引用本文: 林藝凱, 馬愛平, 周偉躍, 葉美治, 蘭文斌, 劉群. mTOR 信號通路在博來霉素誘導小鼠肺纖維化中的作用機制研究. 中國呼吸與危重監護雜志, 2018, 17(2): 178-182. doi: 10.7507/1671-6205.201709017 復制
特發性肺纖維化(idiopathic pulmonary fibrosis,IPF)是指病因未明的彌漫性肺間質疾病,該病以慢性進行性的肺實質損害和纖維化為主要特征,臨床表現以慢性咳嗽,漸進性呼吸困難為主[1]。IPF 的病理表現為進行性細胞外基質沉積,肺組織結構破壞,最終導致肺功能喪失[2]。IPF 好發于 50 歲以后的老年人,其預后較差,確診后平均中位生存期僅為 3~5 年[3]。目前臨床上尚缺乏有效的藥物治療,尋找積極有效的治療方法具有重要意義。
近年的研究表明活化的 mTOR 信號通路參與了纖維化病變,抑制該信號通路可通過減少細胞外基質的表達和抑制上皮間質轉化等多種促纖維化途徑抑制纖維化形成[4-6]。mTOR 信號是調控細胞生長與分化的重要信號通路,由磷脂酰肌醇 3 激酶(PI3K)、蛋白激酶 B(Akt)、結節性硬化復合物(TSC1/2)等上游分子及真核細胞翻譯起始因子 4E 結合蛋白 1(4EBP1)、核糖體蛋白 S6 激酶(SK6)下游分子所組成。我們已發表的研究表明 PI3K/Akt/HIF-1α 的異常活化參與了肺纖維化的形成[7]。mTOR 通過調控細胞增殖或凋亡參與了腫瘤、炎癥、自身免疫性疾病的發生。磷酸化的 S6(p-S6)是 mTORC1 活化的標記,激活的 mTORC1 通過磷酸化下游的 S6K1 和 4EBP1 促進細胞生長關鍵蛋白的轉錄、翻譯和自噬,影響了蛋白的合成和細胞生長[8-9]。在 IPF 患者中,肺內肌成纖維細胞存在過度增生和持續凋亡并存,mTOR 通路是否參與肺纖維化發病的調控機制仍未完全清楚。本研究通過構建博來霉素誘導的小鼠肺纖維化模型,探討該通路在肺纖維化發病的作用機制。
1 材料與方法
1.1 材料
1.1.1 實驗動物
C57BL/6 雄性小鼠,體重(22±2)g,由廈門大學實驗動物中心提供,飼養于SPF 級實驗動物房。
1.1.2 主要試劑及儀器
博來霉素(15 mg/支,日本化藥株式會社),兔抗小鼠 p-Akt 單克隆抗體(美國 CST 公司),兔抗小鼠 Akt 單克隆抗體(美國 CST 公司),兔抗小鼠 p-S6 單克隆抗體(美國 CST 公司),兔抗小鼠多克隆抗體 β-actin (美國 Santa Cruz 公司),羥脯氨酸試劑盒(美國 BioVision),Masson 染液試劑盒(武漢博士德公司),RIzol Reagent(美國 Gibco 公司),逆轉錄試劑盒(德國 Qiangen 公司),PCR 預混試劑、核酸 Marker DI2000(日本 Takara 公司)。HE 染色所需試劑、Western blot 器材、化學發光凝膠成像儀等由廈門大學附屬第一醫院中心實驗室提供。
1.2 方法
1.2.1 博來霉素肺纖維化模型建立及動物分組
將健康 C57BL/6 雄性小鼠 60 只隨機分為正常對照組(對照組,30 只)和纖維化模型組(實驗組,30 只)。以 2% 戊巴比妥鈉按照 70 μg 腹腔注射麻醉小鼠,將小鼠固定于操作臺,消毒頸部皮膚,眼科剪剪開頸前皮膚,鈍性分離組織暴露氣管。實驗組用 1 ml 注射器氣管內滴注博來霉素(2.5 mg/kg),對照組給予等劑量 0.9% 氯化鈉溶液,拔除注射器,迅速提起小鼠,繞長軸左右旋轉,使藥物分布均勻,縫合頸部皮膚。此后每日觀察活動,測體重及每日死亡數量,21 d 后處死小鼠,收集肺臟標本。
1.2.2 小鼠肺標本 HE 染色及 Ashcroft 評分
石蠟切片常規脫蠟至水,蘇木素染液中浸染,3.1% 鹽酸酒精分色,4.2% 碳酸氫鈉溶液返藍,伊紅溶液中浸染,梯度酒精脫水,二甲苯透明,中性樹脂封片。光鏡下以各肺葉肺組織水腫、出血、炎性細胞浸潤和小氣道損傷等項病理改變。肺組織纖維化 Ashcroft 評分按文獻所示[10]。每張片子取 5 個以上視野,求出每只小鼠肺的各項病理改變程度的平均程度,作為肺纖維化分數,然后成組統計分析 Ashcroft 評分。
1.2.3 肺部 Masson 染色檢測肺部纖維化程度
切片常規脫蠟至水,Weigent 氏蘇木素液染核,1% 鹽酸分化,麗春紅一品紅溶液洗,1% 醋酸水溶液洗,1% 磷鉬酸分化直到各種成分被染清晰,1% 醋酸水溶液洗,2% 淡綠液染 2 min。常規脫水、透明、封片。
1.2.4 支氣管肺泡灌洗液(bronchoalveolar lavage fluid,BALF)的制備
分別應用 1 × PBS 0.8 ml 灌洗 3 次,回收 BALF 置于冰上。BALF 以 1 × PBS 重懸,加入 2 倍體積紅細胞裂解液,混合均勻,室溫放置 10 min,1 500 r/min 離心 10 min。棄上清,沉淀加 1 × PBS 1 ml 重懸。取 10 μl 加入臺盼蘭 10 μl 混合,取 10 μl 置入血細胞計數臺中計細胞總數。再將重懸液重新離心,1 500 r/min 離心 10 min,棄上清,加入細胞固定液 1 ml。每一樣品取 30 μl 甩片 2 張,常溫保存。細胞甩片置于蘇木素染液中浸染 15 min,流水沖洗,鹽酸酒精洗約 5 s。氨水沖洗,伊紅液中浸染 10 min。梯度酒精脫水。二甲苯透明。中性樹脂封片,干燥 2 d,鏡下統計細胞分類數。
1.2.5 Western blot 測定 mTOR 信號通路蛋白表達
將新鮮肺組織稱重,取 100 mg 組織加入 1 ml Ripa 裂解液,在超聲勻漿機上打碎肺組織,12 000 r/min,4 ℃ 離心 10 min,取上清存于–20 ℃。BCA 法測定蛋白濃度。每份樣品取 30 μg 上樣,經 SDS-PAGE 電泳后,將蛋白轉到聚偏二氟乙烯膜上,用封閉液 5% 牛血清白蛋白的 TBST 緩沖液在室溫封閉 2 h,用 TBST 1:1 000 稀釋兔抗鼠 p-Akt、Akt、p-S6,β-actin 一抗,將膜置于一抗溶液中 4 ℃ 過夜。次日將膜取出洗滌后置于 TBST 1:5 000 稀釋的辣根過氧化物酶的二抗溶液中,4 ℃ 反應 2 h。洗膜后,暗室中應用化學發光凝膠成像儀曝光,以 β-actin 蛋白作為上樣量的參照。
1.2.6 小鼠肺組織細胞因子 mRNA 表達檢測
取左肺組織 100 mg 按試劑盒說明書用 Trizol 提取總 RNA,紫外分光光度計測量總 RNA 濃度并調整 RNA 濃度為 100 ng/μl,逆轉錄合成互補脫氧核糖核酸(cDNA),再進行 PCR 擴增。膠原蛋白 1(Collagen1)上游引物 5′-CTG CTG GCA AAG ATG GAG A-3′,下游引物 5′-ACC AGG AAG ACC CTG GAA TC-3′。甘油醛-3-磷酸脫氫酶上游引物 5′- CAG CAA GGA CAC TGA GCA AGA-3′,下游引物 5′-GCC CCT CCT GTT ATT ATG GGG-3′。膠原蛋白 3( Collagen3)上游引物 5′- CAA ATG GCA TCC CAG GAG-3′ ,下游引物 5′-CAT CTC GGC CAG GTT CTC-3′。結締組織生長因子(connective tissue growth factor,CTGF)上游引物 5′- TGA CCT GGA GGA AAA CAT TAA GA-3′,下游引物 5′- AGC CCT GTA TGT CTT CAC ACT G-3′。PCR 反應條件: 95 ℃ 預變性 10 min,95 ℃ 變性 30 s,60 ℃ 退火 30 s,72 ℃ 延伸 30 s。甘油醛-3-磷酸脫氫酶為基準進行相對定量。
1.3 統計學方法
采用 SPSS 17.0 統計軟件。計量資料以均值±標準差(
)表示。兩組間比較采用 t 檢驗或非參數檢驗。P<0.05 為差異有統計學意義。
2 結果
2.1 小鼠肺組織病理形態學變化
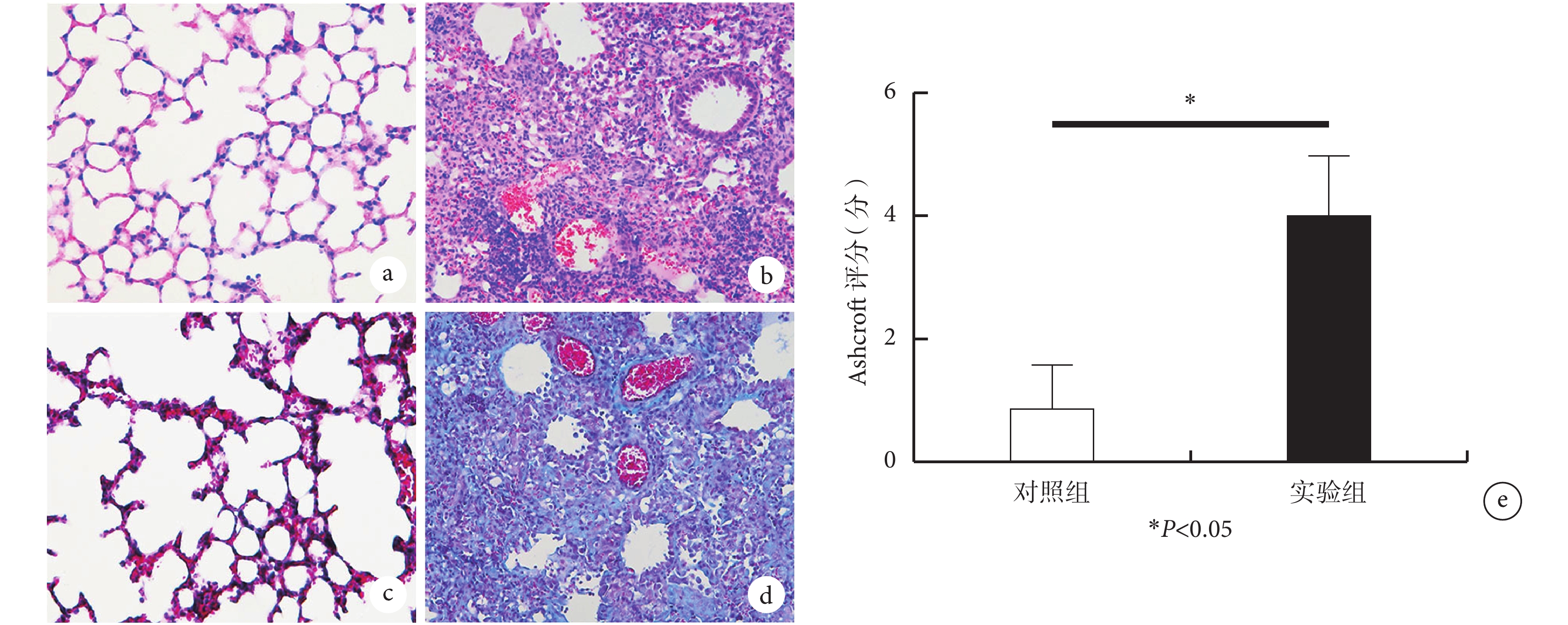
造模 21 d的肺組織病理切片可見生理鹽水干預的對照組未見明顯肺內結構異常(圖 1a)。而博來霉素干預的實驗組小鼠中,其肺組織結構異常,肺泡間隔增厚并伴有較多炎癥細胞浸潤(圖 1b)。Masson 染色中,對照組未見明顯陽性藍染(圖 1c)。實驗組肺組織可見彌漫的肺間質纖維化形成,藍色索條狀膠原纖維以氣道周圍和胸膜下分布為主,肺泡間隔明顯增寬,肺泡腔縮小,肺纖維化明顯(圖 1d)。對小鼠肺組織病理切片進行 Ashcroft 評分,結果顯示實驗組較對照組的纖維化評分明顯增高[(4.62±0.74)分比(1.15±0.12)分,P<0.05](圖 1e)。

a.對照組(HE ×200);b.實驗組(HE ×200);c.對照組 Masson 染色(×200);d:實驗組 Masson 染色(×200);e:小鼠肺纖維化程度 Ashcroft 評估,實驗組明顯升高
2.2 對各組小鼠肺纖維化后行肺泡灌洗情況
收集 BALF 進行細胞數分析,發現實驗組小鼠肺組織中總細胞數較對照組明顯增加[(317.2±61.17)×104 比(135.5±37.94)×104,P=0.03](圖 2)。進一步對各細胞分類數進行分析,發現實驗組巨噬細胞和淋巴細胞較對照組明顯升高(圖 3)。其中,淋巴細胞數為(165.46±40.62)×104 比(51.00±14.59)×104(P<0.05),巨噬細胞數為(89.90±11.77)×104 比(29.27±10.10)×104(P<0.05)。

2.3 mTOR 信號通路在纖維化肺組織中的表達情況
Western blot 檢測小鼠肺組織中 p-Akt、Akt及p-S6 蛋白的表達量變化。在實驗組中,小鼠肺組織的 p-S6 較對照組表達明顯升高,提示 mTOR 活化;而 p-Akt 蛋白表達量則較對照組減少(圖 4)。

2.4 肺組織中細胞因子 mRNA 表達變化量
分別收集兩組肺組織檢測 CTGF、Collagen1,Collagen3 mRNA 表達量(圖 5),結果顯示博來霉素處理后的小鼠肺組織中 Collagen1和Collagen3 的 mRNA 表達量較對照組明顯增加,P<0.05。而 CTGF 在兩組中無顯著差異。


3 討論
我們已發表的研究證實異常活化的 PI3K/Akt/HIF-1α 通路調控了細胞的過度凋亡,從而影響了肺泡表面活性物質的產生以及肺泡上皮細胞的正常修復,加重了肺纖維化的形成過程[7]。而 PI3K/Akt 通路為 mTOR 信號的上游,是否 PI3K/Akt 除 HIF-1α 外還通過下游的 mTOR 影響了肺纖維化進程?因此,本研究探討了 mTOR 信號通路在肺纖維化發病中的作用機制。
我們的數據顯示纖維化的小鼠肺組織存在 mTOR 的過度活化,活化的 mTOR 參與了肺纖維化形成過程。其可能機制與肺組織內纖維化細胞因子表達增加、肌成纖維化細胞增生,進而促進了膠原蛋白的合成有關。若干預該調節通路上的任一環節可能是潛在的治療肺纖維化的新方向。
mTOR 信號通路的上游刺激因子主要有生長因子與胰島素、營養因子等。mTOR 有兩種結構和功能上不盡相同的復合物,mTOR complex1(mTORC1)和 complex2 (mTORC2),抑癌基因 TSC1/TSC2 的突變可活化 mTOR,異常活化的 mTOR 通過調控細胞增殖或凋亡參與了腫瘤、炎癥、自身免疫性疾病的發生。mTORC1 對其特異性抑制劑雷帕霉素敏感,而 mTORC2 不敏感。雷帕霉素不僅抑制 mTORC1 的活性,還通過延長作用時間部分降低 mTORC2 活性。另一方面,mTORC1 活性降低可負調節 Akt 活性使其磷酸化后活化,發揮促進細胞增殖等作用,這也部分解釋了雷帕霉素臨床應用受限的原因。p-S6 是 mTORC1 活化的標記,激活的 mTORC1 通過磷酸化下游的 S6K1 和 4EBP1 促進細胞生長關鍵蛋白的轉錄、翻譯和自噬,影響了蛋白的合成和細胞生長[11-13]。
我們的研究結果顯示博來霉素誘導的小鼠肺纖維化組織中,p-S6 表達量較正常肺組織明顯增加,并伴有膠原基質表達增多。已有研究證明在體外轉化生長因子(transforming growth factor,TGF)-β1 誘導人原代肺成纖維細胞纖維化模型中,mTORC1 活性的升高和膠原Ⅲ、纖維黏連蛋白分泌的增加相關[14]。IPF 患者的肺泡上皮細胞 mTORC1 的表達顯著增加,并與肺纖維嚴重程度和肺功能改變相關[15]。CCSP/TGF-α 轉基因小鼠的肺纖維模型中,mTORC1 的下游 S6K 活化加重了肺纖維化程度,而 S6K 抑制劑 LY2584702 則顯著抑制了肺成纖維細胞的增殖和纖維化進展[16]。在臨床治療中,雷帕霉素成功治療了一例嚴重 IPF 患者的肺纖維化病變[17]。以上研究雖表明 mTOR 信號通路與肺纖維化形成密切相關,但未闡明 mTORC1 通過何種調控機制介導肺纖維化發病。我們前期已發表的研究表明在條件性基因敲除肺泡上皮 Tsc1 的小鼠(SPC-rtTA/TetO-Cre/Tsc1fx/+)中,多西環素誘導肺泡上皮 mTOR 通路過度活化后,在博來霉素誘導的肺纖維化模型中發現肺泡上皮自噬小體數量明顯減少并伴小鼠死亡率增加和肺纖維程度加重,運用雷帕霉素治療可緩解小鼠肺內纖維化病變[18]。而在本研究中,肺組織 mTOR 的活化伴膠原蛋白 mRNA 表達增多并與肺纖維化形成有關,提示兩者有相關性。在隨后的實驗中,我們將進一步探討 mTOR 活化后如何發揮功能,比如其作用于何種細胞。
綜上所述,我們認為異常活化的 mTOR 通路參與肺纖維化的發病過程,其機制可能與增加基質蛋白、膠原纖維的形成有關。若能抑制該通路的異常活化可緩解肺纖維化膠原蛋白形成,達到抑制肺纖維化進展的目的。
特發性肺纖維化(idiopathic pulmonary fibrosis,IPF)是指病因未明的彌漫性肺間質疾病,該病以慢性進行性的肺實質損害和纖維化為主要特征,臨床表現以慢性咳嗽,漸進性呼吸困難為主[1]。IPF 的病理表現為進行性細胞外基質沉積,肺組織結構破壞,最終導致肺功能喪失[2]。IPF 好發于 50 歲以后的老年人,其預后較差,確診后平均中位生存期僅為 3~5 年[3]。目前臨床上尚缺乏有效的藥物治療,尋找積極有效的治療方法具有重要意義。
近年的研究表明活化的 mTOR 信號通路參與了纖維化病變,抑制該信號通路可通過減少細胞外基質的表達和抑制上皮間質轉化等多種促纖維化途徑抑制纖維化形成[4-6]。mTOR 信號是調控細胞生長與分化的重要信號通路,由磷脂酰肌醇 3 激酶(PI3K)、蛋白激酶 B(Akt)、結節性硬化復合物(TSC1/2)等上游分子及真核細胞翻譯起始因子 4E 結合蛋白 1(4EBP1)、核糖體蛋白 S6 激酶(SK6)下游分子所組成。我們已發表的研究表明 PI3K/Akt/HIF-1α 的異常活化參與了肺纖維化的形成[7]。mTOR 通過調控細胞增殖或凋亡參與了腫瘤、炎癥、自身免疫性疾病的發生。磷酸化的 S6(p-S6)是 mTORC1 活化的標記,激活的 mTORC1 通過磷酸化下游的 S6K1 和 4EBP1 促進細胞生長關鍵蛋白的轉錄、翻譯和自噬,影響了蛋白的合成和細胞生長[8-9]。在 IPF 患者中,肺內肌成纖維細胞存在過度增生和持續凋亡并存,mTOR 通路是否參與肺纖維化發病的調控機制仍未完全清楚。本研究通過構建博來霉素誘導的小鼠肺纖維化模型,探討該通路在肺纖維化發病的作用機制。
1 材料與方法
1.1 材料
1.1.1 實驗動物
C57BL/6 雄性小鼠,體重(22±2)g,由廈門大學實驗動物中心提供,飼養于SPF 級實驗動物房。
1.1.2 主要試劑及儀器
博來霉素(15 mg/支,日本化藥株式會社),兔抗小鼠 p-Akt 單克隆抗體(美國 CST 公司),兔抗小鼠 Akt 單克隆抗體(美國 CST 公司),兔抗小鼠 p-S6 單克隆抗體(美國 CST 公司),兔抗小鼠多克隆抗體 β-actin (美國 Santa Cruz 公司),羥脯氨酸試劑盒(美國 BioVision),Masson 染液試劑盒(武漢博士德公司),RIzol Reagent(美國 Gibco 公司),逆轉錄試劑盒(德國 Qiangen 公司),PCR 預混試劑、核酸 Marker DI2000(日本 Takara 公司)。HE 染色所需試劑、Western blot 器材、化學發光凝膠成像儀等由廈門大學附屬第一醫院中心實驗室提供。
1.2 方法
1.2.1 博來霉素肺纖維化模型建立及動物分組
將健康 C57BL/6 雄性小鼠 60 只隨機分為正常對照組(對照組,30 只)和纖維化模型組(實驗組,30 只)。以 2% 戊巴比妥鈉按照 70 μg 腹腔注射麻醉小鼠,將小鼠固定于操作臺,消毒頸部皮膚,眼科剪剪開頸前皮膚,鈍性分離組織暴露氣管。實驗組用 1 ml 注射器氣管內滴注博來霉素(2.5 mg/kg),對照組給予等劑量 0.9% 氯化鈉溶液,拔除注射器,迅速提起小鼠,繞長軸左右旋轉,使藥物分布均勻,縫合頸部皮膚。此后每日觀察活動,測體重及每日死亡數量,21 d 后處死小鼠,收集肺臟標本。
1.2.2 小鼠肺標本 HE 染色及 Ashcroft 評分
石蠟切片常規脫蠟至水,蘇木素染液中浸染,3.1% 鹽酸酒精分色,4.2% 碳酸氫鈉溶液返藍,伊紅溶液中浸染,梯度酒精脫水,二甲苯透明,中性樹脂封片。光鏡下以各肺葉肺組織水腫、出血、炎性細胞浸潤和小氣道損傷等項病理改變。肺組織纖維化 Ashcroft 評分按文獻所示[10]。每張片子取 5 個以上視野,求出每只小鼠肺的各項病理改變程度的平均程度,作為肺纖維化分數,然后成組統計分析 Ashcroft 評分。
1.2.3 肺部 Masson 染色檢測肺部纖維化程度
切片常規脫蠟至水,Weigent 氏蘇木素液染核,1% 鹽酸分化,麗春紅一品紅溶液洗,1% 醋酸水溶液洗,1% 磷鉬酸分化直到各種成分被染清晰,1% 醋酸水溶液洗,2% 淡綠液染 2 min。常規脫水、透明、封片。
1.2.4 支氣管肺泡灌洗液(bronchoalveolar lavage fluid,BALF)的制備
分別應用 1 × PBS 0.8 ml 灌洗 3 次,回收 BALF 置于冰上。BALF 以 1 × PBS 重懸,加入 2 倍體積紅細胞裂解液,混合均勻,室溫放置 10 min,1 500 r/min 離心 10 min。棄上清,沉淀加 1 × PBS 1 ml 重懸。取 10 μl 加入臺盼蘭 10 μl 混合,取 10 μl 置入血細胞計數臺中計細胞總數。再將重懸液重新離心,1 500 r/min 離心 10 min,棄上清,加入細胞固定液 1 ml。每一樣品取 30 μl 甩片 2 張,常溫保存。細胞甩片置于蘇木素染液中浸染 15 min,流水沖洗,鹽酸酒精洗約 5 s。氨水沖洗,伊紅液中浸染 10 min。梯度酒精脫水。二甲苯透明。中性樹脂封片,干燥 2 d,鏡下統計細胞分類數。
1.2.5 Western blot 測定 mTOR 信號通路蛋白表達
將新鮮肺組織稱重,取 100 mg 組織加入 1 ml Ripa 裂解液,在超聲勻漿機上打碎肺組織,12 000 r/min,4 ℃ 離心 10 min,取上清存于–20 ℃。BCA 法測定蛋白濃度。每份樣品取 30 μg 上樣,經 SDS-PAGE 電泳后,將蛋白轉到聚偏二氟乙烯膜上,用封閉液 5% 牛血清白蛋白的 TBST 緩沖液在室溫封閉 2 h,用 TBST 1:1 000 稀釋兔抗鼠 p-Akt、Akt、p-S6,β-actin 一抗,將膜置于一抗溶液中 4 ℃ 過夜。次日將膜取出洗滌后置于 TBST 1:5 000 稀釋的辣根過氧化物酶的二抗溶液中,4 ℃ 反應 2 h。洗膜后,暗室中應用化學發光凝膠成像儀曝光,以 β-actin 蛋白作為上樣量的參照。
1.2.6 小鼠肺組織細胞因子 mRNA 表達檢測
取左肺組織 100 mg 按試劑盒說明書用 Trizol 提取總 RNA,紫外分光光度計測量總 RNA 濃度并調整 RNA 濃度為 100 ng/μl,逆轉錄合成互補脫氧核糖核酸(cDNA),再進行 PCR 擴增。膠原蛋白 1(Collagen1)上游引物 5′-CTG CTG GCA AAG ATG GAG A-3′,下游引物 5′-ACC AGG AAG ACC CTG GAA TC-3′。甘油醛-3-磷酸脫氫酶上游引物 5′- CAG CAA GGA CAC TGA GCA AGA-3′,下游引物 5′-GCC CCT CCT GTT ATT ATG GGG-3′。膠原蛋白 3( Collagen3)上游引物 5′- CAA ATG GCA TCC CAG GAG-3′ ,下游引物 5′-CAT CTC GGC CAG GTT CTC-3′。結締組織生長因子(connective tissue growth factor,CTGF)上游引物 5′- TGA CCT GGA GGA AAA CAT TAA GA-3′,下游引物 5′- AGC CCT GTA TGT CTT CAC ACT G-3′。PCR 反應條件: 95 ℃ 預變性 10 min,95 ℃ 變性 30 s,60 ℃ 退火 30 s,72 ℃ 延伸 30 s。甘油醛-3-磷酸脫氫酶為基準進行相對定量。
1.3 統計學方法
采用 SPSS 17.0 統計軟件。計量資料以均值±標準差(
)表示。兩組間比較采用 t 檢驗或非參數檢驗。P<0.05 為差異有統計學意義。
2 結果
2.1 小鼠肺組織病理形態學變化
造模 21 d的肺組織病理切片可見生理鹽水干預的對照組未見明顯肺內結構異常(圖 1a)。而博來霉素干預的實驗組小鼠中,其肺組織結構異常,肺泡間隔增厚并伴有較多炎癥細胞浸潤(圖 1b)。Masson 染色中,對照組未見明顯陽性藍染(圖 1c)。實驗組肺組織可見彌漫的肺間質纖維化形成,藍色索條狀膠原纖維以氣道周圍和胸膜下分布為主,肺泡間隔明顯增寬,肺泡腔縮小,肺纖維化明顯(圖 1d)。對小鼠肺組織病理切片進行 Ashcroft 評分,結果顯示實驗組較對照組的纖維化評分明顯增高[(4.62±0.74)分比(1.15±0.12)分,P<0.05](圖 1e)。

a.對照組(HE ×200);b.實驗組(HE ×200);c.對照組 Masson 染色(×200);d:實驗組 Masson 染色(×200);e:小鼠肺纖維化程度 Ashcroft 評估,實驗組明顯升高
2.2 對各組小鼠肺纖維化后行肺泡灌洗情況
收集 BALF 進行細胞數分析,發現實驗組小鼠肺組織中總細胞數較對照組明顯增加[(317.2±61.17)×104 比(135.5±37.94)×104,P=0.03](圖 2)。進一步對各細胞分類數進行分析,發現實驗組巨噬細胞和淋巴細胞較對照組明顯升高(圖 3)。其中,淋巴細胞數為(165.46±40.62)×104 比(51.00±14.59)×104(P<0.05),巨噬細胞數為(89.90±11.77)×104 比(29.27±10.10)×104(P<0.05)。

2.3 mTOR 信號通路在纖維化肺組織中的表達情況
Western blot 檢測小鼠肺組織中 p-Akt、Akt及p-S6 蛋白的表達量變化。在實驗組中,小鼠肺組織的 p-S6 較對照組表達明顯升高,提示 mTOR 活化;而 p-Akt 蛋白表達量則較對照組減少(圖 4)。

2.4 肺組織中細胞因子 mRNA 表達變化量
分別收集兩組肺組織檢測 CTGF、Collagen1,Collagen3 mRNA 表達量(圖 5),結果顯示博來霉素處理后的小鼠肺組織中 Collagen1和Collagen3 的 mRNA 表達量較對照組明顯增加,P<0.05。而 CTGF 在兩組中無顯著差異。


3 討論
我們已發表的研究證實異常活化的 PI3K/Akt/HIF-1α 通路調控了細胞的過度凋亡,從而影響了肺泡表面活性物質的產生以及肺泡上皮細胞的正常修復,加重了肺纖維化的形成過程[7]。而 PI3K/Akt 通路為 mTOR 信號的上游,是否 PI3K/Akt 除 HIF-1α 外還通過下游的 mTOR 影響了肺纖維化進程?因此,本研究探討了 mTOR 信號通路在肺纖維化發病中的作用機制。
我們的數據顯示纖維化的小鼠肺組織存在 mTOR 的過度活化,活化的 mTOR 參與了肺纖維化形成過程。其可能機制與肺組織內纖維化細胞因子表達增加、肌成纖維化細胞增生,進而促進了膠原蛋白的合成有關。若干預該調節通路上的任一環節可能是潛在的治療肺纖維化的新方向。
mTOR 信號通路的上游刺激因子主要有生長因子與胰島素、營養因子等。mTOR 有兩種結構和功能上不盡相同的復合物,mTOR complex1(mTORC1)和 complex2 (mTORC2),抑癌基因 TSC1/TSC2 的突變可活化 mTOR,異常活化的 mTOR 通過調控細胞增殖或凋亡參與了腫瘤、炎癥、自身免疫性疾病的發生。mTORC1 對其特異性抑制劑雷帕霉素敏感,而 mTORC2 不敏感。雷帕霉素不僅抑制 mTORC1 的活性,還通過延長作用時間部分降低 mTORC2 活性。另一方面,mTORC1 活性降低可負調節 Akt 活性使其磷酸化后活化,發揮促進細胞增殖等作用,這也部分解釋了雷帕霉素臨床應用受限的原因。p-S6 是 mTORC1 活化的標記,激活的 mTORC1 通過磷酸化下游的 S6K1 和 4EBP1 促進細胞生長關鍵蛋白的轉錄、翻譯和自噬,影響了蛋白的合成和細胞生長[11-13]。
我們的研究結果顯示博來霉素誘導的小鼠肺纖維化組織中,p-S6 表達量較正常肺組織明顯增加,并伴有膠原基質表達增多。已有研究證明在體外轉化生長因子(transforming growth factor,TGF)-β1 誘導人原代肺成纖維細胞纖維化模型中,mTORC1 活性的升高和膠原Ⅲ、纖維黏連蛋白分泌的增加相關[14]。IPF 患者的肺泡上皮細胞 mTORC1 的表達顯著增加,并與肺纖維嚴重程度和肺功能改變相關[15]。CCSP/TGF-α 轉基因小鼠的肺纖維模型中,mTORC1 的下游 S6K 活化加重了肺纖維化程度,而 S6K 抑制劑 LY2584702 則顯著抑制了肺成纖維細胞的增殖和纖維化進展[16]。在臨床治療中,雷帕霉素成功治療了一例嚴重 IPF 患者的肺纖維化病變[17]。以上研究雖表明 mTOR 信號通路與肺纖維化形成密切相關,但未闡明 mTORC1 通過何種調控機制介導肺纖維化發病。我們前期已發表的研究表明在條件性基因敲除肺泡上皮 Tsc1 的小鼠(SPC-rtTA/TetO-Cre/Tsc1fx/+)中,多西環素誘導肺泡上皮 mTOR 通路過度活化后,在博來霉素誘導的肺纖維化模型中發現肺泡上皮自噬小體數量明顯減少并伴小鼠死亡率增加和肺纖維程度加重,運用雷帕霉素治療可緩解小鼠肺內纖維化病變[18]。而在本研究中,肺組織 mTOR 的活化伴膠原蛋白 mRNA 表達增多并與肺纖維化形成有關,提示兩者有相關性。在隨后的實驗中,我們將進一步探討 mTOR 活化后如何發揮功能,比如其作用于何種細胞。
綜上所述,我們認為異常活化的 mTOR 通路參與肺纖維化的發病過程,其機制可能與增加基質蛋白、膠原纖維的形成有關。若能抑制該通路的異常活化可緩解肺纖維化膠原蛋白形成,達到抑制肺纖維化進展的目的。