引用本文: 張海, 陳宇清, 沈胤晨, 李鋒, 施錦繡. 肺泡微石癥一例并文獻復習. 中國呼吸與危重監護雜志, 2019, 18(2): 162-168. doi: 10.7507/1671-6205.201807036 復制
肺泡微石癥(pulmonary alveolar microlithiasis,PAM)是一種罕見的、以肺泡內磷酸鈣鹽微結石廣泛沉積為特征的慢性疾病。PAM 于 1868 年首次由 Marcello Malpighi 描述,1918 年 Harbitz[1]首先詳細描述了組織病理學。1933 年Puhr[2]將命名為“Microlithiasis Alveolaris Pulmonum”。我院于 2017 年 10 月收治 1 例男性患者,根據胸部 CT 影像,結合 CT 引導下經皮肺穿刺活檢病理,診斷 PAM。在取得患者本人及相關直系親屬的知情同意后,采集外周血行基因檢測分析。同時在 PubMed 上以“pulmonary alveolar microlithiasis”為關鍵詞,查閱了 2000 年至 2017 年以來相關文獻并進行復習,對 PAM 的臨床資料、診斷方法、治療及預后進行歸納分析,旨在提高對該病的認識和診治效果。
1 臨床資料
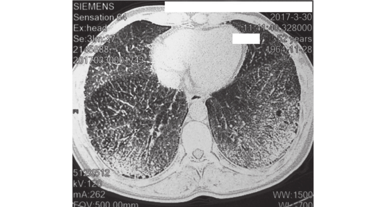
患者男性,51 歲,因“反復間斷咳嗽 30 年,再發伴胸悶氣喘 3 周”于 2017 年 10 月來我院就診。入院前當地醫院胸部 X 及 CT 檢查顯示兩肺實質遍布彌漫性砂礫狀高密度影,雙側氣胸,左側為著,壓縮約 20%。既往有 30 年吸煙史,每日約 20 支。體檢:神志清楚,口唇輕度紫紺,兩肺呼吸音減低,兩下肺聞及 velcro 啰音,手指杵狀指。血氣分析(吸空氣):pH 7.36,氧分壓 82 mm Hg(1 mm Hg=0.133 kPa),二氧化碳分壓 40.9 mm Hg,氧飽和度 95.5%。血常規:白細胞 8.7×109/L,中性粒細胞百分比 59.5%,淋巴細胞百分比 27.0%,嗜酸性粒細胞百分比 7.4%,紅細胞計數 4.96×1012/L,血紅蛋白濃度 148 g/L,血小板計數 455×109/L,C 反應蛋白 7.70 mg/L,血沉 70 mm/1 h。生化正常,血鈣、鎂、磷正常。凝血功能及 D 二聚體正常。腫瘤指標:糖類抗原 15-3 69.40 U/ml,糖類抗原 125 115.18 U/ml,其余包括癌胚抗原、細胞角蛋白 19 片段、鱗狀細胞癌抗原、神經元特異烯醇化酶正常。免疫球蛋白電泳正常。自身抗體系列:抗核抗體 1∶100 陽性。心電圖:竇性心律,不完全性右束支傳導阻滯。腹部超聲及心臟彩超未見異常。肺功能報告:用力肺活量占預計值百分比 51.7%,第 1 秒用力呼氣容積(forced expiratory volume in one second,FEV1)占預計值百分比 53%,一口氣呼吸法肺一氧化碳彌散量(diffusing capacity of the lung for carbon monoxide,DLCO)6.13 ml/(mm Hg·min),占預計值百分比 27.7%,DLCO 與肺泡通氣量的比值 38.5%,提示中度限制性通氣功能障礙,重度彌散功能障礙。胸部高分辨率 CT:兩肺野見彌漫分布砂礫狀高密度影,密度兩下肺為甚,彌漫成片,肺間質廣泛增厚,兩中上肺野可見肺大皰,兩側胸膜局部增厚,考慮 PAM(圖 1a、b)。為進一步明確診斷,入院后行支氣管鏡檢查和支氣管肺泡灌洗液檢查均無明顯的異常發現。遂行 CT 引導下經皮左肺下葉肺穿刺,活檢病理報告:破碎支氣管及肺泡組織,其間見散在鈣化灶,傾向 PAM,特染:過碘酸希夫(+/–),甲基紫(+/–),剛果紅(–)。病理切片顯示肺泡上皮可見大量鈣鹽沉積(圖 1c)。

a. CT 檢查像,雙上肺野彌漫分布鈣化影,右側更甚,肺間質廣泛增厚,可見肺大皰,兩側胸膜局部增厚;b. CT 檢查像,雙下肺野見彌漫成片分布砂礫狀高密度影,兩側胸膜局部增厚,可見“黑胸膜線”;c. 病理檢查像,蘇木精-伊紅×100,肺泡上皮可見大量鈣鹽沉積
追問家族史:患者有 1 個哥哥、1 個弟弟和 1 個妹妹。患者的哥哥行胸部 CT 檢查亦考慮 PAM,但影像學改變相對輕(圖 2),肺功能檢查示輕度限制性通氣功能障礙,中度彌散功能障礙。

示兩肺彌漫性高密度鈣化影,程度相對稍輕
2 基因檢測
2.1 基因檢測方法
采集患者的血液樣本送艾吉泰康生物科技(北京)有限公司進行全外顯子測序。主要流程為:基因組 DNA 檢測合格后,超聲打斷至 150~200 bp。末端補平,3'端加 A,連接測序接頭,純化擴增后,采用 TargetSeq?探針進行液相捕獲。捕獲后文庫使用 Qubit dsDNA HS Assay Kit 進行定量,Agilent 2100 Bioanalyzer 系統(Agilent DNA 1000 Kit)進行文庫片段長度測定,文庫長度約在 220~320 bp 之間。使用 Illumina 高通量測序平臺進行測序。獲得原始測序序列后,進行測序數據質量評估,符合標準則進行后續變異檢測。將序列比對到人參考基因組上(GRCh37/hg19),檢測樣本中的變異信息,并對檢出的變異進行統計和注釋。共獲得 15 G 原始數據總堿基數,測序平均讀長 134 bp,比對到參考基因組上的序列數為 82 M,外顯子區域中位測序深度 127 x。
全外顯子測序檢測到的突變,由上海生工生物工程公司利用 Sanger 測序方法,在患者及家系其他成員進行驗證。PCR 及測序引物為 SC159-F(5'CCAAGAGGCATGGAAATAACAA3')及 SC159-R (5'GTTCTGAGGATATGCTGATGGTT3'),擴增片段為 407 bp。測序結果在軟件 Chromas 2.33 打開閱讀。
2.2 基因檢測結果
2.2.1 患者全外顯子測序結果
全外顯子測序檢測到 SLC34A2 基因區域的位點見表 1。其中位點 chr4:25672438 的純合突變,改變了 SLC34A2 基因第 8 外顯子氨基酸序列(c.910A>T,p.K304X),引入一終止密碼子,結果見圖 3。


a. 純合野生型;b. 雜合突變型;c. 純合突變型。灰箭示突變位置,c.910A>T
2.2.2 基因家系圖
Sanger 測序方法結果顯示,在患者的家系中,除患者外,其兄也存在 c.910A>T 的純合突變,而雜合突變者有 5 位(圖 4)。

A 為參考序列,T 為突變序列。白框示男未患病者,白圓示女未患病者,黑框示男患者,黑箭示先證者
3 文獻復習
在 Pubmed 上以“pulmonary alveolar microlithiasis”為關鍵詞,查閱了 2000 年至 2017 年以來的相關文獻,獲得 108 篇文獻,共 172 例患者。
3.1 臨床資料
172 例患者中,男 85 例,除去 2 例年齡不詳,平均確診時年齡 32.5 歲(8 個月~63 歲);女 87 例,除去 2 例年齡不詳,平均確診時年齡 32.4 歲(4~82 歲)。有精確年齡記錄的病例 145 例,31.0% 的患者在 20 歲之前確診,86.2% 的患者在 50 歲之前確診。結果見表 2。

172 例患者中,除了 24 例未描述癥狀外,最常見的癥狀是呼吸困難(45.9%),初起為活動后呼吸困難,而且呈進行性加重,其次為咳嗽(28.4%)、胸痛(4.7%)、發熱(4.1%)、疲勞(4.1%)、咯血(2.7%)。還有部分患者(19.6%)無癥狀。臨床體征主要有口唇紫紺、杵狀指、聽診兩肺聞及細濕羅音或者 Velcro 啰音。
主要的并發癥包括肺氣腫、肺動脈高壓、右心衰竭、肺心病。少見的并發癥包括自發性氣胸、胸膜鈣化、腎臟鈣化、膽結石、泌尿系結石。到了終末期,常因心肺功能衰竭而導致死亡。
3.2 診斷方法
通過肺活檢明確診斷的有 87 例(外科肺活檢 35 例,經支氣管鏡肺活檢 50 例,CT 引導下經皮肺穿刺 1 例,尸體解剖 1 例),行 Tc-99m 肺攝取顯像的有 17 例,痰找到微結石 1 例,氣管鏡下行肺泡灌洗檢查的有 20 例,按照胸部影像學結合臨床診斷的有 39 例。
3.3 治療及預后
文獻中提及的治療方式有氧療(3 例)、吸入支氣管舒張劑(5 例)、口服潑尼松治療(5 例),無明顯效果;對于未成年的患者,口服依替膦酸二鈉 10 mg/(kg·d)或 200 mg/d 有一定的效果(5 例有效,4 例無效)。1 例使用阿侖膦酸(70 mg/周)聯合潑尼松(10 mg/d)口服治療,1 年后 FEV1 和肺活量有輕微改善[3]。10 例接受肺移植,年齡 32~73 歲,其中 3 例行單肺肺移植,7 例行雙肺肺移植,死亡 3 例(死亡原因分別是再灌注肺損傷、呼吸衰竭、肺部感染),存活 7 例,存活時間最長者為 90 個月[4](表 3)。

4 討論
4.1 臨床表現、影像學特點、病理學特征
PAM 是一種罕見的肺部疾病,國外報道的總病例數較少。在世界范圍內,土耳其、中國、日本、印度和意大利的病例數最多[5]。
PAM 臨床癥狀無特異性,多因體檢發現。直到中年時,多數患者通常保持無癥狀。隨著 PAM 的進展,患者才會逐漸出現癥狀。PAM 的發病率在 20~50 歲較高[6],男女無差異。文獻復習中發現最常見的癥狀是呼吸困難(45.9%),其次是咳嗽(28.4%),屬于無特異性的癥狀。本例患者有慢性咳嗽 30 年,因氣胸后出現胸悶氣喘等呼吸困難癥狀就診,發現 PAM 時年齡為 50 歲。
PAM 的進展通常緩慢但是不可逆,環境因素可能加速疾病的惡化,比如重度吸煙、感染[7]。本例患者有吸煙史 30 年,600 年支,加速了其疾病進展。PAM 患者早期肺功能檢查通常是正常的,這與影像學上的明顯變化相分離。當肺部為大量微石所占據時,肺泡結構破壞以及肺間質的纖維化,出現限制性通氣障礙,并隨著時間的推移導致殘氣量以及彌散功能下降,部分患者可出現過度通氣以及小氣道功能障礙,最終導致低氧血癥,伴或不伴動脈血二氧化碳水平升高[8]。本例患者的肺功能報告提示中度限制性通氣功能障礙,重度彌散功能障礙,說明其處于 PAM 晚期階段。
胸部 X 線檢查是發現本病最基本的手段,表現為兩肺彌漫性分布、邊緣銳利、均勻大小、呈鈣化密度的砂礫樣微結節,中下肺野更易累及[9]。隨著病情進展,兩肺結節影密集,可出現病灶聚集融合,心膈模糊,呈“沙塵暴”樣改變。疾病進展期可見白肺征[10]。胸部高分辨率 CT 中常見的特征是雙肺磨玻璃影,彌漫分布的微小結節,小葉間隔增厚,小葉中心性肺氣腫,胸膜間質增厚,胸膜鈣化和周圍支氣管擴張[11]。肺尖大皰伴有氣胸是另一典型特征。部分呈肺間質纖維化的表現。胸膜下有薄壁小氣囊形成的“黑胸膜線”。縱隔窗顯示肺野內不規則點狀、條狀致密影,胸膜下可融合成片。本例患者的胸部高分辨率 CT 顯示兩肺野見彌漫分布的砂礫狀高密度影,密度兩下肺為甚,彌漫成片,肺間質廣泛增厚,兩中上肺野可見肺大皰,兩側胸膜局部增厚,由于其典型表現,從影像學上就初診為 PAM。
通過文獻復習可知,國外明確 PAM 的主要方法是肺活檢,包括外科肺活檢和經支氣管鏡肺活檢。外科肺活檢在國內接受程度低。支氣管鏡肺活檢的安全性較好,更易廣泛接受。本例患者因為支氣管鏡檢查未有陽性發現,故在獲得患者及家屬的知情同意下,行 CT 引導下經皮肺穿刺活檢病理明確,為避免造成氣胸,穿刺部位應選擇鈣化影最致密處。在不易得到病理結果的情況,也可按照胸部影像學結合臨床診斷 PAM。
PAM 的病理特征,在大體上,肺體積和質量增加,失去濕陷性。由于臟層胸膜下微石的突出,肺的外表面可能呈顆粒狀。肺泡內的鈣沉積始于下葉,隨著時間的推移,鈣沉積延伸至全肺。微石有圓形或卵圓形,直徑范圍從 0.01~2.8 mm。微石可能填充肺泡、肺泡壁和隔膜,晚期階段,正常肺組織受壓、損壞,被纖維組織替代[12]。組織學上,微石由鈣質同心薄片組成,圍繞中心核排列,表現出無定形或顆粒狀態。在化學上,微石由大量的鈣和磷組成,它們與少量的鎂和鋁混合。染色特性顯示微石過碘酸雪夫染色陽性[6]。本例患者經皮肺穿刺順利,病理結果亦考慮 PAM。
4.2 流行病學及發病機制
在 PAM 患者中發現編碼磷酸鈉共轉運蛋白 Npt2b(SLC34A2,NPT2b,NaPi-2b)的 SLC34A2 基因突變[7, 13]。該病為 SLC34A2 基因突變引起的常染色體隱性遺傳疾病,有家族發病傾向,大多數患者至少有一個同胞也患病,多為近親結婚[5]。PAM 沒有明顯的性別傾向[14]。SLC34A2 基因位于 4p15.31-p15.2,包含 13 個外顯子。它編碼一個 2 280 個核苷酸的 mRNA 和一個稱為 Npt2b 的 690 氨基酸鈉-磷酸鹽共轉運蛋白。Npt2b 在肺中大量表達,主要在Ⅱ型肺泡上皮細胞的表面,它被認為是磷脂表面活性劑代謝產生的磷酸鹽的出口[15-16]。SCL34A2 基因屬于溶質轉運蛋白家族 SLC34,主要作用是維持機體無機磷平衡。Ⅱ型肺泡上皮細胞產生二棕櫚酰卵磷脂降解過程中產生的磷被 SLC34 蛋白清除。當 SLC34A2 基因發生突變時,Npt2b 活性缺乏,蛋白失去正常的磷轉運功能,磷酸鹽水平可能在肺泡內液中升高,并與鈣形成絡合物,磷鹽及其鈣螯合物沉積,導致形成層狀微石[17-18]。迄今為止,已報道超過 15 種不同的突變[19-20]。土耳其患者在多個外顯子上發生突變,中國患者主要在外顯子 8,日本患者主要在外顯子 7 和 8 發生突變[21]。迄今為止發現的大多數 DNA 畸變是導致蛋白質截短的錯義突變,還有三種破壞性替代(G106R,T192K,Y455H)和引入過早終止密碼子的無義突變[7, 21-22]。幾乎所有研究的患者中已經鑒定出 SLC34A2 的純合突變。該疾病已證實 100% 的外顯率[7]。
由于該病的家族發病傾向特點,本例患者及其直系親屬接受了全外顯子測序,明確了攜帶純合突變和雜合突變基因的家族成員。本文中的患者和其兄長經基因檢測,證實是 SLC34A2 的 8 號外顯子 c.910A>T 的純合突變,與之前的文章報道相符合[21, 23]。這是迄今為止中國患者最常見的致病突變。通過基因測序,可知患者父母皆為雜合突變基因攜帶者,患者妹妹及其子屬于未攜帶突變基因的非患病者。患者及其哥哥的子女由于是雜合突變基因的攜帶者,他們的后代仍有機會患病,應避免近親結婚;如果他們的配偶也是 PAM 家族成員,可行基因測序明確雙方的基因類型,以及是否可能產生患病的下一代。我們認為,對于通過臨床診斷、病理診斷的 PAM 患者進行基因檢測,對了解 PAM 的病因和未來開發基因治療是重要的,有時也能發現新的突變位點。
4.3 診斷與鑒別診斷
PAM 診斷主要依靠影像學與病理學。由于本病較罕見,目前世界范圍內還沒有完全統一的診斷標準。PAM 的診斷通常可以通過觀察胸部放射學檢查中典型的沙塵暴外觀來確定。臨床癥狀輕微而影像學改變明顯是本病的最大特征,有助于診斷。支氣管肺泡灌洗液中找到典型的同心圓層狀微石有助于進一步明確。在疑似病例中需要行肺活檢鑒別具有同心圓外觀的肺泡內微結石[12]。在某些情況下,可以在痰液中發現微石[24]。以前的研究通過胸部影像表現和支氣管肺泡灌洗液的結合來確定 PAM 的診斷[25]。當篩查先證者患者的家族成員時,檢測 SLC34A2 基因中的突變可能有幫助,但不是必須的。
本病需要與粟粒型肺結核、結節病、塵肺、肺泡蛋白沉積癥、肺含鐵血黃素沉著癥等進行鑒別診斷[11]。粟粒型肺結核的微結節不發生鈣化,可有血沉增快,結核 Tspot 試驗呈強陽性,經抗結核藥物治療后,肺部結核性陰影可逐漸縮小變淺。PAM 常常被誤診為結核病,特別是在結核病高度流行的地區[14]。結節病常侵犯肺門、縱隔淋巴結和肺組織,可見團塊狀陰影和彌漫性肺纖維化;結節狀增厚淋巴管分布涉及到支氣管和血管周圍間質,小葉間隔,以及胸膜下和間質,主要在中上肺野。部分患者可出現周圍淋巴結腫大和肝脾腫大,血清血管緊張素轉化酶活性增高,支氣管黏膜或淋巴結活檢可以確診[26]。塵肺患者具有粉塵接觸史,胸部影像主要表現為結節陰影(直徑在 1~3 mm)、網狀陰影和大片融合陰影,結節分布于淋巴管周圍和間隔旁,以上葉為主,肺門陰影密度增加,有時可見“蛋殼樣鈣化”淋巴結;胸膜增厚、粘連或鈣化[27]。肺泡蛋白沉積癥患者胸部 CT 呈磨玻璃影或網狀及斑片狀影,形成特征性的地圖樣改變,肺間質改變形成鋪路石征;肺泡灌洗液呈牛奶狀或米湯樣,比重高,靜置后可沉至瓶底;血清或肺泡灌洗液中測定抗粒細胞-巨噬細胞集落刺激因子抗體水平明顯升高;經支氣管鏡肺活檢或開胸肺活檢可確診,光鏡下可見肺泡及細支氣管腔內充滿無形態的、過碘酸雪夫染色陽性的富磷脂物質[28]。肺含鐵血黃素沉著癥,常表現為咳嗽、呼吸困難、咯血甚至呼吸衰竭;胸部影像表現為兩肺對稱性分布的彌漫性結節影,以中下肺野及內帶明顯,有融合趨勢,支氣管肺泡灌洗液或肺活檢組織中找到典型的含鐵血黃素巨噬細胞對診斷具有重要意義[29]。
4.4 治療及預后
目前還沒有關于 PAM 的明確有效治療方法。終末期患者可以考慮肺移植,迄今未發現移植肺再發的證據[4]。口服依替膦酸二鈉 10 mg/(kg·d)或 200 mg/d 有一定的效果,其作用機制在于抑制磷酸鈣沉淀并解決形成的鈣化,可以改善肺功能和影像學表現[30-31]。系統性糖皮質激素、鈣螯合劑和支氣管肺泡灌洗已被證明不能改善癥狀、影像學和肺功能[5, 20]。對于本例患者,由于其影像學呈彌漫性改變,肺功能較差,我們建議其行肺移植治療。
綜上,PAM 作為一種罕見的肺部疾病,臨床進展緩慢,應充分認識該病的有關特點,注意與其他肺部彌漫性疾病相鑒別,以期做到早期診斷、早期干預。目前尚缺乏有效的內科治療措施,晚期患者建議肺移植。
肺泡微石癥(pulmonary alveolar microlithiasis,PAM)是一種罕見的、以肺泡內磷酸鈣鹽微結石廣泛沉積為特征的慢性疾病。PAM 于 1868 年首次由 Marcello Malpighi 描述,1918 年 Harbitz[1]首先詳細描述了組織病理學。1933 年Puhr[2]將命名為“Microlithiasis Alveolaris Pulmonum”。我院于 2017 年 10 月收治 1 例男性患者,根據胸部 CT 影像,結合 CT 引導下經皮肺穿刺活檢病理,診斷 PAM。在取得患者本人及相關直系親屬的知情同意后,采集外周血行基因檢測分析。同時在 PubMed 上以“pulmonary alveolar microlithiasis”為關鍵詞,查閱了 2000 年至 2017 年以來相關文獻并進行復習,對 PAM 的臨床資料、診斷方法、治療及預后進行歸納分析,旨在提高對該病的認識和診治效果。
1 臨床資料
患者男性,51 歲,因“反復間斷咳嗽 30 年,再發伴胸悶氣喘 3 周”于 2017 年 10 月來我院就診。入院前當地醫院胸部 X 及 CT 檢查顯示兩肺實質遍布彌漫性砂礫狀高密度影,雙側氣胸,左側為著,壓縮約 20%。既往有 30 年吸煙史,每日約 20 支。體檢:神志清楚,口唇輕度紫紺,兩肺呼吸音減低,兩下肺聞及 velcro 啰音,手指杵狀指。血氣分析(吸空氣):pH 7.36,氧分壓 82 mm Hg(1 mm Hg=0.133 kPa),二氧化碳分壓 40.9 mm Hg,氧飽和度 95.5%。血常規:白細胞 8.7×109/L,中性粒細胞百分比 59.5%,淋巴細胞百分比 27.0%,嗜酸性粒細胞百分比 7.4%,紅細胞計數 4.96×1012/L,血紅蛋白濃度 148 g/L,血小板計數 455×109/L,C 反應蛋白 7.70 mg/L,血沉 70 mm/1 h。生化正常,血鈣、鎂、磷正常。凝血功能及 D 二聚體正常。腫瘤指標:糖類抗原 15-3 69.40 U/ml,糖類抗原 125 115.18 U/ml,其余包括癌胚抗原、細胞角蛋白 19 片段、鱗狀細胞癌抗原、神經元特異烯醇化酶正常。免疫球蛋白電泳正常。自身抗體系列:抗核抗體 1∶100 陽性。心電圖:竇性心律,不完全性右束支傳導阻滯。腹部超聲及心臟彩超未見異常。肺功能報告:用力肺活量占預計值百分比 51.7%,第 1 秒用力呼氣容積(forced expiratory volume in one second,FEV1)占預計值百分比 53%,一口氣呼吸法肺一氧化碳彌散量(diffusing capacity of the lung for carbon monoxide,DLCO)6.13 ml/(mm Hg·min),占預計值百分比 27.7%,DLCO 與肺泡通氣量的比值 38.5%,提示中度限制性通氣功能障礙,重度彌散功能障礙。胸部高分辨率 CT:兩肺野見彌漫分布砂礫狀高密度影,密度兩下肺為甚,彌漫成片,肺間質廣泛增厚,兩中上肺野可見肺大皰,兩側胸膜局部增厚,考慮 PAM(圖 1a、b)。為進一步明確診斷,入院后行支氣管鏡檢查和支氣管肺泡灌洗液檢查均無明顯的異常發現。遂行 CT 引導下經皮左肺下葉肺穿刺,活檢病理報告:破碎支氣管及肺泡組織,其間見散在鈣化灶,傾向 PAM,特染:過碘酸希夫(+/–),甲基紫(+/–),剛果紅(–)。病理切片顯示肺泡上皮可見大量鈣鹽沉積(圖 1c)。

a. CT 檢查像,雙上肺野彌漫分布鈣化影,右側更甚,肺間質廣泛增厚,可見肺大皰,兩側胸膜局部增厚;b. CT 檢查像,雙下肺野見彌漫成片分布砂礫狀高密度影,兩側胸膜局部增厚,可見“黑胸膜線”;c. 病理檢查像,蘇木精-伊紅×100,肺泡上皮可見大量鈣鹽沉積
追問家族史:患者有 1 個哥哥、1 個弟弟和 1 個妹妹。患者的哥哥行胸部 CT 檢查亦考慮 PAM,但影像學改變相對輕(圖 2),肺功能檢查示輕度限制性通氣功能障礙,中度彌散功能障礙。

示兩肺彌漫性高密度鈣化影,程度相對稍輕
2 基因檢測
2.1 基因檢測方法
采集患者的血液樣本送艾吉泰康生物科技(北京)有限公司進行全外顯子測序。主要流程為:基因組 DNA 檢測合格后,超聲打斷至 150~200 bp。末端補平,3'端加 A,連接測序接頭,純化擴增后,采用 TargetSeq?探針進行液相捕獲。捕獲后文庫使用 Qubit dsDNA HS Assay Kit 進行定量,Agilent 2100 Bioanalyzer 系統(Agilent DNA 1000 Kit)進行文庫片段長度測定,文庫長度約在 220~320 bp 之間。使用 Illumina 高通量測序平臺進行測序。獲得原始測序序列后,進行測序數據質量評估,符合標準則進行后續變異檢測。將序列比對到人參考基因組上(GRCh37/hg19),檢測樣本中的變異信息,并對檢出的變異進行統計和注釋。共獲得 15 G 原始數據總堿基數,測序平均讀長 134 bp,比對到參考基因組上的序列數為 82 M,外顯子區域中位測序深度 127 x。
全外顯子測序檢測到的突變,由上海生工生物工程公司利用 Sanger 測序方法,在患者及家系其他成員進行驗證。PCR 及測序引物為 SC159-F(5'CCAAGAGGCATGGAAATAACAA3')及 SC159-R (5'GTTCTGAGGATATGCTGATGGTT3'),擴增片段為 407 bp。測序結果在軟件 Chromas 2.33 打開閱讀。
2.2 基因檢測結果
2.2.1 患者全外顯子測序結果
全外顯子測序檢測到 SLC34A2 基因區域的位點見表 1。其中位點 chr4:25672438 的純合突變,改變了 SLC34A2 基因第 8 外顯子氨基酸序列(c.910A>T,p.K304X),引入一終止密碼子,結果見圖 3。


a. 純合野生型;b. 雜合突變型;c. 純合突變型。灰箭示突變位置,c.910A>T
2.2.2 基因家系圖
Sanger 測序方法結果顯示,在患者的家系中,除患者外,其兄也存在 c.910A>T 的純合突變,而雜合突變者有 5 位(圖 4)。

A 為參考序列,T 為突變序列。白框示男未患病者,白圓示女未患病者,黑框示男患者,黑箭示先證者
3 文獻復習
在 Pubmed 上以“pulmonary alveolar microlithiasis”為關鍵詞,查閱了 2000 年至 2017 年以來的相關文獻,獲得 108 篇文獻,共 172 例患者。
3.1 臨床資料
172 例患者中,男 85 例,除去 2 例年齡不詳,平均確診時年齡 32.5 歲(8 個月~63 歲);女 87 例,除去 2 例年齡不詳,平均確診時年齡 32.4 歲(4~82 歲)。有精確年齡記錄的病例 145 例,31.0% 的患者在 20 歲之前確診,86.2% 的患者在 50 歲之前確診。結果見表 2。

172 例患者中,除了 24 例未描述癥狀外,最常見的癥狀是呼吸困難(45.9%),初起為活動后呼吸困難,而且呈進行性加重,其次為咳嗽(28.4%)、胸痛(4.7%)、發熱(4.1%)、疲勞(4.1%)、咯血(2.7%)。還有部分患者(19.6%)無癥狀。臨床體征主要有口唇紫紺、杵狀指、聽診兩肺聞及細濕羅音或者 Velcro 啰音。
主要的并發癥包括肺氣腫、肺動脈高壓、右心衰竭、肺心病。少見的并發癥包括自發性氣胸、胸膜鈣化、腎臟鈣化、膽結石、泌尿系結石。到了終末期,常因心肺功能衰竭而導致死亡。
3.2 診斷方法
通過肺活檢明確診斷的有 87 例(外科肺活檢 35 例,經支氣管鏡肺活檢 50 例,CT 引導下經皮肺穿刺 1 例,尸體解剖 1 例),行 Tc-99m 肺攝取顯像的有 17 例,痰找到微結石 1 例,氣管鏡下行肺泡灌洗檢查的有 20 例,按照胸部影像學結合臨床診斷的有 39 例。
3.3 治療及預后
文獻中提及的治療方式有氧療(3 例)、吸入支氣管舒張劑(5 例)、口服潑尼松治療(5 例),無明顯效果;對于未成年的患者,口服依替膦酸二鈉 10 mg/(kg·d)或 200 mg/d 有一定的效果(5 例有效,4 例無效)。1 例使用阿侖膦酸(70 mg/周)聯合潑尼松(10 mg/d)口服治療,1 年后 FEV1 和肺活量有輕微改善[3]。10 例接受肺移植,年齡 32~73 歲,其中 3 例行單肺肺移植,7 例行雙肺肺移植,死亡 3 例(死亡原因分別是再灌注肺損傷、呼吸衰竭、肺部感染),存活 7 例,存活時間最長者為 90 個月[4](表 3)。

4 討論
4.1 臨床表現、影像學特點、病理學特征
PAM 是一種罕見的肺部疾病,國外報道的總病例數較少。在世界范圍內,土耳其、中國、日本、印度和意大利的病例數最多[5]。
PAM 臨床癥狀無特異性,多因體檢發現。直到中年時,多數患者通常保持無癥狀。隨著 PAM 的進展,患者才會逐漸出現癥狀。PAM 的發病率在 20~50 歲較高[6],男女無差異。文獻復習中發現最常見的癥狀是呼吸困難(45.9%),其次是咳嗽(28.4%),屬于無特異性的癥狀。本例患者有慢性咳嗽 30 年,因氣胸后出現胸悶氣喘等呼吸困難癥狀就診,發現 PAM 時年齡為 50 歲。
PAM 的進展通常緩慢但是不可逆,環境因素可能加速疾病的惡化,比如重度吸煙、感染[7]。本例患者有吸煙史 30 年,600 年支,加速了其疾病進展。PAM 患者早期肺功能檢查通常是正常的,這與影像學上的明顯變化相分離。當肺部為大量微石所占據時,肺泡結構破壞以及肺間質的纖維化,出現限制性通氣障礙,并隨著時間的推移導致殘氣量以及彌散功能下降,部分患者可出現過度通氣以及小氣道功能障礙,最終導致低氧血癥,伴或不伴動脈血二氧化碳水平升高[8]。本例患者的肺功能報告提示中度限制性通氣功能障礙,重度彌散功能障礙,說明其處于 PAM 晚期階段。
胸部 X 線檢查是發現本病最基本的手段,表現為兩肺彌漫性分布、邊緣銳利、均勻大小、呈鈣化密度的砂礫樣微結節,中下肺野更易累及[9]。隨著病情進展,兩肺結節影密集,可出現病灶聚集融合,心膈模糊,呈“沙塵暴”樣改變。疾病進展期可見白肺征[10]。胸部高分辨率 CT 中常見的特征是雙肺磨玻璃影,彌漫分布的微小結節,小葉間隔增厚,小葉中心性肺氣腫,胸膜間質增厚,胸膜鈣化和周圍支氣管擴張[11]。肺尖大皰伴有氣胸是另一典型特征。部分呈肺間質纖維化的表現。胸膜下有薄壁小氣囊形成的“黑胸膜線”。縱隔窗顯示肺野內不規則點狀、條狀致密影,胸膜下可融合成片。本例患者的胸部高分辨率 CT 顯示兩肺野見彌漫分布的砂礫狀高密度影,密度兩下肺為甚,彌漫成片,肺間質廣泛增厚,兩中上肺野可見肺大皰,兩側胸膜局部增厚,由于其典型表現,從影像學上就初診為 PAM。
通過文獻復習可知,國外明確 PAM 的主要方法是肺活檢,包括外科肺活檢和經支氣管鏡肺活檢。外科肺活檢在國內接受程度低。支氣管鏡肺活檢的安全性較好,更易廣泛接受。本例患者因為支氣管鏡檢查未有陽性發現,故在獲得患者及家屬的知情同意下,行 CT 引導下經皮肺穿刺活檢病理明確,為避免造成氣胸,穿刺部位應選擇鈣化影最致密處。在不易得到病理結果的情況,也可按照胸部影像學結合臨床診斷 PAM。
PAM 的病理特征,在大體上,肺體積和質量增加,失去濕陷性。由于臟層胸膜下微石的突出,肺的外表面可能呈顆粒狀。肺泡內的鈣沉積始于下葉,隨著時間的推移,鈣沉積延伸至全肺。微石有圓形或卵圓形,直徑范圍從 0.01~2.8 mm。微石可能填充肺泡、肺泡壁和隔膜,晚期階段,正常肺組織受壓、損壞,被纖維組織替代[12]。組織學上,微石由鈣質同心薄片組成,圍繞中心核排列,表現出無定形或顆粒狀態。在化學上,微石由大量的鈣和磷組成,它們與少量的鎂和鋁混合。染色特性顯示微石過碘酸雪夫染色陽性[6]。本例患者經皮肺穿刺順利,病理結果亦考慮 PAM。
4.2 流行病學及發病機制
在 PAM 患者中發現編碼磷酸鈉共轉運蛋白 Npt2b(SLC34A2,NPT2b,NaPi-2b)的 SLC34A2 基因突變[7, 13]。該病為 SLC34A2 基因突變引起的常染色體隱性遺傳疾病,有家族發病傾向,大多數患者至少有一個同胞也患病,多為近親結婚[5]。PAM 沒有明顯的性別傾向[14]。SLC34A2 基因位于 4p15.31-p15.2,包含 13 個外顯子。它編碼一個 2 280 個核苷酸的 mRNA 和一個稱為 Npt2b 的 690 氨基酸鈉-磷酸鹽共轉運蛋白。Npt2b 在肺中大量表達,主要在Ⅱ型肺泡上皮細胞的表面,它被認為是磷脂表面活性劑代謝產生的磷酸鹽的出口[15-16]。SCL34A2 基因屬于溶質轉運蛋白家族 SLC34,主要作用是維持機體無機磷平衡。Ⅱ型肺泡上皮細胞產生二棕櫚酰卵磷脂降解過程中產生的磷被 SLC34 蛋白清除。當 SLC34A2 基因發生突變時,Npt2b 活性缺乏,蛋白失去正常的磷轉運功能,磷酸鹽水平可能在肺泡內液中升高,并與鈣形成絡合物,磷鹽及其鈣螯合物沉積,導致形成層狀微石[17-18]。迄今為止,已報道超過 15 種不同的突變[19-20]。土耳其患者在多個外顯子上發生突變,中國患者主要在外顯子 8,日本患者主要在外顯子 7 和 8 發生突變[21]。迄今為止發現的大多數 DNA 畸變是導致蛋白質截短的錯義突變,還有三種破壞性替代(G106R,T192K,Y455H)和引入過早終止密碼子的無義突變[7, 21-22]。幾乎所有研究的患者中已經鑒定出 SLC34A2 的純合突變。該疾病已證實 100% 的外顯率[7]。
由于該病的家族發病傾向特點,本例患者及其直系親屬接受了全外顯子測序,明確了攜帶純合突變和雜合突變基因的家族成員。本文中的患者和其兄長經基因檢測,證實是 SLC34A2 的 8 號外顯子 c.910A>T 的純合突變,與之前的文章報道相符合[21, 23]。這是迄今為止中國患者最常見的致病突變。通過基因測序,可知患者父母皆為雜合突變基因攜帶者,患者妹妹及其子屬于未攜帶突變基因的非患病者。患者及其哥哥的子女由于是雜合突變基因的攜帶者,他們的后代仍有機會患病,應避免近親結婚;如果他們的配偶也是 PAM 家族成員,可行基因測序明確雙方的基因類型,以及是否可能產生患病的下一代。我們認為,對于通過臨床診斷、病理診斷的 PAM 患者進行基因檢測,對了解 PAM 的病因和未來開發基因治療是重要的,有時也能發現新的突變位點。
4.3 診斷與鑒別診斷
PAM 診斷主要依靠影像學與病理學。由于本病較罕見,目前世界范圍內還沒有完全統一的診斷標準。PAM 的診斷通常可以通過觀察胸部放射學檢查中典型的沙塵暴外觀來確定。臨床癥狀輕微而影像學改變明顯是本病的最大特征,有助于診斷。支氣管肺泡灌洗液中找到典型的同心圓層狀微石有助于進一步明確。在疑似病例中需要行肺活檢鑒別具有同心圓外觀的肺泡內微結石[12]。在某些情況下,可以在痰液中發現微石[24]。以前的研究通過胸部影像表現和支氣管肺泡灌洗液的結合來確定 PAM 的診斷[25]。當篩查先證者患者的家族成員時,檢測 SLC34A2 基因中的突變可能有幫助,但不是必須的。
本病需要與粟粒型肺結核、結節病、塵肺、肺泡蛋白沉積癥、肺含鐵血黃素沉著癥等進行鑒別診斷[11]。粟粒型肺結核的微結節不發生鈣化,可有血沉增快,結核 Tspot 試驗呈強陽性,經抗結核藥物治療后,肺部結核性陰影可逐漸縮小變淺。PAM 常常被誤診為結核病,特別是在結核病高度流行的地區[14]。結節病常侵犯肺門、縱隔淋巴結和肺組織,可見團塊狀陰影和彌漫性肺纖維化;結節狀增厚淋巴管分布涉及到支氣管和血管周圍間質,小葉間隔,以及胸膜下和間質,主要在中上肺野。部分患者可出現周圍淋巴結腫大和肝脾腫大,血清血管緊張素轉化酶活性增高,支氣管黏膜或淋巴結活檢可以確診[26]。塵肺患者具有粉塵接觸史,胸部影像主要表現為結節陰影(直徑在 1~3 mm)、網狀陰影和大片融合陰影,結節分布于淋巴管周圍和間隔旁,以上葉為主,肺門陰影密度增加,有時可見“蛋殼樣鈣化”淋巴結;胸膜增厚、粘連或鈣化[27]。肺泡蛋白沉積癥患者胸部 CT 呈磨玻璃影或網狀及斑片狀影,形成特征性的地圖樣改變,肺間質改變形成鋪路石征;肺泡灌洗液呈牛奶狀或米湯樣,比重高,靜置后可沉至瓶底;血清或肺泡灌洗液中測定抗粒細胞-巨噬細胞集落刺激因子抗體水平明顯升高;經支氣管鏡肺活檢或開胸肺活檢可確診,光鏡下可見肺泡及細支氣管腔內充滿無形態的、過碘酸雪夫染色陽性的富磷脂物質[28]。肺含鐵血黃素沉著癥,常表現為咳嗽、呼吸困難、咯血甚至呼吸衰竭;胸部影像表現為兩肺對稱性分布的彌漫性結節影,以中下肺野及內帶明顯,有融合趨勢,支氣管肺泡灌洗液或肺活檢組織中找到典型的含鐵血黃素巨噬細胞對診斷具有重要意義[29]。
4.4 治療及預后
目前還沒有關于 PAM 的明確有效治療方法。終末期患者可以考慮肺移植,迄今未發現移植肺再發的證據[4]。口服依替膦酸二鈉 10 mg/(kg·d)或 200 mg/d 有一定的效果,其作用機制在于抑制磷酸鈣沉淀并解決形成的鈣化,可以改善肺功能和影像學表現[30-31]。系統性糖皮質激素、鈣螯合劑和支氣管肺泡灌洗已被證明不能改善癥狀、影像學和肺功能[5, 20]。對于本例患者,由于其影像學呈彌漫性改變,肺功能較差,我們建議其行肺移植治療。
綜上,PAM 作為一種罕見的肺部疾病,臨床進展緩慢,應充分認識該病的有關特點,注意與其他肺部彌漫性疾病相鑒別,以期做到早期診斷、早期干預。目前尚缺乏有效的內科治療措施,晚期患者建議肺移植。