引用本文: 馬愛平, 高云周, 蘭文斌, 瞿躍進, 劉群. PI3K/Akt/HIF-1α信號通路在博來霉素誘導小鼠肺纖維化中的作用機制研究. 中國呼吸與危重監護雜志, 2016, 15(1): 34-38. doi: 10.7507/1671-6205.2016009 復制
特發性肺纖維化(idiopathic pulmonary fibrosis,IPF)是一種病因未明的彌漫性肺間質疾病,以慢性進行性的肺實質損害和纖維化為主要特征。該病好發于大于50歲的老年人,臨床表現以慢性咳嗽、漸進性呼吸困難為主,其預后較差,確診后中位生存期僅為3~5年[1]。目前臨床上尚缺乏有效的藥物治療,探討IPF發病機制有助于臨床上尋找有效的治療方法。近年的研究表明活化的PI3K/Akt信號通路參與了肝臟和腎臟纖維化病變,抑制該信號通路可通過減少細胞外基質(ECM)的表達以及抑制上皮-間質轉化等多種促纖維化途徑抑制纖維化形成[2-5]。PI3K/Akt/HIF-1α信號通路由磷脂酰肌醇3激酶(PI3K)、蛋白激酶B(Akt)、缺氧誘導因子1α(HIF-1α)組成,參與多種細胞功能,如凋亡、增殖、代謝、生長轉化、膜轉運、分泌和趨化等,并在炎癥、腫瘤、代謝和心血管疾病的發病機制中起重要作用[6-7]。PI3K在生長因素及營養信號的刺激下,磷酸化下游的Akt位點,Akt激活后阻礙周期蛋白D1的降解,使細胞周期G1/S1轉換加快,引起了與增殖相關基因mRNA的大量轉錄,加速細胞的增殖[7-9]。在IPF患者中,受損的肺泡上皮細胞存在過度增生和持續凋亡并存,PI3K/Akt/HIF-1α通路是否參與肺纖維化發病的調控機制仍未完全清楚。本研究通過構建博來霉素誘導的小鼠肺纖維化模型,探討該通路在肺纖維化發病的作用機制。
材料與方法
一 材料
1.實驗動物及分組:C57BL/6雄性小鼠,體重(22±2) g,由廈門大學實驗動物中心提供,飼養于SPF級實驗動物房。將健康C57BL/6雄性小鼠56只隨機分為對照組(28只)和實驗組(28只)。
2.主要試劑及儀器:博來霉素(15 mg/支,日本化藥株式會社),兔抗小鼠p-Akt單克隆抗體(美國CST公司),兔抗小鼠Akt單克隆抗體(美國CST公司),小鼠抗小鼠HIF-1α單克隆抗體(美國Abcam),兔抗小鼠膠原蛋白3(Collagen3)多克隆抗體(美國Prosci公司),兔抗小鼠Pro-SPC多克隆抗體(美國Minipore公司),TUNEL試劑盒(美國Roche公司),兔抗小鼠β-actin多克隆抗體(美國Santa Cruz公司)、羥脯氨酸試劑盒(美國BioVision),Masson染液試劑盒(武漢博士德公司),Trizol Reagent(美國Gibco公司),逆轉錄試劑盒,PCR預混試劑,核酸Marker DI2000(日本Takara公司)。HE染色所需試劑、Western blot器材、化學發光凝膠成像儀等由廈門大學附屬第一醫院中心實驗室提供。
二 方法
1.博來霉素肺纖維化模型建立:以2%戊巴比妥鈉按照70μg腹腔注射麻醉小鼠,將小鼠固定于操作臺,消毒頸部皮膚,眼科剪剪開頸前皮膚,鈍性分離組織暴露氣管。實驗組以1 mL注射器氣管內滴注博來霉素(2.5 mg/kg),對照組給予等劑量0.9%氯化鈉溶液,拔除注射器,迅速提起小鼠,繞長軸左右旋轉,使藥物分布均勻,縫合頸部皮膚。此后每日觀察活動、測體重以及每日死亡數量,21 d后處死小鼠,收集肺臟標本。
2.小鼠肺標本HE染色及Ashcroft評分:石蠟切片常規脫蠟至水,蘇木精染液中浸染,3.1%鹽酸酒精分色,4.2%碳酸氫鈉溶液返藍,伊紅溶液中浸染,梯度酒精脫水,二甲苯透明,中性樹脂封片。光鏡下以各肺葉肺組織水腫、出血、炎性細胞浸潤和小氣道損傷等項病理改變。肺組織纖維化Ashcroft評分按文獻[10]所示。每張片子取5個以上視野,計算每只小鼠肺的各項病理改變程度的平均程度,作為肺纖維化分數,然后成組統計分析Ashcroft評分。
3.肺部Masson染色檢測肺部纖維化程度:切片常規脫蠟至水,Weigent氏蘇木精液染核,1%鹽酸分化,麗春紅-品紅溶液洗,1%醋酸水溶液洗,1%磷鉬酸分化直到各種成分被染清晰,1%醋酸水溶液洗,2%淡綠液染2 min。常規脫水、透明、封片。
4.羥脯氨酸含量的測定:取凍存的肺組織濕質量10 mg,采用堿水解法測定,嚴格按照試劑盒說明書進行,明確膠原總體水平,評定纖維化病變程度。
5.免疫組織化學檢測:取各組小鼠肺組織,石蠟包埋切片水化,阻斷內源性過氧化物酶的活性,抗原修復,封閉,用一抗Collagen3抗體4℃孵育過夜。滴加相應的二抗2 h,再滴加DAB顯色,蘇木精復染,脫水,透明,封片,高倍鏡下檢測Collagen3陽性的細胞數。
6.凋亡細胞檢測:按試劑盒說明書,用Proteinase K工作液處理水化的石蠟切片37℃,15 min,漂洗。用50μL TdT+450μL熒光素標記的dUTP液混勻滴加于玻片上,37℃,5 min;玻片干后,加50μL TUNEL反應混合液,暗濕盒中反應37℃,1 h;加50μL converter-POD于標本上,暗濕盒中反應37℃,30 min。加入50μL DAB底物,反應15 min。蘇木精復染,酒精脫水、二甲苯透明,中性樹膠封片。
7.Western blot測定PI3K/Akt/HIF-1α信號通路蛋白表達:每份樣品取30 g上樣,經SDS-PAGE電泳后,將蛋白轉到聚偏二氟乙烯(PVDF)膜上,用封閉液5%牛血清白蛋白(BSA)的TBST緩沖液在室溫封閉2 h,用TBST 1∶1 000稀釋兔抗鼠p-Akt、Akt、HIF-1α、Pro-SPC、β-actin一抗,將膜置于一抗溶液中4℃過夜。次日將膜取出洗滌后置于TBST 1∶5 000稀釋的HRP的二抗溶液中,4℃反應2 h。洗膜后,暗室中應用化學發光凝膠成像儀曝光,以β-actin蛋白作為上樣量的參照。
8.小鼠肺組織Collagen3 mRNA表達檢測:取左肺組織100 mg按試劑盒說明書用Trizol提取總RNA,紫外分光光度計測量總RNA濃度并調整RNA濃度為100 ng/μL,逆轉錄合成互補脫氧核糖核酸(cDNA),再進行PCR擴增。Collagen3上游引物5′-CAAATGGCATCCCAGGAG-3′,下游引物5′-CATCTCGGCCAGGTTCTC-3′。GAPDH上游引物5′-CAGCAAGGACACTGAGCAAGA-3′,下游引物5′-GCCCCTCCTGTTATTATGGGG-3′。PCR反應條件:95℃預變性10 min,95℃變性30 s,60℃退火30 s,72℃延伸30 s。NAPDH為基準進行相對定量。
三 統計學處理
所有數據應用SPSS 17.0軟件進行統計分析。計量資料以
結果
一 小鼠肺纖維化評價
1.小鼠肺組織病理形態學變化:生理鹽水干預的對照組未見明顯肺內結構異常(圖 1a),而博來霉素干預的實驗組小鼠中,造模21 d的肺組織病理切片可見肺組織結構被明顯破壞,肺泡間隔增厚并伴有較多炎癥細胞浸潤(圖 1b)。Masson染色中,對照組未見明顯陽性藍染(圖 1c)。實驗組肺組織可見彌漫的肺間質纖維化形成,藍色索條狀膠原纖維以氣道周圍和胸膜下分布為主,肺泡間隔明顯增寬,肺泡腔縮小,肺纖維化明顯(圖 1d)。
圖1
博來霉素誘導的小鼠肺纖維化肺組織病理學變化(×200)
a.對照組肺組織HE染色;b.實驗組肺組織HE染色;c.對照組肺組織Masson染色;d.實驗組肺組織Masson染色
圖2
小鼠肺纖維化程度評估
a.Ashcroft評分;b.小鼠肺組織中羥脯氨酸含量比較
2.小鼠肺纖維化程度評估:對小鼠肺組織病理切片進行Ashcroft評分,結果顯示實驗組較對照組的纖維化評分明顯增高[(1.23±0.17)分比(4.75±0.44)分,P < 0.000 1]。同時,與對照組相比,實驗組小鼠肺組織中羥脯氨酸含量明顯增高[(0.22±0.03)μg/well比(0.54±0.09)μg/well,P < 0.05]。
二 PI3K/Akt/HIF-1α信號通路在小鼠肺纖維化發病中的作用
1.PI3K/Akt/HIF-1α信號通路在纖維化肺組織中的表達:Western blot檢測小鼠肺組織中p-Akt、HIF-1α和Pro-SPC蛋白的表達量變化。實驗組小鼠肺組織的p-Akt較對照組表達明顯升高,HIF-1α表達亦明顯增加,而Pro-SPC蛋白表達量則較對照組明顯減少(P < 0.05),結果見圖 3。
圖3
Western blot檢測小鼠肺組織中PI3K/Akt/HIF-1α信號通路及Pro-SPC蛋白的表達量
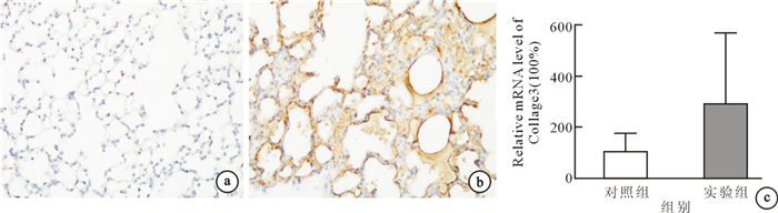
2.肺組織中Collagen3的表達:與對照組相比,實驗組小鼠肺組織切片中Collagen3蛋白的表達量明顯增加,同時Collagen3的mRNA表達量較對照組亦顯著升高(P < 0.05),結果見圖 4。
圖4
小鼠肺組織內Collagen3蛋白及mRNA表達
a.對照組肺組織Collagen3蛋白的免疫組織化學染色(×400);b.實驗組肺組織Collagen3蛋白的免疫組織化學染色(×400);c.實驗組肺組織Collagen3的mRNA表達量較對照組顯著升高
3.肺纖維化組織中的細胞凋亡情況:在實驗組中可見肺組織中凋亡細胞數明顯增加,TUNEL染色陽性細胞顯示細胞核棕色,固縮成團,主要分布在核邊緣,結構完整,多位于肺泡間隔上。對照組凋亡細胞數明顯低于實驗組。結果見圖 5。
圖5
肺組織內TUNEL凋亡細胞檢測
a.對照組肺內凋亡細胞染色(×600);b.實驗組凋亡細胞染色(×600)
討論
本研究旨在闡明PI3K/Akt/HIF-1α信號通路在肺纖維化發病中的作用機制。結果表明纖維化的小鼠肺組織存在Akt的過度活化,活化的Akt通過激活下游的HIF-1α,加重了肺纖維化形成過程。其可能機制與表面活性物質的生成減少,細胞增生與凋亡的失衡,進而促進了膠原蛋白的合成有關。若干預該調節通路上的任一環節可能是潛在的治療肺纖維化的新方向。
研究結果顯示,博來霉素誘導的小鼠肺纖維化組織中,磷酸化的Akt表達量較正常肺組織明顯增加,并伴有HIF-1α的表達增多。HIF-1α受低氧誘導,常氧下被泛素蛋白酶所降解。HIF-1α能在缺氧等條件下通過核轉位從胞質進入胞核,形成穩定的異二聚體后才有活性,活化的HIF-1α在其靶基因的轉錄起始部位形成一個轉錄起始復合物,進而啟動靶基因的轉錄,而這些基因調控與細胞的增殖與凋亡相關[11-12]。近期研究表明在小鼠的慢性阻塞性肺病模型中,HIF-1α介導了支氣管及肺泡上皮向間質細胞的轉化[13]。PI3K/Akt/HIF-1α通路的下游靶基因涉及代謝、細胞增殖/生存應激、血管生物學、紅細胞生成等[14-15]。百草枯中毒大鼠的急性肺損傷模型中,肺組織早期即出現肺纖維化、HIF-1α蛋白增加以及膠原沉積增加,提示HIF-1α參與了肺纖維化的形成[16-17]。另在異丙腎上腺素致大鼠心肌肥厚模型中,p-PI3K和p-Akt表達均較對照組升高,并參與了心肌纖維化的發生和發展[18]。還有研究表明血管緊張素Ⅱ(AngⅡ)可能通過下調脯氨酸羥化酶2(PHD2)的表達而減少腎小管上皮細胞中HIF-1α的降解,從而上調HIF-1α的表達,參與腎間質纖維化(RIF)的發生機制[19]。而在本研究中,肺組織Akt的活化伴隨了HIF-1α的表達增多并與肺纖維化形成有關,提示兩者有相關性。在隨后的實驗中,我們將進一步驗證抑制Akt的活化能否減少HIF-1α的表達并緩解肺纖維化的發生。
此外,我們還觀察了纖維化的肺組織中細胞的增生與凋亡情況,結果發現纖維化的肺泡間質中凋亡細胞數明顯增加并伴有表面活性物質SPC蛋白的減少。表面活性物質多由肺泡上皮細胞合成,在肺泡上皮細胞的反復損傷和異常修復中發揮重要作用[19-20]。表面活性物質合成不足伴受損肺泡上皮細胞的過度凋亡和異常增殖,導致了無效的肺泡上皮重構[21-22]。因此,我們推測活化的PI3K/Akt/HIF-1α通路主要通過引起肺內細胞的異常增生與凋亡,影響肺泡表面活性物質的合成,產生慢性缺氧的內環境,使受損細胞發生異常增生和修復,最終導致Collagen3蛋白的合成增加和纖維化形成。
綜上所述,我們認為異常活化的PI3K/Akt/HIF-1α通路調控了細胞的過度凋亡,從而影響了肺泡表面活性物質的產生和肺泡上皮細胞的正常修復,加重了肺纖維化的形成過程。若能抑制該通路的異常活化則可緩解肺纖維化膠原形成,達到抑制肺纖維化進展的目的。
特發性肺纖維化(idiopathic pulmonary fibrosis,IPF)是一種病因未明的彌漫性肺間質疾病,以慢性進行性的肺實質損害和纖維化為主要特征。該病好發于大于50歲的老年人,臨床表現以慢性咳嗽、漸進性呼吸困難為主,其預后較差,確診后中位生存期僅為3~5年[1]。目前臨床上尚缺乏有效的藥物治療,探討IPF發病機制有助于臨床上尋找有效的治療方法。近年的研究表明活化的PI3K/Akt信號通路參與了肝臟和腎臟纖維化病變,抑制該信號通路可通過減少細胞外基質(ECM)的表達以及抑制上皮-間質轉化等多種促纖維化途徑抑制纖維化形成[2-5]。PI3K/Akt/HIF-1α信號通路由磷脂酰肌醇3激酶(PI3K)、蛋白激酶B(Akt)、缺氧誘導因子1α(HIF-1α)組成,參與多種細胞功能,如凋亡、增殖、代謝、生長轉化、膜轉運、分泌和趨化等,并在炎癥、腫瘤、代謝和心血管疾病的發病機制中起重要作用[6-7]。PI3K在生長因素及營養信號的刺激下,磷酸化下游的Akt位點,Akt激活后阻礙周期蛋白D1的降解,使細胞周期G1/S1轉換加快,引起了與增殖相關基因mRNA的大量轉錄,加速細胞的增殖[7-9]。在IPF患者中,受損的肺泡上皮細胞存在過度增生和持續凋亡并存,PI3K/Akt/HIF-1α通路是否參與肺纖維化發病的調控機制仍未完全清楚。本研究通過構建博來霉素誘導的小鼠肺纖維化模型,探討該通路在肺纖維化發病的作用機制。
材料與方法
一 材料
1.實驗動物及分組:C57BL/6雄性小鼠,體重(22±2) g,由廈門大學實驗動物中心提供,飼養于SPF級實驗動物房。將健康C57BL/6雄性小鼠56只隨機分為對照組(28只)和實驗組(28只)。
2.主要試劑及儀器:博來霉素(15 mg/支,日本化藥株式會社),兔抗小鼠p-Akt單克隆抗體(美國CST公司),兔抗小鼠Akt單克隆抗體(美國CST公司),小鼠抗小鼠HIF-1α單克隆抗體(美國Abcam),兔抗小鼠膠原蛋白3(Collagen3)多克隆抗體(美國Prosci公司),兔抗小鼠Pro-SPC多克隆抗體(美國Minipore公司),TUNEL試劑盒(美國Roche公司),兔抗小鼠β-actin多克隆抗體(美國Santa Cruz公司)、羥脯氨酸試劑盒(美國BioVision),Masson染液試劑盒(武漢博士德公司),Trizol Reagent(美國Gibco公司),逆轉錄試劑盒,PCR預混試劑,核酸Marker DI2000(日本Takara公司)。HE染色所需試劑、Western blot器材、化學發光凝膠成像儀等由廈門大學附屬第一醫院中心實驗室提供。
二 方法
1.博來霉素肺纖維化模型建立:以2%戊巴比妥鈉按照70μg腹腔注射麻醉小鼠,將小鼠固定于操作臺,消毒頸部皮膚,眼科剪剪開頸前皮膚,鈍性分離組織暴露氣管。實驗組以1 mL注射器氣管內滴注博來霉素(2.5 mg/kg),對照組給予等劑量0.9%氯化鈉溶液,拔除注射器,迅速提起小鼠,繞長軸左右旋轉,使藥物分布均勻,縫合頸部皮膚。此后每日觀察活動、測體重以及每日死亡數量,21 d后處死小鼠,收集肺臟標本。
2.小鼠肺標本HE染色及Ashcroft評分:石蠟切片常規脫蠟至水,蘇木精染液中浸染,3.1%鹽酸酒精分色,4.2%碳酸氫鈉溶液返藍,伊紅溶液中浸染,梯度酒精脫水,二甲苯透明,中性樹脂封片。光鏡下以各肺葉肺組織水腫、出血、炎性細胞浸潤和小氣道損傷等項病理改變。肺組織纖維化Ashcroft評分按文獻[10]所示。每張片子取5個以上視野,計算每只小鼠肺的各項病理改變程度的平均程度,作為肺纖維化分數,然后成組統計分析Ashcroft評分。
3.肺部Masson染色檢測肺部纖維化程度:切片常規脫蠟至水,Weigent氏蘇木精液染核,1%鹽酸分化,麗春紅-品紅溶液洗,1%醋酸水溶液洗,1%磷鉬酸分化直到各種成分被染清晰,1%醋酸水溶液洗,2%淡綠液染2 min。常規脫水、透明、封片。
4.羥脯氨酸含量的測定:取凍存的肺組織濕質量10 mg,采用堿水解法測定,嚴格按照試劑盒說明書進行,明確膠原總體水平,評定纖維化病變程度。
5.免疫組織化學檢測:取各組小鼠肺組織,石蠟包埋切片水化,阻斷內源性過氧化物酶的活性,抗原修復,封閉,用一抗Collagen3抗體4℃孵育過夜。滴加相應的二抗2 h,再滴加DAB顯色,蘇木精復染,脫水,透明,封片,高倍鏡下檢測Collagen3陽性的細胞數。
6.凋亡細胞檢測:按試劑盒說明書,用Proteinase K工作液處理水化的石蠟切片37℃,15 min,漂洗。用50μL TdT+450μL熒光素標記的dUTP液混勻滴加于玻片上,37℃,5 min;玻片干后,加50μL TUNEL反應混合液,暗濕盒中反應37℃,1 h;加50μL converter-POD于標本上,暗濕盒中反應37℃,30 min。加入50μL DAB底物,反應15 min。蘇木精復染,酒精脫水、二甲苯透明,中性樹膠封片。
7.Western blot測定PI3K/Akt/HIF-1α信號通路蛋白表達:每份樣品取30 g上樣,經SDS-PAGE電泳后,將蛋白轉到聚偏二氟乙烯(PVDF)膜上,用封閉液5%牛血清白蛋白(BSA)的TBST緩沖液在室溫封閉2 h,用TBST 1∶1 000稀釋兔抗鼠p-Akt、Akt、HIF-1α、Pro-SPC、β-actin一抗,將膜置于一抗溶液中4℃過夜。次日將膜取出洗滌后置于TBST 1∶5 000稀釋的HRP的二抗溶液中,4℃反應2 h。洗膜后,暗室中應用化學發光凝膠成像儀曝光,以β-actin蛋白作為上樣量的參照。
8.小鼠肺組織Collagen3 mRNA表達檢測:取左肺組織100 mg按試劑盒說明書用Trizol提取總RNA,紫外分光光度計測量總RNA濃度并調整RNA濃度為100 ng/μL,逆轉錄合成互補脫氧核糖核酸(cDNA),再進行PCR擴增。Collagen3上游引物5′-CAAATGGCATCCCAGGAG-3′,下游引物5′-CATCTCGGCCAGGTTCTC-3′。GAPDH上游引物5′-CAGCAAGGACACTGAGCAAGA-3′,下游引物5′-GCCCCTCCTGTTATTATGGGG-3′。PCR反應條件:95℃預變性10 min,95℃變性30 s,60℃退火30 s,72℃延伸30 s。NAPDH為基準進行相對定量。
三 統計學處理
所有數據應用SPSS 17.0軟件進行統計分析。計量資料以
結果
一 小鼠肺纖維化評價
1.小鼠肺組織病理形態學變化:生理鹽水干預的對照組未見明顯肺內結構異常(圖 1a),而博來霉素干預的實驗組小鼠中,造模21 d的肺組織病理切片可見肺組織結構被明顯破壞,肺泡間隔增厚并伴有較多炎癥細胞浸潤(圖 1b)。Masson染色中,對照組未見明顯陽性藍染(圖 1c)。實驗組肺組織可見彌漫的肺間質纖維化形成,藍色索條狀膠原纖維以氣道周圍和胸膜下分布為主,肺泡間隔明顯增寬,肺泡腔縮小,肺纖維化明顯(圖 1d)。
圖1
博來霉素誘導的小鼠肺纖維化肺組織病理學變化(×200)
a.對照組肺組織HE染色;b.實驗組肺組織HE染色;c.對照組肺組織Masson染色;d.實驗組肺組織Masson染色
圖2
小鼠肺纖維化程度評估
a.Ashcroft評分;b.小鼠肺組織中羥脯氨酸含量比較
2.小鼠肺纖維化程度評估:對小鼠肺組織病理切片進行Ashcroft評分,結果顯示實驗組較對照組的纖維化評分明顯增高[(1.23±0.17)分比(4.75±0.44)分,P < 0.000 1]。同時,與對照組相比,實驗組小鼠肺組織中羥脯氨酸含量明顯增高[(0.22±0.03)μg/well比(0.54±0.09)μg/well,P < 0.05]。
二 PI3K/Akt/HIF-1α信號通路在小鼠肺纖維化發病中的作用
1.PI3K/Akt/HIF-1α信號通路在纖維化肺組織中的表達:Western blot檢測小鼠肺組織中p-Akt、HIF-1α和Pro-SPC蛋白的表達量變化。實驗組小鼠肺組織的p-Akt較對照組表達明顯升高,HIF-1α表達亦明顯增加,而Pro-SPC蛋白表達量則較對照組明顯減少(P < 0.05),結果見圖 3。
圖3
Western blot檢測小鼠肺組織中PI3K/Akt/HIF-1α信號通路及Pro-SPC蛋白的表達量
2.肺組織中Collagen3的表達:與對照組相比,實驗組小鼠肺組織切片中Collagen3蛋白的表達量明顯增加,同時Collagen3的mRNA表達量較對照組亦顯著升高(P < 0.05),結果見圖 4。
圖4
小鼠肺組織內Collagen3蛋白及mRNA表達
a.對照組肺組織Collagen3蛋白的免疫組織化學染色(×400);b.實驗組肺組織Collagen3蛋白的免疫組織化學染色(×400);c.實驗組肺組織Collagen3的mRNA表達量較對照組顯著升高
3.肺纖維化組織中的細胞凋亡情況:在實驗組中可見肺組織中凋亡細胞數明顯增加,TUNEL染色陽性細胞顯示細胞核棕色,固縮成團,主要分布在核邊緣,結構完整,多位于肺泡間隔上。對照組凋亡細胞數明顯低于實驗組。結果見圖 5。
圖5
肺組織內TUNEL凋亡細胞檢測
a.對照組肺內凋亡細胞染色(×600);b.實驗組凋亡細胞染色(×600)
討論
本研究旨在闡明PI3K/Akt/HIF-1α信號通路在肺纖維化發病中的作用機制。結果表明纖維化的小鼠肺組織存在Akt的過度活化,活化的Akt通過激活下游的HIF-1α,加重了肺纖維化形成過程。其可能機制與表面活性物質的生成減少,細胞增生與凋亡的失衡,進而促進了膠原蛋白的合成有關。若干預該調節通路上的任一環節可能是潛在的治療肺纖維化的新方向。
研究結果顯示,博來霉素誘導的小鼠肺纖維化組織中,磷酸化的Akt表達量較正常肺組織明顯增加,并伴有HIF-1α的表達增多。HIF-1α受低氧誘導,常氧下被泛素蛋白酶所降解。HIF-1α能在缺氧等條件下通過核轉位從胞質進入胞核,形成穩定的異二聚體后才有活性,活化的HIF-1α在其靶基因的轉錄起始部位形成一個轉錄起始復合物,進而啟動靶基因的轉錄,而這些基因調控與細胞的增殖與凋亡相關[11-12]。近期研究表明在小鼠的慢性阻塞性肺病模型中,HIF-1α介導了支氣管及肺泡上皮向間質細胞的轉化[13]。PI3K/Akt/HIF-1α通路的下游靶基因涉及代謝、細胞增殖/生存應激、血管生物學、紅細胞生成等[14-15]。百草枯中毒大鼠的急性肺損傷模型中,肺組織早期即出現肺纖維化、HIF-1α蛋白增加以及膠原沉積增加,提示HIF-1α參與了肺纖維化的形成[16-17]。另在異丙腎上腺素致大鼠心肌肥厚模型中,p-PI3K和p-Akt表達均較對照組升高,并參與了心肌纖維化的發生和發展[18]。還有研究表明血管緊張素Ⅱ(AngⅡ)可能通過下調脯氨酸羥化酶2(PHD2)的表達而減少腎小管上皮細胞中HIF-1α的降解,從而上調HIF-1α的表達,參與腎間質纖維化(RIF)的發生機制[19]。而在本研究中,肺組織Akt的活化伴隨了HIF-1α的表達增多并與肺纖維化形成有關,提示兩者有相關性。在隨后的實驗中,我們將進一步驗證抑制Akt的活化能否減少HIF-1α的表達并緩解肺纖維化的發生。
此外,我們還觀察了纖維化的肺組織中細胞的增生與凋亡情況,結果發現纖維化的肺泡間質中凋亡細胞數明顯增加并伴有表面活性物質SPC蛋白的減少。表面活性物質多由肺泡上皮細胞合成,在肺泡上皮細胞的反復損傷和異常修復中發揮重要作用[19-20]。表面活性物質合成不足伴受損肺泡上皮細胞的過度凋亡和異常增殖,導致了無效的肺泡上皮重構[21-22]。因此,我們推測活化的PI3K/Akt/HIF-1α通路主要通過引起肺內細胞的異常增生與凋亡,影響肺泡表面活性物質的合成,產生慢性缺氧的內環境,使受損細胞發生異常增生和修復,最終導致Collagen3蛋白的合成增加和纖維化形成。
綜上所述,我們認為異常活化的PI3K/Akt/HIF-1α通路調控了細胞的過度凋亡,從而影響了肺泡表面活性物質的產生和肺泡上皮細胞的正常修復,加重了肺纖維化的形成過程。若能抑制該通路的異常活化則可緩解肺纖維化膠原形成,達到抑制肺纖維化進展的目的。

