引用本文: 李鋒, 張鵬宇, 張旻, 包愛華, 陳宇清, 唐月琴, 周新. 急性、慢性臭氧暴露對小鼠肺部炎癥、肺部結構和肺功能的影響. 中國呼吸與危重監護雜志, 2014, 13(3): 295-299. doi: 10.7507/1671-6205.2014071 復制
臭氧(O3)是城市和工廠環境中具有高度毒性的空氣污染物之一,由汽車或其他燃料產生的氮氧化物(NOx)和揮發性有機物通過光化學反應而產生。流行病調查研究已表明臭氧暴露與哮喘、慢性阻塞性肺疾病(簡稱慢阻肺)的癥狀加重及住院密切相關[1-2]。臭氧暴露可誘導健康受試者出現氣道高反應性(AHR)和中性粒細胞為主的氣道炎癥[3]。臭氧暴露還可影響健康受試者的肺功能,如降低第1秒用力呼氣容積(FEV1)與用力肺活量(FVC)[4-5]。目前,關于臭氧暴露對小鼠肺部病理、肺功能的研究較少。本研究擬評估急性、慢性臭氧暴露對小鼠的肺部炎癥、肺部結構和肺功能的影響。
對象與方法
一 材料
8~10周SPF級C57/BL6小鼠,體重22~25 g,購自上海西必普凱公司,飼養于本院動物中心的屏障系統。本研究得到上海交通大學附屬第一人民醫院倫理委員會的批準。臭氧制造儀Model 300由德國AB Aqua Medic GmbH公司提供。Explore Locus Micro-CT由加拿大GE healthcare公司提供。肺功能儀(Forced Maneuvers 系統)由美國Buxco公司提供。細胞離心機(Shandon Cytospin)由美國Thermo Fisher公司提供。劉氏染液由珠海貝索生物技術有限公司提供。顯微鏡由日本奧林巴斯公司提供。
二 方法
1.臭氧暴露:C57/BL6小鼠隨機分為單次(急性)臭氧暴露組、單次空氣暴露組、多次(慢性)臭氧暴露組和多次空氣暴露組,每組8只。小鼠置于密閉箱中,暴露于臭氧制造儀生產的臭氧,濃度為2.5 ppm,持續3 h。急性臭氧暴露小鼠接受1次臭氧暴露。慢性臭氧暴露小鼠接受每周2次共6周的臭氧暴露。對照小鼠接受空氣暴露。
2.Micro-CT掃描:臭氧暴露后24 h,小鼠腹腔注射0.2 mL的1%戊巴比妥鈉進行麻醉,置于Explore Locus型Micro-CT掃描床。X-線球管電壓50 kV,電流450 μA,360°旋轉掃描,角度增益0.5°,共有515張圖片,有效像素0.092 mm,曝光時間300 ms/張,層厚92 μm。掃描完成后開始應用重建軟件進行整體結構重建和三維重建,以Microview 2.0+ABA軟件進行分析肺組織密度。低密度區(LAA)定義為-750~-550亨氏單位(HU)。計算LAA占肺容積的百分比(LAA%),LAA%=總LAA容積/總肺容積。
3.肺功能檢測:腹腔注射氯胺酮(100 mg/kg)和甲芐噻嗪(10 mg/kg)的混合麻醉劑以保持小鼠的自主呼吸。小鼠氣管切開,插入氣管導管,置入體積描記箱(buxco research systems,NC,USA),并連接電腦控制的呼吸機,呼吸頻率150次/min。測量吸氣量(IC)、功能殘氣量(FRC)、肺總量(TLC)、用力呼氣量(FVC)、第20 ms、50 ms的用力呼氣量(FEV20,FEV50)、順應性(Cchord)。
4.血清、支氣管肺泡灌洗液(BALF)、氧化應激指標:腹腔注射1 mL的1%戊巴比妥鈉以處死小鼠。應用1.6 mL的PBS進行支氣管肺泡灌洗,回收BALF。在心臟的右心室穿刺獲得血液。BALF離心,獲得上清,凍存。細胞顆粒重懸、計數后,在細胞離心機制片,采用劉氏染液染色。顯微鏡下計數至少500個細胞,并區分各類炎癥細胞的比例。血液凝固后離心獲得血清,凍存。采用高效液相方法檢測BALF丙二醛(MDA)水平和血清8-脫氧鳥苷(8-OHdG)水平。
5.組織病理分析:左肺應用4%福爾馬林灌注、固定,石蠟包埋,切片,片厚5 μm,HE染色,評估支氣管周圍的肺部炎癥積分。0:無炎癥反應;1:輕度炎癥反應,支氣管壁、血管壁或肺泡間隔有少量炎癥細胞;2:中度炎癥反應,支氣管壁、血管壁、肺泡間隔有成片炎癥;3:重度炎癥反應,支氣管壁、血管壁、肺泡間隔有廣泛的炎癥。在顯微鏡下,測量平均內襯間隔(Lm),應用目鏡測微尺,計數5條線(長度500 μm)上的肺泡間隔數。Lm(μm)=500/肺泡間隔數。
三 統計學處理
采用SPSS 14.0 統計軟件進行統計分析。計量數據以
結果
一 肺容積和LAA%
單次空氣暴露小鼠、單次臭氧暴露小鼠、多次空氣暴露小鼠之間,在左肺容積、右肺容積、全肺容積方面差異無統計學意義(P>0.05)。多次臭氧暴露小鼠的左肺容積顯著高于單次空氣暴露小鼠、單次臭氧暴露小鼠(P<0.05,P<0.05)。多次臭氧暴露小鼠的右肺容積、全肺容積顯著高于單次空氣暴露小鼠(P<0.01,P<0.01)、單次臭氧暴露小鼠(P<0.01,P<0.01)、多次空氣暴露小鼠(P<0.01,P<0.05)。
單次空氣暴露小鼠、單次臭氧暴露小鼠、多次空氣暴露小鼠之間,在左肺LAA%、右肺LAA%、全肺LAA%方面差異無統計學意義(P>0.05)。多次臭氧暴露小鼠的左肺LAA%、右肺LAA%、全肺LAA%顯著高于單次空氣暴露小鼠(P<0.01,P<0.01,P<0.01)、單次臭氧暴露小鼠(P<0.01,P<0.01,P<0.01)、多次空氣暴露小鼠(P<0.01,P<0.01,P<0.01)。結果見表 1。

二 肺功能
單次空氣暴露小鼠、單次臭氧暴露小鼠、多次空氣暴露小鼠之間,在肺容量(IC、FRC、TLC)、呼出氣流(FEV20/FVC、FEV50/FVC)、順應性方面差異無統計學意義(P>0.05)。多次臭氧暴露小鼠的IC、FRC、TLC、順應性顯著高于單次空氣暴露小鼠(P<0.01,P<0.01,P<0.01,P<0.01)、單次臭氧暴露小鼠(P<0.01,P<0.05,P<0.01,P<0.01),FEV20/FVC、FEV50/FVC低于單次空氣暴露小鼠(P<0.05,P<0.01)、單次臭氧暴露小鼠(P<0.01,P<0.01)。多次臭氧暴露小鼠的IC、TLC、順應性顯著高于多次空氣暴露小鼠(P<0.01,P<0.01,P<0.01),FEV20/FVC、FEV50/FVC低于多次空氣暴露小鼠(P<0.05,P<0.05)。結果見表 2。

三 BALF細胞計數
單次臭氧暴露小鼠BALF中細胞總數、中性粒細胞數和嗜酸粒細胞數顯著高于單次空氣暴露小鼠(P<0.05)。多次臭氧暴露小鼠BALF中細胞總數、中性粒細胞數和嗜酸粒細胞數顯著高于單次空氣暴露小鼠和多次空氣暴露小鼠(P<0.05),與單次臭氧暴露小鼠無顯著差別(P>0.05)。結果見表 3。

四 氧化應激
單次臭氧暴露小鼠BALF中MDA水平、血清8-OHdG水平顯著高于單次空氣暴露小鼠(P<0.05,P<0.01)。多次臭氧暴露小鼠BALF中MDA水平顯著高于單次空氣暴露小鼠和多次空氣暴露小鼠(P<0.05)。多次臭氧暴露小鼠血清8-OHdG水平與多次空氣暴露小鼠差異無統計學意義(P>0.05)。結果見表 4。

五 肺部炎癥積分和Lm
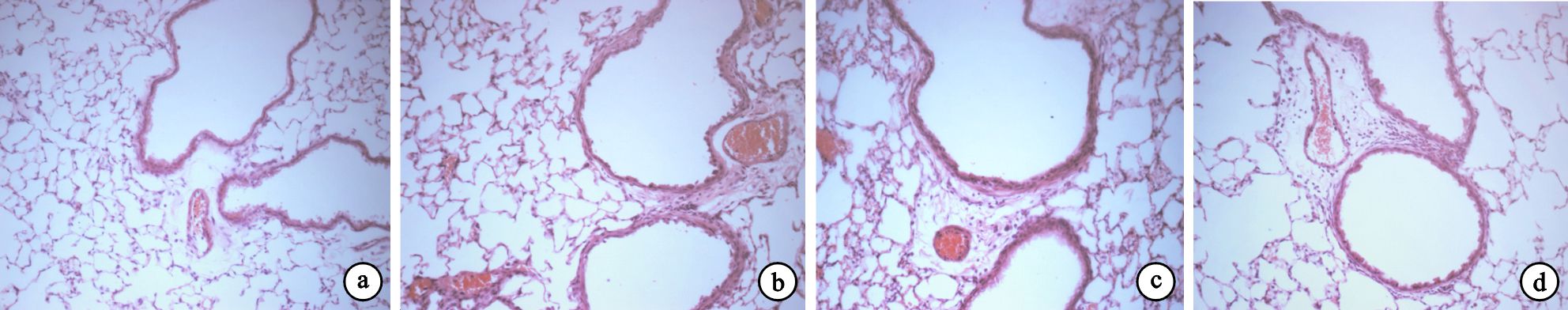
單次臭氧暴露小鼠肺部炎癥積分顯著高于單次空氣暴露小鼠(P<0.01)。多次臭氧暴露小鼠肺部炎癥積分顯著高于單次空氣暴露小鼠(P<0.01)、單次臭氧暴露小鼠(P<0.01)、多次空氣暴露小鼠(P<0.01)。單次臭氧暴露小鼠Lm與單次空氣暴露小鼠無顯著差別(P>0.05)。多次臭氧暴露小鼠Lm顯著高于單次空氣暴露小鼠(P<0.01)、單次臭氧暴露小鼠(P<0.01)、多次空氣暴露小鼠(P<0.01)。結果見表 4、圖 1和圖 2。


討論
隨著工業化、城市化的進程,環境中的臭氧污染日益加劇,成為威脅人類健康的危險因素之一。本研究通過應用Micro-CT、肺功能、肺部病理分析等方法,發現急性臭氧暴露可誘導氣道/肺部炎癥、氧化應激,而慢性臭氧暴露不僅誘導氣道/肺部炎癥,而且誘導肺氣腫、呼出氣流阻塞,類似于慢阻肺。
臭氧是具有高度活性的氧化物,進入呼吸道后,可與氣道上皮黏液層的脂類、蛋白的硫醇基團發生化學反應,可形成醛類、過氧化氫等活性氧化物(ROS)[6]。ROS可激活信號通路如絲裂原活化蛋白激酶(MAPK)、磷酸肌醇3激酶(PI3K),以及轉錄因子如核因子κB(NF-κB)、活化蛋白1(AP-1),產生炎癥介質如白細胞介素1(IL-1)、腫瘤壞死因子α(TNF-α),而促進炎癥細胞浸潤、聚集,從而介導肺部炎癥[7]。在本研究中,急性、慢性臭氧暴露均可誘導氣道/肺部炎癥,表現為BALF中性粒細胞計數、嗜酸粒細胞計數增加,肺部炎癥積分增加,肺組織切片可觀察到支氣管、血管周圍炎性細胞浸潤。中性粒細胞可分泌氧自由基、炎癥因子、炎癥介質和各類蛋白酶,包括彈性蛋白酶、基質金屬蛋白酶等,可促進炎癥形成和肺泡破壞[8]。慢性臭氧暴露可誘導BALF嗜酸粒細胞增加,盡管機制不清,這提示嗜酸粒細胞可能參與啟動臭氧誘導的炎癥反應。與急性臭氧暴露小鼠相比,慢性臭氧暴露未進一步加重氣道炎癥,BALF炎癥細胞總數未增加,但是慢性臭氧暴露加重肺部炎癥積分。其原因可能與BALF炎癥細胞反映臭氧暴露24 h后的短時效應,而肺部炎癥細胞聚集則反映慢性臭氧暴露的累積效應有關。
本研究還證實小鼠受到急性臭氧暴露后產生氧化應激反應,表現為MDA和8-OHdG的水平升高。MDA是脂質過氧化的可靠指標,8-OHdG是氧化應激誘導DNA損傷的生物標記物。然而,慢性臭氧暴露小鼠的MDA、8-OHdG水平無明顯升高。這可能是受到慢性臭氧暴露刺激后,機體產生代償反應,出現抗氧化系統活化以抵消臭氧的氧化效應。在既往的研究中,慢性臭氧暴露可誘導抗氧化酶如超氧化物歧化酶2(SOD2)的mRNA水平升高[9]。
氧化應激不僅誘導肺部炎癥,而且可活化各種蛋白酶或抑制抗蛋白酶,導致蛋白酶/抗蛋白酶失衡,促進基質(如彈性蛋白)分解、上皮凋亡,從而導致肺氣腫[7]。由于肺內空氣與肺組織之間存在天然的對比,Micro-CT是一種對肺部疾病活體動物模型進行無創性分析的理想方法[10]。在本研究中,Micro-CT顯示慢性臭氧暴露小鼠的肺容積增加(肺過度充氣)。進一步將-750~-550 HU作為低密度區域值[11],本研究比較了各組LAA占肺容積的百分比,即LAA%,結果發現慢性臭氧暴露小鼠的全肺LAA%明顯增高,這表明其肺部存在肺氣腫樣改變。評估肺氣腫的常規方法是獲得肺組織標本后,測量肺泡平均內襯[12]。我們發現慢性臭氧暴露小鼠的肺組織切片Lm值增加,顯著大于對照組,表明其肺部出現肺氣腫改變,與Micro-CT的結果相符合,這也表明Micro-CT可作為無創性方法評估動物模型的肺氣腫狀況。
臭氧暴露影響人體的肺功能,吸入0.22~0.42 ppm的臭氧數小時后,受試者FVC、FEV1/FVC降低[5, 13]。我們的研究結果顯示急性臭氧暴露小鼠的肺功能無明顯改變,這與人體研究結果不一致,可能與檢測時間點不同有關。在人體研究中,受試者在臭氧暴露后立即檢測肺功能,而本研究中小鼠在受到臭氧暴露后24 h檢測肺功能。既往研究顯示慢性臭氧暴露可誘導受試者出現小氣道功能障礙[14]。我們進而研究了慢性臭氧暴露對肺功能的影響,結果表明慢性臭氧暴露小鼠的肺容量(包括IC、FRC、TLC)增加,肺彈性回縮力下降(表現為順應性增加),呼出氣流阻塞(表現為FEV25/FVC,FEV50/FVC下降)。因此,本研究證實慢性臭氧暴露不僅介導肺部病理改變(肺氣腫),而且介導肺功能異常(呼出氣流阻塞),這與慢阻肺的特征相符合。因此,慢性臭氧暴露可作為誘導慢阻肺模型的方法之一。
綜上所述,急性臭氧暴露可誘導氣道/肺部炎癥、氧化應激,而慢性臭氧暴露不僅可誘導氣道/肺部炎癥,還可誘導肺氣腫和呼出氣流阻塞。
致謝:本研究中的小動物Micro-CT掃描分析由復旦大學上海市公共衛生臨床中心動物中心秦波音老師完成。
臭氧(O3)是城市和工廠環境中具有高度毒性的空氣污染物之一,由汽車或其他燃料產生的氮氧化物(NOx)和揮發性有機物通過光化學反應而產生。流行病調查研究已表明臭氧暴露與哮喘、慢性阻塞性肺疾病(簡稱慢阻肺)的癥狀加重及住院密切相關[1-2]。臭氧暴露可誘導健康受試者出現氣道高反應性(AHR)和中性粒細胞為主的氣道炎癥[3]。臭氧暴露還可影響健康受試者的肺功能,如降低第1秒用力呼氣容積(FEV1)與用力肺活量(FVC)[4-5]。目前,關于臭氧暴露對小鼠肺部病理、肺功能的研究較少。本研究擬評估急性、慢性臭氧暴露對小鼠的肺部炎癥、肺部結構和肺功能的影響。
對象與方法
一 材料
8~10周SPF級C57/BL6小鼠,體重22~25 g,購自上海西必普凱公司,飼養于本院動物中心的屏障系統。本研究得到上海交通大學附屬第一人民醫院倫理委員會的批準。臭氧制造儀Model 300由德國AB Aqua Medic GmbH公司提供。Explore Locus Micro-CT由加拿大GE healthcare公司提供。肺功能儀(Forced Maneuvers 系統)由美國Buxco公司提供。細胞離心機(Shandon Cytospin)由美國Thermo Fisher公司提供。劉氏染液由珠海貝索生物技術有限公司提供。顯微鏡由日本奧林巴斯公司提供。
二 方法
1.臭氧暴露:C57/BL6小鼠隨機分為單次(急性)臭氧暴露組、單次空氣暴露組、多次(慢性)臭氧暴露組和多次空氣暴露組,每組8只。小鼠置于密閉箱中,暴露于臭氧制造儀生產的臭氧,濃度為2.5 ppm,持續3 h。急性臭氧暴露小鼠接受1次臭氧暴露。慢性臭氧暴露小鼠接受每周2次共6周的臭氧暴露。對照小鼠接受空氣暴露。
2.Micro-CT掃描:臭氧暴露后24 h,小鼠腹腔注射0.2 mL的1%戊巴比妥鈉進行麻醉,置于Explore Locus型Micro-CT掃描床。X-線球管電壓50 kV,電流450 μA,360°旋轉掃描,角度增益0.5°,共有515張圖片,有效像素0.092 mm,曝光時間300 ms/張,層厚92 μm。掃描完成后開始應用重建軟件進行整體結構重建和三維重建,以Microview 2.0+ABA軟件進行分析肺組織密度。低密度區(LAA)定義為-750~-550亨氏單位(HU)。計算LAA占肺容積的百分比(LAA%),LAA%=總LAA容積/總肺容積。
3.肺功能檢測:腹腔注射氯胺酮(100 mg/kg)和甲芐噻嗪(10 mg/kg)的混合麻醉劑以保持小鼠的自主呼吸。小鼠氣管切開,插入氣管導管,置入體積描記箱(buxco research systems,NC,USA),并連接電腦控制的呼吸機,呼吸頻率150次/min。測量吸氣量(IC)、功能殘氣量(FRC)、肺總量(TLC)、用力呼氣量(FVC)、第20 ms、50 ms的用力呼氣量(FEV20,FEV50)、順應性(Cchord)。
4.血清、支氣管肺泡灌洗液(BALF)、氧化應激指標:腹腔注射1 mL的1%戊巴比妥鈉以處死小鼠。應用1.6 mL的PBS進行支氣管肺泡灌洗,回收BALF。在心臟的右心室穿刺獲得血液。BALF離心,獲得上清,凍存。細胞顆粒重懸、計數后,在細胞離心機制片,采用劉氏染液染色。顯微鏡下計數至少500個細胞,并區分各類炎癥細胞的比例。血液凝固后離心獲得血清,凍存。采用高效液相方法檢測BALF丙二醛(MDA)水平和血清8-脫氧鳥苷(8-OHdG)水平。
5.組織病理分析:左肺應用4%福爾馬林灌注、固定,石蠟包埋,切片,片厚5 μm,HE染色,評估支氣管周圍的肺部炎癥積分。0:無炎癥反應;1:輕度炎癥反應,支氣管壁、血管壁或肺泡間隔有少量炎癥細胞;2:中度炎癥反應,支氣管壁、血管壁、肺泡間隔有成片炎癥;3:重度炎癥反應,支氣管壁、血管壁、肺泡間隔有廣泛的炎癥。在顯微鏡下,測量平均內襯間隔(Lm),應用目鏡測微尺,計數5條線(長度500 μm)上的肺泡間隔數。Lm(μm)=500/肺泡間隔數。
三 統計學處理
采用SPSS 14.0 統計軟件進行統計分析。計量數據以
結果
一 肺容積和LAA%
單次空氣暴露小鼠、單次臭氧暴露小鼠、多次空氣暴露小鼠之間,在左肺容積、右肺容積、全肺容積方面差異無統計學意義(P>0.05)。多次臭氧暴露小鼠的左肺容積顯著高于單次空氣暴露小鼠、單次臭氧暴露小鼠(P<0.05,P<0.05)。多次臭氧暴露小鼠的右肺容積、全肺容積顯著高于單次空氣暴露小鼠(P<0.01,P<0.01)、單次臭氧暴露小鼠(P<0.01,P<0.01)、多次空氣暴露小鼠(P<0.01,P<0.05)。
單次空氣暴露小鼠、單次臭氧暴露小鼠、多次空氣暴露小鼠之間,在左肺LAA%、右肺LAA%、全肺LAA%方面差異無統計學意義(P>0.05)。多次臭氧暴露小鼠的左肺LAA%、右肺LAA%、全肺LAA%顯著高于單次空氣暴露小鼠(P<0.01,P<0.01,P<0.01)、單次臭氧暴露小鼠(P<0.01,P<0.01,P<0.01)、多次空氣暴露小鼠(P<0.01,P<0.01,P<0.01)。結果見表 1。

二 肺功能
單次空氣暴露小鼠、單次臭氧暴露小鼠、多次空氣暴露小鼠之間,在肺容量(IC、FRC、TLC)、呼出氣流(FEV20/FVC、FEV50/FVC)、順應性方面差異無統計學意義(P>0.05)。多次臭氧暴露小鼠的IC、FRC、TLC、順應性顯著高于單次空氣暴露小鼠(P<0.01,P<0.01,P<0.01,P<0.01)、單次臭氧暴露小鼠(P<0.01,P<0.05,P<0.01,P<0.01),FEV20/FVC、FEV50/FVC低于單次空氣暴露小鼠(P<0.05,P<0.01)、單次臭氧暴露小鼠(P<0.01,P<0.01)。多次臭氧暴露小鼠的IC、TLC、順應性顯著高于多次空氣暴露小鼠(P<0.01,P<0.01,P<0.01),FEV20/FVC、FEV50/FVC低于多次空氣暴露小鼠(P<0.05,P<0.05)。結果見表 2。

三 BALF細胞計數
單次臭氧暴露小鼠BALF中細胞總數、中性粒細胞數和嗜酸粒細胞數顯著高于單次空氣暴露小鼠(P<0.05)。多次臭氧暴露小鼠BALF中細胞總數、中性粒細胞數和嗜酸粒細胞數顯著高于單次空氣暴露小鼠和多次空氣暴露小鼠(P<0.05),與單次臭氧暴露小鼠無顯著差別(P>0.05)。結果見表 3。

四 氧化應激
單次臭氧暴露小鼠BALF中MDA水平、血清8-OHdG水平顯著高于單次空氣暴露小鼠(P<0.05,P<0.01)。多次臭氧暴露小鼠BALF中MDA水平顯著高于單次空氣暴露小鼠和多次空氣暴露小鼠(P<0.05)。多次臭氧暴露小鼠血清8-OHdG水平與多次空氣暴露小鼠差異無統計學意義(P>0.05)。結果見表 4。

五 肺部炎癥積分和Lm
單次臭氧暴露小鼠肺部炎癥積分顯著高于單次空氣暴露小鼠(P<0.01)。多次臭氧暴露小鼠肺部炎癥積分顯著高于單次空氣暴露小鼠(P<0.01)、單次臭氧暴露小鼠(P<0.01)、多次空氣暴露小鼠(P<0.01)。單次臭氧暴露小鼠Lm與單次空氣暴露小鼠無顯著差別(P>0.05)。多次臭氧暴露小鼠Lm顯著高于單次空氣暴露小鼠(P<0.01)、單次臭氧暴露小鼠(P<0.01)、多次空氣暴露小鼠(P<0.01)。結果見表 4、圖 1和圖 2。


討論
隨著工業化、城市化的進程,環境中的臭氧污染日益加劇,成為威脅人類健康的危險因素之一。本研究通過應用Micro-CT、肺功能、肺部病理分析等方法,發現急性臭氧暴露可誘導氣道/肺部炎癥、氧化應激,而慢性臭氧暴露不僅誘導氣道/肺部炎癥,而且誘導肺氣腫、呼出氣流阻塞,類似于慢阻肺。
臭氧是具有高度活性的氧化物,進入呼吸道后,可與氣道上皮黏液層的脂類、蛋白的硫醇基團發生化學反應,可形成醛類、過氧化氫等活性氧化物(ROS)[6]。ROS可激活信號通路如絲裂原活化蛋白激酶(MAPK)、磷酸肌醇3激酶(PI3K),以及轉錄因子如核因子κB(NF-κB)、活化蛋白1(AP-1),產生炎癥介質如白細胞介素1(IL-1)、腫瘤壞死因子α(TNF-α),而促進炎癥細胞浸潤、聚集,從而介導肺部炎癥[7]。在本研究中,急性、慢性臭氧暴露均可誘導氣道/肺部炎癥,表現為BALF中性粒細胞計數、嗜酸粒細胞計數增加,肺部炎癥積分增加,肺組織切片可觀察到支氣管、血管周圍炎性細胞浸潤。中性粒細胞可分泌氧自由基、炎癥因子、炎癥介質和各類蛋白酶,包括彈性蛋白酶、基質金屬蛋白酶等,可促進炎癥形成和肺泡破壞[8]。慢性臭氧暴露可誘導BALF嗜酸粒細胞增加,盡管機制不清,這提示嗜酸粒細胞可能參與啟動臭氧誘導的炎癥反應。與急性臭氧暴露小鼠相比,慢性臭氧暴露未進一步加重氣道炎癥,BALF炎癥細胞總數未增加,但是慢性臭氧暴露加重肺部炎癥積分。其原因可能與BALF炎癥細胞反映臭氧暴露24 h后的短時效應,而肺部炎癥細胞聚集則反映慢性臭氧暴露的累積效應有關。
本研究還證實小鼠受到急性臭氧暴露后產生氧化應激反應,表現為MDA和8-OHdG的水平升高。MDA是脂質過氧化的可靠指標,8-OHdG是氧化應激誘導DNA損傷的生物標記物。然而,慢性臭氧暴露小鼠的MDA、8-OHdG水平無明顯升高。這可能是受到慢性臭氧暴露刺激后,機體產生代償反應,出現抗氧化系統活化以抵消臭氧的氧化效應。在既往的研究中,慢性臭氧暴露可誘導抗氧化酶如超氧化物歧化酶2(SOD2)的mRNA水平升高[9]。
氧化應激不僅誘導肺部炎癥,而且可活化各種蛋白酶或抑制抗蛋白酶,導致蛋白酶/抗蛋白酶失衡,促進基質(如彈性蛋白)分解、上皮凋亡,從而導致肺氣腫[7]。由于肺內空氣與肺組織之間存在天然的對比,Micro-CT是一種對肺部疾病活體動物模型進行無創性分析的理想方法[10]。在本研究中,Micro-CT顯示慢性臭氧暴露小鼠的肺容積增加(肺過度充氣)。進一步將-750~-550 HU作為低密度區域值[11],本研究比較了各組LAA占肺容積的百分比,即LAA%,結果發現慢性臭氧暴露小鼠的全肺LAA%明顯增高,這表明其肺部存在肺氣腫樣改變。評估肺氣腫的常規方法是獲得肺組織標本后,測量肺泡平均內襯[12]。我們發現慢性臭氧暴露小鼠的肺組織切片Lm值增加,顯著大于對照組,表明其肺部出現肺氣腫改變,與Micro-CT的結果相符合,這也表明Micro-CT可作為無創性方法評估動物模型的肺氣腫狀況。
臭氧暴露影響人體的肺功能,吸入0.22~0.42 ppm的臭氧數小時后,受試者FVC、FEV1/FVC降低[5, 13]。我們的研究結果顯示急性臭氧暴露小鼠的肺功能無明顯改變,這與人體研究結果不一致,可能與檢測時間點不同有關。在人體研究中,受試者在臭氧暴露后立即檢測肺功能,而本研究中小鼠在受到臭氧暴露后24 h檢測肺功能。既往研究顯示慢性臭氧暴露可誘導受試者出現小氣道功能障礙[14]。我們進而研究了慢性臭氧暴露對肺功能的影響,結果表明慢性臭氧暴露小鼠的肺容量(包括IC、FRC、TLC)增加,肺彈性回縮力下降(表現為順應性增加),呼出氣流阻塞(表現為FEV25/FVC,FEV50/FVC下降)。因此,本研究證實慢性臭氧暴露不僅介導肺部病理改變(肺氣腫),而且介導肺功能異常(呼出氣流阻塞),這與慢阻肺的特征相符合。因此,慢性臭氧暴露可作為誘導慢阻肺模型的方法之一。
綜上所述,急性臭氧暴露可誘導氣道/肺部炎癥、氧化應激,而慢性臭氧暴露不僅可誘導氣道/肺部炎癥,還可誘導肺氣腫和呼出氣流阻塞。
致謝:本研究中的小動物Micro-CT掃描分析由復旦大學上海市公共衛生臨床中心動物中心秦波音老師完成。