引用本文: 夏洪韜, 曹霖, 何正光, 陳亮, 敬毅, 龔宇, 何洋, 劉濤, 趙川, 李毅, 梁宗安. 四川省首發六例人感染 H7N9 禽流感重癥患者的臨床特征分析. 中國呼吸與危重監護雜志, 2017, 16(2): 103-108. doi: 10.7507/1671-6205.201702024 復制
自 2013 年春季我國上海首次發現人感染 H7N9 禽流感[1]以來,中國內地每年春季均有區域性流行,目前已經歷第五波疫情,四川省此前尚無確診 H7N9 病例報道。2017 年 1 月 25 日四川省遂寧市中心醫院首次確診 1 例人感染 H7N9 禽流感病例以來,三周內共確診 6 例患者,均為重癥。為了總結適合基層醫院實施的早期診斷、早期治療方案,我們對 6 例重癥患者的診治經過進行分析總結,以期找出其發病的共同臨床特征。
1 資料與方法
1.1 一般資料
本組 6 例人感染 H7N9 禽流感重癥患者為自 2013 年 H7N9 疫情出現以來四川省首發,地域分布呈現多點散發態勢:遂寧市蓬溪縣 3 例,射洪縣 1 例,大英縣 1 例,毗鄰的中江縣倉山鎮 1 例。其中,男 5 例,女 1 例,年齡 48~75 歲,平均年齡(58.8±8.9)歲,中位年齡 57.5 歲。發病至入院時間平均天數為(6.5±2.7)d,發病至服用奧司他韋時間平均天數為(8.0±2.8)d。6 例患者入院前均有禽類接觸史,但相互間沒有接觸史。6 例患者病情進展迅猛,很快發展成為重癥肺炎、呼吸衰竭和急性呼吸窘迫綜合征(ARDS)。患者的基本人口學信息見表 1。

1.2 方法
參考人感染 H7N9 診療方案(2017 年第 1 版)[2], 對于疑似人感染 H7N9 禽流感患者,在第一時間采 集患者咽拭子標本送遂寧市疾病預防控制中心行病毒核酸檢測并提交四川省疾病預防控制中心復核,最后提交中國疾病預防控制中心再復核。6 例患者均按方案采集咽拭子標本送遂寧市疾病預防控制中心行病毒核酸檢測,結果均為 H7(+),省級和國家級疾控中心復核結果均為 H7N9(+),由此 確診人感染 H7N9 禽流感。
分析 6 例患者發病初期的臨床癥狀、實驗室檢查結果、影像學資料以及在各級醫院的診治經過,找出其共有的臨床特征。
2 結果
2.1 患者就診信息
6 例患者來我院就診距離發病時間 3~10 d,確診時間距離發病時間 3~11 d,到確診時已經歷 2~5 次的轉科或轉院治療,并已使用 2~5 種抗生素。其中 2 例患者直接收入重癥監護病房(ICU),4 例患者最初收入普通臨床科室,病情加重后轉入 ICU。入院診斷均無疑似人感染 H7N9 禽流感。結果見表 2。

2.2 主要癥狀及臨床表現
6 例患者發病初期均有發熱、咳嗽、咳痰、肌肉酸痛等癥狀,體溫波動于 39~40.2℃,其中有 3 例出現寒戰,1 例伴有咯血,1 例伴有嘔吐。患者病情進展迅速,按入院診斷進行的相應治療均無好轉。進入 ICU 時均出現 ARDS、低氧血癥,2 例出現休克,5 例發現有胸腔積液。主要癥狀及臨床表現見表 3。

2.3 入院后第 1 次主要實驗室檢查結果
6 例患者中 4 例白細胞計數減少,2 例增高;5 例淋巴細胞計數明顯減少,1 例處于正常值低限;6 例中性粒細胞百分比、血清 C 反應蛋白均增加;4 例血清降鈣素原增高,其中 2 例同時合并白細胞計數增高者的血清降鈣素原異常增高;6 例血清鈣、磷降低或偏低;6 例患者均有明顯低氧血癥,伴有動脈血二氧化碳分壓(PaCO2)降低。結果見表 4。

2.4 合并臟器功能損害
6 例患者進入 ICU 時均合并多臟器功能損害。其中,所有患者的肺功能均有損害,表現為重癥肺炎;4 例存在心功能損害;4 例存在肝功能損害;5 例存在腎功能損害;5 例存在凝血功能損害;1 例存在腦功能損害。詳細結果見表 5。

2.5 肺部影像學特征
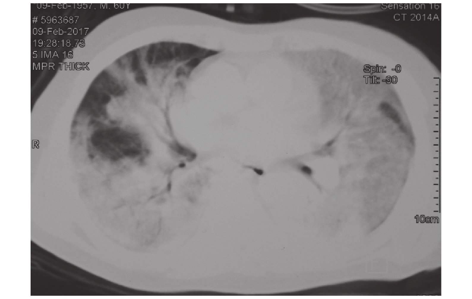
6 例肺部 CT 檢查具有共同特點:(1)病灶以下肺多見,可累計多個肺葉,多為一側肺表現明顯(圖 1~3);(2)主要影像表現有肺實變影、磨玻璃樣影(圖 4);(3)可合并胸腔積液(圖 5);(4)影像學征象變化迅猛,提示病情進展極快(圖 6)。






2.6 初期治療情況
6 例患者經奧司他韋抗病毒、抗感染、呼吸機輔助通氣(ARDS 通氣策略)、重癥營養免疫調理等治療,1 例已達出院標準,5 例仍危重。
3 討論
新頒布的人感染 H7N9 禽流感診療方案(2017 年第 1 版)明確提出“早發現、早報告、早診斷、早治療,提高治愈率、降低病死率”[2]。患者首次就診往往是在基層醫院,如何能夠幫助基層醫生真正做到早發現、早診斷、早治療,避免輕癥轉化為重癥,從而降低病死率,急需進一步明確滿足基層醫院檢查條件的疑似人感染 H7N9 禽流感的診斷標準。因此,根據現有病例資料及文獻復習,擬定出本地區疑似人感染 H7N9 禽流感的排查標準具有重要意義。為了總結出適合基層醫院實施的早期診斷、早期治療的方案,明確哪些患者需要進行病毒核酸檢測和服用奧司他韋抗病毒治療,我們分析了 6 例人感染 H7N9 禽流感重癥患者發病初期臨床特征、診治經過等。
文獻報道,人感染 H7N9 禽流感起病多為流感樣癥狀,較快出現 39 ℃ 以上高熱,且多為反復出現的高熱,前期多為刺激性干咳[3],可伴有肌肉酸痛、胸悶、氣促、惡心、嘔吐等癥狀,病情進展迅速,很快出現呼吸功能衰竭等多個臟器受累表現[4]。本組報道的 6 例患者發病初期均有高熱、咳嗽、咳痰、肌肉酸痛等流感樣癥狀,且有禽類接觸史,在當地鄉衛生院、縣級醫院診治,均按“感冒”“肺炎”等治療,使用多種抗生素效果不佳,體溫未能有效控制。患者的主要癥狀與文獻報道一致。
在實驗室檢查方面,患者多有白細胞下降,但不應作為唯一標準,僅作為預警信號,而同時出現淋巴細胞計數及淋巴細胞百分比降低則需要高度重視。本組患者的 C 反應蛋白均明顯增高,提示 C 反應蛋白可能為人感染 H7N9 禽流感重癥患者的早期預警指標。患者的血清降鈣素原不高或處于低限水平,提示此類患者主要是病毒感染。血生化指標中多數有血清鈣、血清磷不明原因降低,提示患者機體內的鈣和磷被大量地消耗,表明患者可能存在全身炎性反應。因此,對不明原因的血清鈣和血清磷降低者,需注意排查人感染 H7N9 禽流感。
人感染 H7N9 禽流感患者在較短時間即可出現影像學改變,如肺實變、磨玻璃影等,多以下肺為主,侵犯雙肺多個肺葉,常以一側肺為重,常合并胸腔積液[5]。本組患者早期 5 例有胸腔積液,其中 3 例出現大量血性胸腔積液,提示病情極其危重。就目前救治工作進程初步總結,血性胸腔積液患者轉歸緩慢,提示血性胸腔積液可能伴隨較差的預后,因此需要積極干預。
禽類接觸是人感染 H7N9 禽流感發病的危險因素。本組 6 例患者中 5 例來源于農村,但 6 例患者均有禽類接觸史。流行病學調查發現,發病地并無死禽出現,而且 6 例患者相互間也無接觸史。提示其為散發病例。
本組 6 例患者發病初期均按普通感冒或肺炎治療,效果不佳,未能有效控制病情進展。診斷為疑似病例后接受奧司他韋抗病毒、抗感染、呼吸機輔助通氣(ARDS 通氣策略)、重癥營養免疫調理等治療,1 例已達出院標準,5 例仍危重。
分析本組 6 例患者的初期診療經過,有 5 例患者從發病到確診時間均超過 1 周,反映出基層一線醫生對該疾病認識不足,導致診斷延遲、治療延遲。
綜上所述,我們認為凡具有以下要素的患者需要進行病毒核酸檢測及服用奧司他韋:(1)初發癥狀以發熱(高熱)、咳嗽、咳痰、肌肉酸痛為主;(2)血常規指標中白細胞計數、淋巴細胞計數降低或正常;(3)血生化指標中血清鈣、磷降低;(4)CT 檢查顯示雙側受累,以下肺為主,見肺實變、磨玻璃樣影,可伴胸腔積液;(5)禽類接觸史;(6)病情進展迅速,常規治療 48 h 癥狀無改善。奧司他韋的服用不必等待病毒核酸檢測結果,對于高度疑似人感染 H7N9 禽流感患者,建議搶先使用奧司他韋抗病毒治療。
對于咽拭子病毒核酸檢測,則應加強人員培訓。在本組患者的接診過程中 2 例患者的初篩結果呈陰性,但因高度懷疑人感染 H7N9 禽流感,取深部痰標本再次篩查結果為陽性。這提示:臨床診療過程中,需以臨床判斷為主,對高度懷疑者,可多次取咽拭子或深部痰標本行病毒核酸檢測,以減少漏診與假陰性。
及時、準確地發現人感染 H7N9 禽流感患者,早期進行病毒核酸檢測和進行抗病毒治療,可以阻斷輕癥轉化為重癥,降低病死率。遂寧市作為四川省經濟欠發達地區,大規模的篩查存在較大的難度,這就要求村、鄉、縣等基層醫院的醫生具有一定早期鑒別疑似病例的能力。因此,按照人感染 H7N9 禽流感診療方案(2017 年第 1 版)規定,結合根據 6 例確診人感染 H7N9 禽流感重癥病例的臨床特征分析得出的診斷疑似人感染 H7N9 禽流感的幾條標準,我們對我市及周邊村、鄉、縣等基層醫院的醫生進行了防控知識培訓,以便及時發現疑似病例,防止疫情擴散。此外,我們還將嚴密觀察 6 例患者,了解其預后,以積累更多的治療經驗。
自 2013 年春季我國上海首次發現人感染 H7N9 禽流感[1]以來,中國內地每年春季均有區域性流行,目前已經歷第五波疫情,四川省此前尚無確診 H7N9 病例報道。2017 年 1 月 25 日四川省遂寧市中心醫院首次確診 1 例人感染 H7N9 禽流感病例以來,三周內共確診 6 例患者,均為重癥。為了總結適合基層醫院實施的早期診斷、早期治療方案,我們對 6 例重癥患者的診治經過進行分析總結,以期找出其發病的共同臨床特征。
1 資料與方法
1.1 一般資料
本組 6 例人感染 H7N9 禽流感重癥患者為自 2013 年 H7N9 疫情出現以來四川省首發,地域分布呈現多點散發態勢:遂寧市蓬溪縣 3 例,射洪縣 1 例,大英縣 1 例,毗鄰的中江縣倉山鎮 1 例。其中,男 5 例,女 1 例,年齡 48~75 歲,平均年齡(58.8±8.9)歲,中位年齡 57.5 歲。發病至入院時間平均天數為(6.5±2.7)d,發病至服用奧司他韋時間平均天數為(8.0±2.8)d。6 例患者入院前均有禽類接觸史,但相互間沒有接觸史。6 例患者病情進展迅猛,很快發展成為重癥肺炎、呼吸衰竭和急性呼吸窘迫綜合征(ARDS)。患者的基本人口學信息見表 1。

1.2 方法
參考人感染 H7N9 診療方案(2017 年第 1 版)[2], 對于疑似人感染 H7N9 禽流感患者,在第一時間采 集患者咽拭子標本送遂寧市疾病預防控制中心行病毒核酸檢測并提交四川省疾病預防控制中心復核,最后提交中國疾病預防控制中心再復核。6 例患者均按方案采集咽拭子標本送遂寧市疾病預防控制中心行病毒核酸檢測,結果均為 H7(+),省級和國家級疾控中心復核結果均為 H7N9(+),由此 確診人感染 H7N9 禽流感。
分析 6 例患者發病初期的臨床癥狀、實驗室檢查結果、影像學資料以及在各級醫院的診治經過,找出其共有的臨床特征。
2 結果
2.1 患者就診信息
6 例患者來我院就診距離發病時間 3~10 d,確診時間距離發病時間 3~11 d,到確診時已經歷 2~5 次的轉科或轉院治療,并已使用 2~5 種抗生素。其中 2 例患者直接收入重癥監護病房(ICU),4 例患者最初收入普通臨床科室,病情加重后轉入 ICU。入院診斷均無疑似人感染 H7N9 禽流感。結果見表 2。

2.2 主要癥狀及臨床表現
6 例患者發病初期均有發熱、咳嗽、咳痰、肌肉酸痛等癥狀,體溫波動于 39~40.2℃,其中有 3 例出現寒戰,1 例伴有咯血,1 例伴有嘔吐。患者病情進展迅速,按入院診斷進行的相應治療均無好轉。進入 ICU 時均出現 ARDS、低氧血癥,2 例出現休克,5 例發現有胸腔積液。主要癥狀及臨床表現見表 3。

2.3 入院后第 1 次主要實驗室檢查結果
6 例患者中 4 例白細胞計數減少,2 例增高;5 例淋巴細胞計數明顯減少,1 例處于正常值低限;6 例中性粒細胞百分比、血清 C 反應蛋白均增加;4 例血清降鈣素原增高,其中 2 例同時合并白細胞計數增高者的血清降鈣素原異常增高;6 例血清鈣、磷降低或偏低;6 例患者均有明顯低氧血癥,伴有動脈血二氧化碳分壓(PaCO2)降低。結果見表 4。

2.4 合并臟器功能損害
6 例患者進入 ICU 時均合并多臟器功能損害。其中,所有患者的肺功能均有損害,表現為重癥肺炎;4 例存在心功能損害;4 例存在肝功能損害;5 例存在腎功能損害;5 例存在凝血功能損害;1 例存在腦功能損害。詳細結果見表 5。

2.5 肺部影像學特征
6 例肺部 CT 檢查具有共同特點:(1)病灶以下肺多見,可累計多個肺葉,多為一側肺表現明顯(圖 1~3);(2)主要影像表現有肺實變影、磨玻璃樣影(圖 4);(3)可合并胸腔積液(圖 5);(4)影像學征象變化迅猛,提示病情進展極快(圖 6)。






2.6 初期治療情況
6 例患者經奧司他韋抗病毒、抗感染、呼吸機輔助通氣(ARDS 通氣策略)、重癥營養免疫調理等治療,1 例已達出院標準,5 例仍危重。
3 討論
新頒布的人感染 H7N9 禽流感診療方案(2017 年第 1 版)明確提出“早發現、早報告、早診斷、早治療,提高治愈率、降低病死率”[2]。患者首次就診往往是在基層醫院,如何能夠幫助基層醫生真正做到早發現、早診斷、早治療,避免輕癥轉化為重癥,從而降低病死率,急需進一步明確滿足基層醫院檢查條件的疑似人感染 H7N9 禽流感的診斷標準。因此,根據現有病例資料及文獻復習,擬定出本地區疑似人感染 H7N9 禽流感的排查標準具有重要意義。為了總結出適合基層醫院實施的早期診斷、早期治療的方案,明確哪些患者需要進行病毒核酸檢測和服用奧司他韋抗病毒治療,我們分析了 6 例人感染 H7N9 禽流感重癥患者發病初期臨床特征、診治經過等。
文獻報道,人感染 H7N9 禽流感起病多為流感樣癥狀,較快出現 39 ℃ 以上高熱,且多為反復出現的高熱,前期多為刺激性干咳[3],可伴有肌肉酸痛、胸悶、氣促、惡心、嘔吐等癥狀,病情進展迅速,很快出現呼吸功能衰竭等多個臟器受累表現[4]。本組報道的 6 例患者發病初期均有高熱、咳嗽、咳痰、肌肉酸痛等流感樣癥狀,且有禽類接觸史,在當地鄉衛生院、縣級醫院診治,均按“感冒”“肺炎”等治療,使用多種抗生素效果不佳,體溫未能有效控制。患者的主要癥狀與文獻報道一致。
在實驗室檢查方面,患者多有白細胞下降,但不應作為唯一標準,僅作為預警信號,而同時出現淋巴細胞計數及淋巴細胞百分比降低則需要高度重視。本組患者的 C 反應蛋白均明顯增高,提示 C 反應蛋白可能為人感染 H7N9 禽流感重癥患者的早期預警指標。患者的血清降鈣素原不高或處于低限水平,提示此類患者主要是病毒感染。血生化指標中多數有血清鈣、血清磷不明原因降低,提示患者機體內的鈣和磷被大量地消耗,表明患者可能存在全身炎性反應。因此,對不明原因的血清鈣和血清磷降低者,需注意排查人感染 H7N9 禽流感。
人感染 H7N9 禽流感患者在較短時間即可出現影像學改變,如肺實變、磨玻璃影等,多以下肺為主,侵犯雙肺多個肺葉,常以一側肺為重,常合并胸腔積液[5]。本組患者早期 5 例有胸腔積液,其中 3 例出現大量血性胸腔積液,提示病情極其危重。就目前救治工作進程初步總結,血性胸腔積液患者轉歸緩慢,提示血性胸腔積液可能伴隨較差的預后,因此需要積極干預。
禽類接觸是人感染 H7N9 禽流感發病的危險因素。本組 6 例患者中 5 例來源于農村,但 6 例患者均有禽類接觸史。流行病學調查發現,發病地并無死禽出現,而且 6 例患者相互間也無接觸史。提示其為散發病例。
本組 6 例患者發病初期均按普通感冒或肺炎治療,效果不佳,未能有效控制病情進展。診斷為疑似病例后接受奧司他韋抗病毒、抗感染、呼吸機輔助通氣(ARDS 通氣策略)、重癥營養免疫調理等治療,1 例已達出院標準,5 例仍危重。
分析本組 6 例患者的初期診療經過,有 5 例患者從發病到確診時間均超過 1 周,反映出基層一線醫生對該疾病認識不足,導致診斷延遲、治療延遲。
綜上所述,我們認為凡具有以下要素的患者需要進行病毒核酸檢測及服用奧司他韋:(1)初發癥狀以發熱(高熱)、咳嗽、咳痰、肌肉酸痛為主;(2)血常規指標中白細胞計數、淋巴細胞計數降低或正常;(3)血生化指標中血清鈣、磷降低;(4)CT 檢查顯示雙側受累,以下肺為主,見肺實變、磨玻璃樣影,可伴胸腔積液;(5)禽類接觸史;(6)病情進展迅速,常規治療 48 h 癥狀無改善。奧司他韋的服用不必等待病毒核酸檢測結果,對于高度疑似人感染 H7N9 禽流感患者,建議搶先使用奧司他韋抗病毒治療。
對于咽拭子病毒核酸檢測,則應加強人員培訓。在本組患者的接診過程中 2 例患者的初篩結果呈陰性,但因高度懷疑人感染 H7N9 禽流感,取深部痰標本再次篩查結果為陽性。這提示:臨床診療過程中,需以臨床判斷為主,對高度懷疑者,可多次取咽拭子或深部痰標本行病毒核酸檢測,以減少漏診與假陰性。
及時、準確地發現人感染 H7N9 禽流感患者,早期進行病毒核酸檢測和進行抗病毒治療,可以阻斷輕癥轉化為重癥,降低病死率。遂寧市作為四川省經濟欠發達地區,大規模的篩查存在較大的難度,這就要求村、鄉、縣等基層醫院的醫生具有一定早期鑒別疑似病例的能力。因此,按照人感染 H7N9 禽流感診療方案(2017 年第 1 版)規定,結合根據 6 例確診人感染 H7N9 禽流感重癥病例的臨床特征分析得出的診斷疑似人感染 H7N9 禽流感的幾條標準,我們對我市及周邊村、鄉、縣等基層醫院的醫生進行了防控知識培訓,以便及時發現疑似病例,防止疫情擴散。此外,我們還將嚴密觀察 6 例患者,了解其預后,以積累更多的治療經驗。