引用本文: 陳雨莎, 袁夢鑫, 梁斌苗, 歐雪梅. 普通變異性免疫缺陷病并細胞免疫功能缺陷致支氣管擴張、肝硬化一例并文獻復習. 中國呼吸與危重監護雜志, 2019, 18(2): 169-173. doi: 10.7507/1671-6205.201805046 復制
普通變異性免疫缺陷病(common variable immune deficiency,CVID)是一種以嚴重低免疫球蛋白血癥和反復感染為臨床特點的原發性免疫缺陷綜合征。在北美和歐洲是引起兒童和成人抗體缺陷的最常見病因,但在我國發病率較低,屬于罕見病[1]。其病因目前尚不完全清楚,可能與 B 細胞功能異常以及 T 細胞及抗原提呈細胞缺失有關[2-3]。臨床表現為反復的呼吸系統及消化系統感染,常伴發慢性肺部疾病、肉芽腫、自身免疫性疾病及脾臟增大,甚至伴發淋巴增殖性疾病及惡性腫瘤等[4]。其主要特點是免疫球蛋白水平降低和反復感染,其中以呼吸道感染最為常見[5]。現報告我院近期診斷的 1 例 CVID 并細胞免疫功能缺陷致支氣管擴張、肝硬化患者的臨床資料,并結合文獻復習 CVID 的臨床特點、診斷方法及治療手段,以提高臨床醫師對此病認識,減少誤漏診。
1 臨床資料
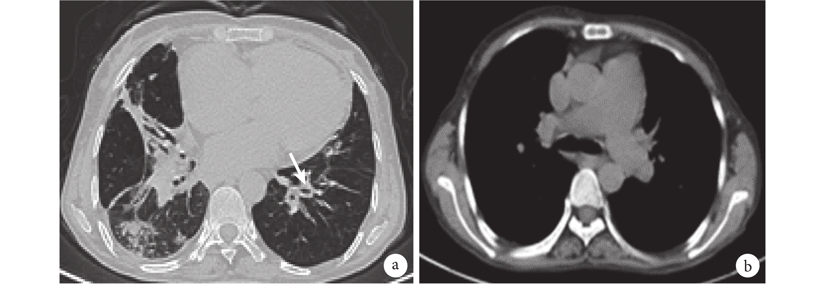
患者女性,52 歲,因“反復咳嗽、咳痰 20+年,間斷雙下肢水腫 7 年,加重 3 個月”于 2018 年 1 月 5 日收入院。20+年前患者開始于受涼后出現咳嗽、咯黃色黏痰,在當地醫院給予靜脈滴注“抗生素”治療(具體不詳)后癥狀可好轉。2015 年開始上述病情發作逐漸頻繁,主要表現為咳嗽、咯黃痰和活動后呼吸困難,開始不能從事日常體力勞動,期間多次住院治療,均診斷為“肺部感染”。7 年前,患者開始出現間斷雙下肢水腫,夜間喜高枕臥位。上述癥狀頻繁發作,平均每月 2~3 次,每次均需靜脈使用抗生素后癥狀方緩解。患者日常活動嚴重受限,近 1 年幾乎無法外出活動。3 個月前,患者上述癥狀再次加重,且反復發熱,體溫波動在 38~39 ℃ 之間,來我院就診收入住院治療。患者長期生活在甘肅地區,居住地平均海拔 2 700 m。否認吸煙史、生物燃料接觸史、幼年反復呼吸道感染病史。否認家族或近親中有類似病史。入院查體:生命體征平穩。慢性病容,皮膚鞏膜無黃染,全身淺表淋巴結未捫及腫大。頸靜脈怒張。心界稍向左擴大,心律齊,各瓣膜區未聞及雜音。胸廓未見異常,雙肺聞及大量干濕啰音。腹部外形正常,全腹軟,無壓痛及反跳痛,肝肋下 2 橫指,脾腎未觸及。雙下肢輕度水腫。輔助檢查:血常規:血紅蛋白 181 g/L,白細胞 7.29×109/L,中性分葉核粒細胞百分率 78.7%。降鈣素原 0.15 ng/ml。痰培養:卡他莫拉菌生長。生化:總蛋白 51.1 g/L,球蛋白 15.0 g/L,BNP 652 pg/ml。體液免疫:IgG<0.33 g/L(參考值 8~15.5 g/L),IgA<66.70 mg/L(參考值 836~2 900 mg/L),IgM 5 740 mg/L(參考值 700~2 200 mg/L)。各項肝炎抗體、類風濕因子、自免肝抗體及所有自身免疫相關抗體檢測均陰性。B 細胞絕對計數:155 個/μl(175~322)。T 細胞絕對計數:CD4+T 246 個/μl,CD4/CD8 0.27。全血流式細胞檢測未見異常表型細胞群。EB 病毒、巨細胞病毒、結核 γ 干擾素釋放試驗、血清蛋白電泳、免疫固定電泳無異常均無明顯異常。血凝集素、Coomb 試驗(–)。胸部 CT:雙肺散在結節、斑片影,雙肺部分支氣管稍擴張,管壁增厚,部分支氣管內少許黏液栓形成;雙肺不均勻氣腫;雙肺門區軟組織影增多,腫大淋巴結?心臟增大,右心房為著;縱隔淋巴結長大;肺動脈主干及左右肺動脈干增粗;右側胸腔少量積液(圖 1)。頭部 CT:副鼻竇炎。腹部 CT:肝硬化,脾大,門脈高壓,輕度側枝循環開放,腹腔內淋巴結增多,部分增大。心臟彩超:右心稍大;肺動脈增寬,肺動脈高壓,雙室收縮功能測值正常。肺功能:第 1 秒用力呼氣容積(forced expiratory volume in one second,FEV1)和用力肺活量的比值 52.28%,FEV1占預計值百分比 34.4%,殘氣量/肺總量的比值 182.4%,肺一氧化碳彌散量 38.1 ml/(min·mm Hg)。纖維支氣管鏡:管腔未見明顯異常;肺泡灌洗液未查見惡性細胞。腹部彩超:肝臟數個實性結節,脾臟長大。肝臟超聲造影:左肝實性結節,考慮多為增生結節。胃鏡:食管靜脈曲張(中度)。骨髓穿刺涂片+活檢:增生活躍,成熟紅細胞呈厚層分布;流式細胞檢測未見明顯異常表型細胞群。結合患者反復肺部感染、支氣管擴張的病史,以及免疫相關檢查結果,擬診為 CVID 并細胞免疫缺陷、支氣管擴張、慢性肺源性心臟病、肝硬化、門脈高壓。給予抗感染、解痙、祛痰、利尿等治療,并輸注丙種球蛋白 20 g。患者癥狀好轉出院。1 個月后隨訪患者咳嗽咳痰及呼吸困難癥狀明顯改善,日常活動耐量明顯提高。囑患者院外定期輸注丙種球蛋白和胸腺肽治療。來我院常規隨訪 2 次,自訴在當地醫院注射過 3 次免疫球蛋白,反饋效果不錯,現在可以自由外出活動。

a. 肺窗,可見雙肺感染灶及支氣管擴張(白箭);b. 縱隔窗,可見肺動脈明顯增寬
2 文獻復習
以“普通變異性免疫缺陷病”或“普通變異型免疫缺陷病”或“尋常變異性免疫缺陷病”或“尋常變異型免疫缺陷病”“低免疫球蛋白血癥”為關鍵詞檢索萬方數據庫和中國期刊網全文數據庫,以“common variable immunodeficiency”為關鍵詞檢索 PubMed、Ovid、Embase 及 Cochrane 數據庫,檢索時間為 1970 年 1 月至 2018 年 4 月,共檢索到 288 篇文獻包括 8 000 余例 CVID 患者,除國外一篇對 2 212 個病例的匯總分析以外[6],大部分為散發報道或僅有數十個病例的集中報道。現結合這些文獻進行分析總結。
2.1 概述
CVID 是一種特異性的原發性免疫缺陷病。主要表現是全身多系統的反復感染,以呼吸系統最為常見,并有淋巴結、脾腫大,容易并發多種自身免疫性疾病以及惡性腫瘤[7]。據文獻報道,國外發病率大約在 1:50 000~1:25 000 之間[6],是北美和歐洲引起兒童和成人抗體缺陷的最常見病因。而在國內發病情況則相對罕見。
2.2 發病機制
有關發病機制的研究觀點現大多傾向于 B 細胞缺乏導致抗體產生減少。其中外周 B 細胞數量的減少、終末 B 細胞分化為記憶 B 細胞和漿細胞的過程受損以及 CD27+ B 細胞子集的增多是主要的發病環節[8]。在基因機制的研究上,目前文獻報道了 TNFRSF13B 突變、C104R 基因序列突變、TLR7 和 TLR9 突變[9-10]與此病有一定聯系。
2.3 發病時間及診斷時間
在 10 歲以前出現首發癥狀的患者占到了 33.7%。在這部分人群中,男童的比例(39.8%)高于女童(27.9%)。兩個診斷高峰期分別為童年時期及 30~40 歲。值得注意的是,由于癥狀的不特異性,平均診斷延遲時間長達 4.1 年(診斷每延遲 1 年,患者死亡風險增加 4.5%)。
2.4 臨床表現
CVID 的臨床表現存在高度異質性。對 2 212 例的大樣本數據分析發現,本病的臨床表現包括肺炎(32%)、自身免疫性疾病(29%)、脾大(26%)、支氣管擴張(23%)、肉芽腫性炎(9%)、腸病(9%)、實體腫瘤(5%)、腦炎或腦膜炎(4%)、淋巴瘤(3%)[6]。其中反復感染是最主要和最常見的癥狀[6]。感染部位發生率從高到低依次為呼吸系統、胃腸道、中樞神經系統、血液、皮膚以及肝臟的感染[8]。CVID 合并自身免疫性疾病的患者,以自身免疫性溶血性貧血和血小板減少性紫癜最為常見,其他還包括皮肌炎、類風濕關節炎[11]。除常見的支氣管擴張外,CVID 合并的肺部病變還包括肺纖維化、慢性阻塞性肺疾病、哮喘等[12-13]。此外,10% CVID 患者合并有肝臟損害[14],包括堿性磷酸酶升高、結節性再生性增生、肝硬化及其并發癥,其機制可能與自身免疫相關。
2.5 輔助檢查
CVID 的實驗室檢查多表現為血清中免疫球蛋白總量減少。其中 IgG、IgA 常缺如或減少,而 IgM 有時可增多。合并細胞免疫功能缺陷者 CD4 細胞絕對計數常降低。合并自身免疫性疾病者抗中性粒細胞胞漿抗體、Coombs 試驗常為陽性。其影像學檢查多無特征性,常可表現為支氣管擴張、肺氣腫、肺纖維化、肝硬化及脾大等征象。彩超還可發現全身多處淋巴結長大。
2.6 診斷標準
CVID 診斷目前參考 2014 年歐洲免疫缺陷協會和全美免疫缺陷組所發布的指南[15]。主要包括四項內容。A(需滿足全部以下 3 點):① 成人 IgG<5 g/L;② 沒有其他確定原因的免疫缺陷;③ 年齡大于 4 歲。B:存在免疫系統缺陷的臨床證據,符合以下 1 項及更多項:① 反復、嚴重的和不尋常的感染;② 使用抗菌藥物效果差;③ 預防性使用抗菌藥物仍出現嚴重感染;④ 已接種疫苗或有免疫的病原體仍出現感染;⑤ 炎癥性疾病支氣管擴張和(或)慢性鼻竇炎;⑥ 炎癥性疾病或自身免疫性疾病(如特發性血小板減少性紫癜、自身免疫性溶血性貧血,肉芽腫性炎等)。C:符合以下 3 條及更多項:① IgA<0.8 g/L 和(或)IgM<0.4 g/L;② B 細胞存在但記憶 B 細胞子集減少和(或)CD21 子集增多;③ IgG3<0.2 g/L;④ 疫苗不良反應相對于同齡人難以控制;⑤ 疫苗效果相對于同齡人短暫;⑥ 血球凝集素缺乏(非 AB 血型);⑦ 血清學支持自身免疫性疾病;⑧ 基因序列突變如 TACI 等一系列實驗室檢查,對于診斷沒有特異性,但是如果陽性則有助于診斷。D:相關組織學證據:① 淋巴細胞間質性肺炎;② 肉芽腫性疾病;③ 肝臟結節性增生;④ 胃腸道結節性淋巴樣組織增生;⑤ 胃腸道組織活檢未見漿細胞。上述四項內容中,滿足 ABC 或 ABD 可擬診為 CVID,若只滿足 A、AC、AB、AD 則僅能疑診 CVID。
2.7 治療及預后
目前對 CVID 的治療主要為免疫球蛋白替代療法。來自不同中心的病例對照研究分析發現,給予免疫球蛋白替代治療,平均劑量為 460 mg/kg,注射間隔時間為 30 d,可以使患者肺炎發生率明顯降低;少數患者因治療開始時間較晚且合并了嚴重的支氣管擴張或淋巴瘤而最終死亡。因此指南建議免疫球蛋白替代療法的起始量為 0.4~0.6 g/kg,每個月 1 次靜脈滴注[16],合并支氣管擴張者主張給予較高劑量的的免疫球蛋白治療[6]。預防性使用抗體和保護性隔離對 CVID 患者有益處[17]。如患者合并細胞免疫功能缺陷,需注意禁用活疫苗。
如能早期診斷并適當治療,患者預后較好[6]。死因多為難以控制的肺部感染或并發淋巴瘤或實體瘤。
3 討論
本例患者既往多年“肺部感染”病史,多次胸部 CT 均提示支氣管擴張,且反復使用抗生素效果不佳,后期逐漸發展為慢性肺源性心臟病。結合患者相關檢查,符合診斷標準中的 ABC 及部分 D 條目,達到擬診 CVID 標準。因此,考慮本例患者為 CVID 合并細胞免疫缺陷導致支氣管擴張、肝硬化、慢性肺源性心臟病。但仔細閱讀患者胸部 CT 可發現,患者雙肺僅部分支氣管擴張、管壁增厚,其病變范圍和程度與慢性肺源性心臟病嚴重程度不完全一致。且肺功能提示該患者除重度阻塞性通氣功能障礙外,同時存在嚴重彌散功能降低,無法完全用支氣管擴張解釋。分析其原因可能為:第一,由于患者存在支氣管擴張、管壁增厚,用力肺活量降低,導致 V/Q 比例失調;第二,該例屬少見的肝臟受累患者,既往研究表明肝硬化的存在可以使肝臟對循環中肺血管舒張因子的清除功能以及對門靜脈中多種血管活性因子的代謝功能喪失[18],由此可致肺內血管擴張,V/Q 比例失調。這兩方面原因可解釋患者嚴重低氧血癥、肺動脈高壓及慢性肺源性心臟病。因此,本例患者的慢性肺源性心臟病的原因除了反復感染所致的支氣管擴張外,還與 CVID 肝臟受累導致肺通氣血流比失調有關。
此外,本例患者還同時合并有外周血 CD4+T 細胞絕對計數、CD4/CD8 比例下降,骨髓流式細胞學提示 CD4+T 細胞占比下降。提示該患者同時存在細胞免疫功能缺陷。Takahashi 等[19]和 Malphettes 等[20]報道部分 CVID 患者可以同時合并細胞免疫功能缺陷,其機制可能與 T 細胞對分裂素和抗原刺激的反應下降及凋亡增加相關[21]。這也是本例患者頻繁發生肺部感染的原因之一。
在本例患者在長達 20 余年的病程中,反復診斷為肺部感染并給予抗感染治療。但病情仍頻繁發生,近 1 年患者幾乎每個月均需無間斷地接受靜脈注射抗生素治療。在既往整個診治過程,從未對其反復發生肺部感染的原因進行篩查。此次診斷明確后給予免疫球蛋白治療,患者出院后 1 個月未再發生肺部感染及使用抗生素。因此明確診斷并及時治療是控制本病的關鍵。基于這一疾病缺乏特異性癥狀、難發現、易誤漏診的特點,美國疾病控制中心和原發性免疫缺陷病基金會提出了 CVID 的預警癥狀包括:一年中有 8 次或 8 次以上的中耳炎,2 次或 2 次以上的嚴重鼻竇炎、肺炎、非常見部位感染,反復發生的深部皮膚或臟器感染,非常見或條件性致病菌感染以及家族中有原發性免疫缺陷病病史者[22]。因此,臨床中對于反復發生的感染且治療效果較差時需高度警惕該病的可能并注意鑒別診斷,避免漏診或僅診斷為免疫功能低下而停止進一步病因的深究,以致患者不能得到及時診斷及治療。
普通變異性免疫缺陷病(common variable immune deficiency,CVID)是一種以嚴重低免疫球蛋白血癥和反復感染為臨床特點的原發性免疫缺陷綜合征。在北美和歐洲是引起兒童和成人抗體缺陷的最常見病因,但在我國發病率較低,屬于罕見病[1]。其病因目前尚不完全清楚,可能與 B 細胞功能異常以及 T 細胞及抗原提呈細胞缺失有關[2-3]。臨床表現為反復的呼吸系統及消化系統感染,常伴發慢性肺部疾病、肉芽腫、自身免疫性疾病及脾臟增大,甚至伴發淋巴增殖性疾病及惡性腫瘤等[4]。其主要特點是免疫球蛋白水平降低和反復感染,其中以呼吸道感染最為常見[5]。現報告我院近期診斷的 1 例 CVID 并細胞免疫功能缺陷致支氣管擴張、肝硬化患者的臨床資料,并結合文獻復習 CVID 的臨床特點、診斷方法及治療手段,以提高臨床醫師對此病認識,減少誤漏診。
1 臨床資料
患者女性,52 歲,因“反復咳嗽、咳痰 20+年,間斷雙下肢水腫 7 年,加重 3 個月”于 2018 年 1 月 5 日收入院。20+年前患者開始于受涼后出現咳嗽、咯黃色黏痰,在當地醫院給予靜脈滴注“抗生素”治療(具體不詳)后癥狀可好轉。2015 年開始上述病情發作逐漸頻繁,主要表現為咳嗽、咯黃痰和活動后呼吸困難,開始不能從事日常體力勞動,期間多次住院治療,均診斷為“肺部感染”。7 年前,患者開始出現間斷雙下肢水腫,夜間喜高枕臥位。上述癥狀頻繁發作,平均每月 2~3 次,每次均需靜脈使用抗生素后癥狀方緩解。患者日常活動嚴重受限,近 1 年幾乎無法外出活動。3 個月前,患者上述癥狀再次加重,且反復發熱,體溫波動在 38~39 ℃ 之間,來我院就診收入住院治療。患者長期生活在甘肅地區,居住地平均海拔 2 700 m。否認吸煙史、生物燃料接觸史、幼年反復呼吸道感染病史。否認家族或近親中有類似病史。入院查體:生命體征平穩。慢性病容,皮膚鞏膜無黃染,全身淺表淋巴結未捫及腫大。頸靜脈怒張。心界稍向左擴大,心律齊,各瓣膜區未聞及雜音。胸廓未見異常,雙肺聞及大量干濕啰音。腹部外形正常,全腹軟,無壓痛及反跳痛,肝肋下 2 橫指,脾腎未觸及。雙下肢輕度水腫。輔助檢查:血常規:血紅蛋白 181 g/L,白細胞 7.29×109/L,中性分葉核粒細胞百分率 78.7%。降鈣素原 0.15 ng/ml。痰培養:卡他莫拉菌生長。生化:總蛋白 51.1 g/L,球蛋白 15.0 g/L,BNP 652 pg/ml。體液免疫:IgG<0.33 g/L(參考值 8~15.5 g/L),IgA<66.70 mg/L(參考值 836~2 900 mg/L),IgM 5 740 mg/L(參考值 700~2 200 mg/L)。各項肝炎抗體、類風濕因子、自免肝抗體及所有自身免疫相關抗體檢測均陰性。B 細胞絕對計數:155 個/μl(175~322)。T 細胞絕對計數:CD4+T 246 個/μl,CD4/CD8 0.27。全血流式細胞檢測未見異常表型細胞群。EB 病毒、巨細胞病毒、結核 γ 干擾素釋放試驗、血清蛋白電泳、免疫固定電泳無異常均無明顯異常。血凝集素、Coomb 試驗(–)。胸部 CT:雙肺散在結節、斑片影,雙肺部分支氣管稍擴張,管壁增厚,部分支氣管內少許黏液栓形成;雙肺不均勻氣腫;雙肺門區軟組織影增多,腫大淋巴結?心臟增大,右心房為著;縱隔淋巴結長大;肺動脈主干及左右肺動脈干增粗;右側胸腔少量積液(圖 1)。頭部 CT:副鼻竇炎。腹部 CT:肝硬化,脾大,門脈高壓,輕度側枝循環開放,腹腔內淋巴結增多,部分增大。心臟彩超:右心稍大;肺動脈增寬,肺動脈高壓,雙室收縮功能測值正常。肺功能:第 1 秒用力呼氣容積(forced expiratory volume in one second,FEV1)和用力肺活量的比值 52.28%,FEV1占預計值百分比 34.4%,殘氣量/肺總量的比值 182.4%,肺一氧化碳彌散量 38.1 ml/(min·mm Hg)。纖維支氣管鏡:管腔未見明顯異常;肺泡灌洗液未查見惡性細胞。腹部彩超:肝臟數個實性結節,脾臟長大。肝臟超聲造影:左肝實性結節,考慮多為增生結節。胃鏡:食管靜脈曲張(中度)。骨髓穿刺涂片+活檢:增生活躍,成熟紅細胞呈厚層分布;流式細胞檢測未見明顯異常表型細胞群。結合患者反復肺部感染、支氣管擴張的病史,以及免疫相關檢查結果,擬診為 CVID 并細胞免疫缺陷、支氣管擴張、慢性肺源性心臟病、肝硬化、門脈高壓。給予抗感染、解痙、祛痰、利尿等治療,并輸注丙種球蛋白 20 g。患者癥狀好轉出院。1 個月后隨訪患者咳嗽咳痰及呼吸困難癥狀明顯改善,日常活動耐量明顯提高。囑患者院外定期輸注丙種球蛋白和胸腺肽治療。來我院常規隨訪 2 次,自訴在當地醫院注射過 3 次免疫球蛋白,反饋效果不錯,現在可以自由外出活動。

a. 肺窗,可見雙肺感染灶及支氣管擴張(白箭);b. 縱隔窗,可見肺動脈明顯增寬
2 文獻復習
以“普通變異性免疫缺陷病”或“普通變異型免疫缺陷病”或“尋常變異性免疫缺陷病”或“尋常變異型免疫缺陷病”“低免疫球蛋白血癥”為關鍵詞檢索萬方數據庫和中國期刊網全文數據庫,以“common variable immunodeficiency”為關鍵詞檢索 PubMed、Ovid、Embase 及 Cochrane 數據庫,檢索時間為 1970 年 1 月至 2018 年 4 月,共檢索到 288 篇文獻包括 8 000 余例 CVID 患者,除國外一篇對 2 212 個病例的匯總分析以外[6],大部分為散發報道或僅有數十個病例的集中報道。現結合這些文獻進行分析總結。
2.1 概述
CVID 是一種特異性的原發性免疫缺陷病。主要表現是全身多系統的反復感染,以呼吸系統最為常見,并有淋巴結、脾腫大,容易并發多種自身免疫性疾病以及惡性腫瘤[7]。據文獻報道,國外發病率大約在 1:50 000~1:25 000 之間[6],是北美和歐洲引起兒童和成人抗體缺陷的最常見病因。而在國內發病情況則相對罕見。
2.2 發病機制
有關發病機制的研究觀點現大多傾向于 B 細胞缺乏導致抗體產生減少。其中外周 B 細胞數量的減少、終末 B 細胞分化為記憶 B 細胞和漿細胞的過程受損以及 CD27+ B 細胞子集的增多是主要的發病環節[8]。在基因機制的研究上,目前文獻報道了 TNFRSF13B 突變、C104R 基因序列突變、TLR7 和 TLR9 突變[9-10]與此病有一定聯系。
2.3 發病時間及診斷時間
在 10 歲以前出現首發癥狀的患者占到了 33.7%。在這部分人群中,男童的比例(39.8%)高于女童(27.9%)。兩個診斷高峰期分別為童年時期及 30~40 歲。值得注意的是,由于癥狀的不特異性,平均診斷延遲時間長達 4.1 年(診斷每延遲 1 年,患者死亡風險增加 4.5%)。
2.4 臨床表現
CVID 的臨床表現存在高度異質性。對 2 212 例的大樣本數據分析發現,本病的臨床表現包括肺炎(32%)、自身免疫性疾病(29%)、脾大(26%)、支氣管擴張(23%)、肉芽腫性炎(9%)、腸病(9%)、實體腫瘤(5%)、腦炎或腦膜炎(4%)、淋巴瘤(3%)[6]。其中反復感染是最主要和最常見的癥狀[6]。感染部位發生率從高到低依次為呼吸系統、胃腸道、中樞神經系統、血液、皮膚以及肝臟的感染[8]。CVID 合并自身免疫性疾病的患者,以自身免疫性溶血性貧血和血小板減少性紫癜最為常見,其他還包括皮肌炎、類風濕關節炎[11]。除常見的支氣管擴張外,CVID 合并的肺部病變還包括肺纖維化、慢性阻塞性肺疾病、哮喘等[12-13]。此外,10% CVID 患者合并有肝臟損害[14],包括堿性磷酸酶升高、結節性再生性增生、肝硬化及其并發癥,其機制可能與自身免疫相關。
2.5 輔助檢查
CVID 的實驗室檢查多表現為血清中免疫球蛋白總量減少。其中 IgG、IgA 常缺如或減少,而 IgM 有時可增多。合并細胞免疫功能缺陷者 CD4 細胞絕對計數常降低。合并自身免疫性疾病者抗中性粒細胞胞漿抗體、Coombs 試驗常為陽性。其影像學檢查多無特征性,常可表現為支氣管擴張、肺氣腫、肺纖維化、肝硬化及脾大等征象。彩超還可發現全身多處淋巴結長大。
2.6 診斷標準
CVID 診斷目前參考 2014 年歐洲免疫缺陷協會和全美免疫缺陷組所發布的指南[15]。主要包括四項內容。A(需滿足全部以下 3 點):① 成人 IgG<5 g/L;② 沒有其他確定原因的免疫缺陷;③ 年齡大于 4 歲。B:存在免疫系統缺陷的臨床證據,符合以下 1 項及更多項:① 反復、嚴重的和不尋常的感染;② 使用抗菌藥物效果差;③ 預防性使用抗菌藥物仍出現嚴重感染;④ 已接種疫苗或有免疫的病原體仍出現感染;⑤ 炎癥性疾病支氣管擴張和(或)慢性鼻竇炎;⑥ 炎癥性疾病或自身免疫性疾病(如特發性血小板減少性紫癜、自身免疫性溶血性貧血,肉芽腫性炎等)。C:符合以下 3 條及更多項:① IgA<0.8 g/L 和(或)IgM<0.4 g/L;② B 細胞存在但記憶 B 細胞子集減少和(或)CD21 子集增多;③ IgG3<0.2 g/L;④ 疫苗不良反應相對于同齡人難以控制;⑤ 疫苗效果相對于同齡人短暫;⑥ 血球凝集素缺乏(非 AB 血型);⑦ 血清學支持自身免疫性疾病;⑧ 基因序列突變如 TACI 等一系列實驗室檢查,對于診斷沒有特異性,但是如果陽性則有助于診斷。D:相關組織學證據:① 淋巴細胞間質性肺炎;② 肉芽腫性疾病;③ 肝臟結節性增生;④ 胃腸道結節性淋巴樣組織增生;⑤ 胃腸道組織活檢未見漿細胞。上述四項內容中,滿足 ABC 或 ABD 可擬診為 CVID,若只滿足 A、AC、AB、AD 則僅能疑診 CVID。
2.7 治療及預后
目前對 CVID 的治療主要為免疫球蛋白替代療法。來自不同中心的病例對照研究分析發現,給予免疫球蛋白替代治療,平均劑量為 460 mg/kg,注射間隔時間為 30 d,可以使患者肺炎發生率明顯降低;少數患者因治療開始時間較晚且合并了嚴重的支氣管擴張或淋巴瘤而最終死亡。因此指南建議免疫球蛋白替代療法的起始量為 0.4~0.6 g/kg,每個月 1 次靜脈滴注[16],合并支氣管擴張者主張給予較高劑量的的免疫球蛋白治療[6]。預防性使用抗體和保護性隔離對 CVID 患者有益處[17]。如患者合并細胞免疫功能缺陷,需注意禁用活疫苗。
如能早期診斷并適當治療,患者預后較好[6]。死因多為難以控制的肺部感染或并發淋巴瘤或實體瘤。
3 討論
本例患者既往多年“肺部感染”病史,多次胸部 CT 均提示支氣管擴張,且反復使用抗生素效果不佳,后期逐漸發展為慢性肺源性心臟病。結合患者相關檢查,符合診斷標準中的 ABC 及部分 D 條目,達到擬診 CVID 標準。因此,考慮本例患者為 CVID 合并細胞免疫缺陷導致支氣管擴張、肝硬化、慢性肺源性心臟病。但仔細閱讀患者胸部 CT 可發現,患者雙肺僅部分支氣管擴張、管壁增厚,其病變范圍和程度與慢性肺源性心臟病嚴重程度不完全一致。且肺功能提示該患者除重度阻塞性通氣功能障礙外,同時存在嚴重彌散功能降低,無法完全用支氣管擴張解釋。分析其原因可能為:第一,由于患者存在支氣管擴張、管壁增厚,用力肺活量降低,導致 V/Q 比例失調;第二,該例屬少見的肝臟受累患者,既往研究表明肝硬化的存在可以使肝臟對循環中肺血管舒張因子的清除功能以及對門靜脈中多種血管活性因子的代謝功能喪失[18],由此可致肺內血管擴張,V/Q 比例失調。這兩方面原因可解釋患者嚴重低氧血癥、肺動脈高壓及慢性肺源性心臟病。因此,本例患者的慢性肺源性心臟病的原因除了反復感染所致的支氣管擴張外,還與 CVID 肝臟受累導致肺通氣血流比失調有關。
此外,本例患者還同時合并有外周血 CD4+T 細胞絕對計數、CD4/CD8 比例下降,骨髓流式細胞學提示 CD4+T 細胞占比下降。提示該患者同時存在細胞免疫功能缺陷。Takahashi 等[19]和 Malphettes 等[20]報道部分 CVID 患者可以同時合并細胞免疫功能缺陷,其機制可能與 T 細胞對分裂素和抗原刺激的反應下降及凋亡增加相關[21]。這也是本例患者頻繁發生肺部感染的原因之一。
在本例患者在長達 20 余年的病程中,反復診斷為肺部感染并給予抗感染治療。但病情仍頻繁發生,近 1 年患者幾乎每個月均需無間斷地接受靜脈注射抗生素治療。在既往整個診治過程,從未對其反復發生肺部感染的原因進行篩查。此次診斷明確后給予免疫球蛋白治療,患者出院后 1 個月未再發生肺部感染及使用抗生素。因此明確診斷并及時治療是控制本病的關鍵。基于這一疾病缺乏特異性癥狀、難發現、易誤漏診的特點,美國疾病控制中心和原發性免疫缺陷病基金會提出了 CVID 的預警癥狀包括:一年中有 8 次或 8 次以上的中耳炎,2 次或 2 次以上的嚴重鼻竇炎、肺炎、非常見部位感染,反復發生的深部皮膚或臟器感染,非常見或條件性致病菌感染以及家族中有原發性免疫缺陷病病史者[22]。因此,臨床中對于反復發生的感染且治療效果較差時需高度警惕該病的可能并注意鑒別診斷,避免漏診或僅診斷為免疫功能低下而停止進一步病因的深究,以致患者不能得到及時診斷及治療。