引用本文: 黃云, 袁偉鋒, 李理, 黃文杰. 谷胱甘肽硫轉移酶M5通過p38MAPK/NF-κB途徑下調腫瘤壞死因子α介導的人支氣管上皮細胞炎癥水平. 中國呼吸與危重監護雜志, 2016, 15(2): 171-175. doi: 10.7507/1671-6205.2016040 復制
急性肺損傷(acute lung injury,ALI)是機體遭受嚴重感染、休克、創傷等各種因素引起的肺組織結構損傷而出現的臨床綜合征,其本質是一種肺內過度性失控性的炎癥反應,在分子水平表現為多種炎性因子和炎癥介質的過度釋放,促炎抗炎反應失 衡[1]。谷胱甘肽硫轉移酶M5(glutathione S-transferase M5,GSTM5)屬于GST家族,具有催化氧化還原反應的活性,有研究證實GST能影響JNK、p38、Ask1等激酶活化,參與細胞炎癥反應、凋亡等生理過程的調節[2]。既往關于GSTM5的研究多集中于基因多態性與疾病相關性方面,而對于具體的機制研究較少。本研究通過肺瘤壞死因子α(tumor necrosis factor α,TNF-α)刺激16HBE建立細胞急性肺損傷模型,擬探討GSTM5在ALI炎癥反應中的作用及其機制。
材料與方法
一 、材料
1. 細胞:人支氣管上皮細胞(16HBE)由廣州軍區廣州總醫院醫學實驗科細胞庫提供。
2. 主要試劑及儀器:DMEM高糖培養基和胎牛血清購于Gibco公司;TNF-α購于PROSPEC;GSTM5-GFP質粒由上海吉凱基因化學技術有限公司合成;質粒小提試劑盒購于北京天根生化科技有限公司;Lipofectamine2000、Trizol、核因子κB(NF-κB)和β肌動蛋白(β-actin)引物購于Invitrogen公司;IL-6、IL-8、IL-10酶聯免疫吸附試驗(ELISA)試劑盒購于北京四正柏公司;兔抗人β-actin、 NF-κB、磷酸化的NF-κB(P-NF-κB)、p38、磷酸化的p38(P-p38)一抗和山羊抗兔二抗購于Cell Signaling Technology公司;反轉錄聚合酶鏈反應(RT-PCR)酶購于TaKaRa公司;蛋白質免疫印跡法(Western blot)所需蛋白裂解液、BCA蛋白濃度測定試劑盒、制膠、電泳等試劑均購于碧云天生物技術研究所。PCR儀、凝膠成像系統及蛋白轉膜儀購于Bio-RAD公司;Nanodrop 2000微量DNA/RNA定量儀購于Thermo Fisher公司;化學發光成像儀購于北京賽智創業科技有限公司。
二 方法
1. 細胞培養:16HBE接種于25 mm2塑料培養瓶中,用含10%胎牛血清的DMEM培養基于5% CO2、37℃的培養箱培養。當細胞生長接近鋪滿瓶底80%時,胰酶消化細胞傳代或接種于6孔板中,密度約2×105個/mL。
2. 實驗分組及細胞干預:實驗分為4組:空白對照組、TNF-α組、GSTM5組和陰性對照組。其中,空白對照組不加干預因素,TNF-α組僅用TNF-α刺激,GSTM5組預轉染GSTM5且用TNF-α刺激,陰性對照組預轉染陰性對照質粒且用TNF-α刺激。
將細胞以2×105個/mL接種于6孔板,待細胞生長至鋪滿板底50%時開始干預:GSTM5組及陰性對照組分別轉染GSTM5-GFP質粒、陰性對照質粒,對照組及TNF-α組不予處理。6 h后TNF-α組、GSTM5組和陰性對照組給予TNF-α(10 ng/mL)2%培養基繼續培養,空白對照組給予等量2%培養基。刺激24 h后收集細胞上清液、細胞沉淀備檢[3]。通過熒光顯微鏡觀察是否有綠色熒光判斷是否轉染成功,以及熒光數與細胞總數的比值判斷轉染效率(轉染效率=相同視野熒光細胞數/光鏡細胞總數)。
3. ELISA檢測細胞上清液中IL-6、IL-8、IL-10表達水平:分別收集各組細胞上清液,1 000 r/min離心10 min,取上清液。按照ELISA說明書步驟檢測各組細胞上清液中IL-6、IL-8、IL-10濃度,重復檢測4次,取平均值。
4. RT-PCR檢測NF-κB mRNA表達:細胞沉淀按照Trizol說明書提取總RNA,微量DNA/RNA定量儀測定RNA濃度及純度,根據RT-PCR反應體系取1 μg總RNA逆轉錄得到cDNA,再取1 μg逆轉錄產物進行PCR擴增反應,引物序列為:NF-κB上游5′-ACAACCCCTTCCAAGTTCCT-3′,下游5′-TGGT CCCGTGAAATACACCT-3′;β-actin上游5′-AGGGAA ATCGTGCGTGACATCAAA-3′,下游5′-ACTCATCGT ACTCCTGCTTGCTGA-3′;PCR反應條件為94 ℃ 5 min、 94 ℃ 30 s、56 ℃ 30 s、72 ℃ 30 s、35個循環、72 ℃ 10 min、4 ℃保存。最后取5 μL PCR產物、1 μL 6×loading buffer在1%瓊脂糖凝膠電泳20 min,凝膠成像系統觀察各組DNA表達水平。采用Quantity One 軟件分析電泳條帶灰度值,計算NF-κB與β-actin的比值以表示NF-κB基因mRNA的相對表達量,重復檢測4次,取平均值。
5. Western blot檢測細胞總蛋白中NF-κB、P-NF-κB、 p38、P-p38表達水平:細胞沉淀用預冷PBS清洗2次后加入含1%PMSF的蛋白裂解液提取細胞總蛋白,BCA法測定蛋白濃度,取等量蛋白(50 μg)經95 ℃ 5 min變性后進行SDS-PAGE電泳,蛋白經半干法電轉至PVDF膜,5%脫脂牛奶封閉1 h,TBST洗膜10 min并洗3次,一抗(1 ∶1 000)4 ℃孵育過夜,洗膜3次后加入辣根過氧化物酶標記的二抗(1 ∶2 000)37 ℃孵育1 h,洗膜3次,加入顯影液后在化學發光成像儀上顯影。采用Quantity One 軟件分析電泳條帶灰度值,各組β-actin條帶灰度值一致時,計算P-NF-κB與NF-κB、P-p38與p38的比值以表示NF-κB、p38蛋白的相對表達量[4],重復檢測4次,取平均值。
三 統計學處理
應用SPSS 22.0數據分析軟件進行統計學分析,數據采用
結 果
一 GSTM5組、陰性對照組轉染效率
GSTM5組、陰性對照組培養細胞均可見熒光,GSTM5組轉染效率0.422±0.016、陰性對照組轉染效率0.460±0.045(P>0.05),差異無統計學意義。結果見圖 1。

二 細胞培養上清液中IL-6、IL-8、IL-10濃度
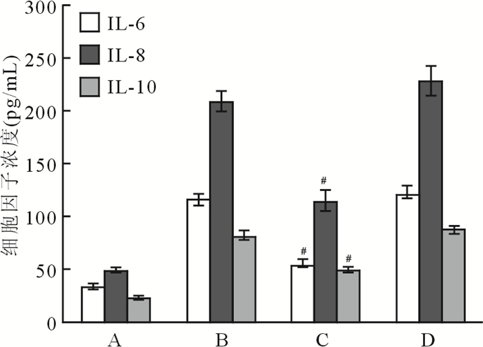
TNF-α組與陰性對照組16HBE細胞培養上清液中IL-6、IL-8、IL-10水平較空白對照組明顯升高(P<0.05),差異有統計學意義。而GSTM5組較TNF-α組、陰性對照組表達下調(P<0.05),差異有統計學意義。結果見圖 2。

A:空白對照組;B:TNF-α組;C:GSTM5組;D:陰性對照組。與TNF-α組、陰性對照組比較,#
三、NF-κB mRNA的表達
TNF-α組與陰性對照組NF-κB mRNA表達較空白對照組明顯升高(P<0.05),差異有統計學意義。而GSTM5組較TNF-α組、陰性對照組表達降低(P<0.05),差異有統計學意義。結果見圖 3及表 1。

A:空白對照組;B:TNF-α組;C:GSTM5組;D:陰性對照組

四 P-NF-κB、NF-κB蛋白的表達
TNF-α組與陰性對照組P-NF-κB/NF-κB比值較空白對照組明顯升高(P<0.05),差異有統計學意義。而GSTM5組較TNF-α組、陰性對照組降低(P<0.05),差異有統計學意義。結果見圖 4及表 1。

A:空白對照組;B:TNF-α組;C:GSTM5組;D:陰性對照組
五 P-p38、p38蛋白的表達
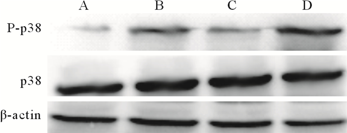
TNF-α組與陰性對照組P-p38/p38比值較空白對照組明顯升高(P<0.05),差異有統計學意義。而GSTM5組較TNF-α組、陰性對照組下降(P<0.05),差異有統計學意義。結果見圖 5及表 1。

A:空白對照組;B:TNF-α組;C:GSTM5組;D:陰性對照組
討 論
ALL因其高發病率、高病死率一直以來都是人們研究的熱點。近年來,越來越多的研究證實促炎因子與抗炎因子之間的動態平衡是影響ALI預后的重要因素,一旦平衡被打破,可發生炎癥因子失控性釋放,導致肺組織及全身損傷[5]。深入研究ALL與炎癥因子之間的關系,進一步了解其發病機制,可以為臨床治療ALL提供更多的依據。GSTM5屬于GST家族蛋白,既往關于GSTM5的研究主要集中于抗氧化及基因多態性方面[6-7],而作為轉錄因子發揮非酶性調控作用方面未見報道。
引起ALI的炎癥介質主要包括促炎因子IL-1β、IL-6、 IL-8、 IL-12 、TNF-α和γ干擾素(γ-IFN),以及抗炎因子IL-4、 IL-10、 IL-13、轉化生長因子-β和粒細胞噬細胞集落刺激因子,這些炎癥介質構成了ALI炎癥反應和免疫調節的基礎,ALI時炎癥反應失控,表現為促炎抗炎因子均過度釋放[8]。本研究通過構建GSTM5真核表達載體并轉染16HBE細胞,TNF-α刺激16HBE建立細胞急性肺損傷模型,選取促炎抗炎因子的典型代表IL-6、IL-8、IL-10作為判斷細胞炎癥水平的標準,以及炎癥信號通路中的關鍵轉錄因子NF-κB、p38MAPK作為觀察靶點,從而探討GSTM5對TNF-α誘導ALI炎癥水平影響及其作用機制。結果顯示過表達GSTM5時細胞中炎癥因子IL-6、IL-8、IL-10均較TNF-α組、陰性對照組降低(P<0.05),提示GSTM5具有降低TNF-α誘導的16HBE炎癥水平作用。
NF-κB是經典的炎癥相關轉錄因子,在多種炎癥疾病過程中可發現其過度激活,向核內易位繼而誘導相應炎癥因子的轉錄與表達。NF-κB作為炎癥反應的一個核心,在ALI的發生與發展中扮演著重要角色[9-10]。許多研究表明NF-κB在ALI中處于過度激活狀態,促進下游炎癥因子的表達,從而參與ALI病程的進展[11-12]。為此,我們設計實驗構建GSTM5真核表達載體并轉染16HBE細胞,TNF-α刺激16HBE建立細胞急性肺損傷模型,RT-PCR檢測細胞內NF-κB mRNA表達水平,Western blot檢測細胞內NF-κB、P-NF-κB蛋白表達水平。結果顯示過表達GSTM5時細胞中NF-κB mRNA、P-NF-κB/NF-κB均較TNF-α組、陰性對照組下降(P<0.05),說明GSTM5可抑制TNF-α誘導的16HBE炎癥反應時細胞內NF-κB磷酸化水平,從而降低細胞最終炎癥水平。
絲裂原活化蛋白激酶(mitogen-activated protein kinases,MAPK)是一組細胞內廣泛存在的絲氨酸/蘇氨酸蛋白激酶,是信號從細胞表面傳遞到細胞核內的重要傳遞者。其中p38是MAPK家族控制炎癥反應最重要的成員,p38信號通路與炎癥關系密切,它通過非磷酸化轉化為磷酸化狀態促進下游底物的磷酸化,從而活化下游炎癥相關轉錄因子,最終導致炎癥因子(IL-1β、IL-6、IL-10)釋放增加[13]。為此,我們擬進一步探討GSTM5下調細胞炎癥水平是否與p38通路有關,同樣構建GSTM5真核表達載體并轉染16HBE細胞,TNF-α刺激16HBE建立細胞急性肺損傷模型,Western blot檢測細胞內p38、P-p38蛋白表達水平。結果顯示過表達GSTM5時細胞中p38蛋白表達各組沒有明顯差異,但P-p38表達水平GSTM5組較TNF-α組、陰性對照組明顯下調(P<0.05),說明GSTM5可抑制TNF-α誘導的16HBE炎癥反應時細胞內p38的磷酸化。GSTM5下調細胞炎癥水平的同時,也下調細胞內NF-κB、p38的磷酸化水平,而NF-κB、p38又是炎癥反應的中心環節,說明GSTM5作用于NF-κB、p38而間接下調細胞炎癥水平,但具體作用機制及NF-κB與p38上下游關系還需進一步研究證實。
綜上,過度炎癥反應是急性肺損傷的主要病理生理機制,控制急性肺損傷時細胞炎癥水平是治療ALI的關鍵。本研究發現GSTM5可降低TNF-α介導的16HBE炎癥因子水平,其機制與抑制p38、NF-κB磷酸化密切相關。因此,下調GSTM5表達,可抑制細胞因子的產生和釋放,有效阻止炎癥介質的擴增,減輕急性炎癥反應,對ALI的治療有積極作用。本研究主要探討GSTM5作為轉錄因子在炎癥反應中的非酶學調控作用,這可能為GSTM5及GST家族在炎癥信號通路中的研究提供新方向,但具體調控機制及結合位點還需進一步深入研究。
急性肺損傷(acute lung injury,ALI)是機體遭受嚴重感染、休克、創傷等各種因素引起的肺組織結構損傷而出現的臨床綜合征,其本質是一種肺內過度性失控性的炎癥反應,在分子水平表現為多種炎性因子和炎癥介質的過度釋放,促炎抗炎反應失 衡[1]。谷胱甘肽硫轉移酶M5(glutathione S-transferase M5,GSTM5)屬于GST家族,具有催化氧化還原反應的活性,有研究證實GST能影響JNK、p38、Ask1等激酶活化,參與細胞炎癥反應、凋亡等生理過程的調節[2]。既往關于GSTM5的研究多集中于基因多態性與疾病相關性方面,而對于具體的機制研究較少。本研究通過肺瘤壞死因子α(tumor necrosis factor α,TNF-α)刺激16HBE建立細胞急性肺損傷模型,擬探討GSTM5在ALI炎癥反應中的作用及其機制。
材料與方法
一 、材料
1. 細胞:人支氣管上皮細胞(16HBE)由廣州軍區廣州總醫院醫學實驗科細胞庫提供。
2. 主要試劑及儀器:DMEM高糖培養基和胎牛血清購于Gibco公司;TNF-α購于PROSPEC;GSTM5-GFP質粒由上海吉凱基因化學技術有限公司合成;質粒小提試劑盒購于北京天根生化科技有限公司;Lipofectamine2000、Trizol、核因子κB(NF-κB)和β肌動蛋白(β-actin)引物購于Invitrogen公司;IL-6、IL-8、IL-10酶聯免疫吸附試驗(ELISA)試劑盒購于北京四正柏公司;兔抗人β-actin、 NF-κB、磷酸化的NF-κB(P-NF-κB)、p38、磷酸化的p38(P-p38)一抗和山羊抗兔二抗購于Cell Signaling Technology公司;反轉錄聚合酶鏈反應(RT-PCR)酶購于TaKaRa公司;蛋白質免疫印跡法(Western blot)所需蛋白裂解液、BCA蛋白濃度測定試劑盒、制膠、電泳等試劑均購于碧云天生物技術研究所。PCR儀、凝膠成像系統及蛋白轉膜儀購于Bio-RAD公司;Nanodrop 2000微量DNA/RNA定量儀購于Thermo Fisher公司;化學發光成像儀購于北京賽智創業科技有限公司。
二 方法
1. 細胞培養:16HBE接種于25 mm2塑料培養瓶中,用含10%胎牛血清的DMEM培養基于5% CO2、37℃的培養箱培養。當細胞生長接近鋪滿瓶底80%時,胰酶消化細胞傳代或接種于6孔板中,密度約2×105個/mL。
2. 實驗分組及細胞干預:實驗分為4組:空白對照組、TNF-α組、GSTM5組和陰性對照組。其中,空白對照組不加干預因素,TNF-α組僅用TNF-α刺激,GSTM5組預轉染GSTM5且用TNF-α刺激,陰性對照組預轉染陰性對照質粒且用TNF-α刺激。
將細胞以2×105個/mL接種于6孔板,待細胞生長至鋪滿板底50%時開始干預:GSTM5組及陰性對照組分別轉染GSTM5-GFP質粒、陰性對照質粒,對照組及TNF-α組不予處理。6 h后TNF-α組、GSTM5組和陰性對照組給予TNF-α(10 ng/mL)2%培養基繼續培養,空白對照組給予等量2%培養基。刺激24 h后收集細胞上清液、細胞沉淀備檢[3]。通過熒光顯微鏡觀察是否有綠色熒光判斷是否轉染成功,以及熒光數與細胞總數的比值判斷轉染效率(轉染效率=相同視野熒光細胞數/光鏡細胞總數)。
3. ELISA檢測細胞上清液中IL-6、IL-8、IL-10表達水平:分別收集各組細胞上清液,1 000 r/min離心10 min,取上清液。按照ELISA說明書步驟檢測各組細胞上清液中IL-6、IL-8、IL-10濃度,重復檢測4次,取平均值。
4. RT-PCR檢測NF-κB mRNA表達:細胞沉淀按照Trizol說明書提取總RNA,微量DNA/RNA定量儀測定RNA濃度及純度,根據RT-PCR反應體系取1 μg總RNA逆轉錄得到cDNA,再取1 μg逆轉錄產物進行PCR擴增反應,引物序列為:NF-κB上游5′-ACAACCCCTTCCAAGTTCCT-3′,下游5′-TGGT CCCGTGAAATACACCT-3′;β-actin上游5′-AGGGAA ATCGTGCGTGACATCAAA-3′,下游5′-ACTCATCGT ACTCCTGCTTGCTGA-3′;PCR反應條件為94 ℃ 5 min、 94 ℃ 30 s、56 ℃ 30 s、72 ℃ 30 s、35個循環、72 ℃ 10 min、4 ℃保存。最后取5 μL PCR產物、1 μL 6×loading buffer在1%瓊脂糖凝膠電泳20 min,凝膠成像系統觀察各組DNA表達水平。采用Quantity One 軟件分析電泳條帶灰度值,計算NF-κB與β-actin的比值以表示NF-κB基因mRNA的相對表達量,重復檢測4次,取平均值。
5. Western blot檢測細胞總蛋白中NF-κB、P-NF-κB、 p38、P-p38表達水平:細胞沉淀用預冷PBS清洗2次后加入含1%PMSF的蛋白裂解液提取細胞總蛋白,BCA法測定蛋白濃度,取等量蛋白(50 μg)經95 ℃ 5 min變性后進行SDS-PAGE電泳,蛋白經半干法電轉至PVDF膜,5%脫脂牛奶封閉1 h,TBST洗膜10 min并洗3次,一抗(1 ∶1 000)4 ℃孵育過夜,洗膜3次后加入辣根過氧化物酶標記的二抗(1 ∶2 000)37 ℃孵育1 h,洗膜3次,加入顯影液后在化學發光成像儀上顯影。采用Quantity One 軟件分析電泳條帶灰度值,各組β-actin條帶灰度值一致時,計算P-NF-κB與NF-κB、P-p38與p38的比值以表示NF-κB、p38蛋白的相對表達量[4],重復檢測4次,取平均值。
三 統計學處理
應用SPSS 22.0數據分析軟件進行統計學分析,數據采用
結 果
一 GSTM5組、陰性對照組轉染效率
GSTM5組、陰性對照組培養細胞均可見熒光,GSTM5組轉染效率0.422±0.016、陰性對照組轉染效率0.460±0.045(P>0.05),差異無統計學意義。結果見圖 1。

二 細胞培養上清液中IL-6、IL-8、IL-10濃度
TNF-α組與陰性對照組16HBE細胞培養上清液中IL-6、IL-8、IL-10水平較空白對照組明顯升高(P<0.05),差異有統計學意義。而GSTM5組較TNF-α組、陰性對照組表達下調(P<0.05),差異有統計學意義。結果見圖 2。

A:空白對照組;B:TNF-α組;C:GSTM5組;D:陰性對照組。與TNF-α組、陰性對照組比較,#
三、NF-κB mRNA的表達
TNF-α組與陰性對照組NF-κB mRNA表達較空白對照組明顯升高(P<0.05),差異有統計學意義。而GSTM5組較TNF-α組、陰性對照組表達降低(P<0.05),差異有統計學意義。結果見圖 3及表 1。

A:空白對照組;B:TNF-α組;C:GSTM5組;D:陰性對照組

四 P-NF-κB、NF-κB蛋白的表達
TNF-α組與陰性對照組P-NF-κB/NF-κB比值較空白對照組明顯升高(P<0.05),差異有統計學意義。而GSTM5組較TNF-α組、陰性對照組降低(P<0.05),差異有統計學意義。結果見圖 4及表 1。

A:空白對照組;B:TNF-α組;C:GSTM5組;D:陰性對照組
五 P-p38、p38蛋白的表達
TNF-α組與陰性對照組P-p38/p38比值較空白對照組明顯升高(P<0.05),差異有統計學意義。而GSTM5組較TNF-α組、陰性對照組下降(P<0.05),差異有統計學意義。結果見圖 5及表 1。

A:空白對照組;B:TNF-α組;C:GSTM5組;D:陰性對照組
討 論
ALL因其高發病率、高病死率一直以來都是人們研究的熱點。近年來,越來越多的研究證實促炎因子與抗炎因子之間的動態平衡是影響ALI預后的重要因素,一旦平衡被打破,可發生炎癥因子失控性釋放,導致肺組織及全身損傷[5]。深入研究ALL與炎癥因子之間的關系,進一步了解其發病機制,可以為臨床治療ALL提供更多的依據。GSTM5屬于GST家族蛋白,既往關于GSTM5的研究主要集中于抗氧化及基因多態性方面[6-7],而作為轉錄因子發揮非酶性調控作用方面未見報道。
引起ALI的炎癥介質主要包括促炎因子IL-1β、IL-6、 IL-8、 IL-12 、TNF-α和γ干擾素(γ-IFN),以及抗炎因子IL-4、 IL-10、 IL-13、轉化生長因子-β和粒細胞噬細胞集落刺激因子,這些炎癥介質構成了ALI炎癥反應和免疫調節的基礎,ALI時炎癥反應失控,表現為促炎抗炎因子均過度釋放[8]。本研究通過構建GSTM5真核表達載體并轉染16HBE細胞,TNF-α刺激16HBE建立細胞急性肺損傷模型,選取促炎抗炎因子的典型代表IL-6、IL-8、IL-10作為判斷細胞炎癥水平的標準,以及炎癥信號通路中的關鍵轉錄因子NF-κB、p38MAPK作為觀察靶點,從而探討GSTM5對TNF-α誘導ALI炎癥水平影響及其作用機制。結果顯示過表達GSTM5時細胞中炎癥因子IL-6、IL-8、IL-10均較TNF-α組、陰性對照組降低(P<0.05),提示GSTM5具有降低TNF-α誘導的16HBE炎癥水平作用。
NF-κB是經典的炎癥相關轉錄因子,在多種炎癥疾病過程中可發現其過度激活,向核內易位繼而誘導相應炎癥因子的轉錄與表達。NF-κB作為炎癥反應的一個核心,在ALI的發生與發展中扮演著重要角色[9-10]。許多研究表明NF-κB在ALI中處于過度激活狀態,促進下游炎癥因子的表達,從而參與ALI病程的進展[11-12]。為此,我們設計實驗構建GSTM5真核表達載體并轉染16HBE細胞,TNF-α刺激16HBE建立細胞急性肺損傷模型,RT-PCR檢測細胞內NF-κB mRNA表達水平,Western blot檢測細胞內NF-κB、P-NF-κB蛋白表達水平。結果顯示過表達GSTM5時細胞中NF-κB mRNA、P-NF-κB/NF-κB均較TNF-α組、陰性對照組下降(P<0.05),說明GSTM5可抑制TNF-α誘導的16HBE炎癥反應時細胞內NF-κB磷酸化水平,從而降低細胞最終炎癥水平。
絲裂原活化蛋白激酶(mitogen-activated protein kinases,MAPK)是一組細胞內廣泛存在的絲氨酸/蘇氨酸蛋白激酶,是信號從細胞表面傳遞到細胞核內的重要傳遞者。其中p38是MAPK家族控制炎癥反應最重要的成員,p38信號通路與炎癥關系密切,它通過非磷酸化轉化為磷酸化狀態促進下游底物的磷酸化,從而活化下游炎癥相關轉錄因子,最終導致炎癥因子(IL-1β、IL-6、IL-10)釋放增加[13]。為此,我們擬進一步探討GSTM5下調細胞炎癥水平是否與p38通路有關,同樣構建GSTM5真核表達載體并轉染16HBE細胞,TNF-α刺激16HBE建立細胞急性肺損傷模型,Western blot檢測細胞內p38、P-p38蛋白表達水平。結果顯示過表達GSTM5時細胞中p38蛋白表達各組沒有明顯差異,但P-p38表達水平GSTM5組較TNF-α組、陰性對照組明顯下調(P<0.05),說明GSTM5可抑制TNF-α誘導的16HBE炎癥反應時細胞內p38的磷酸化。GSTM5下調細胞炎癥水平的同時,也下調細胞內NF-κB、p38的磷酸化水平,而NF-κB、p38又是炎癥反應的中心環節,說明GSTM5作用于NF-κB、p38而間接下調細胞炎癥水平,但具體作用機制及NF-κB與p38上下游關系還需進一步研究證實。
綜上,過度炎癥反應是急性肺損傷的主要病理生理機制,控制急性肺損傷時細胞炎癥水平是治療ALI的關鍵。本研究發現GSTM5可降低TNF-α介導的16HBE炎癥因子水平,其機制與抑制p38、NF-κB磷酸化密切相關。因此,下調GSTM5表達,可抑制細胞因子的產生和釋放,有效阻止炎癥介質的擴增,減輕急性炎癥反應,對ALI的治療有積極作用。本研究主要探討GSTM5作為轉錄因子在炎癥反應中的非酶學調控作用,這可能為GSTM5及GST家族在炎癥信號通路中的研究提供新方向,但具體調控機制及結合位點還需進一步深入研究。