引用本文: 曾慶萃, 龍懷聰, 王玉霞. 臨床診斷肺腫瘤血栓栓塞性微血管病一例并文獻復習. 中國呼吸與危重監護雜志, 2018, 17(3): 279-284. doi: 10.7507/1671-6205.201709049 復制
肺腫瘤血栓栓塞性微血管病(pulmonary tumor thrombotic microangiopathy,PTTM)是一種轉移性腫瘤少見而致命的并發癥,該病出現于腫瘤患者,臨床上表現為肺動脈高壓,但缺乏肺動脈栓塞證據,因疾病表現及相關檢查無特異性,且患者病情危重進展迅速,常常在臨床中得不到及時診斷。我科收治 1 例臨床診斷的 PTTM 患者,現結合相關文獻復習進行總結,以提高對該病的認識。
1 臨床資料
患者,女,62 歲。因“心悸氣促 3 個月,咯血 4 d”于 2017 年 7 月 27 日入院。入院前 3 個月患者無明顯誘因逐漸出現活動后心悸氣促,6 月 24 日門診行肺部 CT 未見明顯異常,查腫瘤標志物糖類抗原 19-9 升高至 320 U/ml。7 月 3 日因胸悶伴心悸氣促加重于我院心內科短暫住院,7 月 4 日復查胸部 CT,見雙下肺基底段出現少量間質改變及主動脈弓旁腫大淋巴結,均為非特異性改變。當日行心臟彩超提示右心房 44 mm×35 mm,右心室 20 mm,左心房 37 mm,左心室 48 mm,肺動脈收縮壓 19.36 mm Hg(1 mm Hg=0.133 kPa)。心電圖提示竇性心律,心率 71 次/min,V3-V5 低平。血常規、肝腎功、心肌酶學等正常,患者于 7 月 5 日出院。出院后患者仍感覺心悸氣促未減輕。入院前 4 d 開始出現咯血,為暗紅色血痰。門診行纖維支氣管鏡檢查,氣管內未見明顯炎癥反應及新生物,痰結核 DNA 陰性。為進一步明確診斷收入我科。既往身體健康,否認腫瘤病史及風濕免疫類疾病。
入院查體:體溫 36.8 ℃,脈搏 90 次/min,呼吸 20 次/min,BP 110/70 mm Hg。全身無皮疹,淺表淋巴結未捫及腫大,頸靜脈稍充盈,肝頸征陰性,雙肺呼吸音清晰,未聞及明顯干濕啰音,心臟可聞及第二心音稍亢進,未聞及明顯雜音,腹部軟,無壓痛,雙下肢輕度水腫,神經系統無異常發現。
入院后患者血紅蛋白及血小板均持續下降,而膽紅素進行性增加(表 1、2)。8 月 1 日外周血涂片查見大量晚幼紅細胞(20/100 白細胞)及紅細胞碎片及聚集的血小板。免疫全套檢查:抗核抗體、抗可提取的核抗原抗體譜、抗磷脂抗體、抗中性粒細胞胞漿抗體及抗人球蛋白試驗(Coombs 試驗)均為陰性,血管性血友病因子抗原降低,血管性血友病因子裂解酶(ADAMTS13)活性正常。
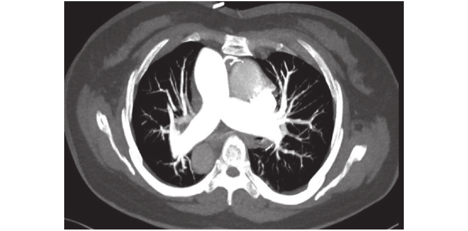
7 月 28 日患者無明顯誘因突然出現氧飽和度下降到 80%,心悸氣促較入院前明顯加重,予以面罩吸氧(氧濃度約 40%),氧飽和度可維持在 92% 左右。2017 年 7 月 31 日行肺部計算機體層攝影血管造影(computed tomography angiography,CTA)檢查未見確切肺梗死征象(圖 1),胸椎可見腫瘤性病灶,考慮轉移性可能大(圖 2),肺窗見磨玻璃影及右肺胸膜下間質改變(圖 3 a),縱隔窗可見主動脈弓旁腫大淋巴結,短徑約 1.2 cm(圖 3b),右心明顯膨隆,左心室被壓縮(圖 3c)。夜間患者心悸氣促進一步加重,呼吸頻率達到 30 余次/min,給予無創呼吸機輔助通氣。8 月 1 日呼吸頻率超過 40 次/min,予以氣管插管呼吸機輔助通氣。患者全身濕冷呈休克血壓,持續泵入去甲腎上腺素,急診床旁心臟彩超提示:右心房 62 mm×48 mm,右心室 31 mm,左心房 37 mm,左心室 35 mm,左室被壓縮成“D”字樣改變,肺動脈收縮壓增加到 79.21 mm Hg。床旁安置脈搏指示連續心排血量(pulse indicator continuous cardiac output,PiCCO)監測發現心指數 1.6~2.2 L/(min·m2),而舒張末期容積指數 786~820 ml/m2為正常或偏高。心臟彩超和 PiCCO 監測均提示休克類型為梗阻性休克。此后患者出現室性心動過速、心室纖顫,予以心肺復蘇等搶救治療,治療無效并于當日死亡。患者家屬拒絕尸檢,死亡原因分析為臨床診斷 PTTM 引起的急性肺動脈高壓及梗阻性休克。



未見確切肺動脈充盈缺損征象

見彌漫性增殖病灶,考慮為腫瘤轉移病灶(黑箭)

a. 肺窗,右肺胸膜下可見少量間質改變(黑箭);b. 縱隔窗,見主動脈弓旁腫大淋巴結(白箭);c. 右心明顯膨隆,左心室(黑箭)被壓縮
2 文獻復習
以“pulmonary tumor thrombotic microangiopathy;PTTM;microangiopathy”為檢索詞在 PubMed 對英文文獻進行檢索,以“肺腫瘤血栓性微血管病”為檢索詞在萬方數據庫對中文文獻進行檢索,檢索 1990~2017 年文獻,獲得的臨床文獻報道均為英文文獻[1-56]。共檢索到 PTTM 患者 92 例。收集相關臨床資料并應用 SPSS 20.0 進行分析,正態分布數據以均數±標準差(
±s)表示,非正態分布數據以中位數表示。
2.1 一般信息
92 例患者中,女 39 例,男 53 例,年齡 23~80 歲,平均年齡(51.2±16.7)歲。原發灶中來源最多的是胃部共有 42 例,其次是乳腺 13 例,肺部 6 例,膀胱輸尿管 5 例,卵巢 3 例,胰腺 3 例,食管 3 例,來源不清 6 例,其余 11 例。
2.2 臨床表現
在住院的主訴中,咳嗽合并進行性氣促有 65 例,占 70.65%;與腫瘤原發或轉移灶相關的癥狀有 22 例,占 23.91%;咯血 5 例,占 5.43%。所有的病例在住院過程中都存在不同程度氧飽和度下降。住院期間有血小板減少者 62 例,占 67.39%。其中,從外周血中查見破碎紅細胞,診斷為微血管病性溶血性貧血(microangiopathic hemolytic anemia,MAHA)者 32 例,出現彌漫性血管內凝血者 36 例。
2.3 輔助檢查
90 例行胸部 CT 檢查,均提示非特異性改變。其中,磨玻璃影 68 例,呈小葉中心性結節及樹芽征 54 例,小葉間隔增粗、胸膜下線、支氣管血管束增粗等間質改變 48 例,實變影 2 例,實變病灶經尸體解剖多證實為肺出血梗死區。縱隔淋巴結增大 36 例。除 2 例因猝死,未行肺部 CTA 或肺動脈造影外,其余病例均行上述檢查,排除了肺動脈栓塞。36 例行肺血流灌注檢查,均提示不同程度肺血流灌注減少區,其中部分同時行通氣/血流灌注均未發現明顯異常。行心臟彩超檢查 80 例,其中提示右心顯著膨隆,左心被壓縮,呈現梗阻性改變的 64 例,有肺動脈高壓但沒有呈現梗阻性改變的 16 例。12 例行肺動脈漂浮導管,監測到肺動脈壓顯著升高。所有的病例臨床或病檢都發現腫瘤轉移病灶。
2.4 確診方法
58 例為患者死亡后行尸體解剖回顧性研究發現,34 例在患者死亡前診斷。死亡前診斷者中 17 例為臨床診斷,其中 8 例僅根據臨床表現獲得診斷,9 例根據臨床表現和肺動脈漂浮導管中獲取的血液中得到腫瘤細胞證據獲得診斷。17 例為確診病例,其中經支氣管活檢 13 例,經胸腔鏡肺活檢 4 例。
2.5 治療及預后
所有患者均接受不同方式的氧療。46 例患者行抗凝治療。32 例患者接受包括波生坦、依前列醇等抗肺動脈高壓藥物治療。13 例患者針對原發或轉移腫瘤行相關化療或靶向治療,其中 4 例癥狀及肺動脈壓力有所好轉,但存活期也僅有 3 個月到 2 年,其余短期內死亡。除去上述 4 例經化療后癥狀減輕的患者,其余患者從住院到死亡的平均時間為(14.9±10.9)d。
3 討論
到目前為止國際上對于 PTTM 還沒有明確的診斷標準。PTTM 金標準是組織病理學結果,目前報道的獲取病理學證據的方法包括經支氣管肺活檢、胸腔鏡直視下肺切除等,但臨床中這部分患者病情發展迅猛且極其危重,常常不能承受或來不及進行上述有創檢查,故生前確診率很低[1],因此國外也有文獻僅根據臨床表現及輔助檢查報道的 PTTM 的個案[6-9]。綜合現有的對本病的報道,我們總結出臨床上診斷該病的以下特點:(1)有腫瘤或腫瘤轉移的臨床證據。(2)有血栓性微血管疾病的證據。肺部是微血管疾病累及的主要靶器官,但要排除自身免疫疾病引起的血栓性血小板減少性紫癜(thrombotic thrombocytopenic purpura,TTP)[5]。(3)出現亞急性或急性肺動脈高壓,但要排除各種原因引起的肺栓塞。(4)患者預后差,常死于肺動脈高壓引起的梗阻性休克或/和低氧血癥[1]。本例患者臨床診斷 PTTM 有以下依據:(1)有腫瘤椎骨轉移的證據。(2)有血栓性微血管疾病的一系列臨床表現,包括 MAHA、血小板進行性減少、肺微循環受累。患者在短期內紅細胞及血紅蛋白顯著下降,同時膽紅素迅速升高且以間接膽紅素為主,外周血查見大量晚幼紅細胞及紅細胞碎片,同時肺部 CTA 檢查排除了肺動脈病變。(3)肺動脈壓在短期內迅速升高,從 19.36 mm Hg 升高至 79.21 mm Hg。(4)床旁心臟彩超和肺部 CTA 檢查顯示左心室被極度壓縮以及 PiCCO 監測提示的心輸出量顯著降低,均表明患者死于短期內進行性發展的肺動脈高壓所引起的梗阻性休克。我們排除 TTP 診斷,基于以下三個方面:(1)TTP 多繼發于自身免疫性疾病,但患者免疫全套檢查正常,Coombs 試驗陰性,無自身免疫疾病證據;(2)TTP 均存在不同程度 ADAMTS13 活性下降,但患者正常;(3)TTP 屬于系統性疾病,常累及多個臟器,尤其是腎臟,而少見于肺,PTTM 則主要累及肺部。但該研究中也存在不足,患者因為病情危重未行病理學檢查,也沒能進行尸檢。
PTTM 是一種少見的發生于轉移性腫瘤患者的致命性微血管病變,主要累及肺,是腫瘤細胞轉移到肺微血管系統,黏附在血管內皮,激活凝血系統,釋放出炎性介質和生長因子,導致局部血小板和纖維性微栓子的沉積、血管內膜肌纖維細胞的增殖和平滑肌細胞的移位[15]。上述過程造成彌漫性的肺微循環系統管腔的狹窄和肺血管阻力的增加,導致肺動脈高壓[4]。本患者出現的破碎紅細胞,血小板數量下降,考慮為血液流經狹窄的肺部微血管后造成的紅細胞機械性破壞及血小板聚集。
PTTM 幾乎沒有有效的治療手段,預后差,早期針對原發腫瘤的治療可能是 PTTM 的一線治療[11],但是即使積極的針對原發病及轉移灶進行了化放療等治療,患者的生存期并沒有延長[7]。目前研究發現 PTTM 的發病與血管內皮生長因子、血小板源性生長因子等生長因子有關[12-13],早期接受針對這些生長因子靶向治療的患者的生存期可能會延長[14]。
臨床中有高凝危險因素的腫瘤患者突然出現一系列急性肺動脈高壓的表現很容易聯想到急性肺栓塞,而另一類罕見的肺微血管疾病即 PTTM 也應考慮。我們檢索到的 PTTM 的病案報道均為國外文獻,中文文獻目前還沒有報道,因此有重要的臨床意義。遺憾的是本例患者病情危重,不能耐受活檢手術,沒有獲得組織學證據。
綜上所述,PTTM 是一種罕見的引起肺動脈高壓的微血管疾病,對于排除了肺栓塞并且有血栓性微血管疾病證據的腫瘤患者應考慮 PTTM。
肺腫瘤血栓栓塞性微血管病(pulmonary tumor thrombotic microangiopathy,PTTM)是一種轉移性腫瘤少見而致命的并發癥,該病出現于腫瘤患者,臨床上表現為肺動脈高壓,但缺乏肺動脈栓塞證據,因疾病表現及相關檢查無特異性,且患者病情危重進展迅速,常常在臨床中得不到及時診斷。我科收治 1 例臨床診斷的 PTTM 患者,現結合相關文獻復習進行總結,以提高對該病的認識。
1 臨床資料
患者,女,62 歲。因“心悸氣促 3 個月,咯血 4 d”于 2017 年 7 月 27 日入院。入院前 3 個月患者無明顯誘因逐漸出現活動后心悸氣促,6 月 24 日門診行肺部 CT 未見明顯異常,查腫瘤標志物糖類抗原 19-9 升高至 320 U/ml。7 月 3 日因胸悶伴心悸氣促加重于我院心內科短暫住院,7 月 4 日復查胸部 CT,見雙下肺基底段出現少量間質改變及主動脈弓旁腫大淋巴結,均為非特異性改變。當日行心臟彩超提示右心房 44 mm×35 mm,右心室 20 mm,左心房 37 mm,左心室 48 mm,肺動脈收縮壓 19.36 mm Hg(1 mm Hg=0.133 kPa)。心電圖提示竇性心律,心率 71 次/min,V3-V5 低平。血常規、肝腎功、心肌酶學等正常,患者于 7 月 5 日出院。出院后患者仍感覺心悸氣促未減輕。入院前 4 d 開始出現咯血,為暗紅色血痰。門診行纖維支氣管鏡檢查,氣管內未見明顯炎癥反應及新生物,痰結核 DNA 陰性。為進一步明確診斷收入我科。既往身體健康,否認腫瘤病史及風濕免疫類疾病。
入院查體:體溫 36.8 ℃,脈搏 90 次/min,呼吸 20 次/min,BP 110/70 mm Hg。全身無皮疹,淺表淋巴結未捫及腫大,頸靜脈稍充盈,肝頸征陰性,雙肺呼吸音清晰,未聞及明顯干濕啰音,心臟可聞及第二心音稍亢進,未聞及明顯雜音,腹部軟,無壓痛,雙下肢輕度水腫,神經系統無異常發現。
入院后患者血紅蛋白及血小板均持續下降,而膽紅素進行性增加(表 1、2)。8 月 1 日外周血涂片查見大量晚幼紅細胞(20/100 白細胞)及紅細胞碎片及聚集的血小板。免疫全套檢查:抗核抗體、抗可提取的核抗原抗體譜、抗磷脂抗體、抗中性粒細胞胞漿抗體及抗人球蛋白試驗(Coombs 試驗)均為陰性,血管性血友病因子抗原降低,血管性血友病因子裂解酶(ADAMTS13)活性正常。
7 月 28 日患者無明顯誘因突然出現氧飽和度下降到 80%,心悸氣促較入院前明顯加重,予以面罩吸氧(氧濃度約 40%),氧飽和度可維持在 92% 左右。2017 年 7 月 31 日行肺部計算機體層攝影血管造影(computed tomography angiography,CTA)檢查未見確切肺梗死征象(圖 1),胸椎可見腫瘤性病灶,考慮轉移性可能大(圖 2),肺窗見磨玻璃影及右肺胸膜下間質改變(圖 3 a),縱隔窗可見主動脈弓旁腫大淋巴結,短徑約 1.2 cm(圖 3b),右心明顯膨隆,左心室被壓縮(圖 3c)。夜間患者心悸氣促進一步加重,呼吸頻率達到 30 余次/min,給予無創呼吸機輔助通氣。8 月 1 日呼吸頻率超過 40 次/min,予以氣管插管呼吸機輔助通氣。患者全身濕冷呈休克血壓,持續泵入去甲腎上腺素,急診床旁心臟彩超提示:右心房 62 mm×48 mm,右心室 31 mm,左心房 37 mm,左心室 35 mm,左室被壓縮成“D”字樣改變,肺動脈收縮壓增加到 79.21 mm Hg。床旁安置脈搏指示連續心排血量(pulse indicator continuous cardiac output,PiCCO)監測發現心指數 1.6~2.2 L/(min·m2),而舒張末期容積指數 786~820 ml/m2為正常或偏高。心臟彩超和 PiCCO 監測均提示休克類型為梗阻性休克。此后患者出現室性心動過速、心室纖顫,予以心肺復蘇等搶救治療,治療無效并于當日死亡。患者家屬拒絕尸檢,死亡原因分析為臨床診斷 PTTM 引起的急性肺動脈高壓及梗阻性休克。



未見確切肺動脈充盈缺損征象

見彌漫性增殖病灶,考慮為腫瘤轉移病灶(黑箭)

a. 肺窗,右肺胸膜下可見少量間質改變(黑箭);b. 縱隔窗,見主動脈弓旁腫大淋巴結(白箭);c. 右心明顯膨隆,左心室(黑箭)被壓縮
2 文獻復習
以“pulmonary tumor thrombotic microangiopathy;PTTM;microangiopathy”為檢索詞在 PubMed 對英文文獻進行檢索,以“肺腫瘤血栓性微血管病”為檢索詞在萬方數據庫對中文文獻進行檢索,檢索 1990~2017 年文獻,獲得的臨床文獻報道均為英文文獻[1-56]。共檢索到 PTTM 患者 92 例。收集相關臨床資料并應用 SPSS 20.0 進行分析,正態分布數據以均數±標準差(
±s)表示,非正態分布數據以中位數表示。
2.1 一般信息
92 例患者中,女 39 例,男 53 例,年齡 23~80 歲,平均年齡(51.2±16.7)歲。原發灶中來源最多的是胃部共有 42 例,其次是乳腺 13 例,肺部 6 例,膀胱輸尿管 5 例,卵巢 3 例,胰腺 3 例,食管 3 例,來源不清 6 例,其余 11 例。
2.2 臨床表現
在住院的主訴中,咳嗽合并進行性氣促有 65 例,占 70.65%;與腫瘤原發或轉移灶相關的癥狀有 22 例,占 23.91%;咯血 5 例,占 5.43%。所有的病例在住院過程中都存在不同程度氧飽和度下降。住院期間有血小板減少者 62 例,占 67.39%。其中,從外周血中查見破碎紅細胞,診斷為微血管病性溶血性貧血(microangiopathic hemolytic anemia,MAHA)者 32 例,出現彌漫性血管內凝血者 36 例。
2.3 輔助檢查
90 例行胸部 CT 檢查,均提示非特異性改變。其中,磨玻璃影 68 例,呈小葉中心性結節及樹芽征 54 例,小葉間隔增粗、胸膜下線、支氣管血管束增粗等間質改變 48 例,實變影 2 例,實變病灶經尸體解剖多證實為肺出血梗死區。縱隔淋巴結增大 36 例。除 2 例因猝死,未行肺部 CTA 或肺動脈造影外,其余病例均行上述檢查,排除了肺動脈栓塞。36 例行肺血流灌注檢查,均提示不同程度肺血流灌注減少區,其中部分同時行通氣/血流灌注均未發現明顯異常。行心臟彩超檢查 80 例,其中提示右心顯著膨隆,左心被壓縮,呈現梗阻性改變的 64 例,有肺動脈高壓但沒有呈現梗阻性改變的 16 例。12 例行肺動脈漂浮導管,監測到肺動脈壓顯著升高。所有的病例臨床或病檢都發現腫瘤轉移病灶。
2.4 確診方法
58 例為患者死亡后行尸體解剖回顧性研究發現,34 例在患者死亡前診斷。死亡前診斷者中 17 例為臨床診斷,其中 8 例僅根據臨床表現獲得診斷,9 例根據臨床表現和肺動脈漂浮導管中獲取的血液中得到腫瘤細胞證據獲得診斷。17 例為確診病例,其中經支氣管活檢 13 例,經胸腔鏡肺活檢 4 例。
2.5 治療及預后
所有患者均接受不同方式的氧療。46 例患者行抗凝治療。32 例患者接受包括波生坦、依前列醇等抗肺動脈高壓藥物治療。13 例患者針對原發或轉移腫瘤行相關化療或靶向治療,其中 4 例癥狀及肺動脈壓力有所好轉,但存活期也僅有 3 個月到 2 年,其余短期內死亡。除去上述 4 例經化療后癥狀減輕的患者,其余患者從住院到死亡的平均時間為(14.9±10.9)d。
3 討論
到目前為止國際上對于 PTTM 還沒有明確的診斷標準。PTTM 金標準是組織病理學結果,目前報道的獲取病理學證據的方法包括經支氣管肺活檢、胸腔鏡直視下肺切除等,但臨床中這部分患者病情發展迅猛且極其危重,常常不能承受或來不及進行上述有創檢查,故生前確診率很低[1],因此國外也有文獻僅根據臨床表現及輔助檢查報道的 PTTM 的個案[6-9]。綜合現有的對本病的報道,我們總結出臨床上診斷該病的以下特點:(1)有腫瘤或腫瘤轉移的臨床證據。(2)有血栓性微血管疾病的證據。肺部是微血管疾病累及的主要靶器官,但要排除自身免疫疾病引起的血栓性血小板減少性紫癜(thrombotic thrombocytopenic purpura,TTP)[5]。(3)出現亞急性或急性肺動脈高壓,但要排除各種原因引起的肺栓塞。(4)患者預后差,常死于肺動脈高壓引起的梗阻性休克或/和低氧血癥[1]。本例患者臨床診斷 PTTM 有以下依據:(1)有腫瘤椎骨轉移的證據。(2)有血栓性微血管疾病的一系列臨床表現,包括 MAHA、血小板進行性減少、肺微循環受累。患者在短期內紅細胞及血紅蛋白顯著下降,同時膽紅素迅速升高且以間接膽紅素為主,外周血查見大量晚幼紅細胞及紅細胞碎片,同時肺部 CTA 檢查排除了肺動脈病變。(3)肺動脈壓在短期內迅速升高,從 19.36 mm Hg 升高至 79.21 mm Hg。(4)床旁心臟彩超和肺部 CTA 檢查顯示左心室被極度壓縮以及 PiCCO 監測提示的心輸出量顯著降低,均表明患者死于短期內進行性發展的肺動脈高壓所引起的梗阻性休克。我們排除 TTP 診斷,基于以下三個方面:(1)TTP 多繼發于自身免疫性疾病,但患者免疫全套檢查正常,Coombs 試驗陰性,無自身免疫疾病證據;(2)TTP 均存在不同程度 ADAMTS13 活性下降,但患者正常;(3)TTP 屬于系統性疾病,常累及多個臟器,尤其是腎臟,而少見于肺,PTTM 則主要累及肺部。但該研究中也存在不足,患者因為病情危重未行病理學檢查,也沒能進行尸檢。
PTTM 是一種少見的發生于轉移性腫瘤患者的致命性微血管病變,主要累及肺,是腫瘤細胞轉移到肺微血管系統,黏附在血管內皮,激活凝血系統,釋放出炎性介質和生長因子,導致局部血小板和纖維性微栓子的沉積、血管內膜肌纖維細胞的增殖和平滑肌細胞的移位[15]。上述過程造成彌漫性的肺微循環系統管腔的狹窄和肺血管阻力的增加,導致肺動脈高壓[4]。本患者出現的破碎紅細胞,血小板數量下降,考慮為血液流經狹窄的肺部微血管后造成的紅細胞機械性破壞及血小板聚集。
PTTM 幾乎沒有有效的治療手段,預后差,早期針對原發腫瘤的治療可能是 PTTM 的一線治療[11],但是即使積極的針對原發病及轉移灶進行了化放療等治療,患者的生存期并沒有延長[7]。目前研究發現 PTTM 的發病與血管內皮生長因子、血小板源性生長因子等生長因子有關[12-13],早期接受針對這些生長因子靶向治療的患者的生存期可能會延長[14]。
臨床中有高凝危險因素的腫瘤患者突然出現一系列急性肺動脈高壓的表現很容易聯想到急性肺栓塞,而另一類罕見的肺微血管疾病即 PTTM 也應考慮。我們檢索到的 PTTM 的病案報道均為國外文獻,中文文獻目前還沒有報道,因此有重要的臨床意義。遺憾的是本例患者病情危重,不能耐受活檢手術,沒有獲得組織學證據。
綜上所述,PTTM 是一種罕見的引起肺動脈高壓的微血管疾病,對于排除了肺栓塞并且有血栓性微血管疾病證據的腫瘤患者應考慮 PTTM。