引用本文: 袁燕清, 諸蘭艷, 陳平. 咳嗽、氣促、間斷發熱、皮疹. 中國呼吸與危重監護雜志, 2015, 14(5): 510-513. doi: 10.7507/1671-6205.2015126 復制
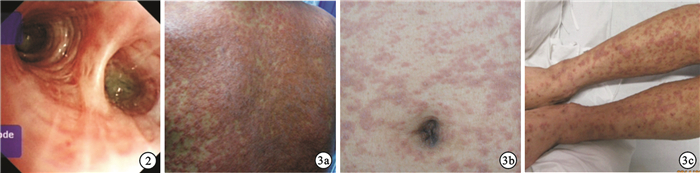
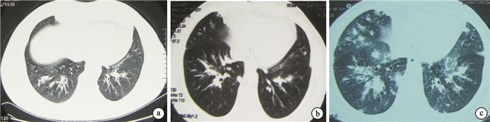
病歷摘要????患者男,49歲,因“咳嗽、氣促、間斷發熱、皮疹3個多月,加重1個月”入院。患者2013年12月初無明顯誘因出現咳嗽、咳白色泡沫樣痰,約100 mL/24 h,伴活動后氣促,低熱(約37.8℃),3 d后全身出現皮疹,以腹部和背部為主,瘙癢明顯。2014年1月12日至當地醫院就診,查血常規:白細胞計數16×109/L,嗜酸粒細胞6.85×109/L,支氣管舒張試驗陰性;胸部CT示雙肺散在斑片狀、結節影,雙下肺輕度支氣管擴張(圖 1a)。診斷為支氣管擴張,予頭孢哌酮舒巴坦鈉聯合左氧氟沙星抗感染治療。治療7 d,患者咳嗽、咳痰、氣促較前加重,體溫較前增高(達38.5℃),皮疹無明顯消退。2014年1月27日來我院門診,查血常規:白細胞計數17.97×109/L,嗜酸粒細胞11.21×109/L;胸部CT示雙肺病灶較前稍增多(圖 1b);纖維支氣管鏡示聲帶白斑病變,氣管下段、右中葉、右下葉內基底支、右背支有白色壞死物阻塞管腔(圖 2)。右中肺黏膜活檢示彌漫性混合性炎癥細胞浸潤,多為中性粒細胞。考慮支氣管肺炎、變應性血管炎,予以頭孢哌酮舒巴坦鈉、左氧氟沙星聯合抗感染,甲強龍40 mg Qd抗炎治療。治療5 d,癥狀無明顯好轉,查血常規:白細胞計數13.96×109/L,嗜酸粒細胞4.66×109/L,較前下降;胸部CT示雙肺斑片狀、結節影較前增多(圖 1c)。為求進一步診治于2月17日入院治療。起病以來,患者精神、食欲欠佳,睡眠差,因咳嗽、氣促難以入睡,大小便正常,體重無明顯變化。既往史:患者近7年反復出現雙上肢皮疹。對蝦過敏。


入院查體:體溫37.6℃,脈搏94次/min,呼吸24次/min,血壓132/85 mm Hg(1 mm Hg=0.133 kPa)。胸、腹、背部及四肢可見彌漫分布的暗紅色斑疹及斑丘疹,部分融合成片,部分表面脫屑,疹間可見正常皮膚(圖 3)。雙側頸部及腋窩捫及多枚腫大淋巴結,在2 cm×1 cm至3 cm×2 cm之間,表面光滑,質軟,邊界清晰,活動度可,無壓痛。雙肺聞及散在的濕啰音及哮鳴音。心腹查體無明顯異常。
入院診斷:皮疹、雙肺病變查因:變應性肉芽腫性血管炎并感染?變態反應性支氣管肺曲霉病?
實驗室檢查:血常規:白細胞計數27.67×109/L,嗜酸粒細胞計數17.79×109/L。尿常規:紅細胞計數809.2/μL,白細胞總數188.70/μL。血沉34 mm/1 h,C-反應蛋白5.41 mg/L,降鈣素原0.63 ng/mL,免疫球蛋白IgE>6 000 ng/mL。大便常規、肝、腎功能、電解質、甲狀腺功能、凝血功能、腫瘤標志物檢查、心肌酶均未見異常。多次痰涂片鏡檢、痰細菌培養、痰真菌培養、痰找抗酸桿菌均為陰性;G試驗、新型隱球菌抗原陰性;結核桿菌抗體PPD-IgM陽性、PPD-IgG陰性,結核斑點試驗ESAT-6、CFP-10陰性。寄生蟲、人類免疫缺陷病毒抗原抗體均為陰性。血清抗中性粒細胞胞質抗體(ANCA)、抗可提取物核抗原(ENA)、抗ENA抗體-髓過氧化物酶抗原、抗ENA抗體-蛋白酶3抗原、抗腎小球基底膜抗體等自身免疫相關抗體均陰性。
診治經過:予甲強龍40 mg Qd靜脈滴注,哌拉西林/他唑巴坦4.5 g靜脈滴注q 8h抗感染,伏立康唑抗真菌。體溫波動在37.4℃~37.6℃,咳喘、皮疹的癥狀未見明顯好轉。2月28日復查血常規:白細胞計數14.10×109/L,嗜酸粒細胞計數3.79×109/L(較前下降)。因癥狀無明顯改善,停用激素,抗真菌藥改為伊曲康唑口服液,停用甲強龍后患者體溫波動在36.8℃~39.6℃,四肢出現新發皮疹,咳嗽、咳痰癥狀較前加重。3月5日胸部CT示雙肺斑片狀、結節狀陰影較前增多;復查血常規:白細胞計數18.25×109/L,嗜酸粒細胞計數6.82×109/L。3月10日再次復查血常規:白細胞21.18×109/L,嗜酸粒細胞計數6.90×109/L。期間纖維鼻咽喉鏡檢查示慢性鼻竇炎、鼻息肉。骨髓細胞學檢示骨髓增生活躍,嗜酸粒細胞比例稍高,占18.5%。腹部皮損處活檢,結果顯示真皮淺層血管內皮細胞腫脹,血管周圍見較多組織細胞及嗜酸粒細胞,間質中散在嗜酸粒細胞。由于診斷不明,治療效果欠佳,2014年3月10日組織全院大會診。
臨床討論
諸蘭艷副教授(呼吸內科):患者的特點為:(1)?中年男性,既往有反復雙上肢皮疹病史7年;(2)?臨床表現為反復咳喘、發熱、皮疹;體查雙肺聞及散在的濕性羅音和哮鳴音,頸部及腋窩淋巴結腫大,胸腹、背部、四肢皮疹;(3)?血常規和骨髓涂片示嗜酸粒細胞明顯增高,血清IgE異常升高;(4)?支氣管舒張試驗陰性;(5)?多次胸部CT考慮支氣管擴張、肺部斑片狀、結節狀影;(6)?纖維鼻咽喉鏡檢查有慢性鼻竇炎、鼻息肉;(7)?皮膚活檢血管周圍有嗜酸粒細胞浸潤。根據以上特點診斷考慮為嗜酸粒細胞增多癥:變應性肉芽腫性血管炎(Churg-Strauss syndrome,CSS)并感染?特發性嗜酸粒細胞增多癥?CSS診斷標準(1990年,美國風濕學會)[1]:(1)?哮喘;(2)?血嗜酸粒細胞>0.10;(3)?單發性或多發性神經病變;(4)?一過性或游走性肺浸潤;(5)?副鼻竇病變;(6)?血管外嗜酸粒細胞浸潤和肉芽腫性血管炎,凡具備4條或4條以上可診斷。據此考慮診斷CSS可能性大,但該患者ANCA陰性,肺部游走性病灶不典型,治療效果欠佳。是否診斷有誤?是否為特發性嗜酸粒細胞增多癥?嗜酸粒細胞增多癥與CSS有許多相同之處,但極少形成血管炎和肉芽腫,同時外周血嗜酸粒細胞計數比CSS高,可伴有彌漫性中樞神經系統損害、肝脾及全身淋巴結腫大、血栓性栓塞以及血小板減少癥,對糖皮質激素反應較差。另外,患者有發熱、皮疹、頸部、腋窩及縱隔內多處淋巴結腫大,血常規及骨髓象嗜酸粒細胞升高,是否為伴嗜酸粒細胞增多的髓系/淋巴類腫瘤的可能?
戴崇文副教授(血液內科):患者長時間嗜酸粒細胞增高,且皮膚活檢有嗜酸粒細胞浸潤,故嗜酸粒細胞增多是明確該病例診斷的重要線索。從病因學來看,嗜酸粒細胞增多可以分為四類:(1)?反應性增多,如寄生蟲感染、真菌感染、過敏性反應等;(2)?繼發性增多,如淋巴瘤、結締組織病、免疫缺陷病等;(3)?克隆性增多,如慢性嗜酸粒細胞白血病、慢性髓系白血病、急性髓系白血病中的特殊類型(AML-M4Eo)等;(4)?特發性嗜酸粒細胞增多癥。結合該患者的臨床資料,診斷考慮繼發性嗜酸粒細胞增多,CSS可能性大。另外,患者頸部及腋窩可捫及4枚腫大淋巴結,應高度警惕惡性淋巴瘤可能,建議進一步完善淋巴結活檢,行FIP1L1-PDGFRa和ETV6-PDGFRβ融合基因檢測,排除伴嗜酸粒細胞增多的髓系/淋巴類腫瘤及嗜酸粒細胞性白血病。
凌光輝副教授(風濕免疫科):患者有多系統、器官受累,綜合患者各項輔助檢查,考慮CSS可能性大。CSS腎臟損害一般較輕,故通常只有輕微癥狀,但也有病情嚴重者表現為鏡下血尿和(或)蛋白尿,可自行消退。雖ANCA是診斷血管炎的一個重要指標,但是ANCA陰性亦不能完全排外血管炎。文獻報道只有30%~40%的CSS患者ANCA陽性,多數是針對MPO型的,將近60%的患者ANCA陰性[2-5]。
楊樹仁教授(放射科):患者多次肺部影像學檢查特點如下:雙肺多發支氣管柱狀、囊狀擴張,雙肺下葉部分支氣管壁稍增厚(可見于許多變態反應性疾病中);雙肺多發斑片狀、結節狀影,密度不均,邊緣模糊,病灶沿血管走形分布,隨著疾病發展,患者肺部病灶逐漸增多,雙肺門增大,縱隔內見多發腫大淋巴結;雙側胸膜未見異常。CSS患者的肺部表現無特異性,病變多樣,可表現為單側或雙側肺部游走性斑片狀、結節狀浸潤影或彌漫性肺間質病變,部分患者表現為支氣管壁增厚,支氣管擴張,部分患者伴有胸腔積液、胸膜增厚,有時有肺門、縱隔淋巴結腫大等,必要時可進一步完善肺血管成像幫助診斷。
張桂英教授(皮膚科):患者中年男性,因反復咳喘、發熱、軀干四肢皮疹近1個月,癥狀逐漸加重入院。皮膚病理活檢顯示伴有嗜酸粒細胞及中性粒細胞的肉芽腫性血管炎改變。同時有哮喘,鼻竇炎,外周血及骨髓嗜酸粒細胞升高,皮疹(病理呈現伴及嗜酸粒細胞的肉芽腫性血管炎)的疾病主要有韋格納肉芽腫和CSS,兩者均屬ANCA相關性血管炎,但前者常伴有嚴重的腎小球腎炎和上呼吸道破潰性增生性損害、胸痛和咯血,而不是哮喘。因此結合該患者臨床表現及實驗室檢查更符合CSS診斷。CSS是少見的累及皮膚的系統性肉芽腫性壞死性血管炎,40%~70%的患者在活動期可出現皮膚損害,它可以是CSS的首發臨床表現,表現為紫癜、瘀點、皮膚結節,皮膚的病理改變主要表現為伴嗜酸粒細胞的血管外肉芽腫和白細胞破碎性血管炎,嗜酸粒細胞可多可少,白細胞破碎性血管炎常見[6]。該患者皮損組織則僅見少量嗜酸粒細胞。單次皮膚活檢可能看不到皮膚病理改變的全貌,必要時可進行多次活檢。
許淑媛教授(病理科):患者支氣管鏡取黏膜及肺活檢組織鏡下未見肉芽腫結構,可見彌漫性混合炎癥細胞浸潤(其中主要為中性粒細胞及嗜酸粒細胞浸潤),肺組織壞死以及一中等大小血管壁致密炎癥細胞浸潤(圖 4);左下腹皮損處活檢病理切片可見角化不全,表皮增生,真皮乳頭層及真皮淺層炎癥細胞浸潤,皮膚小血管周圍有較多組織細胞伴少量淋巴細胞、嗜酸粒細胞及中性粒細胞浸潤,伴有多核巨細胞的上皮樣肉芽腫(圖 5),未見干酪性壞死,有小血管壞死伴血管炎,間質膠原增生。皮膚病變與肺內病變均為炎性,未見腫瘤和結核。結合患者哮喘、血常規和肺組織中嗜酸粒細胞較多,以及皮膚病理活檢血管周圍嗜酸粒細胞浸潤和肉芽腫性改變,病理診斷為CSS。文獻中CSS的典型病理表現是:(1)?壞死性血管炎:主要累及中小血管,可表現為血管外周嗜酸粒細胞、淋巴細胞呈套狀浸潤,血管浸潤壞死;(2)?嗜酸粒細胞浸潤;(3)?血管外的炎性病變體肉芽腫形成[7]。這三種典型的病理表現很少在不同的活檢標本組織切片中同時出現,某一病理改變只在病程的某一時期見到。文獻報道,如果嚴格遵循3條病理組織學標準作為診斷依據,只能使不足20%的CSS患者得以診斷[8-9]。本病例肺組織病變中未見肉芽腫,也可能因檢查前糖皮質激素的使用以及所獲肺活檢標本太小。

會診后,行FIP1L1/PDGFRα及ETV6-PDGFRβ融合基因檢查為陰性,考慮CSS。予甲強龍40 mg 1次/d靜脈滴注5 d后改為潑尼松片40 mg 1次/d口服,患者體溫下降,咳嗽、咳痰、氣促癥狀好轉,皮疹逐漸消退,于2014年3月23日出院。
陳平教授(呼吸內科):該患者有喘息,嗜酸粒細胞比例高(>10%),肺部多發斑片、結節影,但游走不明顯,肺部影像學不典型,鼻竇、副鼻竇炎,且皮膚病理見伴及嗜酸粒細胞浸潤的肉芽腫性血管炎,最終診斷明確為CSS。回顧患者的整個診斷、治療經過,診斷過程中出現的一些困難,其原因歸結為以下幾點:(1)?過分強調ANCA陽性對CSS的診斷價值,從而對診斷不敢肯定。(2)?病理表現不典型。CSS的三種典型病理表現只有一小部分出現在同一患者中,一個部位的組織活檢不一定反映出相應的病理改變,常需要多個部位的活檢。而該患者肺部及腹部皮損處活檢僅見個別嗜酸粒細胞及肉芽腫,容易造成漏診。(3)?患者治療開始癥狀改善不明顯,但是白細胞和嗜酸粒細胞明顯下降,可能與治療時間短有關,誤認為糖皮質激素治療無效而動搖診斷的正確性,所以今后治療效果判斷上要全面考慮。(4)C?SS是一種罕見病,臨床醫師對該病認識不足。CSS多為中年發病,沒有性別差異,是一種累及中小血管的系統性血管炎,其臨床過程可分為三個時期:(1)?前驅期:為支氣管哮喘期,以過敏性哮喘和過敏性鼻炎為主要表現,常伴發鼻竇炎、鼻息肉。疾病初期哮喘癥狀較輕,隨著疾病的進展,最終發展為難治性哮喘。(2)?嗜酸粒細胞浸潤期:肺和胃腸道等其他器官嗜酸粒細胞浸潤。(3)?系統性血管炎期:可累及肺、神經系統、皮膚、腎臟、心臟及胃腸道等。從出現支氣管哮喘癥狀到發展為系統性血管炎平均為3~8年[10]。隨著系統性血管炎的發生,全身各系統均可受累,出現多器官功能不全,嚴重時危及生命。當患者單用糖皮質激素效果欠佳時,可以聯合使用環磷酰胺治療。
病歷摘要????患者男,49歲,因“咳嗽、氣促、間斷發熱、皮疹3個多月,加重1個月”入院。患者2013年12月初無明顯誘因出現咳嗽、咳白色泡沫樣痰,約100 mL/24 h,伴活動后氣促,低熱(約37.8℃),3 d后全身出現皮疹,以腹部和背部為主,瘙癢明顯。2014年1月12日至當地醫院就診,查血常規:白細胞計數16×109/L,嗜酸粒細胞6.85×109/L,支氣管舒張試驗陰性;胸部CT示雙肺散在斑片狀、結節影,雙下肺輕度支氣管擴張(圖 1a)。診斷為支氣管擴張,予頭孢哌酮舒巴坦鈉聯合左氧氟沙星抗感染治療。治療7 d,患者咳嗽、咳痰、氣促較前加重,體溫較前增高(達38.5℃),皮疹無明顯消退。2014年1月27日來我院門診,查血常規:白細胞計數17.97×109/L,嗜酸粒細胞11.21×109/L;胸部CT示雙肺病灶較前稍增多(圖 1b);纖維支氣管鏡示聲帶白斑病變,氣管下段、右中葉、右下葉內基底支、右背支有白色壞死物阻塞管腔(圖 2)。右中肺黏膜活檢示彌漫性混合性炎癥細胞浸潤,多為中性粒細胞。考慮支氣管肺炎、變應性血管炎,予以頭孢哌酮舒巴坦鈉、左氧氟沙星聯合抗感染,甲強龍40 mg Qd抗炎治療。治療5 d,癥狀無明顯好轉,查血常規:白細胞計數13.96×109/L,嗜酸粒細胞4.66×109/L,較前下降;胸部CT示雙肺斑片狀、結節影較前增多(圖 1c)。為求進一步診治于2月17日入院治療。起病以來,患者精神、食欲欠佳,睡眠差,因咳嗽、氣促難以入睡,大小便正常,體重無明顯變化。既往史:患者近7年反復出現雙上肢皮疹。對蝦過敏。


入院查體:體溫37.6℃,脈搏94次/min,呼吸24次/min,血壓132/85 mm Hg(1 mm Hg=0.133 kPa)。胸、腹、背部及四肢可見彌漫分布的暗紅色斑疹及斑丘疹,部分融合成片,部分表面脫屑,疹間可見正常皮膚(圖 3)。雙側頸部及腋窩捫及多枚腫大淋巴結,在2 cm×1 cm至3 cm×2 cm之間,表面光滑,質軟,邊界清晰,活動度可,無壓痛。雙肺聞及散在的濕啰音及哮鳴音。心腹查體無明顯異常。
入院診斷:皮疹、雙肺病變查因:變應性肉芽腫性血管炎并感染?變態反應性支氣管肺曲霉病?
實驗室檢查:血常規:白細胞計數27.67×109/L,嗜酸粒細胞計數17.79×109/L。尿常規:紅細胞計數809.2/μL,白細胞總數188.70/μL。血沉34 mm/1 h,C-反應蛋白5.41 mg/L,降鈣素原0.63 ng/mL,免疫球蛋白IgE>6 000 ng/mL。大便常規、肝、腎功能、電解質、甲狀腺功能、凝血功能、腫瘤標志物檢查、心肌酶均未見異常。多次痰涂片鏡檢、痰細菌培養、痰真菌培養、痰找抗酸桿菌均為陰性;G試驗、新型隱球菌抗原陰性;結核桿菌抗體PPD-IgM陽性、PPD-IgG陰性,結核斑點試驗ESAT-6、CFP-10陰性。寄生蟲、人類免疫缺陷病毒抗原抗體均為陰性。血清抗中性粒細胞胞質抗體(ANCA)、抗可提取物核抗原(ENA)、抗ENA抗體-髓過氧化物酶抗原、抗ENA抗體-蛋白酶3抗原、抗腎小球基底膜抗體等自身免疫相關抗體均陰性。
診治經過:予甲強龍40 mg Qd靜脈滴注,哌拉西林/他唑巴坦4.5 g靜脈滴注q 8h抗感染,伏立康唑抗真菌。體溫波動在37.4℃~37.6℃,咳喘、皮疹的癥狀未見明顯好轉。2月28日復查血常規:白細胞計數14.10×109/L,嗜酸粒細胞計數3.79×109/L(較前下降)。因癥狀無明顯改善,停用激素,抗真菌藥改為伊曲康唑口服液,停用甲強龍后患者體溫波動在36.8℃~39.6℃,四肢出現新發皮疹,咳嗽、咳痰癥狀較前加重。3月5日胸部CT示雙肺斑片狀、結節狀陰影較前增多;復查血常規:白細胞計數18.25×109/L,嗜酸粒細胞計數6.82×109/L。3月10日再次復查血常規:白細胞21.18×109/L,嗜酸粒細胞計數6.90×109/L。期間纖維鼻咽喉鏡檢查示慢性鼻竇炎、鼻息肉。骨髓細胞學檢示骨髓增生活躍,嗜酸粒細胞比例稍高,占18.5%。腹部皮損處活檢,結果顯示真皮淺層血管內皮細胞腫脹,血管周圍見較多組織細胞及嗜酸粒細胞,間質中散在嗜酸粒細胞。由于診斷不明,治療效果欠佳,2014年3月10日組織全院大會診。
臨床討論
諸蘭艷副教授(呼吸內科):患者的特點為:(1)?中年男性,既往有反復雙上肢皮疹病史7年;(2)?臨床表現為反復咳喘、發熱、皮疹;體查雙肺聞及散在的濕性羅音和哮鳴音,頸部及腋窩淋巴結腫大,胸腹、背部、四肢皮疹;(3)?血常規和骨髓涂片示嗜酸粒細胞明顯增高,血清IgE異常升高;(4)?支氣管舒張試驗陰性;(5)?多次胸部CT考慮支氣管擴張、肺部斑片狀、結節狀影;(6)?纖維鼻咽喉鏡檢查有慢性鼻竇炎、鼻息肉;(7)?皮膚活檢血管周圍有嗜酸粒細胞浸潤。根據以上特點診斷考慮為嗜酸粒細胞增多癥:變應性肉芽腫性血管炎(Churg-Strauss syndrome,CSS)并感染?特發性嗜酸粒細胞增多癥?CSS診斷標準(1990年,美國風濕學會)[1]:(1)?哮喘;(2)?血嗜酸粒細胞>0.10;(3)?單發性或多發性神經病變;(4)?一過性或游走性肺浸潤;(5)?副鼻竇病變;(6)?血管外嗜酸粒細胞浸潤和肉芽腫性血管炎,凡具備4條或4條以上可診斷。據此考慮診斷CSS可能性大,但該患者ANCA陰性,肺部游走性病灶不典型,治療效果欠佳。是否診斷有誤?是否為特發性嗜酸粒細胞增多癥?嗜酸粒細胞增多癥與CSS有許多相同之處,但極少形成血管炎和肉芽腫,同時外周血嗜酸粒細胞計數比CSS高,可伴有彌漫性中樞神經系統損害、肝脾及全身淋巴結腫大、血栓性栓塞以及血小板減少癥,對糖皮質激素反應較差。另外,患者有發熱、皮疹、頸部、腋窩及縱隔內多處淋巴結腫大,血常規及骨髓象嗜酸粒細胞升高,是否為伴嗜酸粒細胞增多的髓系/淋巴類腫瘤的可能?
戴崇文副教授(血液內科):患者長時間嗜酸粒細胞增高,且皮膚活檢有嗜酸粒細胞浸潤,故嗜酸粒細胞增多是明確該病例診斷的重要線索。從病因學來看,嗜酸粒細胞增多可以分為四類:(1)?反應性增多,如寄生蟲感染、真菌感染、過敏性反應等;(2)?繼發性增多,如淋巴瘤、結締組織病、免疫缺陷病等;(3)?克隆性增多,如慢性嗜酸粒細胞白血病、慢性髓系白血病、急性髓系白血病中的特殊類型(AML-M4Eo)等;(4)?特發性嗜酸粒細胞增多癥。結合該患者的臨床資料,診斷考慮繼發性嗜酸粒細胞增多,CSS可能性大。另外,患者頸部及腋窩可捫及4枚腫大淋巴結,應高度警惕惡性淋巴瘤可能,建議進一步完善淋巴結活檢,行FIP1L1-PDGFRa和ETV6-PDGFRβ融合基因檢測,排除伴嗜酸粒細胞增多的髓系/淋巴類腫瘤及嗜酸粒細胞性白血病。
凌光輝副教授(風濕免疫科):患者有多系統、器官受累,綜合患者各項輔助檢查,考慮CSS可能性大。CSS腎臟損害一般較輕,故通常只有輕微癥狀,但也有病情嚴重者表現為鏡下血尿和(或)蛋白尿,可自行消退。雖ANCA是診斷血管炎的一個重要指標,但是ANCA陰性亦不能完全排外血管炎。文獻報道只有30%~40%的CSS患者ANCA陽性,多數是針對MPO型的,將近60%的患者ANCA陰性[2-5]。
楊樹仁教授(放射科):患者多次肺部影像學檢查特點如下:雙肺多發支氣管柱狀、囊狀擴張,雙肺下葉部分支氣管壁稍增厚(可見于許多變態反應性疾病中);雙肺多發斑片狀、結節狀影,密度不均,邊緣模糊,病灶沿血管走形分布,隨著疾病發展,患者肺部病灶逐漸增多,雙肺門增大,縱隔內見多發腫大淋巴結;雙側胸膜未見異常。CSS患者的肺部表現無特異性,病變多樣,可表現為單側或雙側肺部游走性斑片狀、結節狀浸潤影或彌漫性肺間質病變,部分患者表現為支氣管壁增厚,支氣管擴張,部分患者伴有胸腔積液、胸膜增厚,有時有肺門、縱隔淋巴結腫大等,必要時可進一步完善肺血管成像幫助診斷。
張桂英教授(皮膚科):患者中年男性,因反復咳喘、發熱、軀干四肢皮疹近1個月,癥狀逐漸加重入院。皮膚病理活檢顯示伴有嗜酸粒細胞及中性粒細胞的肉芽腫性血管炎改變。同時有哮喘,鼻竇炎,外周血及骨髓嗜酸粒細胞升高,皮疹(病理呈現伴及嗜酸粒細胞的肉芽腫性血管炎)的疾病主要有韋格納肉芽腫和CSS,兩者均屬ANCA相關性血管炎,但前者常伴有嚴重的腎小球腎炎和上呼吸道破潰性增生性損害、胸痛和咯血,而不是哮喘。因此結合該患者臨床表現及實驗室檢查更符合CSS診斷。CSS是少見的累及皮膚的系統性肉芽腫性壞死性血管炎,40%~70%的患者在活動期可出現皮膚損害,它可以是CSS的首發臨床表現,表現為紫癜、瘀點、皮膚結節,皮膚的病理改變主要表現為伴嗜酸粒細胞的血管外肉芽腫和白細胞破碎性血管炎,嗜酸粒細胞可多可少,白細胞破碎性血管炎常見[6]。該患者皮損組織則僅見少量嗜酸粒細胞。單次皮膚活檢可能看不到皮膚病理改變的全貌,必要時可進行多次活檢。
許淑媛教授(病理科):患者支氣管鏡取黏膜及肺活檢組織鏡下未見肉芽腫結構,可見彌漫性混合炎癥細胞浸潤(其中主要為中性粒細胞及嗜酸粒細胞浸潤),肺組織壞死以及一中等大小血管壁致密炎癥細胞浸潤(圖 4);左下腹皮損處活檢病理切片可見角化不全,表皮增生,真皮乳頭層及真皮淺層炎癥細胞浸潤,皮膚小血管周圍有較多組織細胞伴少量淋巴細胞、嗜酸粒細胞及中性粒細胞浸潤,伴有多核巨細胞的上皮樣肉芽腫(圖 5),未見干酪性壞死,有小血管壞死伴血管炎,間質膠原增生。皮膚病變與肺內病變均為炎性,未見腫瘤和結核。結合患者哮喘、血常規和肺組織中嗜酸粒細胞較多,以及皮膚病理活檢血管周圍嗜酸粒細胞浸潤和肉芽腫性改變,病理診斷為CSS。文獻中CSS的典型病理表現是:(1)?壞死性血管炎:主要累及中小血管,可表現為血管外周嗜酸粒細胞、淋巴細胞呈套狀浸潤,血管浸潤壞死;(2)?嗜酸粒細胞浸潤;(3)?血管外的炎性病變體肉芽腫形成[7]。這三種典型的病理表現很少在不同的活檢標本組織切片中同時出現,某一病理改變只在病程的某一時期見到。文獻報道,如果嚴格遵循3條病理組織學標準作為診斷依據,只能使不足20%的CSS患者得以診斷[8-9]。本病例肺組織病變中未見肉芽腫,也可能因檢查前糖皮質激素的使用以及所獲肺活檢標本太小。

會診后,行FIP1L1/PDGFRα及ETV6-PDGFRβ融合基因檢查為陰性,考慮CSS。予甲強龍40 mg 1次/d靜脈滴注5 d后改為潑尼松片40 mg 1次/d口服,患者體溫下降,咳嗽、咳痰、氣促癥狀好轉,皮疹逐漸消退,于2014年3月23日出院。
陳平教授(呼吸內科):該患者有喘息,嗜酸粒細胞比例高(>10%),肺部多發斑片、結節影,但游走不明顯,肺部影像學不典型,鼻竇、副鼻竇炎,且皮膚病理見伴及嗜酸粒細胞浸潤的肉芽腫性血管炎,最終診斷明確為CSS。回顧患者的整個診斷、治療經過,診斷過程中出現的一些困難,其原因歸結為以下幾點:(1)?過分強調ANCA陽性對CSS的診斷價值,從而對診斷不敢肯定。(2)?病理表現不典型。CSS的三種典型病理表現只有一小部分出現在同一患者中,一個部位的組織活檢不一定反映出相應的病理改變,常需要多個部位的活檢。而該患者肺部及腹部皮損處活檢僅見個別嗜酸粒細胞及肉芽腫,容易造成漏診。(3)?患者治療開始癥狀改善不明顯,但是白細胞和嗜酸粒細胞明顯下降,可能與治療時間短有關,誤認為糖皮質激素治療無效而動搖診斷的正確性,所以今后治療效果判斷上要全面考慮。(4)C?SS是一種罕見病,臨床醫師對該病認識不足。CSS多為中年發病,沒有性別差異,是一種累及中小血管的系統性血管炎,其臨床過程可分為三個時期:(1)?前驅期:為支氣管哮喘期,以過敏性哮喘和過敏性鼻炎為主要表現,常伴發鼻竇炎、鼻息肉。疾病初期哮喘癥狀較輕,隨著疾病的進展,最終發展為難治性哮喘。(2)?嗜酸粒細胞浸潤期:肺和胃腸道等其他器官嗜酸粒細胞浸潤。(3)?系統性血管炎期:可累及肺、神經系統、皮膚、腎臟、心臟及胃腸道等。從出現支氣管哮喘癥狀到發展為系統性血管炎平均為3~8年[10]。隨著系統性血管炎的發生,全身各系統均可受累,出現多器官功能不全,嚴重時危及生命。當患者單用糖皮質激素效果欠佳時,可以聯合使用環磷酰胺治療。