引用本文: 張志堅, 董瑤瑤, 吳燦, 首云峰, 何有虎, 彭禮波. 百草枯致大鼠肺纖維化肺組織內質網相關凋亡基因Caspase-12的表達. 中國呼吸與危重監護雜志, 2014, 13(3): 268-272. doi: 10.7507/1671-6205.2014064 復制
百草枯屬于高效吡啶類接觸性除草劑,因其除草效果好,價格便宜,在我國農村應用廣泛。百草枯對人畜均有較強毒性,因其缺乏有效治療措施,中毒后死亡率極高,嚴重危害生命健康。由于肺臟為其特異的靶器官,因此肺損傷是百草枯中毒后最突出的臨床表現且進展迅速,后期多不可逆發生肺纖維化,患者多死于嚴重呼吸衰竭 [1-2]。迄今為止百草枯中毒的機制尚未完全明了,因此繼續研究中毒機制,找到治療的靶點是當前亟待解決的難題。
細胞凋亡是百草枯中毒后臟器損傷的重要機制之一,在百草枯中毒后肺、腎、腦及亞細胞器損傷的發生發展中占有重要地位[3-6]。內質網應激介導的細胞凋亡途徑是較重要的細胞凋亡途徑之一,而半胱氨酸天冬氨酸蛋白酶12(Caspase-12)途徑是內質網應激誘導凋亡的重要途徑[7]。本研究通過免疫組化、聚合酶鏈反應檢測百草枯誘導肺纖維化大鼠模型Caspase-12的表達,從而為百草枯中毒的治療提供新方向。
對象與方法
一 材料
1.主要實驗試劑及儀器:20%百草枯溶液由先正達(中國)投資有限公司提供;Caspase-12抗體購自武漢博士德公司;β-actin抗體、總蛋白提取試劑盒、ABC試劑盒、免疫組化染色試劑盒由北京博奧森生物技術有限公司提供;TRLAOL,RT試劑盒購自Invitrogen公司;引物由上海生工生物工程技術服務有限公司提供。PCR儀為德國Eppendorf公司產品;LOGENE PAS900病理圖像分析系統為無錫朗伽生物工程有限公司產品。
2.實驗動物分組及模型制作:30只清潔級雄性Spragne-Dawley(SD)大鼠,體質量(220±40) g,由第三軍醫大學提供。將實驗動物隨機分為正常對照組(14 d對照組和28 d對照組,各5只大鼠),14 d模型組、28 d模型組,每組10只大鼠。模型組參照文獻[8]百草枯灌胃法誘導肺纖維化模型。
二 方法
1.肺組織采集:按預定時間點稱重后處死動物。分離主支氣管并向下剝離后取出全肺,無菌生理鹽水沖洗,濾紙吸干并稱重,計算肺系數(肺濕重/活體重)。取右肺中葉4%中性甲醛溶液固定48 h后轉移至0.1 mol/L PBS溶液中保存,待行肺組織病理學形態及免疫組化檢測。左肺中葉取下后-80 ℃保存,用于逆轉錄聚合酶鏈反應(RT-PCR)Caspase-12。
2.肺組織病理學觀察:按常規病理學方法對肺組織進行固定、包埋、切片。分別進行蘇木精-伊紅(HE)染色和Masson染色后鏡下觀察。按文獻[9]研究標準評價肺泡炎及肺纖維化程度。
3.肺組織Caspase-12蛋白免疫組織化學檢測:多聚甲醛固定24 h(4 ℃)肺組織進行逐級脫水、透明、浸蠟、包埋,切片,隨后按說明書進行免疫組化染色,結果以胞漿出現棕色或棕黃色為陽性,于200倍光鏡下用圖像分析系統測量其吸光度,每張切片隨機檢測5個視野,計算出平均吸光度值(MOD),以MOD作為Caspase-12表達水平的半定量參數。
4.肺組織Caspase-12 mRNA表達檢測:取左肺組織100 mg按試劑盒說明書用Trizol提取總RNA,逆轉錄合成互補脫氧核糖核酸(cDNA),再進行PCR擴增。Caspase-12上游引物為(擴增產物438bpm)5′-CCTGGAAGGAATCTGTGG-3′,下游引物為5′-AGTTCACCTGGGACCTCA-3′;β-actin上游引物為(擴增產物260bpm)5′-GAGACCTTCAACACC CCAGC-3′,下游引物為5′-ATGTCACGCACGATT TCCC-3′。PCR反應條件:94 ℃預變性3 min,94 ℃變性30 s,72 ℃延伸5 min。擴增產物5 μL經1.5%瓊脂糖凝膠電泳,用凝膠圖像分析儀掃描圖像,再進行吸光度分析。
三 統計學處理
所有數據采用SPSS 16.0統計軟件分析,計量資料以
結果
一 動物一般情況與體量變化
模型組在百草枯灌胃后第1 d出現活動減少,精神萎靡不振,攝食差,體質量增加緩慢;對照組大鼠精神、食欲可,活動敏捷,體質量增加明顯。14 d對照組和14 d模型組體重分別為(269.1±4.7) g和(231.8±3.8)g,二者比較差異有統計學意義(P<0.05);28 d對照組和28 d模型組體重分別為(305.7±8.8)g和(241.2±5.4)g,二者比較差異有統計學意義(P<0.01)。
二 肺組織病理學改變
石蠟切片HE、Masson染色光鏡觀察肺泡炎和纖維化程度。對照組肺泡結構清晰,肺泡壁薄,肺泡間隔正常,肺泡腔內無炎性細胞浸潤,可見少許膠原纖維增生。模型組光鏡下見肺間質和肺泡水腫,可見大量炎性細胞浸潤,間質不同程度增生,肺泡腔結構破壞,可見膠原纖維增生,且28 d模型組大鼠膠原纖維增生更明顯,肺泡炎及肺纖維化程度更明顯。結果見圖 1和表 1。



三 Caspase-12 mRNA在肺組織中表達
對照組大鼠肺組織中Caspase-12 mRNA表達最低,14 d模型組較對照組明顯升高(P<0.01),28 d模型組較14 d模型組明顯增高(P<0.01)。結果見圖 3和表 2。

1:對照組;2:14 d模型組;3:28 d模型組


四 肺組織中Caspase-12蛋白表達
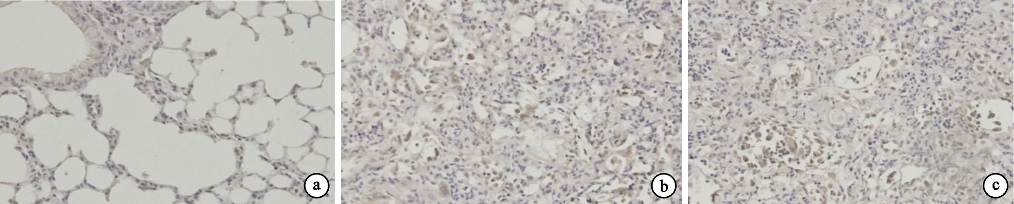
對照組僅有少數細胞胞漿黃染;14 d模型組肺組織細胞中可見大量Caspase-12陽性表達呈棕黃色;28 d模型組陽性表達較14 d模型組明顯增加。結果見圖 4和表 3。

討論
研究表明百草枯進入機體后,即使輕微肺損傷仍能引起較長時間的限制性肺功能損傷,最終多出現不可逆的肺間質纖維化,對存活患者生存質量構成極大的危害[10]。百草枯中毒機制仍然尚不十分明確,而傳統治療百草枯中毒策略中抗氧自由基、拮抗炎癥反應如大劑量糖皮質激素、細胞毒性藥物使用,新的治療措施如持續血液凈化等均沒有令人滿意的效果。故進一步研究百草枯中毒肺損傷的相關機制,尋找治療肺纖維化的靶點仍是目前需要解決的問題。
目前研究認為百草枯進入體內后可通過多途徑、多機制損傷其靶器官肺組織。而百草枯中毒所致的DNA損傷、基因異常表達,最終引起組織細胞凋亡在其中起到相當重要的作用[11]。細胞凋亡由十分復雜的信號通路調控,目前研究較多的如線粒體通路、死亡受體通路和內質網應激介導細胞凋亡通路。內質網作為真核細胞內蛋白質(膜蛋白和分泌蛋白)合成、加工、轉運和鈣離子濃度調節的主要部位,也是多肽鏈正確折疊與裝配、參與脂質代謝和類固醇激素合成的重要場所。研究發現,多種因素可導致內質網穩態破壞。當新合成的蛋白質N末端糖基化、二硫鍵形成及蛋白質由內質網向高爾基體轉運受阻時,非折疊或錯誤折疊的新合成蛋白質在內質網中大量堆積,或者鈣穩態被打破等,都會損傷內質網正常生理功能,這種變化稱為內質網應激(endoplasmic reticulum stresss,ER stresss)[12-13]。內質網應激誘導細胞凋亡有3個主要的途徑,包括CHOP通路(C/EBP homologous protein,C/EBP同源蛋白)、JNK通路(c-Jun氨基末端激酶通路)和Caspase-12通路。其中Caspase-12通路又是內質網應激誘導細胞凋亡的主要途徑之一[14-15]。近年研究也發現內質網應激可能是介導氣道結構細胞發生凋亡的重要途徑,其活化機制包括鈣依賴的calpain活化機制、腫瘤壞死因子受體相關因子2依賴性機制、Caspase-7 ER轉位機制及GRP78、Caspase-7、Caspase-12復合物途徑[16-17]。
本實驗采用百草枯灌胃法復制大鼠肺纖維化模型,利用石蠟切片HE、Masson染色光鏡觀察肺泡炎和纖維化程度。發現模型組光鏡下肺間質和肺泡水腫明顯,可見大量炎性細胞浸潤,間質不同程度增生,肺泡腔結構破壞,可見膠原纖維增生,且28 d模型組大鼠膠原纖維增生更明顯,肺泡炎及肺纖維化程度更明顯,表明模型復制成功。
本研究對大鼠肺組織Caspase-12進行免疫組織化學法觀察其蛋白表達,模型組MOD值與對照組比較明顯增加,且隨著時間的推移MOD值明顯增強。進而又對大鼠Caspase-12 mRNA進行檢測,得出同樣的結論,28 d模型組與14 d模型組比較,差異有顯著差異(P<0.01)。上述結果表明百草枯中毒后由于存在大量活性氧的形成,可活化肺泡上皮細胞中Caspase-12蛋白表達,肺泡上皮細胞發生了內質網應激誘導的細胞凋亡,促進肺纖維化的發生發展。
綜上所述,內質網應激可能在百草枯誘導肺纖維化肺泡細胞凋亡中起重要作用,但我們還不能完全判斷不同肺組織、肺細胞中Caspase-12基因表達情況。如果進一步研究中能明確該機制,則有望探索出一套程序來識別肺間質纖維化治療的靶點,同時可利用激動劑或拮抗劑來干預信號關鍵調控點治療肺纖維化,可能為百草枯中毒肺損傷帶來新的希望。
百草枯屬于高效吡啶類接觸性除草劑,因其除草效果好,價格便宜,在我國農村應用廣泛。百草枯對人畜均有較強毒性,因其缺乏有效治療措施,中毒后死亡率極高,嚴重危害生命健康。由于肺臟為其特異的靶器官,因此肺損傷是百草枯中毒后最突出的臨床表現且進展迅速,后期多不可逆發生肺纖維化,患者多死于嚴重呼吸衰竭 [1-2]。迄今為止百草枯中毒的機制尚未完全明了,因此繼續研究中毒機制,找到治療的靶點是當前亟待解決的難題。
細胞凋亡是百草枯中毒后臟器損傷的重要機制之一,在百草枯中毒后肺、腎、腦及亞細胞器損傷的發生發展中占有重要地位[3-6]。內質網應激介導的細胞凋亡途徑是較重要的細胞凋亡途徑之一,而半胱氨酸天冬氨酸蛋白酶12(Caspase-12)途徑是內質網應激誘導凋亡的重要途徑[7]。本研究通過免疫組化、聚合酶鏈反應檢測百草枯誘導肺纖維化大鼠模型Caspase-12的表達,從而為百草枯中毒的治療提供新方向。
對象與方法
一 材料
1.主要實驗試劑及儀器:20%百草枯溶液由先正達(中國)投資有限公司提供;Caspase-12抗體購自武漢博士德公司;β-actin抗體、總蛋白提取試劑盒、ABC試劑盒、免疫組化染色試劑盒由北京博奧森生物技術有限公司提供;TRLAOL,RT試劑盒購自Invitrogen公司;引物由上海生工生物工程技術服務有限公司提供。PCR儀為德國Eppendorf公司產品;LOGENE PAS900病理圖像分析系統為無錫朗伽生物工程有限公司產品。
2.實驗動物分組及模型制作:30只清潔級雄性Spragne-Dawley(SD)大鼠,體質量(220±40) g,由第三軍醫大學提供。將實驗動物隨機分為正常對照組(14 d對照組和28 d對照組,各5只大鼠),14 d模型組、28 d模型組,每組10只大鼠。模型組參照文獻[8]百草枯灌胃法誘導肺纖維化模型。
二 方法
1.肺組織采集:按預定時間點稱重后處死動物。分離主支氣管并向下剝離后取出全肺,無菌生理鹽水沖洗,濾紙吸干并稱重,計算肺系數(肺濕重/活體重)。取右肺中葉4%中性甲醛溶液固定48 h后轉移至0.1 mol/L PBS溶液中保存,待行肺組織病理學形態及免疫組化檢測。左肺中葉取下后-80 ℃保存,用于逆轉錄聚合酶鏈反應(RT-PCR)Caspase-12。
2.肺組織病理學觀察:按常規病理學方法對肺組織進行固定、包埋、切片。分別進行蘇木精-伊紅(HE)染色和Masson染色后鏡下觀察。按文獻[9]研究標準評價肺泡炎及肺纖維化程度。
3.肺組織Caspase-12蛋白免疫組織化學檢測:多聚甲醛固定24 h(4 ℃)肺組織進行逐級脫水、透明、浸蠟、包埋,切片,隨后按說明書進行免疫組化染色,結果以胞漿出現棕色或棕黃色為陽性,于200倍光鏡下用圖像分析系統測量其吸光度,每張切片隨機檢測5個視野,計算出平均吸光度值(MOD),以MOD作為Caspase-12表達水平的半定量參數。
4.肺組織Caspase-12 mRNA表達檢測:取左肺組織100 mg按試劑盒說明書用Trizol提取總RNA,逆轉錄合成互補脫氧核糖核酸(cDNA),再進行PCR擴增。Caspase-12上游引物為(擴增產物438bpm)5′-CCTGGAAGGAATCTGTGG-3′,下游引物為5′-AGTTCACCTGGGACCTCA-3′;β-actin上游引物為(擴增產物260bpm)5′-GAGACCTTCAACACC CCAGC-3′,下游引物為5′-ATGTCACGCACGATT TCCC-3′。PCR反應條件:94 ℃預變性3 min,94 ℃變性30 s,72 ℃延伸5 min。擴增產物5 μL經1.5%瓊脂糖凝膠電泳,用凝膠圖像分析儀掃描圖像,再進行吸光度分析。
三 統計學處理
所有數據采用SPSS 16.0統計軟件分析,計量資料以
結果
一 動物一般情況與體量變化
模型組在百草枯灌胃后第1 d出現活動減少,精神萎靡不振,攝食差,體質量增加緩慢;對照組大鼠精神、食欲可,活動敏捷,體質量增加明顯。14 d對照組和14 d模型組體重分別為(269.1±4.7) g和(231.8±3.8)g,二者比較差異有統計學意義(P<0.05);28 d對照組和28 d模型組體重分別為(305.7±8.8)g和(241.2±5.4)g,二者比較差異有統計學意義(P<0.01)。
二 肺組織病理學改變
石蠟切片HE、Masson染色光鏡觀察肺泡炎和纖維化程度。對照組肺泡結構清晰,肺泡壁薄,肺泡間隔正常,肺泡腔內無炎性細胞浸潤,可見少許膠原纖維增生。模型組光鏡下見肺間質和肺泡水腫,可見大量炎性細胞浸潤,間質不同程度增生,肺泡腔結構破壞,可見膠原纖維增生,且28 d模型組大鼠膠原纖維增生更明顯,肺泡炎及肺纖維化程度更明顯。結果見圖 1和表 1。



三 Caspase-12 mRNA在肺組織中表達
對照組大鼠肺組織中Caspase-12 mRNA表達最低,14 d模型組較對照組明顯升高(P<0.01),28 d模型組較14 d模型組明顯增高(P<0.01)。結果見圖 3和表 2。

1:對照組;2:14 d模型組;3:28 d模型組


四 肺組織中Caspase-12蛋白表達
對照組僅有少數細胞胞漿黃染;14 d模型組肺組織細胞中可見大量Caspase-12陽性表達呈棕黃色;28 d模型組陽性表達較14 d模型組明顯增加。結果見圖 4和表 3。

討論
研究表明百草枯進入機體后,即使輕微肺損傷仍能引起較長時間的限制性肺功能損傷,最終多出現不可逆的肺間質纖維化,對存活患者生存質量構成極大的危害[10]。百草枯中毒機制仍然尚不十分明確,而傳統治療百草枯中毒策略中抗氧自由基、拮抗炎癥反應如大劑量糖皮質激素、細胞毒性藥物使用,新的治療措施如持續血液凈化等均沒有令人滿意的效果。故進一步研究百草枯中毒肺損傷的相關機制,尋找治療肺纖維化的靶點仍是目前需要解決的問題。
目前研究認為百草枯進入體內后可通過多途徑、多機制損傷其靶器官肺組織。而百草枯中毒所致的DNA損傷、基因異常表達,最終引起組織細胞凋亡在其中起到相當重要的作用[11]。細胞凋亡由十分復雜的信號通路調控,目前研究較多的如線粒體通路、死亡受體通路和內質網應激介導細胞凋亡通路。內質網作為真核細胞內蛋白質(膜蛋白和分泌蛋白)合成、加工、轉運和鈣離子濃度調節的主要部位,也是多肽鏈正確折疊與裝配、參與脂質代謝和類固醇激素合成的重要場所。研究發現,多種因素可導致內質網穩態破壞。當新合成的蛋白質N末端糖基化、二硫鍵形成及蛋白質由內質網向高爾基體轉運受阻時,非折疊或錯誤折疊的新合成蛋白質在內質網中大量堆積,或者鈣穩態被打破等,都會損傷內質網正常生理功能,這種變化稱為內質網應激(endoplasmic reticulum stresss,ER stresss)[12-13]。內質網應激誘導細胞凋亡有3個主要的途徑,包括CHOP通路(C/EBP homologous protein,C/EBP同源蛋白)、JNK通路(c-Jun氨基末端激酶通路)和Caspase-12通路。其中Caspase-12通路又是內質網應激誘導細胞凋亡的主要途徑之一[14-15]。近年研究也發現內質網應激可能是介導氣道結構細胞發生凋亡的重要途徑,其活化機制包括鈣依賴的calpain活化機制、腫瘤壞死因子受體相關因子2依賴性機制、Caspase-7 ER轉位機制及GRP78、Caspase-7、Caspase-12復合物途徑[16-17]。
本實驗采用百草枯灌胃法復制大鼠肺纖維化模型,利用石蠟切片HE、Masson染色光鏡觀察肺泡炎和纖維化程度。發現模型組光鏡下肺間質和肺泡水腫明顯,可見大量炎性細胞浸潤,間質不同程度增生,肺泡腔結構破壞,可見膠原纖維增生,且28 d模型組大鼠膠原纖維增生更明顯,肺泡炎及肺纖維化程度更明顯,表明模型復制成功。
本研究對大鼠肺組織Caspase-12進行免疫組織化學法觀察其蛋白表達,模型組MOD值與對照組比較明顯增加,且隨著時間的推移MOD值明顯增強。進而又對大鼠Caspase-12 mRNA進行檢測,得出同樣的結論,28 d模型組與14 d模型組比較,差異有顯著差異(P<0.01)。上述結果表明百草枯中毒后由于存在大量活性氧的形成,可活化肺泡上皮細胞中Caspase-12蛋白表達,肺泡上皮細胞發生了內質網應激誘導的細胞凋亡,促進肺纖維化的發生發展。
綜上所述,內質網應激可能在百草枯誘導肺纖維化肺泡細胞凋亡中起重要作用,但我們還不能完全判斷不同肺組織、肺細胞中Caspase-12基因表達情況。如果進一步研究中能明確該機制,則有望探索出一套程序來識別肺間質纖維化治療的靶點,同時可利用激動劑或拮抗劑來干預信號關鍵調控點治療肺纖維化,可能為百草枯中毒肺損傷帶來新的希望。