引用本文: 胡猛, 符媛媛, 熊強. CT 引導下經皮肺穿刺活檢術對 438 例肺部腫塊的臨床診斷意義. 中國呼吸與危重監護雜志, 2017, 16(1): 34-39. doi: 10.7507/1671-6205.201608035 復制
肺癌是全球惡性腫瘤最常見的癌癥之一,近年來發病率有逐年增高的趨勢。《2012 中國腫瘤登記年報》數據顯示,我國肺癌的死亡率從 1970 年以后到現在增加了 465%,發病率每年增長 26.9%,高居城市地區腫瘤發病率及死亡率首位,并且呈現出年輕化的趨勢,預計到 2025 年左右,中國患肺癌人數預計可能超過 100 萬,成為全球頭號肺癌大國。因此,盡早做出準確診斷顯得尤為重要。CT 引導下經皮肺穿刺活檢術是目前診斷肺部占位性病變的重要方法[1]。本研究旨在通過對 2015 年 1 月至 2016 年 6 月間在我院接受 CT 引導下經皮肺穿刺活檢術的 438 例患者進行回顧性統計,分析其在肺部腫塊的臨床價值及安全性。
1 資料與方法
1.1 一般臨床資料
選擇 2015 年 1 月至 2016 年 6 月間住院且行 CT 引導下經皮肺穿刺活檢術患者。納入標準:肺內孤立性腫塊或者彌漫性病灶需明確性質,縱隔及胸膜單發的占位及經過檢查病因未明確的單發病灶。排除標準:心肺功能極差等垂危患者,凝血功能不良、肺動脈高壓及不配合的患者。共納入 438 例患者,患者均經胸部 X 線片正側位以及 CT 平掃或增強掃描確定有占位性病變,經痰涂片或臨床纖維支氣管鏡活檢未獲得明確病理結果。其中,男 301 例,女 137 例;年齡 17~80 歲,平均年齡(49.0±10.3)歲。病灶直徑 1~15 cm,平均(5.0±1.5)cm。合并慢性阻塞性肺疾病(簡稱慢阻肺)72 例,未合并慢阻肺 366 例。包括肺部腫塊 387 例,縱隔腫塊 31 例,胸膜腫塊 20 例。穿刺病灶最大直徑<3 cm 者 128 例,最大直徑≥3 cm 者 310 例;穿刺病灶距離胸壁≥5 cm 者 302 例,<5 cm 者 136 例。
1.2 經皮肺穿刺活檢方法
1.2.1 定位 采用美國 GE 公司 16 排螺旋 CT 機定位。術前行血常規、凝血功能、心電圖、CT 等檢查,同時向患者解釋穿刺活檢的目的、注意事項以及可能出現的并發癥,以取得患者的配合。術前常規行螺旋 CT 掃描定位,部分患者行增強掃描。
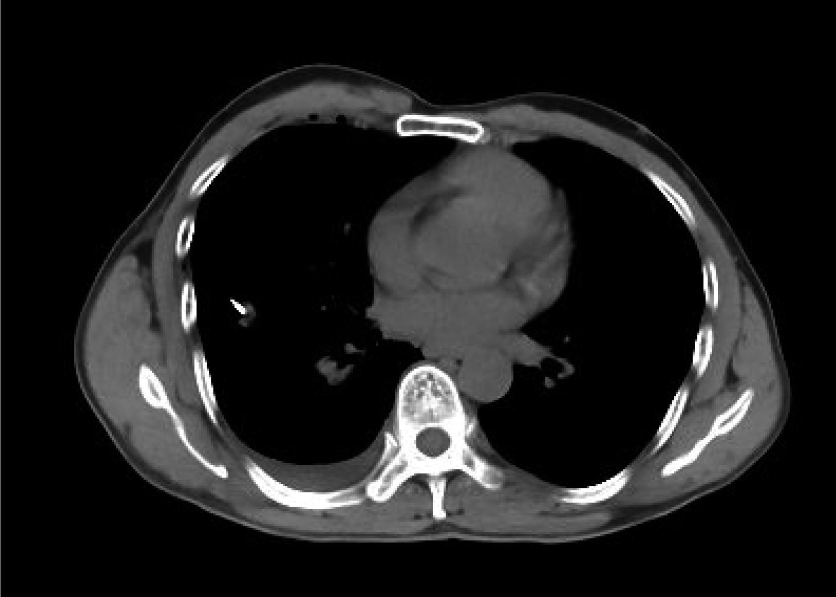
1.2.2 擺位 根據 CT 提示腫塊具體解剖位置,當病灶不清或者胸腔積液掩蓋含有不張的肺組織時應該 CT 增強顯影。當病灶距離前胸壁近時選擇仰臥位(圖 1 和圖 2),相反則選擇俯臥位(圖 3~6);如果病灶靠近側胸壁選擇側臥位;有時肩胛骨遮擋時選擇雙上肢放置于身體兩側或者雙手抱頭。將金屬絲放置于病灶周圍區域,長軸與身體長軸平行,與皮膚緊貼,膠布固定,囑患者平靜吸氣末閉氣,行 CT 掃描定位,對于小病灶應選擇更多影像圖片為宜。






1.2.3 穿刺 采用美國 COOK 公司生產的 18G 彈簧式活檢槍進行穿刺。仔細分析影像圖、選取進針路徑、穿刺角度、測量、調整進針深度(圖 7和圖 8);選擇最佳層面,避開危險血管、肺大皰、骨頭及其他重要臟器,標記穿刺點;戴無菌手套,消毒并鋪洞巾,2% 利多卡因逐層麻醉,按預定進針角度、路徑迅速進針;穿刺預定深度后 CT 掃描,確認針尖是否到達病灶,如果能穿刺病灶邊緣則最好(圖 7和圖 8);囑患者平靜吸氣末閉氣,拔出針芯,按下活檢槍,切割組織,再次套回針芯,組織放入 10% 福爾馬林液固定;重復多次不同方向部位取材,盡量采集有效標本;給予凝血酶止血,最后拔出套管及針芯,消毒穿刺點,敷料加壓覆蓋穿刺點;再一次 CT 掃描查看是否有氣胸、出血等并發癥,確認無嚴重并發癥后返回病房,組織送檢。


1.3 觀察指標
統計 438 例螺旋 CT 引導下經皮肺穿刺活檢術病例穿刺成功率,記錄各種并發癥的發生情況及防治方法,分析不同因素影響下各種并發癥的發生率。
1.4 統計學方法
采用 SPSS 17.0 軟件作統計處理,頻數、頻率等描述計數資料或等級資料。計算檢測結果的真陽性率、真陰性率、假陽性率、假陰性率等。P<0.05 為差異有統計學意義。
2 結果
2.1 穿刺成功率及術后并發癥
438 例患者均穿刺成功,穿刺成功率100.0%,其中一次穿刺陽性 416 例,陽性率 94.9%。一次穿刺并發氣胸 33 例,發生率 7.5%,其中 3 例氣胸肺組織被壓縮 30.0% 以上,經過閉式引流及抽氣等對癥處理好轉,少量氣胸自行吸收;痰中帶血 62 例(14.2%);胸膜反應 7 例(1.6%);針道滲血 6 例(1.4%)。穿刺部位及并發癥情況見表 1。15 例進行第二次穿刺,穿刺陽性率 100.0%,其中氣胸 7 例(46.7%),痰中帶血 11 例(73.3%)。所有并發癥給予對癥處理均好轉。無嚴重出血、窒息、空氣栓塞、腫瘤種植轉移等嚴重并發癥出現。

2.2 病理學結果
438 例病理診斷為惡性病變 379 例(86.5%),其中肺腺癌 187 例(49.3%),肺鱗癌 96 例(25.3%),肺小細胞癌 40 例(10.5%),肺大細胞癌 8 例(2.1%),淋巴瘤 4 例(1.1%),轉移性癌 7 例(1.8%),腺鱗癌 2 例,鱗狀細胞小細胞癌 1 例,胸腺瘤 5 例,肉瘤 3 例(皮膚纖維肉瘤 1 例、滑膜肉瘤 1 例、平滑肌肉瘤 1 例),肉瘤樣癌 4 例,神經內分泌瘤 4 例,非小細胞癌肺癌未分型 5 例,低分化癌 8 例,惡性黑色素瘤 1 例,精原細胞瘤 1 例,卵黃囊瘤 1 例,漿細胞瘤 1 例,肺間皮瘤 1 例。良性病變 37 例(8.5%),其中結核 13 例(35.2%),慢性炎癥 16 例(43.2%),炎性假瘤 3 例(8.1%),神經鞘瘤 1 例(2.7%),錯構瘤 1 例(2.7%),炎性肌纖維母細胞瘤 2 例(5.4%),Castleman 病 1 例(2.7%)。不確定的 22 例(5.0%)。376 例隨訪證實為真陽性,51 例為真陰性,3 例為假陽性,8 例為假陰性。經皮穿刺敏感性、特異性、準確率分別為97.9%(376/384)、94.4%(51/54)、97.4%(427/438)。
2.3 CT 引導下經皮肺穿刺并發癥的影響因素
2.3.1 慢阻肺 有無慢阻肺患者氣胸發生率差異有統計學意義(χ2=10.315,P=0.001),有無慢阻肺患者痰中帶血發生率差異有統計學意義(χ2=10.612,P=0.001),即慢阻肺患者氣胸、痰中帶血發生率更高。結果見表 2。

2.3.2 肺部病灶大小 不同肺部病灶大小患者氣胸(χ2=6.401,P=0.011)和痰中帶血發生率(χ2=8.704,P=0.003)差異有統計學意義,即肺部病灶<3 cm患者氣胸、痰中帶血發生率更高。結果見表 2。
2.3.3 穿刺深度 不同穿刺深度患者氣胸發生率差異有統計學意義(χ2=4.214,P=0.04),不同穿刺深度患者痰中帶血發生率差異有統計學意義(χ2=7.511,P=0.006),即穿刺深度≥5 cm的患者氣胸和痰中帶血發生率更高。結果見表 2。
3 討論
目前,隨著影像技術快速發展,肺部腫塊的早期診斷率明顯上升[2]。肺部腫塊惡性率高,本研究中肺部腫塊惡性率達86.5%,所以早期明確診斷很重要。以往臨床主要是通過痰涂片、胸腔積液找癌細胞及影像學來進行診斷,診斷率低,不能定性診斷,CT影像學特征例如腫塊邊緣呈分葉突起、鄰近胸膜凹陷提示惡性病變可能性大,結節內鈣化多為良性病變[3],但都不能定性診斷。
目前,病理診斷是肺癌診斷金標準[4]。幾種常見的病理診斷檢查有縱隔鏡、胸腔鏡,手術風險較大,費用較多,應用局限,不為臨床廣泛接受[5]。纖維支氣管鏡檢查對中央型肺癌臨床確診率較高,對周圍型腫塊確診率較低,研究顯示纖維支氣管鏡檢查對中央型肺癌確診率高達95.6%,但對周圍型肺癌確診率僅為20%~70%[6–8]。自從Haaga等[9]報道CT引導下經皮肺穿刺活檢術因其安全性及對肺部周圍病灶診斷的準確性而成為對肺部疾病診斷重要手段之一以來,許多相關研究也證實CT引導下經皮肺穿刺活檢術為目前臨床應用較廣的肺癌診斷新技術,因其陽性率、準確率高,現已經成為臨床上診斷肺癌的重要手段[10]。國內外許多研究證實了CT引導下經皮肺穿刺活檢術在確診肺部占位性病變方面的優勢,準確率為74%~99%,特異性為90%~100%,敏感性為67%~97%[11–14],陽性率高,安全性好[15]。本研究中CT引導下經皮肺穿刺活檢術診斷肺部占位性病變的敏感性、特異性、準確率分別為97.9%、94.4%、97.4%,與文獻報道結果相符。與此同時,超聲引導下經皮穿刺活檢術也應用到臨床,對周圍型肺腫塊穿刺陽性率達91.9%,診斷肺癌的敏感性、準確性分別為93.1%、94.6%[16]。究竟是CT引導還是超聲引導經皮穿刺活檢術對肺癌診斷更有價值呢?
CT 引導經皮穿刺活檢術指的是通過 CT 掃描定位,穿刺針通過皮膚,穿刺針尖到達病灶獲取組織送檢的手術方法,主要特點是通過不同層面顯示穿刺路徑、角度、重要臟器、血管,有利于減少并發癥及增加穿刺成功率;必要時通過增強掃描顯示壞死物質更加突出實質性病灶,增加穿刺有效標本;與超聲引導相比,不受氣體影響,對鄰近胸膜、胸壁的病灶更加適合;當然,穿刺含氣組織更易并發氣胸、出血,通常氣胸為輕度,可以自行吸收。相對于 CT,超聲引導穿刺活檢價格相對便宜,操作更加簡便,既可以動態觀察病灶周圍血管、重要臟器,對穿刺進針角度、路徑有著更精確的指導,還沒有放射性輻射對人身體的健康損害。CT 穿刺不能及時顯像,不能動態觀察穿刺情況,增強掃描需要靜脈造影劑,會增加過敏反應及肝腎毒性的發生[17]。超聲引導穿刺活檢一旦出現氣胸,氣體就會干擾超聲探頭對病灶的顯示,造成穿刺失敗,因此超聲穿刺時選取靠近胸壁病灶,可以較少氣胸發生。
本研究同時選取了中央型腫塊與縱隔腫塊,惡性腫瘤確診診斷率也比較高,氣胸、痰中帶血發生率分別為 19.4% 和 32.3%,未見嚴重并發癥,有較實用的診斷價值,這也說明對中央型腫塊及縱隔腫塊,經皮穿刺肺活檢術也可作為一種最佳診斷手段之一。
經皮穿刺活檢術越來越被廣泛應用于臨床,主要原因是穿刺確診率較高,國內外研究均已證實[11–14],確診率約為 74%~99%,本研究中確診率約為 97.4%。當然,提高確診率有幾點重要影響因素,不同部位、大小肺腫塊的穿刺準確率不同,有的腫塊中心液化壞死往往穿刺得到假陰性的結果,因此重復多點采集及病灶邊緣采集是提高病例準確率的關鍵。再者,患者體位擺位、配合度及醫師穿刺角度也會影響穿刺診斷率,所以醫師穿刺經驗也是重要環節。另外,不可忽視的一點就是病理科醫師與臨床醫師密切配合,病理科醫師現場制片與立即固定也非常重要。本研究標本均現場固定及制片,從而提高了標本診斷率。
穿刺并發癥常見有氣胸、咳血、感染、出血和胸膜反應,國外研究報道氣胸與咳血的發生率分別為 10%~40% 和 20%~33%[18],國內報道為6.7%~25%[12],國內報道結果低于國外。理論上講,細針自動活檢槍穿刺較粗針穿刺并發癥發生率偏低,本研究中穿刺后發生氣胸 33 例(7.5%),其中 3 例中度氣胸經過閉式引流對癥后好轉,痰中帶血 62 例(14.2%),胸膜反應 7 例(1.6%),針道滲血 6 例(1.4%),未見嚴重的肺出血、氣胸、空氣栓塞、腫瘤種植轉移等,并發癥通過對癥處理好轉。本研究中并發癥發生與進針深度、病灶大小、是否慢阻肺關系緊密,病灶越大、進針深度越深、有慢阻肺易導致并發癥的發生。我們的體會是要嚴格把握適應證,選擇適宜的患者,操作得當可減少并發癥發生:(1)選擇穿刺患者必須嚴格,凝血、心肺功能差者應慎重考慮,認真評估。(2)穿刺醫師需手法熟練,經驗豐富,盡量做到一次穿刺成功(圖1~8),穿刺次數增多時并發癥也相應增加[19–21]。如一次未成功,在調整進針角度和方向時,穿刺針不要退出胸膜,在胸膜下調整即可,避免反復多次胸膜穿刺損傷導致氣胸發生。(3)穿刺深度盡量小,深度越大,并發癥越高,選擇路徑短的,盡量避免重要組織及肺大皰、大血管等,選擇胸壁與腫塊接觸面積大的部位進針則不易導致并發癥的發生。(4)對于伴慢阻肺患者或不易耐受手術的患者,術前服用止咳化痰藥,可能并發癥發生率降低。同理,術前術中靜脈注射止血藥也可降低出血的幾率。當然,并發癥處理措施也需要合理,少量氣胸可自行吸收,肺部壓縮超過 30.0% 氣胸需緊急抽氣,必要時引流。本研究中有 3 例患者氣胸肺部被壓縮 30.0%,經過胸腔閉式引流后患者癥狀好轉。(5)穿刺體位也很重要,當腫塊離前胸壁較后胸壁近則選擇仰臥位,當腫塊與前胸壁之間有重要臟器、血管、肺大皰等穿刺易出現并發癥時可選擇側臥位或者俯臥位。從影響因素與并發癥關系的研究結果可知,穿刺深度小,并發癥發生率低,應以此選擇合適體位。(6)進針角度盡量垂直進針[22–23],并發癥發生率低,這可能與組織解剖有關。(7)穿刺前應該訓練患者控制呼吸幅度及閉氣程度的能力,盡量保持定位,并在穿刺過程中保持體位和吸氣閉氣的幅度不變。
綜上所述,對縱隔或者中央型肺腫塊行 CT 引導經皮穿刺活檢術可以作為診斷手段之一。本研究縱隔腫塊例數較少,后期研究將進一步加大樣本量;對周圍型腫塊,超聲引導與 CT 引導經皮穿刺活檢術又有各自的優缺點,應熟練各自適應證,選取最合適的診斷手段。總之,CT 引導經皮穿刺活檢術是一種準確、安全、成本較低、創傷小的診斷微創診斷技術。
肺癌是全球惡性腫瘤最常見的癌癥之一,近年來發病率有逐年增高的趨勢。《2012 中國腫瘤登記年報》數據顯示,我國肺癌的死亡率從 1970 年以后到現在增加了 465%,發病率每年增長 26.9%,高居城市地區腫瘤發病率及死亡率首位,并且呈現出年輕化的趨勢,預計到 2025 年左右,中國患肺癌人數預計可能超過 100 萬,成為全球頭號肺癌大國。因此,盡早做出準確診斷顯得尤為重要。CT 引導下經皮肺穿刺活檢術是目前診斷肺部占位性病變的重要方法[1]。本研究旨在通過對 2015 年 1 月至 2016 年 6 月間在我院接受 CT 引導下經皮肺穿刺活檢術的 438 例患者進行回顧性統計,分析其在肺部腫塊的臨床價值及安全性。
1 資料與方法
1.1 一般臨床資料
選擇 2015 年 1 月至 2016 年 6 月間住院且行 CT 引導下經皮肺穿刺活檢術患者。納入標準:肺內孤立性腫塊或者彌漫性病灶需明確性質,縱隔及胸膜單發的占位及經過檢查病因未明確的單發病灶。排除標準:心肺功能極差等垂危患者,凝血功能不良、肺動脈高壓及不配合的患者。共納入 438 例患者,患者均經胸部 X 線片正側位以及 CT 平掃或增強掃描確定有占位性病變,經痰涂片或臨床纖維支氣管鏡活檢未獲得明確病理結果。其中,男 301 例,女 137 例;年齡 17~80 歲,平均年齡(49.0±10.3)歲。病灶直徑 1~15 cm,平均(5.0±1.5)cm。合并慢性阻塞性肺疾病(簡稱慢阻肺)72 例,未合并慢阻肺 366 例。包括肺部腫塊 387 例,縱隔腫塊 31 例,胸膜腫塊 20 例。穿刺病灶最大直徑<3 cm 者 128 例,最大直徑≥3 cm 者 310 例;穿刺病灶距離胸壁≥5 cm 者 302 例,<5 cm 者 136 例。
1.2 經皮肺穿刺活檢方法
1.2.1 定位 采用美國 GE 公司 16 排螺旋 CT 機定位。術前行血常規、凝血功能、心電圖、CT 等檢查,同時向患者解釋穿刺活檢的目的、注意事項以及可能出現的并發癥,以取得患者的配合。術前常規行螺旋 CT 掃描定位,部分患者行增強掃描。
1.2.2 擺位 根據 CT 提示腫塊具體解剖位置,當病灶不清或者胸腔積液掩蓋含有不張的肺組織時應該 CT 增強顯影。當病灶距離前胸壁近時選擇仰臥位(圖 1 和圖 2),相反則選擇俯臥位(圖 3~6);如果病灶靠近側胸壁選擇側臥位;有時肩胛骨遮擋時選擇雙上肢放置于身體兩側或者雙手抱頭。將金屬絲放置于病灶周圍區域,長軸與身體長軸平行,與皮膚緊貼,膠布固定,囑患者平靜吸氣末閉氣,行 CT 掃描定位,對于小病灶應選擇更多影像圖片為宜。






1.2.3 穿刺 采用美國 COOK 公司生產的 18G 彈簧式活檢槍進行穿刺。仔細分析影像圖、選取進針路徑、穿刺角度、測量、調整進針深度(圖 7和圖 8);選擇最佳層面,避開危險血管、肺大皰、骨頭及其他重要臟器,標記穿刺點;戴無菌手套,消毒并鋪洞巾,2% 利多卡因逐層麻醉,按預定進針角度、路徑迅速進針;穿刺預定深度后 CT 掃描,確認針尖是否到達病灶,如果能穿刺病灶邊緣則最好(圖 7和圖 8);囑患者平靜吸氣末閉氣,拔出針芯,按下活檢槍,切割組織,再次套回針芯,組織放入 10% 福爾馬林液固定;重復多次不同方向部位取材,盡量采集有效標本;給予凝血酶止血,最后拔出套管及針芯,消毒穿刺點,敷料加壓覆蓋穿刺點;再一次 CT 掃描查看是否有氣胸、出血等并發癥,確認無嚴重并發癥后返回病房,組織送檢。


1.3 觀察指標
統計 438 例螺旋 CT 引導下經皮肺穿刺活檢術病例穿刺成功率,記錄各種并發癥的發生情況及防治方法,分析不同因素影響下各種并發癥的發生率。
1.4 統計學方法
采用 SPSS 17.0 軟件作統計處理,頻數、頻率等描述計數資料或等級資料。計算檢測結果的真陽性率、真陰性率、假陽性率、假陰性率等。P<0.05 為差異有統計學意義。
2 結果
2.1 穿刺成功率及術后并發癥
438 例患者均穿刺成功,穿刺成功率100.0%,其中一次穿刺陽性 416 例,陽性率 94.9%。一次穿刺并發氣胸 33 例,發生率 7.5%,其中 3 例氣胸肺組織被壓縮 30.0% 以上,經過閉式引流及抽氣等對癥處理好轉,少量氣胸自行吸收;痰中帶血 62 例(14.2%);胸膜反應 7 例(1.6%);針道滲血 6 例(1.4%)。穿刺部位及并發癥情況見表 1。15 例進行第二次穿刺,穿刺陽性率 100.0%,其中氣胸 7 例(46.7%),痰中帶血 11 例(73.3%)。所有并發癥給予對癥處理均好轉。無嚴重出血、窒息、空氣栓塞、腫瘤種植轉移等嚴重并發癥出現。

2.2 病理學結果
438 例病理診斷為惡性病變 379 例(86.5%),其中肺腺癌 187 例(49.3%),肺鱗癌 96 例(25.3%),肺小細胞癌 40 例(10.5%),肺大細胞癌 8 例(2.1%),淋巴瘤 4 例(1.1%),轉移性癌 7 例(1.8%),腺鱗癌 2 例,鱗狀細胞小細胞癌 1 例,胸腺瘤 5 例,肉瘤 3 例(皮膚纖維肉瘤 1 例、滑膜肉瘤 1 例、平滑肌肉瘤 1 例),肉瘤樣癌 4 例,神經內分泌瘤 4 例,非小細胞癌肺癌未分型 5 例,低分化癌 8 例,惡性黑色素瘤 1 例,精原細胞瘤 1 例,卵黃囊瘤 1 例,漿細胞瘤 1 例,肺間皮瘤 1 例。良性病變 37 例(8.5%),其中結核 13 例(35.2%),慢性炎癥 16 例(43.2%),炎性假瘤 3 例(8.1%),神經鞘瘤 1 例(2.7%),錯構瘤 1 例(2.7%),炎性肌纖維母細胞瘤 2 例(5.4%),Castleman 病 1 例(2.7%)。不確定的 22 例(5.0%)。376 例隨訪證實為真陽性,51 例為真陰性,3 例為假陽性,8 例為假陰性。經皮穿刺敏感性、特異性、準確率分別為97.9%(376/384)、94.4%(51/54)、97.4%(427/438)。
2.3 CT 引導下經皮肺穿刺并發癥的影響因素
2.3.1 慢阻肺 有無慢阻肺患者氣胸發生率差異有統計學意義(χ2=10.315,P=0.001),有無慢阻肺患者痰中帶血發生率差異有統計學意義(χ2=10.612,P=0.001),即慢阻肺患者氣胸、痰中帶血發生率更高。結果見表 2。

2.3.2 肺部病灶大小 不同肺部病灶大小患者氣胸(χ2=6.401,P=0.011)和痰中帶血發生率(χ2=8.704,P=0.003)差異有統計學意義,即肺部病灶<3 cm患者氣胸、痰中帶血發生率更高。結果見表 2。
2.3.3 穿刺深度 不同穿刺深度患者氣胸發生率差異有統計學意義(χ2=4.214,P=0.04),不同穿刺深度患者痰中帶血發生率差異有統計學意義(χ2=7.511,P=0.006),即穿刺深度≥5 cm的患者氣胸和痰中帶血發生率更高。結果見表 2。
3 討論
目前,隨著影像技術快速發展,肺部腫塊的早期診斷率明顯上升[2]。肺部腫塊惡性率高,本研究中肺部腫塊惡性率達86.5%,所以早期明確診斷很重要。以往臨床主要是通過痰涂片、胸腔積液找癌細胞及影像學來進行診斷,診斷率低,不能定性診斷,CT影像學特征例如腫塊邊緣呈分葉突起、鄰近胸膜凹陷提示惡性病變可能性大,結節內鈣化多為良性病變[3],但都不能定性診斷。
目前,病理診斷是肺癌診斷金標準[4]。幾種常見的病理診斷檢查有縱隔鏡、胸腔鏡,手術風險較大,費用較多,應用局限,不為臨床廣泛接受[5]。纖維支氣管鏡檢查對中央型肺癌臨床確診率較高,對周圍型腫塊確診率較低,研究顯示纖維支氣管鏡檢查對中央型肺癌確診率高達95.6%,但對周圍型肺癌確診率僅為20%~70%[6–8]。自從Haaga等[9]報道CT引導下經皮肺穿刺活檢術因其安全性及對肺部周圍病灶診斷的準確性而成為對肺部疾病診斷重要手段之一以來,許多相關研究也證實CT引導下經皮肺穿刺活檢術為目前臨床應用較廣的肺癌診斷新技術,因其陽性率、準確率高,現已經成為臨床上診斷肺癌的重要手段[10]。國內外許多研究證實了CT引導下經皮肺穿刺活檢術在確診肺部占位性病變方面的優勢,準確率為74%~99%,特異性為90%~100%,敏感性為67%~97%[11–14],陽性率高,安全性好[15]。本研究中CT引導下經皮肺穿刺活檢術診斷肺部占位性病變的敏感性、特異性、準確率分別為97.9%、94.4%、97.4%,與文獻報道結果相符。與此同時,超聲引導下經皮穿刺活檢術也應用到臨床,對周圍型肺腫塊穿刺陽性率達91.9%,診斷肺癌的敏感性、準確性分別為93.1%、94.6%[16]。究竟是CT引導還是超聲引導經皮穿刺活檢術對肺癌診斷更有價值呢?
CT 引導經皮穿刺活檢術指的是通過 CT 掃描定位,穿刺針通過皮膚,穿刺針尖到達病灶獲取組織送檢的手術方法,主要特點是通過不同層面顯示穿刺路徑、角度、重要臟器、血管,有利于減少并發癥及增加穿刺成功率;必要時通過增強掃描顯示壞死物質更加突出實質性病灶,增加穿刺有效標本;與超聲引導相比,不受氣體影響,對鄰近胸膜、胸壁的病灶更加適合;當然,穿刺含氣組織更易并發氣胸、出血,通常氣胸為輕度,可以自行吸收。相對于 CT,超聲引導穿刺活檢價格相對便宜,操作更加簡便,既可以動態觀察病灶周圍血管、重要臟器,對穿刺進針角度、路徑有著更精確的指導,還沒有放射性輻射對人身體的健康損害。CT 穿刺不能及時顯像,不能動態觀察穿刺情況,增強掃描需要靜脈造影劑,會增加過敏反應及肝腎毒性的發生[17]。超聲引導穿刺活檢一旦出現氣胸,氣體就會干擾超聲探頭對病灶的顯示,造成穿刺失敗,因此超聲穿刺時選取靠近胸壁病灶,可以較少氣胸發生。
本研究同時選取了中央型腫塊與縱隔腫塊,惡性腫瘤確診診斷率也比較高,氣胸、痰中帶血發生率分別為 19.4% 和 32.3%,未見嚴重并發癥,有較實用的診斷價值,這也說明對中央型腫塊及縱隔腫塊,經皮穿刺肺活檢術也可作為一種最佳診斷手段之一。
經皮穿刺活檢術越來越被廣泛應用于臨床,主要原因是穿刺確診率較高,國內外研究均已證實[11–14],確診率約為 74%~99%,本研究中確診率約為 97.4%。當然,提高確診率有幾點重要影響因素,不同部位、大小肺腫塊的穿刺準確率不同,有的腫塊中心液化壞死往往穿刺得到假陰性的結果,因此重復多點采集及病灶邊緣采集是提高病例準確率的關鍵。再者,患者體位擺位、配合度及醫師穿刺角度也會影響穿刺診斷率,所以醫師穿刺經驗也是重要環節。另外,不可忽視的一點就是病理科醫師與臨床醫師密切配合,病理科醫師現場制片與立即固定也非常重要。本研究標本均現場固定及制片,從而提高了標本診斷率。
穿刺并發癥常見有氣胸、咳血、感染、出血和胸膜反應,國外研究報道氣胸與咳血的發生率分別為 10%~40% 和 20%~33%[18],國內報道為6.7%~25%[12],國內報道結果低于國外。理論上講,細針自動活檢槍穿刺較粗針穿刺并發癥發生率偏低,本研究中穿刺后發生氣胸 33 例(7.5%),其中 3 例中度氣胸經過閉式引流對癥后好轉,痰中帶血 62 例(14.2%),胸膜反應 7 例(1.6%),針道滲血 6 例(1.4%),未見嚴重的肺出血、氣胸、空氣栓塞、腫瘤種植轉移等,并發癥通過對癥處理好轉。本研究中并發癥發生與進針深度、病灶大小、是否慢阻肺關系緊密,病灶越大、進針深度越深、有慢阻肺易導致并發癥的發生。我們的體會是要嚴格把握適應證,選擇適宜的患者,操作得當可減少并發癥發生:(1)選擇穿刺患者必須嚴格,凝血、心肺功能差者應慎重考慮,認真評估。(2)穿刺醫師需手法熟練,經驗豐富,盡量做到一次穿刺成功(圖1~8),穿刺次數增多時并發癥也相應增加[19–21]。如一次未成功,在調整進針角度和方向時,穿刺針不要退出胸膜,在胸膜下調整即可,避免反復多次胸膜穿刺損傷導致氣胸發生。(3)穿刺深度盡量小,深度越大,并發癥越高,選擇路徑短的,盡量避免重要組織及肺大皰、大血管等,選擇胸壁與腫塊接觸面積大的部位進針則不易導致并發癥的發生。(4)對于伴慢阻肺患者或不易耐受手術的患者,術前服用止咳化痰藥,可能并發癥發生率降低。同理,術前術中靜脈注射止血藥也可降低出血的幾率。當然,并發癥處理措施也需要合理,少量氣胸可自行吸收,肺部壓縮超過 30.0% 氣胸需緊急抽氣,必要時引流。本研究中有 3 例患者氣胸肺部被壓縮 30.0%,經過胸腔閉式引流后患者癥狀好轉。(5)穿刺體位也很重要,當腫塊離前胸壁較后胸壁近則選擇仰臥位,當腫塊與前胸壁之間有重要臟器、血管、肺大皰等穿刺易出現并發癥時可選擇側臥位或者俯臥位。從影響因素與并發癥關系的研究結果可知,穿刺深度小,并發癥發生率低,應以此選擇合適體位。(6)進針角度盡量垂直進針[22–23],并發癥發生率低,這可能與組織解剖有關。(7)穿刺前應該訓練患者控制呼吸幅度及閉氣程度的能力,盡量保持定位,并在穿刺過程中保持體位和吸氣閉氣的幅度不變。
綜上所述,對縱隔或者中央型肺腫塊行 CT 引導經皮穿刺活檢術可以作為診斷手段之一。本研究縱隔腫塊例數較少,后期研究將進一步加大樣本量;對周圍型腫塊,超聲引導與 CT 引導經皮穿刺活檢術又有各自的優缺點,應熟練各自適應證,選取最合適的診斷手段。總之,CT 引導經皮穿刺活檢術是一種準確、安全、成本較低、創傷小的診斷微創診斷技術。