引用本文: 孫玲, 葉雨超, 楊華, 周亮, 黃波. 肺黏液表皮樣癌一例并文獻復習. 中國呼吸與危重監護雜志, 2018, 17(6): 599-603. doi: 10.7507/1671-6205.201805043 復制
肺黏液表皮樣癌(pulmonary mucoepidermoid carcinoma,PMEC)是一種罕見肺部惡性腫瘤,國內外主要以病例報告或小樣本報道多見。我院于 2017 年 3 月病理確診 1 例 PMEC 患者,現結合文獻復習總結 PMEC 臨床特征。
1 臨床資料
患者女性,21 歲,產褥期。因“咳嗽、咳痰 5 個月余,咯血 3 個月余,發熱 4 d”于 2017 年 3 月 11 日入院。患者 5 個月前無明顯誘因出現咳嗽,咳大量白黏痰,易咳出,無發熱、畏寒,因處于妊娠期,未予診治;3 個月前間斷咯鮮紅色血,每日總量約 4 ml,亦未予特殊診治;10+ d 前就診當地醫院,自然分娩后,上述癥狀較前好轉;4 d 前開始出現發熱,最高達 39.0 ℃,并且伴乏力、活動后氣促,無畏寒、寒戰,無納差、消瘦、盜汗。于當地醫院查胸部 CT 平掃+增強提示:右肺中葉近肺門側不規則軟組織腫塊:腫瘤性病變?發育異常所致?纖維支氣管鏡(簡稱纖支鏡)檢查:右肺中葉新生物,刷檢物未見抗酸桿菌及癌細胞;病理診斷:組織呈慢性炎癥改變,其中可見有輕度異型鱗狀上皮團生長。予抗炎治療半個月后復查胸部 CT 平掃+增強提示:右肺中葉近肺門側不規則腫塊(囊性占位),右側肺門區腫塊大小未見明顯變化,右肺中下葉新見炎癥。為進一步診治轉診于我院。
既往史無特殊,無不良嗜好。入院體格檢查:T 36.7 ℃、P 85 次/min、R 18 次/min、BP 101/69 mm Hg(1 mm Hg=0.133 kPa)。急性面容,神清,皮膚未見皮疹,未觸及淺表淋巴結,鞏膜無黃染,口唇無發紺,扁桃體不大,頸軟,氣管居中,無頸靜脈怒張,甲狀腺不大,胸廓對稱無畸形,雙肺可聞及散在濕性啰音,以右肺中下葉明顯,無哮鳴音及胸膜摩擦音;余未見異常。完善胸部 CT 平掃+增強檢查,顯示右肺中葉支氣管閉塞,周圍形成 31 mm×35 mm 不規則軟組織腫塊,增強掃描中度強化,腫物外周見較大不規則囊性低密度區,右下葉肺見多發斑片狀高密度影,邊界不清;提示右肺中葉占位性病變并右中葉肺黏液潴留,右下葉肺炎(圖 1)。纖支鏡檢查:可見右支氣管管腔見較多白色分泌物,中葉開口見新生物表面覆蓋少量壞死物質,觸及易出血,周圍支氣管黏膜充血及水腫,管腔完全閉塞,提示右中葉病變,腫瘤不能除外,建議再次支氣管鏡檢查;病理診斷:(右中葉)非角化型鱗癌?免疫組織化學檢查示 CK(+)、P40(+)、P63(+)、CK5/6(++)、Vimentin(–)、CD56(–)、CgA(–)、CK7(弱+)、Napsin-A(–)、Syn(–)、TTF1(–)、Ki-67(5%+);灌洗液細胞病理+DNA 倍體分析見較多纖毛柱狀上皮細胞,少量淋巴細胞,部分上皮細胞增生明顯,未見 DNA 異倍體;右中葉刷檢物見少量絲狀真菌生長,未找到脫落細胞,灌洗液結核分支桿菌核酸檢測陰性。淺表淋巴結彩色超聲探及雙側頸部及腋窩淋巴結:雙側頸部探及多枚實性低回聲結節,部分皮髓質結構欠清,左側 16 mm×8 mm,右側 11 mm×5 mm;雙側腋窩探及多枚實性低回聲結節,左側 11 mm×5 mm,右側 12 mm×5 mm。

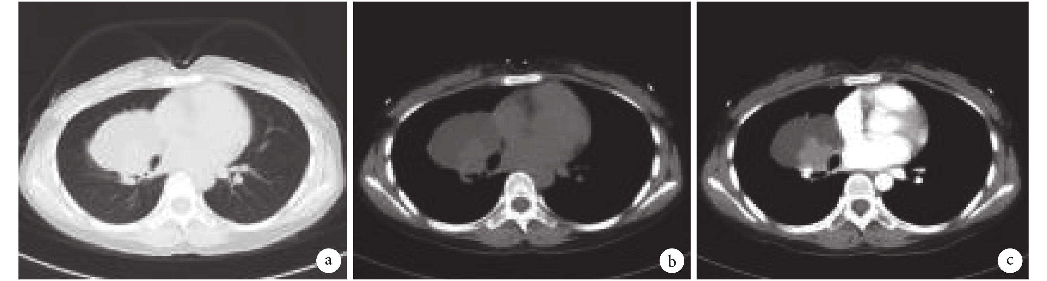
a. 肺窗;b. 縱隔窗;c. 增強 CT。右肺中葉占位性病變,右肺中葉支氣管閉塞,平掃示腫塊邊緣光滑,增強掃描成囊實性改變,內可見分隔,實性成分呈中度均勻強化,與鄰近支氣管分界不清,未見明顯淋巴結腫大、鈣化影、壞死灶
再次行纖支鏡檢查示右支氣管管腔見少許白色分泌物,中葉開口見新生物將管腔完全阻塞(圖 2);灌洗液未找到癌細胞(涂片中易見中性粒細胞、小吞噬細胞);病理診斷:低級別 PMEC(右中葉開口取材)。免疫組織化學檢查示 CK(+)、P40(+)、P63(+)、CK5/6(++)、Vimentin(–)、CD56(–)、CgA(–)、CK7(+)、Napsin-A(–)、Syn(–)、TTF1(–)、Ki-67(2%+)、SMA(–)、S100(–)、Calponin(灶+),過碘酸希夫(Periodic acid–Schiff,PAS)特殊染色:(+)。肺部腫瘤標志物(–)。顱腦 MRI 平掃+增強、腹部彩超常規、腹腔淋巴結、雙腎上腺 CT 平掃+增強、骨 ECT 均未見異常。轉胸外科手術,術中見右肺中葉大小約 10 cm×10 cm×10 cm 灰紅色息肉狀包塊,質硬,病灶侵及膈神經、右側心包。組織學標本鏡下觀察:可見大小不等的囊腔形成,周圍可見表皮樣細胞及中間型細胞,偶見壞死;表皮樣細胞形似鱗狀細胞,無角化珠;黏液細胞呈多邊形或高柱狀,黏液細胞構成的腺體散布于實性細胞區,構成囊性區域,產生黏液細胞體積較大,胞質蒼白,胞核較小,深染,胞內可見黏液顆粒,胞外可見大量黏液;間質細胞含量少。術后病理與第二次纖支鏡活檢病理結果一致,送檢右全肺、縱隔淋巴結、病灶侵及的心包、右心房、氣管殘端等標本及多組淋巴結均未見腫瘤轉移。結合術中所見、病理結果及免疫組織化學診斷為低級別 PMEC(圖 3)。根據 2017 年 CSCO 肺癌 TNM 分期標準[1]進行臨床分期:右肺低級別黏液表皮樣癌(mucoepidermoid carcinoma,MEC),ⅢA(pT4N0M0)。分子病理檢測示 EGFR/ALK/ROS1 均為野生型。術后以紫杉醇+卡鉑方案行 4 個療程化療。隨診復查胸部 CT,恢復尚可。現患者隨訪 2 年,活動耐力較患病前稍減低,余無特殊不適。

右肺中葉開口見新生物將管腔完全阻塞

a. HE 染色:腫瘤細胞由黏液細胞、表皮樣細胞和中間型細胞以不同比例組合而成,形成囊樣腔隙和實性細胞島,偶見壞死;b. 免疫組織化學染色:CK(+);c. 免疫組織化學染色:CK7(+);d. 免疫組織化學檢查:CK5/6(+);e. 免疫組織化學染色:p40(+);f. 免疫組織化學染色:p63(+);g. PAS 特殊染色:(+)
2 文獻復習
以“肺黏液表皮樣癌”為檢索詞在中國知網數據庫和萬方數據庫進行檢索,以“pulmonary”或“lung”和“mucoepidermoid carcinoma”為檢索詞在 PubMed 數據庫進行檢索,檢索時間為 2013~2018 年。共檢索到 13 篇文獻,包括 13 例 PMEC 患者,其中國內 7 例,國外 6 例[2-14]。男 9 例,女 4 例;發病年齡 3~78 歲,中位年齡 40 歲;臨床表現無特殊,10 例以不同程度的咳嗽、發熱、咯血為首診癥狀,2 例無癥狀體檢發現,1 例以轉移后消化道癥狀就診。胸部 CT 表現:以較大支氣管的占位性病變為主,10 例伴不同程度的阻塞性肺炎、肺不張,1 例出現肺部空洞液平,2 例發現縱隔淋巴結腫大;瘤體直徑多處于10~25 mm。接受單純手術切除治療 8 例,預后良好;1 例術后聯合化療后好轉;1 例予單一吉非替尼靶向治療后好轉;1 例化療聯合放療后因呼吸衰竭死亡;3 例資料不全預后不明。
3 討論
MEC 是最常見的涎腺浸潤性惡性腫瘤,由黏液細胞、表皮樣細胞和中間型細胞以不同比例組合而成[15]。MEC 病因學機制尚無明確結論。但普遍認為 MEC 來源于異位黏液腺的惡性轉化、先天性囊腫或與慢性炎癥引發腺上皮化生成鱗狀細胞和黏蛋白分泌細胞有關[16-18]。細胞遺傳學相關研究認為 MEC 中 t(11;19)(q21;p13)染色體易位形成的融合物 MECT-MAML2(mucoepidermoid carcinoma translocated 1-master mind like 2)基因可誘導腫瘤的形成。但本病例因條件受限最終未行 MECT1-MAML2 融合基因檢測。
肺臟是 MEC 最常見的唾液腺外部位,發病率約占肺部惡性腫瘤的 0.1%~0.2%,無明顯性別差異[2],發病年齡在 3~78 歲,中位年齡 40 歲左右。但目前一些文獻報道低級別的原發性 PMEC 更趨于年輕化[19-21]。本例患者 21 歲,與上述報道常見好發年齡相符。
PMEC 的臨床癥狀及體征無特異性[22],極易漏診和誤診。PMEC 分為中央型和周圍型,中央型多見,好發于葉、段以及段以上支氣管,常出現大氣道梗阻或刺激性癥狀和體征,如咳嗽、咯血、喘鳴及反復發生的肺炎等;周圍型可無明顯癥狀,易漏診。本例患者病變在右中葉支氣管,臨床表現符合中央型特點。
PMEC 的影像學診斷價值比較局限,但高分辨率 CT 出現以下征象需警惕[23]:① 部位:好發于較大支氣管;② 形態:主要向支氣管腔內呈息肉狀生長;③ 密度:接近或等同于肌肉密度,相對比較均勻,增強掃描后腫瘤多呈輕-中度不均勻強化;④ 部分病例可有鈣化;江森等[24]認為鈣化可能更多見于低級別 PMEC;⑤ 伴有阻塞性肺炎、肺不張。同時,“空氣新月征”也可見于低級別 PMEC,可能與其突入管腔呈息肉狀生長、病灶周圍殘留氣體有關[23]。本例患者行纖支鏡檢查示右支氣管管腔見少許白色分泌物,中葉開口見新生物將管腔完全阻塞,與上述特點基本一致。
PMEC 的診斷主要依據病理結果,手術是獲取病理標本主要手段。纖支鏡在術前確診有價值,但誤診率比較高,而小樣本病理結合免疫組織化學可提高診斷率[20, 25-26]。本例在我院第一次纖支鏡活檢+肺癌免疫組織化學誤診為非角化型鱗癌,第二次纖支鏡活檢+肺癌免疫組織化學+PAS 特殊染色(圖 2),診斷為低級別 PMEC,與術后病理一致。
PMEC 根據各構成細胞比例不同可分為低度惡性型(高分化)和高度惡性型(低分化)[27]。低度惡性型(高分化)占 PMEC 的 75%~80%,鏡下呈息肉狀突入管腔,黏液細胞豐富,占腫瘤細胞 50% 以上,構成腺腔及囊樣腔隙;表皮樣細胞成熟,無角化現象;中間型細胞較少,呈多角型,胞漿雙染色或微嗜酸性,核圓形、居中;上述各種細胞分化好,無或罕見核分裂象及壞死。高度惡性型(低分化)較罕見,在大支氣管壁內侵襲性生長;鏡下可見癌組織主要由中間型細胞及表皮樣細胞組成,黏液細胞少見;兩種細胞的異型性明顯,核分裂相及壞死灶易見。起源于上皮組織的 PMEC 常表達多種上皮源性抗原,而 TTF-1、CK7、Napsin A、P63、Ki-67、AB/PAS 染色等指標的聯合檢測有助于 PMEC 的診斷。國內的文獻報道 PMEC 的惡性程度與 Ki-67 陽性指數的高低呈正相關[25-26, 28]。
PMEC 常需要與以下肺部占位性病變相鑒別:① 腺鱗癌:當其形成的實性巢團伴有黏液成分時,就容易與高級別 PMEC 混淆,而高級別 PMEC 并無角化現象[28-29],本例患者多次纖支鏡活檢發現上皮細胞增多,開始誤診為非角化型鱗癌,最終結合免疫組織化學和 PAS 特染排除。同時,免疫組織化學顯示 TTF1 及 NapsinA 在肺腺癌均陽性,而 PMEC 中所有腫瘤細胞通常不表達[26]。另外,對于腺鱗癌常可隱藏黏液樣組分,增加了診斷的復雜性,MAML2 基因重排的分子分析陰性表達可有較大幫助[20, 30]。② 腺樣囊性癌:與 PMEC 同屬于涎腺來源,亦是肺產生黏液的上皮源性腫瘤,當出現鱗化時,易被誤診為 PMEC;但其胸部 CT 表現為均勻低密度,瘤內鈣化少見,增強后強化不明顯[23];同時,其瘤體成分中黏液細胞較少見,免疫組織化學示肌上皮表達 SMA、p63 及 S-100 蛋白,MECT1-MAML2 融合基因不表達也有助于鑒別[31]。
手術切除是 PMEC 最有效的治療手段。低級別 PMEC 少有淋巴結轉移,早期手術切除可治愈;晚期需要綜合治療。高級別 PMEC 出現淋巴結轉移的情況較低級別多見,因其進展快,手術切除易復發轉移,預后較差,需要術后輔助治療。研究表明,表皮生長因子受體酪氨酸激酶抑制劑(EGFR-TKIs)對于 PMEC 患者可達到有效緩解并能延緩復發、延長生存期,并且不依賴于 EGFR 的突變,而 MECTI-MAML2 融合基因就可能是 EGFR-TKIs 治療的有效靶點[25, 32-33]。但 Qian 等[2]認為 EGFR 抑制劑作用并不明確,需要更大樣本的研究。本例患者行右全肺葉切除+系統淋巴結清掃術+心包重建術,結合術中粘連情況、病理、免疫組織化學及基因檢測結果,予紫杉醇+卡鉑方案化療 4 個療程,未進行靶向治療。隨訪 1 年期間未見復發及轉移,但鑒于時間較短,預后有待進一步觀察。
PMEC 預后與組織學分級、癌癥分期和淋巴結是否轉移等因素相關,而年齡、性別、腫瘤大小和其他臨床特征則可影響 PMEC 患者的生存[25, 29, 34];但 Hsieh 等[20]認為,腫瘤分級不影響無病生存期(DFS)或總生存期(OS)。根據分子生物學研究進展,MECTI-MAML2 融合基因不僅有助于 PMEC 的鑒別診斷,也是影響預后的重要因素:MECTI-MAML2 融合陽性者比融合陰性者預后好[35, 36]。
綜上所述,PMEC 是一種以低級別為主的低度惡性腫瘤,發病率低,其臨床表現、影像學特征無明顯特異性,確診主要依據組織病理結果,并輔以免疫組織化學結果,外科手術是最有效的治療手段,預后與病理分級、TNM 分期、淋巴結轉移、年齡、腫瘤大小等因素有關,整體預后良好[3];高度惡性者少見,但侵襲性強,預后較低級別差,并且其放化療的療效目前尚未明確。但對于不能徹底切除或有淋巴結轉移的患者,仍然推薦采用綜合治療[4, 19]。同時可進一步完善 MECTI-MAML2 融合基因檢測,對 PMEC 的診治和預后有一定的指導作用。
肺黏液表皮樣癌(pulmonary mucoepidermoid carcinoma,PMEC)是一種罕見肺部惡性腫瘤,國內外主要以病例報告或小樣本報道多見。我院于 2017 年 3 月病理確診 1 例 PMEC 患者,現結合文獻復習總結 PMEC 臨床特征。
1 臨床資料
患者女性,21 歲,產褥期。因“咳嗽、咳痰 5 個月余,咯血 3 個月余,發熱 4 d”于 2017 年 3 月 11 日入院。患者 5 個月前無明顯誘因出現咳嗽,咳大量白黏痰,易咳出,無發熱、畏寒,因處于妊娠期,未予診治;3 個月前間斷咯鮮紅色血,每日總量約 4 ml,亦未予特殊診治;10+ d 前就診當地醫院,自然分娩后,上述癥狀較前好轉;4 d 前開始出現發熱,最高達 39.0 ℃,并且伴乏力、活動后氣促,無畏寒、寒戰,無納差、消瘦、盜汗。于當地醫院查胸部 CT 平掃+增強提示:右肺中葉近肺門側不規則軟組織腫塊:腫瘤性病變?發育異常所致?纖維支氣管鏡(簡稱纖支鏡)檢查:右肺中葉新生物,刷檢物未見抗酸桿菌及癌細胞;病理診斷:組織呈慢性炎癥改變,其中可見有輕度異型鱗狀上皮團生長。予抗炎治療半個月后復查胸部 CT 平掃+增強提示:右肺中葉近肺門側不規則腫塊(囊性占位),右側肺門區腫塊大小未見明顯變化,右肺中下葉新見炎癥。為進一步診治轉診于我院。
既往史無特殊,無不良嗜好。入院體格檢查:T 36.7 ℃、P 85 次/min、R 18 次/min、BP 101/69 mm Hg(1 mm Hg=0.133 kPa)。急性面容,神清,皮膚未見皮疹,未觸及淺表淋巴結,鞏膜無黃染,口唇無發紺,扁桃體不大,頸軟,氣管居中,無頸靜脈怒張,甲狀腺不大,胸廓對稱無畸形,雙肺可聞及散在濕性啰音,以右肺中下葉明顯,無哮鳴音及胸膜摩擦音;余未見異常。完善胸部 CT 平掃+增強檢查,顯示右肺中葉支氣管閉塞,周圍形成 31 mm×35 mm 不規則軟組織腫塊,增強掃描中度強化,腫物外周見較大不規則囊性低密度區,右下葉肺見多發斑片狀高密度影,邊界不清;提示右肺中葉占位性病變并右中葉肺黏液潴留,右下葉肺炎(圖 1)。纖支鏡檢查:可見右支氣管管腔見較多白色分泌物,中葉開口見新生物表面覆蓋少量壞死物質,觸及易出血,周圍支氣管黏膜充血及水腫,管腔完全閉塞,提示右中葉病變,腫瘤不能除外,建議再次支氣管鏡檢查;病理診斷:(右中葉)非角化型鱗癌?免疫組織化學檢查示 CK(+)、P40(+)、P63(+)、CK5/6(++)、Vimentin(–)、CD56(–)、CgA(–)、CK7(弱+)、Napsin-A(–)、Syn(–)、TTF1(–)、Ki-67(5%+);灌洗液細胞病理+DNA 倍體分析見較多纖毛柱狀上皮細胞,少量淋巴細胞,部分上皮細胞增生明顯,未見 DNA 異倍體;右中葉刷檢物見少量絲狀真菌生長,未找到脫落細胞,灌洗液結核分支桿菌核酸檢測陰性。淺表淋巴結彩色超聲探及雙側頸部及腋窩淋巴結:雙側頸部探及多枚實性低回聲結節,部分皮髓質結構欠清,左側 16 mm×8 mm,右側 11 mm×5 mm;雙側腋窩探及多枚實性低回聲結節,左側 11 mm×5 mm,右側 12 mm×5 mm。

a. 肺窗;b. 縱隔窗;c. 增強 CT。右肺中葉占位性病變,右肺中葉支氣管閉塞,平掃示腫塊邊緣光滑,增強掃描成囊實性改變,內可見分隔,實性成分呈中度均勻強化,與鄰近支氣管分界不清,未見明顯淋巴結腫大、鈣化影、壞死灶
再次行纖支鏡檢查示右支氣管管腔見少許白色分泌物,中葉開口見新生物將管腔完全阻塞(圖 2);灌洗液未找到癌細胞(涂片中易見中性粒細胞、小吞噬細胞);病理診斷:低級別 PMEC(右中葉開口取材)。免疫組織化學檢查示 CK(+)、P40(+)、P63(+)、CK5/6(++)、Vimentin(–)、CD56(–)、CgA(–)、CK7(+)、Napsin-A(–)、Syn(–)、TTF1(–)、Ki-67(2%+)、SMA(–)、S100(–)、Calponin(灶+),過碘酸希夫(Periodic acid–Schiff,PAS)特殊染色:(+)。肺部腫瘤標志物(–)。顱腦 MRI 平掃+增強、腹部彩超常規、腹腔淋巴結、雙腎上腺 CT 平掃+增強、骨 ECT 均未見異常。轉胸外科手術,術中見右肺中葉大小約 10 cm×10 cm×10 cm 灰紅色息肉狀包塊,質硬,病灶侵及膈神經、右側心包。組織學標本鏡下觀察:可見大小不等的囊腔形成,周圍可見表皮樣細胞及中間型細胞,偶見壞死;表皮樣細胞形似鱗狀細胞,無角化珠;黏液細胞呈多邊形或高柱狀,黏液細胞構成的腺體散布于實性細胞區,構成囊性區域,產生黏液細胞體積較大,胞質蒼白,胞核較小,深染,胞內可見黏液顆粒,胞外可見大量黏液;間質細胞含量少。術后病理與第二次纖支鏡活檢病理結果一致,送檢右全肺、縱隔淋巴結、病灶侵及的心包、右心房、氣管殘端等標本及多組淋巴結均未見腫瘤轉移。結合術中所見、病理結果及免疫組織化學診斷為低級別 PMEC(圖 3)。根據 2017 年 CSCO 肺癌 TNM 分期標準[1]進行臨床分期:右肺低級別黏液表皮樣癌(mucoepidermoid carcinoma,MEC),ⅢA(pT4N0M0)。分子病理檢測示 EGFR/ALK/ROS1 均為野生型。術后以紫杉醇+卡鉑方案行 4 個療程化療。隨診復查胸部 CT,恢復尚可。現患者隨訪 2 年,活動耐力較患病前稍減低,余無特殊不適。

右肺中葉開口見新生物將管腔完全阻塞

a. HE 染色:腫瘤細胞由黏液細胞、表皮樣細胞和中間型細胞以不同比例組合而成,形成囊樣腔隙和實性細胞島,偶見壞死;b. 免疫組織化學染色:CK(+);c. 免疫組織化學染色:CK7(+);d. 免疫組織化學檢查:CK5/6(+);e. 免疫組織化學染色:p40(+);f. 免疫組織化學染色:p63(+);g. PAS 特殊染色:(+)
2 文獻復習
以“肺黏液表皮樣癌”為檢索詞在中國知網數據庫和萬方數據庫進行檢索,以“pulmonary”或“lung”和“mucoepidermoid carcinoma”為檢索詞在 PubMed 數據庫進行檢索,檢索時間為 2013~2018 年。共檢索到 13 篇文獻,包括 13 例 PMEC 患者,其中國內 7 例,國外 6 例[2-14]。男 9 例,女 4 例;發病年齡 3~78 歲,中位年齡 40 歲;臨床表現無特殊,10 例以不同程度的咳嗽、發熱、咯血為首診癥狀,2 例無癥狀體檢發現,1 例以轉移后消化道癥狀就診。胸部 CT 表現:以較大支氣管的占位性病變為主,10 例伴不同程度的阻塞性肺炎、肺不張,1 例出現肺部空洞液平,2 例發現縱隔淋巴結腫大;瘤體直徑多處于10~25 mm。接受單純手術切除治療 8 例,預后良好;1 例術后聯合化療后好轉;1 例予單一吉非替尼靶向治療后好轉;1 例化療聯合放療后因呼吸衰竭死亡;3 例資料不全預后不明。
3 討論
MEC 是最常見的涎腺浸潤性惡性腫瘤,由黏液細胞、表皮樣細胞和中間型細胞以不同比例組合而成[15]。MEC 病因學機制尚無明確結論。但普遍認為 MEC 來源于異位黏液腺的惡性轉化、先天性囊腫或與慢性炎癥引發腺上皮化生成鱗狀細胞和黏蛋白分泌細胞有關[16-18]。細胞遺傳學相關研究認為 MEC 中 t(11;19)(q21;p13)染色體易位形成的融合物 MECT-MAML2(mucoepidermoid carcinoma translocated 1-master mind like 2)基因可誘導腫瘤的形成。但本病例因條件受限最終未行 MECT1-MAML2 融合基因檢測。
肺臟是 MEC 最常見的唾液腺外部位,發病率約占肺部惡性腫瘤的 0.1%~0.2%,無明顯性別差異[2],發病年齡在 3~78 歲,中位年齡 40 歲左右。但目前一些文獻報道低級別的原發性 PMEC 更趨于年輕化[19-21]。本例患者 21 歲,與上述報道常見好發年齡相符。
PMEC 的臨床癥狀及體征無特異性[22],極易漏診和誤診。PMEC 分為中央型和周圍型,中央型多見,好發于葉、段以及段以上支氣管,常出現大氣道梗阻或刺激性癥狀和體征,如咳嗽、咯血、喘鳴及反復發生的肺炎等;周圍型可無明顯癥狀,易漏診。本例患者病變在右中葉支氣管,臨床表現符合中央型特點。
PMEC 的影像學診斷價值比較局限,但高分辨率 CT 出現以下征象需警惕[23]:① 部位:好發于較大支氣管;② 形態:主要向支氣管腔內呈息肉狀生長;③ 密度:接近或等同于肌肉密度,相對比較均勻,增強掃描后腫瘤多呈輕-中度不均勻強化;④ 部分病例可有鈣化;江森等[24]認為鈣化可能更多見于低級別 PMEC;⑤ 伴有阻塞性肺炎、肺不張。同時,“空氣新月征”也可見于低級別 PMEC,可能與其突入管腔呈息肉狀生長、病灶周圍殘留氣體有關[23]。本例患者行纖支鏡檢查示右支氣管管腔見少許白色分泌物,中葉開口見新生物將管腔完全阻塞,與上述特點基本一致。
PMEC 的診斷主要依據病理結果,手術是獲取病理標本主要手段。纖支鏡在術前確診有價值,但誤診率比較高,而小樣本病理結合免疫組織化學可提高診斷率[20, 25-26]。本例在我院第一次纖支鏡活檢+肺癌免疫組織化學誤診為非角化型鱗癌,第二次纖支鏡活檢+肺癌免疫組織化學+PAS 特殊染色(圖 2),診斷為低級別 PMEC,與術后病理一致。
PMEC 根據各構成細胞比例不同可分為低度惡性型(高分化)和高度惡性型(低分化)[27]。低度惡性型(高分化)占 PMEC 的 75%~80%,鏡下呈息肉狀突入管腔,黏液細胞豐富,占腫瘤細胞 50% 以上,構成腺腔及囊樣腔隙;表皮樣細胞成熟,無角化現象;中間型細胞較少,呈多角型,胞漿雙染色或微嗜酸性,核圓形、居中;上述各種細胞分化好,無或罕見核分裂象及壞死。高度惡性型(低分化)較罕見,在大支氣管壁內侵襲性生長;鏡下可見癌組織主要由中間型細胞及表皮樣細胞組成,黏液細胞少見;兩種細胞的異型性明顯,核分裂相及壞死灶易見。起源于上皮組織的 PMEC 常表達多種上皮源性抗原,而 TTF-1、CK7、Napsin A、P63、Ki-67、AB/PAS 染色等指標的聯合檢測有助于 PMEC 的診斷。國內的文獻報道 PMEC 的惡性程度與 Ki-67 陽性指數的高低呈正相關[25-26, 28]。
PMEC 常需要與以下肺部占位性病變相鑒別:① 腺鱗癌:當其形成的實性巢團伴有黏液成分時,就容易與高級別 PMEC 混淆,而高級別 PMEC 并無角化現象[28-29],本例患者多次纖支鏡活檢發現上皮細胞增多,開始誤診為非角化型鱗癌,最終結合免疫組織化學和 PAS 特染排除。同時,免疫組織化學顯示 TTF1 及 NapsinA 在肺腺癌均陽性,而 PMEC 中所有腫瘤細胞通常不表達[26]。另外,對于腺鱗癌常可隱藏黏液樣組分,增加了診斷的復雜性,MAML2 基因重排的分子分析陰性表達可有較大幫助[20, 30]。② 腺樣囊性癌:與 PMEC 同屬于涎腺來源,亦是肺產生黏液的上皮源性腫瘤,當出現鱗化時,易被誤診為 PMEC;但其胸部 CT 表現為均勻低密度,瘤內鈣化少見,增強后強化不明顯[23];同時,其瘤體成分中黏液細胞較少見,免疫組織化學示肌上皮表達 SMA、p63 及 S-100 蛋白,MECT1-MAML2 融合基因不表達也有助于鑒別[31]。
手術切除是 PMEC 最有效的治療手段。低級別 PMEC 少有淋巴結轉移,早期手術切除可治愈;晚期需要綜合治療。高級別 PMEC 出現淋巴結轉移的情況較低級別多見,因其進展快,手術切除易復發轉移,預后較差,需要術后輔助治療。研究表明,表皮生長因子受體酪氨酸激酶抑制劑(EGFR-TKIs)對于 PMEC 患者可達到有效緩解并能延緩復發、延長生存期,并且不依賴于 EGFR 的突變,而 MECTI-MAML2 融合基因就可能是 EGFR-TKIs 治療的有效靶點[25, 32-33]。但 Qian 等[2]認為 EGFR 抑制劑作用并不明確,需要更大樣本的研究。本例患者行右全肺葉切除+系統淋巴結清掃術+心包重建術,結合術中粘連情況、病理、免疫組織化學及基因檢測結果,予紫杉醇+卡鉑方案化療 4 個療程,未進行靶向治療。隨訪 1 年期間未見復發及轉移,但鑒于時間較短,預后有待進一步觀察。
PMEC 預后與組織學分級、癌癥分期和淋巴結是否轉移等因素相關,而年齡、性別、腫瘤大小和其他臨床特征則可影響 PMEC 患者的生存[25, 29, 34];但 Hsieh 等[20]認為,腫瘤分級不影響無病生存期(DFS)或總生存期(OS)。根據分子生物學研究進展,MECTI-MAML2 融合基因不僅有助于 PMEC 的鑒別診斷,也是影響預后的重要因素:MECTI-MAML2 融合陽性者比融合陰性者預后好[35, 36]。
綜上所述,PMEC 是一種以低級別為主的低度惡性腫瘤,發病率低,其臨床表現、影像學特征無明顯特異性,確診主要依據組織病理結果,并輔以免疫組織化學結果,外科手術是最有效的治療手段,預后與病理分級、TNM 分期、淋巴結轉移、年齡、腫瘤大小等因素有關,整體預后良好[3];高度惡性者少見,但侵襲性強,預后較低級別差,并且其放化療的療效目前尚未明確。但對于不能徹底切除或有淋巴結轉移的患者,仍然推薦采用綜合治療[4, 19]。同時可進一步完善 MECTI-MAML2 融合基因檢測,對 PMEC 的診治和預后有一定的指導作用。