引用本文: 宋琳, 韓鋒鋒, 崔志磊, 管雯斌, 郭雪君. 原發性肺淋巴上皮瘤樣癌一例并文獻復習. 中國呼吸與危重監護雜志, 2017, 16(6): 575-580. doi: 10.7507/1671-6205.201610028 復制
淋巴上皮瘤樣癌(lymphoepithelioma-like carcinoma,LELC)是指發生于鼻咽部之外,組織病理學與未分化的鼻咽癌相似的惡性腫瘤,多發生于胃、肺、扁桃體、食管、腮腺、胸腺、子宮頸和皮膚等部位[1]。它在組織學上是由未分化癌細胞、豐富的淋巴間質和具有鱗癌細胞超微結構特征的細胞組成。肺原發的 LELC 較為罕見,Bégin 等[2]于 1987 年首次報道了原發性肺淋巴上皮瘤樣癌(primary lymphoepithelioma-like carcinoma of the lung,PLELC of the lung),至今為止僅 200 余例病例報道。我們就近期收治的 1 例肺 PLELC 患者的臨床資料結合相關文獻進行分析總結,現報告如下。
1 臨床資料
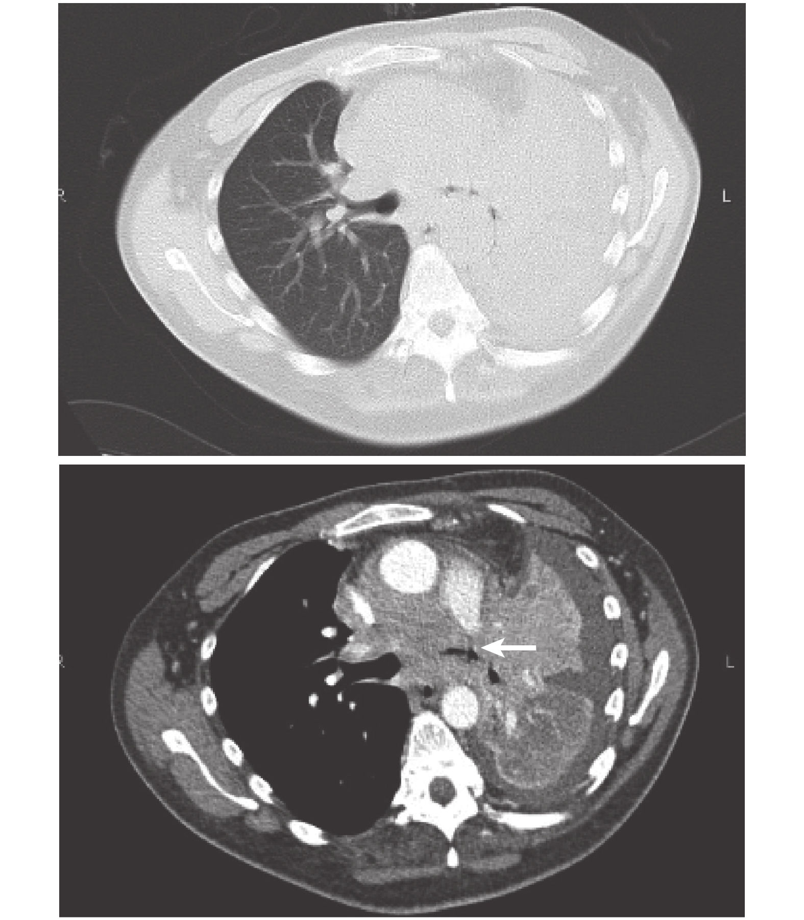
患者,男,36 歲。因“發熱伴咳嗽、咳痰、活動后氣促 1 個月余”入院。既往有強直性脊柱炎病史 12 年,藥物治療控制病情穩定。否認吸煙史和腫瘤家族史。入院查體:體溫 38 ℃,呼吸 20 次/min,脈搏 124 次/min,血壓 120/80 mm Hg(1 mm Hg=0.133 kPa)。神志清晰,呼吸平穩。全身皮膚未及黃染,無瘀點、瘀斑。淺表淋巴結未及腫大。右肺呼吸音稍粗,左肺呼吸音低,未及明顯干濕性啰音。心率 124 次/min,律齊,心音有力。腹平軟,無壓痛、反跳痛及肌衛,肝脾肋下未觸及,雙下肢無浮腫。脊柱后凸強直性固定。神經系統查體未發現明顯異常。血常規:C 反應蛋白 160 mg/L,白細胞計數 15.4×109/L,中性粒細胞百分比 87.6%,D-二聚體 0.64 mg/L,肝腎功能正常,白蛋白 28.0 g/L,肌酸激酶同工酶 42.00 U/L,a-羥丁酸脫氫酶 749 U/L,乳酸脫氫酶 1 138 U/L,N 端腦鈉肽前體 214.50 pg/ml,肌鈣蛋白 I 0.020 ng/ml,降鈣素原 0.18 ng/ml,甲胎蛋白 2.07 ng/ml,癌胚抗原 0.49 ng/ml,糖類抗原 CA19-9 8.27 U/ml,糖類抗原 CA125 188.40 U/ml,糖類抗原 CA15-3 20.64 U/ml,糖類抗原 CA724 0.97 U/ml,糖類抗原 CA211 132.40 ng/ml,神經烯醇化酶 14.45 μg/L,鱗狀細胞癌抗原 0.60 ng/ml,免疫球蛋白 E 22.80 IU/ml,EB 病毒(Epstein-Barr virus,EBV)早期抗原(early antigen,EA)113 U/ml,EBV 核抗原(nuclear antigen,NA)>600 U/ml,EBV DNA(+)。淋巴結超聲檢查:雙側頸部多發淋巴結腫大,結構消失,部分相互融合,雙側鎖骨上淋巴結異常腫大,后腹膜、雙側頸部、腋窩、腹股溝未見明顯異常腫大淋巴結。電子支氣管鏡檢查:左主支氣管內新生物將管腔基本阻塞。鼻竇部增強 CT 檢查:鼻咽部 CT 掃描未見明顯異常。肺動脈血管造影檢查:左肺上葉占位可能,左側氣管及其分叉管壁欠均勻、管腔狹窄,縱隔淋巴結腫大,左肺下葉炎癥,左側胸腔積液,心包積液。CT 血管造影示左肺動脈變細,分支顯示不清(圖 1)。上腹部增強 CT 檢查:肝內多發轉移,腹水(圖 2)。肺通氣灌注掃描檢查:左肺通氣功能與血流灌注均極差;右肺通氣及血流灌注均未見異常。雙側下肢深靜脈彩超檢查:管腔內血流通暢,未見栓塞表現。心臟彩超:心包積液極少量,肺動脈稍增寬,左心室收縮功能正常。患者因強直性脊柱炎無法平臥,呈強迫體位,無法耐受鼻咽鏡、正電子發射計算機斷層顯像、骨掃描、頭顱磁共振等檢查評估病情。支氣管鏡活檢病理提示巢狀腫瘤細胞,細胞核呈空泡狀,腫瘤間質有淋巴細胞浸潤,原位雜交檢測 EBV 編碼小核 RNA(EBV-encoded small nuclear RNA,EBER)陽性(圖 3),經鼻竇增強 CT 排除鼻咽癌后明確診斷為原發性 PLELC。給予泰素帝聯合奈達鉑(TP)方案化療 2 次后患者臨床癥狀明顯改善,血白蛋白水平恢復正常,乳酸脫氫酶降低,復查胸部 CT 顯示左肺不張好轉,肺內腫塊明顯縮小(圖 4a、4b),后又給予患者 TP 方案化療 4 次,化療療效評估為病情穩定(stable disease,SD)(圖 4c、4d)。但化療結束后 1 個月患者再次出現胸悶氣促癥狀加重,胸部增強 CT 提示大量心包積液、胸腔積液,左肺病灶較前進展(圖 4e~4h)。患者無法耐受化療,僅接受對癥支持治療,最終死亡。




2 文獻復習
以“肺淋巴上皮瘤樣癌”為關鍵詞通過萬方數據庫、中國知網進行檢索,以“primary lymphoepithelioma-like carcinoma of the lung”為關鍵詞通過 PubMed 數據庫進行檢索,檢索時間 2016 年 9 月截止。檢索到符合要求的中文文獻 18 篇、外文文獻 25 篇。絕大多數病例報道都來自亞洲國家,特別是我國的廣州、香港、臺灣等地的病例報道多見[3-6]。病例報道以個案報道為主,少數為 10 例以上的病例總結和分析。韓安家等[3]最早在國內對 26 例肺 PLELC 患者的病理特點及預后進行了分析總結。此后張冬坤等[4]分析了 11 例肺 PLELC 患者臨床特點,夏金晶等[5]分析了 21 例手術確診患者臨床特點及預后,蔣牧良等[6]總結了肺 PLELC 影像學特點。
流行病學資料顯示肺 PLELC 多見于不吸煙的年輕患者,無男女性別差異,提示吸煙可能并非其主要發病機制。目前運用 PCR、免疫組化、原位雜交等技術在肺 PLELC 患者中發現 EBV 感染證據,提示該病與鼻咽癌發病機制相似,均與 EBV 感染密切相關[7]。
肺 PLELC 的臨床表現缺乏特異性,主要臨床癥狀包括咳嗽(47%)、咯血(30%)、無癥狀(22%)、胸痛(13%)、氣促(5%)、體重減輕(5%)等[8-9]。肺 PLELC 患者胸部 CT 的主要特征包括:腫塊多較大(平均最大直徑 7.1 cm),肺中央部位(靠近縱隔)多見,邊界清楚,易累及支氣管周圍淋巴結,出現血管包繞、鈣化相對少見[10-11]。Ooi 等[10]認為“包繞血管征”是肺 PLELC 的特征性表現,表現為腫塊包繞鄰近支氣管血管,供血動脈進入腫塊內部并增粗,該征象的出現可能與腫瘤增大、供血需求增加有關。肺 PLELC 容易發生淋巴結轉移,多轉移至肺門或縱隔淋巴結,受累淋巴結密度均勻,增強掃描多為均勻強化[12]。
對早期患者提倡手術治療,而進展或晚期患者建議多學科綜合治療,包括手術、化療、放療等綜合治療[9, 13-14]。在至今報道的 200 余例肺 PLELC 病例中,超過一半的患者為Ⅰ、Ⅱ期患者。Chan 等[13]總結了 9 例肺 PLELC 的治療結果,對于臨床診斷為Ⅰ~Ⅲa 期的患者接受以手術治療為基礎的綜合治療,而Ⅲb 和Ⅳ期患者僅接受姑息性化療、放療或二者聯合治療。除 1 例Ⅰ期患者外,其余 8 例均進行化療,部分緩解率達 71.4%。張冬坤等[4]的病例總結也提示即使不能手術的晚期肺 PLELC 患者,給予化療和放療等姑息治療仍有較好臨床療效。
化療方案的選擇由于樣本量的限制尚無法評估不同化療方案的優劣,現有的文獻資料建議一線化療方案為以鉑類為基礎的兩藥聯合方案(聯合吉西他濱、培美曲塞或多西他賽)[9]。靶向治療作為晚期肺腺癌的一線或二線治療方案,但在肺 PLELC 中的作用研究甚少。小樣本的研究表明 PLELC 中表皮生長因子受體(epidermal growth factor receptor,EGFR)突變率非常低[15-16]。Wang 等[15]研究了 42 例肺 PLELC 患者,所有患者間變性淋巴瘤激酶(anaplastic lymphoma kinase,ALK)檢測均陰性,僅 1 例患者 EGFR 突變陽性,吉非替尼治療后無進展生存期僅 1 個月,提示 EGFR 突變或 ALK 突變在肺 PLELC 患者中罕見,并非其主要的致癌驅動基因。
Liang 等[17]對 52 例肺 PLELC 患者臨床隨訪發現,早期可手術切除的患者多預后良好,在 40 例經過完整手術切除的患者中,僅 6 例患者在術后 10.6~41.1 個月出現復發。Huang 等[14]對肺 PLELC 患者治療及預后進行分析,認為 PLELC 患者對放化療敏感,大多數早期或局灶進展期患者采用多學科綜合治療預后良好。
3 討論
肺 PLELC 是一種非常罕見的肺惡性腫瘤,其發生具有明顯的地域性和種族性,全球近 2/3 的病例來自中國南方,廣州、香港、臺灣等地的病例報道多見[9, 17-18]。PLELC 發病率極低,僅占肺癌的 0.9%[9, 17]。2004 年世界衛生組織制定的肺與胸膜腫瘤組織學分類中,將其視為肺大細胞癌的一個亞型。在最新的 2015 年 WHO 分類中,肺 PLELC 被列為其他和未分類癌中[19]。
肺 PLELC 患者發病年齡在 8~78 歲,較其他組織學類型肺癌的平均發病年齡小 10 歲,且多見于不吸煙的年輕患者,亞洲人特別是中國人多見[7, 18],這些流行病學特征與常見組織學類型的肺癌不相符。通過檢測患者血 EBV DNA、病理組織中 EBV DNA 或 RNA、EBV 相關蛋白發現 EBV 感染的證據,提示 EBV 感染可能與腫瘤發生有關[9]。本例患者為年輕男性,否認吸煙史或職業環境接觸,外周血 EBV DNA 持續陽性,原位雜交法在腫瘤細胞中發現 EBER 陽性,均提示腫瘤的發生與 EBV 感染有關。這一特點也提示臨床醫生在臨床上碰到年齡相對較輕、肺內占位性病變的患者需考慮到肺 PLELC 的可能性,及早進行血 EBV DNA 及病理組織 EBER 檢測。
肺 PLELC 患者的臨床及影像表現缺乏特異性。本例患者胸部 CT 可見左上肺靠近縱隔的軟組織影并侵犯左主支氣管及周圍淋巴結,病灶與縱隔結構間隙消失,均符合惡性腫瘤的影像表現。其診斷主要依靠病理和免疫組織化學。淋巴上皮瘤樣癌名稱的由來在于其病理上有獨特的特征,典型的鏡下病理表現為腫瘤細胞呈合胞體狀排列,細胞核大,呈空泡狀,核仁明顯,周圍間質有豐富的淋巴細胞和漿細胞浸潤,包繞腫瘤細胞形成癌巢,無明顯的細胞間橋和角化形成[20]。通過免疫組化方法可以與肉瘤樣癌、淋巴瘤相鑒別[21]。若患者肺部出現 LELC 的影像表現,需排除轉移性 LELC 后方可考慮肺 PLELC。因 LELC 好發于鼻咽部,故應首先排除鼻咽部 LELC 肺轉移。通過鼻咽纖維鏡或者鼻咽部活檢結合 CT、MRI 來排除[17, 22-23]。該患者支氣管鏡病理上可見多邊形、短梭形的腫瘤細胞呈癌巢狀排列(圖 3),EBER 陽性,因患者無法耐受鼻咽鏡檢查,鑒于鼻竇部增強 CT 未見明顯異常,故仍考慮肺 PLELC 的診斷。
肺 PLELC 患者的治療建議手術、化療、放療等多學科綜合治療,并不建議針對 EBV 進行治療,早期患者手術切除多預后良好。此患者因強直性脊柱炎存在脊柱后凸強直性固定,無法平臥,放療科會診后考慮無病灶放療條件,且存在肝臟多發轉移,無手術治療機會,結合文獻我們給患者制定了泰素帝聯合奈達鉑的化療方案,化療 6 次患者耐受良好,病情評估為 SD。但化療結束后 1 個月患者再次出現胸悶氣促癥狀加重住院治療,胸部增強 CT 提示大量心包積液、胸腔積液、左肺病灶較前進展。患者臨床狀況評分僅 3 分,無法耐受再次化療,僅接受對癥支持治療,并最終死亡。
對于肺 PLELC 患者是否適用靶向治療,目前的研究樣本量較少也缺乏定論。僅有的資料顯示肺 PLELC 患者組織中 EGFR 和 ALK 突變十分罕見,并不建議患者采用針對 EGFR 或 ALK 的靶向治療。人們嘗試尋找新的靶向治療選擇。程序性死亡受體 1(programmed death receptor-1,PD-1)是一種重要的免疫抑制分子,以程序性死亡受體 1/程序性死亡受體配體 1(PD-1/PD-L1)為靶點的免疫調節是抗腫瘤研究的熱點。程序性死亡受體配體 1(programmed death ligand-1,PD-L1)在非小細胞肺癌患者的檢出率為 51.4%,而在肺 PLELC 患者高達 74.3%,高 PD-L1 表達組患者無進展生存期明顯低于低 PD-L1 表達組。因此針對 PD-1/PD-L1 的藥物有望用于肺 PLELC 治療[24-25]。
肺 PLELC 患者中位生存期為 107 個月,總生存期明顯優于與其他類型肺癌如大細胞癌、腺癌或鱗癌患者[12, 14, 26-27]。Liang 等[17]對 52 例肺 PLELC 患者長期隨訪中發現,2 年及 5 年總生存率分別為 88% 和 62%。疾病分期早、血清乳酸脫氫酶水平正常、白蛋白水平正常、無淋巴結轉移、完整手術切除的患者多預后良好。早期手術切除的患者,是否接受輔助化療并不影響生存率,而手術切除的Ⅲa 期患者,輔助化療能夠改善患者預后。此患者初次就診時疾病分期為Ⅳ期(無手術條件)、血清高乳酸脫氫酶水平、低蛋白血癥、多發淋巴結轉移,上述臨床表型特征均提示預后差。此外患者由于強直性脊柱炎無法行肺內病灶和肝臟轉移病灶的放療,也是患者預后差的重要原因之一。
在隨訪過程中除了常規影像學資料來評估病情,也可以通過測量血液中 EBV DNA 來進行病情監測及判斷是否早期復發。在 19 例肺 PLELC 患者通過定量 PCR 檢測血 EBV DNA 水平,結果發現在治療前 12 例患者中有 11 例檢測到 EBV DNA 陽性,且 EBV DNA 滴度隨化療進行會逐漸下降,與其治療反應相關[9]。并且在 5 例臨床上沒有腫瘤存在依據的患者中 EBV DNA 陰性,提示其可能可作為監測疾病治療療效的指標之一,特別對于放射學上無法用常規方法判斷是否存在腫瘤殘留的患者[9, 12]。本例患者化療 6 次后隨訪 EBV DNA 和 EBV EA、EBV NA 水平較化療前無明顯下降,EBV 復制仍處于高水平,提示疾病預后差,此患者的隨訪過程也證實了這一點,在停止化療 1 個月觀察中患者出現病情進展并很快死亡。
綜上所述,肺 PLELC 是一種罕見的肺部惡性腫瘤,發病可能與 EBV 感染有關,其臨床表現及影像學表現缺乏特異性,對放射治療和化學治療敏感[11],轉移發生率低,大多數患者預后較其他類型肺癌好[17, 23]。早期發現后采取手術為主的綜合治療方案多能使患者獲益。肺 PLELC 由于病例數少,化療方案的選擇僅能參考個例報道,需要更多大樣本的臨床對照研究數據為臨床治療提供依據。
淋巴上皮瘤樣癌(lymphoepithelioma-like carcinoma,LELC)是指發生于鼻咽部之外,組織病理學與未分化的鼻咽癌相似的惡性腫瘤,多發生于胃、肺、扁桃體、食管、腮腺、胸腺、子宮頸和皮膚等部位[1]。它在組織學上是由未分化癌細胞、豐富的淋巴間質和具有鱗癌細胞超微結構特征的細胞組成。肺原發的 LELC 較為罕見,Bégin 等[2]于 1987 年首次報道了原發性肺淋巴上皮瘤樣癌(primary lymphoepithelioma-like carcinoma of the lung,PLELC of the lung),至今為止僅 200 余例病例報道。我們就近期收治的 1 例肺 PLELC 患者的臨床資料結合相關文獻進行分析總結,現報告如下。
1 臨床資料
患者,男,36 歲。因“發熱伴咳嗽、咳痰、活動后氣促 1 個月余”入院。既往有強直性脊柱炎病史 12 年,藥物治療控制病情穩定。否認吸煙史和腫瘤家族史。入院查體:體溫 38 ℃,呼吸 20 次/min,脈搏 124 次/min,血壓 120/80 mm Hg(1 mm Hg=0.133 kPa)。神志清晰,呼吸平穩。全身皮膚未及黃染,無瘀點、瘀斑。淺表淋巴結未及腫大。右肺呼吸音稍粗,左肺呼吸音低,未及明顯干濕性啰音。心率 124 次/min,律齊,心音有力。腹平軟,無壓痛、反跳痛及肌衛,肝脾肋下未觸及,雙下肢無浮腫。脊柱后凸強直性固定。神經系統查體未發現明顯異常。血常規:C 反應蛋白 160 mg/L,白細胞計數 15.4×109/L,中性粒細胞百分比 87.6%,D-二聚體 0.64 mg/L,肝腎功能正常,白蛋白 28.0 g/L,肌酸激酶同工酶 42.00 U/L,a-羥丁酸脫氫酶 749 U/L,乳酸脫氫酶 1 138 U/L,N 端腦鈉肽前體 214.50 pg/ml,肌鈣蛋白 I 0.020 ng/ml,降鈣素原 0.18 ng/ml,甲胎蛋白 2.07 ng/ml,癌胚抗原 0.49 ng/ml,糖類抗原 CA19-9 8.27 U/ml,糖類抗原 CA125 188.40 U/ml,糖類抗原 CA15-3 20.64 U/ml,糖類抗原 CA724 0.97 U/ml,糖類抗原 CA211 132.40 ng/ml,神經烯醇化酶 14.45 μg/L,鱗狀細胞癌抗原 0.60 ng/ml,免疫球蛋白 E 22.80 IU/ml,EB 病毒(Epstein-Barr virus,EBV)早期抗原(early antigen,EA)113 U/ml,EBV 核抗原(nuclear antigen,NA)>600 U/ml,EBV DNA(+)。淋巴結超聲檢查:雙側頸部多發淋巴結腫大,結構消失,部分相互融合,雙側鎖骨上淋巴結異常腫大,后腹膜、雙側頸部、腋窩、腹股溝未見明顯異常腫大淋巴結。電子支氣管鏡檢查:左主支氣管內新生物將管腔基本阻塞。鼻竇部增強 CT 檢查:鼻咽部 CT 掃描未見明顯異常。肺動脈血管造影檢查:左肺上葉占位可能,左側氣管及其分叉管壁欠均勻、管腔狹窄,縱隔淋巴結腫大,左肺下葉炎癥,左側胸腔積液,心包積液。CT 血管造影示左肺動脈變細,分支顯示不清(圖 1)。上腹部增強 CT 檢查:肝內多發轉移,腹水(圖 2)。肺通氣灌注掃描檢查:左肺通氣功能與血流灌注均極差;右肺通氣及血流灌注均未見異常。雙側下肢深靜脈彩超檢查:管腔內血流通暢,未見栓塞表現。心臟彩超:心包積液極少量,肺動脈稍增寬,左心室收縮功能正常。患者因強直性脊柱炎無法平臥,呈強迫體位,無法耐受鼻咽鏡、正電子發射計算機斷層顯像、骨掃描、頭顱磁共振等檢查評估病情。支氣管鏡活檢病理提示巢狀腫瘤細胞,細胞核呈空泡狀,腫瘤間質有淋巴細胞浸潤,原位雜交檢測 EBV 編碼小核 RNA(EBV-encoded small nuclear RNA,EBER)陽性(圖 3),經鼻竇增強 CT 排除鼻咽癌后明確診斷為原發性 PLELC。給予泰素帝聯合奈達鉑(TP)方案化療 2 次后患者臨床癥狀明顯改善,血白蛋白水平恢復正常,乳酸脫氫酶降低,復查胸部 CT 顯示左肺不張好轉,肺內腫塊明顯縮小(圖 4a、4b),后又給予患者 TP 方案化療 4 次,化療療效評估為病情穩定(stable disease,SD)(圖 4c、4d)。但化療結束后 1 個月患者再次出現胸悶氣促癥狀加重,胸部增強 CT 提示大量心包積液、胸腔積液,左肺病灶較前進展(圖 4e~4h)。患者無法耐受化療,僅接受對癥支持治療,最終死亡。




2 文獻復習
以“肺淋巴上皮瘤樣癌”為關鍵詞通過萬方數據庫、中國知網進行檢索,以“primary lymphoepithelioma-like carcinoma of the lung”為關鍵詞通過 PubMed 數據庫進行檢索,檢索時間 2016 年 9 月截止。檢索到符合要求的中文文獻 18 篇、外文文獻 25 篇。絕大多數病例報道都來自亞洲國家,特別是我國的廣州、香港、臺灣等地的病例報道多見[3-6]。病例報道以個案報道為主,少數為 10 例以上的病例總結和分析。韓安家等[3]最早在國內對 26 例肺 PLELC 患者的病理特點及預后進行了分析總結。此后張冬坤等[4]分析了 11 例肺 PLELC 患者臨床特點,夏金晶等[5]分析了 21 例手術確診患者臨床特點及預后,蔣牧良等[6]總結了肺 PLELC 影像學特點。
流行病學資料顯示肺 PLELC 多見于不吸煙的年輕患者,無男女性別差異,提示吸煙可能并非其主要發病機制。目前運用 PCR、免疫組化、原位雜交等技術在肺 PLELC 患者中發現 EBV 感染證據,提示該病與鼻咽癌發病機制相似,均與 EBV 感染密切相關[7]。
肺 PLELC 的臨床表現缺乏特異性,主要臨床癥狀包括咳嗽(47%)、咯血(30%)、無癥狀(22%)、胸痛(13%)、氣促(5%)、體重減輕(5%)等[8-9]。肺 PLELC 患者胸部 CT 的主要特征包括:腫塊多較大(平均最大直徑 7.1 cm),肺中央部位(靠近縱隔)多見,邊界清楚,易累及支氣管周圍淋巴結,出現血管包繞、鈣化相對少見[10-11]。Ooi 等[10]認為“包繞血管征”是肺 PLELC 的特征性表現,表現為腫塊包繞鄰近支氣管血管,供血動脈進入腫塊內部并增粗,該征象的出現可能與腫瘤增大、供血需求增加有關。肺 PLELC 容易發生淋巴結轉移,多轉移至肺門或縱隔淋巴結,受累淋巴結密度均勻,增強掃描多為均勻強化[12]。
對早期患者提倡手術治療,而進展或晚期患者建議多學科綜合治療,包括手術、化療、放療等綜合治療[9, 13-14]。在至今報道的 200 余例肺 PLELC 病例中,超過一半的患者為Ⅰ、Ⅱ期患者。Chan 等[13]總結了 9 例肺 PLELC 的治療結果,對于臨床診斷為Ⅰ~Ⅲa 期的患者接受以手術治療為基礎的綜合治療,而Ⅲb 和Ⅳ期患者僅接受姑息性化療、放療或二者聯合治療。除 1 例Ⅰ期患者外,其余 8 例均進行化療,部分緩解率達 71.4%。張冬坤等[4]的病例總結也提示即使不能手術的晚期肺 PLELC 患者,給予化療和放療等姑息治療仍有較好臨床療效。
化療方案的選擇由于樣本量的限制尚無法評估不同化療方案的優劣,現有的文獻資料建議一線化療方案為以鉑類為基礎的兩藥聯合方案(聯合吉西他濱、培美曲塞或多西他賽)[9]。靶向治療作為晚期肺腺癌的一線或二線治療方案,但在肺 PLELC 中的作用研究甚少。小樣本的研究表明 PLELC 中表皮生長因子受體(epidermal growth factor receptor,EGFR)突變率非常低[15-16]。Wang 等[15]研究了 42 例肺 PLELC 患者,所有患者間變性淋巴瘤激酶(anaplastic lymphoma kinase,ALK)檢測均陰性,僅 1 例患者 EGFR 突變陽性,吉非替尼治療后無進展生存期僅 1 個月,提示 EGFR 突變或 ALK 突變在肺 PLELC 患者中罕見,并非其主要的致癌驅動基因。
Liang 等[17]對 52 例肺 PLELC 患者臨床隨訪發現,早期可手術切除的患者多預后良好,在 40 例經過完整手術切除的患者中,僅 6 例患者在術后 10.6~41.1 個月出現復發。Huang 等[14]對肺 PLELC 患者治療及預后進行分析,認為 PLELC 患者對放化療敏感,大多數早期或局灶進展期患者采用多學科綜合治療預后良好。
3 討論
肺 PLELC 是一種非常罕見的肺惡性腫瘤,其發生具有明顯的地域性和種族性,全球近 2/3 的病例來自中國南方,廣州、香港、臺灣等地的病例報道多見[9, 17-18]。PLELC 發病率極低,僅占肺癌的 0.9%[9, 17]。2004 年世界衛生組織制定的肺與胸膜腫瘤組織學分類中,將其視為肺大細胞癌的一個亞型。在最新的 2015 年 WHO 分類中,肺 PLELC 被列為其他和未分類癌中[19]。
肺 PLELC 患者發病年齡在 8~78 歲,較其他組織學類型肺癌的平均發病年齡小 10 歲,且多見于不吸煙的年輕患者,亞洲人特別是中國人多見[7, 18],這些流行病學特征與常見組織學類型的肺癌不相符。通過檢測患者血 EBV DNA、病理組織中 EBV DNA 或 RNA、EBV 相關蛋白發現 EBV 感染的證據,提示 EBV 感染可能與腫瘤發生有關[9]。本例患者為年輕男性,否認吸煙史或職業環境接觸,外周血 EBV DNA 持續陽性,原位雜交法在腫瘤細胞中發現 EBER 陽性,均提示腫瘤的發生與 EBV 感染有關。這一特點也提示臨床醫生在臨床上碰到年齡相對較輕、肺內占位性病變的患者需考慮到肺 PLELC 的可能性,及早進行血 EBV DNA 及病理組織 EBER 檢測。
肺 PLELC 患者的臨床及影像表現缺乏特異性。本例患者胸部 CT 可見左上肺靠近縱隔的軟組織影并侵犯左主支氣管及周圍淋巴結,病灶與縱隔結構間隙消失,均符合惡性腫瘤的影像表現。其診斷主要依靠病理和免疫組織化學。淋巴上皮瘤樣癌名稱的由來在于其病理上有獨特的特征,典型的鏡下病理表現為腫瘤細胞呈合胞體狀排列,細胞核大,呈空泡狀,核仁明顯,周圍間質有豐富的淋巴細胞和漿細胞浸潤,包繞腫瘤細胞形成癌巢,無明顯的細胞間橋和角化形成[20]。通過免疫組化方法可以與肉瘤樣癌、淋巴瘤相鑒別[21]。若患者肺部出現 LELC 的影像表現,需排除轉移性 LELC 后方可考慮肺 PLELC。因 LELC 好發于鼻咽部,故應首先排除鼻咽部 LELC 肺轉移。通過鼻咽纖維鏡或者鼻咽部活檢結合 CT、MRI 來排除[17, 22-23]。該患者支氣管鏡病理上可見多邊形、短梭形的腫瘤細胞呈癌巢狀排列(圖 3),EBER 陽性,因患者無法耐受鼻咽鏡檢查,鑒于鼻竇部增強 CT 未見明顯異常,故仍考慮肺 PLELC 的診斷。
肺 PLELC 患者的治療建議手術、化療、放療等多學科綜合治療,并不建議針對 EBV 進行治療,早期患者手術切除多預后良好。此患者因強直性脊柱炎存在脊柱后凸強直性固定,無法平臥,放療科會診后考慮無病灶放療條件,且存在肝臟多發轉移,無手術治療機會,結合文獻我們給患者制定了泰素帝聯合奈達鉑的化療方案,化療 6 次患者耐受良好,病情評估為 SD。但化療結束后 1 個月患者再次出現胸悶氣促癥狀加重住院治療,胸部增強 CT 提示大量心包積液、胸腔積液、左肺病灶較前進展。患者臨床狀況評分僅 3 分,無法耐受再次化療,僅接受對癥支持治療,并最終死亡。
對于肺 PLELC 患者是否適用靶向治療,目前的研究樣本量較少也缺乏定論。僅有的資料顯示肺 PLELC 患者組織中 EGFR 和 ALK 突變十分罕見,并不建議患者采用針對 EGFR 或 ALK 的靶向治療。人們嘗試尋找新的靶向治療選擇。程序性死亡受體 1(programmed death receptor-1,PD-1)是一種重要的免疫抑制分子,以程序性死亡受體 1/程序性死亡受體配體 1(PD-1/PD-L1)為靶點的免疫調節是抗腫瘤研究的熱點。程序性死亡受體配體 1(programmed death ligand-1,PD-L1)在非小細胞肺癌患者的檢出率為 51.4%,而在肺 PLELC 患者高達 74.3%,高 PD-L1 表達組患者無進展生存期明顯低于低 PD-L1 表達組。因此針對 PD-1/PD-L1 的藥物有望用于肺 PLELC 治療[24-25]。
肺 PLELC 患者中位生存期為 107 個月,總生存期明顯優于與其他類型肺癌如大細胞癌、腺癌或鱗癌患者[12, 14, 26-27]。Liang 等[17]對 52 例肺 PLELC 患者長期隨訪中發現,2 年及 5 年總生存率分別為 88% 和 62%。疾病分期早、血清乳酸脫氫酶水平正常、白蛋白水平正常、無淋巴結轉移、完整手術切除的患者多預后良好。早期手術切除的患者,是否接受輔助化療并不影響生存率,而手術切除的Ⅲa 期患者,輔助化療能夠改善患者預后。此患者初次就診時疾病分期為Ⅳ期(無手術條件)、血清高乳酸脫氫酶水平、低蛋白血癥、多發淋巴結轉移,上述臨床表型特征均提示預后差。此外患者由于強直性脊柱炎無法行肺內病灶和肝臟轉移病灶的放療,也是患者預后差的重要原因之一。
在隨訪過程中除了常規影像學資料來評估病情,也可以通過測量血液中 EBV DNA 來進行病情監測及判斷是否早期復發。在 19 例肺 PLELC 患者通過定量 PCR 檢測血 EBV DNA 水平,結果發現在治療前 12 例患者中有 11 例檢測到 EBV DNA 陽性,且 EBV DNA 滴度隨化療進行會逐漸下降,與其治療反應相關[9]。并且在 5 例臨床上沒有腫瘤存在依據的患者中 EBV DNA 陰性,提示其可能可作為監測疾病治療療效的指標之一,特別對于放射學上無法用常規方法判斷是否存在腫瘤殘留的患者[9, 12]。本例患者化療 6 次后隨訪 EBV DNA 和 EBV EA、EBV NA 水平較化療前無明顯下降,EBV 復制仍處于高水平,提示疾病預后差,此患者的隨訪過程也證實了這一點,在停止化療 1 個月觀察中患者出現病情進展并很快死亡。
綜上所述,肺 PLELC 是一種罕見的肺部惡性腫瘤,發病可能與 EBV 感染有關,其臨床表現及影像學表現缺乏特異性,對放射治療和化學治療敏感[11],轉移發生率低,大多數患者預后較其他類型肺癌好[17, 23]。早期發現后采取手術為主的綜合治療方案多能使患者獲益。肺 PLELC 由于病例數少,化療方案的選擇僅能參考個例報道,需要更多大樣本的臨床對照研究數據為臨床治療提供依據。