引用本文: 馬丹, 肖永龍, 周科峰, 蔡后榮. 機化性肺炎與社區獲得性肺炎胸部 CT 的氣腔實變影特征比較. 中國呼吸與危重監護雜志, 2018, 17(3): 247-254. doi: 10.7507/1671-6205.201705010 復制
機化性肺炎(organizing pneumonia,OP)是指以肺泡及肺泡管內炎性、機化性滲出物和肉芽組織形成,可伴或不伴細支氣管腔內機化性滲出物和肉芽組織形成的肺部機化性炎癥改變。根據病因是否明確,可分為隱源性機化性肺炎(cryptogenic organizing pneumonia,COP)和繼發性機化性肺炎(secondary organizing pneumonia,SOP)。OP 的診斷主要依靠肺組織病理學檢查,由于臨床上 OP 相對少見,臨床表現缺乏特異性,影像學表現多樣,易被誤診為社區獲得性肺炎(community acquired pneumonia,CAP)而延誤診治。因此,盡早從影像特征中識別出 OP,早期應用糖皮質激素治療,對提高患者的預后可能有一定的意義。既往文獻曾報道約 70% 的 OP 患者胸部 CT 表現為雙肺多發性氣腔實變影,實變內可見空氣支氣管征(air bronchogram,ABG)[1-3],而 CAP 患者胸部 CT 上也常常出現氣腔實變影,臨床上非常容易混淆。本研究通過分析比較在治療前胸部 CT 上以氣腔實變影為主要表現的 OP 患者及 CAP 患者的影像特征,探討氣腔實變影的精細特征對兩者的鑒別診斷作用。
1 資料與方法
1.1 臨床資料和分組
采用回顧性研究的方法,收集我院自 2010 年 10 月至 2016 年 8 月期間住院的最終診斷為 OP 和 CAP 患者的臨床資料及影像資料,選取具有完整病歷資料、治療前胸部高分辨率 CT(high resolution CT,HRCT)上主要病灶表現為氣腔實變影者作為入組對象[4]。共收集診斷 OP 病例 291 例,其中無本院胸部 HRCT 資料 173 例,不能排除 OP 以外其他疾病 12 例,最終收集 CT 上主要表現為氣腔實變影者 56 例。共收集診斷 CAP 病例 902 例,其中無本院胸部 HRCT 資料 509 例,不能排除肺炎以外病因者 53 例,最終收集 CT 上主要表現為氣腔實變影者 99 例。所有入選病例均排除肺部腫瘤、心源性肺水腫等其他影響胸部 CT 評估的因素。
1.2 方法
1.2.1 胸部 CT 檢查
所有入選患者均采用容積 CT(Light Speed,VCT)進行胸部 CT 平掃,掃描前除去檢查區域金屬物品,予受檢者進行呼吸訓練。受檢者仰臥位,頭先進,雙手抱頭,掃描范圍從胸廓入口至肺底層面,于吸氣末屏氣掃描。管電壓 120 kV,管電流 250 mA,螺距 1.375:1,旋轉時間 0.5 s/圈,縱隔窗(窗寬 350 Hu,窗中心 50 Hu)標準重建,層厚為 5 mm;肺窗(窗寬 1 500 Hu,窗中心 –600 Hu)高分辨肺重建,層厚 1.25 mm。所有入選患者胸部 HRCT 資料均調自我院 PACS 系統存儲數據,僅調取治療前的第一次 CT 檢查像,在電腦上分析及收集數據。所有胸部 CT 影像資料由一位專業胸部影像醫師及一位高年資呼吸病臨床醫師單獨分析,有分歧時參考臨床及病理資料討論后統一意見后得出最終結果。
1.2.2 診斷方法
OP 的確診依據患者經支氣管鏡肺活檢(transbronchial lung biopsy,TBLB)、經皮肺穿刺活檢、外科胸腔鏡肺活檢的組織病理學結果結合臨床作出診斷。具體診斷標準參考美國胸科學會和歐洲呼吸病學會制定的 2013 年版國際多學科間質性肺炎的分類標準[5]及英國胸科學會制定的間質性肺病指南[6]。CAP 的診斷依據 2006 年中華醫學會呼吸病學分會制定的社區獲得性肺炎診斷和治療指南[7]。氣腔實變影指由病變所致的含有氣腔充盈的實變影[4]。ABG 是一種在含氣少的致密肺的背景上見到含氣支氣管的表現[4]。全程空氣支氣管征(entire air bronchogram,EABG)指走形連續完整、管腔通暢的整支支氣管的空氣支氣管征[8],斷續 ABG 指走形不連續、伴有節段性閉塞的空氣支氣管征。其他胸部 CT 征象參考 2008 年 Fleischner 學會胸部影像學術語的標準判斷[4]。
1.2.3 觀察指標
統計納入患者的臨床資料,特別是 ABG、胸腔積液、支氣管擴張等胸部 CT 征象,統計納入患者的治療情況。ABG 定性指在患者的 CT 任一層面上見到 ABG 即為陽性,數量是指每例患者在所有 CT 層面上兩肺共可見到的 ABG 個數。
1.3 統計學方法
采用 SPSS 23.0 統計軟件。計量資料正態分布數據采用均數±標準差(
±s)表示,組間比較采用 t 檢驗;非正態分布數據采用中位數(四分位數間距)表示,組間比較采用 Mann-Whitney U 檢驗;計數資料采用 χ2 檢驗或 Fisher 精確檢驗。采用二分類非條件 Logistic 回歸分析篩選危險因素。P<0.05 為差異有統計學意義。
2 結果
2.1 臨床特點
99 例 CAP 患者中,男 58 例,女 41 例,年齡 58.0(38.0~66.0)歲。56 例 OP 患者中,男 32 例,女 24 例,年齡 59.5(51.3~67.0)歲。OP 患者中 4 例合并干燥綜合征,2 例合并類風濕關節炎,1 例合并淋巴瘤,1 例合并骨髓異常增生綜合征,1 例合并普通變異型免疫缺陷病,1 例為胺碘酮誘發的 OP,以上 10 例均被診斷為 SOP,余下的 46 例診斷為 COP。25 例經 TBLB 確診,29 例經經皮肺穿刺確診,1 例同時接受了 TBLB 與經皮肺穿刺檢查而確診,1 例于外院行胸腔鏡下肺活檢確診。其余臨床特征及相關輔助檢查結果詳見表 1、2。


所有 CAP 患者均接受了相應的抗感染治療,在出院前病情均有一定程度的好轉。16 例 OP 患者以 CAP 初步診斷而收住入院,經抗感染治療后癥狀無明顯改善,最終行肺活檢確診為 OP,其抗感染治療時間的平均值為(19.6±10.5)d。共計 41 例 OP 患者在確診后采用了糖皮質激素治療,在出院前癥狀也均有改善。
2.2 胸部 HRCT 特點
圖 1~4 展示了 2 例 CAP 及 2 例 OP 患者的胸部 HRCT 影像學特征。在實變影的分布上,69.6% 的 OP 患者呈雙側分布,顯著高于 CAP 組的 30.3%(χ2=22.412,P=0.000)。分別有 41.4% 和 16.1% 的 OP 患者實變影呈胸膜下(圖 1)、支氣管血管周圍(圖 2)分布,在 CAP 組分別為 19.2% 和 1.0%,差異有統計學意義(χ2=8.886,P=0.003;P=0.000)。87.5% 的 OP 患者胸部 HRCT 上有數量不等、形態各異的 ABG,顯著高于 CAP 組的 72.7%(χ2=4.558,P=0.033)。OP 患者的 ABG 數量的中位數及四分位數間距為 4(2~8),顯著高于 CAP 組的數量 2(0~4)(z=3.640,P=0.000)。在形態上,58.9% 的 OP 患者存在 EABG(圖 1b、圖 2a),顯著高于 CAP 組的 21.2%(χ2=22.413,P=0.000)。26.3% 的 CAP 患者有斷續 ABG(圖 3、圖 4),16.1% 的 OP 患者有斷續 ABG(圖 2b),差異無統計學意義(χ2=2.125,P=0.148)。
間質性肺炎的其他征象如牽拉性支氣管擴張(圖 1b、圖 2a)、磨玻璃影(ground glass opacity,GGO)在 OP 患者中更多見,分別為 26.8% 和 39.3%,而在 CAP 組僅為 1.0% 和 11.1%。1.0% 的 CAP 患者有反暈征,顯著低于 OP 組的 26.8%(圖 1a、圖 2a)(χ2=25.671,P=0.000)。胸腔積液(圖 3)和支氣管壁增厚(圖 4b)在 CAP 患者中更常見,為 56.6% 和 35.4%。其他影像學特征詳見表 3。


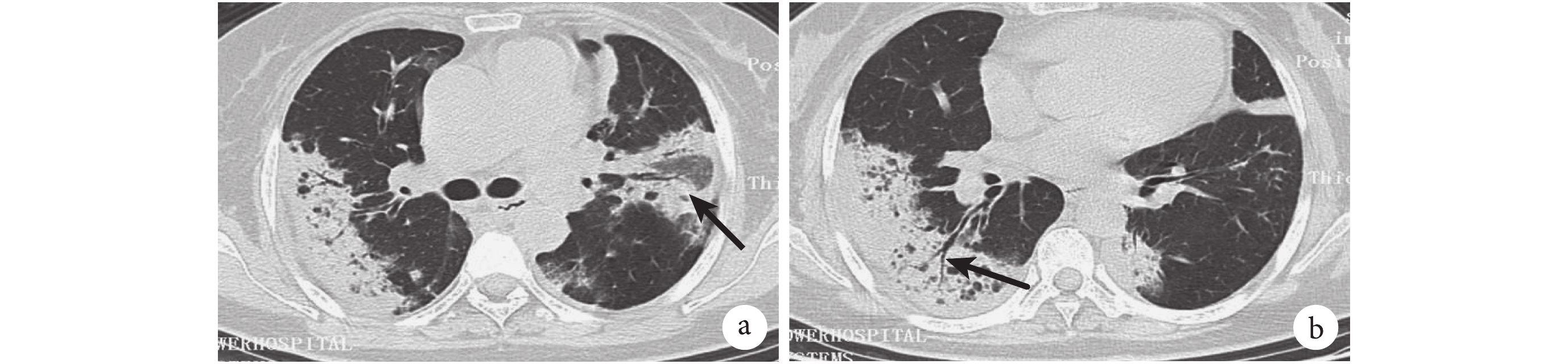
患者,女,65 歲,CT 引導下經皮肺穿刺活檢病理示機化性肺炎改變,結合臨床及影像學表現診斷為 COP。a. 雙側胸膜下分布實變影,左肺見反暈征(黑箭);b. 右肺見走形完整的 EABG,伴有牽拉性支氣管擴張改變(黑箭)

患者,女,41 歲,支氣管鏡肺活檢病理示機化性肺炎改變,結合臨床及影像學表現診斷為 COP。a. 兩肺沿支氣管血管周圍分布的實變影,左肺可見走形完整的 EABG,伴有牽拉性支氣管擴張改變(黑箭),部分實變影呈反暈征樣改變(白三角);b. 兩肺可見少量走形中斷的斷續 ABG(白箭)。c、d. 糖皮質激素治療后 8 d 后,復查胸部 HRCT 示兩肺實變病灶較前稍吸收

患者,女,66 歲,根據臨床癥狀、實驗室檢查及影像學診斷右側肺炎。右肺上葉片狀分布實變影,多個層面可見斷續 ABG(黑箭),伴有右側少量胸腔積液

患者,女,21 歲,結合癥狀及影像學表現,診斷右側肺炎。a. 右肺多發斑片狀實變影,其內可見斷續 ABG(黑箭);b. 右肺斑片狀滲出中見支氣管壁增厚(白箭)
單因素回歸分析顯示,ABG、EABG、胸腔積液、牽拉性支氣管擴張、支氣管壁增厚、GGO、反暈征是有統計學意義的變量(表 4),可進入多因素 logistic 回歸分析。結果顯示 EABG(OR=5.526,P=0.000)、牽拉性支氣管擴張(OR=21.564,P=0.010)、GGO(OR=4.657,P=0.007)、反暈征(OR=13.304,P=0.023)為 OP 的危險因素,胸腔積液(OR=0.380,P=0.049)、支氣管壁增厚(OR=0.073,P=0.008)為 OP 的保護因素,提示與 CAP 相關,具體見表 5。ABG 與其他影像學特征的并存率見表 6,OP 組與 CAP 組相比,差異有統計學意義(χ2=6.521、21.700、14.788、16.060、25.160,P<0.05)。



3 討論
本研究顯示,OP 組實變影中有 ABG 的比例顯著高于 CAP 組,在數量上也達到了顯著差異。EABG 在 OP 組的比例及數量均顯著高于 CAP 組,而斷續 ABG 在兩組間的差異無統計學意義。這些差異可能與 OP 和 CAP 的病理學機制的不同有關。OP 的主要病理學特征為肺泡腔及肺泡管內機化性滲出物、結締組織和成纖維細胞形成息肉樣肉芽組織即 masson 小體,主要出現在肺泡腔中,但也可能延伸到細支氣管并阻塞氣道[3]。因此,細支氣管是否通暢主要取決于病變程度,如果細支氣管腔內無肉芽組織形成,則在影像上可見清晰完整的整支支氣管,部分細支氣管腔內有少量肉芽組織,則形成部分中斷、閉塞的支氣管。CAP 的主要病理學改變依據疾病的不同時期各不相同,急性滲出期可見肺泡及周邊細支氣管內炎性滲出,可阻塞細支氣管而不出現影像學上的 ABG,如果炎性液體引流不暢則可能形成斷續 ABG,炎癥消散吸收期則可能管腔通暢而形成沒有明顯的中斷改變的 ABG。CAP 患者就診行 CT 檢查時,多處于癥狀明顯、急性滲出期,因此 ABG 較 OP 患者少見。除了實變影中的 ABG,間質性肺炎的特征性改變如牽拉性支氣管擴張、GGO 也是 OP 的常見影像學改變,既往文獻報道分別占 33.3%、88.9%[3, 9-10]。反暈征是指圓形 GGO 區域被新月形或環形實變影環繞所形成的征象,曾被認為是 OP 的特征性改變,后來也被報道見于韋格納肉芽腫、肺孢子菌肺炎及肺結核等疾病中,不具有特異性[11]。Rea 等[12]則認為反暈征的出現提示了 OP 的診斷,可認為是特征性表現。本研究 OP 組有高達 26.8% 的患者表現為反暈征,高于既往文獻報道的 16.7%[10]。Nei 等[13]曾對支原體肺炎和其他微生物感染所致的肺炎的胸部 CT 特征進行分析,發現有 97% 的支原體肺炎患者有支氣管壁增厚(P<0.000 1),這可能導致了支氣管壁增厚在 CAP 組中的比例顯著高于 OP 組。
胸部 CT 上在實變的肺組織區域中見到透亮的支氣管影,稱為空氣支氣管征,可見于 OP、大葉性肺炎、肺腺癌、肺黏膜相關淋巴瘤等疾病中。關于空氣支氣管征的研究目前較少,僅有的研究多針對肺腺癌及肺黏膜相關淋巴瘤。Dai 等[14]對病理確診為 Ia 期肺腺癌患者的表皮生長因子受體突變情況與影像特征進行相關分析,發現 ABG 與表皮生長因子受體突變有關聯(OR=3.541)。Jung 等[15]對影像特征以實變影為主的肺腺癌及肺炎患者的 ABG 形態特征進行分析,發現肺腺癌患者的 ABG 走形僵直而延長,伴有管腔狹窄及彎曲(P<0.05)。肺黏膜相關淋巴瘤的 ABG 和肺腺癌不同,部分充氣的支氣管顯示支氣管是擴張的,這是肺淋巴瘤較為特有的征象[16]。Nambu 等[8]曾在 CAP 與非感染性疾病的影像特征鑒別中提出,OP 的氣腔實變影中可見 EABG,即為整支的空氣支氣管,但目前尚未有相關文獻證實空氣支氣管的數量及形態在 OP 及 CAP 組之間有無差異。本研究通過對本院最終確診為 OP 和 CAP 患者的臨床資料及影像學表現進行篩選,選取胸部 HRCT 上主要表現為氣腔實變影者作為入組對象,對其多種影像征象的定性及定量指標進行回顧性分析,闡明 OP 和 CAP 患者在影像學特征特別是氣腔實變影特征方面的的差異對其可能的鑒別診斷價值。
本研究顯示 OP 組和 CAP 組在起病過程、發熱、咳痰、氣喘及 Velcro 音等癥狀及體征上差異均有統計學意義。但在實際臨床工作中,由于 OP 較少見,據國外統計年發病率僅為 0.002%[17],且因為癥狀不具有特異性,初次診治時臨床醫生較難考慮到 OP 的診斷,臨床懷疑 OP 常在發病 4~10 周以后,特別是經過規范抗感染治療后臨床癥狀和影像學表現無明顯改善才考慮此病,已有許多文獻報道 OP 誤診為 CAP 而延誤了治療[18-20]。在本研究中,有 16 例 OP 是以 CAP 初診行規范抗感染無效而考慮 OP,需要同正常情況下肺炎延遲吸收相鑒別。肺炎延遲吸收指免疫健全的 CAP 患者經有效抗菌治療,臨床已癥狀改善,但第 2 周末胸部影像顯示肺部炎癥病灶消散小于 50%,或第 4 周末肺部炎癥病灶未完全消散,而 OP 患者臨床癥狀多未得到改善。其次從影像學表現方面,除了氣腔實變影,OP 的影像學表現更為多樣,病灶可具有游走性或復發性,即在經過抗感染治療后,原病灶消散吸收而在其他地方出現新病灶。最后從病理學證據上,肺活檢示肺泡內纖維結締組織增生,可考慮機化性肺炎。而肺炎吸收延遲則多表現為肺泡內纖維蛋白未吸收完全,伴有炎性組織浸潤,若長時間未吸收伴有纖維結締組織增生機化,可診斷為肺炎后繼發性機化性肺炎。
OP 對糖皮質激素治療有效,有文獻報道大于 80% 的病例對激素敏感[21-22],本研究中 41 例使用糖皮質激素的 OP 患者癥狀均有一定改善。雖然 OP 的確診需要依靠組織病理學,但是對一些高齡、病情重而不能耐受侵襲性檢查的患者,在治療前早期從影像學上識別出 OP,對及時應用糖皮質激素改善癥狀及預后有積極意義,這也有利于臨床醫生減少因為不能排除 CAP 而過度使用抗生素治療。因此,本研究通過為臨床醫生提供影像特征方面的鑒別診斷思路,在進行侵襲性檢查前早期識別出 OP,進行早診斷、早治療,具有較大的臨床意義。
本研究存在一些不足之處。首先,如前文所述,ABG 可見于 OP、大葉性肺炎、肺腺癌、肺黏膜相關淋巴瘤等疾病,本研究僅就 OP 和 CAP 的 ABG 特征進行分析,原因是在臨床工作中,OP 誤診為 CAP 而延誤診治較多見,而肺腺癌癥狀及影像特征易與前兩者區分,肺黏膜相關淋巴瘤十分罕見,未收集到相關病例,進一步的研究可針對肺腺癌、肺黏膜相關淋巴瘤等疾病展開。其次,本研究為回顧性分析,缺少對患者的長期隨訪,因而無法取得復查及預后的資料;由于為回顧性研究,雖然采集的均為患者治療前第一次的 CT 檢查像,但兩組患者特別是 CAP 組從發病至行胸部 CT 檢查的時間無法控制一致,這可能對需要觀察的影像學指標產生誤差;最后,對胸部 CT 征象的判讀具有主觀性,在兩位醫師間可能存在差異,此時通過協商討論出結果減少誤差。
綜上所述,胸部 CT 的氣腔實變影的精細特征對 OP 和 CAP 的鑒別診斷具有一定的意義。當影像學上表現為完整的空氣支氣管征或 ABG 合并反暈征或其他的間質性肺炎征象如牽拉性支氣管擴張、GGO 時,需考慮 OP 的診斷,從而提示臨床醫生盡早獲得病理學資料,達到早期診斷,而不是按照 CAP 的初始判斷延長經驗性抗感染治療,延誤診斷和影響預后。
機化性肺炎(organizing pneumonia,OP)是指以肺泡及肺泡管內炎性、機化性滲出物和肉芽組織形成,可伴或不伴細支氣管腔內機化性滲出物和肉芽組織形成的肺部機化性炎癥改變。根據病因是否明確,可分為隱源性機化性肺炎(cryptogenic organizing pneumonia,COP)和繼發性機化性肺炎(secondary organizing pneumonia,SOP)。OP 的診斷主要依靠肺組織病理學檢查,由于臨床上 OP 相對少見,臨床表現缺乏特異性,影像學表現多樣,易被誤診為社區獲得性肺炎(community acquired pneumonia,CAP)而延誤診治。因此,盡早從影像特征中識別出 OP,早期應用糖皮質激素治療,對提高患者的預后可能有一定的意義。既往文獻曾報道約 70% 的 OP 患者胸部 CT 表現為雙肺多發性氣腔實變影,實變內可見空氣支氣管征(air bronchogram,ABG)[1-3],而 CAP 患者胸部 CT 上也常常出現氣腔實變影,臨床上非常容易混淆。本研究通過分析比較在治療前胸部 CT 上以氣腔實變影為主要表現的 OP 患者及 CAP 患者的影像特征,探討氣腔實變影的精細特征對兩者的鑒別診斷作用。
1 資料與方法
1.1 臨床資料和分組
采用回顧性研究的方法,收集我院自 2010 年 10 月至 2016 年 8 月期間住院的最終診斷為 OP 和 CAP 患者的臨床資料及影像資料,選取具有完整病歷資料、治療前胸部高分辨率 CT(high resolution CT,HRCT)上主要病灶表現為氣腔實變影者作為入組對象[4]。共收集診斷 OP 病例 291 例,其中無本院胸部 HRCT 資料 173 例,不能排除 OP 以外其他疾病 12 例,最終收集 CT 上主要表現為氣腔實變影者 56 例。共收集診斷 CAP 病例 902 例,其中無本院胸部 HRCT 資料 509 例,不能排除肺炎以外病因者 53 例,最終收集 CT 上主要表現為氣腔實變影者 99 例。所有入選病例均排除肺部腫瘤、心源性肺水腫等其他影響胸部 CT 評估的因素。
1.2 方法
1.2.1 胸部 CT 檢查
所有入選患者均采用容積 CT(Light Speed,VCT)進行胸部 CT 平掃,掃描前除去檢查區域金屬物品,予受檢者進行呼吸訓練。受檢者仰臥位,頭先進,雙手抱頭,掃描范圍從胸廓入口至肺底層面,于吸氣末屏氣掃描。管電壓 120 kV,管電流 250 mA,螺距 1.375:1,旋轉時間 0.5 s/圈,縱隔窗(窗寬 350 Hu,窗中心 50 Hu)標準重建,層厚為 5 mm;肺窗(窗寬 1 500 Hu,窗中心 –600 Hu)高分辨肺重建,層厚 1.25 mm。所有入選患者胸部 HRCT 資料均調自我院 PACS 系統存儲數據,僅調取治療前的第一次 CT 檢查像,在電腦上分析及收集數據。所有胸部 CT 影像資料由一位專業胸部影像醫師及一位高年資呼吸病臨床醫師單獨分析,有分歧時參考臨床及病理資料討論后統一意見后得出最終結果。
1.2.2 診斷方法
OP 的確診依據患者經支氣管鏡肺活檢(transbronchial lung biopsy,TBLB)、經皮肺穿刺活檢、外科胸腔鏡肺活檢的組織病理學結果結合臨床作出診斷。具體診斷標準參考美國胸科學會和歐洲呼吸病學會制定的 2013 年版國際多學科間質性肺炎的分類標準[5]及英國胸科學會制定的間質性肺病指南[6]。CAP 的診斷依據 2006 年中華醫學會呼吸病學分會制定的社區獲得性肺炎診斷和治療指南[7]。氣腔實變影指由病變所致的含有氣腔充盈的實變影[4]。ABG 是一種在含氣少的致密肺的背景上見到含氣支氣管的表現[4]。全程空氣支氣管征(entire air bronchogram,EABG)指走形連續完整、管腔通暢的整支支氣管的空氣支氣管征[8],斷續 ABG 指走形不連續、伴有節段性閉塞的空氣支氣管征。其他胸部 CT 征象參考 2008 年 Fleischner 學會胸部影像學術語的標準判斷[4]。
1.2.3 觀察指標
統計納入患者的臨床資料,特別是 ABG、胸腔積液、支氣管擴張等胸部 CT 征象,統計納入患者的治療情況。ABG 定性指在患者的 CT 任一層面上見到 ABG 即為陽性,數量是指每例患者在所有 CT 層面上兩肺共可見到的 ABG 個數。
1.3 統計學方法
采用 SPSS 23.0 統計軟件。計量資料正態分布數據采用均數±標準差(
±s)表示,組間比較采用 t 檢驗;非正態分布數據采用中位數(四分位數間距)表示,組間比較采用 Mann-Whitney U 檢驗;計數資料采用 χ2 檢驗或 Fisher 精確檢驗。采用二分類非條件 Logistic 回歸分析篩選危險因素。P<0.05 為差異有統計學意義。
2 結果
2.1 臨床特點
99 例 CAP 患者中,男 58 例,女 41 例,年齡 58.0(38.0~66.0)歲。56 例 OP 患者中,男 32 例,女 24 例,年齡 59.5(51.3~67.0)歲。OP 患者中 4 例合并干燥綜合征,2 例合并類風濕關節炎,1 例合并淋巴瘤,1 例合并骨髓異常增生綜合征,1 例合并普通變異型免疫缺陷病,1 例為胺碘酮誘發的 OP,以上 10 例均被診斷為 SOP,余下的 46 例診斷為 COP。25 例經 TBLB 確診,29 例經經皮肺穿刺確診,1 例同時接受了 TBLB 與經皮肺穿刺檢查而確診,1 例于外院行胸腔鏡下肺活檢確診。其余臨床特征及相關輔助檢查結果詳見表 1、2。


所有 CAP 患者均接受了相應的抗感染治療,在出院前病情均有一定程度的好轉。16 例 OP 患者以 CAP 初步診斷而收住入院,經抗感染治療后癥狀無明顯改善,最終行肺活檢確診為 OP,其抗感染治療時間的平均值為(19.6±10.5)d。共計 41 例 OP 患者在確診后采用了糖皮質激素治療,在出院前癥狀也均有改善。
2.2 胸部 HRCT 特點
圖 1~4 展示了 2 例 CAP 及 2 例 OP 患者的胸部 HRCT 影像學特征。在實變影的分布上,69.6% 的 OP 患者呈雙側分布,顯著高于 CAP 組的 30.3%(χ2=22.412,P=0.000)。分別有 41.4% 和 16.1% 的 OP 患者實變影呈胸膜下(圖 1)、支氣管血管周圍(圖 2)分布,在 CAP 組分別為 19.2% 和 1.0%,差異有統計學意義(χ2=8.886,P=0.003;P=0.000)。87.5% 的 OP 患者胸部 HRCT 上有數量不等、形態各異的 ABG,顯著高于 CAP 組的 72.7%(χ2=4.558,P=0.033)。OP 患者的 ABG 數量的中位數及四分位數間距為 4(2~8),顯著高于 CAP 組的數量 2(0~4)(z=3.640,P=0.000)。在形態上,58.9% 的 OP 患者存在 EABG(圖 1b、圖 2a),顯著高于 CAP 組的 21.2%(χ2=22.413,P=0.000)。26.3% 的 CAP 患者有斷續 ABG(圖 3、圖 4),16.1% 的 OP 患者有斷續 ABG(圖 2b),差異無統計學意義(χ2=2.125,P=0.148)。
間質性肺炎的其他征象如牽拉性支氣管擴張(圖 1b、圖 2a)、磨玻璃影(ground glass opacity,GGO)在 OP 患者中更多見,分別為 26.8% 和 39.3%,而在 CAP 組僅為 1.0% 和 11.1%。1.0% 的 CAP 患者有反暈征,顯著低于 OP 組的 26.8%(圖 1a、圖 2a)(χ2=25.671,P=0.000)。胸腔積液(圖 3)和支氣管壁增厚(圖 4b)在 CAP 患者中更常見,為 56.6% 和 35.4%。其他影像學特征詳見表 3。


患者,女,65 歲,CT 引導下經皮肺穿刺活檢病理示機化性肺炎改變,結合臨床及影像學表現診斷為 COP。a. 雙側胸膜下分布實變影,左肺見反暈征(黑箭);b. 右肺見走形完整的 EABG,伴有牽拉性支氣管擴張改變(黑箭)

患者,女,41 歲,支氣管鏡肺活檢病理示機化性肺炎改變,結合臨床及影像學表現診斷為 COP。a. 兩肺沿支氣管血管周圍分布的實變影,左肺可見走形完整的 EABG,伴有牽拉性支氣管擴張改變(黑箭),部分實變影呈反暈征樣改變(白三角);b. 兩肺可見少量走形中斷的斷續 ABG(白箭)。c、d. 糖皮質激素治療后 8 d 后,復查胸部 HRCT 示兩肺實變病灶較前稍吸收

患者,女,66 歲,根據臨床癥狀、實驗室檢查及影像學診斷右側肺炎。右肺上葉片狀分布實變影,多個層面可見斷續 ABG(黑箭),伴有右側少量胸腔積液

患者,女,21 歲,結合癥狀及影像學表現,診斷右側肺炎。a. 右肺多發斑片狀實變影,其內可見斷續 ABG(黑箭);b. 右肺斑片狀滲出中見支氣管壁增厚(白箭)
單因素回歸分析顯示,ABG、EABG、胸腔積液、牽拉性支氣管擴張、支氣管壁增厚、GGO、反暈征是有統計學意義的變量(表 4),可進入多因素 logistic 回歸分析。結果顯示 EABG(OR=5.526,P=0.000)、牽拉性支氣管擴張(OR=21.564,P=0.010)、GGO(OR=4.657,P=0.007)、反暈征(OR=13.304,P=0.023)為 OP 的危險因素,胸腔積液(OR=0.380,P=0.049)、支氣管壁增厚(OR=0.073,P=0.008)為 OP 的保護因素,提示與 CAP 相關,具體見表 5。ABG 與其他影像學特征的并存率見表 6,OP 組與 CAP 組相比,差異有統計學意義(χ2=6.521、21.700、14.788、16.060、25.160,P<0.05)。



3 討論
本研究顯示,OP 組實變影中有 ABG 的比例顯著高于 CAP 組,在數量上也達到了顯著差異。EABG 在 OP 組的比例及數量均顯著高于 CAP 組,而斷續 ABG 在兩組間的差異無統計學意義。這些差異可能與 OP 和 CAP 的病理學機制的不同有關。OP 的主要病理學特征為肺泡腔及肺泡管內機化性滲出物、結締組織和成纖維細胞形成息肉樣肉芽組織即 masson 小體,主要出現在肺泡腔中,但也可能延伸到細支氣管并阻塞氣道[3]。因此,細支氣管是否通暢主要取決于病變程度,如果細支氣管腔內無肉芽組織形成,則在影像上可見清晰完整的整支支氣管,部分細支氣管腔內有少量肉芽組織,則形成部分中斷、閉塞的支氣管。CAP 的主要病理學改變依據疾病的不同時期各不相同,急性滲出期可見肺泡及周邊細支氣管內炎性滲出,可阻塞細支氣管而不出現影像學上的 ABG,如果炎性液體引流不暢則可能形成斷續 ABG,炎癥消散吸收期則可能管腔通暢而形成沒有明顯的中斷改變的 ABG。CAP 患者就診行 CT 檢查時,多處于癥狀明顯、急性滲出期,因此 ABG 較 OP 患者少見。除了實變影中的 ABG,間質性肺炎的特征性改變如牽拉性支氣管擴張、GGO 也是 OP 的常見影像學改變,既往文獻報道分別占 33.3%、88.9%[3, 9-10]。反暈征是指圓形 GGO 區域被新月形或環形實變影環繞所形成的征象,曾被認為是 OP 的特征性改變,后來也被報道見于韋格納肉芽腫、肺孢子菌肺炎及肺結核等疾病中,不具有特異性[11]。Rea 等[12]則認為反暈征的出現提示了 OP 的診斷,可認為是特征性表現。本研究 OP 組有高達 26.8% 的患者表現為反暈征,高于既往文獻報道的 16.7%[10]。Nei 等[13]曾對支原體肺炎和其他微生物感染所致的肺炎的胸部 CT 特征進行分析,發現有 97% 的支原體肺炎患者有支氣管壁增厚(P<0.000 1),這可能導致了支氣管壁增厚在 CAP 組中的比例顯著高于 OP 組。
胸部 CT 上在實變的肺組織區域中見到透亮的支氣管影,稱為空氣支氣管征,可見于 OP、大葉性肺炎、肺腺癌、肺黏膜相關淋巴瘤等疾病中。關于空氣支氣管征的研究目前較少,僅有的研究多針對肺腺癌及肺黏膜相關淋巴瘤。Dai 等[14]對病理確診為 Ia 期肺腺癌患者的表皮生長因子受體突變情況與影像特征進行相關分析,發現 ABG 與表皮生長因子受體突變有關聯(OR=3.541)。Jung 等[15]對影像特征以實變影為主的肺腺癌及肺炎患者的 ABG 形態特征進行分析,發現肺腺癌患者的 ABG 走形僵直而延長,伴有管腔狹窄及彎曲(P<0.05)。肺黏膜相關淋巴瘤的 ABG 和肺腺癌不同,部分充氣的支氣管顯示支氣管是擴張的,這是肺淋巴瘤較為特有的征象[16]。Nambu 等[8]曾在 CAP 與非感染性疾病的影像特征鑒別中提出,OP 的氣腔實變影中可見 EABG,即為整支的空氣支氣管,但目前尚未有相關文獻證實空氣支氣管的數量及形態在 OP 及 CAP 組之間有無差異。本研究通過對本院最終確診為 OP 和 CAP 患者的臨床資料及影像學表現進行篩選,選取胸部 HRCT 上主要表現為氣腔實變影者作為入組對象,對其多種影像征象的定性及定量指標進行回顧性分析,闡明 OP 和 CAP 患者在影像學特征特別是氣腔實變影特征方面的的差異對其可能的鑒別診斷價值。
本研究顯示 OP 組和 CAP 組在起病過程、發熱、咳痰、氣喘及 Velcro 音等癥狀及體征上差異均有統計學意義。但在實際臨床工作中,由于 OP 較少見,據國外統計年發病率僅為 0.002%[17],且因為癥狀不具有特異性,初次診治時臨床醫生較難考慮到 OP 的診斷,臨床懷疑 OP 常在發病 4~10 周以后,特別是經過規范抗感染治療后臨床癥狀和影像學表現無明顯改善才考慮此病,已有許多文獻報道 OP 誤診為 CAP 而延誤了治療[18-20]。在本研究中,有 16 例 OP 是以 CAP 初診行規范抗感染無效而考慮 OP,需要同正常情況下肺炎延遲吸收相鑒別。肺炎延遲吸收指免疫健全的 CAP 患者經有效抗菌治療,臨床已癥狀改善,但第 2 周末胸部影像顯示肺部炎癥病灶消散小于 50%,或第 4 周末肺部炎癥病灶未完全消散,而 OP 患者臨床癥狀多未得到改善。其次從影像學表現方面,除了氣腔實變影,OP 的影像學表現更為多樣,病灶可具有游走性或復發性,即在經過抗感染治療后,原病灶消散吸收而在其他地方出現新病灶。最后從病理學證據上,肺活檢示肺泡內纖維結締組織增生,可考慮機化性肺炎。而肺炎吸收延遲則多表現為肺泡內纖維蛋白未吸收完全,伴有炎性組織浸潤,若長時間未吸收伴有纖維結締組織增生機化,可診斷為肺炎后繼發性機化性肺炎。
OP 對糖皮質激素治療有效,有文獻報道大于 80% 的病例對激素敏感[21-22],本研究中 41 例使用糖皮質激素的 OP 患者癥狀均有一定改善。雖然 OP 的確診需要依靠組織病理學,但是對一些高齡、病情重而不能耐受侵襲性檢查的患者,在治療前早期從影像學上識別出 OP,對及時應用糖皮質激素改善癥狀及預后有積極意義,這也有利于臨床醫生減少因為不能排除 CAP 而過度使用抗生素治療。因此,本研究通過為臨床醫生提供影像特征方面的鑒別診斷思路,在進行侵襲性檢查前早期識別出 OP,進行早診斷、早治療,具有較大的臨床意義。
本研究存在一些不足之處。首先,如前文所述,ABG 可見于 OP、大葉性肺炎、肺腺癌、肺黏膜相關淋巴瘤等疾病,本研究僅就 OP 和 CAP 的 ABG 特征進行分析,原因是在臨床工作中,OP 誤診為 CAP 而延誤診治較多見,而肺腺癌癥狀及影像特征易與前兩者區分,肺黏膜相關淋巴瘤十分罕見,未收集到相關病例,進一步的研究可針對肺腺癌、肺黏膜相關淋巴瘤等疾病展開。其次,本研究為回顧性分析,缺少對患者的長期隨訪,因而無法取得復查及預后的資料;由于為回顧性研究,雖然采集的均為患者治療前第一次的 CT 檢查像,但兩組患者特別是 CAP 組從發病至行胸部 CT 檢查的時間無法控制一致,這可能對需要觀察的影像學指標產生誤差;最后,對胸部 CT 征象的判讀具有主觀性,在兩位醫師間可能存在差異,此時通過協商討論出結果減少誤差。
綜上所述,胸部 CT 的氣腔實變影的精細特征對 OP 和 CAP 的鑒別診斷具有一定的意義。當影像學上表現為完整的空氣支氣管征或 ABG 合并反暈征或其他的間質性肺炎征象如牽拉性支氣管擴張、GGO 時,需考慮 OP 的診斷,從而提示臨床醫生盡早獲得病理學資料,達到早期診斷,而不是按照 CAP 的初始判斷延長經驗性抗感染治療,延誤診斷和影響預后。