引用本文: 梁小燕, 李洪霞, 左震華, 蔡少華. IgG4相關性肺疾病兩例報告并文獻復習. 中國呼吸與危重監護雜志, 2014, 13(6): 579-583. doi: 10.7507/1671-6205.2014141 復制
IgG4相關性疾病是一種全身系統性疾病,可以累及胰腺、涎腺、淚腺、膽道、縱隔、肺、腎、皮膚、腹膜后組織、前列腺及乳腺;90%以上為多器官累及[1]。IgG4相關性肺疾病因IgG4相關性疾病累及肺部而得名,多有肺外器官累及。臨床表現缺乏特異性,肺部的主要表現為間質性肺炎、炎性假瘤、支氣管炎。自2004年Duvic等[2]報道1例IgG4相關性疾病合并機化性肺炎以來,引起國內外的廣泛關注。現報道我院IgG4相關性肺疾病2例,并結合最新文獻報道探討該病的臨床、影像、病理及治療的特點。
臨床資料
依據2011年IgG4相關性疾病診斷標準,收集解放軍總醫院2000年1月至2014年1月肺部確診為該病的病例2例。其中1例經肺組織病理確診;另1例行其他器官病理診斷IgG4相關性疾病,經糖皮質激素治療有效,推斷肺部病變為IgG4相關性疾病的局部表現。回顧性分析2例患者的臨床資料并進行文獻復習。
病例1?患者女性,37歲。于2011年2月受涼后出現咳嗽、咳白痰、喘息,無畏寒、發熱。2011年5月24日收入我院。無吸煙、粉塵暴露史。實驗室檢查:C反應蛋白(CRP)升高、血沉增快。2011年7月11日查體液免疫:IgA、IgG、IgM升高,血IgG亞型均升高,IgG1:3 000 mg/dL,IgG2:835 mg/dL,IgG3:56.1 mg/dL,IgG4:190 mg/dL。自身免疫性抗體,如抗SSA、抗SSB抗體均陰性。胸部CT檢查示兩肺多發結節影及多發小囊泡(圖 1)。PET/CT:兩肺多發小結節、囊腔,血管支氣管束增粗。B超:肝、脾、胰、雙側乳腺及腎上腺未見明顯異常。支氣管肺泡灌洗未見癌細胞,PAS染色(-)。給予莫西沙星、比阿培南抗感染治療后于2011年7月11日再次行CT檢查,結果與入院時CT比較無明顯變化。行電視胸腔鏡(VATS)右側胸膜活檢術,活檢組織送北京協和醫院,病理結果示局部胸膜下淋巴管擴張,肺實質內散在斑片狀分布的實性區,實性區內見少量纖維組織增生伴較多漿細胞,少量淋巴細胞浸潤,細支氣管壁亦見慢性炎細胞浸潤伴少許中性粒細胞,周圍肺泡可見破裂融合現象(小囊泡),肺泡壁輕度纖維增厚,肺泡腔內見較多泡沫細胞聚集,并見散在機化灶。免疫組織化學染色檢查:CD138(+)、IgG(+)、IgG4>10個/HP(圖 2)。確診IgG4相關性肺疾病。


給予潑尼松40 mg/d口服2個月后無喘息、咳嗽咳痰,測血清IgG為2 200 mg/dL。潑尼松減量為30 mg/d口服1個月后復查血清IgG增高(2 400 mg/dL)。潑尼松繼續減量,同時服用中藥,8個月后停用潑尼松,服用中藥2年。血清IgG控制在1 600~1 700 mg/dL之間。2014年3月26日復查血清IgG稍高(2 090 mg/dL),IgG1稍高(1 250 mg/dL),IgG4正常,CRP、血沉均正常。甲狀腺、乳腺、腹部B超未見異常。胸部CT與之前CT結果比較,發現雙肺磨玻璃影較前明顯吸收,少部分囊泡消失,部分斑片影衍變為小囊泡,小囊泡總量較之前增多(圖 3)。

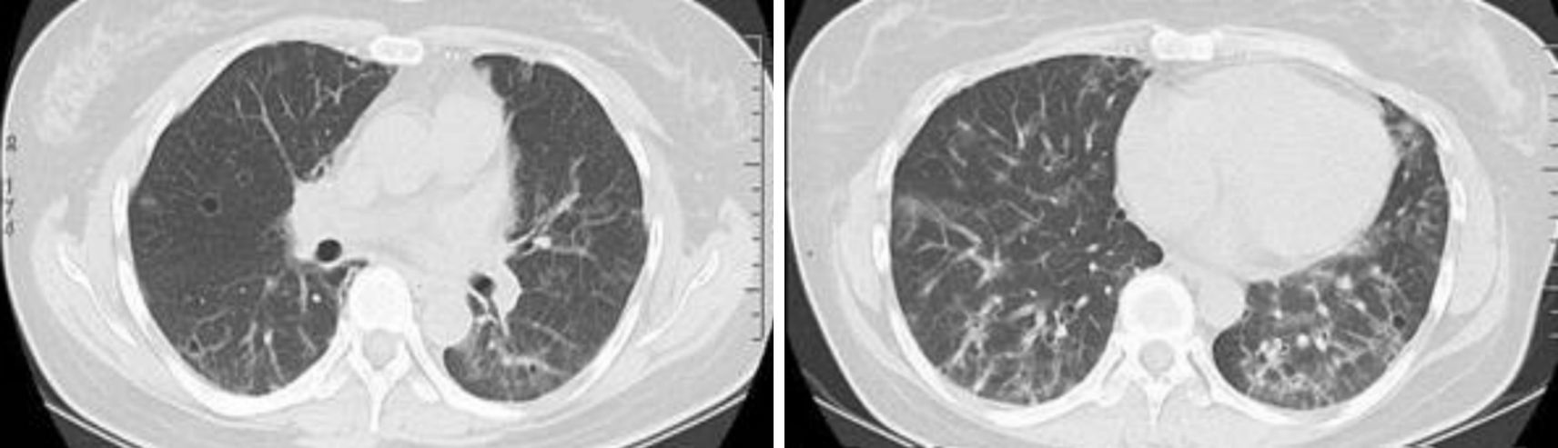
病例2?患者女性,59歲。有過敏性鼻炎、哮喘病史,眼干、口干、鼻干,反復出現腹痛、發熱,兩眼腫脹、左側腮腺及雙側頜下腺腫大,抗SSA抗體弱陽性,血清IgG升高(1 930 mg/dL),未測IgG亞型。行唇腺活檢示大量淋巴漿細胞浸潤,于2006年診斷為“自身免疫性胰腺炎并干燥綜合征”,堅持服用激素及免疫抑制劑,癥狀好轉。2007年出現多飲多尿,渾身乏力,消瘦,經腦核磁共振(MRI)等檢查確診垂體炎。2011年7月出現鼻塞,咳嗽伴胸痛,偶有白色黏痰。胸部CT檢查示雙肺野外帶網格狀及磨玻璃樣密度增高影,左舌葉小葉間隔增厚(圖 4)。給予左氧氟沙星及阿奇霉素無效,遷延10個月余入院治療。實驗室檢查:IgG正常(130 mg/dL),IgG1、IgG2和IgG3均正常,血清IgG4升高(909 mg/dL),IgE升高(323 mg/dL),嗜酸粒細胞增高。抗SSA及抗SSB抗體等自身免疫性抗體均陰性。唇腺病理IgG4陽性漿細胞浸潤,考慮IgG4相關性肺疾病可能性大。給予糖皮質激素后,除垂體炎外,其他癥狀好轉,血清IgG4逐漸減低。臨床診斷為IgG4相關性疾病:間質性肺疾病、米庫利次病、自身免疫性胰腺炎、垂體炎。服用糖皮質激素治療后于2012年 6月7日復查胸部CT,發現與治療前比較右肺磨玻璃影減少或消失,左側舌葉小葉間隔增厚消失(圖 5)。2013年9月復查IgG亞型,IgG1、IgG2和IgG3均正常,IgG4較前減低但仍高于正常(422 mg/dL)。


討論
自2001年1月至2014年3月以(“igg4 related lung disease”) OR (“igg4 related disease”AND “lung”) OR (“igg4 related interstitial lung disease”) OR (“igg4 related sclerosing disease” AND “lung”) OR (“igg4 related systemic disease” AND “lung”) OR(“igg4 related pulmonary disease”)在Pubmed上檢索,共檢索到93篇文獻,以病理IgG4陽性漿細胞浸潤肺組織為納入排除標準,有較完善臨床病例52例,結合我院病例討論如下。
一 一般情況
IgG4相關性疾病好發于中老年男性,最常累及的臟器為胰腺、淚腺、涎腺[3],累及肺部較為少見。統計分析我院診斷IgG4相關性疾病38例,年齡在35~80歲,男性占71.1%(27例)。2例有IgG4相關性肺疾病,占IgG4相關性疾病的5.3%。IgG4相關性肺疾病是IgG4相關性疾病的全身表現之一,以肺部為唯一表現非常少見,我院的38例患者中僅1例單純肺累及,且隨訪無其他器官累及。文獻復習中4例有過敏性疾病史,我院病例2有過敏性鼻炎、哮喘病史,過敏性疾病與IgG4相關性肺疾病相關性不明。
二 臨床表現
IgG4相關性肺疾病沒有特異的臨床表現,在實驗室檢查方面多數患者的總IgG升高伴有IgG4升高,部分病例有低補體血癥。本組病例2患者IgG正常(86.7~130.0 mg/dL)伴IgG4升高,而且在文獻復習42例患者中有6例患者血清IgG正常,對于類似病例因血清IgG正常而不測IgG亞型容易造成漏診或者誤診,因此在早期篩查時檢測IgG亞型顯得尤為重要。我院病例1患者IgG亞型檢測除IgG4升高以外,IgG1、IgG2、IgG3均升高,隨訪時IgG1仍高于正常。另外,IgG4相關性肺疾病的多數患者白細胞計數和CRP均正常。但我院病例1患者的CRP升高,血沉加快,文獻復習中有12例患者CRP升高。
三 影像學檢查
IgG4相關性肺疾病的胸部CT表現多種多樣,主要表現為單發或多發結節、單發或多發圓形磨玻璃影、彌漫性磨玻璃影伴支氣管擴張及蜂窩肺、支氣管血管束及小葉間隔增厚[4]。我們通過對51例患者(52例患者中有1例無肺CT資料)的胸部CT表現總結,發現大多數患者為幾種類型混合出現,其中單發或多發結節29例,圓形磨玻璃影23例,彌漫性磨玻璃影伴支氣管擴張及蜂窩肺7例,支氣管血管束及小葉間隔增厚18例。然而小囊泡極為罕見,51例患者中僅有1例出現肺小囊泡。而本組病例1患者也為雙肺多發小囊泡,隨訪時發現部分小結節影、斑片影轉為小囊泡。
四 診斷和鑒別診斷
IgG4相關性肺疾病尚無統一的診斷標準,主要以IgG4相關性疾病制定的診斷標準作為參考,以下是2011年由Okazaki等[5]提出的IgG4相關性疾病的診斷標準:(1)臨床檢查發現單個或多個器官出現彌漫性或局限性腫脹或團塊;(2)血清IgG4>135 mg/dL; (3)組織病理學檢查顯示:① 有明顯的淋巴漿細胞浸潤及纖維化;② 免疫組織化學染色IgG4陽性漿細胞數/IgG陽性漿細胞數>40%,且IgG4陽性漿細胞>10個/HP。滿足(1)+(2)+(3)為確診,滿足(1)+(3)為可能診斷,滿足(1)+(2)為可疑診斷。除了上述診斷標準外,特征性病理像--臟器的席紋樣纖維化以及閉塞性脈管炎是診斷IgG4相關性疾病的重要依據[6]。然而,不是所有患者都有特征性病理像,本組2例患者均無閉塞性脈管炎,在文獻復習52例患者中出現閉塞性脈管炎的比例為30.77%(16例)。
病例2患者肺外組織免疫化學染色有IgG4陽性漿細胞浸潤,血清IgG4升高,且有胸部CT示磨玻璃影及小葉間隔增厚等表現,抗生素應用無效。激素治療后咳嗽咳痰癥狀消失,肺CT磨玻璃影及小葉間隔增厚均明顯好轉,推斷肺間質性病變為IgG4相關性疾病的肺部表現。對于因各種原因不能行肺組織活檢的患者,采用肺外器官活檢結合臨床表現、實驗室檢查、影像及糖皮質激素治療有效更有利于IgG4相關性肺疾病的診斷。
IgG4相關性肺疾病需要與干燥綜合征伴間質性肺炎、胸內多中心Castleman 病、肺炎性假瘤及非特異性間質性肺炎鑒別。干燥綜合征伴間質性肺炎的肺外表現主要為眼干、口干以及反復腮腺腫大,并可累及胰腺,表現為慢性胰腺炎,血清IgG4可升高,可能與抗SSA抗體、抗SSB抗體升高有關。同樣,IgG4相關性肺疾病可以合并米庫利次病,除了肺部癥狀外,也能表現出眼干、口干、腮腺腫大。多數患者自身免疫性抗體陰性,僅極少數患者陽性,比如抗SSA抗體、抗SSB抗體陽性[7]。我們通過復習文獻也證實了這一點,IgG4相關性肺疾病的52例患者中有9例抗ANA抗體陽性,1例抗SSA抗體、抗SSB抗體陽性。病例2在早期誤診為干燥綜合征并間質性肺炎,且此患者在發病早期抗SSA抗體弱陽性,血清IgG正常。隨著病情衍變,累及多個器官后再次查抗SSA抗體為陰性。雖然血清IgG仍然正常,但查IgG亞型發現IgG4升高,經肺外組織免疫組織化學染色發現IgG4陽性漿細胞浸潤,最終確診IgG4相關性肺疾病合并米庫利次病。總之,干燥綜合征合并間質性肺炎患者應當考慮IgG4相關性肺疾病的可能,肺組織免疫化學染色是鑒別二者的關鍵[8]。
胸內多中心Castleman病影像學表現為兩側肺門和縱隔淋巴結腫大、支氣管血管束和小葉間隔增厚。IgG4相關性肺疾病也可以表現為支氣管血管束及小葉間隔增厚,并且文獻復習中有16例患者的縱隔及肺門淋巴結腫大,在影像學方面二者的表現有相似之處。病理上,IgG4相關性疾病淋巴結活檢的Castleman病樣亞型極易與多中心Castleman病混淆,部分胸內多中心Castleman病的患者病理免疫組織化學染色檢查有時也會有IgG4陽性漿細胞增多[5, 9]。總之,鑒別二者不能單純依靠病理、免疫組織化學染色檢查結果,需要結合臨床綜合評估。多中心Castleman病常伴有發熱、貧血、CRP和白細胞介素6升高,單純的糖皮質激素治療極易復發,持續緩解者少見。然而多數IgG4相關性疾病對糖皮質激素反應良好。
IgG4相關性肺疾病還需要與炎性假瘤鑒別。炎性假瘤分為3種類型,包括IgG4相關性炎性假瘤、炎性纖維化腫物和EB病毒相關性炎性假瘤[10],其病理主要為纖維化和漿細胞浸潤[10]。肺內的IgG4相關性炎性假瘤是IgG4相關性肺疾病的一種類型,不在鑒別范圍之內;后兩種類型的炎性假瘤病理上均無IgG4陽性漿細胞,免疫組織化學染色可以與IgG4相關性肺疾病鑒別。
非特異性間質性肺炎病因不明,臨床無特異性,影像學方面容易和IgG4相關性肺疾病相混淆,但非特異性間質性肺炎免疫組織化學染色無IgG4陽性漿細胞浸潤,故可以通過免疫組織化學染色鑒別。張卉等[11]曾報道對29例非特異性間質性肺炎患者進行開胸肺活檢,行肺組織免疫組織化學染色,其中4例患者有IgG4陽性漿細胞浸潤,最后確診為IgG4相關性肺疾病。
五 治療
IgG4相關性肺疾病治療首選糖皮質激素,治療后可以迅速緩解。文獻復習發現52例患者中42例采用糖皮質激素治療,42例患者中僅1例治療無效,2例患者治療1年后復發。本組2例患者經過激素治療后均有好轉,咳嗽喘息癥狀減輕。病例2患者服用激素后血清IgG4由909 mg/dL降至 422 mg/dL,雖仍高于正常,但下降趨勢明顯。病例1 患者在減量后血清IgG反彈,較之前升高,繼續減量并服用中藥后血清IgG逐漸下降但仍稍高于正常,復查IgG4正常。總的來說,糖皮質激素治療效果顯著,血清IgG4較用藥前有明顯下降。
綜上所述,IgG4相關性肺疾病較為少見,臨床表現無特異性,可以單獨累及肺,也可多器官累及。影像學表現多為幾種類型混合存在,肺小囊泡極為罕見,免疫組織化學染色IgG4/IgG升高為診斷的金標準,治療首選糖皮質激素,預后良好。
IgG4相關性疾病是一種全身系統性疾病,可以累及胰腺、涎腺、淚腺、膽道、縱隔、肺、腎、皮膚、腹膜后組織、前列腺及乳腺;90%以上為多器官累及[1]。IgG4相關性肺疾病因IgG4相關性疾病累及肺部而得名,多有肺外器官累及。臨床表現缺乏特異性,肺部的主要表現為間質性肺炎、炎性假瘤、支氣管炎。自2004年Duvic等[2]報道1例IgG4相關性疾病合并機化性肺炎以來,引起國內外的廣泛關注。現報道我院IgG4相關性肺疾病2例,并結合最新文獻報道探討該病的臨床、影像、病理及治療的特點。
臨床資料
依據2011年IgG4相關性疾病診斷標準,收集解放軍總醫院2000年1月至2014年1月肺部確診為該病的病例2例。其中1例經肺組織病理確診;另1例行其他器官病理診斷IgG4相關性疾病,經糖皮質激素治療有效,推斷肺部病變為IgG4相關性疾病的局部表現。回顧性分析2例患者的臨床資料并進行文獻復習。
病例1?患者女性,37歲。于2011年2月受涼后出現咳嗽、咳白痰、喘息,無畏寒、發熱。2011年5月24日收入我院。無吸煙、粉塵暴露史。實驗室檢查:C反應蛋白(CRP)升高、血沉增快。2011年7月11日查體液免疫:IgA、IgG、IgM升高,血IgG亞型均升高,IgG1:3 000 mg/dL,IgG2:835 mg/dL,IgG3:56.1 mg/dL,IgG4:190 mg/dL。自身免疫性抗體,如抗SSA、抗SSB抗體均陰性。胸部CT檢查示兩肺多發結節影及多發小囊泡(圖 1)。PET/CT:兩肺多發小結節、囊腔,血管支氣管束增粗。B超:肝、脾、胰、雙側乳腺及腎上腺未見明顯異常。支氣管肺泡灌洗未見癌細胞,PAS染色(-)。給予莫西沙星、比阿培南抗感染治療后于2011年7月11日再次行CT檢查,結果與入院時CT比較無明顯變化。行電視胸腔鏡(VATS)右側胸膜活檢術,活檢組織送北京協和醫院,病理結果示局部胸膜下淋巴管擴張,肺實質內散在斑片狀分布的實性區,實性區內見少量纖維組織增生伴較多漿細胞,少量淋巴細胞浸潤,細支氣管壁亦見慢性炎細胞浸潤伴少許中性粒細胞,周圍肺泡可見破裂融合現象(小囊泡),肺泡壁輕度纖維增厚,肺泡腔內見較多泡沫細胞聚集,并見散在機化灶。免疫組織化學染色檢查:CD138(+)、IgG(+)、IgG4>10個/HP(圖 2)。確診IgG4相關性肺疾病。


給予潑尼松40 mg/d口服2個月后無喘息、咳嗽咳痰,測血清IgG為2 200 mg/dL。潑尼松減量為30 mg/d口服1個月后復查血清IgG增高(2 400 mg/dL)。潑尼松繼續減量,同時服用中藥,8個月后停用潑尼松,服用中藥2年。血清IgG控制在1 600~1 700 mg/dL之間。2014年3月26日復查血清IgG稍高(2 090 mg/dL),IgG1稍高(1 250 mg/dL),IgG4正常,CRP、血沉均正常。甲狀腺、乳腺、腹部B超未見異常。胸部CT與之前CT結果比較,發現雙肺磨玻璃影較前明顯吸收,少部分囊泡消失,部分斑片影衍變為小囊泡,小囊泡總量較之前增多(圖 3)。

病例2?患者女性,59歲。有過敏性鼻炎、哮喘病史,眼干、口干、鼻干,反復出現腹痛、發熱,兩眼腫脹、左側腮腺及雙側頜下腺腫大,抗SSA抗體弱陽性,血清IgG升高(1 930 mg/dL),未測IgG亞型。行唇腺活檢示大量淋巴漿細胞浸潤,于2006年診斷為“自身免疫性胰腺炎并干燥綜合征”,堅持服用激素及免疫抑制劑,癥狀好轉。2007年出現多飲多尿,渾身乏力,消瘦,經腦核磁共振(MRI)等檢查確診垂體炎。2011年7月出現鼻塞,咳嗽伴胸痛,偶有白色黏痰。胸部CT檢查示雙肺野外帶網格狀及磨玻璃樣密度增高影,左舌葉小葉間隔增厚(圖 4)。給予左氧氟沙星及阿奇霉素無效,遷延10個月余入院治療。實驗室檢查:IgG正常(130 mg/dL),IgG1、IgG2和IgG3均正常,血清IgG4升高(909 mg/dL),IgE升高(323 mg/dL),嗜酸粒細胞增高。抗SSA及抗SSB抗體等自身免疫性抗體均陰性。唇腺病理IgG4陽性漿細胞浸潤,考慮IgG4相關性肺疾病可能性大。給予糖皮質激素后,除垂體炎外,其他癥狀好轉,血清IgG4逐漸減低。臨床診斷為IgG4相關性疾病:間質性肺疾病、米庫利次病、自身免疫性胰腺炎、垂體炎。服用糖皮質激素治療后于2012年 6月7日復查胸部CT,發現與治療前比較右肺磨玻璃影減少或消失,左側舌葉小葉間隔增厚消失(圖 5)。2013年9月復查IgG亞型,IgG1、IgG2和IgG3均正常,IgG4較前減低但仍高于正常(422 mg/dL)。


討論
自2001年1月至2014年3月以(“igg4 related lung disease”) OR (“igg4 related disease”AND “lung”) OR (“igg4 related interstitial lung disease”) OR (“igg4 related sclerosing disease” AND “lung”) OR (“igg4 related systemic disease” AND “lung”) OR(“igg4 related pulmonary disease”)在Pubmed上檢索,共檢索到93篇文獻,以病理IgG4陽性漿細胞浸潤肺組織為納入排除標準,有較完善臨床病例52例,結合我院病例討論如下。
一 一般情況
IgG4相關性疾病好發于中老年男性,最常累及的臟器為胰腺、淚腺、涎腺[3],累及肺部較為少見。統計分析我院診斷IgG4相關性疾病38例,年齡在35~80歲,男性占71.1%(27例)。2例有IgG4相關性肺疾病,占IgG4相關性疾病的5.3%。IgG4相關性肺疾病是IgG4相關性疾病的全身表現之一,以肺部為唯一表現非常少見,我院的38例患者中僅1例單純肺累及,且隨訪無其他器官累及。文獻復習中4例有過敏性疾病史,我院病例2有過敏性鼻炎、哮喘病史,過敏性疾病與IgG4相關性肺疾病相關性不明。
二 臨床表現
IgG4相關性肺疾病沒有特異的臨床表現,在實驗室檢查方面多數患者的總IgG升高伴有IgG4升高,部分病例有低補體血癥。本組病例2患者IgG正常(86.7~130.0 mg/dL)伴IgG4升高,而且在文獻復習42例患者中有6例患者血清IgG正常,對于類似病例因血清IgG正常而不測IgG亞型容易造成漏診或者誤診,因此在早期篩查時檢測IgG亞型顯得尤為重要。我院病例1患者IgG亞型檢測除IgG4升高以外,IgG1、IgG2、IgG3均升高,隨訪時IgG1仍高于正常。另外,IgG4相關性肺疾病的多數患者白細胞計數和CRP均正常。但我院病例1患者的CRP升高,血沉加快,文獻復習中有12例患者CRP升高。
三 影像學檢查
IgG4相關性肺疾病的胸部CT表現多種多樣,主要表現為單發或多發結節、單發或多發圓形磨玻璃影、彌漫性磨玻璃影伴支氣管擴張及蜂窩肺、支氣管血管束及小葉間隔增厚[4]。我們通過對51例患者(52例患者中有1例無肺CT資料)的胸部CT表現總結,發現大多數患者為幾種類型混合出現,其中單發或多發結節29例,圓形磨玻璃影23例,彌漫性磨玻璃影伴支氣管擴張及蜂窩肺7例,支氣管血管束及小葉間隔增厚18例。然而小囊泡極為罕見,51例患者中僅有1例出現肺小囊泡。而本組病例1患者也為雙肺多發小囊泡,隨訪時發現部分小結節影、斑片影轉為小囊泡。
四 診斷和鑒別診斷
IgG4相關性肺疾病尚無統一的診斷標準,主要以IgG4相關性疾病制定的診斷標準作為參考,以下是2011年由Okazaki等[5]提出的IgG4相關性疾病的診斷標準:(1)臨床檢查發現單個或多個器官出現彌漫性或局限性腫脹或團塊;(2)血清IgG4>135 mg/dL; (3)組織病理學檢查顯示:① 有明顯的淋巴漿細胞浸潤及纖維化;② 免疫組織化學染色IgG4陽性漿細胞數/IgG陽性漿細胞數>40%,且IgG4陽性漿細胞>10個/HP。滿足(1)+(2)+(3)為確診,滿足(1)+(3)為可能診斷,滿足(1)+(2)為可疑診斷。除了上述診斷標準外,特征性病理像--臟器的席紋樣纖維化以及閉塞性脈管炎是診斷IgG4相關性疾病的重要依據[6]。然而,不是所有患者都有特征性病理像,本組2例患者均無閉塞性脈管炎,在文獻復習52例患者中出現閉塞性脈管炎的比例為30.77%(16例)。
病例2患者肺外組織免疫化學染色有IgG4陽性漿細胞浸潤,血清IgG4升高,且有胸部CT示磨玻璃影及小葉間隔增厚等表現,抗生素應用無效。激素治療后咳嗽咳痰癥狀消失,肺CT磨玻璃影及小葉間隔增厚均明顯好轉,推斷肺間質性病變為IgG4相關性疾病的肺部表現。對于因各種原因不能行肺組織活檢的患者,采用肺外器官活檢結合臨床表現、實驗室檢查、影像及糖皮質激素治療有效更有利于IgG4相關性肺疾病的診斷。
IgG4相關性肺疾病需要與干燥綜合征伴間質性肺炎、胸內多中心Castleman 病、肺炎性假瘤及非特異性間質性肺炎鑒別。干燥綜合征伴間質性肺炎的肺外表現主要為眼干、口干以及反復腮腺腫大,并可累及胰腺,表現為慢性胰腺炎,血清IgG4可升高,可能與抗SSA抗體、抗SSB抗體升高有關。同樣,IgG4相關性肺疾病可以合并米庫利次病,除了肺部癥狀外,也能表現出眼干、口干、腮腺腫大。多數患者自身免疫性抗體陰性,僅極少數患者陽性,比如抗SSA抗體、抗SSB抗體陽性[7]。我們通過復習文獻也證實了這一點,IgG4相關性肺疾病的52例患者中有9例抗ANA抗體陽性,1例抗SSA抗體、抗SSB抗體陽性。病例2在早期誤診為干燥綜合征并間質性肺炎,且此患者在發病早期抗SSA抗體弱陽性,血清IgG正常。隨著病情衍變,累及多個器官后再次查抗SSA抗體為陰性。雖然血清IgG仍然正常,但查IgG亞型發現IgG4升高,經肺外組織免疫組織化學染色發現IgG4陽性漿細胞浸潤,最終確診IgG4相關性肺疾病合并米庫利次病。總之,干燥綜合征合并間質性肺炎患者應當考慮IgG4相關性肺疾病的可能,肺組織免疫化學染色是鑒別二者的關鍵[8]。
胸內多中心Castleman病影像學表現為兩側肺門和縱隔淋巴結腫大、支氣管血管束和小葉間隔增厚。IgG4相關性肺疾病也可以表現為支氣管血管束及小葉間隔增厚,并且文獻復習中有16例患者的縱隔及肺門淋巴結腫大,在影像學方面二者的表現有相似之處。病理上,IgG4相關性疾病淋巴結活檢的Castleman病樣亞型極易與多中心Castleman病混淆,部分胸內多中心Castleman病的患者病理免疫組織化學染色檢查有時也會有IgG4陽性漿細胞增多[5, 9]。總之,鑒別二者不能單純依靠病理、免疫組織化學染色檢查結果,需要結合臨床綜合評估。多中心Castleman病常伴有發熱、貧血、CRP和白細胞介素6升高,單純的糖皮質激素治療極易復發,持續緩解者少見。然而多數IgG4相關性疾病對糖皮質激素反應良好。
IgG4相關性肺疾病還需要與炎性假瘤鑒別。炎性假瘤分為3種類型,包括IgG4相關性炎性假瘤、炎性纖維化腫物和EB病毒相關性炎性假瘤[10],其病理主要為纖維化和漿細胞浸潤[10]。肺內的IgG4相關性炎性假瘤是IgG4相關性肺疾病的一種類型,不在鑒別范圍之內;后兩種類型的炎性假瘤病理上均無IgG4陽性漿細胞,免疫組織化學染色可以與IgG4相關性肺疾病鑒別。
非特異性間質性肺炎病因不明,臨床無特異性,影像學方面容易和IgG4相關性肺疾病相混淆,但非特異性間質性肺炎免疫組織化學染色無IgG4陽性漿細胞浸潤,故可以通過免疫組織化學染色鑒別。張卉等[11]曾報道對29例非特異性間質性肺炎患者進行開胸肺活檢,行肺組織免疫組織化學染色,其中4例患者有IgG4陽性漿細胞浸潤,最后確診為IgG4相關性肺疾病。
五 治療
IgG4相關性肺疾病治療首選糖皮質激素,治療后可以迅速緩解。文獻復習發現52例患者中42例采用糖皮質激素治療,42例患者中僅1例治療無效,2例患者治療1年后復發。本組2例患者經過激素治療后均有好轉,咳嗽喘息癥狀減輕。病例2患者服用激素后血清IgG4由909 mg/dL降至 422 mg/dL,雖仍高于正常,但下降趨勢明顯。病例1 患者在減量后血清IgG反彈,較之前升高,繼續減量并服用中藥后血清IgG逐漸下降但仍稍高于正常,復查IgG4正常。總的來說,糖皮質激素治療效果顯著,血清IgG4較用藥前有明顯下降。
綜上所述,IgG4相關性肺疾病較為少見,臨床表現無特異性,可以單獨累及肺,也可多器官累及。影像學表現多為幾種類型混合存在,肺小囊泡極為罕見,免疫組織化學染色IgG4/IgG升高為診斷的金標準,治療首選糖皮質激素,預后良好。