引用本文: 陳露露, 田亞瓊, 張英為, 邱玉英, 趙琪, 莊誼, 蔡后榮. 繼發于血液系統疾病的肺泡蛋白沉積癥三例報告并文獻復習. 中國呼吸與危重監護雜志, 2015, 14(6): 588-591. doi: 10.7507/1671-6205.2015141 復制
肺泡蛋白沉積癥(PAP)最初于1958年由Rosen等[1]首先報道,是一種罕見病。各個年齡均可發病,以成年人多見。干咳、呼吸困難是其最常見的臨床癥狀。迄今,PAP的病因及發病機制尚不清楚。其中,繼發性PAP有相關疾病或可能的致病因子,如血液系統疾病、細胞毒藥物、職業相關的粉塵吸入等。國內有關PAP的研究不多,針對繼發于血液系統疾病的PAP更是偶見報道。本文主要介紹我院近期診斷的3例繼發于血液病的PAP,并將國內外的研究進展復習整理,旨在提高臨床醫生對繼發性PAP的認識水平及診治水平。
臨床資料
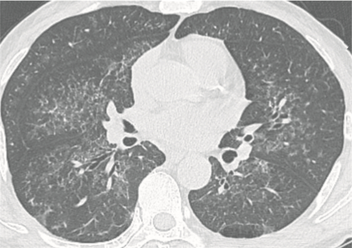
病例1 患者男性,39歲。因“反復發熱、咳嗽、氣喘2個月余”入院。體溫最高39 ℃,伴有畏寒、寒戰,咳嗽、咳黃膿痰,逐漸出現活動后氣喘。至當地醫院查胸部CT示兩肺彌漫性間質性病變;肺功能為重度限制性通氣功能障礙。給予多種抗生素治療癥狀無好轉,故轉來我院。既往有“骨髓增生異常綜合征(MDS)”1年,曾接受環孢素+糖皮質激素及輸血、雄激素等系列治療。無粉塵暴露史。入院時查體:體溫37.4 ℃,脈搏104次/min,呼吸28次/min,血壓108/58 mm Hg(1 mm Hg=0.133 kPa),指脈氧飽和度55%(未吸氧)、92%(儲氧面罩吸氧10 L/min),精神萎靡,嚴重貧血貌,全身無出血點及瘀斑,雙肺聽診兩下肺可及少許捻發音,心腹查體無陽性發現。我院胸部高分辨率CT(HRCT)提示兩肺彌漫分布磨玻璃影,伴有兩肺及胸膜上多發小囊狀影,右下肺可見小葉間隔增厚(圖 1)。在高流量吸氧及嚴密監護下行電子支氣管鏡檢查,灌洗液呈米湯樣,灌洗液涂片見多量嗜伊紅無結構細顆粒狀物,過碘酸雪夫(PAS)染色(+)。診斷:(1)繼發性PAP;(2)MDS;(3)Ⅰ型呼吸衰竭。患者發熱考慮合并感染,給予頭孢哌酮舒巴坦抗感染治療后體溫恢復正常,準備全肺灌洗治療前,患者再次發熱,調整抗生素為亞胺培南+替考拉寧+SMZ等治療后,癥狀進一步加重,氧合逐漸下降,患者自動出院回家。經隨訪回家3 d后死亡。

病例2 患者女性,55歲。因“發熱、咳嗽2周余”入院。體溫最高39 ℃,伴有咳嗽、咳白黏痰,活動后氣喘,自服“地塞米松、復方對乙酰氨基酚”后體溫能恢復正常,但6~12 h后體溫復升,為進一步診治收住我院血液科。既往有“慢性粒細胞白血病”7年。1年前進入“加速期”,不規則服用“伊馬替尼”治療。無粉塵暴露史。入院查體:體溫36.3 ℃,脈搏96次/min,呼吸23次/min,血壓100/64 mm Hg,指脈氧飽和度92%(吸氧3 L/min),貧血貌,右下肺可及濕啰音,腹軟,肝臟腫大,肋下2.5 cm,脾臟腫大,肋下4 cm。胸部HRCT示兩肺廣泛磨玻璃影,可見典型“鋪路石征”,呈“地圖樣”分布,伴有局部實變(右肺為著),右下肺可見較多囊狀影(圖 2)。行支氣管鏡檢查后可見渾濁米湯樣灌洗液,PAS染色(+),根據典型CT表現、氣管鏡結果及病史。診斷:(1)PAP伴感染;(2)慢性粒細胞白血病(加速期);(3)Ⅰ型呼吸衰竭。先后給予亞胺培南、萬古霉素、伏立康唑、SMZ等一系列抗感染治療后,體溫恢復正常,復查胸部HRCT提示原有實變病灶較前吸收,但“鋪路石征、地圖征”仍存在,建議患者擇期行全肺灌洗治療,患者后至外院治療并失訪。

病例3 患者男性,59歲。因“咳嗽氣喘4個月余”入院。患者于入院前4個月余開始出現咳嗽、氣喘,無明顯咳痰,伴低熱,就診于當地醫院,胸部CT示兩肺彌漫性磨玻璃樣改變,局部可見斑片影,考慮“肺部感染”。給予“抗感染”治療,患者體溫恢復正常,咳嗽、氣喘減輕,復查胸部CT示兩肺磨玻璃樣病變未吸收,患者自行出院。出院后2周患者再次出現咳嗽、氣喘并低熱,遂來我院血液科就診,胸部HRCT示兩肺斑片狀、磨玻璃樣高密度影,病變較前增多,另見索條影及網格影。給予多藥聯合抗感染及羥基脲治療原發病,效果仍不理想,遂轉入我科。1年前確診為慢性粒細胞性白血病(慢性期)。無粉塵暴露史。入院查體:體溫36.5 ℃,脈搏88次/min,呼吸22次/min,血壓137/89 mm Hg,神志清楚,精神可,兩肺呼吸音粗,未聞及干濕性啰音,肝臟腫大,肋下3橫指,脾臟腫大,遠端脾緣平臍。復查胸部HRCT示兩肺彌漫性點絮狀模糊影(圖 3)。患者于入院后第10 d行電子支氣管鏡檢查,支氣管肺泡灌洗液呈米湯樣外觀,灌洗液涂片見較多量嗜伊紅無結構細顆粒狀物,PAS染色(+)。結合患者既往史、胸部HRCT及支氣管鏡檢查結果,診斷:(1)PAP;(2)慢性粒細胞性白血病(慢性期)。給予重組人粒細胞-巨噬細胞刺激因子(GM-CSF)霧化吸入等治療,患者咳嗽氣喘有所好轉,復查胸部CT示病灶較前有吸收(圖 4),病情穩定后出院。院外繼續GM-CSF霧化吸入治療,目前病情穩定,仍在隨訪中。


討論
PAP是一種少見的肺部彌漫性疾病,其特征為肺泡內蓄積PAS染色陽性的無定型蛋白樣物質。臨床特點為咳嗽、氣喘、進行性呼吸困難,合并感染時可有黃膿痰、發熱等,紫紺和杵狀指(趾)是常見體征。部分患者早期可無癥狀,僅在體檢時發現兩肺彌漫性病變,因此,臨床癥狀輕微或缺如和胸部影像學的顯著異常不平行是PAP的臨床特征之一[2]。
PAP的病因及發病機制尚不明晰。根據有無關聯疾病及可能的發病機制,PAP分為先天性和獲得性兩種,獲得性包括自身免疫性和繼發性。先天性PAP為常染色體隱性遺傳病,約占2%。自身免疫性PAP約占PAP的90%以上,主要是體內存在GM-CSF的自身抗體,該抗體可影響肺泡巨噬細胞的形成,從而使肺泡表面蛋白樣物質清除減少,累積于肺泡腔而致病[3-4]。繼發性PAP有可能的致病因子或相關疾病,發病率占PAP的5%~10%。常見的致病因子有職業相關粉塵的吸入,如二氧化硅、鋁粉塵等,我科曾參與報道過吸入金屬粉塵銦而繼發的PAP[5]。相關疾病多為血液系統和免疫系統疾病,如急性髓細胞性白血病、韋格納肉芽腫等[6-7]。Ishii等[7]在總結了400多例PAP患者的臨床特征時指出:>75%成人起病的繼發性PAP患者其潛在的疾病是血液系統疾病。究其原因,可能是血液病本身導致巨噬細胞生成減少或成熟障礙(包括肺泡巨噬細胞上GM-CSF受體亞單位表達缺陷),使其對肺泡表面蛋白樣物質清除減少,從而導致PAP的發生[8]。此外,Nishida等[9]報道3例MDS繼發PAP患者染色體核型為47,XY(XX),+8,推測8號染色體三體可能參與MDS繼發PAP。我們報道的3例患者均否認粉塵暴露史,且血清抗核抗體、ENA抗體、類風濕抗體等均為陰性,血液標本的GM-CSF抗體后于北京某醫院檢測亦均陰性,故可以排除職業粉塵吸入相關PAP、免疫系統疾病相關PAP及自身免疫性PAP診斷,結合其血液系統疾病基礎,診斷為血液系統疾病繼發PAP,其中2例為慢性粒細胞白血病繼發PAP,1例為MDS繼發PAP。
自身免疫性PAP的胸部X線片表現是雙側對稱性的肺泡實變或磨玻璃影,主要分布于肺門及肺門周圍而類似肺水腫。HRCT的典型表現包括:(1)磨玻璃影及實變影與小葉間隔增厚交織形成鋪路石征樣改變;(2)在肺泡實變與正常的肺實質之間出現很明顯的分界線,形成“地圖樣”分布[10]。遺憾的是,這些表現在繼發性PAP患者中則相當少見[11]。Ishii等[11]對比了自身免疫性PAP和繼發性PAP的HRCT影像學特征,發現大多數(62%)繼發性PAP的磨玻璃影分布較為彌漫,并無明確的分界線,因此,很難看到“地圖樣”分布;同時,鋪路石征僅在14%的患者可以見到,向心性分布、胸膜下未累及僅在33%的患者可以見到;此外,病變在下肺分布較為突出。回顧我們診治的這3例患者的HRCT,均見到彌漫分布的磨玻璃影,甚至部分病變偏實而呈現為實變影,病變范圍廣泛,胸膜下也有累及;典型的“鋪路石征”和“地圖樣”分布僅見于1例患者。HRCT特征不明顯是延誤診治的主要原因。
PAP的診斷主要依據支氣管肺泡灌洗或經纖維支氣管鏡肺活檢,灌洗液呈牛奶樣或米湯樣外觀,靜置后可分層,乳白色泥漿樣物質沉降至容器底部。肺組織活檢的病理提示肺泡內充滿無定型蛋白質,PAS染色反應陽性,奧辛藍染色(AB)弱陽性或陰性。本文中3例患者均行經支氣管鏡肺泡灌洗檢查,灌洗液呈米湯樣,灌洗液見較多嗜伊紅無結構細顆粒狀物,PAS染色(+)。雖無肺組織活檢病理依據,但根據典型肺泡灌洗液病理結果足以診斷PAP。臨床工作中,特別是合并血液系統疾病的患者,凝血功能均有異常,活檢風險極大,且有時患者病情較重,無法耐受活檢亦是常見情況,如能把握時機,盡早完成經支氣管鏡肺泡灌洗檢查,送檢相關標本亦能獲得明確診斷的病理結果。
自身免疫性PAP的治療方法目前主要是全肺灌洗和GM-CSF替代治療,由于繼發性PAP患者GM-CSF抗體陰性,故以上療法是否有效尚無定論。國外曾有個案報道,急性淋巴細胞白血病在鞏固化療期出現粒細胞缺乏、發熱,經支氣管鏡灌洗并活檢后確診為PAP,給予GM-CSF及抗生素后,隨著粒細胞逐漸恢復,PAP亦有好轉[12],提示繼發性PAP的嚴重程度可能與原發血液系統疾病的進展有關。本文中病例3使用GM-CSF霧化吸入治療后,病情有好轉。
Ishii等[13]回顧性研究了31例MDS繼發PAP的病例,認為在MDS病程中發生的繼發性PAP可能是不良預后的一個重要的危險因素。同時,該研究也顯示使用糖皮質激素治療和一氧化碳彌散量低于44%也是不良預后的預測因子。Ishii等[7]研究顯示,診斷為血液病繼發PAP后,患者的2年生存率為46%,中位生存期16個月。總結國內外個案報道發現血液病繼發PAP的直接死因主要是呼吸衰竭和感染[13-18]。因此,治療上針對血液病和PAP、改善肺功能及抗感染等齊頭并舉尤為重要。
肺泡蛋白沉積癥(PAP)最初于1958年由Rosen等[1]首先報道,是一種罕見病。各個年齡均可發病,以成年人多見。干咳、呼吸困難是其最常見的臨床癥狀。迄今,PAP的病因及發病機制尚不清楚。其中,繼發性PAP有相關疾病或可能的致病因子,如血液系統疾病、細胞毒藥物、職業相關的粉塵吸入等。國內有關PAP的研究不多,針對繼發于血液系統疾病的PAP更是偶見報道。本文主要介紹我院近期診斷的3例繼發于血液病的PAP,并將國內外的研究進展復習整理,旨在提高臨床醫生對繼發性PAP的認識水平及診治水平。
臨床資料
病例1 患者男性,39歲。因“反復發熱、咳嗽、氣喘2個月余”入院。體溫最高39 ℃,伴有畏寒、寒戰,咳嗽、咳黃膿痰,逐漸出現活動后氣喘。至當地醫院查胸部CT示兩肺彌漫性間質性病變;肺功能為重度限制性通氣功能障礙。給予多種抗生素治療癥狀無好轉,故轉來我院。既往有“骨髓增生異常綜合征(MDS)”1年,曾接受環孢素+糖皮質激素及輸血、雄激素等系列治療。無粉塵暴露史。入院時查體:體溫37.4 ℃,脈搏104次/min,呼吸28次/min,血壓108/58 mm Hg(1 mm Hg=0.133 kPa),指脈氧飽和度55%(未吸氧)、92%(儲氧面罩吸氧10 L/min),精神萎靡,嚴重貧血貌,全身無出血點及瘀斑,雙肺聽診兩下肺可及少許捻發音,心腹查體無陽性發現。我院胸部高分辨率CT(HRCT)提示兩肺彌漫分布磨玻璃影,伴有兩肺及胸膜上多發小囊狀影,右下肺可見小葉間隔增厚(圖 1)。在高流量吸氧及嚴密監護下行電子支氣管鏡檢查,灌洗液呈米湯樣,灌洗液涂片見多量嗜伊紅無結構細顆粒狀物,過碘酸雪夫(PAS)染色(+)。診斷:(1)繼發性PAP;(2)MDS;(3)Ⅰ型呼吸衰竭。患者發熱考慮合并感染,給予頭孢哌酮舒巴坦抗感染治療后體溫恢復正常,準備全肺灌洗治療前,患者再次發熱,調整抗生素為亞胺培南+替考拉寧+SMZ等治療后,癥狀進一步加重,氧合逐漸下降,患者自動出院回家。經隨訪回家3 d后死亡。

病例2 患者女性,55歲。因“發熱、咳嗽2周余”入院。體溫最高39 ℃,伴有咳嗽、咳白黏痰,活動后氣喘,自服“地塞米松、復方對乙酰氨基酚”后體溫能恢復正常,但6~12 h后體溫復升,為進一步診治收住我院血液科。既往有“慢性粒細胞白血病”7年。1年前進入“加速期”,不規則服用“伊馬替尼”治療。無粉塵暴露史。入院查體:體溫36.3 ℃,脈搏96次/min,呼吸23次/min,血壓100/64 mm Hg,指脈氧飽和度92%(吸氧3 L/min),貧血貌,右下肺可及濕啰音,腹軟,肝臟腫大,肋下2.5 cm,脾臟腫大,肋下4 cm。胸部HRCT示兩肺廣泛磨玻璃影,可見典型“鋪路石征”,呈“地圖樣”分布,伴有局部實變(右肺為著),右下肺可見較多囊狀影(圖 2)。行支氣管鏡檢查后可見渾濁米湯樣灌洗液,PAS染色(+),根據典型CT表現、氣管鏡結果及病史。診斷:(1)PAP伴感染;(2)慢性粒細胞白血病(加速期);(3)Ⅰ型呼吸衰竭。先后給予亞胺培南、萬古霉素、伏立康唑、SMZ等一系列抗感染治療后,體溫恢復正常,復查胸部HRCT提示原有實變病灶較前吸收,但“鋪路石征、地圖征”仍存在,建議患者擇期行全肺灌洗治療,患者后至外院治療并失訪。

病例3 患者男性,59歲。因“咳嗽氣喘4個月余”入院。患者于入院前4個月余開始出現咳嗽、氣喘,無明顯咳痰,伴低熱,就診于當地醫院,胸部CT示兩肺彌漫性磨玻璃樣改變,局部可見斑片影,考慮“肺部感染”。給予“抗感染”治療,患者體溫恢復正常,咳嗽、氣喘減輕,復查胸部CT示兩肺磨玻璃樣病變未吸收,患者自行出院。出院后2周患者再次出現咳嗽、氣喘并低熱,遂來我院血液科就診,胸部HRCT示兩肺斑片狀、磨玻璃樣高密度影,病變較前增多,另見索條影及網格影。給予多藥聯合抗感染及羥基脲治療原發病,效果仍不理想,遂轉入我科。1年前確診為慢性粒細胞性白血病(慢性期)。無粉塵暴露史。入院查體:體溫36.5 ℃,脈搏88次/min,呼吸22次/min,血壓137/89 mm Hg,神志清楚,精神可,兩肺呼吸音粗,未聞及干濕性啰音,肝臟腫大,肋下3橫指,脾臟腫大,遠端脾緣平臍。復查胸部HRCT示兩肺彌漫性點絮狀模糊影(圖 3)。患者于入院后第10 d行電子支氣管鏡檢查,支氣管肺泡灌洗液呈米湯樣外觀,灌洗液涂片見較多量嗜伊紅無結構細顆粒狀物,PAS染色(+)。結合患者既往史、胸部HRCT及支氣管鏡檢查結果,診斷:(1)PAP;(2)慢性粒細胞性白血病(慢性期)。給予重組人粒細胞-巨噬細胞刺激因子(GM-CSF)霧化吸入等治療,患者咳嗽氣喘有所好轉,復查胸部CT示病灶較前有吸收(圖 4),病情穩定后出院。院外繼續GM-CSF霧化吸入治療,目前病情穩定,仍在隨訪中。


討論
PAP是一種少見的肺部彌漫性疾病,其特征為肺泡內蓄積PAS染色陽性的無定型蛋白樣物質。臨床特點為咳嗽、氣喘、進行性呼吸困難,合并感染時可有黃膿痰、發熱等,紫紺和杵狀指(趾)是常見體征。部分患者早期可無癥狀,僅在體檢時發現兩肺彌漫性病變,因此,臨床癥狀輕微或缺如和胸部影像學的顯著異常不平行是PAP的臨床特征之一[2]。
PAP的病因及發病機制尚不明晰。根據有無關聯疾病及可能的發病機制,PAP分為先天性和獲得性兩種,獲得性包括自身免疫性和繼發性。先天性PAP為常染色體隱性遺傳病,約占2%。自身免疫性PAP約占PAP的90%以上,主要是體內存在GM-CSF的自身抗體,該抗體可影響肺泡巨噬細胞的形成,從而使肺泡表面蛋白樣物質清除減少,累積于肺泡腔而致病[3-4]。繼發性PAP有可能的致病因子或相關疾病,發病率占PAP的5%~10%。常見的致病因子有職業相關粉塵的吸入,如二氧化硅、鋁粉塵等,我科曾參與報道過吸入金屬粉塵銦而繼發的PAP[5]。相關疾病多為血液系統和免疫系統疾病,如急性髓細胞性白血病、韋格納肉芽腫等[6-7]。Ishii等[7]在總結了400多例PAP患者的臨床特征時指出:>75%成人起病的繼發性PAP患者其潛在的疾病是血液系統疾病。究其原因,可能是血液病本身導致巨噬細胞生成減少或成熟障礙(包括肺泡巨噬細胞上GM-CSF受體亞單位表達缺陷),使其對肺泡表面蛋白樣物質清除減少,從而導致PAP的發生[8]。此外,Nishida等[9]報道3例MDS繼發PAP患者染色體核型為47,XY(XX),+8,推測8號染色體三體可能參與MDS繼發PAP。我們報道的3例患者均否認粉塵暴露史,且血清抗核抗體、ENA抗體、類風濕抗體等均為陰性,血液標本的GM-CSF抗體后于北京某醫院檢測亦均陰性,故可以排除職業粉塵吸入相關PAP、免疫系統疾病相關PAP及自身免疫性PAP診斷,結合其血液系統疾病基礎,診斷為血液系統疾病繼發PAP,其中2例為慢性粒細胞白血病繼發PAP,1例為MDS繼發PAP。
自身免疫性PAP的胸部X線片表現是雙側對稱性的肺泡實變或磨玻璃影,主要分布于肺門及肺門周圍而類似肺水腫。HRCT的典型表現包括:(1)磨玻璃影及實變影與小葉間隔增厚交織形成鋪路石征樣改變;(2)在肺泡實變與正常的肺實質之間出現很明顯的分界線,形成“地圖樣”分布[10]。遺憾的是,這些表現在繼發性PAP患者中則相當少見[11]。Ishii等[11]對比了自身免疫性PAP和繼發性PAP的HRCT影像學特征,發現大多數(62%)繼發性PAP的磨玻璃影分布較為彌漫,并無明確的分界線,因此,很難看到“地圖樣”分布;同時,鋪路石征僅在14%的患者可以見到,向心性分布、胸膜下未累及僅在33%的患者可以見到;此外,病變在下肺分布較為突出。回顧我們診治的這3例患者的HRCT,均見到彌漫分布的磨玻璃影,甚至部分病變偏實而呈現為實變影,病變范圍廣泛,胸膜下也有累及;典型的“鋪路石征”和“地圖樣”分布僅見于1例患者。HRCT特征不明顯是延誤診治的主要原因。
PAP的診斷主要依據支氣管肺泡灌洗或經纖維支氣管鏡肺活檢,灌洗液呈牛奶樣或米湯樣外觀,靜置后可分層,乳白色泥漿樣物質沉降至容器底部。肺組織活檢的病理提示肺泡內充滿無定型蛋白質,PAS染色反應陽性,奧辛藍染色(AB)弱陽性或陰性。本文中3例患者均行經支氣管鏡肺泡灌洗檢查,灌洗液呈米湯樣,灌洗液見較多嗜伊紅無結構細顆粒狀物,PAS染色(+)。雖無肺組織活檢病理依據,但根據典型肺泡灌洗液病理結果足以診斷PAP。臨床工作中,特別是合并血液系統疾病的患者,凝血功能均有異常,活檢風險極大,且有時患者病情較重,無法耐受活檢亦是常見情況,如能把握時機,盡早完成經支氣管鏡肺泡灌洗檢查,送檢相關標本亦能獲得明確診斷的病理結果。
自身免疫性PAP的治療方法目前主要是全肺灌洗和GM-CSF替代治療,由于繼發性PAP患者GM-CSF抗體陰性,故以上療法是否有效尚無定論。國外曾有個案報道,急性淋巴細胞白血病在鞏固化療期出現粒細胞缺乏、發熱,經支氣管鏡灌洗并活檢后確診為PAP,給予GM-CSF及抗生素后,隨著粒細胞逐漸恢復,PAP亦有好轉[12],提示繼發性PAP的嚴重程度可能與原發血液系統疾病的進展有關。本文中病例3使用GM-CSF霧化吸入治療后,病情有好轉。
Ishii等[13]回顧性研究了31例MDS繼發PAP的病例,認為在MDS病程中發生的繼發性PAP可能是不良預后的一個重要的危險因素。同時,該研究也顯示使用糖皮質激素治療和一氧化碳彌散量低于44%也是不良預后的預測因子。Ishii等[7]研究顯示,診斷為血液病繼發PAP后,患者的2年生存率為46%,中位生存期16個月。總結國內外個案報道發現血液病繼發PAP的直接死因主要是呼吸衰竭和感染[13-18]。因此,治療上針對血液病和PAP、改善肺功能及抗感染等齊頭并舉尤為重要。