引用本文: 陳曉蕓, 馬季娜. 原發性肺淋巴瘤兩例并文獻復習. 中國呼吸與危重監護雜志, 2014, 13(6): 595-597. doi: 10.7507/1671-6205.2014146 復制
原發性肺淋巴瘤(primary pulmonary lymphoma,PPL)是指原發于肺淋巴組織的惡性淋巴瘤,是結外淋巴瘤的一種罕見類型,大多數起源于支氣管黏膜相關淋巴組織。PPL只占全部淋巴瘤的0.4%[1],占結外淋巴瘤的3.6%[2]。其臨床特征及影像學表現缺乏特異性,很難與呼吸道其他疾病相鑒別,確診主要依賴組織學證據。本文報告我院確診的2例PPL患者的臨床資料,復習相關文獻,旨在提高臨床醫師對此病的認識。
臨床資料
病例1?患者女性,58歲。于2012年8月28日因“胸悶、氣短7年,加重伴胸痛1周”入院。2005年無誘因出現活動后氣短,未在意。2006年2月受涼后出現咳嗽,咳大量白色泡沫樣痰,伴右側胸膜炎樣胸痛、發熱,于我院就診。胸部CT示右中葉大片實變影,內見不典型支氣管氣相及不規則液性陰影,右下葉后基底段見密度不均片狀陰影,右側胸腔新月狀水樣密度影,左舌段近胸膜處見小片狀模糊影,縱隔淋巴結不大,右中葉支氣管似有截斷征象(圖 1)。胸腔閉式引流引出大量膿液,反復胸水細胞學檢查未查到異型細胞。纖維支氣管鏡(簡稱纖支鏡)檢查示右中葉管口充血、腫脹,致管口幾乎閉塞,有黏性分泌物,肺泡灌洗液未查到抗酸桿菌及異型細胞,支氣管黏膜活檢示炎癥改變,故診斷為肺炎、右側膿胸,給予抗感染及對癥治療后癥狀好轉出院。
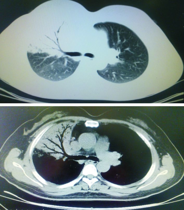
圖1
2012年8月病例1胸部CT示右肺中葉實變影,其內見支氣管氣相
2006年6月再次出現咳嗽,咳大量白色泡沫樣 痰,偶有黃痰,伴有發熱。復查胸部CT:與前次比較,右下葉病變略有吸收,左舌段陰影無變化,右中葉實變影中支氣管氣相減少,仍有少量胸腔積液。反復查痰結核菌陰性,給予抗感染治療,癥狀好轉后出院。
2007年4月再次出現咳嗽,咳較多量黃白色痰,胸悶、氣短加重。胸部CT示右肺中葉大片實變影及左舌段斑片影,較前變化不大,縱膈淋巴結不大。纖支鏡檢查:雙側支氣管充血、水腫,右中葉為重,內、外側支氣管腔略小,右中葉黏膜部分蒼白。支氣管黏膜病理學檢查見淋巴細胞浸潤。經抗感染治療癥狀好轉后出院。平素活動后氣短癥狀持續存在。
1周前因受涼后出現胸悶、氣短,伴右側胸痛,展臂、咳嗽時胸痛加重,間斷咳黃白色痰,感全身不適、乏力,無發熱,無咯血,無盜汗。近3個月體重下降5 kg。入院查體:慢性病容,淺表淋巴結無腫大,右側前胸部觸覺語顫增強,叩診實音,右肺呼吸音弱,未聞及干濕啰音。胸部CT:右肺上葉、中葉大片實變影,內見支氣管氣相,左肺舌段實變影(與2007年4月胸部CT比較病變擴大),右肺下葉少許淡片狀影(為新發),右側胸膜略增厚,縱隔淋巴結不大。 血常規:白細胞計數7.46×109/L,中性粒細胞0.67。血氣分析:pH 7.41,PaO2 71.7 mm Hg(1 mm Hg= 0.133 kPa),PaCO2 38.6 mm Hg。Cyfra21-1 3.88 ng/mL (參考值0~3.3 ng/mL)。CEA、NSE、血沉、生化肝功、腎功、血糖、凝血指標、D-二聚體、肝炎病毒學、梅毒、HIV檢查均未見異常。腹部彩超示肝、膽、胰、脾及雙腎未見明顯異常。心臟彩超示主動脈瓣鈣化,三尖瓣輕度反流。左心射血分數58%。纖支鏡示右中葉支氣管入口處黏膜增厚、不平,結節狀改變,管腔狹小,右側其余支氣管黏膜略增厚,管腔略小。右上葉及右中葉取組織示大量淋巴樣細胞浸潤。免疫組化:CD20(+),CK(-),CD3(-)。病理診斷非霍奇金淋巴瘤(non-Hodgkin’s lymphoma,NHL),結外黏膜相關淋巴組織邊緣區B細胞淋巴瘤。增生細胞為小B細胞,CD20和Kappa結果均為陽性。建議患者于血液科進一步治療,但家屬拒絕,未行手術及放、化療治療。活動后胸悶、氣短持續存在,間斷發熱。
2014年1月因咳嗽加重,伴發熱現再次來我院住院治療。
病例2?患者女性,50歲。于2010年4月23日因“咳嗽、活動后氣短、間斷低熱9年余,加重10 d” 入院。9年前患者受涼后出現發熱,最高體溫達38.0 ℃,伴有咳嗽、胸痛、盜汗,于我院就診。胸部CT示右肺中葉內側段見大片狀高密度影,其內見支氣管氣相,左肺上舌段見小片狀模糊影,縱隔淋巴結不大(圖 2)。纖支鏡示右中葉內側段支氣管口黏膜充血,有少許膿苔,黏膜略不平。肺泡灌洗及刷片未查到抗酸桿菌及異型細胞。右中葉支氣管黏膜活檢示炎癥改變。診斷為肺炎。給予抗感染治療后,體溫正常、咳嗽減輕、胸痛緩解出院。
圖2
2010年4月病例2胸部CT示右肺中葉實變影,其內可見支氣管氣相
9年來持續咳嗽,干咳為主,偶有黃黏痰,伴有活動后氣短,間斷低熱,體溫波動于37.2~37.5 ℃之間,時有因“感冒”,體溫上升至38.5 ℃,口服“青霉素”、“阿奇霉素”等抗生素治療3~4 d可好轉。
10 d前受涼后出現咳嗽加重,以干咳為主,咳嗽時伴有胸痛,活動后氣短明顯加重,畏寒,體溫37.2 ℃,無盜汗,無咯血。近1年來消瘦。入院查體:淺表淋巴結不大,右側前胸部觸覺語顫增強,叩 診實音,右肺可聞及支氣管呼吸音,右下肺可聞及少量濕啰音。2010年4月20日胸部CT示右肺中葉見大片實變陰影伴不張,其內見支氣管氣相,并累及右上葉前段、右下葉內基底段,左肺可見斑片狀陰影,縱隔淋巴結不大。與2003年、2005年及2007年胸部CT檢查比較右肺病變有擴展,左肺出現小結節。血常規:白細胞計數6.17×109/L,中性粒細胞0.629。血氣分析:pH 7.406,PaO2 80.2 mm Hg,PaCO2 39.9 mm Hg。結核抗體弱陽性。CA125 98.87 U/mL(參考值0~35 U/mL)。Cyfra21-1、CEA、NSE、血沉、生化肝功、腎功、血糖、凝血指標、D-二聚體、肝炎病毒學、梅毒、HIV檢查均未見異常。類風濕因子534 IU/mL(參考值0~20 IU/mL),余免疫指標正常。LE細胞檢查陰性。痰查抗酸桿菌及TB-PCR陰性。痰脫落細胞檢查未見異型細胞。肺功能檢查:輕度限制性肺通氣功能障礙,肺彌散功能輕度降低,其余正常。腹部彩超未見腹膜后腫大淋巴結。心臟彩超示主動脈瓣輕度反流,二、三尖瓣輕度反流,左室功能正常。纖支鏡示右側各支氣管黏膜充血、紅腫,以中葉為重,中葉支氣管入口處黏膜隆起,表面凹凸不平,致內側支完全阻塞,外側支明顯狹窄,鏡頭不能伸入,表面附有少許白色分泌物。肺泡灌洗及刷片:未查到抗酸桿菌及異型細胞,TB-PCR陰性。右中葉支氣管黏膜活檢:疑似淋巴瘤,免疫組化:SCLC(-),LCA(+),CD20(),CD3(-),CD10(-),CD79(+),CD5(-),cyclinD1(-),BCL-6(-)。請北京友誼醫院病理科會診:CK上皮細胞陽性,CD43少數細胞陽性,Ki-67約30%細胞陽性,Kappa陰性,Lambda較多細胞陽性,有單克隆表型趨勢。診斷:NHL(黏膜相關組織邊緣區B細胞淋巴瘤)。骨穿檢查未見異常。于我院血液科行COP方案化療7個療程后,復查胸部CT較前無明顯變化,自行停止化療。
8個月后感覺活動后胸悶、氣短加重,于2012年3月復查胸部CT:兩肺病變較前進展,出現右側胸腔中等量積液。遂改用R-CHOP方案化療5個療程,2012年9月復查胸部CT:雙肺病變較前CT(2012年3月)雙肺病變無變化,右側胸腔積液完全吸收。
討論
PPL起源于肺內淋巴組織,病理學上分為NHL和霍奇金淋巴瘤(Hodgkin’s lymphoma,HL),其中絕大多數為NHL。NHL又分為:① 起源于支氣管黏膜相關淋巴組織(MALT)的低度惡性小B細胞淋巴瘤;② 高度惡性大B細胞淋巴瘤;③ 血管中心性淋巴瘤;④ 其他罕見類型,如血管內淋巴瘤。以上四種類中大多為低度惡性小B細胞淋巴瘤,占全部PPL的70%~80%。研究表明:人的支氣管黏膜正常情況下不存在MALT,但多種抗原長期刺激如吸煙、感染及自身免疫性疾病等的影響,使支氣管黏膜形成獲得性MALT。由于獲得性MALT的結構不穩定,易發生基因變異,從而發生淋巴瘤[6]。
原發性肺NHL多見于50~70歲的中老年人,多數為低度惡性。在一組70例病例報道中,41%患者無癥狀,只是在常規胸部X線檢查時發現,其余患者有咳嗽(39%),呼吸困難(21%),胸痛(16%),伴冷蛋白血癥的血管炎(2.9%),13%高度惡性患者有消瘦、發熱等全身癥狀和咳嗽、呼吸困難、咯血等呼吸道癥狀[3]。本2例病例以呼吸困難為主要表現,其中1例咳嗽明顯,并間斷低熱,并發感染時出現發熱、胸痛。
PPL的影像學表現可以多種多樣,宋偉等[3]將其歸納為4種形式:① 結節、腫塊型:最常見,為單發病灶且邊界模糊,直徑1~10 cm,>1 cm的病灶內可見支氣管氣相,部分病灶內可見空洞及液氣平;② 肺炎或肺泡型:表現為肺段或葉分布的模糊斑片影,內可見支氣管氣相,偶見空洞;③ 間質型:最少見,表現為彌漫的細或粗糙網狀結構或網狀小結節,或呈磨玻璃樣改變;④ 粟粒型:表現為直徑小于1 cm的多發小結節,邊界粗糙,內無支氣管氣相。此2例病例影像學表現為肺葉的實變伴有不張,考慮由于淋巴細胞浸潤肺間質使之增厚壓迫鄰近肺泡,病變內出現支氣管充氣征。支氣管周圍淋巴瘤細胞浸潤使管腔不規則狹窄或侵入管腔內造成阻塞,從而導致肺葉、肺段不張或部分肺不張,隨著病變進展至胸膜下侵犯胸膜,引起胸膜增厚、粘連、胸腔積液。
PPL診斷標準[4]:① 影像學上顯示肺、 支氣管受累,但未見縱隔淋巴結腫大;② 既往沒有胸外淋巴瘤診斷的病史;③ 無肺及支氣管外其他部位的淋巴瘤或淋巴細胞性白血病的證據;④ 發病后3個月仍未出現胸外淋巴瘤的征象;同時滿足上述 4 點者可診斷為PPL。此2例病例符合此診斷標準。
從發病到確診平均5.3年(1.5~21.0年)[5]。本2例患者病程分別長達7年及9年,并且生長緩慢,病理結果符合低度惡性B細胞原發淋巴瘤診斷標準。因該病起源于支氣管黏膜下組織或動靜脈周圍的淋巴組織沿淋巴管浸潤性生長蔓延,在病變發展過程中未侵及支氣管及支氣管黏膜,故纖支鏡檢查陰性率較低,標本量小及穿刺中組織受擠壓細胞變形等增加病理診斷難度,應注意選擇不同角度及深度穿刺,必要時重復活檢,也可行B超或CT 定位下經皮肺穿刺活檢、電視輔助的胸腔鏡下活檢及開胸手術病灶切除。
PPL的發病率低,臨床表現無特異性,影像學表現亦多種多樣,臨床誤診率極高,因此,臨床工作中對于以下中老年患者應考慮本病的可能:(1)臨床癥狀輕微,病情進展緩慢,影像學表現見多種改變,特別是肺內結節或腫塊型的病灶邊緣棉絮狀或呈磨玻璃樣改變或病灶內支氣管充氣征,無肺門和縱隔淋巴結腫大者;(2)肺內病變呈肺部感染改變,但無感染征象,強有力抗細菌、抗真菌、抗結核治療病灶無明顯吸收者。該病主要依據病理組織學及免疫組化診斷,手術治療結合化療或單純化療,療效均滿意,是一種預后相對良好的惡性腫瘤,5年生存率高達93.6%。
原發性肺淋巴瘤(primary pulmonary lymphoma,PPL)是指原發于肺淋巴組織的惡性淋巴瘤,是結外淋巴瘤的一種罕見類型,大多數起源于支氣管黏膜相關淋巴組織。PPL只占全部淋巴瘤的0.4%[1],占結外淋巴瘤的3.6%[2]。其臨床特征及影像學表現缺乏特異性,很難與呼吸道其他疾病相鑒別,確診主要依賴組織學證據。本文報告我院確診的2例PPL患者的臨床資料,復習相關文獻,旨在提高臨床醫師對此病的認識。
臨床資料
病例1?患者女性,58歲。于2012年8月28日因“胸悶、氣短7年,加重伴胸痛1周”入院。2005年無誘因出現活動后氣短,未在意。2006年2月受涼后出現咳嗽,咳大量白色泡沫樣痰,伴右側胸膜炎樣胸痛、發熱,于我院就診。胸部CT示右中葉大片實變影,內見不典型支氣管氣相及不規則液性陰影,右下葉后基底段見密度不均片狀陰影,右側胸腔新月狀水樣密度影,左舌段近胸膜處見小片狀模糊影,縱隔淋巴結不大,右中葉支氣管似有截斷征象(圖 1)。胸腔閉式引流引出大量膿液,反復胸水細胞學檢查未查到異型細胞。纖維支氣管鏡(簡稱纖支鏡)檢查示右中葉管口充血、腫脹,致管口幾乎閉塞,有黏性分泌物,肺泡灌洗液未查到抗酸桿菌及異型細胞,支氣管黏膜活檢示炎癥改變,故診斷為肺炎、右側膿胸,給予抗感染及對癥治療后癥狀好轉出院。
圖1
2012年8月病例1胸部CT示右肺中葉實變影,其內見支氣管氣相
2006年6月再次出現咳嗽,咳大量白色泡沫樣 痰,偶有黃痰,伴有發熱。復查胸部CT:與前次比較,右下葉病變略有吸收,左舌段陰影無變化,右中葉實變影中支氣管氣相減少,仍有少量胸腔積液。反復查痰結核菌陰性,給予抗感染治療,癥狀好轉后出院。
2007年4月再次出現咳嗽,咳較多量黃白色痰,胸悶、氣短加重。胸部CT示右肺中葉大片實變影及左舌段斑片影,較前變化不大,縱膈淋巴結不大。纖支鏡檢查:雙側支氣管充血、水腫,右中葉為重,內、外側支氣管腔略小,右中葉黏膜部分蒼白。支氣管黏膜病理學檢查見淋巴細胞浸潤。經抗感染治療癥狀好轉后出院。平素活動后氣短癥狀持續存在。
1周前因受涼后出現胸悶、氣短,伴右側胸痛,展臂、咳嗽時胸痛加重,間斷咳黃白色痰,感全身不適、乏力,無發熱,無咯血,無盜汗。近3個月體重下降5 kg。入院查體:慢性病容,淺表淋巴結無腫大,右側前胸部觸覺語顫增強,叩診實音,右肺呼吸音弱,未聞及干濕啰音。胸部CT:右肺上葉、中葉大片實變影,內見支氣管氣相,左肺舌段實變影(與2007年4月胸部CT比較病變擴大),右肺下葉少許淡片狀影(為新發),右側胸膜略增厚,縱隔淋巴結不大。 血常規:白細胞計數7.46×109/L,中性粒細胞0.67。血氣分析:pH 7.41,PaO2 71.7 mm Hg(1 mm Hg= 0.133 kPa),PaCO2 38.6 mm Hg。Cyfra21-1 3.88 ng/mL (參考值0~3.3 ng/mL)。CEA、NSE、血沉、生化肝功、腎功、血糖、凝血指標、D-二聚體、肝炎病毒學、梅毒、HIV檢查均未見異常。腹部彩超示肝、膽、胰、脾及雙腎未見明顯異常。心臟彩超示主動脈瓣鈣化,三尖瓣輕度反流。左心射血分數58%。纖支鏡示右中葉支氣管入口處黏膜增厚、不平,結節狀改變,管腔狹小,右側其余支氣管黏膜略增厚,管腔略小。右上葉及右中葉取組織示大量淋巴樣細胞浸潤。免疫組化:CD20(+),CK(-),CD3(-)。病理診斷非霍奇金淋巴瘤(non-Hodgkin’s lymphoma,NHL),結外黏膜相關淋巴組織邊緣區B細胞淋巴瘤。增生細胞為小B細胞,CD20和Kappa結果均為陽性。建議患者于血液科進一步治療,但家屬拒絕,未行手術及放、化療治療。活動后胸悶、氣短持續存在,間斷發熱。
2014年1月因咳嗽加重,伴發熱現再次來我院住院治療。
病例2?患者女性,50歲。于2010年4月23日因“咳嗽、活動后氣短、間斷低熱9年余,加重10 d” 入院。9年前患者受涼后出現發熱,最高體溫達38.0 ℃,伴有咳嗽、胸痛、盜汗,于我院就診。胸部CT示右肺中葉內側段見大片狀高密度影,其內見支氣管氣相,左肺上舌段見小片狀模糊影,縱隔淋巴結不大(圖 2)。纖支鏡示右中葉內側段支氣管口黏膜充血,有少許膿苔,黏膜略不平。肺泡灌洗及刷片未查到抗酸桿菌及異型細胞。右中葉支氣管黏膜活檢示炎癥改變。診斷為肺炎。給予抗感染治療后,體溫正常、咳嗽減輕、胸痛緩解出院。
圖2
2010年4月病例2胸部CT示右肺中葉實變影,其內可見支氣管氣相
9年來持續咳嗽,干咳為主,偶有黃黏痰,伴有活動后氣短,間斷低熱,體溫波動于37.2~37.5 ℃之間,時有因“感冒”,體溫上升至38.5 ℃,口服“青霉素”、“阿奇霉素”等抗生素治療3~4 d可好轉。
10 d前受涼后出現咳嗽加重,以干咳為主,咳嗽時伴有胸痛,活動后氣短明顯加重,畏寒,體溫37.2 ℃,無盜汗,無咯血。近1年來消瘦。入院查體:淺表淋巴結不大,右側前胸部觸覺語顫增強,叩 診實音,右肺可聞及支氣管呼吸音,右下肺可聞及少量濕啰音。2010年4月20日胸部CT示右肺中葉見大片實變陰影伴不張,其內見支氣管氣相,并累及右上葉前段、右下葉內基底段,左肺可見斑片狀陰影,縱隔淋巴結不大。與2003年、2005年及2007年胸部CT檢查比較右肺病變有擴展,左肺出現小結節。血常規:白細胞計數6.17×109/L,中性粒細胞0.629。血氣分析:pH 7.406,PaO2 80.2 mm Hg,PaCO2 39.9 mm Hg。結核抗體弱陽性。CA125 98.87 U/mL(參考值0~35 U/mL)。Cyfra21-1、CEA、NSE、血沉、生化肝功、腎功、血糖、凝血指標、D-二聚體、肝炎病毒學、梅毒、HIV檢查均未見異常。類風濕因子534 IU/mL(參考值0~20 IU/mL),余免疫指標正常。LE細胞檢查陰性。痰查抗酸桿菌及TB-PCR陰性。痰脫落細胞檢查未見異型細胞。肺功能檢查:輕度限制性肺通氣功能障礙,肺彌散功能輕度降低,其余正常。腹部彩超未見腹膜后腫大淋巴結。心臟彩超示主動脈瓣輕度反流,二、三尖瓣輕度反流,左室功能正常。纖支鏡示右側各支氣管黏膜充血、紅腫,以中葉為重,中葉支氣管入口處黏膜隆起,表面凹凸不平,致內側支完全阻塞,外側支明顯狹窄,鏡頭不能伸入,表面附有少許白色分泌物。肺泡灌洗及刷片:未查到抗酸桿菌及異型細胞,TB-PCR陰性。右中葉支氣管黏膜活檢:疑似淋巴瘤,免疫組化:SCLC(-),LCA(+),CD20(),CD3(-),CD10(-),CD79(+),CD5(-),cyclinD1(-),BCL-6(-)。請北京友誼醫院病理科會診:CK上皮細胞陽性,CD43少數細胞陽性,Ki-67約30%細胞陽性,Kappa陰性,Lambda較多細胞陽性,有單克隆表型趨勢。診斷:NHL(黏膜相關組織邊緣區B細胞淋巴瘤)。骨穿檢查未見異常。于我院血液科行COP方案化療7個療程后,復查胸部CT較前無明顯變化,自行停止化療。
8個月后感覺活動后胸悶、氣短加重,于2012年3月復查胸部CT:兩肺病變較前進展,出現右側胸腔中等量積液。遂改用R-CHOP方案化療5個療程,2012年9月復查胸部CT:雙肺病變較前CT(2012年3月)雙肺病變無變化,右側胸腔積液完全吸收。
討論
PPL起源于肺內淋巴組織,病理學上分為NHL和霍奇金淋巴瘤(Hodgkin’s lymphoma,HL),其中絕大多數為NHL。NHL又分為:① 起源于支氣管黏膜相關淋巴組織(MALT)的低度惡性小B細胞淋巴瘤;② 高度惡性大B細胞淋巴瘤;③ 血管中心性淋巴瘤;④ 其他罕見類型,如血管內淋巴瘤。以上四種類中大多為低度惡性小B細胞淋巴瘤,占全部PPL的70%~80%。研究表明:人的支氣管黏膜正常情況下不存在MALT,但多種抗原長期刺激如吸煙、感染及自身免疫性疾病等的影響,使支氣管黏膜形成獲得性MALT。由于獲得性MALT的結構不穩定,易發生基因變異,從而發生淋巴瘤[6]。
原發性肺NHL多見于50~70歲的中老年人,多數為低度惡性。在一組70例病例報道中,41%患者無癥狀,只是在常規胸部X線檢查時發現,其余患者有咳嗽(39%),呼吸困難(21%),胸痛(16%),伴冷蛋白血癥的血管炎(2.9%),13%高度惡性患者有消瘦、發熱等全身癥狀和咳嗽、呼吸困難、咯血等呼吸道癥狀[3]。本2例病例以呼吸困難為主要表現,其中1例咳嗽明顯,并間斷低熱,并發感染時出現發熱、胸痛。
PPL的影像學表現可以多種多樣,宋偉等[3]將其歸納為4種形式:① 結節、腫塊型:最常見,為單發病灶且邊界模糊,直徑1~10 cm,>1 cm的病灶內可見支氣管氣相,部分病灶內可見空洞及液氣平;② 肺炎或肺泡型:表現為肺段或葉分布的模糊斑片影,內可見支氣管氣相,偶見空洞;③ 間質型:最少見,表現為彌漫的細或粗糙網狀結構或網狀小結節,或呈磨玻璃樣改變;④ 粟粒型:表現為直徑小于1 cm的多發小結節,邊界粗糙,內無支氣管氣相。此2例病例影像學表現為肺葉的實變伴有不張,考慮由于淋巴細胞浸潤肺間質使之增厚壓迫鄰近肺泡,病變內出現支氣管充氣征。支氣管周圍淋巴瘤細胞浸潤使管腔不規則狹窄或侵入管腔內造成阻塞,從而導致肺葉、肺段不張或部分肺不張,隨著病變進展至胸膜下侵犯胸膜,引起胸膜增厚、粘連、胸腔積液。
PPL診斷標準[4]:① 影像學上顯示肺、 支氣管受累,但未見縱隔淋巴結腫大;② 既往沒有胸外淋巴瘤診斷的病史;③ 無肺及支氣管外其他部位的淋巴瘤或淋巴細胞性白血病的證據;④ 發病后3個月仍未出現胸外淋巴瘤的征象;同時滿足上述 4 點者可診斷為PPL。此2例病例符合此診斷標準。
從發病到確診平均5.3年(1.5~21.0年)[5]。本2例患者病程分別長達7年及9年,并且生長緩慢,病理結果符合低度惡性B細胞原發淋巴瘤診斷標準。因該病起源于支氣管黏膜下組織或動靜脈周圍的淋巴組織沿淋巴管浸潤性生長蔓延,在病變發展過程中未侵及支氣管及支氣管黏膜,故纖支鏡檢查陰性率較低,標本量小及穿刺中組織受擠壓細胞變形等增加病理診斷難度,應注意選擇不同角度及深度穿刺,必要時重復活檢,也可行B超或CT 定位下經皮肺穿刺活檢、電視輔助的胸腔鏡下活檢及開胸手術病灶切除。
PPL的發病率低,臨床表現無特異性,影像學表現亦多種多樣,臨床誤診率極高,因此,臨床工作中對于以下中老年患者應考慮本病的可能:(1)臨床癥狀輕微,病情進展緩慢,影像學表現見多種改變,特別是肺內結節或腫塊型的病灶邊緣棉絮狀或呈磨玻璃樣改變或病灶內支氣管充氣征,無肺門和縱隔淋巴結腫大者;(2)肺內病變呈肺部感染改變,但無感染征象,強有力抗細菌、抗真菌、抗結核治療病灶無明顯吸收者。該病主要依據病理組織學及免疫組化診斷,手術治療結合化療或單純化療,療效均滿意,是一種預后相對良好的惡性腫瘤,5年生存率高達93.6%。

