引用本文: 牟向東, 章巍, 柳萍, 湯秀英, 李桂蓮, 王廣發. 內科胸腔鏡結合免疫組織化學及電鏡技術診斷惡性胸膜間皮瘤一例. 中國呼吸與危重監護雜志, 2015, 14(3): 298-300. doi: 10.7507/1671-6205.2015073 復制
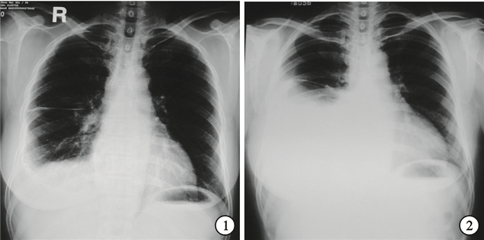
臨床資料 患者女性,50歲。因“間斷干咳、胸痛2個月,加重伴氣短1個月”于2005年9月26日入院。患者2個月前無誘因間斷出現咳嗽及右側胸痛,深吸氣時明顯,無發熱、咳痰、咯血及呼吸困難。胸部X線片示右側少量胸腔積液(圖 1),在外院行胸腔穿刺胸腔積液檢查為單核細胞為主的滲出液,考慮為結核性胸膜炎,予異煙肼、利福平和乙胺丁醇三聯抗結核治療1個月,胸痛繼續加重,并出現活動后胸悶氣短,復查胸部X線片示右側胸腔積液明顯增多(圖 2)。為進一步診治入我院。自發病以來,患者食欲下降,二便正常,近2個月內體重減少8 kg。既往史:高血壓2年,無煙酒嗜好,無毒物接觸史。入院后體格檢查:體溫36.9 ℃,脈搏 108次/min,呼吸18次/min,血壓135/85 mm Hg(1 mm Hg=0.133 kPa)。淺表淋巴結未觸及腫大;頸軟無抵抗,氣管居中,甲狀腺不大,右下背部叩診為濁音,聽診呼吸音減弱,未及胸膜摩擦音,腹平軟無壓痛,肝脾肋下未及,雙下肢不腫。入院診斷:胸腔積液原因待查。

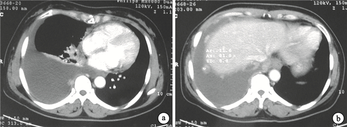
入院后查外周血白細胞9.2×109/L,中性粒細胞72%,血沉51 mm/1 h。多次查痰抗酸染色陰性,結核抗體陰性。血漿總蛋白80 g/L,白蛋白39 g/L,乳酸脫氫酶236 IU/L。癌胚抗原(CEA)31.38 μg/L(正常值<5 μg/L),癌抗原19-9(CA19-9)753.90 U/mL(正常值<37.0 U/mL),癌抗原125 (CA125)73.04 U/mL(正常值<35 U/mL)。動脈血氣分析:pH 7.471,二氧化碳分壓41 mm Hg,氧分壓56 mm Hg,吸入氧濃度21%。胸腔穿刺胸腔積液檢查:胸腔積液外觀呈深黃色,比重1.031,細胞總數1.2×109/L,有核細胞數0.7×109/L,單核細胞78%,多核細胞22%;總蛋白45 g/L,白蛋白 28.7 g/L,乳酸脫氫酶236 IU/L,葡萄糖9.52 mmol/L,腺苷酸脫氨酶14 U/L,癌胚抗原295.30 ng/L,胸腔積液培養陰性,胸腔積液涂片未找到抗酸桿菌及腫瘤細胞。胸部增強CT示右側大量胸腔積液,右肺壓迫性肺不張,右側胸膜可見增厚和多發結節伴強化(圖 3)。

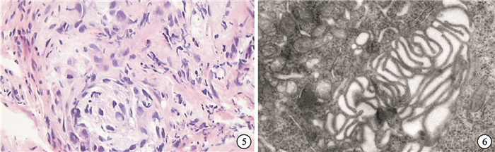
行內科胸腔鏡檢查,鏡下可見多個壁層胸膜結節,質韌,臟層胸膜可見菜花樣腫物,表面呈結節狀隆起,局部可見少量出血(圖 4)。胸膜活檢組織病理學檢查示上皮樣惡性腫瘤細胞浸潤(圖 5)。免疫組織化學染色顯示廣譜細胞角蛋白(AE1/AE3)、上皮膜抗原(EMA)、鈣結合蛋白(calretinin)等強陽性,甲狀腺轉錄因子(TTF1)陰性,考慮惡性胸膜間皮瘤(MPM)可能性大。電鏡下可見灶狀惡性腫瘤細胞成排排列,見多量細長毛發樣微絨毛(圖 6),長度與直徑之比(LDR)>15,部分腫瘤細胞含有較多糖原顆粒,細胞核異型性明顯,形態符合MPM。患者最終診斷為MPM。轉至腫瘤醫院繼續治療。1年后死于MPM進展。


討論 MPM是一種原發于胸膜組織的惡性腫瘤,臨床罕見,約占胸膜腫瘤的5%[1]。在接觸石棉的人群中MPM發病率明顯增加[2]。但本例患者無石棉粉塵接觸史。
MPM起病隱匿,臨床表現缺乏特異性,主要癥狀包括咳嗽、胸痛和呼吸困難等,可伴有發熱和肩背痛[3]。胸痛常進行性加重,隨胸腔積液量增多亦不緩解[4]。胸部CT主要表現為胸膜彌漫性增厚或多發胸膜結節,增強CT掃描病灶可明顯強化,60%~90%患者合并胸腔積液[4]。少數患者在胸腔積液后很長時間無積液再現而被誤診為良性疾病,直到再次出現積液而被確診[3]。
MPM患者的胸腔積液外觀多為深黃色或血性,實驗室檢查其為單核細胞為主的滲出液,間皮細胞常大于5%,LDH明顯升高,ADA和CEA在正常范圍內,據此可與結核性胸膜炎及腺癌胸膜轉移等疾病相鑒別[5]。本例患者胸腔積液中CEA明顯升高,因此需要和腺癌胸膜轉移相鑒別。胸腔積液中的 MPM細胞與增生活躍的間皮細胞及轉移性腺癌細胞在光鏡下常難以鑒別,所以不推薦單獨根據胸腔積液細胞學檢查來診斷MPM[4]。MPM的確診需要胸膜活檢,本例患者所采用的內科胸腔鏡檢查是最佳方法,由于能夠直視胸膜腔,對胸膜病變進行觀察及活檢,因而具有較高的敏感性和特異性[6]。
MPM根據組織病理學可分為上皮型、肉瘤型及混合型3種,其中上皮型最為常見,但容易和胸膜轉移性腺癌相混淆,其確診還需結合免疫組織化學染色及電鏡技術[7]。常用的具有陽性診斷價值的標記物包括calretinin、AE1/AE3、EMA等,具有陰性診斷價值的標記物包括TTF1、CEA及細胞角蛋白5/6等[8]。對于免疫組織化學尚不能明確診斷的患者,電鏡檢查就十分必要。電鏡下間皮瘤細胞表面有無數細長微絨毛,LDR>15,而腺癌細胞表面微絨毛少且短粗直,LDR<10[9]。本例患者為上皮型MPM,其免疫組織化學檢查結果尚不能明確診斷,但電鏡檢查結果支持MPM診斷。
MPM缺乏有效的治療手段,預后較差,平均生存期為8~14個月[10]。本例患者的生存期僅1年。由于MPM呈彌漫性胸膜內生長,手術完整切除困難,只有少數患者可行根治性手術[4]。對于大多數患者而言,順鉑+培美曲塞是標準的一線化療方案[1]。另外,對于胸腔積液增長迅速的患者還可行胸膜粘連術,以減少胸腔積液的生成,從而改善患者的生活質量[6]。
臨床資料 患者女性,50歲。因“間斷干咳、胸痛2個月,加重伴氣短1個月”于2005年9月26日入院。患者2個月前無誘因間斷出現咳嗽及右側胸痛,深吸氣時明顯,無發熱、咳痰、咯血及呼吸困難。胸部X線片示右側少量胸腔積液(圖 1),在外院行胸腔穿刺胸腔積液檢查為單核細胞為主的滲出液,考慮為結核性胸膜炎,予異煙肼、利福平和乙胺丁醇三聯抗結核治療1個月,胸痛繼續加重,并出現活動后胸悶氣短,復查胸部X線片示右側胸腔積液明顯增多(圖 2)。為進一步診治入我院。自發病以來,患者食欲下降,二便正常,近2個月內體重減少8 kg。既往史:高血壓2年,無煙酒嗜好,無毒物接觸史。入院后體格檢查:體溫36.9 ℃,脈搏 108次/min,呼吸18次/min,血壓135/85 mm Hg(1 mm Hg=0.133 kPa)。淺表淋巴結未觸及腫大;頸軟無抵抗,氣管居中,甲狀腺不大,右下背部叩診為濁音,聽診呼吸音減弱,未及胸膜摩擦音,腹平軟無壓痛,肝脾肋下未及,雙下肢不腫。入院診斷:胸腔積液原因待查。

入院后查外周血白細胞9.2×109/L,中性粒細胞72%,血沉51 mm/1 h。多次查痰抗酸染色陰性,結核抗體陰性。血漿總蛋白80 g/L,白蛋白39 g/L,乳酸脫氫酶236 IU/L。癌胚抗原(CEA)31.38 μg/L(正常值<5 μg/L),癌抗原19-9(CA19-9)753.90 U/mL(正常值<37.0 U/mL),癌抗原125 (CA125)73.04 U/mL(正常值<35 U/mL)。動脈血氣分析:pH 7.471,二氧化碳分壓41 mm Hg,氧分壓56 mm Hg,吸入氧濃度21%。胸腔穿刺胸腔積液檢查:胸腔積液外觀呈深黃色,比重1.031,細胞總數1.2×109/L,有核細胞數0.7×109/L,單核細胞78%,多核細胞22%;總蛋白45 g/L,白蛋白 28.7 g/L,乳酸脫氫酶236 IU/L,葡萄糖9.52 mmol/L,腺苷酸脫氨酶14 U/L,癌胚抗原295.30 ng/L,胸腔積液培養陰性,胸腔積液涂片未找到抗酸桿菌及腫瘤細胞。胸部增強CT示右側大量胸腔積液,右肺壓迫性肺不張,右側胸膜可見增厚和多發結節伴強化(圖 3)。

行內科胸腔鏡檢查,鏡下可見多個壁層胸膜結節,質韌,臟層胸膜可見菜花樣腫物,表面呈結節狀隆起,局部可見少量出血(圖 4)。胸膜活檢組織病理學檢查示上皮樣惡性腫瘤細胞浸潤(圖 5)。免疫組織化學染色顯示廣譜細胞角蛋白(AE1/AE3)、上皮膜抗原(EMA)、鈣結合蛋白(calretinin)等強陽性,甲狀腺轉錄因子(TTF1)陰性,考慮惡性胸膜間皮瘤(MPM)可能性大。電鏡下可見灶狀惡性腫瘤細胞成排排列,見多量細長毛發樣微絨毛(圖 6),長度與直徑之比(LDR)>15,部分腫瘤細胞含有較多糖原顆粒,細胞核異型性明顯,形態符合MPM。患者最終診斷為MPM。轉至腫瘤醫院繼續治療。1年后死于MPM進展。


討論 MPM是一種原發于胸膜組織的惡性腫瘤,臨床罕見,約占胸膜腫瘤的5%[1]。在接觸石棉的人群中MPM發病率明顯增加[2]。但本例患者無石棉粉塵接觸史。
MPM起病隱匿,臨床表現缺乏特異性,主要癥狀包括咳嗽、胸痛和呼吸困難等,可伴有發熱和肩背痛[3]。胸痛常進行性加重,隨胸腔積液量增多亦不緩解[4]。胸部CT主要表現為胸膜彌漫性增厚或多發胸膜結節,增強CT掃描病灶可明顯強化,60%~90%患者合并胸腔積液[4]。少數患者在胸腔積液后很長時間無積液再現而被誤診為良性疾病,直到再次出現積液而被確診[3]。
MPM患者的胸腔積液外觀多為深黃色或血性,實驗室檢查其為單核細胞為主的滲出液,間皮細胞常大于5%,LDH明顯升高,ADA和CEA在正常范圍內,據此可與結核性胸膜炎及腺癌胸膜轉移等疾病相鑒別[5]。本例患者胸腔積液中CEA明顯升高,因此需要和腺癌胸膜轉移相鑒別。胸腔積液中的 MPM細胞與增生活躍的間皮細胞及轉移性腺癌細胞在光鏡下常難以鑒別,所以不推薦單獨根據胸腔積液細胞學檢查來診斷MPM[4]。MPM的確診需要胸膜活檢,本例患者所采用的內科胸腔鏡檢查是最佳方法,由于能夠直視胸膜腔,對胸膜病變進行觀察及活檢,因而具有較高的敏感性和特異性[6]。
MPM根據組織病理學可分為上皮型、肉瘤型及混合型3種,其中上皮型最為常見,但容易和胸膜轉移性腺癌相混淆,其確診還需結合免疫組織化學染色及電鏡技術[7]。常用的具有陽性診斷價值的標記物包括calretinin、AE1/AE3、EMA等,具有陰性診斷價值的標記物包括TTF1、CEA及細胞角蛋白5/6等[8]。對于免疫組織化學尚不能明確診斷的患者,電鏡檢查就十分必要。電鏡下間皮瘤細胞表面有無數細長微絨毛,LDR>15,而腺癌細胞表面微絨毛少且短粗直,LDR<10[9]。本例患者為上皮型MPM,其免疫組織化學檢查結果尚不能明確診斷,但電鏡檢查結果支持MPM診斷。
MPM缺乏有效的治療手段,預后較差,平均生存期為8~14個月[10]。本例患者的生存期僅1年。由于MPM呈彌漫性胸膜內生長,手術完整切除困難,只有少數患者可行根治性手術[4]。對于大多數患者而言,順鉑+培美曲塞是標準的一線化療方案[1]。另外,對于胸腔積液增長迅速的患者還可行胸膜粘連術,以減少胸腔積液的生成,從而改善患者的生活質量[6]。