。因此,本研究擬建立 IH 模型,腹腔注射洛沙坦給予干預,觀察大鼠腎功能血清學指標、腎臟組織形態學及超微結構改變、腎小管上皮細胞凋亡指數,以及腎臟 Caspase-12、JNK、CHOP mRNA 的表達水平,以探討 IH 通過內質網應激導致腎臟損傷的分子機制以及 ARB 類藥物洛沙坦的干預作用。
1 材料與方法
1.1 實驗動物及材料
實驗動物:60 只 8~10 周齡 SPF 級健康雄性 SD 大鼠,平均體重為(187.3±11.3)g。實驗動物及飼料、墊料由蘭州大學實驗動物中心提供。實驗前將動物置于自然光照、安靜環境、溫度 20~25 ℃、濕度 50%~60%、日溫差≤4 ℃ 的條件下適應性飼養 1 周。本實驗設計符合蘭州大學第一醫院實驗動物倫理學標準。
主要實驗材料:洛沙坦粉劑(大連美侖生物技術有限公司 MB1578);細胞凋亡檢測試劑盒(武漢博士德生物工程有限公司);反轉錄試劑盒及逆轉錄–聚合酶鏈反應(reverse transcription-polymerase chain reaction, RT-PCR)試劑盒(大連 TaKaRa 公司);醫用氧氣、高純度氮氣(甘肅省蘭州方圓建化有限責任公司);CY-12C 測氧儀(浙江省建德市梅城電化學分析儀器廠);全自動生化分析儀(日立 7170A);TKY-BMB 型石蠟包埋機(湖北泰康醫療設備有限公司);光學顯微鏡(日本 Olympus 公司);JEM-1230 透射電鏡(日本 JEOL 電子科技公司);Light Cycler480 全自動實時定量 PCR 系統(羅氏公司)。
1.2 方法
1.2.1 模型的建立與動物分組
將 60 只大鼠按隨機數字表法分為 4 組,每組 15 只。分別為 A 組(空白對照組):置于常氧環境;B 組(IH 組):置于間歇低氧艙內;C 組(IH+洛沙坦組):每日于實驗開始前 30 min 腹腔注射洛沙坦液 30 mg/kg,后置于間歇低氧艙內;D 組(IH+生理鹽水組):每日腹腔注射同劑量生理鹽水作平衡對照,后置于間歇低氧艙內。
參照文獻[5]將洛沙坦粉劑溶于磷酸鹽緩沖液后,于每日實驗前 30 min 測量大鼠體重后以 30 mg/kg 進行腹腔注射。參照文獻[6-7]設計間歇低氧模擬艙,設定程序為 120 s 1 次循環,包括 40 s 的低氧期(純氮氣 30 s+靜息狀態 10 s)和 80 s 的復氧期(純氧氣 20 s+壓縮空氣 60 s)。應用測氧儀實時監測艙內氧濃度,使低氧期艙內氧濃度維持在 6%~7%,并在復氧期迅速升至 21%。A 組置于普通飼養艙內間歇輸入壓縮空氣,輸入時間及流量同間歇低氧組,氧濃度為 21%。每日造模 8 h(9∶00 至 17∶00),連續 6 周。造模期間室內溫度、濕度適宜,飲水自由,無實驗動物死亡。
1.2.2 標本處理
實驗 6 周末將禁食 12 h 的大鼠常規稱重,用 10% 水合氯醛(3 mL/kg)腹腔注射進行麻醉,經腹主動脈采血,離心后送至蘭州大學第一醫院檢驗科,應用全自動生化分析儀檢測腎功能。迅速解剖分離大鼠腎臟,左側腎臟分為兩份,一份置于多聚甲醛中固定,用于病理蘇木精–伊紅染色及 TUNEL 檢測;一份置于戊二醛中固定,用于透射電鏡檢測。右側腎臟保存于–80 ℃ 冰箱用于 RT-PCR 檢測。
1.2.3 TUNEL 法檢測腎臟細胞凋亡
實驗操作參照 TUNEL 試劑盒說明書,行二氨基聯苯胺染色后凋亡的細胞其細胞核呈棕黃色,且大小不一,形態各異,正常細胞的細胞核被蘇木素復染成藍紫色。光鏡下(×400 倍)每張切片隨機選取 5 個不重疊視野,應用 ImagePro Plus6.0 圖像分析系統計數各類細胞數,取其平均值。凋亡指數(apoptotic index,%)=陽性細胞數/總細胞數×100%。
1.2.4 RT-PCR 檢測大鼠腎臟 ERS 通路中相關 mRNA
Trizol 法提取大鼠腎臟總 RNA,逆轉錄試劑盒合成 cDNA。β-actin、Caspase-12、CHOP 引物由大連 TaKaRa 公司合成,JNK 引物由蘭州裕博生物科技有限公司合成。β-actin 上游引物:5’-GGAGATTACTGCCCTGGCTCCTA-3’,下游引物:5’-GACTCATCGTACTCCTGCTTGCTG-3’;caspase-12 上游引物:5’-CAATTCCGACAAACAGCTGAGTTTA-3’,下游引物:5’-CATGGGCCACTCCAACATTTAC-3’;JNK 上游引物:5’-ACTGACAGGACAGGACGAGCAGTA-3’,下游引物:5’-GTGTGGCAGAAACTGACCAATGA-3’;CHOP 上游引物:5’-TGGAAGCCTGGTATGAGGATCTG-3’,下游引物:5’-GAGGTGCTTGTGACCTCTGCTG-3’。擴增條件如下:預變性 95 ℃,30 s,1 個循環;PCR 反應 95 ℃,5 s,40 個循環;融解曲線分析 60 ℃,1 min,1 個循環。每個樣本做 3 個復孔,取其平均值,結果經內參 β-actin 均一化處理后,以正常對照組目的基因表達量為參照因子。數據采用 2-ΔΔCt法進行結果分析。
1.3 統計學方法
采用 SPSS 22.0 統計軟件。符合正態分布的計量資料用均數±標準差(±s)表示。各組間比較用單因素方差分析(one-way ANOVA),若方差齊,采用最小顯著差異法;若方差不齊,采用 Dunnett’s T3 法。細胞凋亡與腎功能損害的相關性用 Pearson 相關性分析。P<0.05 為差異有統計學意義。
2 結果
2.1 大鼠血清腎功能指標
B、D 組大鼠血清尿素氮水平顯著高于 A 組(均 P<0.01),C 組血清尿素氮水平較 B、D 組降低(均 P<0.05);B、D 組大鼠血清肌酐水平均高于 A 組(P<0.01;P<0.05),B、C、D 組間血清肌酐水平差異無統計學意義(P>0.05)。結果見表 1。


2.2 大鼠腎臟病理學變化
在光鏡下觀察,A 組大鼠腎臟組織形態均正常,未見明顯病理損害。B 組及 D 組大鼠腎臟組織可見多數腎小管上皮細胞高度水腫,呈氣球樣變,胞質淡染,結構紊亂,管腔狹窄,以近曲小管為著,腎小球毛細血管內可見大量紅細胞。C 組大鼠腎臟組織可見部分近曲小管上皮細胞輕度水腫,管腔無明顯狹窄,腎小球毛細血管內可見紅細胞,較 B 組及 D 組量少。結果見圖 1。

a. A 組大鼠腎臟組織形態均正常;b 和 d. B 組和 D 組大鼠腎臟組織可見多數腎小管上皮細胞高度水腫,呈氣球樣變,管腔狹窄;c. C 組大鼠腎臟組織可見部分近曲小管上皮細胞輕度水腫,管腔無明顯狹窄
2.3 大鼠腎臟超微結構變化
在透射電鏡下觀察大鼠腎臟組織超微結構變化,發現損傷以近曲腎小管上皮細胞為主。A 組:近曲腎小管上皮細胞刷狀緣整齊、致密,細胞核呈橢圓形,細胞器無明顯變化。B、D 組:腎小球系膜增生,足突局部融合,腎小管上皮細胞游離面微絨毛稀疏、大量脫落,腎小管上皮細胞內出現核固縮、異染色質增多,細胞器腫脹、溶解。C 組:腎小球系膜輕度增生,腎小管上皮細胞游離面微絨毛出現倒伏、稀疏,腎小管上皮細胞呈橢圓形,內可見少量細胞核異型,細胞器輕度腫脹。結果見圖 2。

a. A 組近曲腎小管上皮細胞刷狀緣整齊、致密,細胞核呈橢圓形,細胞器無明顯變化;b 和 d. B 組和 D 組腎小管上皮細胞游離面微絨毛稀疏、脫落,細胞內出現核固縮、異染色質增多,細胞器溶解;c. C 組腎小管上皮細胞游離面微絨毛倒伏、稀疏,細胞內可見少量細胞核異型,細胞器輕度腫脹
2.4 大鼠腎小管上皮細胞凋亡
TUNEL 法檢測結果顯示,A、B、C、D 組腎小管上皮細胞凋亡指數分別為 1.915±0.750、5.997±0.800、3.773±0.709、5.492±0.492。與 A 組比較,B、D 組腎小管上皮細胞凋亡指數顯著升高(均 P<0.01);與 C 組比較,B、D 組腎小管上皮細胞凋亡指數顯著升高(均 P<0.01)。結果見圖 3。

a. A 組;b. B 組;c. C 組;d. D 組;箭頭所示為部分凋亡細胞
2.5 細胞凋亡與腎功能損害的相關性
Pearson 相關性分析顯示各組大鼠腎小管上皮細胞凋亡指數與血清尿素氮呈顯著正相關(r=0.831,P<0.01),與血清肌酐亦呈正相關(r=0.581,P<0.01)。
2.6 大鼠腎臟內質網應激凋亡相關的 mRNA 表達
RT-PCR 檢測結果顯示,與 A 組相比,B、D 組大鼠腎臟組織 Caspase-12、JNK、CHOP mRNA 表達明顯上調(均 P<0.01)。給予洛沙坦干預后,C 組 Caspase-12 mRNA 表達水平較 B、D 組下調(P<0.01;P<0.05);JNK mRNA 表達水平較 B、D 組差異無統計學意義(P>0.05);CHOP mRNA 表達水平較 B、D 組顯著下調(均 P<0.01)。結果見表 2。


3 討論
OSAHS 是以 IH 為主要病理過程,以多系統損害為特點的睡眠呼吸障礙性疾病[8-10]。腎臟是機體內高流量高灌注的臟器,對缺氧極其敏感。OSAHS 所致 IH 與普通慢性持續性缺氧不同,其缺氧是短暫高頻間歇性的,存在循環復氧/再氧化,過程類似于缺血再灌注,可導致活性氧和氧化應激產物增多,增加交感神經活動,并伴有內皮功能障礙,與慢性持續性缺氧相比較可產生更嚴重的影響[9]。IH 可通過激活交感神經系統[11]和腎素–血管緊張素–醛固酮系統[12]、升高血壓[13]、產生氧化應激[14]、促進炎癥[15]、誘導內皮細胞功能障礙[16]和腎臟細胞凋亡[3-4]等導致腎臟損傷。本研究通過建立公認的 IH 動物模型進一步探究 OSAHS 所致腎臟損傷的潛在機制[17]。實驗結果顯示 IH 暴露 6 周的大鼠腎功能血清學指標及組織形態學表現較空白對照組均出現了明顯的損害,腎小管上皮細胞凋亡指數升高,且 Pearson 相關分析顯示凋亡指數與血清肌酐及尿素氮水平呈顯著正相關,提示 IH 可能通過誘導腎小管上皮細胞凋亡導致腎功能損傷。目前發現的誘導細胞凋亡的途徑主要有三種:內源性途徑、外源性途徑和內質網應激途徑。內質網應激是近年來新發現的細胞凋亡途徑,多見于外源性刺激導致內質網的蛋白折疊功能障礙,打破內質網穩態,最終導致內質網應激凋亡通路的激活[18]。內質網應激凋亡途徑主要包含三條凋亡通路,即 Caspase-12 的激活、JNK 磷酸化和 CHOP 的合成。其中,CHOP 和 JNK 是內質網應激與細胞凋亡之間相互聯系的重要中間信號分子,Caspase-12 是細胞凋亡命令的最終執行者[19]。本研究結果顯示,上述三條促凋亡通路中的標志性信號分子 Caspase-12、JNK、CHOP 的 mRNA 在 IH 暴露下均出現了明顯上調,提示 IH 暴露下的大鼠腎臟組織中的內質網應激凋亡通路被激活,IH 可能通過激活上述三條內質網應激凋亡通路導致腎臟細胞凋亡,進而損傷腎功能。由于光鏡下觀察腎臟的病理改變主要表現在腎小管上皮細胞,電鏡下腎小管上皮細胞損失極為明顯,可見核固縮、凋亡小體,因此推測 IH 所致腎臟損傷主要是腎小管上皮細胞的損傷;且 TUNEL 法檢測腎臟細胞凋亡可見黃褐色的凋亡細胞主要分布在腎小管區,考慮 IH 主要引起腎小管上皮細胞凋亡,對腎小球上皮細胞影響較小。因此,我們認為 IH 可通過內質網應激導致腎小管上皮細胞損傷,進而出現腎臟結構和功能學的異常。
IH 可導致腎素–血管緊張素系統的激活[20],是慢性腎臟損傷的主要機制之一。其產物血管緊張素Ⅱ的激活可能引起內質網功能失調,進而導致內質網應激介導的細胞凋亡,從而引起組織損傷[21-22]。但阻斷腎素–血管緊張素系統是否可通過抑制內質網應激而減輕 IH 的損傷作用,尚不得而知。本實驗應用臨床常見的 ARB 類藥物洛沙坦進行干預,旨在抑制腎素–血管緊張素系統。結果顯示,經 ARB 類藥物洛沙坦干預后,IH 大鼠血清尿素氮水平下降,腎臟組織病理及超微結構損傷減輕,腎小管上皮細胞凋亡指數下降,結合腎功能血清學指標與凋亡指數的相關性分析,提示洛沙坦可通過抑制腎小管上皮細胞凋亡保護腎功能。RT-PCR 結果顯示,經洛沙坦干預后腎臟 Caspase-12、CHOP mRNA 的表達降低,說明洛沙坦可能通過下調內質網應激凋亡通路中 Caspase-12、CHOP mRNA 的表達而減輕 IH 對大鼠腎臟的損傷作用。
綜上所述,IH 可通過激活內質網應激介導的 Caspase-12、JNK 及 CHOP 三條凋亡通路導致大鼠腎臟組織功能的損傷及形態學的變化,而 ARB 類藥物洛沙坦可能通過抑制內質網應激介導的 Caspase-12 和 CHOP 凋亡通路起到保護作用。這可能為今后 ARB 類藥物治療 OSAHS 所致腎臟損傷提供一個新的理論依據。
利益沖突:本研究不涉及任何利益沖突。