引用本文: 鄭明睿, 劉海霞, 黨亞潔, 金先橋. 煙曲霉暴露對哮喘大鼠氣道炎癥、氣道反應性及血清總IgE水平的影響. 中國呼吸與危重監護雜志, 2015, 14(1): 27-31. doi: 10.7507/1671-6205.2015008 復制
煙曲霉是環境中一種常見的腐生真菌,其分生孢子體積小,極易飄散在空氣中,與呼吸道疾病有著密切聯系。隨著真菌致敏性重癥哮喘(SAFS)以及變應性支氣管肺曲霉病(ABPA)概念的提出[1],越來越多的研究者開始探討煙曲霉與支氣管哮喘之間的聯系。并且有大量的研究顯示,煙曲霉作為一種重要的外源性真菌過敏原,能夠引起哮喘的急性發作及臨床癥狀的惡化,它與過敏性哮喘的發生、發展以及重癥哮喘的發生密切相關[2-5]。
以上研究均是在曲霉致敏哮喘模型的基礎上研究哮喘與煙曲霉之間的關系,即致敏物質為煙曲霉本身。而煙曲霉暴露對非曲霉致敏性哮喘產生什么樣的影響,國內外目前的研究比較少。但是有流行病學顯示,煙曲霉等真菌物質的吸入是引起哮喘癥狀加重的一個重要致病因素[6]。而這種非真菌致敏性哮喘基礎上出現煙曲霉暴露引起哮喘加重的情況在臨床上非常常見。因此,本研究首先建立了卵白蛋白(OVA)誘導的大鼠哮喘模型,繼而觀察煙曲霉吸入后哮喘大鼠氣道炎癥、氣道反應性以及血清IgE的改變,以進一步明確煙曲霉對哮喘加重的影響,探討引起哮喘持續及加重的可能機制。
材料與方法
一 材料
1.實驗動物:選用雄性Wistar大鼠(由上海斯萊克實驗動物有限責任公司提供),體重160~180 g,清潔級,共18只。實驗前適應性飼養1周。
2.煙曲霉菌株:菌株來源于臨床上煙曲霉感染患者臨床痰液標本,經菌種鑒定后的保存菌株。
3.試劑:OVA(Ⅴ級,Sigma公司),氫氧化鋁(Sigma公司),乙酰甲膽堿(Mch,Sigma公司),大鼠IgE ELISA試劑盒(日本Shibayagi公司)。
二 方法
1.動物分組:18只雄性Wistar大鼠隨機分為3組:正常組(A組)、哮喘模型組(B組)及哮喘模型+煙曲霉霧化吸入組(C組),每組6只大鼠。
2.大鼠哮喘模型建立:B組及C組于第1 d和第8 d給予1 mL/只的OVA懸液腹腔注射(每1 mL生理鹽水中含有1 mg OVA及100 mg氫氧化鋁,現配現用)。從第15 d開始,給予兩組大鼠連續3周的2%OVA懸液霧化吸入,每天1次,每次30 min。A組給予生理鹽水對照處理。
3.煙曲霉孢子霧化吸入:自第37 d起(激發結束后第2 d),C組以1×106 CFU/mL的煙曲霉孢子懸液進行霧化吸入,每日1次,每次30 min,連續霧化吸入3周。A組與B組均給予生理鹽水霧化吸入對照處理。具體動物模型構建流程見圖 1。

4.氣道反應性測定:本實驗采用了BUXCO無創性全身體積描記系統對各組大鼠的氣道反應性進行測定。將大鼠密封于體描箱內適應5 min后,使用不同濃度的Mch溶液進行支氣管激發(3.125、6.25、12.5、25及50 mg/mL),觀察不同濃度的Mch激發下其氣道阻力參數Penh值的變化情況。
5.標本采集:氣道反應性測定完畢后,腹腔注射1%戊巴比妥鈉溶液麻醉大鼠。待動物麻醉完全后打開胸腔,使用一次性無菌注射器于心尖處進行心臟采血,收集的血液于15 mL離心管中室溫靜置約2 h,4 000 r/min離心10 min,取上清液分裝置于-80℃低溫冰箱保存待用。結扎右肺根部,暴露頸部氣管,氣管插管并固定,使用10 mL無菌PBS溶液行左肺肺泡灌洗,收集后于冰上放置待用。之后分離出大鼠的肺組織,使其完全浸泡于10%甲醛溶液中進行固定。
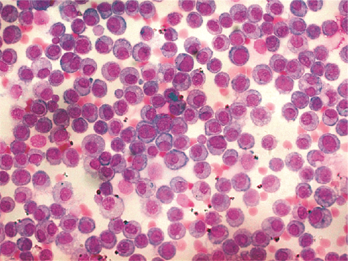
6.支氣管肺泡灌洗液(BALF)中炎性細胞瑞氏吉姆薩染色以及肺組織HE染色:灌洗液(標本采集后8 h內)離心重懸,使用細胞甩片機使灌洗液內細胞離心粘附至載玻片上,干燥后行瑞氏吉姆薩染色,光鏡下觀察,記錄每只大鼠BALF中嗜酸粒細胞在總炎性細胞中所占的比例。肺組織固定72 h后,進行常規的脫水、透明、浸蠟以及組織標本的包埋。5μm厚度切片,并行HE染色。
7.血清中總IgE的測定:參照ELISA試劑盒步驟測定大鼠血清中總IgE水平。
三 統計學處理
應用SPSS 13.0統計軟件分析處理數據。計量資料以
結果
一 肺組織病理學檢查
A組大鼠肺組織HE染色可見支氣管黏膜無明顯破壞,無炎性細胞浸潤表現。B組大鼠支氣管壁周圍有較為明顯的炎性細胞浸潤,管腔內上皮結構破壞,管腔內可見脫落的上皮細胞以及嗜酸粒細胞。C組大鼠支氣管壁周圍的炎性細胞浸潤明顯增強,支氣管管壁明顯增厚,氣道平滑肌顯著增生。結果見圖 2。BALF中炎性細胞經瑞氏吉姆薩染色后的結果見圖 3。


二 BALF中嗜酸粒細胞百分比
A組、B組和C組大鼠BALF中嗜酸粒細胞在總炎性細胞中所占的比例分別為0.114 3±0.225 8、0.224 8±0.476 9和0.306 3±0.862 3,B組及C組與A組比較差異有統計學意義(P < 0.01),B組與C組比較差異亦有統計學意義(P < 0.01)。
三 大鼠氣道反應性
B組大鼠氣道反應性較A組明顯升高(P < 0.05)。C組與B組比較,隨著Mch濃度的不斷上升,Penh/基礎值之間的差異呈逐漸增加趨勢(P < 0.05)。結果見圖 4。

*
四 大鼠血清總IgE水平
B組和C組大鼠血清中IgE水平均較A組大鼠明顯升高(P < 0.05)。B組與C組比較,慢性煙曲霉孢子吸入能夠進一步增加血清中IgE含量(P < 0.05)。結果見圖 5。

*
五 相關性分析
參照李斌愷等[7]的相關性比較方法,將Penh值升高基礎水平2倍時的Mch濃度定為PC100,以此作為氣道反應性變化指標參與Pearson相關性分析。結果顯示血清中IgE水平與氣道反應性指標PC100呈明顯負相關(r=-0.873,P < 0.01)。血清中IgE與BALF中嗜酸粒細胞比例也有相關性(r=0.937,P < 0.01),提示氣道反應性以及嗜酸粒細胞炎性浸潤的改變可能與IgE水平的變化具有一定的關聯性。
討論
呼吸道病原微生物暴露是引起哮喘發生發展的一個重要因素。并且已有大量研究顯示呼吸道感染是兒童及成人哮喘癥狀加重最常見的原因[5, 8-9],其中真菌孢子引起真菌加重的研究越來越受到研究者的關注。一方面,真菌以其本身的抗原特性誘導哮喘的發生發展。另一方面,真菌作為病原體可以造成氣道內定植引起哮喘癥狀的加重及持續。而真菌作為抗原因素引起哮喘發生以及哮喘急性發作的作用已得到廣泛證實,而慢性持續暴露引起非真菌致敏哮喘癥狀加重的免疫學機制目前尚不清楚。我們先前的研究發現煙曲霉能夠上調黏蛋白MUC5AC和表皮生長因子(EGF)的表達,導致哮喘大鼠上皮細胞損傷、氣道炎癥反應加強以及氣道結構重塑[10-12]。并且前列腺素D2(PGD2)及相關受體CRTH2在煙曲霉引起的氣道炎癥加重以及氣道高反應方面起重要作用[13]。但是,由煙曲霉引起哮喘加重的具體免疫學機制至今尚處在探索階段,仍需要進一步研究。
支氣管哮喘是一種以大量嗜酸粒細胞浸潤及氣道高反應性為主要特征的慢性氣道炎癥性疾病。其過敏反應的產生主要是由于機體對吸入過敏原產生大量特異性抗體IgE,后者通過與效應細胞如肥大細胞、嗜堿粒細胞上的高親和力(FcεRⅠ)或低親和力的(FcεRⅡ)IgE受體相結合而引起組胺、白三烯和前列腺素等活性物質的釋放。血清IgE水平與特異性IgE水平的增高是支氣管哮喘的主要特征,同時也是引起哮喘發生發展的關鍵環節[14]。而在外界微生物污染顆粒如煙曲霉孢子的干擾作用下往往出現哮喘癥狀的加重及持續[15]。而這一臨床癥狀的出現是否與血清中IgE水平變化存在一定的聯系目前尚不清楚。研究顯示哮喘氣道高反應性的形成與血清中總IgE水平相關[16-18]。有趣的是,在無哮喘及其他過敏性疾病的正常人群中,氣道反應性的高低也與血清中總IgE水平具有密切的聯系[19]。并且,最近的一項研究發現哮喘癥狀的加重與IgE生成增加密切相關,通過使用抗IgE抗體能通過影響肺內IL-17A、IL-33以及CXCL1的表達進而降低哮喘小鼠的氣道高反應性,即IgE的增高參與了哮喘加重的免疫過程[20]。而我們的研究發現煙曲霉暴露后,IgE水平增高與大鼠氣道反應性存在明顯的關聯性,而后者是哮喘加重的直觀證據。總之,煙曲霉暴露引起哮喘氣道高反應性的加重可能與血清中IgE水平增高密切相關。
除氣道高反應特性外,嗜酸粒細胞浸潤是哮喘另一典型的病理特征。在哮喘發生過程中,它與IgE水平變化之間的關系也存在一定的關聯性。研究顯示單純的哮喘機體內IgE的產生能夠誘導Th2型免疫應答以及后續支氣管周圍嗜酸粒細胞的浸潤,使用IgE單克隆抗體能夠通過干擾IgE-CD23分子作用影響Th2細胞因子的產生以及嗜酸粒細胞的活化募集[21],并且指出這種由IgE引起酸性粒細胞浸潤加重的主要原因在于其促進肺泡巨噬細胞內大量IL-33的產生[22]。而在以往研究的基礎上,本實驗發現煙曲霉吸入能夠顯著增強哮喘大鼠肺組織內嗜酸粒細胞的炎性浸潤,并且這種嗜酸粒細胞等炎性細胞在肺組織內浸潤程度的改變與IgE水平的增高存在一定的關聯性。
綜上所述,煙曲霉暴露能夠加重哮喘肺組織內嗜酸粒細胞等炎性細胞的浸潤以及促進氣道高反應的惡化,而這種哮喘癥狀的加重與IgE水平增高密切相關。至此,本研究在一定程度上揭示了IgE在真菌所致哮喘加重中所起到的重要作用。針對IgE合成或作用方面進行抑制,可以為臨床上真菌加重哮喘患者的治療提供了一個新的治療策略。
煙曲霉是環境中一種常見的腐生真菌,其分生孢子體積小,極易飄散在空氣中,與呼吸道疾病有著密切聯系。隨著真菌致敏性重癥哮喘(SAFS)以及變應性支氣管肺曲霉病(ABPA)概念的提出[1],越來越多的研究者開始探討煙曲霉與支氣管哮喘之間的聯系。并且有大量的研究顯示,煙曲霉作為一種重要的外源性真菌過敏原,能夠引起哮喘的急性發作及臨床癥狀的惡化,它與過敏性哮喘的發生、發展以及重癥哮喘的發生密切相關[2-5]。
以上研究均是在曲霉致敏哮喘模型的基礎上研究哮喘與煙曲霉之間的關系,即致敏物質為煙曲霉本身。而煙曲霉暴露對非曲霉致敏性哮喘產生什么樣的影響,國內外目前的研究比較少。但是有流行病學顯示,煙曲霉等真菌物質的吸入是引起哮喘癥狀加重的一個重要致病因素[6]。而這種非真菌致敏性哮喘基礎上出現煙曲霉暴露引起哮喘加重的情況在臨床上非常常見。因此,本研究首先建立了卵白蛋白(OVA)誘導的大鼠哮喘模型,繼而觀察煙曲霉吸入后哮喘大鼠氣道炎癥、氣道反應性以及血清IgE的改變,以進一步明確煙曲霉對哮喘加重的影響,探討引起哮喘持續及加重的可能機制。
材料與方法
一 材料
1.實驗動物:選用雄性Wistar大鼠(由上海斯萊克實驗動物有限責任公司提供),體重160~180 g,清潔級,共18只。實驗前適應性飼養1周。
2.煙曲霉菌株:菌株來源于臨床上煙曲霉感染患者臨床痰液標本,經菌種鑒定后的保存菌株。
3.試劑:OVA(Ⅴ級,Sigma公司),氫氧化鋁(Sigma公司),乙酰甲膽堿(Mch,Sigma公司),大鼠IgE ELISA試劑盒(日本Shibayagi公司)。
二 方法
1.動物分組:18只雄性Wistar大鼠隨機分為3組:正常組(A組)、哮喘模型組(B組)及哮喘模型+煙曲霉霧化吸入組(C組),每組6只大鼠。
2.大鼠哮喘模型建立:B組及C組于第1 d和第8 d給予1 mL/只的OVA懸液腹腔注射(每1 mL生理鹽水中含有1 mg OVA及100 mg氫氧化鋁,現配現用)。從第15 d開始,給予兩組大鼠連續3周的2%OVA懸液霧化吸入,每天1次,每次30 min。A組給予生理鹽水對照處理。
3.煙曲霉孢子霧化吸入:自第37 d起(激發結束后第2 d),C組以1×106 CFU/mL的煙曲霉孢子懸液進行霧化吸入,每日1次,每次30 min,連續霧化吸入3周。A組與B組均給予生理鹽水霧化吸入對照處理。具體動物模型構建流程見圖 1。

4.氣道反應性測定:本實驗采用了BUXCO無創性全身體積描記系統對各組大鼠的氣道反應性進行測定。將大鼠密封于體描箱內適應5 min后,使用不同濃度的Mch溶液進行支氣管激發(3.125、6.25、12.5、25及50 mg/mL),觀察不同濃度的Mch激發下其氣道阻力參數Penh值的變化情況。
5.標本采集:氣道反應性測定完畢后,腹腔注射1%戊巴比妥鈉溶液麻醉大鼠。待動物麻醉完全后打開胸腔,使用一次性無菌注射器于心尖處進行心臟采血,收集的血液于15 mL離心管中室溫靜置約2 h,4 000 r/min離心10 min,取上清液分裝置于-80℃低溫冰箱保存待用。結扎右肺根部,暴露頸部氣管,氣管插管并固定,使用10 mL無菌PBS溶液行左肺肺泡灌洗,收集后于冰上放置待用。之后分離出大鼠的肺組織,使其完全浸泡于10%甲醛溶液中進行固定。
6.支氣管肺泡灌洗液(BALF)中炎性細胞瑞氏吉姆薩染色以及肺組織HE染色:灌洗液(標本采集后8 h內)離心重懸,使用細胞甩片機使灌洗液內細胞離心粘附至載玻片上,干燥后行瑞氏吉姆薩染色,光鏡下觀察,記錄每只大鼠BALF中嗜酸粒細胞在總炎性細胞中所占的比例。肺組織固定72 h后,進行常規的脫水、透明、浸蠟以及組織標本的包埋。5μm厚度切片,并行HE染色。
7.血清中總IgE的測定:參照ELISA試劑盒步驟測定大鼠血清中總IgE水平。
三 統計學處理
應用SPSS 13.0統計軟件分析處理數據。計量資料以
結果
一 肺組織病理學檢查
A組大鼠肺組織HE染色可見支氣管黏膜無明顯破壞,無炎性細胞浸潤表現。B組大鼠支氣管壁周圍有較為明顯的炎性細胞浸潤,管腔內上皮結構破壞,管腔內可見脫落的上皮細胞以及嗜酸粒細胞。C組大鼠支氣管壁周圍的炎性細胞浸潤明顯增強,支氣管管壁明顯增厚,氣道平滑肌顯著增生。結果見圖 2。BALF中炎性細胞經瑞氏吉姆薩染色后的結果見圖 3。


二 BALF中嗜酸粒細胞百分比
A組、B組和C組大鼠BALF中嗜酸粒細胞在總炎性細胞中所占的比例分別為0.114 3±0.225 8、0.224 8±0.476 9和0.306 3±0.862 3,B組及C組與A組比較差異有統計學意義(P < 0.01),B組與C組比較差異亦有統計學意義(P < 0.01)。
三 大鼠氣道反應性
B組大鼠氣道反應性較A組明顯升高(P < 0.05)。C組與B組比較,隨著Mch濃度的不斷上升,Penh/基礎值之間的差異呈逐漸增加趨勢(P < 0.05)。結果見圖 4。

*
四 大鼠血清總IgE水平
B組和C組大鼠血清中IgE水平均較A組大鼠明顯升高(P < 0.05)。B組與C組比較,慢性煙曲霉孢子吸入能夠進一步增加血清中IgE含量(P < 0.05)。結果見圖 5。

*
五 相關性分析
參照李斌愷等[7]的相關性比較方法,將Penh值升高基礎水平2倍時的Mch濃度定為PC100,以此作為氣道反應性變化指標參與Pearson相關性分析。結果顯示血清中IgE水平與氣道反應性指標PC100呈明顯負相關(r=-0.873,P < 0.01)。血清中IgE與BALF中嗜酸粒細胞比例也有相關性(r=0.937,P < 0.01),提示氣道反應性以及嗜酸粒細胞炎性浸潤的改變可能與IgE水平的變化具有一定的關聯性。
討論
呼吸道病原微生物暴露是引起哮喘發生發展的一個重要因素。并且已有大量研究顯示呼吸道感染是兒童及成人哮喘癥狀加重最常見的原因[5, 8-9],其中真菌孢子引起真菌加重的研究越來越受到研究者的關注。一方面,真菌以其本身的抗原特性誘導哮喘的發生發展。另一方面,真菌作為病原體可以造成氣道內定植引起哮喘癥狀的加重及持續。而真菌作為抗原因素引起哮喘發生以及哮喘急性發作的作用已得到廣泛證實,而慢性持續暴露引起非真菌致敏哮喘癥狀加重的免疫學機制目前尚不清楚。我們先前的研究發現煙曲霉能夠上調黏蛋白MUC5AC和表皮生長因子(EGF)的表達,導致哮喘大鼠上皮細胞損傷、氣道炎癥反應加強以及氣道結構重塑[10-12]。并且前列腺素D2(PGD2)及相關受體CRTH2在煙曲霉引起的氣道炎癥加重以及氣道高反應方面起重要作用[13]。但是,由煙曲霉引起哮喘加重的具體免疫學機制至今尚處在探索階段,仍需要進一步研究。
支氣管哮喘是一種以大量嗜酸粒細胞浸潤及氣道高反應性為主要特征的慢性氣道炎癥性疾病。其過敏反應的產生主要是由于機體對吸入過敏原產生大量特異性抗體IgE,后者通過與效應細胞如肥大細胞、嗜堿粒細胞上的高親和力(FcεRⅠ)或低親和力的(FcεRⅡ)IgE受體相結合而引起組胺、白三烯和前列腺素等活性物質的釋放。血清IgE水平與特異性IgE水平的增高是支氣管哮喘的主要特征,同時也是引起哮喘發生發展的關鍵環節[14]。而在外界微生物污染顆粒如煙曲霉孢子的干擾作用下往往出現哮喘癥狀的加重及持續[15]。而這一臨床癥狀的出現是否與血清中IgE水平變化存在一定的聯系目前尚不清楚。研究顯示哮喘氣道高反應性的形成與血清中總IgE水平相關[16-18]。有趣的是,在無哮喘及其他過敏性疾病的正常人群中,氣道反應性的高低也與血清中總IgE水平具有密切的聯系[19]。并且,最近的一項研究發現哮喘癥狀的加重與IgE生成增加密切相關,通過使用抗IgE抗體能通過影響肺內IL-17A、IL-33以及CXCL1的表達進而降低哮喘小鼠的氣道高反應性,即IgE的增高參與了哮喘加重的免疫過程[20]。而我們的研究發現煙曲霉暴露后,IgE水平增高與大鼠氣道反應性存在明顯的關聯性,而后者是哮喘加重的直觀證據。總之,煙曲霉暴露引起哮喘氣道高反應性的加重可能與血清中IgE水平增高密切相關。
除氣道高反應特性外,嗜酸粒細胞浸潤是哮喘另一典型的病理特征。在哮喘發生過程中,它與IgE水平變化之間的關系也存在一定的關聯性。研究顯示單純的哮喘機體內IgE的產生能夠誘導Th2型免疫應答以及后續支氣管周圍嗜酸粒細胞的浸潤,使用IgE單克隆抗體能夠通過干擾IgE-CD23分子作用影響Th2細胞因子的產生以及嗜酸粒細胞的活化募集[21],并且指出這種由IgE引起酸性粒細胞浸潤加重的主要原因在于其促進肺泡巨噬細胞內大量IL-33的產生[22]。而在以往研究的基礎上,本實驗發現煙曲霉吸入能夠顯著增強哮喘大鼠肺組織內嗜酸粒細胞的炎性浸潤,并且這種嗜酸粒細胞等炎性細胞在肺組織內浸潤程度的改變與IgE水平的增高存在一定的關聯性。
綜上所述,煙曲霉暴露能夠加重哮喘肺組織內嗜酸粒細胞等炎性細胞的浸潤以及促進氣道高反應的惡化,而這種哮喘癥狀的加重與IgE水平增高密切相關。至此,本研究在一定程度上揭示了IgE在真菌所致哮喘加重中所起到的重要作用。針對IgE合成或作用方面進行抑制,可以為臨床上真菌加重哮喘患者的治療提供了一個新的治療策略。