引用本文: 張有志, 章鵬, 楊海華, 許育, 龍豐, 陳小東, 金先橋. 肺放線菌病血培養陽性一例并文獻復習. 中國呼吸與危重監護雜志, 2014, 13(6): 565-568. doi: 10.7507/1671-6205.2014138 復制
放線菌病是一種由放線菌引起的慢性化膿性或肉芽腫性細菌感染,畜類易患該病,人體常見感染部位多為口腔、面頸部,肺放線菌病相對罕見[1]。近年來由于激素、細胞毒性藥物和免疫抑制劑的大量應用以及器官移植、HIV免疫功能低下患者增多,肺放線菌病的報道有所增加[2-3],然而該病的病原學證據較難獲得,而臨床醫生對該病認識不足、警惕性不夠,因此早期診斷肺放線菌病非常困難。為探討肺放線菌病的臨床特點、診斷和治療方法,現報道我院近期診治的1例肺放線菌病,并復習國內外相關文獻。
臨床資料
患者男性,57歲。因“發熱24 d”于2013年12月10日入院。患者24 d前受涼后發熱,體溫高達39.5 ℃,咳嗽,少量白色黏痰,伴有乏力、納差。于2013年12月1日到當地醫院就診,門診查外周血白細胞計數為18.33×109/L,中性粒細胞0.876,血沉(ESR)30 mm/1 h,C反應蛋白57 mg/L。胸部CT平掃示右肺上葉纖維條索影,中葉炎性改變,給予左氧氟沙星治療,于當日轉診至南昌大學附屬第二醫院,該院查血液細菌培養及骨髓培養均陰性,氣管鏡檢查黏膜活檢示少許支氣管黏膜襯單層柱狀上皮,散在慢性粒細胞浸潤,給予哌拉西林他唑巴坦+阿奇霉素靜脈滴注3 d后仍有高熱,最高達40.2 ℃,將阿奇霉素改為萬古霉素,用藥至2013年12月9日仍有發熱,為進一步診治而入我院。既往史:20年前診斷肺結核,已治愈;無吸煙史。患者有餐后牙簽剔牙習慣。
查體:體溫38.2 ℃,血壓125/75 mm Hg(1 mm Hg= 0.133 kPa)。皮膚黏膜未見黃染及出血點,淺表淋巴結未及腫大。頭頸無異常。胸廓無畸形,左肺呼吸音清,右中下肺可聞及濕啰音。心率87次/min,心律齊,無雜音。腹平軟,無壓痛,肝脾肋下未及。脊柱四肢未見異常。
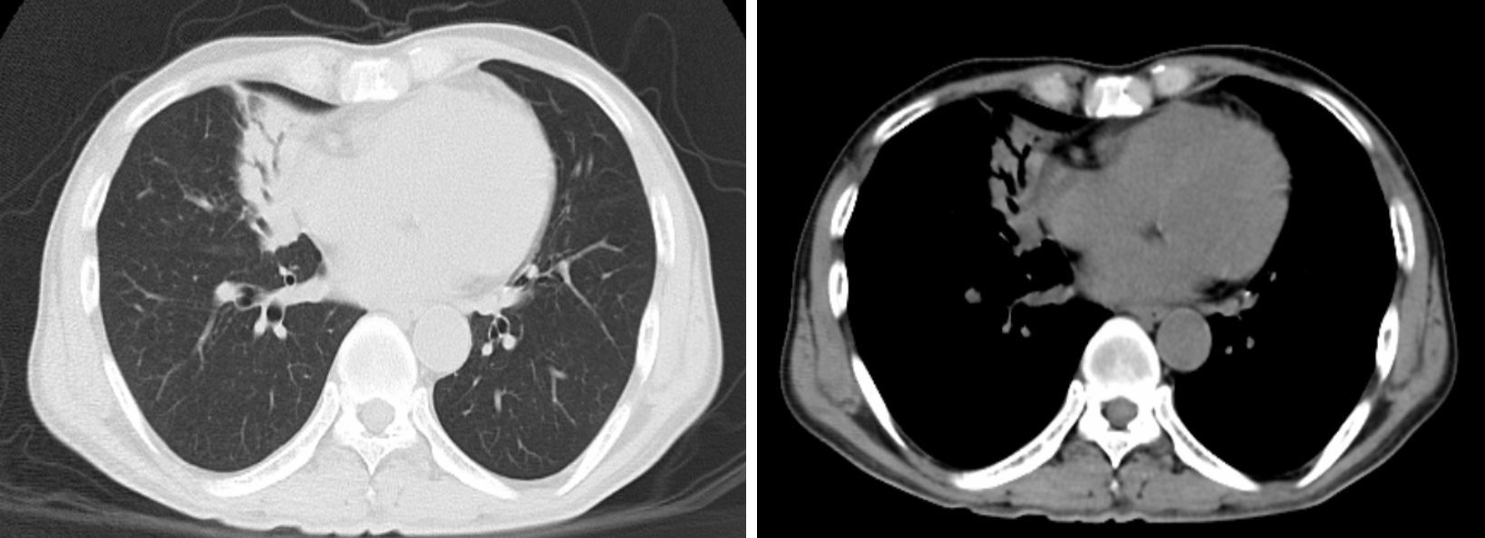
輔助檢查:外周血2013年12月11日白細胞計數為20.63×109/L,中性粒細胞0.860。2013年12月26日白細胞計數為12.32×109/L,中性粒細胞0.797;尿素氮8.05 mmol/L,肌酐209 μmol/L,堿性磷酸酶(ALP)144 U/L,谷氨酰轉肽酶(GGT)342 U/L; 多次痰涂片抗酸染色均陰性,痰培養陰性,PPD試驗陰性,結核抗體陰性,支原體、衣原體及軍團菌抗體均陰性,血清腫瘤標志物、抗核抗體(ANA)、抗可溶性抗原(ENA)、抗dsDNA正常,血培養見放線菌(圖 1),送至復旦大學醫學院病原微生物教研室鑒定。CT引導下經皮肺穿刺活檢病理找到菌絲及孢子,擬診斷為真菌感染。胸部CT(2013年12月18日)示右肺中葉大片高密度影,伴空氣支氣管征(圖 2)。


診治經過及結果:入院后給予亞胺培南西司他丁2.0 g/d靜滴治療,患者體溫降低,維持在37.5 ℃左右,咳嗽、咳痰等癥狀好轉,結合血培養結果于 2013年12月20日更改為青霉素鈉960萬U q12h+ 多西環素0.1 bid靜脈滴注后體溫逐漸正常。出院診斷為肺放線菌病,囑回當地醫院繼續給予青霉素靜脈滴注及多西環素口服治療,隨訪至今未復發。
討論
放線菌在形態上分化為菌絲和孢子,在培養特征上與真菌相似,過去一直將其劃分為真菌。近代 分子生物學研究表明,放線菌是屬于一類具有分支狀菌絲體的細菌,革蘭染色為陽性,因在固體培養基上呈輻射狀生長而得名,為厭氧菌或兼性厭氧菌[1]。1878年Israel首先描述肺放線菌病,該病致病菌多為伊氏(Israel)放線菌,2012年日本學者首次報道由A.cardiffensis(Actinomyces cardiffensis)所致肺放線菌病[4]。目前尚未見肺放線菌病大宗病例報道及發病率等流行病學數據。馬楠等[5]總結國內文獻報道的肺放線菌病顯示男女發病比例為2.8 ∶1,年齡12~87歲;Kim等[6]回顧性分析94例肺放線菌病發現該病以中老年男性常見。
放線菌可寄生于口腔,包括牙齒、扁桃體窩等部位,可通過兩種途徑侵入肺部導致肺放線菌病[7-8]。口腔誤吸放線菌至氣管-支氣管,蔓延至肺、胸膜或胸壁[9],此為最常見感染方式。放線菌在口頰、齒齦等部位發生損傷時能侵入組織內,并通過血流感染引起肺放線菌病,常伴有其他系統、器官損傷。分析本例患者有剔牙習慣,導致牙齦損傷,可能由此途徑導致肺放線菌病,此外該患者乏力、納差等全身癥狀明顯,肝腎功能損傷,血培養陽性,以上均佐證本病例經此途徑發病。近年來,諸多報道肺放線菌病常見于機會性感染,如HIV、結核患者以及結締組織病和Crohn病應用英夫利西單抗患者[10-11]。因此,臨床上遇到該類患者肺部感染較難控制,應當考慮到放線菌感染。
肺放線菌病臨床表現不典型。咳出黃色硫磺樣顆粒物是其較為特異的表現,然而較少見[5]。常見的臨床表現包括咳嗽、咳痰、胸痛、咯血、發熱、呼吸困難、體重下降以及全身不適等。國內報道該病最常見表現為咳嗽、咳痰和胸痛[5];國外報道為咳嗽、咯血和咳痰[6]。本例患者發熱及全身癥狀較為明顯,血液感染可能是其主要原因。
肺放線菌病常易誤診為肺部腫瘤、肺膿腫、肺部真菌感染,多因疑診肺部腫瘤等行肺活檢或切除而診斷為肺放線菌病[12-13],因其罕見臨床醫生往往不易考慮到該病。目前,診斷該病的主要方法為支氣管鏡、經皮肺穿刺或外科手術切除活檢病理診斷,少數報道為痰涂片。國內報道165例肺放線菌病患者的確診方法中,支氣管鏡檢查40例,經胸壁肺活檢27例,外科手術95例,痰中找到放線菌2例,胸腔積液中找到放線菌1例[5];2013年國外報道94例患者均為活檢組織病理確診[6]。目前尚無經血培養獲得放線菌病原體的報道,原因可能為:放線菌培養需嚴格的厭氧環境,同時臨床醫生早期未考慮到該病,不能及時與細菌室等科室溝通,臨床上往往忽視厭氧培養;放線菌對多種抗生素敏感,診斷該病前使用抗生素影響培養的陽性率。本例患者兩次血培養放線菌陽性,并送至復旦大學上海醫學院病原微生物教研室確診。目前,該病例血培養放線菌陽性為國內外首次報道,并通過肺穿刺活檢病理和臨床針對性治療效果等確診為肺放線菌病。總結經驗和體會如下:首先,接診該病例后首先考慮為肺部感染性疾病,入院后即送檢血培養;其次,我們積極和本院細菌生物室和病理科醫師反復溝通,多次做需氧和厭氧血培養,并告知少見細菌感染可能;培養96 h后見細菌菌落,終于經過團體協作確診該病。
肺放線菌病的影像學表現無特異性[14],可表現為實質性團塊影、片狀影、結節、支氣管充氣征、空洞、胸腔積液、縱隔淋巴結腫大及胸膜增厚,有學者認為肺放線菌病CT增強掃描外周延遲強化和實性部分逐漸強化為其特點[15-16]。病變部位以左下葉居多,可能與吸入途徑感染有關;右中葉次之。本例患者影像學主要表現為右中葉肺炎,支氣管鏡檢查示右肺中葉和下葉黏膜充血水腫,管腔狹窄。目前,罕見報道肺放線菌病PET表現,Lee等[17]在2012年歐洲胸部影像學年會報告顯示病灶18F-FDG攝取值增高,SUV平均為5.73±2.74,與肺癌難以鑒別。
肺放線菌病預后較好,但存在復發風險,療程宜長,目前主張用藥6~12個月[18]。大部分患者采取內科治療,青霉素、磺胺類、四環素類及新一代氟喹諾酮類莫西沙星等均是有效藥物,其中大劑量青霉素為首選,用藥方案為初始靜脈用藥2~6周,18~24百萬U/d,隨后口服藥物6~12個月。Choi等[19]對此傳統治療方案提出質疑,認為肺放線菌病應遵循個體化治療,根據患者病情程度、胸部影像學等對治療的反應而決定用藥方式和治療時間。本例患者血培養證實放線菌后予以1 920萬U/d青霉素及多西環素[20]靜脈治療,體溫正常,臨床癥狀改善,當地醫院復查胸部CT顯示病灶明顯吸收改用多西環素口服。該患者隨訪至今未有復發表現。部分患者需要外科手術治療,包括藥物治療反應不佳、反復咯血、不能排除腫瘤的患者[21]。
放線菌病是一種由放線菌引起的慢性化膿性或肉芽腫性細菌感染,畜類易患該病,人體常見感染部位多為口腔、面頸部,肺放線菌病相對罕見[1]。近年來由于激素、細胞毒性藥物和免疫抑制劑的大量應用以及器官移植、HIV免疫功能低下患者增多,肺放線菌病的報道有所增加[2-3],然而該病的病原學證據較難獲得,而臨床醫生對該病認識不足、警惕性不夠,因此早期診斷肺放線菌病非常困難。為探討肺放線菌病的臨床特點、診斷和治療方法,現報道我院近期診治的1例肺放線菌病,并復習國內外相關文獻。
臨床資料
患者男性,57歲。因“發熱24 d”于2013年12月10日入院。患者24 d前受涼后發熱,體溫高達39.5 ℃,咳嗽,少量白色黏痰,伴有乏力、納差。于2013年12月1日到當地醫院就診,門診查外周血白細胞計數為18.33×109/L,中性粒細胞0.876,血沉(ESR)30 mm/1 h,C反應蛋白57 mg/L。胸部CT平掃示右肺上葉纖維條索影,中葉炎性改變,給予左氧氟沙星治療,于當日轉診至南昌大學附屬第二醫院,該院查血液細菌培養及骨髓培養均陰性,氣管鏡檢查黏膜活檢示少許支氣管黏膜襯單層柱狀上皮,散在慢性粒細胞浸潤,給予哌拉西林他唑巴坦+阿奇霉素靜脈滴注3 d后仍有高熱,最高達40.2 ℃,將阿奇霉素改為萬古霉素,用藥至2013年12月9日仍有發熱,為進一步診治而入我院。既往史:20年前診斷肺結核,已治愈;無吸煙史。患者有餐后牙簽剔牙習慣。
查體:體溫38.2 ℃,血壓125/75 mm Hg(1 mm Hg= 0.133 kPa)。皮膚黏膜未見黃染及出血點,淺表淋巴結未及腫大。頭頸無異常。胸廓無畸形,左肺呼吸音清,右中下肺可聞及濕啰音。心率87次/min,心律齊,無雜音。腹平軟,無壓痛,肝脾肋下未及。脊柱四肢未見異常。
輔助檢查:外周血2013年12月11日白細胞計數為20.63×109/L,中性粒細胞0.860。2013年12月26日白細胞計數為12.32×109/L,中性粒細胞0.797;尿素氮8.05 mmol/L,肌酐209 μmol/L,堿性磷酸酶(ALP)144 U/L,谷氨酰轉肽酶(GGT)342 U/L; 多次痰涂片抗酸染色均陰性,痰培養陰性,PPD試驗陰性,結核抗體陰性,支原體、衣原體及軍團菌抗體均陰性,血清腫瘤標志物、抗核抗體(ANA)、抗可溶性抗原(ENA)、抗dsDNA正常,血培養見放線菌(圖 1),送至復旦大學醫學院病原微生物教研室鑒定。CT引導下經皮肺穿刺活檢病理找到菌絲及孢子,擬診斷為真菌感染。胸部CT(2013年12月18日)示右肺中葉大片高密度影,伴空氣支氣管征(圖 2)。


診治經過及結果:入院后給予亞胺培南西司他丁2.0 g/d靜滴治療,患者體溫降低,維持在37.5 ℃左右,咳嗽、咳痰等癥狀好轉,結合血培養結果于 2013年12月20日更改為青霉素鈉960萬U q12h+ 多西環素0.1 bid靜脈滴注后體溫逐漸正常。出院診斷為肺放線菌病,囑回當地醫院繼續給予青霉素靜脈滴注及多西環素口服治療,隨訪至今未復發。
討論
放線菌在形態上分化為菌絲和孢子,在培養特征上與真菌相似,過去一直將其劃分為真菌。近代 分子生物學研究表明,放線菌是屬于一類具有分支狀菌絲體的細菌,革蘭染色為陽性,因在固體培養基上呈輻射狀生長而得名,為厭氧菌或兼性厭氧菌[1]。1878年Israel首先描述肺放線菌病,該病致病菌多為伊氏(Israel)放線菌,2012年日本學者首次報道由A.cardiffensis(Actinomyces cardiffensis)所致肺放線菌病[4]。目前尚未見肺放線菌病大宗病例報道及發病率等流行病學數據。馬楠等[5]總結國內文獻報道的肺放線菌病顯示男女發病比例為2.8 ∶1,年齡12~87歲;Kim等[6]回顧性分析94例肺放線菌病發現該病以中老年男性常見。
放線菌可寄生于口腔,包括牙齒、扁桃體窩等部位,可通過兩種途徑侵入肺部導致肺放線菌病[7-8]。口腔誤吸放線菌至氣管-支氣管,蔓延至肺、胸膜或胸壁[9],此為最常見感染方式。放線菌在口頰、齒齦等部位發生損傷時能侵入組織內,并通過血流感染引起肺放線菌病,常伴有其他系統、器官損傷。分析本例患者有剔牙習慣,導致牙齦損傷,可能由此途徑導致肺放線菌病,此外該患者乏力、納差等全身癥狀明顯,肝腎功能損傷,血培養陽性,以上均佐證本病例經此途徑發病。近年來,諸多報道肺放線菌病常見于機會性感染,如HIV、結核患者以及結締組織病和Crohn病應用英夫利西單抗患者[10-11]。因此,臨床上遇到該類患者肺部感染較難控制,應當考慮到放線菌感染。
肺放線菌病臨床表現不典型。咳出黃色硫磺樣顆粒物是其較為特異的表現,然而較少見[5]。常見的臨床表現包括咳嗽、咳痰、胸痛、咯血、發熱、呼吸困難、體重下降以及全身不適等。國內報道該病最常見表現為咳嗽、咳痰和胸痛[5];國外報道為咳嗽、咯血和咳痰[6]。本例患者發熱及全身癥狀較為明顯,血液感染可能是其主要原因。
肺放線菌病常易誤診為肺部腫瘤、肺膿腫、肺部真菌感染,多因疑診肺部腫瘤等行肺活檢或切除而診斷為肺放線菌病[12-13],因其罕見臨床醫生往往不易考慮到該病。目前,診斷該病的主要方法為支氣管鏡、經皮肺穿刺或外科手術切除活檢病理診斷,少數報道為痰涂片。國內報道165例肺放線菌病患者的確診方法中,支氣管鏡檢查40例,經胸壁肺活檢27例,外科手術95例,痰中找到放線菌2例,胸腔積液中找到放線菌1例[5];2013年國外報道94例患者均為活檢組織病理確診[6]。目前尚無經血培養獲得放線菌病原體的報道,原因可能為:放線菌培養需嚴格的厭氧環境,同時臨床醫生早期未考慮到該病,不能及時與細菌室等科室溝通,臨床上往往忽視厭氧培養;放線菌對多種抗生素敏感,診斷該病前使用抗生素影響培養的陽性率。本例患者兩次血培養放線菌陽性,并送至復旦大學上海醫學院病原微生物教研室確診。目前,該病例血培養放線菌陽性為國內外首次報道,并通過肺穿刺活檢病理和臨床針對性治療效果等確診為肺放線菌病。總結經驗和體會如下:首先,接診該病例后首先考慮為肺部感染性疾病,入院后即送檢血培養;其次,我們積極和本院細菌生物室和病理科醫師反復溝通,多次做需氧和厭氧血培養,并告知少見細菌感染可能;培養96 h后見細菌菌落,終于經過團體協作確診該病。
肺放線菌病的影像學表現無特異性[14],可表現為實質性團塊影、片狀影、結節、支氣管充氣征、空洞、胸腔積液、縱隔淋巴結腫大及胸膜增厚,有學者認為肺放線菌病CT增強掃描外周延遲強化和實性部分逐漸強化為其特點[15-16]。病變部位以左下葉居多,可能與吸入途徑感染有關;右中葉次之。本例患者影像學主要表現為右中葉肺炎,支氣管鏡檢查示右肺中葉和下葉黏膜充血水腫,管腔狹窄。目前,罕見報道肺放線菌病PET表現,Lee等[17]在2012年歐洲胸部影像學年會報告顯示病灶18F-FDG攝取值增高,SUV平均為5.73±2.74,與肺癌難以鑒別。
肺放線菌病預后較好,但存在復發風險,療程宜長,目前主張用藥6~12個月[18]。大部分患者采取內科治療,青霉素、磺胺類、四環素類及新一代氟喹諾酮類莫西沙星等均是有效藥物,其中大劑量青霉素為首選,用藥方案為初始靜脈用藥2~6周,18~24百萬U/d,隨后口服藥物6~12個月。Choi等[19]對此傳統治療方案提出質疑,認為肺放線菌病應遵循個體化治療,根據患者病情程度、胸部影像學等對治療的反應而決定用藥方式和治療時間。本例患者血培養證實放線菌后予以1 920萬U/d青霉素及多西環素[20]靜脈治療,體溫正常,臨床癥狀改善,當地醫院復查胸部CT顯示病灶明顯吸收改用多西環素口服。該患者隨訪至今未有復發表現。部分患者需要外科手術治療,包括藥物治療反應不佳、反復咯血、不能排除腫瘤的患者[21]。