引用本文: 黃賢平, 謝樹華. 急性纖維素性機化性肺炎合并類風濕性關節炎一例. 中國呼吸與危重監護雜志, 2018, 17(2): 193-196. doi: 10.7507/1671-6205.201705003 復制
急性纖維素性機化性肺炎(acute fibrinous and organizing pneumonia,AFOP)是間質性肺炎的一種罕見病理類型,于 2002 年由 Beasley 等[1]通過對 17 例急性/亞急性肺損傷患者進行研究而首次提出。AFOP 的組織學特征為肺泡腔內多量纖維素沉積并形成均質嗜酸性的纖維素球,受累肺泡的肺泡間隔內可見急、慢性炎癥細胞或少量嗜酸性粒細胞浸潤,肺泡間隔可增寬,伴Ⅱ型肺泡上皮增生,病變之間的肺組織基本正常[1]。AFOP 可以是特發性,也可以繼發于感染、結締組織疾病、環境暴露、藥物不良反應和造血干細胞移植后等[2]。以往的文獻已報道多例與結締組織疾病相關的 AFOP,包括如膠原血管病、多發性肌炎、纖維肌痛病、青少年皮肌炎、系統性紅斑狼瘡、未分類結締組織病、過敏性肺炎等[2],亦有報道與干燥綜合征相關[3],但與類風濕性關節炎相關的 AFOP 報道罕見。本例 AFOP 合并類風濕性關節炎診斷明確,療效良好,特報道以供同道借鑒。
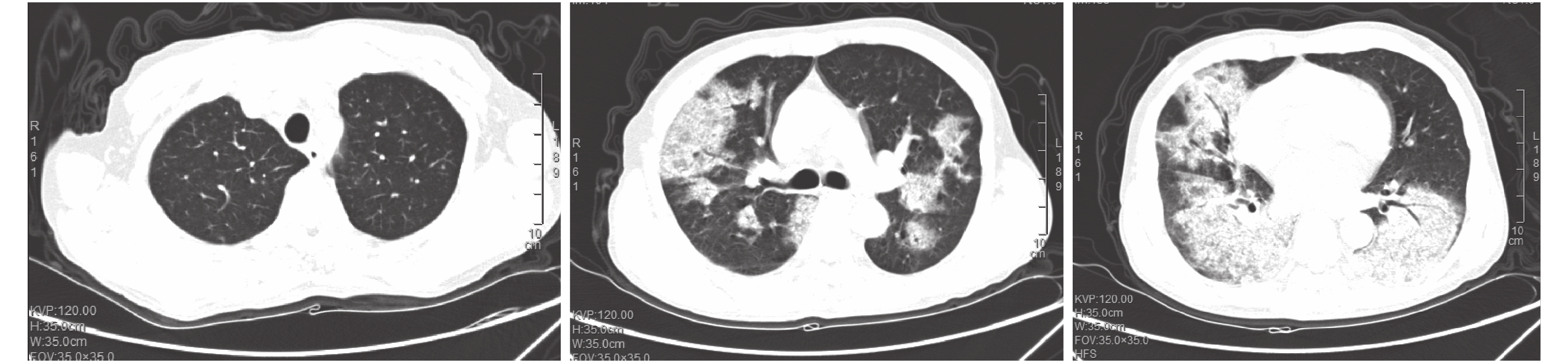
臨床資料 患者男性,47 歲,木工,因“反復咳嗽 2 個月余,加重伴發熱 12 d”于 2017 年 3 月 15 日入院。既往有“類風濕性關節炎”病史 8 年余,不正規服用潑尼松治療約 3 年,已停藥 2 年。患者自述 2017 年 1 月開始無明顯誘因出現間斷咳嗽,夜間咳嗽顯著,咳少量黃痰,偶有痰中帶血,一直未予以重視。3 月 4 日晚上出現發熱,且咳嗽癥狀加重,伴胸悶、氣促,自行服用“999 感冒沖劑”后癥狀無緩解。次日在當地診所治療,給予靜脈注射“頭孢曲松鈉、清開靈”后,于當天晚上出現腹瀉,為稀水樣便,次數大于 10 次/d,且發熱癥狀未得緩解,咳嗽、氣促癥狀進一步加重,并出現黃疸。3 月 6 日轉至贛州市第五人民醫院就診,完善相關檢查。實驗室檢查:血常規示白細胞 6.11×109/L,中性粒細胞百分比 91%,血紅蛋白 88 g/L,血小板 6×109/L;總膽紅素 192.9 μmol/L,直接膽紅素187.4 μmol/L,間接膽紅素 5.5 μmol/L;肌酐65.8 μmol/L;N 端前腦納肽 2 240 pg/ml;C 反應蛋白 120.19 mg/L,類風濕因子 200.7 IU/ml。胸部 CT 示“兩肺片狀、斑片狀密度增高影,邊緣模糊,部分病灶內見空氣支氣管征”(圖 1)。考慮“重癥肺炎”可能,予靜脈滴注亞胺培南 1.0 g q8h,伏立康唑 0.3 g q12h,同時予以護肝,輸注血小板、血漿,補充白蛋白等對癥支持治療。3 d 后患者仍有咳嗽,以干咳為主,伴氣促,活動后明顯,鼻導管給氧(2~3 L/min)后指脈氧飽和度(SpO2)可維持在 92%~95%,體溫在 37.5~38.8 ℃。3 月 8 日復查胸部 CT 示兩肺病灶增多(圖 2)。將亞胺培南改為 1.0 g q6h,同時加上鹽酸莫西沙星 0.4 g qd 抗感染,帕拉米韋+奧司他韋抗病毒,甲基潑尼松龍(米樂松)40 mg qd 調節免疫。住院期間不間斷對痰液標本行細菌、真菌培養,但未找到異常菌群,H7N9 核酸 PCR 檢測亦呈陰性,遂停用抗病毒藥物,3 月 12 日停用甲基潑尼松龍。患者仍持續發熱,體溫仍波動于 37.5~38.8 ℃,咳嗽加重,干咳為主,期間多次復查血常規中性粒細胞百分比均在 90% 左右。家屬為求進一步診治,轉入南昌大學第二附屬醫院。自發病以來,患者飲食欠佳,睡眠尚可,小便正常,體重在 3 個月內下降約 5 kg。
體格檢查:體溫 36.0 ℃,脈搏 83 次/min,呼吸 22 次/min,血壓 125/85 mm Hg(1 mm Hg=0.133 kPa),SpO2 95%(鼻導管 2 L/min)。神清,皮膚鞏膜黃染,兩肺呼吸音粗,右下肺呼吸音稍弱,未聞及明顯干濕性啰音。心率 83 次/min,律齊,可聞及早搏。腹平軟,無壓痛,雙手第一掌指關節畸形腫脹,無壓痛,活動正常。雙下肢輕度水腫。
入院后完善常規檢查,流行性出血熱病毒抗體(–)、肥達氏反應(–)、ANA 譜(抗核抗體 S 型 1∶6 400)、ANA3 譜(–)、ANCA 譜(–),支氣管肺泡灌洗液細菌培養(–)、GM 試驗(–)、真菌培養(白色念珠菌)。
結合臨床表現和影像學(圖 3),考慮肺部繼發性真菌感染,不能完全排外合并淋巴瘤肺浸潤可能。征得家屬同意后,予以米卡芬凈抗真菌治療,并行經皮肺穿刺活檢。活檢病理(圖 4)提示肺泡上皮增生,肺泡間隔增寬,血管擴張,慢性炎細胞浸潤,肺泡腔內見纖維素性栓子,考慮機化性肺炎;特殊染色:PAS(–)、PASM(–)、抗酸染色(–)。綜合臨床表現、影像及病理,病變符合 AFOP 的診斷。活檢后立即給予甲基潑尼松龍40 mg/d。患者呼吸困難逐漸好轉體溫降至正常,血氣分析恢復正常。1 周后復查胸部 CT 提示病變較前明顯好轉。出院后使用甲基潑尼松龍 40 mg/d 維持治療。出院后 4 周復查胸部 CT 示病灶明顯吸收(圖 5)。隨訪至撰稿日,患者未見復發。
圖1
2017 年 3 月 6 日發病初期胸部 CT 檢查像
兩肺各葉見斑片狀、云絮狀密度增高影,邊緣模糊,部分病灶內見空氣支氣管征
圖2
2017 年 3 月 8 日胸部 CT 檢查像
與 3 月 6 日 CT 結果對比,右肺中下葉病灶較前增濃,余同前
圖3
2017 年 3 月 19 日胸部 CT 檢查像
兩肺見團片狀不均勻實變影,其間見空氣支氣管征,所見各支氣管通暢
圖4
經皮肺穿刺活檢病理檢查像(HE ×200)
肺泡上皮增生,肺泡間隔增寬,血管擴張,慢性炎細胞浸潤,肺泡腔內見纖維素性栓子
圖5
2017 年 5 月 1 日胸部 CT 檢查像
與以往的 CT 檢查像相比,兩肺病灶明顯吸收好轉、密度減淡,部分已消散
討論 本例患者有類風濕病史 8 年,反復咳嗽、咳痰 2 個月余,并出現一過性的心、肝、腎等多器官功能損害,胸部 CT 表現為雙肺彌漫性浸潤影。在整個疾病的診療過程中,根據臨床表現及影像學,最初考慮細菌合并真菌感染,但予以亞胺培南+莫西沙星+伏立康唑抗感染治療無好轉,直到最后根據病理確診為 AFOP,靜脈滴注甲基潑尼松后,患者的臨床癥狀迅速改善,之后多次復查胸部 CT 提示病灶逐漸消失。
AFOP 在 2002 年第一次由 Beasley 等[1]報道,它是間質性肺炎的一個罕見類型,與傳統彌漫性肺泡損傷(diffuse alveolar damage,DAD)、機化性肺炎(organizing pneumonia,OP)和嗜酸性粒細胞性肺炎(eosinophil pneumonia,EP)的病理改變不同,確診主要依賴組織病理學檢查。典型的 AFOP 病理學特征為肺泡腔內見典型的均質嗜酸性纖維素球伴周邊機化的疏松結締組織,類似于 OP 的病理改變,沒有透明膜形成,不伴有明顯的嗜酸性粒細胞浸潤,無肉芽腫形成。Beasley 等[1]強調 AFOP 的診斷依賴于大塊肺組織活檢標本,鏡下見大面積分布的典型纖維素球,且不伴透明膜、Masson 小體形成或多量嗜酸性粒細胞浸潤,結合臨床及影像表現充分排除 DAD、OP、EP 等其他急性肺損傷病變后,可考慮診斷為 AFOP。
AFOP 作為一種組織學類型,已獲得了美國胸科學會和歐洲呼吸學會的認可。目前關于 AFOP 是否為 ILD 的獨立病理類型尚存在爭議,有人認為 AFOP 是 DAD 或者 OP 病程中的一個變異類型,也有人認為它是特發性的 ILD[4]。在某些情況下,可以表現為特發性的病例,即使經過細致的臨床檢查,也找不出任何相關的危險因素。但它也可在以下不同的疾病中觀察到,如過敏性肺炎、感染、肺部藥物毒性、血液系統惡性腫瘤以及結締組織病等[5-7]。就如本例患者,既往有類風濕病史,近期才出現肺部病灶,且患者 ANA 譜陽性(抗核抗體 S 型 1∶6 400),在鑒別診斷時需要與類風濕性關節炎相關性間質性肺疾病、ANCA 相關性血管炎肺部表現相鑒別。
診斷 AFOP 具有一定的挑戰性。影像學表現常不具備特異性,且表現多樣,最常表現為累及雙肺的彌漫浸潤性病變,呈雙肺彌漫斑片狀實變陰影改變,雙側肺底多見,也可見單側結節狀實變陰影[2]。AFOP 容易與其他肺部疾病混淆(如肺水腫、感染性肺炎、肺部淋巴瘤等)[8]。急性起病的 AFOP 影像學表現類似于 DAD,包括集中于雙肺基底部的彌漫性磨玻璃影。而亞急性起病患者的影像學表現類似 OP,包括局灶性和彌漫性肺實變[9]。本例患者即為亞急性起病,肺部 CT 可見雙肺彌漫性磨玻璃影演變為肺實變。
AFOP 的臨床表現缺乏特異性,包括進行性加重的呼吸困難、發熱、咳嗽、胸痛、全身乏力等,可呈急性或亞急性起病。AFOP 臨床轉歸與起病方式直接相關,Beasley 等[1]報道 AFOP 總死亡率在 50% 左右。急性起病的患者臨床表現與 DAD 類似,主要為進行性加重的呼吸困難,30% 急性起病者需要機械通氣,但需要機械通氣的患者死亡率為 100%,是否需要機械通氣是判斷 AFOP 預后的唯一因素。亞急性起病的患者在臨床表現、影像學表現及療效方面與隱源性機化性肺炎類似,對糖皮質激素治療反應較好,預后也與隱源性機化性肺炎類似。本例患者呈亞急性起病,經糖皮質激素治療后臨床表現及影像學表現迅速緩解。
在已報道確診為 AFOP 的病例中,診斷主要依賴于纖維支氣管鏡活檢、經皮肺穿刺活檢、胸腔鏡或開胸肺活檢[5]。然而,與支氣管鏡活檢和肺穿刺活檢相比,開胸肺活檢是創傷及風險較大的檢查,需要綜合考慮多方面的因素。AFOP 作為特征性組織形態學改變在間質性肺病的鑒別診斷必需的,但能否作為獨立的病理診斷還存在很多問題。由于 AFOP 的病理鏡下所見纖維素球形改變可與急性肺損傷、膿腫、肉芽腫、腫瘤等并存,且 AFOP 常見合并于其他如結締組織病、肺部感染等疾病,因此不能僅僅根據病理和臨床表現就單純的確定診斷,這樣可能會忽視未取材到的重要病變如結核、膿腫甚至腫瘤等[10]。若患者同時存在癥狀不典型的結締組織病、感染等疾病,也可能被掩蓋于 AFOP 的診斷中,導致病情的延誤[10]。
AFOP 的理想治療方案尚未統一。在以往的病例報道中,患者使用過抗生素、糖皮質激素和免疫抑制劑(霉酚酸酯、硫唑嘌呤和環磷酰胺)治療,且均有不同的反應[8]。文獻報道過的案例中最成功的是糖皮質激素,Aktar 等[11]推薦甲基潑尼松龍 60 mg,q6h~q8h,維持 5 d,然后減量到 40 mg/d,維持 3 個月。其他治療方案包括甲基潑尼松龍 0.5~1 mg/kg,qd,靜脈注射,逐漸過度到潑尼松 0.5~1 mg/kg,然后逐漸減量。治療的時間根據患者的臨床表現和潛在病因調整。有些患者在治療數月后基本痊愈,有些患者在激素減量或不依從治療的過程中會出現癥狀的反彈,而重新恢復高劑量的激素后癥狀又可得到改善[5]。
本例患者為類風濕性關節炎合并 AFOP,臨床較為罕見。這例患者的診斷和治療經過提示:對發熱和影像學表現為肺部實變影的疑診社區獲得性肺炎患者,抗生素無效時,臨床醫生在鑒別診斷時,需要排除 AFOP 的可能;選擇合適的肺活檢及組織病理學檢查是明確診斷的關鍵。
急性纖維素性機化性肺炎(acute fibrinous and organizing pneumonia,AFOP)是間質性肺炎的一種罕見病理類型,于 2002 年由 Beasley 等[1]通過對 17 例急性/亞急性肺損傷患者進行研究而首次提出。AFOP 的組織學特征為肺泡腔內多量纖維素沉積并形成均質嗜酸性的纖維素球,受累肺泡的肺泡間隔內可見急、慢性炎癥細胞或少量嗜酸性粒細胞浸潤,肺泡間隔可增寬,伴Ⅱ型肺泡上皮增生,病變之間的肺組織基本正常[1]。AFOP 可以是特發性,也可以繼發于感染、結締組織疾病、環境暴露、藥物不良反應和造血干細胞移植后等[2]。以往的文獻已報道多例與結締組織疾病相關的 AFOP,包括如膠原血管病、多發性肌炎、纖維肌痛病、青少年皮肌炎、系統性紅斑狼瘡、未分類結締組織病、過敏性肺炎等[2],亦有報道與干燥綜合征相關[3],但與類風濕性關節炎相關的 AFOP 報道罕見。本例 AFOP 合并類風濕性關節炎診斷明確,療效良好,特報道以供同道借鑒。
臨床資料 患者男性,47 歲,木工,因“反復咳嗽 2 個月余,加重伴發熱 12 d”于 2017 年 3 月 15 日入院。既往有“類風濕性關節炎”病史 8 年余,不正規服用潑尼松治療約 3 年,已停藥 2 年。患者自述 2017 年 1 月開始無明顯誘因出現間斷咳嗽,夜間咳嗽顯著,咳少量黃痰,偶有痰中帶血,一直未予以重視。3 月 4 日晚上出現發熱,且咳嗽癥狀加重,伴胸悶、氣促,自行服用“999 感冒沖劑”后癥狀無緩解。次日在當地診所治療,給予靜脈注射“頭孢曲松鈉、清開靈”后,于當天晚上出現腹瀉,為稀水樣便,次數大于 10 次/d,且發熱癥狀未得緩解,咳嗽、氣促癥狀進一步加重,并出現黃疸。3 月 6 日轉至贛州市第五人民醫院就診,完善相關檢查。實驗室檢查:血常規示白細胞 6.11×109/L,中性粒細胞百分比 91%,血紅蛋白 88 g/L,血小板 6×109/L;總膽紅素 192.9 μmol/L,直接膽紅素187.4 μmol/L,間接膽紅素 5.5 μmol/L;肌酐65.8 μmol/L;N 端前腦納肽 2 240 pg/ml;C 反應蛋白 120.19 mg/L,類風濕因子 200.7 IU/ml。胸部 CT 示“兩肺片狀、斑片狀密度增高影,邊緣模糊,部分病灶內見空氣支氣管征”(圖 1)。考慮“重癥肺炎”可能,予靜脈滴注亞胺培南 1.0 g q8h,伏立康唑 0.3 g q12h,同時予以護肝,輸注血小板、血漿,補充白蛋白等對癥支持治療。3 d 后患者仍有咳嗽,以干咳為主,伴氣促,活動后明顯,鼻導管給氧(2~3 L/min)后指脈氧飽和度(SpO2)可維持在 92%~95%,體溫在 37.5~38.8 ℃。3 月 8 日復查胸部 CT 示兩肺病灶增多(圖 2)。將亞胺培南改為 1.0 g q6h,同時加上鹽酸莫西沙星 0.4 g qd 抗感染,帕拉米韋+奧司他韋抗病毒,甲基潑尼松龍(米樂松)40 mg qd 調節免疫。住院期間不間斷對痰液標本行細菌、真菌培養,但未找到異常菌群,H7N9 核酸 PCR 檢測亦呈陰性,遂停用抗病毒藥物,3 月 12 日停用甲基潑尼松龍。患者仍持續發熱,體溫仍波動于 37.5~38.8 ℃,咳嗽加重,干咳為主,期間多次復查血常規中性粒細胞百分比均在 90% 左右。家屬為求進一步診治,轉入南昌大學第二附屬醫院。自發病以來,患者飲食欠佳,睡眠尚可,小便正常,體重在 3 個月內下降約 5 kg。
體格檢查:體溫 36.0 ℃,脈搏 83 次/min,呼吸 22 次/min,血壓 125/85 mm Hg(1 mm Hg=0.133 kPa),SpO2 95%(鼻導管 2 L/min)。神清,皮膚鞏膜黃染,兩肺呼吸音粗,右下肺呼吸音稍弱,未聞及明顯干濕性啰音。心率 83 次/min,律齊,可聞及早搏。腹平軟,無壓痛,雙手第一掌指關節畸形腫脹,無壓痛,活動正常。雙下肢輕度水腫。
入院后完善常規檢查,流行性出血熱病毒抗體(–)、肥達氏反應(–)、ANA 譜(抗核抗體 S 型 1∶6 400)、ANA3 譜(–)、ANCA 譜(–),支氣管肺泡灌洗液細菌培養(–)、GM 試驗(–)、真菌培養(白色念珠菌)。
結合臨床表現和影像學(圖 3),考慮肺部繼發性真菌感染,不能完全排外合并淋巴瘤肺浸潤可能。征得家屬同意后,予以米卡芬凈抗真菌治療,并行經皮肺穿刺活檢。活檢病理(圖 4)提示肺泡上皮增生,肺泡間隔增寬,血管擴張,慢性炎細胞浸潤,肺泡腔內見纖維素性栓子,考慮機化性肺炎;特殊染色:PAS(–)、PASM(–)、抗酸染色(–)。綜合臨床表現、影像及病理,病變符合 AFOP 的診斷。活檢后立即給予甲基潑尼松龍40 mg/d。患者呼吸困難逐漸好轉體溫降至正常,血氣分析恢復正常。1 周后復查胸部 CT 提示病變較前明顯好轉。出院后使用甲基潑尼松龍 40 mg/d 維持治療。出院后 4 周復查胸部 CT 示病灶明顯吸收(圖 5)。隨訪至撰稿日,患者未見復發。
圖1
2017 年 3 月 6 日發病初期胸部 CT 檢查像
兩肺各葉見斑片狀、云絮狀密度增高影,邊緣模糊,部分病灶內見空氣支氣管征
圖2
2017 年 3 月 8 日胸部 CT 檢查像
與 3 月 6 日 CT 結果對比,右肺中下葉病灶較前增濃,余同前
圖3
2017 年 3 月 19 日胸部 CT 檢查像
兩肺見團片狀不均勻實變影,其間見空氣支氣管征,所見各支氣管通暢
圖4
經皮肺穿刺活檢病理檢查像(HE ×200)
肺泡上皮增生,肺泡間隔增寬,血管擴張,慢性炎細胞浸潤,肺泡腔內見纖維素性栓子
圖5
2017 年 5 月 1 日胸部 CT 檢查像
與以往的 CT 檢查像相比,兩肺病灶明顯吸收好轉、密度減淡,部分已消散
討論 本例患者有類風濕病史 8 年,反復咳嗽、咳痰 2 個月余,并出現一過性的心、肝、腎等多器官功能損害,胸部 CT 表現為雙肺彌漫性浸潤影。在整個疾病的診療過程中,根據臨床表現及影像學,最初考慮細菌合并真菌感染,但予以亞胺培南+莫西沙星+伏立康唑抗感染治療無好轉,直到最后根據病理確診為 AFOP,靜脈滴注甲基潑尼松后,患者的臨床癥狀迅速改善,之后多次復查胸部 CT 提示病灶逐漸消失。
AFOP 在 2002 年第一次由 Beasley 等[1]報道,它是間質性肺炎的一個罕見類型,與傳統彌漫性肺泡損傷(diffuse alveolar damage,DAD)、機化性肺炎(organizing pneumonia,OP)和嗜酸性粒細胞性肺炎(eosinophil pneumonia,EP)的病理改變不同,確診主要依賴組織病理學檢查。典型的 AFOP 病理學特征為肺泡腔內見典型的均質嗜酸性纖維素球伴周邊機化的疏松結締組織,類似于 OP 的病理改變,沒有透明膜形成,不伴有明顯的嗜酸性粒細胞浸潤,無肉芽腫形成。Beasley 等[1]強調 AFOP 的診斷依賴于大塊肺組織活檢標本,鏡下見大面積分布的典型纖維素球,且不伴透明膜、Masson 小體形成或多量嗜酸性粒細胞浸潤,結合臨床及影像表現充分排除 DAD、OP、EP 等其他急性肺損傷病變后,可考慮診斷為 AFOP。
AFOP 作為一種組織學類型,已獲得了美國胸科學會和歐洲呼吸學會的認可。目前關于 AFOP 是否為 ILD 的獨立病理類型尚存在爭議,有人認為 AFOP 是 DAD 或者 OP 病程中的一個變異類型,也有人認為它是特發性的 ILD[4]。在某些情況下,可以表現為特發性的病例,即使經過細致的臨床檢查,也找不出任何相關的危險因素。但它也可在以下不同的疾病中觀察到,如過敏性肺炎、感染、肺部藥物毒性、血液系統惡性腫瘤以及結締組織病等[5-7]。就如本例患者,既往有類風濕病史,近期才出現肺部病灶,且患者 ANA 譜陽性(抗核抗體 S 型 1∶6 400),在鑒別診斷時需要與類風濕性關節炎相關性間質性肺疾病、ANCA 相關性血管炎肺部表現相鑒別。
診斷 AFOP 具有一定的挑戰性。影像學表現常不具備特異性,且表現多樣,最常表現為累及雙肺的彌漫浸潤性病變,呈雙肺彌漫斑片狀實變陰影改變,雙側肺底多見,也可見單側結節狀實變陰影[2]。AFOP 容易與其他肺部疾病混淆(如肺水腫、感染性肺炎、肺部淋巴瘤等)[8]。急性起病的 AFOP 影像學表現類似于 DAD,包括集中于雙肺基底部的彌漫性磨玻璃影。而亞急性起病患者的影像學表現類似 OP,包括局灶性和彌漫性肺實變[9]。本例患者即為亞急性起病,肺部 CT 可見雙肺彌漫性磨玻璃影演變為肺實變。
AFOP 的臨床表現缺乏特異性,包括進行性加重的呼吸困難、發熱、咳嗽、胸痛、全身乏力等,可呈急性或亞急性起病。AFOP 臨床轉歸與起病方式直接相關,Beasley 等[1]報道 AFOP 總死亡率在 50% 左右。急性起病的患者臨床表現與 DAD 類似,主要為進行性加重的呼吸困難,30% 急性起病者需要機械通氣,但需要機械通氣的患者死亡率為 100%,是否需要機械通氣是判斷 AFOP 預后的唯一因素。亞急性起病的患者在臨床表現、影像學表現及療效方面與隱源性機化性肺炎類似,對糖皮質激素治療反應較好,預后也與隱源性機化性肺炎類似。本例患者呈亞急性起病,經糖皮質激素治療后臨床表現及影像學表現迅速緩解。
在已報道確診為 AFOP 的病例中,診斷主要依賴于纖維支氣管鏡活檢、經皮肺穿刺活檢、胸腔鏡或開胸肺活檢[5]。然而,與支氣管鏡活檢和肺穿刺活檢相比,開胸肺活檢是創傷及風險較大的檢查,需要綜合考慮多方面的因素。AFOP 作為特征性組織形態學改變在間質性肺病的鑒別診斷必需的,但能否作為獨立的病理診斷還存在很多問題。由于 AFOP 的病理鏡下所見纖維素球形改變可與急性肺損傷、膿腫、肉芽腫、腫瘤等并存,且 AFOP 常見合并于其他如結締組織病、肺部感染等疾病,因此不能僅僅根據病理和臨床表現就單純的確定診斷,這樣可能會忽視未取材到的重要病變如結核、膿腫甚至腫瘤等[10]。若患者同時存在癥狀不典型的結締組織病、感染等疾病,也可能被掩蓋于 AFOP 的診斷中,導致病情的延誤[10]。
AFOP 的理想治療方案尚未統一。在以往的病例報道中,患者使用過抗生素、糖皮質激素和免疫抑制劑(霉酚酸酯、硫唑嘌呤和環磷酰胺)治療,且均有不同的反應[8]。文獻報道過的案例中最成功的是糖皮質激素,Aktar 等[11]推薦甲基潑尼松龍 60 mg,q6h~q8h,維持 5 d,然后減量到 40 mg/d,維持 3 個月。其他治療方案包括甲基潑尼松龍 0.5~1 mg/kg,qd,靜脈注射,逐漸過度到潑尼松 0.5~1 mg/kg,然后逐漸減量。治療的時間根據患者的臨床表現和潛在病因調整。有些患者在治療數月后基本痊愈,有些患者在激素減量或不依從治療的過程中會出現癥狀的反彈,而重新恢復高劑量的激素后癥狀又可得到改善[5]。
本例患者為類風濕性關節炎合并 AFOP,臨床較為罕見。這例患者的診斷和治療經過提示:對發熱和影像學表現為肺部實變影的疑診社區獲得性肺炎患者,抗生素無效時,臨床醫生在鑒別診斷時,需要排除 AFOP 的可能;選擇合適的肺活檢及組織病理學檢查是明確診斷的關鍵。

