肝段的精準解剖劃分是肝臟外科的基礎,而肝臟S9段的解剖劃分是對肝尾狀葉的進一步精準分區。本文通過回顧性分析總結了南方醫科大學附屬東莞醫院收治的肝臟S9段原發性肝癌、肝復發癌、肝轉移癌、肝局灶性增生共4例代表性病變的精準微創消融及隨訪情況,旨在探索CT引導下肝臟S9段病變的微創消融效果。
引用本文: 張偉標, 黃彥, 王在國, 蔣經柱, 葉振偉, 黃曉紅, 邱浩. 肝臟S9段的應用解剖及精準微創消融. 中國普外基礎與臨床雜志, 2023, 30(8): 905-910. doi: 10.7507/1007-9424.202303042 復制
肝段的精準解剖劃分是肝臟外科的基礎。隨著肝臟解剖研究的不斷發展,在國際上(特別是歐洲國家)通用的Couinaud肝段8段劃分法基礎上,出現了肝臟S9段劃分新概念。肝臟S9段的命名最早由Couinaud教授(1922–2008)于1989年提出,其源于肝尾狀葉,Couinaud把肝尾狀葉分為S1 L和S1 R[1];而在1994年他用S9取代了S1 L,認為肝尾狀葉分為S1和S9段[2],同時他還認為肝S9段可分為b、c、d 3個部分,并于1998年具體描述了肝S9段的b、c、d部分劃分[3]。而2002年Couinaud教授發現肝S9段之間動靜脈及導管分布較為復雜,沒有絕對的界限[4]。盡管肝臟S9段的劃分法還沒有得到學術界的一致公認,但是已逐步引起越來越多國內外學者的重視。為了進一步推動肝臟S9段的認識及臨床應用,筆者所在醫院治療團隊結合自己的臨床實踐并復習相關文獻,就肝臟S9段的應用解剖及精準微創消融技術報道如下。
1 肝臟S9段的解剖劃分
Couinaud認為,S9段和S1段共同組成尾狀葉,是肝臟背面的部分,它位于后部,以半環狀包繞肝后下腔靜脈。其后方是下腔靜脈,下方是門管三聯,上方是肝靜脈匯合部(圖1a)。肝臟S9段和S1段以肝中靜脈為分割線。S1段在肝中靜脈左側,大致與Spieghel葉相當,但要稍微大一些,也有稱之為左背段、左尾狀葉或乳頭突。S9段在肝中靜脈右側,包括腔靜脈旁部和尾狀突。S9段位于S1段的右側和下腔靜脈的右前方,它的各邊界毗鄰分別是:左界是S1段,右界是S7段;上界是肝中靜脈與肝右靜脈入口水平,下界是門靜脈匯合部后面;后界是肝后下腔靜脈,前界是右門根管(right portal redicle)和S8段,以及有時可能還會有S7段(圖1b)。肝臟S9段再細分為S9b、S9c、S9d 3個部分(圖1c)。在最左側部分是S9b,它位于肝中靜脈和肝右靜脈之間,相當于肝臟的尾狀突;S9段的中間部分,即S9c,位于肝右靜脈的下方;靠右側的部分是S9d,位于肝右靜脈的后方[5]。
2 肝臟S9段占位病變的精準微創消融
在精準醫學成為主導醫學模式的今天,微創消融已迅速發展成為肝癌局部治療的主要手段之一,其療效肯定、創傷性小、并發癥發生率低,歐洲肝病學會已將其列為肝癌的主要治療方法之一[6]。既往肝臟S9段消融曾被視為消融“禁區”,但是隨著設備的不斷更新、技術的改進、穿刺和消融經驗的不斷積累,近年陸續有S9段腫瘤相關的微創消融的研究[7-9]。自2013年來,經過筆者所在醫院治療團隊的多年研究,CT引導下微創微波消融也適用于肝臟S9段占位病變的局部治療,尤其在原發性肝癌或肝復發癌、肝轉移癌及部分良性病變方面有獨特的治療優勢。
肝臟S9段病灶的大小、數量、血供、侵襲范圍,以及患者的全身狀態等均影響著微創消融的手術方案。經皮右后入路及右前入路常作為S9段病變的進針路徑,從病變中央穿過并且直達病灶外0.3~0.5 cm肝組織,路徑要盡量避開血管、膽管[7]。如因規避血管無法穿過病灶中央,應根據具體的微波消融儀器參數適當增加功率以及延長消融時間。消融結束拔除消融針前后需行CT掃描觀察并發癥和術中消融情況。
2.1 肝臟S9段原發性肝癌的精準微創消融
盡管肝切除術和肝移植術仍是肝癌患者獲得長期生存的重要手段,但肝臟S9段原發性肝癌的外科處理仍十分具有挑戰性。若S9段肝癌患者合并高齡、其他基礎疾病、嚴重肝硬化等,往往因為肝功能儲備不足而影響手術切除[10]。而肝移植供體的匱乏、移植技術的普及、醫療費用的高昂及術后較高的肝癌復發轉移率,仍然是亟待解決的瓶頸問題。S9段肝癌常發病較隱匿,腫瘤體積也相對較小。研究[11]表明,對于較小的原發性肝癌,雖然微創消融的無瘤生存率和總體生存率略低于手術切除,但并發癥發生率低、住院時間較短,而且尤其適用于中央型肝癌。所以精準微創消融有望代替手術切除成為S9段肝癌的有效治療方法。下面筆者介紹1例復雜的原發性肝癌的治療及隨訪情況(圖2)。

a:肝S8段結節消融治療;b、c:術后20個月,肝S9c段腫瘤復發(b,黑箭)、肝S8段腫瘤復發(c,黑箭);d:肝S9c段復發癌術中消融;e:肝S9c段腫瘤消融術后,鄰近大血管走行完整(e,黑箭),提示局部血管無損傷;f:肝S4段復發癌的消融治療
患者63歲,男,乙肝肝硬化失代償期1年,3個月前病情加重,總膽紅素高達470 μmol/L,并出現嗜睡、語言錯亂、睡眠倒置等肝昏迷前期表現。給予人工肝治療3次及常規抗病毒、護肝治療,病情好轉,總膽紅素下降到160 μmol/L,超聲檢查發現肝臟占位并于2017年10月6日轉入南方醫科大學附屬東莞醫院(后文簡稱我院)。功能分級屬于Child C級,評分11分。入院后繼續給予對癥處理,2周后復查肝功能好轉,AST 68.6 U/L,ALB 37.1 g/L,TBIL 59.1 μmol/L,血氨78.7 μmol/L。入院后14 d行上腹部CT平掃加增強檢查提示:肝S8段24 mm×22 mm肝癌。患者因為經濟問題拒絕考慮肝移植,遂于入院后24 d在全身麻醉及CT引導下行S8段肝癌微創微波消融術(圖2a),手術及術后恢復順利。術后20個月復查時發現AFP升高至860.20 ng/mL,上腹部MRI平掃加增強檢查顯示:① 原肝S8段腫瘤消融術后未見異常強化灶;② S8段近膈頂區15 mm×14 mm小肝癌(圖2c);③ S9c段10 mm×9 mm肝癌(圖2b)。隨后再次在全身麻醉及CT引導下行S9c及S8段兩個部位腫瘤消融術,術后2周患者康復出院。第2次消融術后43.5個月隨訪發現S4段復發,并于半個月后在全身麻醉及CT引導下予以經皮經肝穿刺微波消融處理(圖2f)。首次消融術后隨訪至2023年3月,S8、S9、S4段區域病灶完全消融,患者總生存期64個月,目前生活質量很好,繼續隨訪中。
本例患者初診時處于乙肝肝硬化失代償、肝昏迷前期,檢查發現早期小肝癌,肝臟移植是理論上的最佳選擇,患者及家屬因經濟問題無法接受此方案。經過護肝治療,肝功能從Child C級改善為B級,實施了肝癌的微創微波消融,取得較好效果,再次證明微創消融的安全性和有效性。后來多次復發,并同樣行微創消融獲得成功,目前總生存期已經達到64個月,而且生活質量很好。
患者第1次復發時病變位于S9c段,治療的難度、風險、壓力更大。精準微創團隊的穩定、治療方案的選擇正確及穿刺消融技術成熟,保證了手術的順利實施。本次手術的難點和關鍵點在于選擇消融針入路,右前入路由于與肝中靜脈平行,能最大限度避免肝中靜脈及下腔靜脈的損傷,術中CT多次掃描,以及消融結束后立即再次CT掃描,能確保消融針進針、退針過程不傷及周圍重要結構(圖2d、2e)。
2.2 肝臟S9段肝復發癌的精準微創消融
患者71歲,女,因右上腹痛檢查發現肝左外葉S3段53 mm×44 mm (圖3a)及S9c段22 mm×18 mm(圖3b)占位,于2019年12月20日入我院,術前診斷為肝癌。入院后5 d在全身麻醉下行腹腔鏡左外葉肝癌根治性切除,術后病理診斷為肝細胞癌。術后19 d在全身麻醉及CT引導下行S9c段肝癌微波消融術(圖3c)。術后32個月行MRI復查見S9c段消融區腫瘤復發(圖3d),因經濟問題患者不愿意接受肝移植、肝血管介入、立體適型放療及靶免治療,堅決要求再次消融處理,遂于首次消融后32個月在全身麻醉及CT引導下行S9c段肝復發癌微波消融術。復發癌消融時,掃描發現原消融術區左下部約15 mm×14 mm大的低密度結節,緊鄰門靜脈右后支,消融針以右后入路平行于門靜脈右支進入,并穿透上述低密度區;按消融規劃對復發灶及其擴大左側緣、下緣消融以增大安全邊界(圖3e)。二次消融術后隨訪3個月未見腫瘤復發及相鄰血管損傷(圖3f),總生存期為38個月。目前患者維持靶免治療中,生活質量很好。

a、b:肝S3、S9c段強化灶,考慮肝癌;c:肝S3段腫瘤切除術后2周,肝S9c段微創消融術;d:術后32個月S9c段肝癌原位復發;e:S9c段復發癌消融術中,擴大左側、下緣消融邊界;f:再次消融治療后3個月CT復查,S9c段腫瘤消融完全
本病例初次就診時肝內存在兩個病變,若采用同時性手術切除S3、S9段兩個病變,技術層面來講是可行的,但需要同時性做S3、S5、S6、S9段聯合切除,這無疑會增加手術的時間、難度、術后肝功能衰竭等風險。選擇腹腔鏡下根治性切除S3段肝癌,再同期實施CT引導下S9段肝癌微創微波消融,可使本案例患者更完全、更快速康復。首次微波消融術后隨訪32個月肝S9c段腫瘤原位復發,再次完全消融腫瘤并擴大安全邊界,證實原位復發的肝癌可以通過微創消融等局部治療方式作補救。微創消融治療肝癌并不需要作為獨立的一種治療方案,多肝葉、肝段累及的肝癌可嘗試采用微創消融與外科切除聯合,可在較大程度上降低手術風險及創傷。
2.3 肝臟S9段轉移癌的精準微創消融
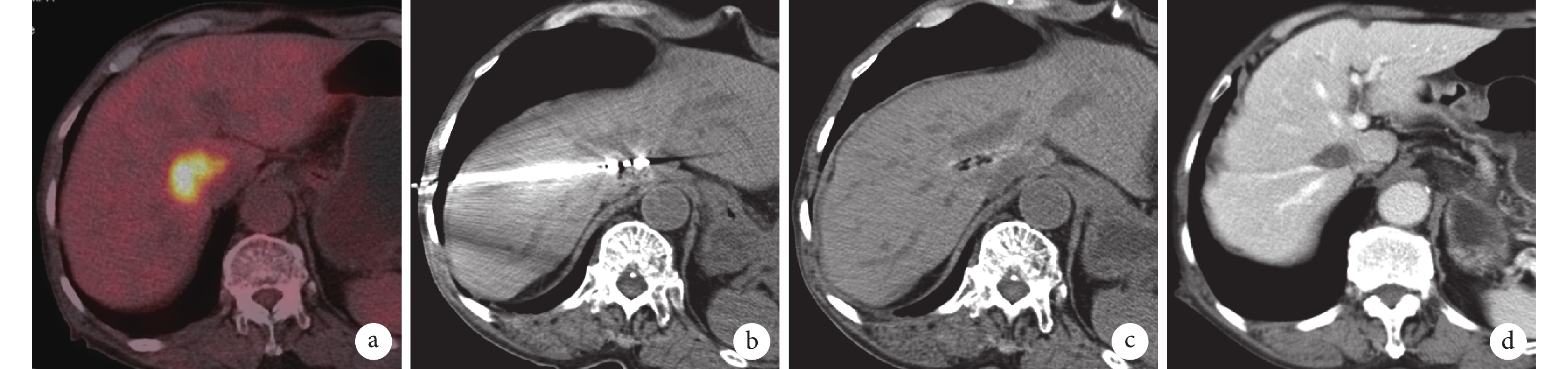
患者86歲,男,2018年7月20日因“院外診斷乙狀結腸癌伴孤立性肝轉移”入我院,外院PET/CT檢查結果見圖4a。入院后 5 d行腹腔鏡乙狀結腸癌切除術(術后病理診斷為中分化腺癌、腸周淋巴結轉移),術后15 d在全身麻醉下行CT引導下經皮穿刺肝S9段轉移癌微波消融術,術中見肝S9c及S9d段交界區約4.0 cm×2.9 cm大的混雜低密度灶,選擇右后入路使消融針沿腫瘤最長徑線平行,并穿透腫瘤最大徑線(圖4b),消融結束后CT掃描見腫瘤縮小并完全消融(圖4c)。消融術后50個月因腦梗死住院治療,目前處于腦梗死治療恢復期。消融術后55個月全身復查,CT檢查提示無肝臟腫瘤復發(圖4d)及全身轉移,目前總生存期已經超過56個月,患者已經91歲,繼續隨訪。

a:PET/CT檢查示肝S9d、S9c段交界區高代謝灶,考慮肝轉移癌;b:肝S9段轉移癌消融術中,消融針穿透病灶最長徑線;c:消融結束,轉移癌消失,術區未見殘留;d:術后55個月復查,肝臟術區無復發
本例患者初診時乙狀結腸癌同時性肝臟S9d段寡轉移,屬于晚期。患者全身情況尚好,家屬不愿意放棄,在MDT診療模式下討論決定治療方案[12]:相對微創的腹腔鏡下乙狀結腸癌切除、分期處理肝臟S9段寡轉移病變。患者腸癌術后恢復順利,但年齡高達86歲,不適合化療,肝臟病變切除難度及風險更大,所以筆者團隊嘗試了CT引導下的肝臟S9d段轉移癌精準微創消融術,手術及術后恢復順利,近期療效評價完全消融,在未做其他任何綜合治療的情況下,暫未見局部復發及遠處轉移。
2.4 肝臟S9段良性腫瘤的精準微創消融
常見肝臟的良性腫瘤有肝細胞腺瘤、膽管腺瘤、肝海綿狀血管瘤、血管平滑肌脂肪瘤、局灶性結節性增生、畸胎瘤等。多數良性腫瘤無需治療,但部分具備惡變傾向、有明顯癥狀、直徑較大或者增長迅速、或者不能除外惡性可能者,應外科干預[13-14]。目前肝臟S9段良性腫瘤以局部病灶切除或者荷瘤肝葉肝段切除為主,手術效果確切,但存在創傷大、并發癥多等不足[15],微創消融治療肝臟S9段良性腫瘤能否克服上述缺點目前尚沒有共識。筆者以1例肝臟S9段局灶性增生微創消融術為例介紹相關治療體會。
患者男,40歲,體檢發現肝臟S9段腫瘤,并逐漸增大1個月余,實驗室檢查、MR增強掃描(2021年9月28日,見圖5a)及三維可視化評估(圖5b)均考慮為良性病變,局灶性結節增生可能,但病灶明顯擠壓相鄰血管及膽管,且患者要求明確病理診斷,懼怕手術的創傷和風險。經過溝通及MDT討論,行肝臟S9段腫瘤活檢及微創消融術(圖5c和5d)。術后病理學檢查證實為肝局灶性增生(圖5e),術后1個月CT復查提示病灶完全緩解,相鄰血管未見損傷(圖5f)。術后隨訪17個月,病變無復發,肝功能正常,生活質量好,繼續隨訪。

a:MR增強掃描圖像示肝臟S9段團塊狀異常強化信號,大小約56 mm×40 mm×49 mm;b:三維可視化圖像提示腫瘤邊界較完整,上下徑較長,被相鄰門靜脈、肝靜脈包圍,緊鄰下腔靜脈;c:術前規劃腫瘤消融分上、下兩部分(綠色球體);d:消融針貫穿腫瘤中部,針尖位于腫瘤末端;e:病灶的活檢病理切片見纖維組織增生伴少許炎細胞浸潤,符合肝良性病變(局灶結節性增生,HE ×100);f:消融術后1個月CT復查見消融術區呈團塊狀低密度灶,邊緣無強化,提示病灶完全消融
肝臟S9段良性腫瘤與惡性腫瘤的處理方式有較大區別,部分良性腫瘤通過毀損病灶血運、縮小體積,即可達到較好的治療效果,無需考慮腫瘤的安全邊界,即盡可能保護腫瘤周圍的正常組織,如減少周圍血管、膽管損傷。因而局部微創消融或許是肝臟大部分良性腫瘤的首選手段,而且對首次治療不滿意的良性腫瘤,局部消融可重復實施。本病例腫瘤相對較大,通過術前的三維可視化規劃將腫瘤消融區域劃分為上下兩部分(圖5c),并在術中定位重建確認位置(圖5d),達到保護周圍血管及膽管的目的。
3 小結
雖然肝臟S9段的命名仍然存在著某些問題與爭議,但相對傳統層面[16]的Couinaud 8段法,S9的分段更能體現外科層面及學術層面的需求。近年來隨著Lannec膜、門靜脈流域分段等相關肝臟解剖研究的深入,包括肝臟S9段的肝中央型腫瘤不再是肝臟手術的“禁區”,肝臟S9段腫瘤的外科切除技術發展迅速,黃潔等[17]、徐慶祥等[18]報道了多徑路聯合使用、腹腔鏡下尾狀葉切除等技術,這些技術得到大力發展,治療效果確切,但面臨創傷較大、犧牲部分正常肝段組織等問題,風險相對較高。而且對于此部位的惡性腫瘤,較難實現根治性外科切除。局部消融作為肝臟S9段腫瘤治療的新方法,具有精準微創、安全有效、并發癥發生率低、局部復發率低等優點;根據筆者團隊2020年發表的1項研究[7],41例肝臟S9段原發性肝癌患者,局部病灶消融完全緩解率達97.6%,術后局部復發率僅9.8%,5年累積生存率為45.2%,其治療效果與外科切除相似。筆者認為,微波消融是一種操作簡單、安全高效、適應證更寬泛的微創治療新方法,值得進一步研究和推廣。
重要聲明
利益沖突聲明:本文全體作者閱讀并理解了《中國普外基礎與臨床雜志》的政策聲明,我們沒有相互競爭的利益。
作者貢獻聲明:張偉標,實施研究、采集和分析數據、起草文章;黃彥,實施研究、采集和分析數據;王在國,設計方案、技術支持及指導、審閱文章內容;蔣經柱和葉振偉,實施研究、采集數據;黃曉紅,技術支持;邱浩,采集數據。
倫理聲明:本研究已通過東莞市人民醫院醫學倫理委員會的審核批準(批文編號:KYKT2023-021)。
肝段的精準解剖劃分是肝臟外科的基礎。隨著肝臟解剖研究的不斷發展,在國際上(特別是歐洲國家)通用的Couinaud肝段8段劃分法基礎上,出現了肝臟S9段劃分新概念。肝臟S9段的命名最早由Couinaud教授(1922–2008)于1989年提出,其源于肝尾狀葉,Couinaud把肝尾狀葉分為S1 L和S1 R[1];而在1994年他用S9取代了S1 L,認為肝尾狀葉分為S1和S9段[2],同時他還認為肝S9段可分為b、c、d 3個部分,并于1998年具體描述了肝S9段的b、c、d部分劃分[3]。而2002年Couinaud教授發現肝S9段之間動靜脈及導管分布較為復雜,沒有絕對的界限[4]。盡管肝臟S9段的劃分法還沒有得到學術界的一致公認,但是已逐步引起越來越多國內外學者的重視。為了進一步推動肝臟S9段的認識及臨床應用,筆者所在醫院治療團隊結合自己的臨床實踐并復習相關文獻,就肝臟S9段的應用解剖及精準微創消融技術報道如下。
1 肝臟S9段的解剖劃分
Couinaud認為,S9段和S1段共同組成尾狀葉,是肝臟背面的部分,它位于后部,以半環狀包繞肝后下腔靜脈。其后方是下腔靜脈,下方是門管三聯,上方是肝靜脈匯合部(圖1a)。肝臟S9段和S1段以肝中靜脈為分割線。S1段在肝中靜脈左側,大致與Spieghel葉相當,但要稍微大一些,也有稱之為左背段、左尾狀葉或乳頭突。S9段在肝中靜脈右側,包括腔靜脈旁部和尾狀突。S9段位于S1段的右側和下腔靜脈的右前方,它的各邊界毗鄰分別是:左界是S1段,右界是S7段;上界是肝中靜脈與肝右靜脈入口水平,下界是門靜脈匯合部后面;后界是肝后下腔靜脈,前界是右門根管(right portal redicle)和S8段,以及有時可能還會有S7段(圖1b)。肝臟S9段再細分為S9b、S9c、S9d 3個部分(圖1c)。在最左側部分是S9b,它位于肝中靜脈和肝右靜脈之間,相當于肝臟的尾狀突;S9段的中間部分,即S9c,位于肝右靜脈的下方;靠右側的部分是S9d,位于肝右靜脈的后方[5]。
2 肝臟S9段占位病變的精準微創消融
在精準醫學成為主導醫學模式的今天,微創消融已迅速發展成為肝癌局部治療的主要手段之一,其療效肯定、創傷性小、并發癥發生率低,歐洲肝病學會已將其列為肝癌的主要治療方法之一[6]。既往肝臟S9段消融曾被視為消融“禁區”,但是隨著設備的不斷更新、技術的改進、穿刺和消融經驗的不斷積累,近年陸續有S9段腫瘤相關的微創消融的研究[7-9]。自2013年來,經過筆者所在醫院治療團隊的多年研究,CT引導下微創微波消融也適用于肝臟S9段占位病變的局部治療,尤其在原發性肝癌或肝復發癌、肝轉移癌及部分良性病變方面有獨特的治療優勢。
肝臟S9段病灶的大小、數量、血供、侵襲范圍,以及患者的全身狀態等均影響著微創消融的手術方案。經皮右后入路及右前入路常作為S9段病變的進針路徑,從病變中央穿過并且直達病灶外0.3~0.5 cm肝組織,路徑要盡量避開血管、膽管[7]。如因規避血管無法穿過病灶中央,應根據具體的微波消融儀器參數適當增加功率以及延長消融時間。消融結束拔除消融針前后需行CT掃描觀察并發癥和術中消融情況。
2.1 肝臟S9段原發性肝癌的精準微創消融
盡管肝切除術和肝移植術仍是肝癌患者獲得長期生存的重要手段,但肝臟S9段原發性肝癌的外科處理仍十分具有挑戰性。若S9段肝癌患者合并高齡、其他基礎疾病、嚴重肝硬化等,往往因為肝功能儲備不足而影響手術切除[10]。而肝移植供體的匱乏、移植技術的普及、醫療費用的高昂及術后較高的肝癌復發轉移率,仍然是亟待解決的瓶頸問題。S9段肝癌常發病較隱匿,腫瘤體積也相對較小。研究[11]表明,對于較小的原發性肝癌,雖然微創消融的無瘤生存率和總體生存率略低于手術切除,但并發癥發生率低、住院時間較短,而且尤其適用于中央型肝癌。所以精準微創消融有望代替手術切除成為S9段肝癌的有效治療方法。下面筆者介紹1例復雜的原發性肝癌的治療及隨訪情況(圖2)。

a:肝S8段結節消融治療;b、c:術后20個月,肝S9c段腫瘤復發(b,黑箭)、肝S8段腫瘤復發(c,黑箭);d:肝S9c段復發癌術中消融;e:肝S9c段腫瘤消融術后,鄰近大血管走行完整(e,黑箭),提示局部血管無損傷;f:肝S4段復發癌的消融治療
患者63歲,男,乙肝肝硬化失代償期1年,3個月前病情加重,總膽紅素高達470 μmol/L,并出現嗜睡、語言錯亂、睡眠倒置等肝昏迷前期表現。給予人工肝治療3次及常規抗病毒、護肝治療,病情好轉,總膽紅素下降到160 μmol/L,超聲檢查發現肝臟占位并于2017年10月6日轉入南方醫科大學附屬東莞醫院(后文簡稱我院)。功能分級屬于Child C級,評分11分。入院后繼續給予對癥處理,2周后復查肝功能好轉,AST 68.6 U/L,ALB 37.1 g/L,TBIL 59.1 μmol/L,血氨78.7 μmol/L。入院后14 d行上腹部CT平掃加增強檢查提示:肝S8段24 mm×22 mm肝癌。患者因為經濟問題拒絕考慮肝移植,遂于入院后24 d在全身麻醉及CT引導下行S8段肝癌微創微波消融術(圖2a),手術及術后恢復順利。術后20個月復查時發現AFP升高至860.20 ng/mL,上腹部MRI平掃加增強檢查顯示:① 原肝S8段腫瘤消融術后未見異常強化灶;② S8段近膈頂區15 mm×14 mm小肝癌(圖2c);③ S9c段10 mm×9 mm肝癌(圖2b)。隨后再次在全身麻醉及CT引導下行S9c及S8段兩個部位腫瘤消融術,術后2周患者康復出院。第2次消融術后43.5個月隨訪發現S4段復發,并于半個月后在全身麻醉及CT引導下予以經皮經肝穿刺微波消融處理(圖2f)。首次消融術后隨訪至2023年3月,S8、S9、S4段區域病灶完全消融,患者總生存期64個月,目前生活質量很好,繼續隨訪中。
本例患者初診時處于乙肝肝硬化失代償、肝昏迷前期,檢查發現早期小肝癌,肝臟移植是理論上的最佳選擇,患者及家屬因經濟問題無法接受此方案。經過護肝治療,肝功能從Child C級改善為B級,實施了肝癌的微創微波消融,取得較好效果,再次證明微創消融的安全性和有效性。后來多次復發,并同樣行微創消融獲得成功,目前總生存期已經達到64個月,而且生活質量很好。
患者第1次復發時病變位于S9c段,治療的難度、風險、壓力更大。精準微創團隊的穩定、治療方案的選擇正確及穿刺消融技術成熟,保證了手術的順利實施。本次手術的難點和關鍵點在于選擇消融針入路,右前入路由于與肝中靜脈平行,能最大限度避免肝中靜脈及下腔靜脈的損傷,術中CT多次掃描,以及消融結束后立即再次CT掃描,能確保消融針進針、退針過程不傷及周圍重要結構(圖2d、2e)。
2.2 肝臟S9段肝復發癌的精準微創消融
患者71歲,女,因右上腹痛檢查發現肝左外葉S3段53 mm×44 mm (圖3a)及S9c段22 mm×18 mm(圖3b)占位,于2019年12月20日入我院,術前診斷為肝癌。入院后5 d在全身麻醉下行腹腔鏡左外葉肝癌根治性切除,術后病理診斷為肝細胞癌。術后19 d在全身麻醉及CT引導下行S9c段肝癌微波消融術(圖3c)。術后32個月行MRI復查見S9c段消融區腫瘤復發(圖3d),因經濟問題患者不愿意接受肝移植、肝血管介入、立體適型放療及靶免治療,堅決要求再次消融處理,遂于首次消融后32個月在全身麻醉及CT引導下行S9c段肝復發癌微波消融術。復發癌消融時,掃描發現原消融術區左下部約15 mm×14 mm大的低密度結節,緊鄰門靜脈右后支,消融針以右后入路平行于門靜脈右支進入,并穿透上述低密度區;按消融規劃對復發灶及其擴大左側緣、下緣消融以增大安全邊界(圖3e)。二次消融術后隨訪3個月未見腫瘤復發及相鄰血管損傷(圖3f),總生存期為38個月。目前患者維持靶免治療中,生活質量很好。

a、b:肝S3、S9c段強化灶,考慮肝癌;c:肝S3段腫瘤切除術后2周,肝S9c段微創消融術;d:術后32個月S9c段肝癌原位復發;e:S9c段復發癌消融術中,擴大左側、下緣消融邊界;f:再次消融治療后3個月CT復查,S9c段腫瘤消融完全
本病例初次就診時肝內存在兩個病變,若采用同時性手術切除S3、S9段兩個病變,技術層面來講是可行的,但需要同時性做S3、S5、S6、S9段聯合切除,這無疑會增加手術的時間、難度、術后肝功能衰竭等風險。選擇腹腔鏡下根治性切除S3段肝癌,再同期實施CT引導下S9段肝癌微創微波消融,可使本案例患者更完全、更快速康復。首次微波消融術后隨訪32個月肝S9c段腫瘤原位復發,再次完全消融腫瘤并擴大安全邊界,證實原位復發的肝癌可以通過微創消融等局部治療方式作補救。微創消融治療肝癌并不需要作為獨立的一種治療方案,多肝葉、肝段累及的肝癌可嘗試采用微創消融與外科切除聯合,可在較大程度上降低手術風險及創傷。
2.3 肝臟S9段轉移癌的精準微創消融
患者86歲,男,2018年7月20日因“院外診斷乙狀結腸癌伴孤立性肝轉移”入我院,外院PET/CT檢查結果見圖4a。入院后 5 d行腹腔鏡乙狀結腸癌切除術(術后病理診斷為中分化腺癌、腸周淋巴結轉移),術后15 d在全身麻醉下行CT引導下經皮穿刺肝S9段轉移癌微波消融術,術中見肝S9c及S9d段交界區約4.0 cm×2.9 cm大的混雜低密度灶,選擇右后入路使消融針沿腫瘤最長徑線平行,并穿透腫瘤最大徑線(圖4b),消融結束后CT掃描見腫瘤縮小并完全消融(圖4c)。消融術后50個月因腦梗死住院治療,目前處于腦梗死治療恢復期。消融術后55個月全身復查,CT檢查提示無肝臟腫瘤復發(圖4d)及全身轉移,目前總生存期已經超過56個月,患者已經91歲,繼續隨訪。

a:PET/CT檢查示肝S9d、S9c段交界區高代謝灶,考慮肝轉移癌;b:肝S9段轉移癌消融術中,消融針穿透病灶最長徑線;c:消融結束,轉移癌消失,術區未見殘留;d:術后55個月復查,肝臟術區無復發
本例患者初診時乙狀結腸癌同時性肝臟S9d段寡轉移,屬于晚期。患者全身情況尚好,家屬不愿意放棄,在MDT診療模式下討論決定治療方案[12]:相對微創的腹腔鏡下乙狀結腸癌切除、分期處理肝臟S9段寡轉移病變。患者腸癌術后恢復順利,但年齡高達86歲,不適合化療,肝臟病變切除難度及風險更大,所以筆者團隊嘗試了CT引導下的肝臟S9d段轉移癌精準微創消融術,手術及術后恢復順利,近期療效評價完全消融,在未做其他任何綜合治療的情況下,暫未見局部復發及遠處轉移。
2.4 肝臟S9段良性腫瘤的精準微創消融
常見肝臟的良性腫瘤有肝細胞腺瘤、膽管腺瘤、肝海綿狀血管瘤、血管平滑肌脂肪瘤、局灶性結節性增生、畸胎瘤等。多數良性腫瘤無需治療,但部分具備惡變傾向、有明顯癥狀、直徑較大或者增長迅速、或者不能除外惡性可能者,應外科干預[13-14]。目前肝臟S9段良性腫瘤以局部病灶切除或者荷瘤肝葉肝段切除為主,手術效果確切,但存在創傷大、并發癥多等不足[15],微創消融治療肝臟S9段良性腫瘤能否克服上述缺點目前尚沒有共識。筆者以1例肝臟S9段局灶性增生微創消融術為例介紹相關治療體會。
患者男,40歲,體檢發現肝臟S9段腫瘤,并逐漸增大1個月余,實驗室檢查、MR增強掃描(2021年9月28日,見圖5a)及三維可視化評估(圖5b)均考慮為良性病變,局灶性結節增生可能,但病灶明顯擠壓相鄰血管及膽管,且患者要求明確病理診斷,懼怕手術的創傷和風險。經過溝通及MDT討論,行肝臟S9段腫瘤活檢及微創消融術(圖5c和5d)。術后病理學檢查證實為肝局灶性增生(圖5e),術后1個月CT復查提示病灶完全緩解,相鄰血管未見損傷(圖5f)。術后隨訪17個月,病變無復發,肝功能正常,生活質量好,繼續隨訪。

a:MR增強掃描圖像示肝臟S9段團塊狀異常強化信號,大小約56 mm×40 mm×49 mm;b:三維可視化圖像提示腫瘤邊界較完整,上下徑較長,被相鄰門靜脈、肝靜脈包圍,緊鄰下腔靜脈;c:術前規劃腫瘤消融分上、下兩部分(綠色球體);d:消融針貫穿腫瘤中部,針尖位于腫瘤末端;e:病灶的活檢病理切片見纖維組織增生伴少許炎細胞浸潤,符合肝良性病變(局灶結節性增生,HE ×100);f:消融術后1個月CT復查見消融術區呈團塊狀低密度灶,邊緣無強化,提示病灶完全消融
肝臟S9段良性腫瘤與惡性腫瘤的處理方式有較大區別,部分良性腫瘤通過毀損病灶血運、縮小體積,即可達到較好的治療效果,無需考慮腫瘤的安全邊界,即盡可能保護腫瘤周圍的正常組織,如減少周圍血管、膽管損傷。因而局部微創消融或許是肝臟大部分良性腫瘤的首選手段,而且對首次治療不滿意的良性腫瘤,局部消融可重復實施。本病例腫瘤相對較大,通過術前的三維可視化規劃將腫瘤消融區域劃分為上下兩部分(圖5c),并在術中定位重建確認位置(圖5d),達到保護周圍血管及膽管的目的。
3 小結
雖然肝臟S9段的命名仍然存在著某些問題與爭議,但相對傳統層面[16]的Couinaud 8段法,S9的分段更能體現外科層面及學術層面的需求。近年來隨著Lannec膜、門靜脈流域分段等相關肝臟解剖研究的深入,包括肝臟S9段的肝中央型腫瘤不再是肝臟手術的“禁區”,肝臟S9段腫瘤的外科切除技術發展迅速,黃潔等[17]、徐慶祥等[18]報道了多徑路聯合使用、腹腔鏡下尾狀葉切除等技術,這些技術得到大力發展,治療效果確切,但面臨創傷較大、犧牲部分正常肝段組織等問題,風險相對較高。而且對于此部位的惡性腫瘤,較難實現根治性外科切除。局部消融作為肝臟S9段腫瘤治療的新方法,具有精準微創、安全有效、并發癥發生率低、局部復發率低等優點;根據筆者團隊2020年發表的1項研究[7],41例肝臟S9段原發性肝癌患者,局部病灶消融完全緩解率達97.6%,術后局部復發率僅9.8%,5年累積生存率為45.2%,其治療效果與外科切除相似。筆者認為,微波消融是一種操作簡單、安全高效、適應證更寬泛的微創治療新方法,值得進一步研究和推廣。
重要聲明
利益沖突聲明:本文全體作者閱讀并理解了《中國普外基礎與臨床雜志》的政策聲明,我們沒有相互競爭的利益。
作者貢獻聲明:張偉標,實施研究、采集和分析數據、起草文章;黃彥,實施研究、采集和分析數據;王在國,設計方案、技術支持及指導、審閱文章內容;蔣經柱和葉振偉,實施研究、采集數據;黃曉紅,技術支持;邱浩,采集數據。
倫理聲明:本研究已通過東莞市人民醫院醫學倫理委員會的審核批準(批文編號:KYKT2023-021)。