引用本文: 杜高潔, 張永明, 林江濤, 趙玲. 特發性嗜酸性粒細胞增多綜合征 15 例臨床分析. 中國呼吸與危重監護雜志, 2020, 19(1): 59-63. doi: 10.7507/1671-6205.201812036 復制
嗜酸性粒細胞增多綜合征(hypereosinophilic syndrome,HES)是以組織器官損傷為表現的一組異質性疾病,以長期外周血或組織嗜酸性粒細胞(eosinophil,EOS)增多、多器官系統功能障礙為主要特點[1-2]。該綜合征需符合 2 個特征:(1)至少 2 次檢查 EOS 絕對計數≥1 500/μL;(2)可歸因于 EOS 增多的器官功能障礙[3-4]。特發性嗜酸性粒細胞增多綜合征(idiopathic hypereosinophilic syndrome,IHES)是原因不明 HES 的一類疾病的統稱。該綜合征常累及呼吸、消化系統及皮膚等,易造成誤診、誤治。國內目前對此類綜合征鮮有報道。本研究分析了中日友好醫院確診 IHES 患者的臨床特征,并進行文獻復習和總結。
1 資料與方法
1.1 臨床資料
納入 2010 年 9 月至 2018 年 5 月在中日友好醫院住院的 15 例確診 IHES 的患者。診斷標準:(1)在 1 個月內隨機檢測 2 次外周血 EOS 絕對值>1.5×109/L[3, 5],或者有明顯的組織中 EOS 增多,并伴有癥狀和顯著的外周血 EOS 增多;(2)排除繼發性 HES 的可能性,如寄生蟲和病毒感染、過敏性疾病、藥物或化學物引起、腎上腺功能低下和腫瘤。
排除性檢查包括以下多項。(1)寄生蟲相關化驗:大便查寄生蟲(鉤蟲卵、蛔蟲卵、鞭蟲卵、原蟲、包囊、藍氏賈第鞭毛蟲、腸滴蟲),結合外周血查寄生蟲(弓形蟲、曼氏裂頭蚴、肺吸蟲、瘧原蟲)。(2)自身免疫疾病相關化驗:抗核抗體譜和中性粒細胞胞漿抗體。(3)血液病相關檢查:包括外周血涂片形態學、骨髓穿刺、血液病免疫分型、FIP1L1(Fip1-like 1)和血小板衍化生長因子受體 α(platelet-derived growth factor receptor alpha,PDGFRA)形成的融合基因、骨髓增生異常綜合征(myelodysplastic syndrome,MDS)/骨髓增殖性腫瘤(myeloproliferative neoplasm,MPN)融合基因檢測,并由血液科醫師會診后排除腫瘤性 HES。(4)血清總 IgE 及特異性 IgE、支氣管檢查及病理活檢排除變異性支氣管肺曲霉病及嗜酸性粒細胞性肉芽腫性血管炎。
1.2 方法
回顧性分析 15 例 IHES 患者的臨床癥狀、查體、實驗室檢查結果、肺通氣功能、支氣管鏡檢查結果、影像學檢查結果、病理檢查結果、治療方法及預后。根據發病影響部位,呼吸系統受累 11 例,消化系統受累 1 例,皮膚受累 3 例,歸納其臨床、影像學、病理特點。
2 結果
2.1 一般情況
15 例患者中,女 3 例,男 12 例,平均年齡(53.7±21.3)歲。女性患者平均年齡(58.3±16.9)歲,男性患者平均年齡(52.6±22.8)歲。呼吸系統受累患者男 8 例,女 3 例;平均年齡(55.3±20.3)歲;病程最短 1 個月,最長 3 年,平均病程(7±11)個月。其他系統受累患者 4 例均為男性,平均年齡(49.5±26.8)歲,平均病程(7±12)個月。結果見表 1。


2.2 臨床表現
呼吸系統受累的患者 11 例。胸悶 9 例,咳嗽、咳痰 8 例,喘息 8 例,乏力 7 例,發熱 6 例,心悸 3 例,咯血 1 例,腹部不適 1 例(胃部受累),體重減輕 4 例。查體聽診呼吸音減低 5 例,雙肺濕啰音 4 例,哮鳴音 1 例,淺表淋巴結多發腫大 1 例。其他系統受累患者 4 例患者中,1 例表現為四肢紅斑、丘疹、小水皰;1 例表現為全身皮疹,伴胸悶、咳嗽咳痰、乏力、喘息癥狀;1 例表現為全身斑丘疹、褐色疹痕,骨骼疼痛、腹部不適,伴有體重減輕。1 例累及消化系統,出現脾大、腹腔積液,并有明顯腹脹,伴咳嗽、咳痰。
2.3 實驗室檢查
白細胞計數正常或輕度增高。血清、痰及支氣管肺泡灌洗液(bronchoalveolar lavage fluid,BALF)中 EOS 均有升高。血清總 IgE 明顯升高,尤其是呼吸系統受累的患者。呼出氣一氧化氮多有升高。低氧血癥多表現在有呼吸系統受累患者。結果見表 1。
2.4 血液科基因檢查
患者中 7 例行血液病免疫分型、PDGFRA 基因檢測、MDS/MPN 融合基因檢測等相關檢查,結果均為陰性。
2.5 影像學檢查
胸部 CT 影像學顯示病變部位累及雙肺 12 例,只累及右肺 3 例。有 12 例表現為肺紋理增粗,11 例患者表現為斑片影或磨玻璃影,3 例有實變影,4 例有索條影。6 例有縱隔淋巴結增大。10 例合并胸腔積液,多為少量積液。腹部 CT 或超聲檢查發現脾大 4 例,腹腔積液 1 例。結果見圖 1。

a. 右肺斑片影,肺門增大;b. 右肺斜裂葉間積液;c. 雙肺網格斑片影,支氣管牽拉擴張,少量胸腔積液;d. 縱隔淋巴結增大
2.6 細胞分類檢查
呼吸系統受累患者痰細胞分類檢查 7 例,胸腔積液細胞分類檢查 3 例,BALF 檢查 5 例;其他系統受累患者痰細胞分類檢查 2 例,胸腔積液細胞分類檢查 1 例,BALF 檢查 1 例。可見 EOS 百分比顯著增高,呼吸系統受累組的痰、胸腔積液、BALF 中 EOS 百分比更高。結果見表 2。


2.7 病理學檢查
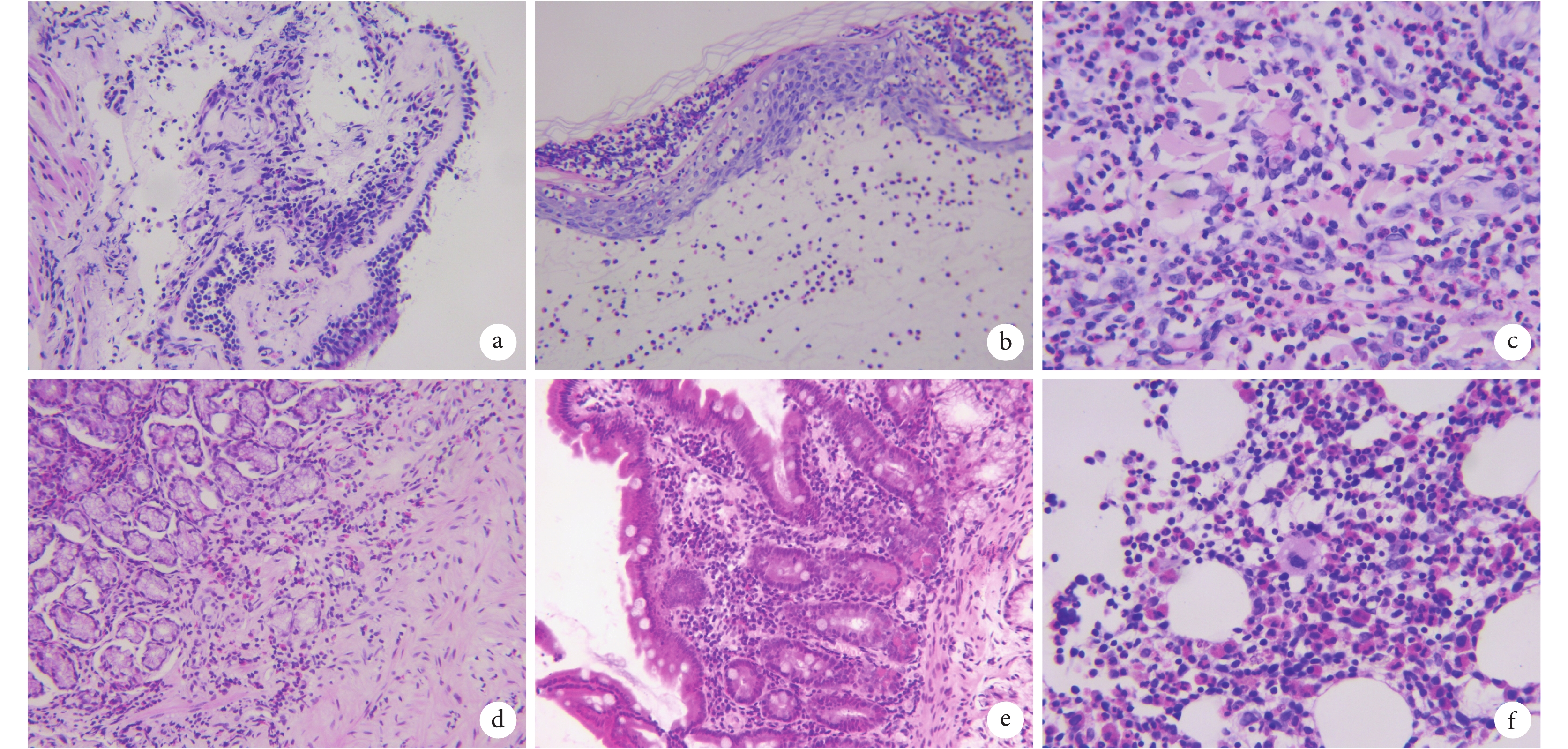
經支氣管鏡肺活檢病理可見支氣管黏膜及肺泡間隔 EOS 浸潤,肺泡間隔增寬及慢性炎癥,少見纖維組織增生(圖2a)。2 例胸膜活檢病理見 EOS 浸潤。1 例鼻咽部活檢病理見 EOS 浸潤。1 例頸部淋巴結活檢 EOS 浸潤。2 例皮膚活檢見 EOS 浸潤(圖2b 和圖2c)。3 例胃部活檢病理見 EOS 浸潤(圖2d),其中 1 例十二指腸活檢病理見 EOS 浸潤(圖2e)。9 例患者行骨髓穿刺檢查,所有患者病理均提示 EOS 增多(圖2f)。

a. 支氣管黏膜病理活檢示 EOS>50/HP(×200);b. 皮膚病理活檢示大量 EOS 浸潤(×200);c. 皮膚病理活檢示大量 EOS 浸潤(×400);d. 胃竇活檢病理示黏膜肌層 EOS 浸潤(×200);e. 十二指腸病理活檢示 EOS 浸潤(×200);f. 骨髓穿刺活檢示大量 EOS 浸潤(×400)
2.8 治療反應
應用糖皮質激素治療 9 例,劑量為潑尼松 0.5 mg·kg–1·d–1,治療后 1~3 個月隨訪,如治療有效開始糖皮質激素逐漸減量,總療程 6~9 個月。如 3 個月后治療無反應則停用糖皮質激素。血常規 EOS 計數及百分比、血清總 IgE、C 反應蛋白均值較前降低,但差異未達到統計學意義。低氧血癥患者 5 例,治療后復查動脈血氧分壓、血氧飽和度均顯著改善。結果見表 3。


經治療,9 例患者中有 8 例呼吸系統癥狀(咳嗽、咳痰、發熱、喘息、咯血)緩解或明顯減輕;7 例患者胸部 CT 肺部影像學改變吸收。以消化系統為主要表現的患者腹脹癥狀緩解,腹部影像學復查提示脾大減輕,腹腔積液消失。皮膚受累的 3 例患者中有 2 例隨訪,均出現皮疹消退,或僅留有色素沉著。
3 討論
IHES 是一個排除性的診斷[6-7],是原因不明的 HES 的一類疾病的統稱。2017 年世界衛生組織(WHO)規范了 IHES 的定義及診斷標準:(1)外周血 EOS 絕對值>1.5×109/L,持續時間 6 個月或以上;(2)伴有器官或組織受到侵犯;(3)除外繼發性 HES:包括反應性 EOS 增多,淋巴系統腫瘤繼發的 EOS 增多,WHO 定義的骨髓惡性腫瘤相關的 EOS 增多,如 MDS、MPN、MDS/MPN 或急性髓細胞白血病;(4)嗜酸性粒細胞相關的 MPN,或與 PDGFRA、PDGFRB 或 FGFR1(成纖維生長因子受體)或 PCM1‐JAK2 融合基因重新排列有關的急性髓細胞白血病/急性淋巴細胞白血病[8-9]。同時強調,即使沒有組織損傷,IHES 也是其首選診斷。HES 比較罕見,約每 10 萬人年發生 0.36 例,男性多見,主要發病年齡 20~50 歲[10]。IHES 例數更少,通常診斷年齡在 20~50 歲[9],高齡女性發病亦有報道[11]。IHES 可累及多個系統,評估是否存在組織/器官受累及其程度對治療有重大意義。隨著基因檢測手段的提高,目前已放松其診斷標準[9],無須等到 6 個月或已造成器官組織不可逆損傷時才進行診斷和治療。HES 的診斷思路:(1)對于常規檢查血常規、外周血涂片提示 EOS 升高,不能除外 HES 診斷;(2)確定病因,有明確病因的給予治療,沒有明確病因的完善 PDGFR 基因的檢測。對于沒有 PDGFR 基因突變或融合基因的患者,且存在靶器官損害者,診斷為 IHES[9]。因 IHES 常有多系統受累,疑診患者應積極完善病理學相關檢查,明確病變累及部位以改善預后。
EOS 的常見靶器官包括皮膚、肺和胃腸道[9]。與肺部受累有關的癥狀和體征相對較常見,約 40% 的 IHES 患者有這種癥狀[12],成為患者就診的主要原因。肺部受累的影像學表現多樣,可有肺實質浸潤、胸腔積液、縱隔淋巴結增大、肺栓塞[13],也有患者就診后發現并發肺動脈受侵犯形成高壓[14]。分析因呼吸系統發病就診的此類患者發現以下特點:(1)男性多于女性,且與吸煙無明顯相關性。(2)肺部受累的癥狀和體征表現各異,可表現為肺部斑片狀浸潤、肺間質改變、胸腔積液,或僅有發熱、乏力等慢性消耗癥狀;影像學多累及雙肺,多伴有胸腔積液,而且形態表現多樣。(3)血清總 IgE 水平正常或明顯升高,應用糖皮質激素治療后會有明顯的下降。(4)骨髓活檢都有顯著的 EOS 浸潤。(5)支氣管鏡檢查發現 BALF 細胞分類計數均有明顯的 EOS 比例升高,胸膜活檢病理可有 EOS 浸潤現象。因此,相關受累部位的活檢病理學檢查也十分重要。
在 HES 患者的隨訪中,69% 的患者報告最常見的臨床表現是皮膚病變[9]。IHES 皮膚受累較為常見,因皮疹易見,此類患者就診較及時。但此類患者皮膚損害表現缺乏特異性,可表現為水皰、丘疹、斑疹,易與其他出疹性疾病混淆。若血常規檢查發現 EOS 升高,應及時行皮膚活檢。以消化系統疾病就醫的患者,往往只有腹脹或反酸、腹痛等胃部不適癥狀,加之消化器官癥狀定位不準確,此類患者極易漏診。因此對于疑診 HES 的患者,早期的消化內鏡、病理活檢尤為重要。如果病理提示有 EOS 浸潤,可參照 Gotlib[8]提出的 IHES 診治流程進行規范診治。而評估 IHES 患者病情最重要的步驟是評估其組織或器官的受累范圍及程度,對治療有重大意義。
EOS 可釋放緩激肽、組胺類及其他有毒物質,進而引起血管擴張、水腫及組織損害。IHES 患者的多系統受累,其機制可能與之相關。在 HES 中,EOS 數量往往隨著白細胞介素-5 水平的波動而波動,癥狀的惡化或好轉與 EOS 的數量相關[6]。EOS 浸潤組織導致器官功能障礙,因此阻斷 EOS 介導的器官損害是治療的主要目的[15]。治療應盡早開始,糖皮質激素作為此類疾病的首選治療藥物[7],可迅速有效地降低 EOS 計數,但仍須監測患者系統損害程度。治療前應根據常見受累系統或器官進行檢查,如呼吸系統、消化系統、皮膚及心臟等,以確定 EOS 增多的潛在原因。國外有應用 Mepolizumab 和 Alemtuzumabyu 以及酪氨酸激酶抑制劑伊馬替尼[16]治療 HES 疾病的相關研究,初見效果,但尚缺乏臨床證據[7],有待于進一步臨床實踐證實。
利益沖突:本研究不涉及任何利益沖突。
嗜酸性粒細胞增多綜合征(hypereosinophilic syndrome,HES)是以組織器官損傷為表現的一組異質性疾病,以長期外周血或組織嗜酸性粒細胞(eosinophil,EOS)增多、多器官系統功能障礙為主要特點[1-2]。該綜合征需符合 2 個特征:(1)至少 2 次檢查 EOS 絕對計數≥1 500/μL;(2)可歸因于 EOS 增多的器官功能障礙[3-4]。特發性嗜酸性粒細胞增多綜合征(idiopathic hypereosinophilic syndrome,IHES)是原因不明 HES 的一類疾病的統稱。該綜合征常累及呼吸、消化系統及皮膚等,易造成誤診、誤治。國內目前對此類綜合征鮮有報道。本研究分析了中日友好醫院確診 IHES 患者的臨床特征,并進行文獻復習和總結。
1 資料與方法
1.1 臨床資料
納入 2010 年 9 月至 2018 年 5 月在中日友好醫院住院的 15 例確診 IHES 的患者。診斷標準:(1)在 1 個月內隨機檢測 2 次外周血 EOS 絕對值>1.5×109/L[3, 5],或者有明顯的組織中 EOS 增多,并伴有癥狀和顯著的外周血 EOS 增多;(2)排除繼發性 HES 的可能性,如寄生蟲和病毒感染、過敏性疾病、藥物或化學物引起、腎上腺功能低下和腫瘤。
排除性檢查包括以下多項。(1)寄生蟲相關化驗:大便查寄生蟲(鉤蟲卵、蛔蟲卵、鞭蟲卵、原蟲、包囊、藍氏賈第鞭毛蟲、腸滴蟲),結合外周血查寄生蟲(弓形蟲、曼氏裂頭蚴、肺吸蟲、瘧原蟲)。(2)自身免疫疾病相關化驗:抗核抗體譜和中性粒細胞胞漿抗體。(3)血液病相關檢查:包括外周血涂片形態學、骨髓穿刺、血液病免疫分型、FIP1L1(Fip1-like 1)和血小板衍化生長因子受體 α(platelet-derived growth factor receptor alpha,PDGFRA)形成的融合基因、骨髓增生異常綜合征(myelodysplastic syndrome,MDS)/骨髓增殖性腫瘤(myeloproliferative neoplasm,MPN)融合基因檢測,并由血液科醫師會診后排除腫瘤性 HES。(4)血清總 IgE 及特異性 IgE、支氣管檢查及病理活檢排除變異性支氣管肺曲霉病及嗜酸性粒細胞性肉芽腫性血管炎。
1.2 方法
回顧性分析 15 例 IHES 患者的臨床癥狀、查體、實驗室檢查結果、肺通氣功能、支氣管鏡檢查結果、影像學檢查結果、病理檢查結果、治療方法及預后。根據發病影響部位,呼吸系統受累 11 例,消化系統受累 1 例,皮膚受累 3 例,歸納其臨床、影像學、病理特點。
2 結果
2.1 一般情況
15 例患者中,女 3 例,男 12 例,平均年齡(53.7±21.3)歲。女性患者平均年齡(58.3±16.9)歲,男性患者平均年齡(52.6±22.8)歲。呼吸系統受累患者男 8 例,女 3 例;平均年齡(55.3±20.3)歲;病程最短 1 個月,最長 3 年,平均病程(7±11)個月。其他系統受累患者 4 例均為男性,平均年齡(49.5±26.8)歲,平均病程(7±12)個月。結果見表 1。


2.2 臨床表現
呼吸系統受累的患者 11 例。胸悶 9 例,咳嗽、咳痰 8 例,喘息 8 例,乏力 7 例,發熱 6 例,心悸 3 例,咯血 1 例,腹部不適 1 例(胃部受累),體重減輕 4 例。查體聽診呼吸音減低 5 例,雙肺濕啰音 4 例,哮鳴音 1 例,淺表淋巴結多發腫大 1 例。其他系統受累患者 4 例患者中,1 例表現為四肢紅斑、丘疹、小水皰;1 例表現為全身皮疹,伴胸悶、咳嗽咳痰、乏力、喘息癥狀;1 例表現為全身斑丘疹、褐色疹痕,骨骼疼痛、腹部不適,伴有體重減輕。1 例累及消化系統,出現脾大、腹腔積液,并有明顯腹脹,伴咳嗽、咳痰。
2.3 實驗室檢查
白細胞計數正常或輕度增高。血清、痰及支氣管肺泡灌洗液(bronchoalveolar lavage fluid,BALF)中 EOS 均有升高。血清總 IgE 明顯升高,尤其是呼吸系統受累的患者。呼出氣一氧化氮多有升高。低氧血癥多表現在有呼吸系統受累患者。結果見表 1。
2.4 血液科基因檢查
患者中 7 例行血液病免疫分型、PDGFRA 基因檢測、MDS/MPN 融合基因檢測等相關檢查,結果均為陰性。
2.5 影像學檢查
胸部 CT 影像學顯示病變部位累及雙肺 12 例,只累及右肺 3 例。有 12 例表現為肺紋理增粗,11 例患者表現為斑片影或磨玻璃影,3 例有實變影,4 例有索條影。6 例有縱隔淋巴結增大。10 例合并胸腔積液,多為少量積液。腹部 CT 或超聲檢查發現脾大 4 例,腹腔積液 1 例。結果見圖 1。

a. 右肺斑片影,肺門增大;b. 右肺斜裂葉間積液;c. 雙肺網格斑片影,支氣管牽拉擴張,少量胸腔積液;d. 縱隔淋巴結增大
2.6 細胞分類檢查
呼吸系統受累患者痰細胞分類檢查 7 例,胸腔積液細胞分類檢查 3 例,BALF 檢查 5 例;其他系統受累患者痰細胞分類檢查 2 例,胸腔積液細胞分類檢查 1 例,BALF 檢查 1 例。可見 EOS 百分比顯著增高,呼吸系統受累組的痰、胸腔積液、BALF 中 EOS 百分比更高。結果見表 2。


2.7 病理學檢查
經支氣管鏡肺活檢病理可見支氣管黏膜及肺泡間隔 EOS 浸潤,肺泡間隔增寬及慢性炎癥,少見纖維組織增生(圖2a)。2 例胸膜活檢病理見 EOS 浸潤。1 例鼻咽部活檢病理見 EOS 浸潤。1 例頸部淋巴結活檢 EOS 浸潤。2 例皮膚活檢見 EOS 浸潤(圖2b 和圖2c)。3 例胃部活檢病理見 EOS 浸潤(圖2d),其中 1 例十二指腸活檢病理見 EOS 浸潤(圖2e)。9 例患者行骨髓穿刺檢查,所有患者病理均提示 EOS 增多(圖2f)。

a. 支氣管黏膜病理活檢示 EOS>50/HP(×200);b. 皮膚病理活檢示大量 EOS 浸潤(×200);c. 皮膚病理活檢示大量 EOS 浸潤(×400);d. 胃竇活檢病理示黏膜肌層 EOS 浸潤(×200);e. 十二指腸病理活檢示 EOS 浸潤(×200);f. 骨髓穿刺活檢示大量 EOS 浸潤(×400)
2.8 治療反應
應用糖皮質激素治療 9 例,劑量為潑尼松 0.5 mg·kg–1·d–1,治療后 1~3 個月隨訪,如治療有效開始糖皮質激素逐漸減量,總療程 6~9 個月。如 3 個月后治療無反應則停用糖皮質激素。血常規 EOS 計數及百分比、血清總 IgE、C 反應蛋白均值較前降低,但差異未達到統計學意義。低氧血癥患者 5 例,治療后復查動脈血氧分壓、血氧飽和度均顯著改善。結果見表 3。


經治療,9 例患者中有 8 例呼吸系統癥狀(咳嗽、咳痰、發熱、喘息、咯血)緩解或明顯減輕;7 例患者胸部 CT 肺部影像學改變吸收。以消化系統為主要表現的患者腹脹癥狀緩解,腹部影像學復查提示脾大減輕,腹腔積液消失。皮膚受累的 3 例患者中有 2 例隨訪,均出現皮疹消退,或僅留有色素沉著。
3 討論
IHES 是一個排除性的診斷[6-7],是原因不明的 HES 的一類疾病的統稱。2017 年世界衛生組織(WHO)規范了 IHES 的定義及診斷標準:(1)外周血 EOS 絕對值>1.5×109/L,持續時間 6 個月或以上;(2)伴有器官或組織受到侵犯;(3)除外繼發性 HES:包括反應性 EOS 增多,淋巴系統腫瘤繼發的 EOS 增多,WHO 定義的骨髓惡性腫瘤相關的 EOS 增多,如 MDS、MPN、MDS/MPN 或急性髓細胞白血病;(4)嗜酸性粒細胞相關的 MPN,或與 PDGFRA、PDGFRB 或 FGFR1(成纖維生長因子受體)或 PCM1‐JAK2 融合基因重新排列有關的急性髓細胞白血病/急性淋巴細胞白血病[8-9]。同時強調,即使沒有組織損傷,IHES 也是其首選診斷。HES 比較罕見,約每 10 萬人年發生 0.36 例,男性多見,主要發病年齡 20~50 歲[10]。IHES 例數更少,通常診斷年齡在 20~50 歲[9],高齡女性發病亦有報道[11]。IHES 可累及多個系統,評估是否存在組織/器官受累及其程度對治療有重大意義。隨著基因檢測手段的提高,目前已放松其診斷標準[9],無須等到 6 個月或已造成器官組織不可逆損傷時才進行診斷和治療。HES 的診斷思路:(1)對于常規檢查血常規、外周血涂片提示 EOS 升高,不能除外 HES 診斷;(2)確定病因,有明確病因的給予治療,沒有明確病因的完善 PDGFR 基因的檢測。對于沒有 PDGFR 基因突變或融合基因的患者,且存在靶器官損害者,診斷為 IHES[9]。因 IHES 常有多系統受累,疑診患者應積極完善病理學相關檢查,明確病變累及部位以改善預后。
EOS 的常見靶器官包括皮膚、肺和胃腸道[9]。與肺部受累有關的癥狀和體征相對較常見,約 40% 的 IHES 患者有這種癥狀[12],成為患者就診的主要原因。肺部受累的影像學表現多樣,可有肺實質浸潤、胸腔積液、縱隔淋巴結增大、肺栓塞[13],也有患者就診后發現并發肺動脈受侵犯形成高壓[14]。分析因呼吸系統發病就診的此類患者發現以下特點:(1)男性多于女性,且與吸煙無明顯相關性。(2)肺部受累的癥狀和體征表現各異,可表現為肺部斑片狀浸潤、肺間質改變、胸腔積液,或僅有發熱、乏力等慢性消耗癥狀;影像學多累及雙肺,多伴有胸腔積液,而且形態表現多樣。(3)血清總 IgE 水平正常或明顯升高,應用糖皮質激素治療后會有明顯的下降。(4)骨髓活檢都有顯著的 EOS 浸潤。(5)支氣管鏡檢查發現 BALF 細胞分類計數均有明顯的 EOS 比例升高,胸膜活檢病理可有 EOS 浸潤現象。因此,相關受累部位的活檢病理學檢查也十分重要。
在 HES 患者的隨訪中,69% 的患者報告最常見的臨床表現是皮膚病變[9]。IHES 皮膚受累較為常見,因皮疹易見,此類患者就診較及時。但此類患者皮膚損害表現缺乏特異性,可表現為水皰、丘疹、斑疹,易與其他出疹性疾病混淆。若血常規檢查發現 EOS 升高,應及時行皮膚活檢。以消化系統疾病就醫的患者,往往只有腹脹或反酸、腹痛等胃部不適癥狀,加之消化器官癥狀定位不準確,此類患者極易漏診。因此對于疑診 HES 的患者,早期的消化內鏡、病理活檢尤為重要。如果病理提示有 EOS 浸潤,可參照 Gotlib[8]提出的 IHES 診治流程進行規范診治。而評估 IHES 患者病情最重要的步驟是評估其組織或器官的受累范圍及程度,對治療有重大意義。
EOS 可釋放緩激肽、組胺類及其他有毒物質,進而引起血管擴張、水腫及組織損害。IHES 患者的多系統受累,其機制可能與之相關。在 HES 中,EOS 數量往往隨著白細胞介素-5 水平的波動而波動,癥狀的惡化或好轉與 EOS 的數量相關[6]。EOS 浸潤組織導致器官功能障礙,因此阻斷 EOS 介導的器官損害是治療的主要目的[15]。治療應盡早開始,糖皮質激素作為此類疾病的首選治療藥物[7],可迅速有效地降低 EOS 計數,但仍須監測患者系統損害程度。治療前應根據常見受累系統或器官進行檢查,如呼吸系統、消化系統、皮膚及心臟等,以確定 EOS 增多的潛在原因。國外有應用 Mepolizumab 和 Alemtuzumabyu 以及酪氨酸激酶抑制劑伊馬替尼[16]治療 HES 疾病的相關研究,初見效果,但尚缺乏臨床證據[7],有待于進一步臨床實踐證實。
利益沖突:本研究不涉及任何利益沖突。