引用本文: 段林立, 周瀅, 張挪富, 劉春麗. 霧化吸入干擾素治療肺腺癌致機化性肺炎一例報告并文獻復習. 中國呼吸與危重監護雜志, 2015, 14(6): 583-587. doi: 10.7507/1671-6205.2015140 復制
干擾素用于抗病毒、抗腫瘤已有幾十年歷史,取得了良好的效果,但對全身多系統存在一定的不良反應。在正常使用藥物進行診斷、治療和預防疾病時,由所用藥物直接或間接引起的肺部疾病,稱為藥源性肺損傷。本文報道1例霧化吸入新型的重組高效復合干擾素(rSIFN-co)治療肺腺癌過程中出現急性肺損傷,后經組織病理證實為機化性肺炎。目前國內外尚無相關文獻的報道。
臨床資料
患者男性,48歲。因“確診肺癌8個月,咳嗽、發熱1個月余,加重伴氣促3 d”于2014年4月28日入我院。患者8個月前因咳嗽就診于北京某醫院,確診為“左下肺腺癌”,給予“鹽酸厄洛替尼片(商品名:特羅凱)150 mg/d”治療至今,自述靶向藥物治療期間,咳嗽癥狀緩解,復查胸部CT病灶縮小。經朋友推薦,1個多月前開始霧化吸入“凍干重組高效復合干擾素”(國產),2周后咳嗽再發,痰難咯出,偶咯少量白色黏痰,伴發熱,體溫達39 ℃以上。在當地醫院抗感染治療(具體不詳)癥狀仍逐漸加重,2周前停用干擾素,仍有咳嗽。3 d前上述癥狀加重,伴氣促,活動后為甚,休息可緩解,伴低熱,無胸痛,無咯血,無暈厥。2014年4月27日來我院急診,擬“肺部感染”收入我科。起病以來,精神一般,納差,睡眠欠佳,大小便未見異常。體重減少15 kg。既往史:無特殊。有吸煙史20年,2包/d,1年前已戒煙。
入院查體:體溫36.6 ℃,脈搏108次/min,呼吸22次/min,血壓108/66 mm Hg(1 mm Hg=0.133 kPa),SpO2 96%(雙腔鼻導管吸氧2~3 L/min)。呼吸稍促,全身淺表淋巴結未觸及,雙側胸廓對稱,左下肺呼吸音減弱,右肺呼吸音清,未聞及干濕啰音,心界不大,心率108次/min,律齊,未聞及病理性雜音。皮膚、肝腹部、神經系統等未見異常。
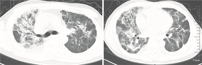
外院2014年4月26日胸部CT示雙肺廣泛性病變并縱隔淋巴結腫大,與2014年1月11日胸部CT平掃對比明顯改變(圖 1)。輔助檢查:白細胞12.2×109/L,中性粒細胞11.0×109/L;血氣分析:pH值7.415,二氧化碳分壓38.9 mm Hg,氧分壓71.7 mm Hg;腫瘤五項:神經元特異性烯醇化酶23.43 ng/mL,癌胚抗原7.32 ng/mL,糖類抗原125:71.27 U/mL,糖類抗原153:77.81 U/mL,非小細胞肺癌相關抗原5.03 ng/mL。心肌酶譜基本正常。炎性指標:降鈣素原正常,血沉正常。結核桿菌抗體測定、TB-DNA測定、真菌G試驗、念珠菌抗原檢測、巨細胞病毒定量、九項呼吸道感染病原體均正常。痰涂片及痰培養、氣管鏡涂片抗酸染色均陰性。免疫相關指標均正常。心臟彩超及腹部B超基本正常。肺功能因患者氣促嚴重無法執行。2014年4月29日胸部平掃+增強CT:(1)左肺腺癌;兩肺多發感染性病變,右側為著;(2)兩側胸腔少量積液,左側為著,左下肺壓迫性不張(圖 2)。2014年4月30日支氣管鏡肺活檢:(右上肺)送檢組織改變考慮為機化性肺炎(圖 3)。



患者入我院后考慮“藥物引起的肺損傷”。結合患者病史及影像學表現,患者吸入“干擾素”后出現上述癥狀,考慮藥物引起的間質性肺纖維化可能性大,支氣管鏡肺活檢排除感染性病變并確診為機化性肺炎,確診當日加用甲基潑尼松龍40 mg靜脈注射qd治療。經全院大會診后,考慮藥物所致的肺損傷,于2014年5月8日開始糖皮質激素沖擊治療:甲基潑尼松龍500 mg靜脈注射qd,連續3 d后改為80 mg qd,連續5 d后改為甲基潑尼松龍片40 mg口服qd,患者癥狀明顯好轉。2014年5月15日復查胸部CT示兩肺多發病灶(圖 4),對比此次治療前的CT檢查結果,病灶有所減少,予以出院。出院后繼續口服甲基潑尼松龍40 mg qd 4周。2014年6月10日復查肺功能:中重度限制性通氣功能障礙,彌散功能輕度下降。胸部CT提示肺部病變進一步好轉(圖 5),繼續激素減量治療。2014年9月10日肺功能:中度限制性通氣功能障礙。2014年12月22日隨訪,患者一般情況可,一般活動不受限,目前甲基潑尼松龍已逐漸減量至4 mg qod,胸部CT檢查示病灶明顯好轉(圖 6)。最終診斷:吸入干擾素所致的機化性肺炎。



文獻檢索
我們針對霧化吸入干擾素引起的間質性肺炎檢索了國內外文獻:美國國立醫學圖書館Pubmed(http://www.ncbi.nlm.nih.gov/pubmed)和萬方數據(http://www.wanfangdata.com.cn/),不限制檢索年限。在pubmed中檢索詞為“aerosolized interferon,pulmonary fibrosis”,檢索出9篇文獻,其中1篇是霧化吸入IFN-γ1b并不能明顯改善輕~中度囊性纖維性肺病的肺功能等指標,其余8篇與主題無明顯相關性。檢索詞為“aerosolized interferon,interstitial pneumonia”和“aerosolized interferon,organizing pneumonia”,檢索結果均為0。檢索詞為“rSIFN-co”,檢索出3篇文獻,其中2篇是對宮頸癌和乳腺癌細胞的體外研究,另一篇與rSIFN-co相關性不大。
在萬方數據庫中檢索詞為“吸入性干擾素,肺纖維化”,檢索出8篇文獻,但與主題均無直接相關性。檢索詞為“吸入性干擾素,肺間質肺炎”,檢索出10篇文獻,其中2篇是干擾素霧化吸入治療小兒病毒性肺炎的,1篇是治療嬰幼兒毛細支氣管炎的,其余與主題無任何相關性。檢索詞為“吸入性干擾素,間質性肺炎”吸入性干擾素,機化性肺炎“吸入性重組高效復合干擾素”,檢索結果均為0。檢索詞為“重組高效復合干擾素”,檢索出49篇,其中與其直接相關的有8篇,分別是對宮頸癌、卵巢癌、乳腺癌的體外實驗研究,以及慢性乙肝的臨床研究方案的設計和健康人的藥代動力學及生物效應的研究。總之,目前尚沒有吸入性肺炎引起間質性肺炎的報道,而且有關rSIFN-co研究的報道甚少。
討論
干擾素自1957年被發現以來,經過幾十年的研究表明,不僅具有抗病毒復制、抑制細胞分裂、誘導細胞分化、增強細胞吞噬功能等作用,還可以調節免疫反應,誘導細胞特定基因的表達,加強機體在抗腫瘤方面的免疫應答抑制癌細胞的生長[1-3],其中以α干擾素抗腫瘤效果為優,是臨床上腫瘤治療中最常用的干擾素。而新型的重組復合高效干擾素rSIFN-co是根據22種天然人體干擾素(如α、β)活性單位結構設計并合成的一組全新的氨基酸,具有自主知識產權的新型基因工程干擾素,與其他類型的干擾素一致,但因其為采用蛋白質空間構象調控技術生產的非天然干擾素,具有獨特的空間構象結構,在生物學效應上與其他干擾素相比有高活性、強功能、低不良反應等特點,目前已有對血液系統腫瘤、婦科腫瘤研究的相關報道,如宮頸癌、卵巢癌、乳腺癌等[4-6],但基本都是基于體外的研究,國內外尚未見rSIFN-co對肺部腫瘤的相關研究報道。本例系中老年男性患者,既往無風濕病等相關系統性疾病病史,無毒物接觸史。因肺腺癌予靶向藥物鹽酸厄洛替尼治療約8個月,治療期間癥狀明顯改善,未見明顯不良反應,而加用rSIFN-co半月后出現咳嗽,伴氣促、發熱,胸部高分辨CT提示兩肺多發性感染病變,而普通抗感染治療無效。感染性指標包括特殊病原體(結核、真菌、病毒、支原體)均未見明顯異常;風濕免疫指標也不支持結締組織繼發肺部病變。最后病理學排除了特殊病原體感染,考慮機化性肺炎。雖然鹽酸厄洛替尼相關報道在應用藥物5 d~9個月以上(中位時間39 d)時有間質性肺炎發生可能,但發生比例僅0.8%,且出現嚴重肺間質纖維化更為罕見,一旦出現,預后極差,病死率高[7-8]。且該患者應用鹽酸厄洛替尼治療期間病情明顯好轉,但是加用吸入rSIFN-co半月后癥狀再次加重,病情進展迅速,起病前有明顯的用藥史,所以與鹽酸厄洛替尼相關的藥物性肺損傷可能性不大。通過糖皮質激素沖擊療法為主的治療后,患者病情穩定,好轉出院,出院后繼續口服甲潑尼龍40 mg qd并逐漸減量,1個月后復查,患者癥狀及影像學檢查明顯改善。隨訪8個月病情未進展,目前甲潑尼龍劑量為4mg qod。回顧患者疾病進展的時間、臨床特征、影像學、病理學檢查及治療經過,“吸入性干擾素所致的機化性肺炎”診斷成立。
干擾素治療過程中所致的機化性肺炎是非常罕見的疾病,而目前并沒有rSIFN-co治療肺腺癌及治療過程中出現肺損傷的相關報道,且本例患者應用的為霧化吸入rSIFN-co。藥物性肺損傷、類風濕關節炎、病毒性肺炎相關的機化性肺炎樣改變,病因不明時,稱為隱源性肺炎,屬于特發性間質性肺炎的一種。目前rSIFN-co引起的急性肺損傷機制尚不明確。但是結合其他干擾素所致的間質性肺炎及藥物性肺損傷的一般作用機制[9-10],可能為:(1)藥物對肺泡毛細血管內皮細胞的直接毒性作用。治療劑量的干擾素也可激活肺泡巨噬細胞,進一步引起肺泡損傷。(2)免疫系統介導的肺損傷。干擾素能與細胞表面特殊受體結合,啟動一系列的細胞內過程,如抑制細胞增殖、增強淋巴細胞對靶細胞的細胞毒作用、增強巨噬細胞的吞噬活性、對機體起免疫調節作用。(3)氧自由基損傷等。但是rSIFN-co所致的肺損傷的機制尚待進一步研究。
關于藥物性肺損傷治療的基本原則,根據文獻資料[11-12],同時結合本例患者的診治經過,我們的體會是:(1)盡早停藥,早期發現,及時診斷,盡早停用可能引起肺損傷的藥物是治療的主要措施;(2)使用腎上腺皮質激素,對于病情嚴重的可以使用大劑量的糖皮質激素沖擊療法;(3)具體情況具體分析;(4)避免不必要的藥物。總之,對于突然出現的肺部疾病,抗感染治療無效,也不能用其他病因解釋時,應考慮藥物因素所致,藥物性肺損傷的臨床表現呈多樣性,無特異性,診斷應結合用藥病史、輔助檢查以及停用藥物后糖皮質激素治療有效等因素綜合考慮。雖然rSINF-co在治療腫瘤中可能發揮不可估量的作用,但是它的不良反應需進一步臨床觀察。適當的給藥時間和劑量以及新的給藥方式有待進一步研究。因此,對于rSINF-co在腫瘤患者中的應用仍需學者們進一步的探究。
干擾素用于抗病毒、抗腫瘤已有幾十年歷史,取得了良好的效果,但對全身多系統存在一定的不良反應。在正常使用藥物進行診斷、治療和預防疾病時,由所用藥物直接或間接引起的肺部疾病,稱為藥源性肺損傷。本文報道1例霧化吸入新型的重組高效復合干擾素(rSIFN-co)治療肺腺癌過程中出現急性肺損傷,后經組織病理證實為機化性肺炎。目前國內外尚無相關文獻的報道。
臨床資料
患者男性,48歲。因“確診肺癌8個月,咳嗽、發熱1個月余,加重伴氣促3 d”于2014年4月28日入我院。患者8個月前因咳嗽就診于北京某醫院,確診為“左下肺腺癌”,給予“鹽酸厄洛替尼片(商品名:特羅凱)150 mg/d”治療至今,自述靶向藥物治療期間,咳嗽癥狀緩解,復查胸部CT病灶縮小。經朋友推薦,1個多月前開始霧化吸入“凍干重組高效復合干擾素”(國產),2周后咳嗽再發,痰難咯出,偶咯少量白色黏痰,伴發熱,體溫達39 ℃以上。在當地醫院抗感染治療(具體不詳)癥狀仍逐漸加重,2周前停用干擾素,仍有咳嗽。3 d前上述癥狀加重,伴氣促,活動后為甚,休息可緩解,伴低熱,無胸痛,無咯血,無暈厥。2014年4月27日來我院急診,擬“肺部感染”收入我科。起病以來,精神一般,納差,睡眠欠佳,大小便未見異常。體重減少15 kg。既往史:無特殊。有吸煙史20年,2包/d,1年前已戒煙。
入院查體:體溫36.6 ℃,脈搏108次/min,呼吸22次/min,血壓108/66 mm Hg(1 mm Hg=0.133 kPa),SpO2 96%(雙腔鼻導管吸氧2~3 L/min)。呼吸稍促,全身淺表淋巴結未觸及,雙側胸廓對稱,左下肺呼吸音減弱,右肺呼吸音清,未聞及干濕啰音,心界不大,心率108次/min,律齊,未聞及病理性雜音。皮膚、肝腹部、神經系統等未見異常。
外院2014年4月26日胸部CT示雙肺廣泛性病變并縱隔淋巴結腫大,與2014年1月11日胸部CT平掃對比明顯改變(圖 1)。輔助檢查:白細胞12.2×109/L,中性粒細胞11.0×109/L;血氣分析:pH值7.415,二氧化碳分壓38.9 mm Hg,氧分壓71.7 mm Hg;腫瘤五項:神經元特異性烯醇化酶23.43 ng/mL,癌胚抗原7.32 ng/mL,糖類抗原125:71.27 U/mL,糖類抗原153:77.81 U/mL,非小細胞肺癌相關抗原5.03 ng/mL。心肌酶譜基本正常。炎性指標:降鈣素原正常,血沉正常。結核桿菌抗體測定、TB-DNA測定、真菌G試驗、念珠菌抗原檢測、巨細胞病毒定量、九項呼吸道感染病原體均正常。痰涂片及痰培養、氣管鏡涂片抗酸染色均陰性。免疫相關指標均正常。心臟彩超及腹部B超基本正常。肺功能因患者氣促嚴重無法執行。2014年4月29日胸部平掃+增強CT:(1)左肺腺癌;兩肺多發感染性病變,右側為著;(2)兩側胸腔少量積液,左側為著,左下肺壓迫性不張(圖 2)。2014年4月30日支氣管鏡肺活檢:(右上肺)送檢組織改變考慮為機化性肺炎(圖 3)。



患者入我院后考慮“藥物引起的肺損傷”。結合患者病史及影像學表現,患者吸入“干擾素”后出現上述癥狀,考慮藥物引起的間質性肺纖維化可能性大,支氣管鏡肺活檢排除感染性病變并確診為機化性肺炎,確診當日加用甲基潑尼松龍40 mg靜脈注射qd治療。經全院大會診后,考慮藥物所致的肺損傷,于2014年5月8日開始糖皮質激素沖擊治療:甲基潑尼松龍500 mg靜脈注射qd,連續3 d后改為80 mg qd,連續5 d后改為甲基潑尼松龍片40 mg口服qd,患者癥狀明顯好轉。2014年5月15日復查胸部CT示兩肺多發病灶(圖 4),對比此次治療前的CT檢查結果,病灶有所減少,予以出院。出院后繼續口服甲基潑尼松龍40 mg qd 4周。2014年6月10日復查肺功能:中重度限制性通氣功能障礙,彌散功能輕度下降。胸部CT提示肺部病變進一步好轉(圖 5),繼續激素減量治療。2014年9月10日肺功能:中度限制性通氣功能障礙。2014年12月22日隨訪,患者一般情況可,一般活動不受限,目前甲基潑尼松龍已逐漸減量至4 mg qod,胸部CT檢查示病灶明顯好轉(圖 6)。最終診斷:吸入干擾素所致的機化性肺炎。



文獻檢索
我們針對霧化吸入干擾素引起的間質性肺炎檢索了國內外文獻:美國國立醫學圖書館Pubmed(http://www.ncbi.nlm.nih.gov/pubmed)和萬方數據(http://www.wanfangdata.com.cn/),不限制檢索年限。在pubmed中檢索詞為“aerosolized interferon,pulmonary fibrosis”,檢索出9篇文獻,其中1篇是霧化吸入IFN-γ1b并不能明顯改善輕~中度囊性纖維性肺病的肺功能等指標,其余8篇與主題無明顯相關性。檢索詞為“aerosolized interferon,interstitial pneumonia”和“aerosolized interferon,organizing pneumonia”,檢索結果均為0。檢索詞為“rSIFN-co”,檢索出3篇文獻,其中2篇是對宮頸癌和乳腺癌細胞的體外研究,另一篇與rSIFN-co相關性不大。
在萬方數據庫中檢索詞為“吸入性干擾素,肺纖維化”,檢索出8篇文獻,但與主題均無直接相關性。檢索詞為“吸入性干擾素,肺間質肺炎”,檢索出10篇文獻,其中2篇是干擾素霧化吸入治療小兒病毒性肺炎的,1篇是治療嬰幼兒毛細支氣管炎的,其余與主題無任何相關性。檢索詞為“吸入性干擾素,間質性肺炎”吸入性干擾素,機化性肺炎“吸入性重組高效復合干擾素”,檢索結果均為0。檢索詞為“重組高效復合干擾素”,檢索出49篇,其中與其直接相關的有8篇,分別是對宮頸癌、卵巢癌、乳腺癌的體外實驗研究,以及慢性乙肝的臨床研究方案的設計和健康人的藥代動力學及生物效應的研究。總之,目前尚沒有吸入性肺炎引起間質性肺炎的報道,而且有關rSIFN-co研究的報道甚少。
討論
干擾素自1957年被發現以來,經過幾十年的研究表明,不僅具有抗病毒復制、抑制細胞分裂、誘導細胞分化、增強細胞吞噬功能等作用,還可以調節免疫反應,誘導細胞特定基因的表達,加強機體在抗腫瘤方面的免疫應答抑制癌細胞的生長[1-3],其中以α干擾素抗腫瘤效果為優,是臨床上腫瘤治療中最常用的干擾素。而新型的重組復合高效干擾素rSIFN-co是根據22種天然人體干擾素(如α、β)活性單位結構設計并合成的一組全新的氨基酸,具有自主知識產權的新型基因工程干擾素,與其他類型的干擾素一致,但因其為采用蛋白質空間構象調控技術生產的非天然干擾素,具有獨特的空間構象結構,在生物學效應上與其他干擾素相比有高活性、強功能、低不良反應等特點,目前已有對血液系統腫瘤、婦科腫瘤研究的相關報道,如宮頸癌、卵巢癌、乳腺癌等[4-6],但基本都是基于體外的研究,國內外尚未見rSIFN-co對肺部腫瘤的相關研究報道。本例系中老年男性患者,既往無風濕病等相關系統性疾病病史,無毒物接觸史。因肺腺癌予靶向藥物鹽酸厄洛替尼治療約8個月,治療期間癥狀明顯改善,未見明顯不良反應,而加用rSIFN-co半月后出現咳嗽,伴氣促、發熱,胸部高分辨CT提示兩肺多發性感染病變,而普通抗感染治療無效。感染性指標包括特殊病原體(結核、真菌、病毒、支原體)均未見明顯異常;風濕免疫指標也不支持結締組織繼發肺部病變。最后病理學排除了特殊病原體感染,考慮機化性肺炎。雖然鹽酸厄洛替尼相關報道在應用藥物5 d~9個月以上(中位時間39 d)時有間質性肺炎發生可能,但發生比例僅0.8%,且出現嚴重肺間質纖維化更為罕見,一旦出現,預后極差,病死率高[7-8]。且該患者應用鹽酸厄洛替尼治療期間病情明顯好轉,但是加用吸入rSIFN-co半月后癥狀再次加重,病情進展迅速,起病前有明顯的用藥史,所以與鹽酸厄洛替尼相關的藥物性肺損傷可能性不大。通過糖皮質激素沖擊療法為主的治療后,患者病情穩定,好轉出院,出院后繼續口服甲潑尼龍40 mg qd并逐漸減量,1個月后復查,患者癥狀及影像學檢查明顯改善。隨訪8個月病情未進展,目前甲潑尼龍劑量為4mg qod。回顧患者疾病進展的時間、臨床特征、影像學、病理學檢查及治療經過,“吸入性干擾素所致的機化性肺炎”診斷成立。
干擾素治療過程中所致的機化性肺炎是非常罕見的疾病,而目前并沒有rSIFN-co治療肺腺癌及治療過程中出現肺損傷的相關報道,且本例患者應用的為霧化吸入rSIFN-co。藥物性肺損傷、類風濕關節炎、病毒性肺炎相關的機化性肺炎樣改變,病因不明時,稱為隱源性肺炎,屬于特發性間質性肺炎的一種。目前rSIFN-co引起的急性肺損傷機制尚不明確。但是結合其他干擾素所致的間質性肺炎及藥物性肺損傷的一般作用機制[9-10],可能為:(1)藥物對肺泡毛細血管內皮細胞的直接毒性作用。治療劑量的干擾素也可激活肺泡巨噬細胞,進一步引起肺泡損傷。(2)免疫系統介導的肺損傷。干擾素能與細胞表面特殊受體結合,啟動一系列的細胞內過程,如抑制細胞增殖、增強淋巴細胞對靶細胞的細胞毒作用、增強巨噬細胞的吞噬活性、對機體起免疫調節作用。(3)氧自由基損傷等。但是rSIFN-co所致的肺損傷的機制尚待進一步研究。
關于藥物性肺損傷治療的基本原則,根據文獻資料[11-12],同時結合本例患者的診治經過,我們的體會是:(1)盡早停藥,早期發現,及時診斷,盡早停用可能引起肺損傷的藥物是治療的主要措施;(2)使用腎上腺皮質激素,對于病情嚴重的可以使用大劑量的糖皮質激素沖擊療法;(3)具體情況具體分析;(4)避免不必要的藥物。總之,對于突然出現的肺部疾病,抗感染治療無效,也不能用其他病因解釋時,應考慮藥物因素所致,藥物性肺損傷的臨床表現呈多樣性,無特異性,診斷應結合用藥病史、輔助檢查以及停用藥物后糖皮質激素治療有效等因素綜合考慮。雖然rSINF-co在治療腫瘤中可能發揮不可估量的作用,但是它的不良反應需進一步臨床觀察。適當的給藥時間和劑量以及新的給藥方式有待進一步研究。因此,對于rSINF-co在腫瘤患者中的應用仍需學者們進一步的探究。