引用本文: 張金梅, 孫麗華, 谷偉, 譚焰, 方蘇榕. 噻托溴銨對慢性阻塞性肺疾病大鼠血清、肺泡灌洗液及肺組織中IL-8、TNF-α、PLA2的影響. 中國呼吸與危重監護雜志, 2014, 13(5): 469-473. doi: 10.7507/1671-6205.2014115 復制
慢性阻塞性肺疾病(簡稱慢阻肺)是一種以持續存在的氣流受限為特征的肺部疾病,氣流受限呈進行性發展,伴有氣道和肺對有害氣體或顆粒所致慢性炎癥反應的增加,但是可以預防和治療的疾病。近年來,慢阻肺的發病率和致死率逐年增加,造成嚴重的經濟和社會負擔,預計至2020年,慢阻肺將成為世界第三大死亡原因[1]。氣道、肺實質和肺血管的慢性炎癥是慢阻肺的特征性病理改變,中性粒細胞、巨噬細胞及T淋巴細胞等炎癥細胞激活后可以釋放白細胞介素8(IL-8)、腫瘤壞死因子α(TNF-α)、磷脂酶A2(PLA2)等多種炎癥因子,參與慢阻肺的發病過程。噻托溴銨作為目前治療慢阻肺最理想的支氣管舒張劑,過去認為其藥理機制主要是舒張支氣管平滑肌,但近年的研究表明其還具有一定的抗炎作用[2]。此觀點尚處于爭議之中[3]。本研究通過觀察噻托溴銨對慢阻肺大鼠血清、肺泡灌洗液及肺組織中IL-8、TNF-α、PLA2的影響,進一步證實噻托溴銨治療慢阻肺的抗炎作用。
材料與方法
一 材料
1.動物分組與處理:SPF級雄性SD大鼠30只(由浙江省實驗動物中心提供),6~8周齡,體重(200±20) g。將大鼠按隨機數字表法分為對照組、慢阻肺組和噻托溴銨干預組,每組10只。參照李紅梅等[4]的方法并加以改進建立大鼠慢阻肺模型:慢阻肺組大鼠放入密閉箱內,實驗用煙為江蘇中煙工業有限責任公司出品的一品梅牌過濾嘴香煙(焦油量11 mg,煙氣煙堿量0.8 mg,煙氣一氧化碳量14 mg),以5%煙霧濃度進行煙熏,2次/d,0.5 h/d,2次間隔時間為8 h,共90 d。第30 d、60 d不給予煙熏,氣管內注入內毒素(LPS) 200μg/200μL。對照組大鼠放入密閉箱內但不進行煙熏,時間、間隔同慢阻肺組,第30 d、60 d氣管內注入等量生理鹽水。噻托溴銨干預組大鼠每日煙熏前30 min霧化吸入噻托溴銨(0.12 mmol/L,10 min)。除在密閉箱內時間外,三組大鼠在相同環境中飼養,所有大鼠均于第90 d處死。
2.主要試劑:LPS購自美國Sigma公司;酶聯免疫吸附試驗(ELISA)檢測試劑盒購自Uscn Life Science股份有限公司。
二 方法
1.大鼠肺組織病理學檢查:大鼠飼養第90 d,禁食12 h后予10%水合氯醛(0.3 mL/100 g)腹腔內注射麻醉,腹主動脈取血后放血處死大鼠,開胸,暴露氣管及肺。用套管針插入左主支氣管并結扎、固定,拔出針芯后用2 mL冰生理鹽水灌洗左肺,再緩慢回抽,每次回抽液體約1.5 mL,如此反復灌洗3次,回收率約75%。灌洗后,切下左肺置于凍存管中并立即存放于液氮中備用。向右肺內注射10%中性甲醛溶液,固定24 h;常規石蠟包埋、切片,行HE染色觀察肺組織病理改變。
2.大鼠肺泡平均內襯間隔(MLI)及平均肺泡數(MAN)測定:參照管小俊[5]的方法并加以改進,每張HE切片隨機選取3個視野(200×),計數每個視野內的肺泡數,除以該視野的面積,即得MAN;于視野中央劃十字交叉線,計數通過該交叉線的肺泡數,測量交叉線的總長度,總長度/肺泡數即為MLI。
3.大鼠BALF中細胞總數、細胞分類及IL-8、TNF-α、PLA2含量測定:將回收的灌洗液混勻,先取0.5 mL用細胞計數板行BALF細胞計數,余下的液體4℃,1 000 r/min,離心10 min, 取上清液-20℃保存。取沉渣涂片,Wright-Giemsa染色,按照形態學標準進行細胞分類。取BALF上清液用ELISA法檢測各組大鼠BALF中IL-8、TNF-α、PLA2的含量,操作步驟嚴格按照試劑盒說明書執行。
4.大鼠血清中IL-8、TNF-α、PLA2含量測定:將留取的腹主動脈血5 mL,置于預冷的負壓真空采血管中,靜置30 min后,2 000 r/min,4℃離心10 min,收集上清液-80℃冰箱凍存待測。用ELISA法檢測各組大鼠血清IL-8、TNF-α、PLA2的含量,操作步驟嚴格按照試劑盒說明書執行。
5.大鼠肺組織中IL-8、TNF-α、PLA2含量測定:稱取每只大鼠肺組織100 mg,加入0.9%冰生理鹽水1 mL,用組織勻漿器制成10%的肺組織勻漿[6],3 000 r/min,4℃離心10 min,取上清液-80℃冰箱凍存待測。用ELISA法檢測各組大鼠肺組織IL-8、TNF-α、PLA2的含量,操作步驟嚴格按照試劑盒說明書執行。
三 統計學處理
采用SPSS 13.0統計軟件進行統計分析,所有數據以
結果
一 大鼠肺組織病理學改變
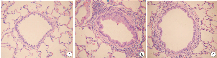
對照組大鼠支氣管管腔、上皮及肺泡結構完整,纖毛排列整齊,管壁未見增厚,黏膜下層未見炎性細胞浸潤(圖 1A);慢阻肺組大鼠支氣管管腔嚴重變形,上皮細胞明顯脫落,肺泡壁變薄,肺泡腔擴大融合成肺大皰,纖毛脫落缺失,管壁破壞、增厚,黏膜下腺體增生肥大,管壁周圍可見大量炎性細胞浸潤(圖 1B);噻托溴銨干預組大鼠支氣管管腔局部變形,上皮細胞部分脫落,部分纖毛粘連、倒伏、變性和壞死,管壁輕度增厚,黏膜下層及肌層可見炎性細胞浸潤,部分肺泡擴張融合(圖 1C)。

a.對照組;b.慢阻肺組;c.噻托溴銨干預組
二 大鼠肺組織MLI、MAN測量結果
經顯微-微機圖像分析系統定量測量各組大鼠肺組織中MLI及MAN,評價肺氣腫程度。結果顯示慢阻肺組與對照組相比,MAN明顯減少,MLI明顯增加(P < 0.01);噻托溴銨干預組與慢阻肺組相比,MAN明顯增多,MLI明顯減少(P < 0.01)。結果見表 1。

三 大鼠BALF中細胞總數及分類
三組大鼠BALF中細胞總數、中性粒細胞比例、單核-巨噬細胞比例及淋巴細胞比例差異顯著(P < 0.01);與對照組相比,慢阻肺組和噻托溴銨干預組細胞總數、中性粒細胞比例及淋巴細胞比例均明顯升高(P < 0.01);與慢阻肺組相比,噻托溴銨干預組組細胞總數、中性粒細胞比例及淋巴細胞比例均明顯降低(P < 0.01)。結果見表 2。

四 大鼠血清、BALF及肺組織中IL-8、TNF-α、PLA2含量
ELISA法檢測示慢阻肺組大鼠血清、BALF及肺組織中IL-8、TNF-α、PLA2含量顯著高于對照組(P < 0.01);噻托溴銨干預組大鼠血清、BALF及肺組織中IL-8、TNF-α、PLA2含量與慢阻肺組相比明顯降低(P < 0.01),但仍明顯高于對照組(P < 0.01)。結果見表 3~5。



討論
本實驗采用煙熏加氣管內注入LPS法建立慢阻肺大鼠模型。慢阻肺的病理基礎是氣道壁和肺實質的慢性炎癥和肺氣腫。大鼠肺組織病理顯示支氣管管腔嚴重變形,支氣管黏膜上皮明顯脫落,纖毛倒伏,杯狀細胞增生,黏膜下腺體增生肥大,管壁周圍可見大量炎性細胞浸潤;肺泡壁變薄,肺泡腔擴大融合成肺大皰。同時,通過MLI、MAN的測定證實慢阻肺組大鼠肺組織出現明顯的肺氣腫改變。表明本模型符合慢阻肺的病理生理改變,成功建立慢阻肺大鼠模型。
近年研究表明,慢阻肺是多種炎癥細胞及炎癥因子參與的慢性氣道炎癥性疾病[7]。在慢阻肺的慢性氣道炎癥中,中性粒細胞、肺泡巨噬細胞及T淋巴細胞等炎癥細胞滲出增加,并釋放出IL-8、TNF-α、PLA2等多種炎癥遞質[8]。這些炎癥遞質形成復雜的網絡系統,促使肺組織中大量炎癥細胞聚集、浸潤,肺內損傷與修復反復交替進行,氣流進行性、不可逆性受限,并引起肺泡壁破壞和肺組織纖維化[9]。
IL-8是一種多細胞源性的細胞因子,主要來源于單核細胞、血管內皮細胞、T淋巴細胞等, 具有廣泛的生物學活性[10]。可以趨化炎癥細胞尤其是中性粒細胞到達炎癥部位,誘導中性粒細胞的活化,引起外周血中性粒細胞數量增加、外形改變,促進其脫顆粒,產生呼吸爆發,釋放超氧化物酶和溶酶體酶[11],加重炎癥反應。TNF-α是一種單核因子,主要由單核細胞和肺泡巨噬細胞產生,具有多種前炎癥介質功能。包括促進炎癥細胞黏附、游走和浸潤,迅速引起肺損傷;釋放大量活性氧自由基、蛋白水解酶、脂類介質及細胞因子[12],增強中性粒細胞的細胞外蛋白分解作用;同時能進一步誘導粘附因子(ICAM-1、IL-6、IL-8等)的合成與釋放,促進炎癥反應、血管生成和組織纖維化,造成氣道重塑加強肺損傷作用[13]。PLA2是能夠特異性水解膜磷脂sn-2位酰基,產生溶血卵磷脂和花生四烯酸的超家族[14]。活化的中性粒細胞和巨噬細胞可以釋放大量的PLA2。PLA2激活后可直接損傷肺泡上皮細胞、毛細血管內皮細胞,增加黏液分泌、降低肺順應性等加重炎癥反應和肺組織損害[15]。本研究結果顯示,慢阻肺組大鼠BALF中細胞總數、中性粒細胞及淋巴細胞比例較對照組均明顯升高,且慢阻肺組大鼠血清、BALF及肺組織中IL-8、TNF-α、PLA2水平與對照組相比均明顯升高,其機制可能是煙熏及LPS所致的慢性炎癥使炎癥細胞滲出增加,尤其是中性粒細胞及淋巴細胞滲出增加,進而釋放IL-8、TNF-α及PLA2等炎癥因子的水平增加。因此我們推測,可以通過觀察藥物對上述炎癥因子水平的影響,來證實其抗炎作用。
噻托溴銨是一種高選擇于M受體的長效抗膽堿能藥物,主要通過阻斷M1、M3受體發揮作用,與M3受體結合時間長達34.7 h,能較快地從M2受體解離,其支氣管舒張作用持續時間相對較長[16],是目前治療穩定期慢阻肺最理想的支氣管舒張劑。近年來,有不少研究證實,噻托溴銨除具有支氣管舒張作用外,還具有一定的抗炎作用,其具體機制尚不明確[17]。本研究通過觀察噻托溴銨對慢阻肺大鼠BALF中炎癥細胞,血清、BALF及肺組織中IL-8、TNF-α、PLA2水平及肺組織病理結構的影響,發現噻托溴銨可以降低上述炎癥因子水平,減輕氣道及肺組織炎癥,這一作用可能是通過減少炎癥細胞滲出,尤其是中性粒細胞及淋巴細胞的滲出來發揮的。
綜上所述,噻托溴銨在治療慢阻肺時,除具有支氣管舒張作用外,還可以通過減少炎癥細胞滲出降低炎癥因子水平,減輕氣道及肺組織炎癥,發揮抗炎作用。而對于噻托溴銨減少炎癥細胞滲出的機制是否與肺泡壁毛細血管膜的通透性降低、肺泡間隔細胞的凋亡減少等因素有關尚需進一步實驗研究。
慢性阻塞性肺疾病(簡稱慢阻肺)是一種以持續存在的氣流受限為特征的肺部疾病,氣流受限呈進行性發展,伴有氣道和肺對有害氣體或顆粒所致慢性炎癥反應的增加,但是可以預防和治療的疾病。近年來,慢阻肺的發病率和致死率逐年增加,造成嚴重的經濟和社會負擔,預計至2020年,慢阻肺將成為世界第三大死亡原因[1]。氣道、肺實質和肺血管的慢性炎癥是慢阻肺的特征性病理改變,中性粒細胞、巨噬細胞及T淋巴細胞等炎癥細胞激活后可以釋放白細胞介素8(IL-8)、腫瘤壞死因子α(TNF-α)、磷脂酶A2(PLA2)等多種炎癥因子,參與慢阻肺的發病過程。噻托溴銨作為目前治療慢阻肺最理想的支氣管舒張劑,過去認為其藥理機制主要是舒張支氣管平滑肌,但近年的研究表明其還具有一定的抗炎作用[2]。此觀點尚處于爭議之中[3]。本研究通過觀察噻托溴銨對慢阻肺大鼠血清、肺泡灌洗液及肺組織中IL-8、TNF-α、PLA2的影響,進一步證實噻托溴銨治療慢阻肺的抗炎作用。
材料與方法
一 材料
1.動物分組與處理:SPF級雄性SD大鼠30只(由浙江省實驗動物中心提供),6~8周齡,體重(200±20) g。將大鼠按隨機數字表法分為對照組、慢阻肺組和噻托溴銨干預組,每組10只。參照李紅梅等[4]的方法并加以改進建立大鼠慢阻肺模型:慢阻肺組大鼠放入密閉箱內,實驗用煙為江蘇中煙工業有限責任公司出品的一品梅牌過濾嘴香煙(焦油量11 mg,煙氣煙堿量0.8 mg,煙氣一氧化碳量14 mg),以5%煙霧濃度進行煙熏,2次/d,0.5 h/d,2次間隔時間為8 h,共90 d。第30 d、60 d不給予煙熏,氣管內注入內毒素(LPS) 200μg/200μL。對照組大鼠放入密閉箱內但不進行煙熏,時間、間隔同慢阻肺組,第30 d、60 d氣管內注入等量生理鹽水。噻托溴銨干預組大鼠每日煙熏前30 min霧化吸入噻托溴銨(0.12 mmol/L,10 min)。除在密閉箱內時間外,三組大鼠在相同環境中飼養,所有大鼠均于第90 d處死。
2.主要試劑:LPS購自美國Sigma公司;酶聯免疫吸附試驗(ELISA)檢測試劑盒購自Uscn Life Science股份有限公司。
二 方法
1.大鼠肺組織病理學檢查:大鼠飼養第90 d,禁食12 h后予10%水合氯醛(0.3 mL/100 g)腹腔內注射麻醉,腹主動脈取血后放血處死大鼠,開胸,暴露氣管及肺。用套管針插入左主支氣管并結扎、固定,拔出針芯后用2 mL冰生理鹽水灌洗左肺,再緩慢回抽,每次回抽液體約1.5 mL,如此反復灌洗3次,回收率約75%。灌洗后,切下左肺置于凍存管中并立即存放于液氮中備用。向右肺內注射10%中性甲醛溶液,固定24 h;常規石蠟包埋、切片,行HE染色觀察肺組織病理改變。
2.大鼠肺泡平均內襯間隔(MLI)及平均肺泡數(MAN)測定:參照管小俊[5]的方法并加以改進,每張HE切片隨機選取3個視野(200×),計數每個視野內的肺泡數,除以該視野的面積,即得MAN;于視野中央劃十字交叉線,計數通過該交叉線的肺泡數,測量交叉線的總長度,總長度/肺泡數即為MLI。
3.大鼠BALF中細胞總數、細胞分類及IL-8、TNF-α、PLA2含量測定:將回收的灌洗液混勻,先取0.5 mL用細胞計數板行BALF細胞計數,余下的液體4℃,1 000 r/min,離心10 min, 取上清液-20℃保存。取沉渣涂片,Wright-Giemsa染色,按照形態學標準進行細胞分類。取BALF上清液用ELISA法檢測各組大鼠BALF中IL-8、TNF-α、PLA2的含量,操作步驟嚴格按照試劑盒說明書執行。
4.大鼠血清中IL-8、TNF-α、PLA2含量測定:將留取的腹主動脈血5 mL,置于預冷的負壓真空采血管中,靜置30 min后,2 000 r/min,4℃離心10 min,收集上清液-80℃冰箱凍存待測。用ELISA法檢測各組大鼠血清IL-8、TNF-α、PLA2的含量,操作步驟嚴格按照試劑盒說明書執行。
5.大鼠肺組織中IL-8、TNF-α、PLA2含量測定:稱取每只大鼠肺組織100 mg,加入0.9%冰生理鹽水1 mL,用組織勻漿器制成10%的肺組織勻漿[6],3 000 r/min,4℃離心10 min,取上清液-80℃冰箱凍存待測。用ELISA法檢測各組大鼠肺組織IL-8、TNF-α、PLA2的含量,操作步驟嚴格按照試劑盒說明書執行。
三 統計學處理
采用SPSS 13.0統計軟件進行統計分析,所有數據以
結果
一 大鼠肺組織病理學改變
對照組大鼠支氣管管腔、上皮及肺泡結構完整,纖毛排列整齊,管壁未見增厚,黏膜下層未見炎性細胞浸潤(圖 1A);慢阻肺組大鼠支氣管管腔嚴重變形,上皮細胞明顯脫落,肺泡壁變薄,肺泡腔擴大融合成肺大皰,纖毛脫落缺失,管壁破壞、增厚,黏膜下腺體增生肥大,管壁周圍可見大量炎性細胞浸潤(圖 1B);噻托溴銨干預組大鼠支氣管管腔局部變形,上皮細胞部分脫落,部分纖毛粘連、倒伏、變性和壞死,管壁輕度增厚,黏膜下層及肌層可見炎性細胞浸潤,部分肺泡擴張融合(圖 1C)。

a.對照組;b.慢阻肺組;c.噻托溴銨干預組
二 大鼠肺組織MLI、MAN測量結果
經顯微-微機圖像分析系統定量測量各組大鼠肺組織中MLI及MAN,評價肺氣腫程度。結果顯示慢阻肺組與對照組相比,MAN明顯減少,MLI明顯增加(P < 0.01);噻托溴銨干預組與慢阻肺組相比,MAN明顯增多,MLI明顯減少(P < 0.01)。結果見表 1。

三 大鼠BALF中細胞總數及分類
三組大鼠BALF中細胞總數、中性粒細胞比例、單核-巨噬細胞比例及淋巴細胞比例差異顯著(P < 0.01);與對照組相比,慢阻肺組和噻托溴銨干預組細胞總數、中性粒細胞比例及淋巴細胞比例均明顯升高(P < 0.01);與慢阻肺組相比,噻托溴銨干預組組細胞總數、中性粒細胞比例及淋巴細胞比例均明顯降低(P < 0.01)。結果見表 2。

四 大鼠血清、BALF及肺組織中IL-8、TNF-α、PLA2含量
ELISA法檢測示慢阻肺組大鼠血清、BALF及肺組織中IL-8、TNF-α、PLA2含量顯著高于對照組(P < 0.01);噻托溴銨干預組大鼠血清、BALF及肺組織中IL-8、TNF-α、PLA2含量與慢阻肺組相比明顯降低(P < 0.01),但仍明顯高于對照組(P < 0.01)。結果見表 3~5。



討論
本實驗采用煙熏加氣管內注入LPS法建立慢阻肺大鼠模型。慢阻肺的病理基礎是氣道壁和肺實質的慢性炎癥和肺氣腫。大鼠肺組織病理顯示支氣管管腔嚴重變形,支氣管黏膜上皮明顯脫落,纖毛倒伏,杯狀細胞增生,黏膜下腺體增生肥大,管壁周圍可見大量炎性細胞浸潤;肺泡壁變薄,肺泡腔擴大融合成肺大皰。同時,通過MLI、MAN的測定證實慢阻肺組大鼠肺組織出現明顯的肺氣腫改變。表明本模型符合慢阻肺的病理生理改變,成功建立慢阻肺大鼠模型。
近年研究表明,慢阻肺是多種炎癥細胞及炎癥因子參與的慢性氣道炎癥性疾病[7]。在慢阻肺的慢性氣道炎癥中,中性粒細胞、肺泡巨噬細胞及T淋巴細胞等炎癥細胞滲出增加,并釋放出IL-8、TNF-α、PLA2等多種炎癥遞質[8]。這些炎癥遞質形成復雜的網絡系統,促使肺組織中大量炎癥細胞聚集、浸潤,肺內損傷與修復反復交替進行,氣流進行性、不可逆性受限,并引起肺泡壁破壞和肺組織纖維化[9]。
IL-8是一種多細胞源性的細胞因子,主要來源于單核細胞、血管內皮細胞、T淋巴細胞等, 具有廣泛的生物學活性[10]。可以趨化炎癥細胞尤其是中性粒細胞到達炎癥部位,誘導中性粒細胞的活化,引起外周血中性粒細胞數量增加、外形改變,促進其脫顆粒,產生呼吸爆發,釋放超氧化物酶和溶酶體酶[11],加重炎癥反應。TNF-α是一種單核因子,主要由單核細胞和肺泡巨噬細胞產生,具有多種前炎癥介質功能。包括促進炎癥細胞黏附、游走和浸潤,迅速引起肺損傷;釋放大量活性氧自由基、蛋白水解酶、脂類介質及細胞因子[12],增強中性粒細胞的細胞外蛋白分解作用;同時能進一步誘導粘附因子(ICAM-1、IL-6、IL-8等)的合成與釋放,促進炎癥反應、血管生成和組織纖維化,造成氣道重塑加強肺損傷作用[13]。PLA2是能夠特異性水解膜磷脂sn-2位酰基,產生溶血卵磷脂和花生四烯酸的超家族[14]。活化的中性粒細胞和巨噬細胞可以釋放大量的PLA2。PLA2激活后可直接損傷肺泡上皮細胞、毛細血管內皮細胞,增加黏液分泌、降低肺順應性等加重炎癥反應和肺組織損害[15]。本研究結果顯示,慢阻肺組大鼠BALF中細胞總數、中性粒細胞及淋巴細胞比例較對照組均明顯升高,且慢阻肺組大鼠血清、BALF及肺組織中IL-8、TNF-α、PLA2水平與對照組相比均明顯升高,其機制可能是煙熏及LPS所致的慢性炎癥使炎癥細胞滲出增加,尤其是中性粒細胞及淋巴細胞滲出增加,進而釋放IL-8、TNF-α及PLA2等炎癥因子的水平增加。因此我們推測,可以通過觀察藥物對上述炎癥因子水平的影響,來證實其抗炎作用。
噻托溴銨是一種高選擇于M受體的長效抗膽堿能藥物,主要通過阻斷M1、M3受體發揮作用,與M3受體結合時間長達34.7 h,能較快地從M2受體解離,其支氣管舒張作用持續時間相對較長[16],是目前治療穩定期慢阻肺最理想的支氣管舒張劑。近年來,有不少研究證實,噻托溴銨除具有支氣管舒張作用外,還具有一定的抗炎作用,其具體機制尚不明確[17]。本研究通過觀察噻托溴銨對慢阻肺大鼠BALF中炎癥細胞,血清、BALF及肺組織中IL-8、TNF-α、PLA2水平及肺組織病理結構的影響,發現噻托溴銨可以降低上述炎癥因子水平,減輕氣道及肺組織炎癥,這一作用可能是通過減少炎癥細胞滲出,尤其是中性粒細胞及淋巴細胞的滲出來發揮的。
綜上所述,噻托溴銨在治療慢阻肺時,除具有支氣管舒張作用外,還可以通過減少炎癥細胞滲出降低炎癥因子水平,減輕氣道及肺組織炎癥,發揮抗炎作用。而對于噻托溴銨減少炎癥細胞滲出的機制是否與肺泡壁毛細血管膜的通透性降低、肺泡間隔細胞的凋亡減少等因素有關尚需進一步實驗研究。