引用本文: 劉文靜, 高秀玲, 崔朝勃. 肺淋巴管肌瘤病一例. 中國呼吸與危重監護雜志, 2014, 13(3): 303-305. doi: 10.7507/1671-6205.2014073 復制
肺淋巴管肌瘤病(PLAM)是一種原因不明的、罕見的且持續發展的彌漫性肺部疾病,目前認為尚無特效療法。自1937年世界首例報道[1]后,美國、英國、法國、東南亞相繼報道。我國對PLAM的認識相對較晚,自1986年國內首例報道PLAM至今,我國累積報道僅130余例。本病主要見于育齡期婦女,我國平均發病年齡(37.3±6.4)歲[2]。現對我院收治的1例PLAM患者的臨床資料進行回顧分析并相關文獻復習,以提高臨床醫生對本病的認識,減少誤診和漏診。
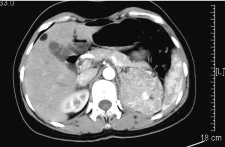
臨床資料?患者女性,27歲,自由職業者,已婚,未育。因突發胸悶伴胸痛4 d入院。查體:體溫36.8 ℃,脈搏96次/min,呼吸18次/min,血壓101/69 mm Hg(1 mm Hg=0.133 kPa),血氧飽和度(SpO2 )89%(自然狀態)。右上肺呼吸音消失,左肺呼吸音清,兩肺未聞及干濕性啰音。心腹四肢未見異常。胸片示右側氣胸(肺組織壓縮約30%),右側胸腔少量積液(圖 1)。心電圖、血常規及肝腎功能正常。動脈血氣分析示PaO2 58 mm Hg,PaCO2 35 mm Hg,SaO2 94%。胸部CT示右側少量氣胸,雙肺散在大小不等薄壁囊泡,左上肺囊泡有融合,兩側少量胸腔積液,左腎占位性病變,建議進一步查腎臟 CT(圖 2)。抽取少量胸水示乳糜性胸腔積液。生化檢查示甘油三酯升高為49.5 mmol/L。雙腎增強CT示肝內多發脂類占位,左腎占位性病變考慮惡性(圖 3)。雙腎MRI示左腎上極占位性病變,所顯示肝臟多發占位性病變,考慮錯構瘤(圖 4)。患者轉院行腹腔鏡下左腎根治性切除術,術后病理學檢查:大體所示左腎上極可見1個9 cm×7 cm×6 cm的腫物,切面灰白質脆;組化13-3914:CK(-),Vim(+),S-100(+),Des(-/+),Ki-67(1%),HMB45(散在+),SMA(+)(圖 5)。家屬拒絕行經支氣管鏡肺活檢(TBLB)及胸腔鏡肺活檢。根據患者的年齡、性別、胸部CT、腎臟增強CT及腎臟術后病理、胸水檢查,該患者診斷:肺淋巴管肌瘤病伴左腎血管平滑肌脂肪瘤。患者放棄治療出院。





討論?PLAM是一種罕見并持續發展的彌漫肺部疾病,研究結果顯示某些患者的平滑肌組織中雌激素受體(ER)表達異常增高,因此認為PLAM的發病和病程進展與體內雌激素水平密切相關,但具體機制尚不明確,故本病好發于育齡婦女,發病率為0.029/100萬~1.70/100萬,我國平均發病年齡為(37.3±6.4)歲,妊娠及月經期婦女發生PLAM比其他健康人約高11倍,其病情程度明顯加重,并發癥也明顯增加[3]。國外文獻尚有絕經后發病案例,但多與閉經期口服或注射雌激素有關,故國外發病年齡范圍較我國大。雌孕激素受體表達受激素替代治療影響較大,故以雌孕激素受體作為診斷指標偏差較高,而黑色素瘤雜交的單克隆抗體(HMB-45)陽性率不受影響,故用其做免疫組化染色可將LAM細胞染成黑色素瘤樣變化,增加診斷的特異性和敏感性。
PLAM最主要的臨床表現為進行性加重的呼吸困難,常伴低氧血癥,肺功能檢查主要為阻塞性通氣功能障礙或混合型通氣功能障礙,彌散功能障礙,偶有咯血、胸痛、咳嗽、咳痰,本病主要累及肺,但亦可累及肺外淋巴組織,尤其是縱隔和腹后壁淋巴管和淋巴結,數據顯示約80%患者出現單側或雙側自發性氣胸,約50%以氣胸為首發癥狀,約50%可侵犯腎臟,多表現為腎血管平滑肌脂肪瘤,但很少影響腎功能,約20%可伴發乳糜樣胸水,約10%可伴發乳糜樣腹水[4]。本例患者以氣胸為首發癥狀,伴低氧血癥及雙側乳糜樣胸水,同時侵犯腎臟,但腎功能大致正常,肺功能未查。
PLAM的影像學特征是診斷本病的有力證據,胸片X線早期可正常或僅表現兩肺紋理增多,隨病情進展出現磨玻璃狀陰影,進而可見呈均勻分布的彌漫性小結節,自粟粒狀到大小不等的結節或網狀。胸部CT特別是HRCT是對本病最具診斷價值的影像學檢查,典型表現為兩肺多發的、均勻分布的類圓形薄壁囊性改變,直徑0.5~5 cm,壁厚<2 mm,薄壁囊性發生率幾乎100%,常見相鄰較近的囊泡融合現象,時因巨大囊泡破裂而引發氣胸就診。HRCT對本病診斷和預后判斷極為重要,有人認為典型表現者不需肺活檢即可診斷PLAM[5]。本例患者雖未做肺活檢,但仍可診斷。
確診PLAM的金標準為病理診斷,可通過胸腔鏡、纖支鏡或開胸肺活檢取得肺組織標本,支氣管鏡下可顯示正常肺組織結構破壞,可見大小不等囊腔,囊壁內平滑肌細胞(LAM細胞)異常增生,podoplanin免疫組織化學染色顯示陽性的淋巴管內皮細胞圍繞裂隙生長。本例患者未行肺活檢,但行后腹腔鏡下左腎根治性切除術,并取活檢做病理診斷確定為平滑肌脂肪瘤。
本病早期臨床表現并不明顯,故鑒別診斷尤為重要:① 肺平滑肌瘤:以青年和中年人多見,多為單發,為肺外周實質內孤立性結節,僅是由成束平滑肌細胞交織而形成的實性腫瘤,CT表現無特征性,其陰影密度較脂肪瘤高(CT值21~53 HU)早期無癥狀,晚期隨瘤體增大可阻塞支氣管引起肺膨脹不全及阻塞性肺炎。② 肺朗格漢斯組織細胞增生癥(PLCH):是一類相對罕見的肺臟疾病,通常在青年人發病,與吸煙密切相關,大多表現為良性和遷延的病程,肺組織病理以朗格漢斯細胞增生和浸潤為特征,形成雙肺多發的細支氣管旁間質結節和囊腔,免疫組化S-100和CD1a陽性。③ 多發性肺囊腫:好發于幼年或青年,胸部X線片以透亮類圓形薄壁大皰及其數目、大小、形態的易變性為特征,短期隨訪中可見較多變化,有時可迅速增大,或破裂后形成氣胸而就診,但肺外組織器官多不累及,當肺部炎癥消退后,大皰有時可自行縮小或消失。④ 特發性間質性肺炎:發病以中老年較多,亦可出現進行性加重的呼吸困難,肺功能檢查常為限制性通氣功能障礙及彌散功能障礙,胸部X線片顯示兩肺彌漫性網狀結節狀陰影,早期表現為脫屑性間質性肺炎,晚期呈現不同程度的間質纖維化和蜂窩肺。
PLAM目前尚無特效療法。肺移植術被公認為是治愈本病的有效方法,多在雙肺病變嚴重,保守治療無效病情不斷惡化,內外科均無法處理的終末期肺病時進行,約70%患者在移植后存活達3年,但部分患者亦可復發,考慮與LAM細胞轉移有關。抗雌激素是目前除肺移植之外的主要治療方法,即孕激素(安宮黃體酮),雌激素競爭性抑制劑(三苯氧胺),卵巢切除術,促性腺激素釋放激素抑制劑等,但療效尚不確定[6],Oprescu等[7]報道激素療法可增加死亡或肺移植風險(HR 2.93;95 % CI 1.54~5.58,P=0.001),尤其是孕激素療法 (HR 2.17;95 % CI 1.26~3.75,P=0.005),近幾年國外正試圖尋求治療本病的最佳方案,其中新型免疫抑制劑西羅莫司成為國外專家的研究熱點,可改善患者的肺功能和減輕乳糜積液,提高患者生活質量[8-10]。Ando等[11]報道低劑量西羅莫司安全性和有效性比高劑量更好。本病預后差,病情常反復進行性加重,肺功能逐漸減退,最終多死于呼吸衰竭,自然病程一般不超過8~10年[12],但也有最近國外文獻報道71%患者可存活10年以上[13],而死亡風險卻隨發病年齡的增長而降低[7]。
由于PLAM臨床較為罕見,一般教科書尚未提及,加之缺乏臨床特異性,早期胸片可正常,故常為臨床和影像醫師所忽視,導致誤診和漏診,本例為目前為止我院呼吸內科所見第一例,通過對本病例及相關文獻的回顧,提高對本病的認識及警覺性,此后凡是遇到育齡婦女,出現漸進性呼吸困難、反復發生自發性氣胸、低氧血癥、咯血等癥狀,應疑診本病,及時行HRCT及肺功能檢查,需同時注意有無肺外組織器官受累,條件允許時盡早行肺活檢明確病理診斷,使誤診率和漏診率降低,提高患者生存質量。
肺淋巴管肌瘤病(PLAM)是一種原因不明的、罕見的且持續發展的彌漫性肺部疾病,目前認為尚無特效療法。自1937年世界首例報道[1]后,美國、英國、法國、東南亞相繼報道。我國對PLAM的認識相對較晚,自1986年國內首例報道PLAM至今,我國累積報道僅130余例。本病主要見于育齡期婦女,我國平均發病年齡(37.3±6.4)歲[2]。現對我院收治的1例PLAM患者的臨床資料進行回顧分析并相關文獻復習,以提高臨床醫生對本病的認識,減少誤診和漏診。
臨床資料?患者女性,27歲,自由職業者,已婚,未育。因突發胸悶伴胸痛4 d入院。查體:體溫36.8 ℃,脈搏96次/min,呼吸18次/min,血壓101/69 mm Hg(1 mm Hg=0.133 kPa),血氧飽和度(SpO2 )89%(自然狀態)。右上肺呼吸音消失,左肺呼吸音清,兩肺未聞及干濕性啰音。心腹四肢未見異常。胸片示右側氣胸(肺組織壓縮約30%),右側胸腔少量積液(圖 1)。心電圖、血常規及肝腎功能正常。動脈血氣分析示PaO2 58 mm Hg,PaCO2 35 mm Hg,SaO2 94%。胸部CT示右側少量氣胸,雙肺散在大小不等薄壁囊泡,左上肺囊泡有融合,兩側少量胸腔積液,左腎占位性病變,建議進一步查腎臟 CT(圖 2)。抽取少量胸水示乳糜性胸腔積液。生化檢查示甘油三酯升高為49.5 mmol/L。雙腎增強CT示肝內多發脂類占位,左腎占位性病變考慮惡性(圖 3)。雙腎MRI示左腎上極占位性病變,所顯示肝臟多發占位性病變,考慮錯構瘤(圖 4)。患者轉院行腹腔鏡下左腎根治性切除術,術后病理學檢查:大體所示左腎上極可見1個9 cm×7 cm×6 cm的腫物,切面灰白質脆;組化13-3914:CK(-),Vim(+),S-100(+),Des(-/+),Ki-67(1%),HMB45(散在+),SMA(+)(圖 5)。家屬拒絕行經支氣管鏡肺活檢(TBLB)及胸腔鏡肺活檢。根據患者的年齡、性別、胸部CT、腎臟增強CT及腎臟術后病理、胸水檢查,該患者診斷:肺淋巴管肌瘤病伴左腎血管平滑肌脂肪瘤。患者放棄治療出院。





討論?PLAM是一種罕見并持續發展的彌漫肺部疾病,研究結果顯示某些患者的平滑肌組織中雌激素受體(ER)表達異常增高,因此認為PLAM的發病和病程進展與體內雌激素水平密切相關,但具體機制尚不明確,故本病好發于育齡婦女,發病率為0.029/100萬~1.70/100萬,我國平均發病年齡為(37.3±6.4)歲,妊娠及月經期婦女發生PLAM比其他健康人約高11倍,其病情程度明顯加重,并發癥也明顯增加[3]。國外文獻尚有絕經后發病案例,但多與閉經期口服或注射雌激素有關,故國外發病年齡范圍較我國大。雌孕激素受體表達受激素替代治療影響較大,故以雌孕激素受體作為診斷指標偏差較高,而黑色素瘤雜交的單克隆抗體(HMB-45)陽性率不受影響,故用其做免疫組化染色可將LAM細胞染成黑色素瘤樣變化,增加診斷的特異性和敏感性。
PLAM最主要的臨床表現為進行性加重的呼吸困難,常伴低氧血癥,肺功能檢查主要為阻塞性通氣功能障礙或混合型通氣功能障礙,彌散功能障礙,偶有咯血、胸痛、咳嗽、咳痰,本病主要累及肺,但亦可累及肺外淋巴組織,尤其是縱隔和腹后壁淋巴管和淋巴結,數據顯示約80%患者出現單側或雙側自發性氣胸,約50%以氣胸為首發癥狀,約50%可侵犯腎臟,多表現為腎血管平滑肌脂肪瘤,但很少影響腎功能,約20%可伴發乳糜樣胸水,約10%可伴發乳糜樣腹水[4]。本例患者以氣胸為首發癥狀,伴低氧血癥及雙側乳糜樣胸水,同時侵犯腎臟,但腎功能大致正常,肺功能未查。
PLAM的影像學特征是診斷本病的有力證據,胸片X線早期可正常或僅表現兩肺紋理增多,隨病情進展出現磨玻璃狀陰影,進而可見呈均勻分布的彌漫性小結節,自粟粒狀到大小不等的結節或網狀。胸部CT特別是HRCT是對本病最具診斷價值的影像學檢查,典型表現為兩肺多發的、均勻分布的類圓形薄壁囊性改變,直徑0.5~5 cm,壁厚<2 mm,薄壁囊性發生率幾乎100%,常見相鄰較近的囊泡融合現象,時因巨大囊泡破裂而引發氣胸就診。HRCT對本病診斷和預后判斷極為重要,有人認為典型表現者不需肺活檢即可診斷PLAM[5]。本例患者雖未做肺活檢,但仍可診斷。
確診PLAM的金標準為病理診斷,可通過胸腔鏡、纖支鏡或開胸肺活檢取得肺組織標本,支氣管鏡下可顯示正常肺組織結構破壞,可見大小不等囊腔,囊壁內平滑肌細胞(LAM細胞)異常增生,podoplanin免疫組織化學染色顯示陽性的淋巴管內皮細胞圍繞裂隙生長。本例患者未行肺活檢,但行后腹腔鏡下左腎根治性切除術,并取活檢做病理診斷確定為平滑肌脂肪瘤。
本病早期臨床表現并不明顯,故鑒別診斷尤為重要:① 肺平滑肌瘤:以青年和中年人多見,多為單發,為肺外周實質內孤立性結節,僅是由成束平滑肌細胞交織而形成的實性腫瘤,CT表現無特征性,其陰影密度較脂肪瘤高(CT值21~53 HU)早期無癥狀,晚期隨瘤體增大可阻塞支氣管引起肺膨脹不全及阻塞性肺炎。② 肺朗格漢斯組織細胞增生癥(PLCH):是一類相對罕見的肺臟疾病,通常在青年人發病,與吸煙密切相關,大多表現為良性和遷延的病程,肺組織病理以朗格漢斯細胞增生和浸潤為特征,形成雙肺多發的細支氣管旁間質結節和囊腔,免疫組化S-100和CD1a陽性。③ 多發性肺囊腫:好發于幼年或青年,胸部X線片以透亮類圓形薄壁大皰及其數目、大小、形態的易變性為特征,短期隨訪中可見較多變化,有時可迅速增大,或破裂后形成氣胸而就診,但肺外組織器官多不累及,當肺部炎癥消退后,大皰有時可自行縮小或消失。④ 特發性間質性肺炎:發病以中老年較多,亦可出現進行性加重的呼吸困難,肺功能檢查常為限制性通氣功能障礙及彌散功能障礙,胸部X線片顯示兩肺彌漫性網狀結節狀陰影,早期表現為脫屑性間質性肺炎,晚期呈現不同程度的間質纖維化和蜂窩肺。
PLAM目前尚無特效療法。肺移植術被公認為是治愈本病的有效方法,多在雙肺病變嚴重,保守治療無效病情不斷惡化,內外科均無法處理的終末期肺病時進行,約70%患者在移植后存活達3年,但部分患者亦可復發,考慮與LAM細胞轉移有關。抗雌激素是目前除肺移植之外的主要治療方法,即孕激素(安宮黃體酮),雌激素競爭性抑制劑(三苯氧胺),卵巢切除術,促性腺激素釋放激素抑制劑等,但療效尚不確定[6],Oprescu等[7]報道激素療法可增加死亡或肺移植風險(HR 2.93;95 % CI 1.54~5.58,P=0.001),尤其是孕激素療法 (HR 2.17;95 % CI 1.26~3.75,P=0.005),近幾年國外正試圖尋求治療本病的最佳方案,其中新型免疫抑制劑西羅莫司成為國外專家的研究熱點,可改善患者的肺功能和減輕乳糜積液,提高患者生活質量[8-10]。Ando等[11]報道低劑量西羅莫司安全性和有效性比高劑量更好。本病預后差,病情常反復進行性加重,肺功能逐漸減退,最終多死于呼吸衰竭,自然病程一般不超過8~10年[12],但也有最近國外文獻報道71%患者可存活10年以上[13],而死亡風險卻隨發病年齡的增長而降低[7]。
由于PLAM臨床較為罕見,一般教科書尚未提及,加之缺乏臨床特異性,早期胸片可正常,故常為臨床和影像醫師所忽視,導致誤診和漏診,本例為目前為止我院呼吸內科所見第一例,通過對本病例及相關文獻的回顧,提高對本病的認識及警覺性,此后凡是遇到育齡婦女,出現漸進性呼吸困難、反復發生自發性氣胸、低氧血癥、咯血等癥狀,應疑診本病,及時行HRCT及肺功能檢查,需同時注意有無肺外組織器官受累,條件允許時盡早行肺活檢明確病理診斷,使誤診率和漏診率降低,提高患者生存質量。