引用本文: 田剛, 葛繼文, 劉心存. 支氣管顆粒細胞瘤一例并文獻復習. 中國呼吸與危重監護雜志, 2019, 18(1): 76-80. doi: 10.7507/1671-6205.201807001 復制
顆粒細胞瘤(granular cell tumor,GCT)在軟組織腫瘤中的發病率僅為 0.5%,可以發生在機體的任何組織、器官,但以皮膚、頭頸部最為多見,發生在呼吸系統的 GCT 僅占 2%~6%,而呼吸系統 GCT 以喉部最多見,原發于支氣管者極為少見。本文總結我科收治的 1 例支氣管顆粒細胞瘤(bronchial granular cell tumor,BGCT)的臨床資料,同時結合文獻報道的 8 例 BGCT,總結分析 BGCT 的臨床表現、診斷及治療,以期對 BGCT 的早期識別、診斷提供幫助。
1 病例報告
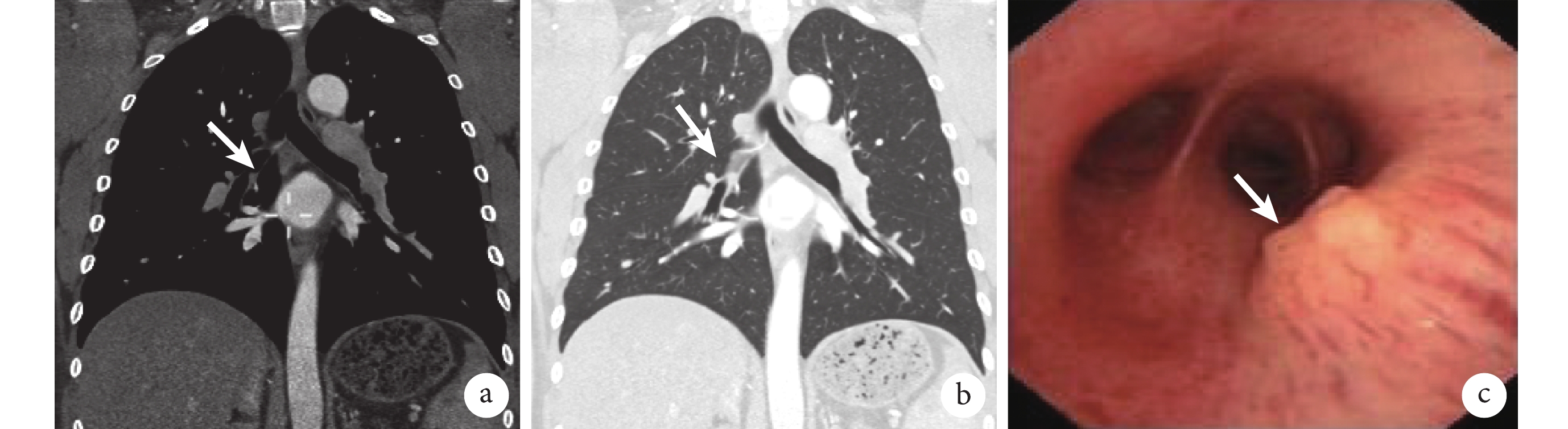
患者男性,40 歲,務農。患者 2 年前無明顯誘因出現咯血,為鮮紅色血痰,量約 5~10 ml/d,間斷咳嗽、咳痰,無其他不適,因癥狀加重曾 2 次于當地醫院給予“抗感染、止血”等治療后好轉。2 d 前無明顯誘因再次出現痰中帶血,為鮮紅色血痰,量約 5 ml,間斷咳嗽、咳痰,于 2017 年 6 月 19 日就診于我院。行雙源 CT 支氣管動脈血管成像示雙側支氣管動脈未見明顯異常,右肺中葉部分膨脹不全(圖 1a、b)。門診以“咯血原因待查”收入院。既往“慢性支氣管炎”病史 10 余年,“高血壓”病史 2 年,均未規律治療。

a、b. 雙側支氣管動脈血管成像未見明顯異常,右肺中葉部分膨脹不全(白箭);c.右肺中間段支氣管管壁息肉樣新生物,表面可見血管(白箭)
入院查體:神志清楚,精神可,淺表淋巴結未觸及腫大,胸廓對稱、無畸形,雙側呼吸動度均等,節律規整,胸骨無壓痛,兩側語顫無差別,無胸膜摩擦感,兩肺叩診清音,雙肺呼吸音粗,可聞及少量濕性啰音。
入院后輔助檢查:血尿便常規、凝血常規、腫瘤標志物(CEA、NSE、CYFRA21-1)、痰濃縮集菌真菌涂片、細菌涂片、抗酸桿菌涂片、痰培養及藥敏試驗、1,3-β-D 葡聚糖試驗、半乳甘露聚糖試驗均在正常范圍。2017 年 6 月 24 日行電子支氣管鏡檢查,鏡下見右肺中間段支氣管管壁息肉樣新生物,表面可見血管(圖 1c)。對新生物行鉗夾及毛刷檢查,蘇木精-伊紅(HE)染色,光鏡下見支氣管黏膜下相對大的圓形和卵圓形細胞,邊界清楚,有豐富的顆粒狀胞漿,細胞核小圓形,偏心、缺乏核仁,無非典型性、壞死、出血等。部分被覆蓋的支氣管上皮鱗狀化生。病理報告示顆粒細胞瘤。免疫組織化學:S-100 蛋白陽性,簇分化抗原 68(CD68)陽性,細胞角蛋白(cytokeratin,CK)陰性,增殖細胞核抗原(Ki-67)<2%,波形蛋白(vimentin,Vim)陽性(圖 2)。

a. 支氣管黏膜下可見相對大的圓形和卵圓形細胞,邊界清楚,有豐富的顆粒狀胞漿,細胞核小圓形,偏心、缺乏核仁,部分被覆蓋的支氣管上皮鱗狀化生,病理診斷顆粒細胞瘤(HE×10);b. 免疫組織化學:S-100(+);c. CD68(+);d. CK(–);e. Ki-67<2%;f.Vim(+)

患者確診為 BGCT。給予氬氣刀局部切除及冷凍治療(圖 3)。經治療后,患者于 2017 年 6 月 30 日出院,院外未再咯血。2017 年 8 月 4 日復查胸部 CT 未見明顯異常(圖 4a、b);復查電子支氣管鏡示各管腔通暢,右肺中間段支氣管黏膜光滑,未見新生物(圖 4c)。

a、b. 胸部 CT 檢查像未見明顯異常(白箭);c. 支氣管鏡檢查像示各管腔通暢,右肺中間段支氣管黏膜光滑,未見新生物
2 文獻復習
計算機檢索中國知網、萬方數據庫、PubMed 數據庫,語言為中文、英文,時間限制在 2007 年 1 月至 2017 年 7 月。中文檢索詞為“顆粒細胞瘤、支氣管”,英文檢索詞為“Granular cell tumor,Bronchus or Bronchial”。納入標準:(1)患者確診為支氣管肺顆粒細胞瘤;(2)有完整的臨床資料,包括性別、年齡、臨床特點、確診方法及治療方案等資料;(3)排除重復報道病例。最終納入 8 篇文獻[1-8],共收集 8 例 BGCT 患者。回顧性分析患者病歷資料,詳細查詢患者現病史、輔助檢查及診治經過。
總結該文獻復習 8 例支氣管 GCT 患者及我院確診的 1 例 BGCT 患者的臨床資料。9 例患者中,男 4 例,年齡 20~60 歲,平均年齡 45 歲;女 5 例,年齡 17~62 歲,平均年齡 42.6 歲。查體發現肺部腫塊就診,無呼吸系統癥狀者 3 例(3/9),有癥狀者 6 例(6/9),主要癥狀為咯血、胸痛、胸悶、呼吸困難、咳嗽,其中咯血 5 例(5/6),胸痛 2 例(2/6),呼吸困難 2 例(2/6),胸悶 2 例(2/6),發熱 1 例(1/6),同時合并咳嗽 1 例(1/6)。病變部位,7 例位于右側(7/9),其中右肺上葉 3 例(3/7),右肺下葉 2 例(2/7),右肺中葉 1 例(1/7),右主支 1 例(1/7);2 例位于左側,均位于左肺下葉(2/2)(表 1)。

9 例患者中,8 例行電子支氣管鏡檢查(8/9),均行經支氣管肺活組織檢查(transbronchial lung biopsy,TBLB),其中 6 例患者經活檢組織病理聯合免疫組織化學確診(6/8),2 例經活檢組織病理確診(2/8);1 例經開胸探查術(1/9),術后病理確診(1/1)。9 例患者確診后,其中 5 例行腫物切除術(5/9),2 例經電子支氣管鏡行氬離子聯合冷凍技術摘除腫物(2/9),1 例經電子支氣管鏡活檢鉗摘除(1/9),1 例未行 GCT 的干預治療(1/9),僅對癥處理,隨訪 2 年,腫物未見明顯變化。其余給予治療的 8 例 BGCT 患者,除 2 例無明確的隨訪時間外,其余隨訪 4~24 個月,均未見復發(表 2)。

3 討論
Abrikossoff[9]于 1926 年首次發現并報道 GCT,因胞漿富含嗜酸性顆粒而得名。起初 GCT 被認為是肌源性起源的腫瘤,Horn 和 Stout 等將該病命名為“顆粒細胞肌母細胞瘤”[10]。隨著超微結構、免疫組織化學和組織學研究的發展,目前認為 GCT 是一種神經鞘起源的罕見腫瘤,關于 GCT 的報道以病例分析為主。GCT 在軟組織腫瘤中的發病率僅有 0.5%。GCT 有良性和惡性之分,多數為良性,僅有 1%~2% 為惡性[11-12]。GCT 可以發生在機體的任何組織、器官,但以皮膚、頭頸部最為多見,發生在呼吸系統的 GCT 僅占 2%~6%[4],而呼吸系統 GCT 以喉部最多見,原發于支氣管者極為少見,由 Feckner 等[13]于 1938 年首次報道。
BGCT 發病率低,臨床不常見,未發現明確的發病原因。我們文獻復習 2007 年 1 月至 2017 年 7 月中國知網、萬方數據庫和 PubMed 數據庫 10 年中報道的 BGCT,除去重復報道共 16 篇,其中臨床資料詳細者共 8 篇。BGCT 可以發生在任何年齡,但是 30~50 歲為發病高峰[7]。我們分析的 9 例 GCT,年齡分布為 17~62 歲,平均年齡為 45 歲,中位年齡為 55 歲。對各個部位 GCT 總的研究發現約 2/3 發生于女性[14]。Kim 等[7]對肺 GCT 研究發現氣管 GCT 多發于女性,而 BGCT 無性別偏好。我們分析的 9 例 BGCT,其中女 5 例(5/9),男 4 例(4/9)。關于 BGCT 的發病部位并沒有統一共識。Kim 等[7]總結發現,BGCT 發生與左右沒有明顯的關系,但是不同的肺葉有明顯的偏好,常見于肺上葉(10/13),肺下葉較少見(3/13)。Fanburg-Smith 等[12]研究則發現肺 GCT 通常發生在較低的氣管和支氣管下段水平。van der Maten 等[15]提出 BGCT 有上葉和中間支氣管的偏好。我們研究的 9 例 BGCT 患者其中 7 例發生于右肺,2 例發生于左肺,有明顯左右肺偏好;上葉病變 3 例(3/9),下葉病變 4 例(4/9),中葉病變 1 例(1/9),右主支 1 例(1/9)。這與以上參考文獻研究結果相矛盾,可能與我們的研究納入病例偏少以及地區偏倚等有關。關于 GCT 好發部位研究還需要我們進一步擴大病例范圍全面總結研究。
BGCT 沒有特異的臨床癥狀,約一半的患者確診前沒有任何癥狀。由腫瘤侵犯氣管或阻塞氣道引起常見癥狀有吞咽困難、疼痛、呼吸困難、咳嗽、咯血和喘鳴等[12]。我們研究的 9 例 BGCT 患者,通過體檢發現、沒有任何呼吸系統癥狀者 3 例(33.3%);有癥狀者 6 例(66.7%),主要癥狀為咯血、胸痛、胸悶、呼吸困難、咳嗽,其中咯血 5 例(5/6),胸痛 2 例(2/6),呼吸困難 2 例(2/6),胸悶 2 例(2/6),發熱 1 例(1/6),同時合并咳嗽 1 例(1/6)。臨床癥狀常因腫瘤的位置、大小不同而異,偏中心的腫瘤更容易引起癥狀。
關于 GCT 的治療仍存在爭議,van der Maten 等[15]提出支氣管鏡治療應為 GCT 的常規治療方法。而 Daniel 等[16]則認為 GCT 沒有包膜,呈浸潤性生長,鏡下治療存在復發風險,關于鏡下治療 GCT 的研究發現其復發概率高達 54%。我們分析的 9 例 BGCT,除 1 例保守對癥治療外,其余 8 例均給予腫瘤干預治療,3 例經電子支氣管鏡下治療,其中 1 例直接經電子支氣管鏡下活檢鉗摘除,2 例經電子支氣管鏡行氬離子聯合冷凍技術摘除。其余 5 例均行手術治療。除 2 例 BGCT[5, 8]沒有明確的隨訪時間,1 例未予 GCT 干預治療者隨訪 2 年腫瘤無明顯變化,其余 6 例中 3 例鏡下治療,隨訪 4~24 個月無復發,3 例手術治療,隨訪 6~18 個月均未發現復發。
綜合分析我們研究的 9 例 BGCT,男∶女=4∶5,發病平均年齡 45 歲,中位年齡 55 歲;主要臨床表現咯血、胸痛、呼吸困難、胸悶、咳嗽,右肺(7/9)較左肺(2/9)多見,上葉(3/9)與下葉(4/9)發病率相當;電子支氣管鏡檢查對支氣管 GCT 診斷有重要意義,病理學檢查是確診 GCT 的金標準,免疫組織化學為病理學檢查提供了重要的輔助診斷價值。關于 BGCT 的治療,通過 HRCT 檢查,瘤體局限且未浸潤氣管壁者可首選電子支氣管鏡下治療,如果有條件可同時給予冷凍治療,冷凍技術不僅可以通過凍結的細胞毒發揮生物學效應,還可以通過冷凍技術的延遲效應促進細胞壞死,且這種技術對正常組織的影響較小。對于病灶較大,或有氣管壁浸潤、鏡下治療困難者首選手術干預治療。所有的 GCT 均應定期隨訪。
顆粒細胞瘤(granular cell tumor,GCT)在軟組織腫瘤中的發病率僅為 0.5%,可以發生在機體的任何組織、器官,但以皮膚、頭頸部最為多見,發生在呼吸系統的 GCT 僅占 2%~6%,而呼吸系統 GCT 以喉部最多見,原發于支氣管者極為少見。本文總結我科收治的 1 例支氣管顆粒細胞瘤(bronchial granular cell tumor,BGCT)的臨床資料,同時結合文獻報道的 8 例 BGCT,總結分析 BGCT 的臨床表現、診斷及治療,以期對 BGCT 的早期識別、診斷提供幫助。
1 病例報告
患者男性,40 歲,務農。患者 2 年前無明顯誘因出現咯血,為鮮紅色血痰,量約 5~10 ml/d,間斷咳嗽、咳痰,無其他不適,因癥狀加重曾 2 次于當地醫院給予“抗感染、止血”等治療后好轉。2 d 前無明顯誘因再次出現痰中帶血,為鮮紅色血痰,量約 5 ml,間斷咳嗽、咳痰,于 2017 年 6 月 19 日就診于我院。行雙源 CT 支氣管動脈血管成像示雙側支氣管動脈未見明顯異常,右肺中葉部分膨脹不全(圖 1a、b)。門診以“咯血原因待查”收入院。既往“慢性支氣管炎”病史 10 余年,“高血壓”病史 2 年,均未規律治療。

a、b. 雙側支氣管動脈血管成像未見明顯異常,右肺中葉部分膨脹不全(白箭);c.右肺中間段支氣管管壁息肉樣新生物,表面可見血管(白箭)
入院查體:神志清楚,精神可,淺表淋巴結未觸及腫大,胸廓對稱、無畸形,雙側呼吸動度均等,節律規整,胸骨無壓痛,兩側語顫無差別,無胸膜摩擦感,兩肺叩診清音,雙肺呼吸音粗,可聞及少量濕性啰音。
入院后輔助檢查:血尿便常規、凝血常規、腫瘤標志物(CEA、NSE、CYFRA21-1)、痰濃縮集菌真菌涂片、細菌涂片、抗酸桿菌涂片、痰培養及藥敏試驗、1,3-β-D 葡聚糖試驗、半乳甘露聚糖試驗均在正常范圍。2017 年 6 月 24 日行電子支氣管鏡檢查,鏡下見右肺中間段支氣管管壁息肉樣新生物,表面可見血管(圖 1c)。對新生物行鉗夾及毛刷檢查,蘇木精-伊紅(HE)染色,光鏡下見支氣管黏膜下相對大的圓形和卵圓形細胞,邊界清楚,有豐富的顆粒狀胞漿,細胞核小圓形,偏心、缺乏核仁,無非典型性、壞死、出血等。部分被覆蓋的支氣管上皮鱗狀化生。病理報告示顆粒細胞瘤。免疫組織化學:S-100 蛋白陽性,簇分化抗原 68(CD68)陽性,細胞角蛋白(cytokeratin,CK)陰性,增殖細胞核抗原(Ki-67)<2%,波形蛋白(vimentin,Vim)陽性(圖 2)。

a. 支氣管黏膜下可見相對大的圓形和卵圓形細胞,邊界清楚,有豐富的顆粒狀胞漿,細胞核小圓形,偏心、缺乏核仁,部分被覆蓋的支氣管上皮鱗狀化生,病理診斷顆粒細胞瘤(HE×10);b. 免疫組織化學:S-100(+);c. CD68(+);d. CK(–);e. Ki-67<2%;f.Vim(+)

患者確診為 BGCT。給予氬氣刀局部切除及冷凍治療(圖 3)。經治療后,患者于 2017 年 6 月 30 日出院,院外未再咯血。2017 年 8 月 4 日復查胸部 CT 未見明顯異常(圖 4a、b);復查電子支氣管鏡示各管腔通暢,右肺中間段支氣管黏膜光滑,未見新生物(圖 4c)。

a、b. 胸部 CT 檢查像未見明顯異常(白箭);c. 支氣管鏡檢查像示各管腔通暢,右肺中間段支氣管黏膜光滑,未見新生物
2 文獻復習
計算機檢索中國知網、萬方數據庫、PubMed 數據庫,語言為中文、英文,時間限制在 2007 年 1 月至 2017 年 7 月。中文檢索詞為“顆粒細胞瘤、支氣管”,英文檢索詞為“Granular cell tumor,Bronchus or Bronchial”。納入標準:(1)患者確診為支氣管肺顆粒細胞瘤;(2)有完整的臨床資料,包括性別、年齡、臨床特點、確診方法及治療方案等資料;(3)排除重復報道病例。最終納入 8 篇文獻[1-8],共收集 8 例 BGCT 患者。回顧性分析患者病歷資料,詳細查詢患者現病史、輔助檢查及診治經過。
總結該文獻復習 8 例支氣管 GCT 患者及我院確診的 1 例 BGCT 患者的臨床資料。9 例患者中,男 4 例,年齡 20~60 歲,平均年齡 45 歲;女 5 例,年齡 17~62 歲,平均年齡 42.6 歲。查體發現肺部腫塊就診,無呼吸系統癥狀者 3 例(3/9),有癥狀者 6 例(6/9),主要癥狀為咯血、胸痛、胸悶、呼吸困難、咳嗽,其中咯血 5 例(5/6),胸痛 2 例(2/6),呼吸困難 2 例(2/6),胸悶 2 例(2/6),發熱 1 例(1/6),同時合并咳嗽 1 例(1/6)。病變部位,7 例位于右側(7/9),其中右肺上葉 3 例(3/7),右肺下葉 2 例(2/7),右肺中葉 1 例(1/7),右主支 1 例(1/7);2 例位于左側,均位于左肺下葉(2/2)(表 1)。

9 例患者中,8 例行電子支氣管鏡檢查(8/9),均行經支氣管肺活組織檢查(transbronchial lung biopsy,TBLB),其中 6 例患者經活檢組織病理聯合免疫組織化學確診(6/8),2 例經活檢組織病理確診(2/8);1 例經開胸探查術(1/9),術后病理確診(1/1)。9 例患者確診后,其中 5 例行腫物切除術(5/9),2 例經電子支氣管鏡行氬離子聯合冷凍技術摘除腫物(2/9),1 例經電子支氣管鏡活檢鉗摘除(1/9),1 例未行 GCT 的干預治療(1/9),僅對癥處理,隨訪 2 年,腫物未見明顯變化。其余給予治療的 8 例 BGCT 患者,除 2 例無明確的隨訪時間外,其余隨訪 4~24 個月,均未見復發(表 2)。

3 討論
Abrikossoff[9]于 1926 年首次發現并報道 GCT,因胞漿富含嗜酸性顆粒而得名。起初 GCT 被認為是肌源性起源的腫瘤,Horn 和 Stout 等將該病命名為“顆粒細胞肌母細胞瘤”[10]。隨著超微結構、免疫組織化學和組織學研究的發展,目前認為 GCT 是一種神經鞘起源的罕見腫瘤,關于 GCT 的報道以病例分析為主。GCT 在軟組織腫瘤中的發病率僅有 0.5%。GCT 有良性和惡性之分,多數為良性,僅有 1%~2% 為惡性[11-12]。GCT 可以發生在機體的任何組織、器官,但以皮膚、頭頸部最為多見,發生在呼吸系統的 GCT 僅占 2%~6%[4],而呼吸系統 GCT 以喉部最多見,原發于支氣管者極為少見,由 Feckner 等[13]于 1938 年首次報道。
BGCT 發病率低,臨床不常見,未發現明確的發病原因。我們文獻復習 2007 年 1 月至 2017 年 7 月中國知網、萬方數據庫和 PubMed 數據庫 10 年中報道的 BGCT,除去重復報道共 16 篇,其中臨床資料詳細者共 8 篇。BGCT 可以發生在任何年齡,但是 30~50 歲為發病高峰[7]。我們分析的 9 例 GCT,年齡分布為 17~62 歲,平均年齡為 45 歲,中位年齡為 55 歲。對各個部位 GCT 總的研究發現約 2/3 發生于女性[14]。Kim 等[7]對肺 GCT 研究發現氣管 GCT 多發于女性,而 BGCT 無性別偏好。我們分析的 9 例 BGCT,其中女 5 例(5/9),男 4 例(4/9)。關于 BGCT 的發病部位并沒有統一共識。Kim 等[7]總結發現,BGCT 發生與左右沒有明顯的關系,但是不同的肺葉有明顯的偏好,常見于肺上葉(10/13),肺下葉較少見(3/13)。Fanburg-Smith 等[12]研究則發現肺 GCT 通常發生在較低的氣管和支氣管下段水平。van der Maten 等[15]提出 BGCT 有上葉和中間支氣管的偏好。我們研究的 9 例 BGCT 患者其中 7 例發生于右肺,2 例發生于左肺,有明顯左右肺偏好;上葉病變 3 例(3/9),下葉病變 4 例(4/9),中葉病變 1 例(1/9),右主支 1 例(1/9)。這與以上參考文獻研究結果相矛盾,可能與我們的研究納入病例偏少以及地區偏倚等有關。關于 GCT 好發部位研究還需要我們進一步擴大病例范圍全面總結研究。
BGCT 沒有特異的臨床癥狀,約一半的患者確診前沒有任何癥狀。由腫瘤侵犯氣管或阻塞氣道引起常見癥狀有吞咽困難、疼痛、呼吸困難、咳嗽、咯血和喘鳴等[12]。我們研究的 9 例 BGCT 患者,通過體檢發現、沒有任何呼吸系統癥狀者 3 例(33.3%);有癥狀者 6 例(66.7%),主要癥狀為咯血、胸痛、胸悶、呼吸困難、咳嗽,其中咯血 5 例(5/6),胸痛 2 例(2/6),呼吸困難 2 例(2/6),胸悶 2 例(2/6),發熱 1 例(1/6),同時合并咳嗽 1 例(1/6)。臨床癥狀常因腫瘤的位置、大小不同而異,偏中心的腫瘤更容易引起癥狀。
關于 GCT 的治療仍存在爭議,van der Maten 等[15]提出支氣管鏡治療應為 GCT 的常規治療方法。而 Daniel 等[16]則認為 GCT 沒有包膜,呈浸潤性生長,鏡下治療存在復發風險,關于鏡下治療 GCT 的研究發現其復發概率高達 54%。我們分析的 9 例 BGCT,除 1 例保守對癥治療外,其余 8 例均給予腫瘤干預治療,3 例經電子支氣管鏡下治療,其中 1 例直接經電子支氣管鏡下活檢鉗摘除,2 例經電子支氣管鏡行氬離子聯合冷凍技術摘除。其余 5 例均行手術治療。除 2 例 BGCT[5, 8]沒有明確的隨訪時間,1 例未予 GCT 干預治療者隨訪 2 年腫瘤無明顯變化,其余 6 例中 3 例鏡下治療,隨訪 4~24 個月無復發,3 例手術治療,隨訪 6~18 個月均未發現復發。
綜合分析我們研究的 9 例 BGCT,男∶女=4∶5,發病平均年齡 45 歲,中位年齡 55 歲;主要臨床表現咯血、胸痛、呼吸困難、胸悶、咳嗽,右肺(7/9)較左肺(2/9)多見,上葉(3/9)與下葉(4/9)發病率相當;電子支氣管鏡檢查對支氣管 GCT 診斷有重要意義,病理學檢查是確診 GCT 的金標準,免疫組織化學為病理學檢查提供了重要的輔助診斷價值。關于 BGCT 的治療,通過 HRCT 檢查,瘤體局限且未浸潤氣管壁者可首選電子支氣管鏡下治療,如果有條件可同時給予冷凍治療,冷凍技術不僅可以通過凍結的細胞毒發揮生物學效應,還可以通過冷凍技術的延遲效應促進細胞壞死,且這種技術對正常組織的影響較小。對于病灶較大,或有氣管壁浸潤、鏡下治療困難者首選手術干預治療。所有的 GCT 均應定期隨訪。