引用本文: 崔紫陽, 胡玲玲, 王昊辰, 王紅陽, 戈艷蕾, 李立群. B1 胸腺瘤合并系統性紅斑狼瘡及肺結核一例. 中國呼吸與危重監護雜志, 2018, 17(2): 197-199. doi: 10.7507/1671-6205.201708033 復制
臨床資料 患者女性,48 歲,主因“間斷咳嗽、咳痰伴氣促、胸痛 5 個月余”于 2016 年 7 月 15 日入住我院呼吸科。患者 5 個多月前受涼后出現間斷咳嗽,咳少量白色泡沫樣痰,伴氣促,活動后加重,平臥不受限,伴右側胸痛,以深吸氣后明顯,伴四肢關節疼痛,無紅腫,無發熱、咯血,無盜汗、消瘦等不適。該患者 2016 年 3 月曾就診于我院,2016 年 3 月 7 日查胸部平掃及增強 CT(圖 1),結果示:(1)前上縱隔富血供結節灶,考慮胸腺瘤;(2)兩肺多發結節灶;(3)右肺中葉炎性纖維化;(4)縱隔及兩腋窩多發腫大淋巴結。2016 年 3 月 14 日行前上縱隔腫物及左肺上葉胸膜下腫物切除術,術后病理結果:(1)(左肺上葉)肺慢性炎,局灶肺肉質變伴微膿腫形成;(2)(縱隔腫物)B1 型胸腺瘤。2016 年 3 月 23 日復查胸部 CT(圖 2),結果示:(1)胸腺瘤術后改變;(2)心包積液;(3)右肺中葉炎性纖維化較前進展;(4)余較前未見明顯改變。患者于 2016 年 3 月 26 日自動出院,出院后仍有上述癥狀,間斷口服抗炎化痰藥物(具體藥物名稱及劑量不詳)。
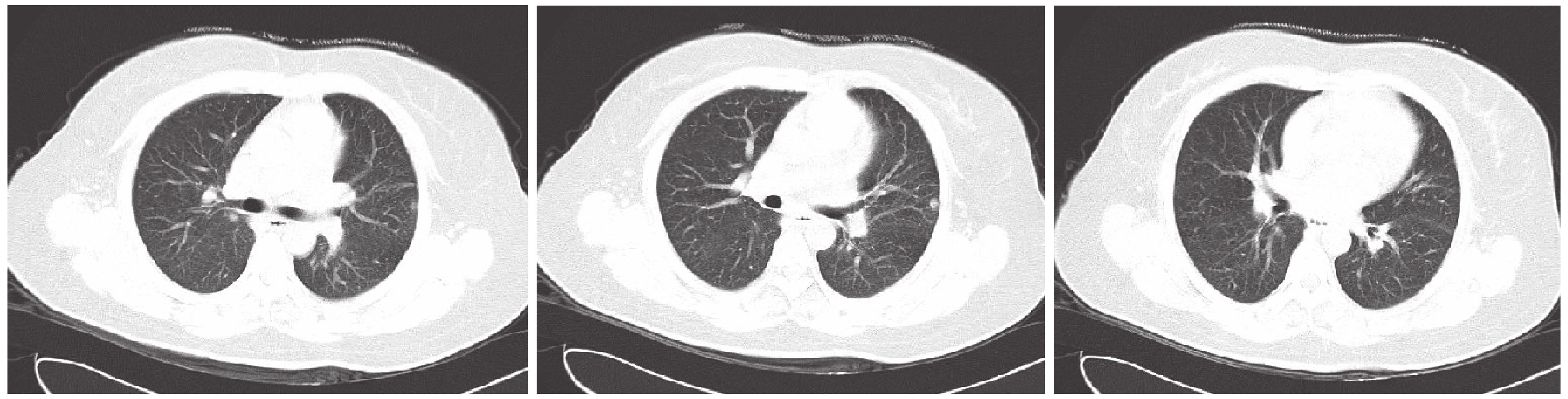
因上述癥狀持續未見好轉,患者于 2016 年 7 月 15 日再次就診于我科。查體:體溫 36.5 ℃,神清,皮膚黏膜無斑疹,全身淺表淋巴結未觸及腫大,顏面口唇及四肢紅潤,雙肺呼吸音清,兩肺未聞及干濕性啰音,心腹及四肢查體未見異常。輔助檢查:血常規、生化全項、血氣分析未見異常,女性腫瘤系列陰性,1-3-β-D 葡聚糖未見明顯異常,血沉 56 mm/1 h,C 反應蛋白 45.24 mg/L。風濕免疫系列示:補體 C4 15.4 mg/dl,免疫球蛋白 A 302 mg/dl,免疫球蛋白 G 1 610 mg/dl,免疫球蛋白 M 260 mg/dl,余正常范圍。抗核抗體系列(12 項):ANA(+),雙鏈 DNA(+),抗 nRNP 抗體(+);抗核抗體(ANA)滴度( 1∶100)(+),ANA(1∶320)(+);ANA(1∶1 000)(+);ANA(1∶3 200)(+)。結核菌素實驗(++),結核桿菌特異性細胞免疫反應陽性。2016 年 7 月 16 日復查胸部 CT(圖 3),結果示:(1)兩肺多發結節灶較前增多,部分較前增大;(2)右肺中葉炎性纖維化較前未見明顯改變,右肺上葉炎性病變已吸收,左肺炎性纖維化較前未見明顯改變。為進一步明確病情,于北京協和醫院及唐山市第四醫院會診,最后確診為:(1)系統性紅斑狼瘡(systemic lupus erythematosus,SLE)肺損害;(2)肺結核;(3)B1 胸腺瘤術后。給予口服三聯抗結核藥及口服甲基潑尼松龍片(20 mg 1 次/d)+硫酸羥氯喹(0.4 g 1 次/d)。1 個月后患者咳嗽氣促及關節疼痛癥狀逐漸好轉,2016 年 11 月 28 日復查胸部 CT 提示肺部病變較前明顯好轉(圖 4)。




討論 一項回顧性研究顯示,胸腺瘤患者常合并呼吸系統疾病及自身免疫性疾病,其中以 B2 型最為多見,并且發現這些患者的 CD4+ T 細胞及 γ 干擾素水平的降低較為顯著[1]。本例患者以呼吸道癥狀為首發癥狀,胸部影像學可見前上縱隔腫物,同時可見雙肺多發結節灶及炎性纖維化,經手術病理證實為 B1 胸腺瘤,術后完善相關檢查后,證實合并有 SLE 及肺結核。B1 胸腺瘤患者同時合并 SLE 及肺結核在臨床上較為少見。胸腺作為機體的中樞淋巴器官,通過產生成熟的功能性 T 淋巴細胞及誘導自身免疫耐受等,參與機體的較多免疫功能。胸腺瘤是前縱隔的原發性腫瘤,約占前上縱隔腫瘤的 50%[2],其發病率較低(1.5 例/百萬),常發生于 40~70 歲的成年人,該類患者 5 年生存率大約為 78%。胸腺瘤患者臨床表現無特異性,可表現為無癥狀,亦可表現為咳嗽、胸痛及呼吸困難等。胸腺瘤雖然可局部侵襲至胸膜和肺,但其發生區域淋巴結及遠處部位轉移的情況較為少見,因此治療晚期胸腺瘤的有效手段仍是通過手術最大程度地徹底切除腫瘤[3]。目前所有可耐受手術的Ⅰ期和Ⅱ期胸腺瘤患者,其術后 10 年生存率較高(Ⅰ期約 90%,Ⅱ期約 70%),對于不完整切除的胸腺瘤,建議術后放療。胸腺瘤患者常常伴隨著自身免疫性疾病的發生,其中最常見的為重癥肌無力,約 30%~50% 的胸腺瘤合并有該病。胸腺瘤并發癥可與胸腺瘤同時發生,亦可在切除后發生[4-5],且切除胸腺瘤并不能有效地緩解這些疾病。
SLE 和肺結核均與自身免疫功能紊亂有關。SLE 是由 T 細胞和 B 細胞共同參與的以炎癥反應及血管異常為病理改變的自身免疫性疾病。SLE 與胸腺瘤的相互關系目前尚未明了。由于胸腺瘤的臨床表現無特異性,故 SLE 合并胸腺瘤常因影像學檢查而發現;而胸腺瘤合并 SLE 可出現全身多系統損害,故血清中可檢測到自身抗體。已有研究證實,胸腺瘤中 SLE 的患病率遠高于普通人群的患病率[前者 1.07%,后者(40~70)/10 萬][6]。發病機制可能為:(1)當發生胸腺瘤時,由于胸腺的結構和功能的改變,可能出現自身免疫耐受的缺失;(2)T 淋巴細胞的成熟受限亦可導致免疫耐受的破壞[7]。
胸腺瘤患者出現呼吸道癥狀較為常見[8],但目前有關胸腺瘤術后并發肺結核的病例報道較少。有研究表明,胸腺瘤術后感染肺結核可能與自身免疫功能下降有關,且由于其癥狀無特異性,易出現誤診從而能延誤病情。由于胸腺瘤患者術后自身免疫功能低下,有反復感染的風險,且對肺組織造成的損傷可能不可逆[9],因此,胸腺瘤術后需長期隨訪,除了注意呼吸道癥狀及影像學表現外,還應監測患者的免疫功能指標,必要時需完善實驗室檢查(如血沉、結核菌素實驗、結核桿菌特異性細胞免疫反應等)進一步明確有無結核感染[10]。
本例患者為 B1 型胸腺瘤,該型胸腺瘤最為少見,約占 5%。該患者術后出現兩肺多發結節灶較前增多,且部分較前增大,分析可能原因:(1)胸腺瘤肺內轉移:依據 WHO 分類標準,與其他類型胸腺瘤相比,B1 型胸腺瘤惡性度及侵襲性較低,且其預后較好。一項回顧性研究表明該型胸腺瘤 5 年、10 年及 15 年的生存率分別為 100%、100% 及 75%[11]。該患者腫瘤標志物未見異常,術前肺部結節灶無強化,且全身狀況尚可,故暫不考慮肺內轉移可能。但兩肺對稱分布多發實性結節,且無空洞樣表現,應警惕肺內轉移可能。(2)SLE 肺損害:肺部是 SLE 較易累及的器官,易引起肺間質性病變,約占 50%。慢性間質性肺病的癥狀、影像表現及病理特點與特發性肺間質纖維化較為相似,但該病病情往往較輕且進展較為緩慢,此外亦可累及胸膜、肺實質等。胸膜炎是 SLE 最常見的表現,亦可以是狼瘡的首發表現,同時伴隨心包積液,影像學多表現為少到中量的胸腔積液,單側或雙側均可出現。該患者咳嗽、咳痰伴胸痛、氣促,結合風濕免疫指標異常及胸部 CT 表現(以炎性纖維化及多發肺部結節為主,同時合并有少量胸腔積液及心包積液),考慮肺部病變為 SLE 所致的胸膜炎及間質性肺損害。(3)肺結核:患者胸腺瘤術后細胞免疫功能下降,研究表明胸腺瘤術后患者體內的 CD4/CD8 比值、表達 CD28 的 CD4+ 及 CD8+ T 細胞水平顯著降低[5],而 CD4+ T 淋巴細胞是抗結核過程中的主要免疫應答細胞,對控制結核桿菌起重要作用。亦有研究報道,CD4+ T 細胞數<200/μl 的 SLE 患者更易合并活動性結核感染[9]。該患者自身免疫功能欠佳,癥狀及影像學表現無特異性,結核桿菌感染相關檢查陽性,雖未直接檢出抗酸桿菌,給予經驗性抗結核治療后,患者病情好轉,進一步證實肺部病變合并有結核桿菌感染。
綜上所述,胸腺瘤與多種自身免疫系統疾病有關,且切除胸腺瘤后亦會發生某些自身免疫性疾病,其機制較為復雜,目前更多解釋為該疾病導致自身免疫功能的紊亂。因此,早期發現胸腺瘤并予以及時診治及胸腺瘤的隨訪尤為重要。
臨床資料 患者女性,48 歲,主因“間斷咳嗽、咳痰伴氣促、胸痛 5 個月余”于 2016 年 7 月 15 日入住我院呼吸科。患者 5 個多月前受涼后出現間斷咳嗽,咳少量白色泡沫樣痰,伴氣促,活動后加重,平臥不受限,伴右側胸痛,以深吸氣后明顯,伴四肢關節疼痛,無紅腫,無發熱、咯血,無盜汗、消瘦等不適。該患者 2016 年 3 月曾就診于我院,2016 年 3 月 7 日查胸部平掃及增強 CT(圖 1),結果示:(1)前上縱隔富血供結節灶,考慮胸腺瘤;(2)兩肺多發結節灶;(3)右肺中葉炎性纖維化;(4)縱隔及兩腋窩多發腫大淋巴結。2016 年 3 月 14 日行前上縱隔腫物及左肺上葉胸膜下腫物切除術,術后病理結果:(1)(左肺上葉)肺慢性炎,局灶肺肉質變伴微膿腫形成;(2)(縱隔腫物)B1 型胸腺瘤。2016 年 3 月 23 日復查胸部 CT(圖 2),結果示:(1)胸腺瘤術后改變;(2)心包積液;(3)右肺中葉炎性纖維化較前進展;(4)余較前未見明顯改變。患者于 2016 年 3 月 26 日自動出院,出院后仍有上述癥狀,間斷口服抗炎化痰藥物(具體藥物名稱及劑量不詳)。
因上述癥狀持續未見好轉,患者于 2016 年 7 月 15 日再次就診于我科。查體:體溫 36.5 ℃,神清,皮膚黏膜無斑疹,全身淺表淋巴結未觸及腫大,顏面口唇及四肢紅潤,雙肺呼吸音清,兩肺未聞及干濕性啰音,心腹及四肢查體未見異常。輔助檢查:血常規、生化全項、血氣分析未見異常,女性腫瘤系列陰性,1-3-β-D 葡聚糖未見明顯異常,血沉 56 mm/1 h,C 反應蛋白 45.24 mg/L。風濕免疫系列示:補體 C4 15.4 mg/dl,免疫球蛋白 A 302 mg/dl,免疫球蛋白 G 1 610 mg/dl,免疫球蛋白 M 260 mg/dl,余正常范圍。抗核抗體系列(12 項):ANA(+),雙鏈 DNA(+),抗 nRNP 抗體(+);抗核抗體(ANA)滴度( 1∶100)(+),ANA(1∶320)(+);ANA(1∶1 000)(+);ANA(1∶3 200)(+)。結核菌素實驗(++),結核桿菌特異性細胞免疫反應陽性。2016 年 7 月 16 日復查胸部 CT(圖 3),結果示:(1)兩肺多發結節灶較前增多,部分較前增大;(2)右肺中葉炎性纖維化較前未見明顯改變,右肺上葉炎性病變已吸收,左肺炎性纖維化較前未見明顯改變。為進一步明確病情,于北京協和醫院及唐山市第四醫院會診,最后確診為:(1)系統性紅斑狼瘡(systemic lupus erythematosus,SLE)肺損害;(2)肺結核;(3)B1 胸腺瘤術后。給予口服三聯抗結核藥及口服甲基潑尼松龍片(20 mg 1 次/d)+硫酸羥氯喹(0.4 g 1 次/d)。1 個月后患者咳嗽氣促及關節疼痛癥狀逐漸好轉,2016 年 11 月 28 日復查胸部 CT 提示肺部病變較前明顯好轉(圖 4)。




討論 一項回顧性研究顯示,胸腺瘤患者常合并呼吸系統疾病及自身免疫性疾病,其中以 B2 型最為多見,并且發現這些患者的 CD4+ T 細胞及 γ 干擾素水平的降低較為顯著[1]。本例患者以呼吸道癥狀為首發癥狀,胸部影像學可見前上縱隔腫物,同時可見雙肺多發結節灶及炎性纖維化,經手術病理證實為 B1 胸腺瘤,術后完善相關檢查后,證實合并有 SLE 及肺結核。B1 胸腺瘤患者同時合并 SLE 及肺結核在臨床上較為少見。胸腺作為機體的中樞淋巴器官,通過產生成熟的功能性 T 淋巴細胞及誘導自身免疫耐受等,參與機體的較多免疫功能。胸腺瘤是前縱隔的原發性腫瘤,約占前上縱隔腫瘤的 50%[2],其發病率較低(1.5 例/百萬),常發生于 40~70 歲的成年人,該類患者 5 年生存率大約為 78%。胸腺瘤患者臨床表現無特異性,可表現為無癥狀,亦可表現為咳嗽、胸痛及呼吸困難等。胸腺瘤雖然可局部侵襲至胸膜和肺,但其發生區域淋巴結及遠處部位轉移的情況較為少見,因此治療晚期胸腺瘤的有效手段仍是通過手術最大程度地徹底切除腫瘤[3]。目前所有可耐受手術的Ⅰ期和Ⅱ期胸腺瘤患者,其術后 10 年生存率較高(Ⅰ期約 90%,Ⅱ期約 70%),對于不完整切除的胸腺瘤,建議術后放療。胸腺瘤患者常常伴隨著自身免疫性疾病的發生,其中最常見的為重癥肌無力,約 30%~50% 的胸腺瘤合并有該病。胸腺瘤并發癥可與胸腺瘤同時發生,亦可在切除后發生[4-5],且切除胸腺瘤并不能有效地緩解這些疾病。
SLE 和肺結核均與自身免疫功能紊亂有關。SLE 是由 T 細胞和 B 細胞共同參與的以炎癥反應及血管異常為病理改變的自身免疫性疾病。SLE 與胸腺瘤的相互關系目前尚未明了。由于胸腺瘤的臨床表現無特異性,故 SLE 合并胸腺瘤常因影像學檢查而發現;而胸腺瘤合并 SLE 可出現全身多系統損害,故血清中可檢測到自身抗體。已有研究證實,胸腺瘤中 SLE 的患病率遠高于普通人群的患病率[前者 1.07%,后者(40~70)/10 萬][6]。發病機制可能為:(1)當發生胸腺瘤時,由于胸腺的結構和功能的改變,可能出現自身免疫耐受的缺失;(2)T 淋巴細胞的成熟受限亦可導致免疫耐受的破壞[7]。
胸腺瘤患者出現呼吸道癥狀較為常見[8],但目前有關胸腺瘤術后并發肺結核的病例報道較少。有研究表明,胸腺瘤術后感染肺結核可能與自身免疫功能下降有關,且由于其癥狀無特異性,易出現誤診從而能延誤病情。由于胸腺瘤患者術后自身免疫功能低下,有反復感染的風險,且對肺組織造成的損傷可能不可逆[9],因此,胸腺瘤術后需長期隨訪,除了注意呼吸道癥狀及影像學表現外,還應監測患者的免疫功能指標,必要時需完善實驗室檢查(如血沉、結核菌素實驗、結核桿菌特異性細胞免疫反應等)進一步明確有無結核感染[10]。
本例患者為 B1 型胸腺瘤,該型胸腺瘤最為少見,約占 5%。該患者術后出現兩肺多發結節灶較前增多,且部分較前增大,分析可能原因:(1)胸腺瘤肺內轉移:依據 WHO 分類標準,與其他類型胸腺瘤相比,B1 型胸腺瘤惡性度及侵襲性較低,且其預后較好。一項回顧性研究表明該型胸腺瘤 5 年、10 年及 15 年的生存率分別為 100%、100% 及 75%[11]。該患者腫瘤標志物未見異常,術前肺部結節灶無強化,且全身狀況尚可,故暫不考慮肺內轉移可能。但兩肺對稱分布多發實性結節,且無空洞樣表現,應警惕肺內轉移可能。(2)SLE 肺損害:肺部是 SLE 較易累及的器官,易引起肺間質性病變,約占 50%。慢性間質性肺病的癥狀、影像表現及病理特點與特發性肺間質纖維化較為相似,但該病病情往往較輕且進展較為緩慢,此外亦可累及胸膜、肺實質等。胸膜炎是 SLE 最常見的表現,亦可以是狼瘡的首發表現,同時伴隨心包積液,影像學多表現為少到中量的胸腔積液,單側或雙側均可出現。該患者咳嗽、咳痰伴胸痛、氣促,結合風濕免疫指標異常及胸部 CT 表現(以炎性纖維化及多發肺部結節為主,同時合并有少量胸腔積液及心包積液),考慮肺部病變為 SLE 所致的胸膜炎及間質性肺損害。(3)肺結核:患者胸腺瘤術后細胞免疫功能下降,研究表明胸腺瘤術后患者體內的 CD4/CD8 比值、表達 CD28 的 CD4+ 及 CD8+ T 細胞水平顯著降低[5],而 CD4+ T 淋巴細胞是抗結核過程中的主要免疫應答細胞,對控制結核桿菌起重要作用。亦有研究報道,CD4+ T 細胞數<200/μl 的 SLE 患者更易合并活動性結核感染[9]。該患者自身免疫功能欠佳,癥狀及影像學表現無特異性,結核桿菌感染相關檢查陽性,雖未直接檢出抗酸桿菌,給予經驗性抗結核治療后,患者病情好轉,進一步證實肺部病變合并有結核桿菌感染。
綜上所述,胸腺瘤與多種自身免疫系統疾病有關,且切除胸腺瘤后亦會發生某些自身免疫性疾病,其機制較為復雜,目前更多解釋為該疾病導致自身免疫功能的紊亂。因此,早期發現胸腺瘤并予以及時診治及胸腺瘤的隨訪尤為重要。