引用本文: 牟向東, 廖紀萍, 賀丹眉, 熊焰, 茹克亞. 濾泡性細支氣管炎一例. 中國呼吸與危重監護雜志, 2018, 17(1): 86-87. doi: 10.7507/1671-6205.201703025 復制
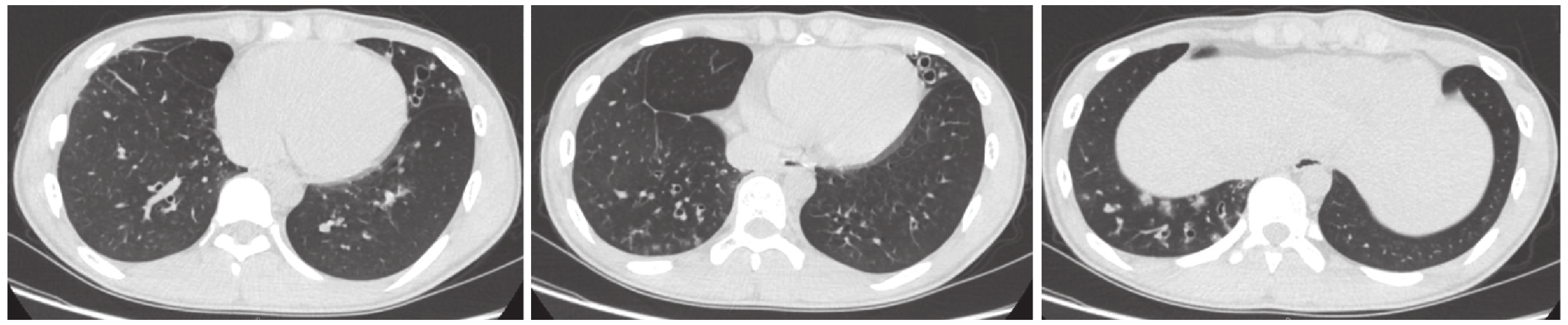
臨床資料 患者男性,16 歲,維吾爾族,主因“咳嗽、咳痰伴間斷發熱 3 年”于 2016 年 5 月 3 日入院。3 年前患者受涼后出現咳嗽、咳痰,為白痰或綠痰,每日 6~10 口;間斷伴畏寒發熱,體溫最高 39 ℃,抗感染治療后可好轉;2 年前胸部 CT 顯示右肺中葉不張伴支氣管擴張(圖 1)。而后行手術切除右肺中葉,術后病理顯示為支氣管擴張,肺出血伴實變,肺門淋巴結反應性增生。1 個月前再次出現咳嗽、咳痰、發熱,當地醫院予對癥治療后好轉。為求進一步診治入我院。患者自發病以來飲食欠佳,精神、睡眠可,大小便正常。既往鼻竇炎和中耳炎 15 年。否認高血壓、糖尿病、腎病、肝炎、結核等病史。生于新疆喀什,久居當地。否認煙酒嗜好。未婚未育。

右肺中葉不張伴支氣管擴張
體格檢查:體溫 36.4 ℃,脈搏 80 次/min,呼吸 22 次/min,血壓 120/80 mm Hg(1 mm Hg=0.133 kPa);鼻無異常,副鼻竇區無壓痛;左耳聽力降低,左外耳道可見分泌物結痂,頸無抵抗,氣管居中;胸廓無畸形,雙肺呼吸音粗糙,可聞及粗濕啰音。心律齊,無雜音;腹平軟,無壓痛,肝脾肋下未及,移動性濁音陰性,雙下肢無水腫。輔助檢查血氣分析(吸入氧濃度 21%):pH7.463,PaO2 55.3 mm Hg,PaCO2 30.4 mm Hg。
初步診斷支氣管擴張、鼻竇炎、中耳炎。入院后查血尿便常規正常,血沉 7 mm/1 h。痰涂片找抗酸桿菌陰性,痰培養陰性,血 T-SPOT-TB 陰性,類風濕因子、抗核抗體譜、抗中性粒細胞胞漿抗體陰性,HIV 抗體陰性,血清免疫球蛋白 A 2.79 g/L(正常值 0.81~2.32 g/L),肺功能顯示為阻塞性通氣功能障礙,FEV1%pred 73.0%,支氣管舒張試驗陽性,彌散功能正常。聽力測聽示雙耳傳導性耳聾,左側明顯。耳鏡檢查顯示左側化膿性中耳炎,右側中耳炎后遺癥。糖精試驗陰性,汗液鉀離子濃度 44.5 mmol/L,鈉離子濃度 44.6 mmol/L。鼻竇 CT 未見明顯異常;胸部高分辨率 CT(HRCT)顯示右肺中葉切除術后,左肺舌葉和右肺下葉支氣管擴張,部分細支氣管腔內可見軟組織密度影(圖 2)。借閱外院病理切片于我院病理科會診結果:(右肺中葉)慢性化膿性細支氣管炎,支氣管擴張,淋巴濾泡性細支氣管炎,肺泡腔內廣泛出血,肺泡上皮細支氣管化生(圖 3)。診斷為濾泡性細支氣管炎(follicular bronchiolitis,FB),予阿奇霉素 0.25 g Qod 口服,福莫特羅/布地奈德 4.5/160 μg 1 吸 Bid 吸入治療。目前仍治療隨訪中,病情穩定。

左肺舌葉及右肺下葉支氣管擴張,右肺下葉沿支氣管分布的斑片狀磨玻璃影及結節影

右肺中葉細支氣管擴張,內徑明顯大于伴行的動脈,周圍大量淋巴細胞浸潤,伴淋巴濾泡形成,周圍肺泡假腺樣支氣管黏膜上皮化生;擴張的支氣管及相鄰的肺泡腔內可見大量紅細胞
討論 FB 是以細支氣管壁伴有生發中心的淋巴樣濾泡增生為特征的慢性氣道炎癥性疾病,FB 的病因不明,大多數為特發性,部分與慢性感染以及炎癥性氣道疾病如纖毛不動綜合征、囊性纖維化、結締組織疾病等有一定的相關性[1]。本患者糖精試驗、汗液電解質檢測及免疫指標檢查均為陰性,基本除外繼發因素,考慮為特發性 FB。
FB 發病率很低,誤診率高;迄今為止,國內外總共才有數十例報道,而國內僅有 2 例[2-4]。FB 患者無特征性臨床表現,這也許是此類患者常被誤診的原因。FB 常見癥狀包括咳嗽、咳痰、呼吸困難、體重減輕和疲勞等;兒童患者還可表現為生長遲緩和反復咯血。由于 FB 患者的細支氣管常被淋巴濾泡所圍繞,因此細支氣管受壓很常見,也成為其某些臨床表現(如阻塞性肺炎或肺不張)及肺功能異常的基礎(肺功能檢查常表現為阻塞性、限制性或混合性通氣功能障礙)[6]。FB 患者的影像學表現為直徑小于 3 mm 的小葉中心結節,斑片狀磨玻璃密度影、樹芽征、馬賽克征、網狀結節狀浸潤,多為彌漫性分布,雙下肺為主[5]。有些病例具有輕度的支氣管擴張,部分患者表現為阻塞性肺炎或肺不張(如本例患者)。
盡管存在提示性的臨床及影像學表現,但 FB 的確診常需要開胸肺活檢或肺穿刺活檢。FB 是一個組織病理學診斷,光鏡下表現為沿氣道的黏膜相關淋巴組織,即支氣管相關淋巴組織的增生。細支氣管周圍有大量的反應性淋巴濾泡,其產生考慮與外源性抗原刺激有關。由于這些淋巴濾泡位于細支氣管及肺動脈之間,可導致細支氣管管腔受壓及梗塞[6-7]。
FB 的潛在原因尚不明確,但如果可以找到原因,治療以對因治療為主。特發性病例則一般用支氣管舒張劑和類固醇治療[1]。大環內酯類最近被提出用于部分患者的嘗試性選擇,并可考慮用于那些皮質類固醇依賴的患者。免疫抑制劑一般僅用于治療無效的病例。FB 盡管發病于童年,被認為是進展性疾病,治療缺乏特效手段,但該病預后尚可[5]。
臨床資料 患者男性,16 歲,維吾爾族,主因“咳嗽、咳痰伴間斷發熱 3 年”于 2016 年 5 月 3 日入院。3 年前患者受涼后出現咳嗽、咳痰,為白痰或綠痰,每日 6~10 口;間斷伴畏寒發熱,體溫最高 39 ℃,抗感染治療后可好轉;2 年前胸部 CT 顯示右肺中葉不張伴支氣管擴張(圖 1)。而后行手術切除右肺中葉,術后病理顯示為支氣管擴張,肺出血伴實變,肺門淋巴結反應性增生。1 個月前再次出現咳嗽、咳痰、發熱,當地醫院予對癥治療后好轉。為求進一步診治入我院。患者自發病以來飲食欠佳,精神、睡眠可,大小便正常。既往鼻竇炎和中耳炎 15 年。否認高血壓、糖尿病、腎病、肝炎、結核等病史。生于新疆喀什,久居當地。否認煙酒嗜好。未婚未育。

右肺中葉不張伴支氣管擴張
體格檢查:體溫 36.4 ℃,脈搏 80 次/min,呼吸 22 次/min,血壓 120/80 mm Hg(1 mm Hg=0.133 kPa);鼻無異常,副鼻竇區無壓痛;左耳聽力降低,左外耳道可見分泌物結痂,頸無抵抗,氣管居中;胸廓無畸形,雙肺呼吸音粗糙,可聞及粗濕啰音。心律齊,無雜音;腹平軟,無壓痛,肝脾肋下未及,移動性濁音陰性,雙下肢無水腫。輔助檢查血氣分析(吸入氧濃度 21%):pH7.463,PaO2 55.3 mm Hg,PaCO2 30.4 mm Hg。
初步診斷支氣管擴張、鼻竇炎、中耳炎。入院后查血尿便常規正常,血沉 7 mm/1 h。痰涂片找抗酸桿菌陰性,痰培養陰性,血 T-SPOT-TB 陰性,類風濕因子、抗核抗體譜、抗中性粒細胞胞漿抗體陰性,HIV 抗體陰性,血清免疫球蛋白 A 2.79 g/L(正常值 0.81~2.32 g/L),肺功能顯示為阻塞性通氣功能障礙,FEV1%pred 73.0%,支氣管舒張試驗陽性,彌散功能正常。聽力測聽示雙耳傳導性耳聾,左側明顯。耳鏡檢查顯示左側化膿性中耳炎,右側中耳炎后遺癥。糖精試驗陰性,汗液鉀離子濃度 44.5 mmol/L,鈉離子濃度 44.6 mmol/L。鼻竇 CT 未見明顯異常;胸部高分辨率 CT(HRCT)顯示右肺中葉切除術后,左肺舌葉和右肺下葉支氣管擴張,部分細支氣管腔內可見軟組織密度影(圖 2)。借閱外院病理切片于我院病理科會診結果:(右肺中葉)慢性化膿性細支氣管炎,支氣管擴張,淋巴濾泡性細支氣管炎,肺泡腔內廣泛出血,肺泡上皮細支氣管化生(圖 3)。診斷為濾泡性細支氣管炎(follicular bronchiolitis,FB),予阿奇霉素 0.25 g Qod 口服,福莫特羅/布地奈德 4.5/160 μg 1 吸 Bid 吸入治療。目前仍治療隨訪中,病情穩定。

左肺舌葉及右肺下葉支氣管擴張,右肺下葉沿支氣管分布的斑片狀磨玻璃影及結節影

右肺中葉細支氣管擴張,內徑明顯大于伴行的動脈,周圍大量淋巴細胞浸潤,伴淋巴濾泡形成,周圍肺泡假腺樣支氣管黏膜上皮化生;擴張的支氣管及相鄰的肺泡腔內可見大量紅細胞
討論 FB 是以細支氣管壁伴有生發中心的淋巴樣濾泡增生為特征的慢性氣道炎癥性疾病,FB 的病因不明,大多數為特發性,部分與慢性感染以及炎癥性氣道疾病如纖毛不動綜合征、囊性纖維化、結締組織疾病等有一定的相關性[1]。本患者糖精試驗、汗液電解質檢測及免疫指標檢查均為陰性,基本除外繼發因素,考慮為特發性 FB。
FB 發病率很低,誤診率高;迄今為止,國內外總共才有數十例報道,而國內僅有 2 例[2-4]。FB 患者無特征性臨床表現,這也許是此類患者常被誤診的原因。FB 常見癥狀包括咳嗽、咳痰、呼吸困難、體重減輕和疲勞等;兒童患者還可表現為生長遲緩和反復咯血。由于 FB 患者的細支氣管常被淋巴濾泡所圍繞,因此細支氣管受壓很常見,也成為其某些臨床表現(如阻塞性肺炎或肺不張)及肺功能異常的基礎(肺功能檢查常表現為阻塞性、限制性或混合性通氣功能障礙)[6]。FB 患者的影像學表現為直徑小于 3 mm 的小葉中心結節,斑片狀磨玻璃密度影、樹芽征、馬賽克征、網狀結節狀浸潤,多為彌漫性分布,雙下肺為主[5]。有些病例具有輕度的支氣管擴張,部分患者表現為阻塞性肺炎或肺不張(如本例患者)。
盡管存在提示性的臨床及影像學表現,但 FB 的確診常需要開胸肺活檢或肺穿刺活檢。FB 是一個組織病理學診斷,光鏡下表現為沿氣道的黏膜相關淋巴組織,即支氣管相關淋巴組織的增生。細支氣管周圍有大量的反應性淋巴濾泡,其產生考慮與外源性抗原刺激有關。由于這些淋巴濾泡位于細支氣管及肺動脈之間,可導致細支氣管管腔受壓及梗塞[6-7]。
FB 的潛在原因尚不明確,但如果可以找到原因,治療以對因治療為主。特發性病例則一般用支氣管舒張劑和類固醇治療[1]。大環內酯類最近被提出用于部分患者的嘗試性選擇,并可考慮用于那些皮質類固醇依賴的患者。免疫抑制劑一般僅用于治療無效的病例。FB 盡管發病于童年,被認為是進展性疾病,治療缺乏特效手段,但該病預后尚可[5]。