引用本文: 王均鵬, 包明威. 培哚普利對慢性阻塞性肺疾病大鼠肺組織PI3K及肺功能的影響. 中國呼吸與危重監護雜志, 2015, 14(3): 260-263. doi: 10.7507/1671-6205.2015064 復制
慢性阻塞性肺疾病(簡稱慢阻肺)的發病機制雖至今尚未完全闡明,多種炎性細胞及其分泌的細胞因子和炎性介質無疑參與了慢阻肺的發生,其調控機制與PI3K-Akt-NF-κB信號傳導通路密切相關[1]。磷酯酰肌醇3-激酶(PI3K)是一類普遍存在于體內各類細胞的脂類激酶,它能使細胞膜上磷酯酰肌醇發生磷酸化,激活核轉錄因子κB(NF-κB),PI3K-NF-κB信號傳導途徑的激活可上調多種炎癥因子,并導致氣道重構。NF-κB同樣可被血管緊張素Ⅱ(Ang Ⅱ)激活并調節[2],AngⅡ是腎素-血管緊張素系統(RAS)中最主要的活性蛋白,在慢阻肺誘導的肺損傷中起重要作用[3]。血管緊張素轉換酶抑制劑(ACEI)通過抑制Ang I轉化為AngⅡ,減輕AngⅡ誘導的炎癥反應以明顯減輕肺損傷[4],但是其參與AngⅡ對NF-κB的調節途徑是否與PI3K-NF-κB信號傳導途徑有關尚未明確。本研究旨在通過觀察ACEI類藥物培哚普利對慢阻肺大鼠肺組織勻漿中PI3K表達量及肺功能的影響,探討ACEI類藥物培哚普利改善慢阻肺大鼠肺功能的可能作用機制。
材料與方法
一 材料
實驗動物、藥物、試劑及儀器:健康SD雄性大鼠60只,由三峽大學動物中心提供。脂多糖(LPS)、培哚普利(美國Sigma公司),PI3K兔抗大鼠多克隆抗體(美國Cell Signaling Technology公司),Anti-rabbit IgG-HRP(美國Santa Cruz Biotechnology公司),HRP-GAPDH抗體(上海康成生物),凝膠電泳成像分析儀器-Gel Doc2000型(美國Bio-Rad公司),小動物肺功能檢測儀(北京宣武醫院制)。
二 方法
1.造模與分組:選取健康雄性SD大鼠60只,體重(250±20)g。適應性飼養1周后,隨機分為正常對照組、模型組及培哚普利干預組(簡稱干預組),每組各20只。參照文獻[5]采用2次氣管內滴注脂多糖(LPS)聯合煙熏法制備慢阻肺大鼠模型。具體操作如下:分別在第1 d和第7 d往對照組大鼠氣管內滴注生理鹽水1 mL,模型組、干預組滴入相同體積濃度為1 μg/g 的LPS溶液。在第2~13 d、15~28 d,每日上午將3組大鼠置于密閉箱內,對照組不做任何處理,30 min后用生理鹽水灌胃(2.5 mL);模型組、干預組于密閉箱內點燃紅金龍牌香煙,煙熏30 min,然后模型組以生理鹽水灌胃(2.5 mL);干預組用200 mg/L的培哚普利溶液以2×10-3 mg·g-1·d-1的劑量灌胃(2.5 mL),第28 d時檢測3組大鼠的肺功能,然后禁食大鼠12 h,用4%水合氯醛(0.3 mL/100 g)腹腔注射麻醉后固定、解剖大鼠,腹主動脈取血5 mL 置于預冷的負壓真空采血管中,靜置2 h后,1 000 r/min,4 ℃離心20 min,收集上清液即血清于-80 ℃冰箱凍存備用;同時,取肺組織5 g置于中性福爾馬林液中固定 12 h,石蠟包埋、 切片,用于病理檢查。病理切片分別作常規HE染色。其余肺組織用冰生理鹽水沖洗后置于凍存管中并立即存放于液氮中備用。
2.大鼠肺功能測定:利用小動物呼吸功能測定儀測定大鼠呼吸功能:每分鐘呼氣量(VE)、最大呼氣流量(PEF)和0.3 s用力呼氣容積(FEV0.3)。
3.大鼠肺組織中PI3K表達量檢測:取大鼠肺組織10 g研磨,加入蛋白抽提試劑1 mL與蛋白酶抑制劑10 μL,12 000 r/min低溫離心機中離心10 min,收集上清液,轉至新的EP管中在-80 ℃超低溫冰箱中保存;在96孔板中加入待檢測樣品及蛋白標準品,于37 ℃溫箱中孵育30 min。待反應結束后,采用562 nm激發波長測定樣品吸光度,CurveExpert 1.4軟件統計繪制標準曲線,計算蛋白濃度;Western blot法檢測大鼠肺組織PI3K的表達量:制備十二烷基硫酸鈉聚丙烯酰胺凝膠(SDS-PAGE),用微量加樣器將變性的蛋白加入上樣孔中,電泳后濕轉至硝酸纖維素膜上,封閉液室溫封閉 2 h后洗膜,抗PI3K (1∶1 000),內參抗體(HRP-GAPDH,1∶10 000) 4 ℃搖床過夜,洗膜,辣根過氧化物酶標記的羊抗兔免疫球蛋白抗體(IgG-HRP,1∶10 000)室溫孵育2 h,TBST洗膜3次,每次15 min,洗后的膜加入化學發光試劑(ECL),反應1 min,暗室曝光顯影后沖洗膠片,在凝膠成像分析系統上行攝像分析并計算出A值(即檢測蛋白灰度值與GAPDH灰度值的比值)。
三 統計學處理
采用SPSS 19.0統計軟件,計量資料數據均用
結果
一 大鼠癥狀體征觀察
建模結束后模型組大鼠神情倦怠,拱背蜷縮,皮毛發黃,毫無光澤,脫毛嚴重,活動能力下降,進食及飲水量較對照組明顯減少,出現咳嗽、呼吸急促、哮鳴、呼吸困難等癥狀,體型消瘦,靈敏度降低,大便干澀,小便色暗黃;干預組大鼠上述癥狀及體征較模型組輕。
二 大鼠肺組織病理學改變
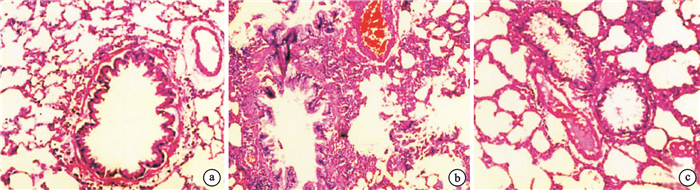
對照組大鼠支氣管及肺泡結構完整,上皮纖毛排列整齊,管壁內有少數散在的淋巴細胞,管壁未見增厚變形;慢阻肺模型組大鼠支氣管黏膜上皮纖毛倒伏,部分上皮脫落,杯狀細胞增生,黏膜下層及肺泡間隔可見大量炎癥細胞浸潤,管壁增厚、變形,肺泡結構不完整,肺泡壁變薄、斷裂肺氣腫形成;干預組大鼠支氣管上皮細胞部分脫落、杯狀細胞增多,支氣管及肺泡間隔可見炎癥細胞浸潤,管壁增厚變形,肺泡壁部分斷裂,上述病理改變較模型組均有不同程度減輕。結果見圖 1。

三 大鼠呼吸功能測定結果
藥物干預28 d結束后,模型組、干預組大鼠的肺功能與對照組比較均有下降,模型組的VE值、PEP值、FEV0.3值較干預組下降更為顯著,3組間兩兩比較有顯著的統計學差異(P<0.01或P<0.05)。結果見表 1。

四 PI3K的表達量
COPD大鼠PI3K表達量的Western blot檢測結果見圖 2,其圖像分析結果見圖 3。由圖 2和圖 3可知,對照組、干預組與模型組的條帶依次增粗;模型組分別與對照組、干預組比較差異均有統計學意義(P<0.01或P<0.05),干預組與對照組比較差異有統計學意義(P<0.05)。


注:與模型組和對照組比較,*
討論
慢阻肺的發病機制至今雖未完全闡明,但其兩個重要的特點已被普遍所接受,即慢性氣道炎癥及進行性肺功能下降。本實驗采用煙熏加氣管內注入LPS 法建立慢阻肺大鼠模型,大鼠肺組織病理顯示支氣管管壁增厚,管腔嚴重變形,黏膜上皮脫落,纖毛倒伏,杯狀細胞增生,管壁周圍大量炎性細胞浸潤,肺泡壁變薄,肺泡腔擴大融合。同時,通過測量大鼠呼吸功能表明模型組大鼠肺功能顯著下降,本模型符合慢阻肺的病理生理改變,成功建立慢阻肺大鼠模型。
PI3K是一類普遍存在于體內各類細胞的脂類激酶,支氣管平滑肌細胞、肺纖維細胞、中性粒細胞及嗜酸粒細胞、T細胞、肺泡巨噬細胞等均廣泛表達IA類PI3K[6]。它能使細胞膜上磷酯酰肌醇發生磷酸化,從而活化第二信使,通過募集與激活下游的靶物質而啟動一系列信號級聯反應,活化NF-κB,參與細胞增生、分化、細胞骨架構型與重塑、凋亡、囊胞的運輸過程[7]。通過PI3K-Akt信號通路可調節NF-κB的活化水平,激活大鼠氣道平滑肌細胞NF-κB使TGF-β的表達增加、細胞增殖增加、細胞凋亡減少[1]。研究表明,在支氣管哮喘的大鼠氣道平滑肌細胞中PI3K的表達量增多[8];PI3K在肺損傷的早期炎癥反應、肺水腫以及后期組織修復、氣道重塑以及肺氣腫的發生和發展中起著關鍵作用[9]。PI3K的表達水平可間接反映慢阻肺病情的嚴重程度,并可作為監測慢阻肺病情、觀察療效、判斷預后的重要指標。
而PI3K抑制劑能夠有效預防LPS所導致的小鼠急性肺損傷[10],其機制主要是保護毛細血管的內皮屏障、抑制炎癥細胞的浸潤和黏附、抑制上皮細胞的活化以及減少炎癥因子的釋放等;且不同PI3K抑制劑的保護作用也有差異,這可能和藥物的化學結構、靶向部位以及藥動學特點有關,提示PI3K抑制劑可能成為慢性氣道疾病的一個治療的新靶點。PI3K可能被AngⅡ激活,作為ACEI的培哚普利能夠抑制AngⅠ轉化為AngⅡ,減少AngⅡ的生成。本研究表明,慢阻肺大鼠PI3K的表達較對照組顯著上調,而使用培哚普利干預后,慢阻肺大鼠PI3K的表達得到下調;研究還表明培哚普利干預組慢阻肺大鼠的呼吸功能、癥狀體征及肺組織病理改變也較模型組得到明顯的改善,據此推測慢阻肺大鼠的呼吸功能的改善可能與培哚普利下調肺組織中PI3K的表達水平有關。至于培哚普利對慢阻肺大鼠血流動力學的改變及拮抗組織纖維增生[11]、細胞凋亡[12]和氧化應激反應[13]等方面尚有待進一步的實驗證實。
綜上所述,培哚普利能明顯改善慢阻肺大鼠肺功能,其機制可能是通過下調慢阻肺大鼠肺組織中PI3K的表達水平來實現的,或可能成為慢阻肺臨床治療的新靶點。
慢性阻塞性肺疾病(簡稱慢阻肺)的發病機制雖至今尚未完全闡明,多種炎性細胞及其分泌的細胞因子和炎性介質無疑參與了慢阻肺的發生,其調控機制與PI3K-Akt-NF-κB信號傳導通路密切相關[1]。磷酯酰肌醇3-激酶(PI3K)是一類普遍存在于體內各類細胞的脂類激酶,它能使細胞膜上磷酯酰肌醇發生磷酸化,激活核轉錄因子κB(NF-κB),PI3K-NF-κB信號傳導途徑的激活可上調多種炎癥因子,并導致氣道重構。NF-κB同樣可被血管緊張素Ⅱ(Ang Ⅱ)激活并調節[2],AngⅡ是腎素-血管緊張素系統(RAS)中最主要的活性蛋白,在慢阻肺誘導的肺損傷中起重要作用[3]。血管緊張素轉換酶抑制劑(ACEI)通過抑制Ang I轉化為AngⅡ,減輕AngⅡ誘導的炎癥反應以明顯減輕肺損傷[4],但是其參與AngⅡ對NF-κB的調節途徑是否與PI3K-NF-κB信號傳導途徑有關尚未明確。本研究旨在通過觀察ACEI類藥物培哚普利對慢阻肺大鼠肺組織勻漿中PI3K表達量及肺功能的影響,探討ACEI類藥物培哚普利改善慢阻肺大鼠肺功能的可能作用機制。
材料與方法
一 材料
實驗動物、藥物、試劑及儀器:健康SD雄性大鼠60只,由三峽大學動物中心提供。脂多糖(LPS)、培哚普利(美國Sigma公司),PI3K兔抗大鼠多克隆抗體(美國Cell Signaling Technology公司),Anti-rabbit IgG-HRP(美國Santa Cruz Biotechnology公司),HRP-GAPDH抗體(上海康成生物),凝膠電泳成像分析儀器-Gel Doc2000型(美國Bio-Rad公司),小動物肺功能檢測儀(北京宣武醫院制)。
二 方法
1.造模與分組:選取健康雄性SD大鼠60只,體重(250±20)g。適應性飼養1周后,隨機分為正常對照組、模型組及培哚普利干預組(簡稱干預組),每組各20只。參照文獻[5]采用2次氣管內滴注脂多糖(LPS)聯合煙熏法制備慢阻肺大鼠模型。具體操作如下:分別在第1 d和第7 d往對照組大鼠氣管內滴注生理鹽水1 mL,模型組、干預組滴入相同體積濃度為1 μg/g 的LPS溶液。在第2~13 d、15~28 d,每日上午將3組大鼠置于密閉箱內,對照組不做任何處理,30 min后用生理鹽水灌胃(2.5 mL);模型組、干預組于密閉箱內點燃紅金龍牌香煙,煙熏30 min,然后模型組以生理鹽水灌胃(2.5 mL);干預組用200 mg/L的培哚普利溶液以2×10-3 mg·g-1·d-1的劑量灌胃(2.5 mL),第28 d時檢測3組大鼠的肺功能,然后禁食大鼠12 h,用4%水合氯醛(0.3 mL/100 g)腹腔注射麻醉后固定、解剖大鼠,腹主動脈取血5 mL 置于預冷的負壓真空采血管中,靜置2 h后,1 000 r/min,4 ℃離心20 min,收集上清液即血清于-80 ℃冰箱凍存備用;同時,取肺組織5 g置于中性福爾馬林液中固定 12 h,石蠟包埋、 切片,用于病理檢查。病理切片分別作常規HE染色。其余肺組織用冰生理鹽水沖洗后置于凍存管中并立即存放于液氮中備用。
2.大鼠肺功能測定:利用小動物呼吸功能測定儀測定大鼠呼吸功能:每分鐘呼氣量(VE)、最大呼氣流量(PEF)和0.3 s用力呼氣容積(FEV0.3)。
3.大鼠肺組織中PI3K表達量檢測:取大鼠肺組織10 g研磨,加入蛋白抽提試劑1 mL與蛋白酶抑制劑10 μL,12 000 r/min低溫離心機中離心10 min,收集上清液,轉至新的EP管中在-80 ℃超低溫冰箱中保存;在96孔板中加入待檢測樣品及蛋白標準品,于37 ℃溫箱中孵育30 min。待反應結束后,采用562 nm激發波長測定樣品吸光度,CurveExpert 1.4軟件統計繪制標準曲線,計算蛋白濃度;Western blot法檢測大鼠肺組織PI3K的表達量:制備十二烷基硫酸鈉聚丙烯酰胺凝膠(SDS-PAGE),用微量加樣器將變性的蛋白加入上樣孔中,電泳后濕轉至硝酸纖維素膜上,封閉液室溫封閉 2 h后洗膜,抗PI3K (1∶1 000),內參抗體(HRP-GAPDH,1∶10 000) 4 ℃搖床過夜,洗膜,辣根過氧化物酶標記的羊抗兔免疫球蛋白抗體(IgG-HRP,1∶10 000)室溫孵育2 h,TBST洗膜3次,每次15 min,洗后的膜加入化學發光試劑(ECL),反應1 min,暗室曝光顯影后沖洗膠片,在凝膠成像分析系統上行攝像分析并計算出A值(即檢測蛋白灰度值與GAPDH灰度值的比值)。
三 統計學處理
采用SPSS 19.0統計軟件,計量資料數據均用
結果
一 大鼠癥狀體征觀察
建模結束后模型組大鼠神情倦怠,拱背蜷縮,皮毛發黃,毫無光澤,脫毛嚴重,活動能力下降,進食及飲水量較對照組明顯減少,出現咳嗽、呼吸急促、哮鳴、呼吸困難等癥狀,體型消瘦,靈敏度降低,大便干澀,小便色暗黃;干預組大鼠上述癥狀及體征較模型組輕。
二 大鼠肺組織病理學改變
對照組大鼠支氣管及肺泡結構完整,上皮纖毛排列整齊,管壁內有少數散在的淋巴細胞,管壁未見增厚變形;慢阻肺模型組大鼠支氣管黏膜上皮纖毛倒伏,部分上皮脫落,杯狀細胞增生,黏膜下層及肺泡間隔可見大量炎癥細胞浸潤,管壁增厚、變形,肺泡結構不完整,肺泡壁變薄、斷裂肺氣腫形成;干預組大鼠支氣管上皮細胞部分脫落、杯狀細胞增多,支氣管及肺泡間隔可見炎癥細胞浸潤,管壁增厚變形,肺泡壁部分斷裂,上述病理改變較模型組均有不同程度減輕。結果見圖 1。

三 大鼠呼吸功能測定結果
藥物干預28 d結束后,模型組、干預組大鼠的肺功能與對照組比較均有下降,模型組的VE值、PEP值、FEV0.3值較干預組下降更為顯著,3組間兩兩比較有顯著的統計學差異(P<0.01或P<0.05)。結果見表 1。

四 PI3K的表達量
COPD大鼠PI3K表達量的Western blot檢測結果見圖 2,其圖像分析結果見圖 3。由圖 2和圖 3可知,對照組、干預組與模型組的條帶依次增粗;模型組分別與對照組、干預組比較差異均有統計學意義(P<0.01或P<0.05),干預組與對照組比較差異有統計學意義(P<0.05)。


注:與模型組和對照組比較,*
討論
慢阻肺的發病機制至今雖未完全闡明,但其兩個重要的特點已被普遍所接受,即慢性氣道炎癥及進行性肺功能下降。本實驗采用煙熏加氣管內注入LPS 法建立慢阻肺大鼠模型,大鼠肺組織病理顯示支氣管管壁增厚,管腔嚴重變形,黏膜上皮脫落,纖毛倒伏,杯狀細胞增生,管壁周圍大量炎性細胞浸潤,肺泡壁變薄,肺泡腔擴大融合。同時,通過測量大鼠呼吸功能表明模型組大鼠肺功能顯著下降,本模型符合慢阻肺的病理生理改變,成功建立慢阻肺大鼠模型。
PI3K是一類普遍存在于體內各類細胞的脂類激酶,支氣管平滑肌細胞、肺纖維細胞、中性粒細胞及嗜酸粒細胞、T細胞、肺泡巨噬細胞等均廣泛表達IA類PI3K[6]。它能使細胞膜上磷酯酰肌醇發生磷酸化,從而活化第二信使,通過募集與激活下游的靶物質而啟動一系列信號級聯反應,活化NF-κB,參與細胞增生、分化、細胞骨架構型與重塑、凋亡、囊胞的運輸過程[7]。通過PI3K-Akt信號通路可調節NF-κB的活化水平,激活大鼠氣道平滑肌細胞NF-κB使TGF-β的表達增加、細胞增殖增加、細胞凋亡減少[1]。研究表明,在支氣管哮喘的大鼠氣道平滑肌細胞中PI3K的表達量增多[8];PI3K在肺損傷的早期炎癥反應、肺水腫以及后期組織修復、氣道重塑以及肺氣腫的發生和發展中起著關鍵作用[9]。PI3K的表達水平可間接反映慢阻肺病情的嚴重程度,并可作為監測慢阻肺病情、觀察療效、判斷預后的重要指標。
而PI3K抑制劑能夠有效預防LPS所導致的小鼠急性肺損傷[10],其機制主要是保護毛細血管的內皮屏障、抑制炎癥細胞的浸潤和黏附、抑制上皮細胞的活化以及減少炎癥因子的釋放等;且不同PI3K抑制劑的保護作用也有差異,這可能和藥物的化學結構、靶向部位以及藥動學特點有關,提示PI3K抑制劑可能成為慢性氣道疾病的一個治療的新靶點。PI3K可能被AngⅡ激活,作為ACEI的培哚普利能夠抑制AngⅠ轉化為AngⅡ,減少AngⅡ的生成。本研究表明,慢阻肺大鼠PI3K的表達較對照組顯著上調,而使用培哚普利干預后,慢阻肺大鼠PI3K的表達得到下調;研究還表明培哚普利干預組慢阻肺大鼠的呼吸功能、癥狀體征及肺組織病理改變也較模型組得到明顯的改善,據此推測慢阻肺大鼠的呼吸功能的改善可能與培哚普利下調肺組織中PI3K的表達水平有關。至于培哚普利對慢阻肺大鼠血流動力學的改變及拮抗組織纖維增生[11]、細胞凋亡[12]和氧化應激反應[13]等方面尚有待進一步的實驗證實。
綜上所述,培哚普利能明顯改善慢阻肺大鼠肺功能,其機制可能是通過下調慢阻肺大鼠肺組織中PI3K的表達水平來實現的,或可能成為慢阻肺臨床治療的新靶點。