引用本文: 吳常明, 邱躍靈, 殷建團, 黃舒, 林炳棋. 肺炎克雷伯菌肝膿腫并膿毒性肺栓塞的臨床特點、影像學特征及治療預后分析. 中國呼吸與危重監護雜志, 2017, 16(6): 599-605. doi: 10.7507/1671-6205.201705012 復制
肺炎克雷伯菌肝膿腫(Klebsiella pneumoniae liver abscess,KPLA)作為嚴重的社區獲得性感染逐漸被臨床醫師及科研學者關注。病原菌往往為高毒力肺炎克雷伯菌(hypervirulent Klebsiella pneumoniae,hvKP),Siu 等[1]甚至認為由 hvKP 導致的肝膿腫是一種新的侵襲感染性疾病,常引起感染性眼內炎、顱內感染、壞死性筋膜炎等。而 KPLA 并膿毒性肺栓塞(septic pulmonary embolism,SPE)卻少有報道。臨床醫師對本病認識不足,常導致診治延誤。為了進一步加強對肺炎克雷伯菌肝膿腫并膿毒性肺栓塞(SPE-KPLA)的認識,現將我院 5 年來收治 8 例 SPE-KPLA 患者的臨床特點、影像特征及治療預后結果分析如下。
1 資料與方法
1.1 臨床資料
回顧性分析廈門大學醫學院附屬東南醫院 2012 年 1 月至 2017 年 1 月資料完整并明確診斷的 8 例 SPE-KPLA 患者的臨床資料。參照 Chang 等[2]及 Chou 等[3]研究報道并結合本組臨床資料,SPE-KPLA 診斷標準如下:(1)腹部 CT 提示肝內膿腫(單發或多發);(2)靜脈血或肝膿腫穿刺膿液培養出肺炎克雷伯菌;(3)患者呈膿毒癥反應;(4)符合 SPE 診斷。其中,SPE 依據 Cook 等[4]報道診斷需滿足以下條件:(1)兩肺單發或多發近胸膜處結節狀(團塊狀)或片狀浸潤影,部分呈楔形;(2)肺外感染病灶 KPLA 作為膿毒性栓子唯一來源;(3)需排除其他原因引起的肺內浸潤影;(4)正確合適抗生素使用后肺內浸潤影可吸收好轉。排除標準:(1)肺外感染灶除肝膿腫外,存在其他部位(如皮膚軟組織等)感染;(2)培養出除肺炎克雷伯菌之外其他病原微生物;(3)年齡<14 歲。
1.2 方法
依據我院電子病歷及病案系統對所有納入研究對象整理其詳盡住院病歷和門診隨訪資料。據住院資料收集既往史、臨床癥狀及體征、實驗室檢查、影像學表現(胸部及腹部 CT)、微生物培養結果、治療方案及結果,并予出院后門診隨訪。對納入病例進行編號,依次為患者 ① 至患者 ⑧。隨訪內容包括好轉出院后有無出現新的并發癥,或再發 SPE,目前生活質量情況。最短隨訪時間 6 個月,最長 5 年。降鈣素原(procalcitonin,PCT)測定采用羅氏公司全自動電化學發光免疫分析儀與專用原裝試劑盒進行定量測定,試劑盒推薦 PCT 陽性臨界值為0.046 μg/L,并按照要求進行定標及質控實驗。胸部及腹部 CT 掃描采用 320 層 640 排螺旋 CT 檢查(日本東芝公司),影像結果由 2 位具有豐富經驗的影像診斷醫師進行重新判讀。
2 結果
2.1 一般臨床資料
本組 8 例 SPE-KPLA 患者,其中男 7 例,女 1 例;主訴中 6 例“高熱”,1 例“上腹疼痛”,1 例“意識不清”;入院前發病時間為 4~14 d,平均(8.1±3.4)d;首診中 6 例急診科,2 例普通門診;收治科室內分泌科 4 例,普外科 2 例,呼吸內科 1 例,腎病科 1 例;確診年齡 32~69 歲,平均(50±12)歲;2 型糖尿病 7 例。所有患者均出現發熱,最高體溫 38.3~41.4 ℃,平均(39.7±0.8)℃。咳嗽、咳痰 5 例(62.5%),呼吸急促 2 例(25.0%),無咯血,無胸痛。查體僅 2 例(25.0%)右上腹部壓痛,1 例(12.5%)肺部聽診聞及濕啰音。入院時呼吸頻率>25 次/min 3 例(37.5%),心率>100 次/min 4 例(50.0%),收縮壓<90 mm Hg(1 mm Hg= 0.133 kPa)2 例(25.0%)。8 例患者雙下肢深靜脈彩超檢查均未發現靜脈血栓。結果見表 1。
2.2 實驗室檢查結果
血常規:WBC 升高 6 例,(13.1~55.9)×109/L,平均(26.4±15.6)×109/L;WBC 減少 2 例,(1.1~1.5)×109/L;PLT 降低 3 例,(16~89)×109/L,平均(55.6±36.9)×109/L;余正常。C 反應蛋白(C reactive protein,CRP)均升高,130~250 mg/L,平均(192.5±42.3)mg/L。PCT 在 3 例測得,均極高,47.1~94.1 ng/ml,平均(76.2±25.8)ng/ml。肝功能:谷丙轉氨酶(alanine transaminase,ALT)升高 6 例,71.0~350.0 U/L,平均(141.1±105.1)U/L;谷草轉氨酶(aspartate transaminase,AST)升高 6 例,25.9~439 U/L,平均(110.5±137.6)U/L;堿性磷酸酶(alkaline phosphatase,ALP)在 3 例測得,均升高,148.7~398.0 U/L,平均(235.9±140.4)U/L。腎功能:肌酐(creatinine,Cr)僅 1 例輕微升高。糖化血紅蛋白(hemoglobin A1c,HbA1c)升高 7 例,11.0%~15.9%,平均(12.9±2.0)%;靜脈血糖升高 7 例,16.6~53.3 mmol/L,平均(26.9±13.2)mmol/L。血糖升高患者測得血酮體均陽性。6 例患者行血氣分析,PO2 降低 2 例,47.1~68.8 mm Hg;PCO2 降低 6 例,9.4~34.9 mm Hg;SpO2 明顯下降 1 例,為 85.9%。結果見表 1。

2.3 細菌培養結果
8 例 SPE-KPLA 患者血標本 8 例,肝穿刺膿液標本 7 例,合格痰標本 3 例。其中血培養陽性 6 例(75.0%),膿液培養陽性 5 例(5/8,62.5%),痰培養陽性 1 例(1/3,33.3%)。8 例患者僅血培養陽性 3 例,僅膿液培養陽性 2 例,血培養及膿液均陽性 2 例,血液、膿液、痰均陽性 1 例。藥敏結果見表 2。

2.4 胸部及肝臟 CT 影像
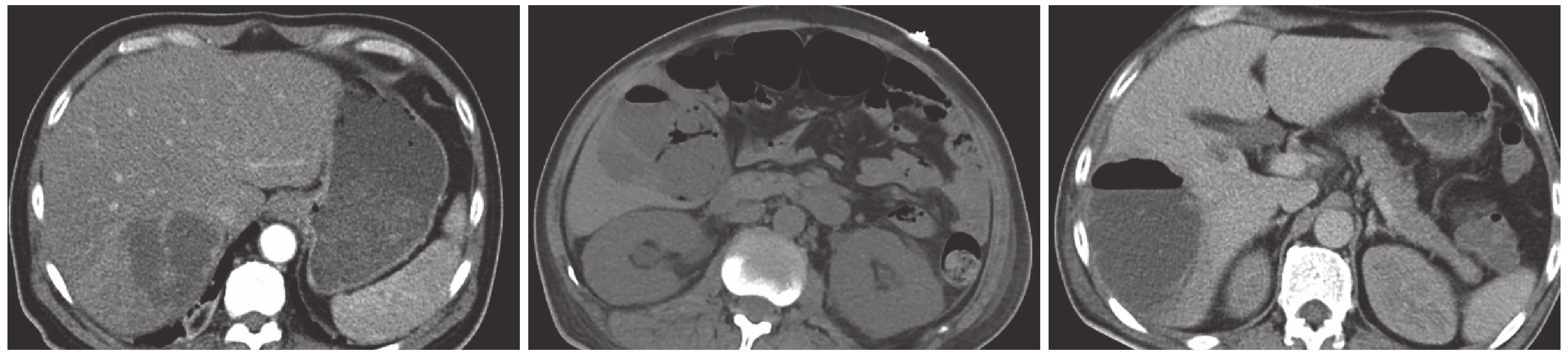
胸部 CT 檢查影像表現:結節影或伴空洞的結節影 8 例(100.0%)(結節直徑≤3 cm,并且大部分近胸膜處,圖 1a),滋養血管征 4 例(50.0%,圖 1b),近胸膜處楔形浸潤影 5 例(62.5%,圖 1c),反暈征 1 例(圖 1d),斑片狀浸潤影 3 例(37.5%,圖 1e),胸腔積液 7 例(87.5%,均為雙側積液),肺外浸潤影 1 例(12.5%,圖 1f),無淋巴結腫大影。8 例患者均經肝臟 CT 檢查(圖 2),2 例增強 CT。肝膿腫直徑 1.9~10.2 cm,平均(5.9±2.4)cm;伴空洞影 4 例。其中單發肝膿腫 5 例,多發肝膿腫 3 例。病變部位:肝右葉 7 例,肝下極 1 例。


2.5 治療及預后
有效抗感染方案為碳青霉烯類 3 例(亞胺培南西司他丁 2 例、美羅培南 1 例),三代頭孢 5 例(頭孢哌酮鈉舒巴坦鈉 2 例、頭孢噻肟鈉舒巴坦鈉 2 例、頭孢他定 1 例);其中 4 例聯合使用抗生素(奧硝唑 2 例、左氧氟沙星 2 例)。彩超引導下肝膿腫穿刺引流并置管沖洗 7 例,沖洗天數 4~20 d,平均(12.4±5.1)d。8 例患者均未行抗凝或溶栓治療。治療期間病情加重轉入重癥醫學科 3 例。結果因經濟及其他原因自動出院 1 例,死亡 1 例,好轉 6 例。住院時間 4~40 d,平均(22.5±12.3)d。電話隨訪 6 例,未見復發情況。臨床特點、影像特征及治療預后見表 1。
2.6 典型病例
患者,男,43 歲。因“發熱 1 周,呼吸急促 10 h”于 2015 年 10 月 5 日入院。1 周前出現發熱、畏寒,最高體溫 39.5 ℃;無明顯咳嗽、咳痰,無腹痛等不適。患者就診廣東某縣醫院,診斷“肺部感染”,予輸液治療后癥狀無好轉。10 h 前開始出現活動后呼吸困難,明顯氣促,伴咳嗽、咳痰。就診于當地醫院,胸部 X 線檢查提示肺部感染,因考慮病情危重轉診我院急診科,并入住內分泌科。入院查體:體溫 39.1 ℃,脈搏 146 次/min,呼吸 34 次/min,血壓 96/70 mm Hg。神志欠清,躁動不安,呼吸急促,雙肺呼吸音粗,可聞及濕性啰音。心律齊,腹部平坦,無壓痛、反跳痛,肝脾肋下未觸及,腸鳴音 4 次/min,雙下肢無浮腫。血常規:WBC 23.8×109/L、NEU 21.2×109/L、Hb 138 g/L、PLT 480×109/L。CRP>220 mg/L。凝血功能:PT 18.7 s、APTT 61.6 s、FIB 5.7 g/L,INR 1.6。葡萄糖 34.3 mmol/L;血酮體陽性;電解質:K+ 5.1 mmol/L、Na+ 129.9 mmol/L;肝腎功能:UREA 6.7 mmol/L、Cr 117.9 μmol/L,ALT 95.0 U/L,AST 104.2 U/L,ALB 37.5 g/L,T-BIL 10.5 μmol/L。
初步主要診斷:(1)糖尿病酮癥酸中毒;(2)2 型糖尿病;(3)肺部感染;(4)感染性休克?(5)電解質紊亂。考慮患者病情危重,請重癥醫學科會診后轉入 ICU 病房。轉入后患者出現急性呼吸窘迫綜合征。血氣分析:PO2 47.1 mm Hg,PCO2 12.4 mm Hg,pH7.21,SpO2 85.9%。予經鼻氣管插管接呼吸機輔助通氣同時美羅培南(1.0 g q8h)聯合萬古霉素(1.0 g q12h)抗細菌,及伏立康唑注射液(0.2 g q12h)抗真菌。2015 年 10 月 8 日進一步相關檢查結果:PCT 96.3 ng/ml,CRP>210 mg/L,支氣管鏡刷檢痰培養示肺炎克雷伯菌,藥敏結果見表 2 患者 ⑧。10 月 9 日血培養同樣為肺炎克雷伯菌(藥敏相同),胸部 CT 提示兩肺大片狀高密度影,部分實變,以兩下肺為著,兩肺多發大小不等薄壁空洞,呈“蜂窩狀”改變,右側少量胸腔積液(圖 3)。上腹部增強 CT:肝內多發不規則囊實性病灶,較大者范圍約 102 mm×98 mm,邊界欠清,CT 值約 10~23 HU,內有氣體密度影,多發分隔,增強掃描示分隔輕度強化。
修正診斷:(1)SPE-KPLA;(2)膿毒血癥;(3)感染性休克;(4)2 型糖尿病;(5)余同前。調整治療方案,停用伏立康唑及萬古霉素,繼續呼吸機輔助通氣,美羅培南(1.0 g q8h),加用阿米卡星(400 mg qd);彩超引導下對肝膿腫行經皮穿刺豬尾巴導管置管引流及沖洗。9 d 后患者癥狀較前明顯好轉,順利脫機并轉入呼吸內科繼續美羅培南及阿米卡星治療(共 20 d)后治愈出院。2015 年 12 月 14 日返院復查胸部 CT 提示兩肺病變及胸腔積液較前基本吸收(圖 4)。


3 討論
SPE 與靜脈血栓引起的肺栓塞有所不同。SPE 相關原發疾病往往為感染性心內膜炎、靜脈藥癮、栓塞性靜脈炎(盆腔)、牙周感染、中心靜脈導管植入等。我國報道 SPE 多與感染性心內膜炎相關[5-7],感染病原菌主要以 G+ 球菌中的金黃色葡萄球菌為主。而關于肝膿腫合并 SPE 報道不多,從 PubMed 數據庫共檢索到 6 篇文獻報道,其中 2 篇為個案報道[8-9],4 篇為回顧性臨床資料研究分析[2-3, 10-11];從中國期刊全文數據庫、萬方數據庫檢索,未見中文報道。PubMed 數據庫報道的病例均來自亞洲,分別為中國和日本。有學者提出 SPE-KPLA 好發于亞裔人群患 2 型糖尿病血糖控制較差人群[10];感染細菌較前不同,主要是 G– 桿菌中的 hvKP[2-3, 10]。
3.1 臨床特征及實驗室檢查
SPE-KPLA 好發于男性,本組資料中男性占 87.5%,與 Yang 等[10]報道 77.8%、Chang 等[2]報道 95.2%、Chou 等[3]報道 71.4% 接近,以中老年患者為主。癥狀主要為發熱,且為高熱,伴咳嗽、咳痰,但不嚴重,故患者早期在社區醫院或診所易被診斷為普通感冒而延誤診治。本組資料中 2 例出現呼吸急促,2 例血壓下降(感染性休克);4 例患者因血糖高酮體陽性誤收治內分泌科;感染指標中以 PCT 升高最為顯著,這與膿毒癥所致 PCT 升高相符合[12],但 PCT 水平遠遠大于膿毒癥標準[13];白細胞和 CRP 也明顯升高。肝功能測定 ALT、AST 部分升高,比正常值高 2~3 倍;另外,ALP 升高明顯,均提示肝臟受損,為非特異性指標;HbA1c 及血糖均明顯升高并酮體陽性,提示 SPE-KPLA好發于 2 型糖尿病中血糖控制較差患者。
3.2 病原微生物特征
普通肺炎克雷伯菌是引起肺炎、尿路感染、血流感染等的常見病原菌,很少引起侵襲性感染。而 SPE-KPLA 病原菌為 hvKP,極易引起侵襲性全身感染[1]。SPE-KPLA 血培養陽性率最高,本組 6 例(75.0%)血培養陽性,這與 Yang 等[10]報道 55.5% 患者血培養陽性相似。其次,肝膿腫膿液培養陽性率同樣較高,而痰培養陽性率較低。除 SPE 外,患者常常合并眼內炎、中樞系統感染等。本組資料中 1 例同時合并眼內炎,該患者最終死亡,提示預后不良。hvKP 毒力的物質基礎可能如下:K 抗原被認為是肺炎克雷伯菌主要毒力組成成分[1]。根據 K 抗原可將肺炎克雷伯菌分為 78 種莢膜血清型,其中毒力最強的莢膜血清型為 K1。肺炎克雷伯菌鐵載體和 Kfu 蛋白使其在腸道中具有較強的攝鐵能力,大大增強了 hvKP 在腸道中的定植能力。目前高毒力測定簡易方法為拉絲實驗陽性(肺炎克雷伯菌落黏液絲長度>5 cm)。黏液表型調控基因 A(rmpA)調控 hvKP 莢膜多糖,及黏液相關基因 A(magA)也與莢膜合成相關。故 rmpA 及 magA 基因和細菌致病能力相關。本組資料 8 例培養出的肺炎克雷伯菌中,氨芐西林耐藥率達 62.5%,哌拉西林耐藥率達 37.5%,頭孢菌素(二代及三代)、氨基糖苷類、碳青霉烯類、喹諾酮類均敏感。從治療效果看建議三代頭孢為首選抗生素。目前 hvKP 耐藥報道極少,仍須做好有效的控制措施,以免出現類似 MRSA 一樣的超級細菌。吳華等[14]和 Liu 等[15]報道了產碳青霉烯酶的 K1 和 K2 型 hvKP,耐藥菌的出現會給治療帶來很大的困難,應引起大家的重視。
3.3 影像學特征
SPE-KPLA 患者胸部 CT 特征性影像為:(1)近胸膜處多發結節影(或伴空洞)(本組患者全部出現);(2)近胸膜處楔形浸潤影;(3)滋養血管征。本組患者與 Yang 等[10]報道的 9 例患者均出現兩肺外周邊界模糊圓形結節影相一致。另外,胸部 CT 還可出現斑片狀浸潤影(嚴重病例斑片浸潤與結節影相互融合成大片實變影)、雙側胸腔積液、暈征和反暈征、肺外浸潤影(如眼內炎)。本組中 1 例患者頭顱 CT 提示左眼瞼軟組織腫脹,Yang 等[10]報道的 9 例患者中 3 例出現眼內炎。肝臟 CT 檢查示肝膿腫往往多伴空洞影(本組占 50%),Lee 等[16]曾提及產氣肝膿腫死亡率較高。單發肝膿腫多見(62.5%),發生部位以肝右葉(87.5%)多見。
3.4 診斷標準、治療及預后
SPE-KPLA 診斷標準主要參照 Chang 等[2]及 Chou 等[3]的方法。目前的研究資料提示本病診斷中肺動脈 CT 血管造影并非必須檢查項目。治療主要包括抗感染治療以及肝膿腫穿刺置管引流。這與靜脈血栓引起的肺栓塞以抗凝為主的治療方案有差別。本組 8 例患者均未行抗凝治療。既往研究學者指出 hvKP 除對氨芐西林、哌拉西林高耐藥外,余大多數抗生素仍敏感[14, 17-18]。本組 8 例患者體外藥敏提示氨芐西林多數耐藥,哌拉西林部分耐藥,與上述報道相符。8 例患者有效抗生素至少為三代頭孢(多數為加酶抑制劑)或碳青霉烯類,這與文獻[17, 19]指出首選抗生素為三代頭孢相一致。此外,及時發現肝膿腫并盡早穿刺置管引流膿液對本病預后非常重要[20-22]。本組患者發現肝膿腫的平均時間為 3.2 d,均行豬尾巴管穿刺引流。本病預后差,如未及時診斷和治療往往導致嚴重的后果,本組 8 例患者中 1 例死亡,1 例自動出院,6 例好轉治愈。如能及時診斷及治療,預后往往可改善。
雖然 SPE 近年來為大家逐漸熟悉,但 SPE-KPLA 與其他原因相關的 SPE(如感染性心內膜炎、靜脈藥癮、栓塞性靜脈炎等)病原菌存在區別,經驗性抗感染藥物的選擇不同。SPE-KPLA 少見且預后兇險,臨床癥狀及體征無顯著特點。臨床醫師對SPE-KPLA 認識存在缺陷,往往延誤診治而危及生命,提高對本疾病的認識有助于 SPE-KPLA 的診治。
肺炎克雷伯菌肝膿腫(Klebsiella pneumoniae liver abscess,KPLA)作為嚴重的社區獲得性感染逐漸被臨床醫師及科研學者關注。病原菌往往為高毒力肺炎克雷伯菌(hypervirulent Klebsiella pneumoniae,hvKP),Siu 等[1]甚至認為由 hvKP 導致的肝膿腫是一種新的侵襲感染性疾病,常引起感染性眼內炎、顱內感染、壞死性筋膜炎等。而 KPLA 并膿毒性肺栓塞(septic pulmonary embolism,SPE)卻少有報道。臨床醫師對本病認識不足,常導致診治延誤。為了進一步加強對肺炎克雷伯菌肝膿腫并膿毒性肺栓塞(SPE-KPLA)的認識,現將我院 5 年來收治 8 例 SPE-KPLA 患者的臨床特點、影像特征及治療預后結果分析如下。
1 資料與方法
1.1 臨床資料
回顧性分析廈門大學醫學院附屬東南醫院 2012 年 1 月至 2017 年 1 月資料完整并明確診斷的 8 例 SPE-KPLA 患者的臨床資料。參照 Chang 等[2]及 Chou 等[3]研究報道并結合本組臨床資料,SPE-KPLA 診斷標準如下:(1)腹部 CT 提示肝內膿腫(單發或多發);(2)靜脈血或肝膿腫穿刺膿液培養出肺炎克雷伯菌;(3)患者呈膿毒癥反應;(4)符合 SPE 診斷。其中,SPE 依據 Cook 等[4]報道診斷需滿足以下條件:(1)兩肺單發或多發近胸膜處結節狀(團塊狀)或片狀浸潤影,部分呈楔形;(2)肺外感染病灶 KPLA 作為膿毒性栓子唯一來源;(3)需排除其他原因引起的肺內浸潤影;(4)正確合適抗生素使用后肺內浸潤影可吸收好轉。排除標準:(1)肺外感染灶除肝膿腫外,存在其他部位(如皮膚軟組織等)感染;(2)培養出除肺炎克雷伯菌之外其他病原微生物;(3)年齡<14 歲。
1.2 方法
依據我院電子病歷及病案系統對所有納入研究對象整理其詳盡住院病歷和門診隨訪資料。據住院資料收集既往史、臨床癥狀及體征、實驗室檢查、影像學表現(胸部及腹部 CT)、微生物培養結果、治療方案及結果,并予出院后門診隨訪。對納入病例進行編號,依次為患者 ① 至患者 ⑧。隨訪內容包括好轉出院后有無出現新的并發癥,或再發 SPE,目前生活質量情況。最短隨訪時間 6 個月,最長 5 年。降鈣素原(procalcitonin,PCT)測定采用羅氏公司全自動電化學發光免疫分析儀與專用原裝試劑盒進行定量測定,試劑盒推薦 PCT 陽性臨界值為0.046 μg/L,并按照要求進行定標及質控實驗。胸部及腹部 CT 掃描采用 320 層 640 排螺旋 CT 檢查(日本東芝公司),影像結果由 2 位具有豐富經驗的影像診斷醫師進行重新判讀。
2 結果
2.1 一般臨床資料
本組 8 例 SPE-KPLA 患者,其中男 7 例,女 1 例;主訴中 6 例“高熱”,1 例“上腹疼痛”,1 例“意識不清”;入院前發病時間為 4~14 d,平均(8.1±3.4)d;首診中 6 例急診科,2 例普通門診;收治科室內分泌科 4 例,普外科 2 例,呼吸內科 1 例,腎病科 1 例;確診年齡 32~69 歲,平均(50±12)歲;2 型糖尿病 7 例。所有患者均出現發熱,最高體溫 38.3~41.4 ℃,平均(39.7±0.8)℃。咳嗽、咳痰 5 例(62.5%),呼吸急促 2 例(25.0%),無咯血,無胸痛。查體僅 2 例(25.0%)右上腹部壓痛,1 例(12.5%)肺部聽診聞及濕啰音。入院時呼吸頻率>25 次/min 3 例(37.5%),心率>100 次/min 4 例(50.0%),收縮壓<90 mm Hg(1 mm Hg= 0.133 kPa)2 例(25.0%)。8 例患者雙下肢深靜脈彩超檢查均未發現靜脈血栓。結果見表 1。
2.2 實驗室檢查結果
血常規:WBC 升高 6 例,(13.1~55.9)×109/L,平均(26.4±15.6)×109/L;WBC 減少 2 例,(1.1~1.5)×109/L;PLT 降低 3 例,(16~89)×109/L,平均(55.6±36.9)×109/L;余正常。C 反應蛋白(C reactive protein,CRP)均升高,130~250 mg/L,平均(192.5±42.3)mg/L。PCT 在 3 例測得,均極高,47.1~94.1 ng/ml,平均(76.2±25.8)ng/ml。肝功能:谷丙轉氨酶(alanine transaminase,ALT)升高 6 例,71.0~350.0 U/L,平均(141.1±105.1)U/L;谷草轉氨酶(aspartate transaminase,AST)升高 6 例,25.9~439 U/L,平均(110.5±137.6)U/L;堿性磷酸酶(alkaline phosphatase,ALP)在 3 例測得,均升高,148.7~398.0 U/L,平均(235.9±140.4)U/L。腎功能:肌酐(creatinine,Cr)僅 1 例輕微升高。糖化血紅蛋白(hemoglobin A1c,HbA1c)升高 7 例,11.0%~15.9%,平均(12.9±2.0)%;靜脈血糖升高 7 例,16.6~53.3 mmol/L,平均(26.9±13.2)mmol/L。血糖升高患者測得血酮體均陽性。6 例患者行血氣分析,PO2 降低 2 例,47.1~68.8 mm Hg;PCO2 降低 6 例,9.4~34.9 mm Hg;SpO2 明顯下降 1 例,為 85.9%。結果見表 1。

2.3 細菌培養結果
8 例 SPE-KPLA 患者血標本 8 例,肝穿刺膿液標本 7 例,合格痰標本 3 例。其中血培養陽性 6 例(75.0%),膿液培養陽性 5 例(5/8,62.5%),痰培養陽性 1 例(1/3,33.3%)。8 例患者僅血培養陽性 3 例,僅膿液培養陽性 2 例,血培養及膿液均陽性 2 例,血液、膿液、痰均陽性 1 例。藥敏結果見表 2。

2.4 胸部及肝臟 CT 影像
胸部 CT 檢查影像表現:結節影或伴空洞的結節影 8 例(100.0%)(結節直徑≤3 cm,并且大部分近胸膜處,圖 1a),滋養血管征 4 例(50.0%,圖 1b),近胸膜處楔形浸潤影 5 例(62.5%,圖 1c),反暈征 1 例(圖 1d),斑片狀浸潤影 3 例(37.5%,圖 1e),胸腔積液 7 例(87.5%,均為雙側積液),肺外浸潤影 1 例(12.5%,圖 1f),無淋巴結腫大影。8 例患者均經肝臟 CT 檢查(圖 2),2 例增強 CT。肝膿腫直徑 1.9~10.2 cm,平均(5.9±2.4)cm;伴空洞影 4 例。其中單發肝膿腫 5 例,多發肝膿腫 3 例。病變部位:肝右葉 7 例,肝下極 1 例。


2.5 治療及預后
有效抗感染方案為碳青霉烯類 3 例(亞胺培南西司他丁 2 例、美羅培南 1 例),三代頭孢 5 例(頭孢哌酮鈉舒巴坦鈉 2 例、頭孢噻肟鈉舒巴坦鈉 2 例、頭孢他定 1 例);其中 4 例聯合使用抗生素(奧硝唑 2 例、左氧氟沙星 2 例)。彩超引導下肝膿腫穿刺引流并置管沖洗 7 例,沖洗天數 4~20 d,平均(12.4±5.1)d。8 例患者均未行抗凝或溶栓治療。治療期間病情加重轉入重癥醫學科 3 例。結果因經濟及其他原因自動出院 1 例,死亡 1 例,好轉 6 例。住院時間 4~40 d,平均(22.5±12.3)d。電話隨訪 6 例,未見復發情況。臨床特點、影像特征及治療預后見表 1。
2.6 典型病例
患者,男,43 歲。因“發熱 1 周,呼吸急促 10 h”于 2015 年 10 月 5 日入院。1 周前出現發熱、畏寒,最高體溫 39.5 ℃;無明顯咳嗽、咳痰,無腹痛等不適。患者就診廣東某縣醫院,診斷“肺部感染”,予輸液治療后癥狀無好轉。10 h 前開始出現活動后呼吸困難,明顯氣促,伴咳嗽、咳痰。就診于當地醫院,胸部 X 線檢查提示肺部感染,因考慮病情危重轉診我院急診科,并入住內分泌科。入院查體:體溫 39.1 ℃,脈搏 146 次/min,呼吸 34 次/min,血壓 96/70 mm Hg。神志欠清,躁動不安,呼吸急促,雙肺呼吸音粗,可聞及濕性啰音。心律齊,腹部平坦,無壓痛、反跳痛,肝脾肋下未觸及,腸鳴音 4 次/min,雙下肢無浮腫。血常規:WBC 23.8×109/L、NEU 21.2×109/L、Hb 138 g/L、PLT 480×109/L。CRP>220 mg/L。凝血功能:PT 18.7 s、APTT 61.6 s、FIB 5.7 g/L,INR 1.6。葡萄糖 34.3 mmol/L;血酮體陽性;電解質:K+ 5.1 mmol/L、Na+ 129.9 mmol/L;肝腎功能:UREA 6.7 mmol/L、Cr 117.9 μmol/L,ALT 95.0 U/L,AST 104.2 U/L,ALB 37.5 g/L,T-BIL 10.5 μmol/L。
初步主要診斷:(1)糖尿病酮癥酸中毒;(2)2 型糖尿病;(3)肺部感染;(4)感染性休克?(5)電解質紊亂。考慮患者病情危重,請重癥醫學科會診后轉入 ICU 病房。轉入后患者出現急性呼吸窘迫綜合征。血氣分析:PO2 47.1 mm Hg,PCO2 12.4 mm Hg,pH7.21,SpO2 85.9%。予經鼻氣管插管接呼吸機輔助通氣同時美羅培南(1.0 g q8h)聯合萬古霉素(1.0 g q12h)抗細菌,及伏立康唑注射液(0.2 g q12h)抗真菌。2015 年 10 月 8 日進一步相關檢查結果:PCT 96.3 ng/ml,CRP>210 mg/L,支氣管鏡刷檢痰培養示肺炎克雷伯菌,藥敏結果見表 2 患者 ⑧。10 月 9 日血培養同樣為肺炎克雷伯菌(藥敏相同),胸部 CT 提示兩肺大片狀高密度影,部分實變,以兩下肺為著,兩肺多發大小不等薄壁空洞,呈“蜂窩狀”改變,右側少量胸腔積液(圖 3)。上腹部增強 CT:肝內多發不規則囊實性病灶,較大者范圍約 102 mm×98 mm,邊界欠清,CT 值約 10~23 HU,內有氣體密度影,多發分隔,增強掃描示分隔輕度強化。
修正診斷:(1)SPE-KPLA;(2)膿毒血癥;(3)感染性休克;(4)2 型糖尿病;(5)余同前。調整治療方案,停用伏立康唑及萬古霉素,繼續呼吸機輔助通氣,美羅培南(1.0 g q8h),加用阿米卡星(400 mg qd);彩超引導下對肝膿腫行經皮穿刺豬尾巴導管置管引流及沖洗。9 d 后患者癥狀較前明顯好轉,順利脫機并轉入呼吸內科繼續美羅培南及阿米卡星治療(共 20 d)后治愈出院。2015 年 12 月 14 日返院復查胸部 CT 提示兩肺病變及胸腔積液較前基本吸收(圖 4)。


3 討論
SPE 與靜脈血栓引起的肺栓塞有所不同。SPE 相關原發疾病往往為感染性心內膜炎、靜脈藥癮、栓塞性靜脈炎(盆腔)、牙周感染、中心靜脈導管植入等。我國報道 SPE 多與感染性心內膜炎相關[5-7],感染病原菌主要以 G+ 球菌中的金黃色葡萄球菌為主。而關于肝膿腫合并 SPE 報道不多,從 PubMed 數據庫共檢索到 6 篇文獻報道,其中 2 篇為個案報道[8-9],4 篇為回顧性臨床資料研究分析[2-3, 10-11];從中國期刊全文數據庫、萬方數據庫檢索,未見中文報道。PubMed 數據庫報道的病例均來自亞洲,分別為中國和日本。有學者提出 SPE-KPLA 好發于亞裔人群患 2 型糖尿病血糖控制較差人群[10];感染細菌較前不同,主要是 G– 桿菌中的 hvKP[2-3, 10]。
3.1 臨床特征及實驗室檢查
SPE-KPLA 好發于男性,本組資料中男性占 87.5%,與 Yang 等[10]報道 77.8%、Chang 等[2]報道 95.2%、Chou 等[3]報道 71.4% 接近,以中老年患者為主。癥狀主要為發熱,且為高熱,伴咳嗽、咳痰,但不嚴重,故患者早期在社區醫院或診所易被診斷為普通感冒而延誤診治。本組資料中 2 例出現呼吸急促,2 例血壓下降(感染性休克);4 例患者因血糖高酮體陽性誤收治內分泌科;感染指標中以 PCT 升高最為顯著,這與膿毒癥所致 PCT 升高相符合[12],但 PCT 水平遠遠大于膿毒癥標準[13];白細胞和 CRP 也明顯升高。肝功能測定 ALT、AST 部分升高,比正常值高 2~3 倍;另外,ALP 升高明顯,均提示肝臟受損,為非特異性指標;HbA1c 及血糖均明顯升高并酮體陽性,提示 SPE-KPLA好發于 2 型糖尿病中血糖控制較差患者。
3.2 病原微生物特征
普通肺炎克雷伯菌是引起肺炎、尿路感染、血流感染等的常見病原菌,很少引起侵襲性感染。而 SPE-KPLA 病原菌為 hvKP,極易引起侵襲性全身感染[1]。SPE-KPLA 血培養陽性率最高,本組 6 例(75.0%)血培養陽性,這與 Yang 等[10]報道 55.5% 患者血培養陽性相似。其次,肝膿腫膿液培養陽性率同樣較高,而痰培養陽性率較低。除 SPE 外,患者常常合并眼內炎、中樞系統感染等。本組資料中 1 例同時合并眼內炎,該患者最終死亡,提示預后不良。hvKP 毒力的物質基礎可能如下:K 抗原被認為是肺炎克雷伯菌主要毒力組成成分[1]。根據 K 抗原可將肺炎克雷伯菌分為 78 種莢膜血清型,其中毒力最強的莢膜血清型為 K1。肺炎克雷伯菌鐵載體和 Kfu 蛋白使其在腸道中具有較強的攝鐵能力,大大增強了 hvKP 在腸道中的定植能力。目前高毒力測定簡易方法為拉絲實驗陽性(肺炎克雷伯菌落黏液絲長度>5 cm)。黏液表型調控基因 A(rmpA)調控 hvKP 莢膜多糖,及黏液相關基因 A(magA)也與莢膜合成相關。故 rmpA 及 magA 基因和細菌致病能力相關。本組資料 8 例培養出的肺炎克雷伯菌中,氨芐西林耐藥率達 62.5%,哌拉西林耐藥率達 37.5%,頭孢菌素(二代及三代)、氨基糖苷類、碳青霉烯類、喹諾酮類均敏感。從治療效果看建議三代頭孢為首選抗生素。目前 hvKP 耐藥報道極少,仍須做好有效的控制措施,以免出現類似 MRSA 一樣的超級細菌。吳華等[14]和 Liu 等[15]報道了產碳青霉烯酶的 K1 和 K2 型 hvKP,耐藥菌的出現會給治療帶來很大的困難,應引起大家的重視。
3.3 影像學特征
SPE-KPLA 患者胸部 CT 特征性影像為:(1)近胸膜處多發結節影(或伴空洞)(本組患者全部出現);(2)近胸膜處楔形浸潤影;(3)滋養血管征。本組患者與 Yang 等[10]報道的 9 例患者均出現兩肺外周邊界模糊圓形結節影相一致。另外,胸部 CT 還可出現斑片狀浸潤影(嚴重病例斑片浸潤與結節影相互融合成大片實變影)、雙側胸腔積液、暈征和反暈征、肺外浸潤影(如眼內炎)。本組中 1 例患者頭顱 CT 提示左眼瞼軟組織腫脹,Yang 等[10]報道的 9 例患者中 3 例出現眼內炎。肝臟 CT 檢查示肝膿腫往往多伴空洞影(本組占 50%),Lee 等[16]曾提及產氣肝膿腫死亡率較高。單發肝膿腫多見(62.5%),發生部位以肝右葉(87.5%)多見。
3.4 診斷標準、治療及預后
SPE-KPLA 診斷標準主要參照 Chang 等[2]及 Chou 等[3]的方法。目前的研究資料提示本病診斷中肺動脈 CT 血管造影并非必須檢查項目。治療主要包括抗感染治療以及肝膿腫穿刺置管引流。這與靜脈血栓引起的肺栓塞以抗凝為主的治療方案有差別。本組 8 例患者均未行抗凝治療。既往研究學者指出 hvKP 除對氨芐西林、哌拉西林高耐藥外,余大多數抗生素仍敏感[14, 17-18]。本組 8 例患者體外藥敏提示氨芐西林多數耐藥,哌拉西林部分耐藥,與上述報道相符。8 例患者有效抗生素至少為三代頭孢(多數為加酶抑制劑)或碳青霉烯類,這與文獻[17, 19]指出首選抗生素為三代頭孢相一致。此外,及時發現肝膿腫并盡早穿刺置管引流膿液對本病預后非常重要[20-22]。本組患者發現肝膿腫的平均時間為 3.2 d,均行豬尾巴管穿刺引流。本病預后差,如未及時診斷和治療往往導致嚴重的后果,本組 8 例患者中 1 例死亡,1 例自動出院,6 例好轉治愈。如能及時診斷及治療,預后往往可改善。
雖然 SPE 近年來為大家逐漸熟悉,但 SPE-KPLA 與其他原因相關的 SPE(如感染性心內膜炎、靜脈藥癮、栓塞性靜脈炎等)病原菌存在區別,經驗性抗感染藥物的選擇不同。SPE-KPLA 少見且預后兇險,臨床癥狀及體征無顯著特點。臨床醫師對SPE-KPLA 認識存在缺陷,往往延誤診治而危及生命,提高對本疾病的認識有助于 SPE-KPLA 的診治。