引用本文: 魏浩旗, 劉海鵬, 陳曉. 雙原發性胃癌和腎癌并對側腎輸尿管結石1例報道. 中國普外基礎與臨床雜志, 2022, 29(3): 374-375. doi: 10.7507/1007-9424.202108004 復制
1 病例資料
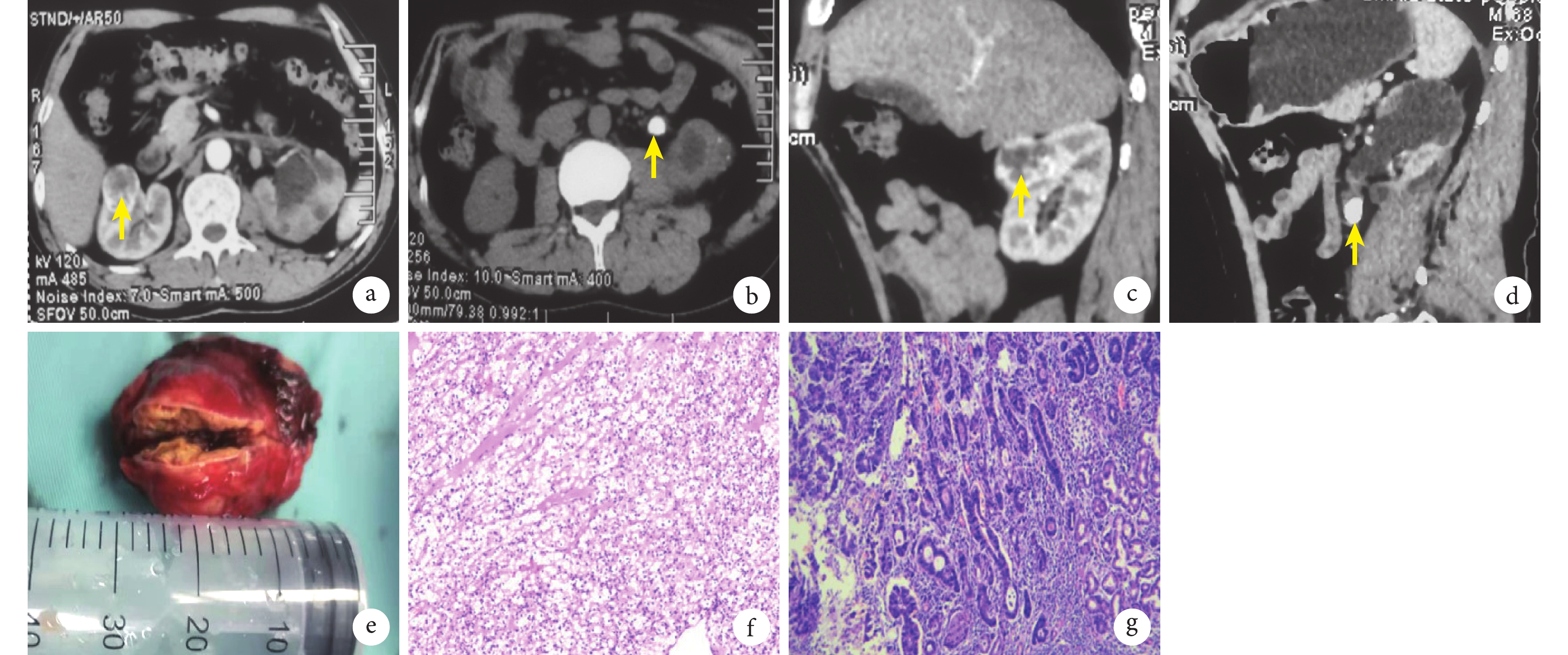
患者,男,69歲,因“體檢發現右側腎占位,左側輸尿管結石8 d”入院。病史無特殊,查體未見明顯異常。入院前腹部及盆部CT檢查提示: ① 右腎占位性病變,考慮腎癌可能;② 左側輸尿管上段結石并腎及輸尿管積水;③ 左腎萎縮、左腎多發小結石。B超檢查提示:右腎中部見約4.4 cm×3.2 cm大混合回聲,形態規則,邊界清楚;左側輸尿管上端內徑約1.1 cm,內探及多個強回聲,后方伴聲影,較大者直徑約1.4 cm。胃鏡檢查提示:胃底體后壁區域黏膜粗糙、糜爛,苔不均勻覆蓋,質軟,觸之易出血。活檢組織病理學檢查提示:(胃底-體后壁組織)黏膜慢性炎癥,腺體高級別上皮內瘤變,部分區域癌變為腺癌。實驗室檢查:肌酐 124.4 μmol/L,腫瘤標志物均為陰性,余未見明顯特殊。初步診斷為右側腎腫瘤,左側腎積水伴輸尿管結石(圖1a~1d)和胃惡性腫瘤。

a: CT橫斷面見右腎腫瘤(黃箭);b: CT橫斷面見左腎輸尿管結石(黃箭);c:CT矢狀面見右腎腫瘤(黃箭);d:CT矢狀面見左腎輸尿管結石(黃箭);e:示右腎腫瘤手術標本;f:腎腫瘤術后病理學檢查提示為RCC(HE染色 ×40); g:胃腫瘤術后病理學檢查提示為高-中分化腺癌(HE染色 ×40)
經多學科討論,綜合考慮患者及家屬意愿后,建議先處理右側腎腫瘤和左側腎輸尿管結石,待患者體能恢復后再行胃癌手術。遂患者于全身麻醉下先行腹腔鏡左輸尿管切開取石+右腎部分切除術。術中探及結石位于左腎與輸尿管交界處,經腹膜后行腹腔鏡下輸尿管切開取石術。取石結束后變換體位,腹腔鏡下經腹膜后游離顯露出右腎腫瘤,見腫瘤約3.5 cm×3 cm×3 cm大(圖1e),位于右腎前唇,行腹腔鏡下腎部分切除術。術后病理報告:①(右腎)腎透明細胞癌(renal cell carcinoma,RCC),3.5 cm×3.5 cm×3 cm大,WHO/ISUP核級分類為2級,切緣未見癌侵及;② 右腎門淋巴結(0/2)未見癌轉移(圖1f)。
患者術后恢復良好,于術后40 d再次行腹腔鏡輔助下近端胃切除術+D2淋巴結清掃、食管-胃吻合術。術中探查腹腔內無異常結節。根據術前檢查結果確認腫瘤位于胃體近賁門處,病灶范圍為2.5 cm×3 cm,未侵犯漿膜層,胃小彎側和胃大彎側未見淋巴結腫大。術后病理報告:(近端胃)高-中分化腺癌,Lauren分型為腸型,腫瘤侵犯黏膜肌層,病灶累積范圍4 cm×3.5 cm,脈管、神經未見明確受累;上、下切緣未見癌侵及。經免疫組化 (CKB/18)染色證實,淋巴結(0/18) 未見癌轉移,分別為小彎網膜淋巴結(0/18) ,大彎網膜淋巴結(0/0),見圖1g。
2 討論
多發性原發性惡性腫瘤最早由Billroth在1889年描述,其診斷標準由Warren和Gates在1932年建立:① 組織學確認腫瘤為惡性;② 腫瘤之間至少應有2 cm的正常黏膜,如果腫瘤在同一位置,則應在發生時間上至少間隔5年;③ 排除轉移可能性。根據腫瘤診斷時間,多發性原發性惡性腫瘤以6個月為界分為同時性腫瘤和異時性腫瘤[1]。該病例同時被診斷為兩種原發性惡性腫瘤,分別為腎癌和胃癌,且患者同時患有對側腎輸尿管結石,需行多次手術治療,該患者的手術時機和手術方式的選擇值得思考。 追問患者家族史,患者父母均已亡故但亡故原因不詳,其兄弟姐妹及子女中暫無腫瘤確診者,建議患者基因檢測篩查致癌基因。
據相關研究[2]顯示,多發性原發性惡性腫瘤患病率為2%~17%。胃癌合并腎癌較罕見,筆者查閱國內外文獻,發現關于胃癌合并腎癌的病例報道共9例,國內6例,國外3例,組織學胃癌以腺癌為主,腎癌以RCC為主,除1例患者拒絕接受治療外,其余患者均同時行胃癌切除術及腎癌根治術[3-10]。
RCC 患者中局部RCC占50%以上,相關研究[11]表明,接受保留腎單位手術的RCC患者慢性腎臟疾病發病率低于接受腎癌根治術的RCC患者。在歐洲泌尿外科學會2019年最新發布的腎癌臨床指南[12]中,腎部分切除術已成為T1期腎癌的首選治療方式。所以對于早期腎癌,僅切除腫瘤并保留腎臟可能是控制癌癥的一種有效的治療方式,其優點是保留了腎功能。然而行腎部分切除術時,圍手術期并發癥的風險更高。本例患者在患右腎腫瘤的同時合并左腎輸尿管結石且伴左腎功能受損,對側腎功能不全為腎癌根治術的相對禁忌證;此外,影像學檢查提示,患者右腎腫瘤尚屬早期。綜上,最終該例患者選擇了行腹腔鏡下右腎部分切除術。
對于單純腎癌合并胃癌的患者,同步切除術顯然是最佳治療方法。然而本例患者右側腎腫瘤并左腎功能受損,腎功能不全是胃癌手術禁忌證;此外,本例患者擬行腎部分切除術,出血為其主要并發癥,胃癌手術也有不可預知的術中及術后出血風險。故建議患者先行腎癌及腎輸尿管結石手術,待其腎功能恢復后再行胃癌手術。分階段手術,可以減少同時手術的不良反應,盡管有可能會延遲第二種癌癥的治療,但對于復雜的多發性原發性腫瘤,分階段手術被認為是一種安全的手術方法[13]。
根據國際癌癥研究機構2018的數據[14],全球癌癥負擔已增加至1 810萬例,隨著全球癌癥發病率的增加,多發性原發性惡性腫瘤的發病率也將顯著上升。對于復雜的多發性原發性惡性腫瘤手術方式及手術時機的選擇,應多學科討論后慎重決定。該例患者雖同期患有腎癌和胃癌兩種原發性惡性腫瘤,但兩處腫瘤尚屬早期,手術治療后患者會有較好的預后。該患者在持續隨訪中。
重要聲明
利益沖突聲明:本文全體作者閱讀并理解了《中國普外基礎與臨床雜志》的政策聲明,我們沒有相互競爭的利益。
作者貢獻聲明:魏浩旗負責文章撰寫及患者的隨訪,劉海鵬負責論文設計及臨床資料的收集,陳曉指導、修改論文。
倫理聲明:本研究通過了蘭州大學第二醫院醫學倫理委員會的審批(批文編號:2021A-503)。
1 病例資料
患者,男,69歲,因“體檢發現右側腎占位,左側輸尿管結石8 d”入院。病史無特殊,查體未見明顯異常。入院前腹部及盆部CT檢查提示: ① 右腎占位性病變,考慮腎癌可能;② 左側輸尿管上段結石并腎及輸尿管積水;③ 左腎萎縮、左腎多發小結石。B超檢查提示:右腎中部見約4.4 cm×3.2 cm大混合回聲,形態規則,邊界清楚;左側輸尿管上端內徑約1.1 cm,內探及多個強回聲,后方伴聲影,較大者直徑約1.4 cm。胃鏡檢查提示:胃底體后壁區域黏膜粗糙、糜爛,苔不均勻覆蓋,質軟,觸之易出血。活檢組織病理學檢查提示:(胃底-體后壁組織)黏膜慢性炎癥,腺體高級別上皮內瘤變,部分區域癌變為腺癌。實驗室檢查:肌酐 124.4 μmol/L,腫瘤標志物均為陰性,余未見明顯特殊。初步診斷為右側腎腫瘤,左側腎積水伴輸尿管結石(圖1a~1d)和胃惡性腫瘤。

a: CT橫斷面見右腎腫瘤(黃箭);b: CT橫斷面見左腎輸尿管結石(黃箭);c:CT矢狀面見右腎腫瘤(黃箭);d:CT矢狀面見左腎輸尿管結石(黃箭);e:示右腎腫瘤手術標本;f:腎腫瘤術后病理學檢查提示為RCC(HE染色 ×40); g:胃腫瘤術后病理學檢查提示為高-中分化腺癌(HE染色 ×40)
經多學科討論,綜合考慮患者及家屬意愿后,建議先處理右側腎腫瘤和左側腎輸尿管結石,待患者體能恢復后再行胃癌手術。遂患者于全身麻醉下先行腹腔鏡左輸尿管切開取石+右腎部分切除術。術中探及結石位于左腎與輸尿管交界處,經腹膜后行腹腔鏡下輸尿管切開取石術。取石結束后變換體位,腹腔鏡下經腹膜后游離顯露出右腎腫瘤,見腫瘤約3.5 cm×3 cm×3 cm大(圖1e),位于右腎前唇,行腹腔鏡下腎部分切除術。術后病理報告:①(右腎)腎透明細胞癌(renal cell carcinoma,RCC),3.5 cm×3.5 cm×3 cm大,WHO/ISUP核級分類為2級,切緣未見癌侵及;② 右腎門淋巴結(0/2)未見癌轉移(圖1f)。
患者術后恢復良好,于術后40 d再次行腹腔鏡輔助下近端胃切除術+D2淋巴結清掃、食管-胃吻合術。術中探查腹腔內無異常結節。根據術前檢查結果確認腫瘤位于胃體近賁門處,病灶范圍為2.5 cm×3 cm,未侵犯漿膜層,胃小彎側和胃大彎側未見淋巴結腫大。術后病理報告:(近端胃)高-中分化腺癌,Lauren分型為腸型,腫瘤侵犯黏膜肌層,病灶累積范圍4 cm×3.5 cm,脈管、神經未見明確受累;上、下切緣未見癌侵及。經免疫組化 (CKB/18)染色證實,淋巴結(0/18) 未見癌轉移,分別為小彎網膜淋巴結(0/18) ,大彎網膜淋巴結(0/0),見圖1g。
2 討論
多發性原發性惡性腫瘤最早由Billroth在1889年描述,其診斷標準由Warren和Gates在1932年建立:① 組織學確認腫瘤為惡性;② 腫瘤之間至少應有2 cm的正常黏膜,如果腫瘤在同一位置,則應在發生時間上至少間隔5年;③ 排除轉移可能性。根據腫瘤診斷時間,多發性原發性惡性腫瘤以6個月為界分為同時性腫瘤和異時性腫瘤[1]。該病例同時被診斷為兩種原發性惡性腫瘤,分別為腎癌和胃癌,且患者同時患有對側腎輸尿管結石,需行多次手術治療,該患者的手術時機和手術方式的選擇值得思考。 追問患者家族史,患者父母均已亡故但亡故原因不詳,其兄弟姐妹及子女中暫無腫瘤確診者,建議患者基因檢測篩查致癌基因。
據相關研究[2]顯示,多發性原發性惡性腫瘤患病率為2%~17%。胃癌合并腎癌較罕見,筆者查閱國內外文獻,發現關于胃癌合并腎癌的病例報道共9例,國內6例,國外3例,組織學胃癌以腺癌為主,腎癌以RCC為主,除1例患者拒絕接受治療外,其余患者均同時行胃癌切除術及腎癌根治術[3-10]。
RCC 患者中局部RCC占50%以上,相關研究[11]表明,接受保留腎單位手術的RCC患者慢性腎臟疾病發病率低于接受腎癌根治術的RCC患者。在歐洲泌尿外科學會2019年最新發布的腎癌臨床指南[12]中,腎部分切除術已成為T1期腎癌的首選治療方式。所以對于早期腎癌,僅切除腫瘤并保留腎臟可能是控制癌癥的一種有效的治療方式,其優點是保留了腎功能。然而行腎部分切除術時,圍手術期并發癥的風險更高。本例患者在患右腎腫瘤的同時合并左腎輸尿管結石且伴左腎功能受損,對側腎功能不全為腎癌根治術的相對禁忌證;此外,影像學檢查提示,患者右腎腫瘤尚屬早期。綜上,最終該例患者選擇了行腹腔鏡下右腎部分切除術。
對于單純腎癌合并胃癌的患者,同步切除術顯然是最佳治療方法。然而本例患者右側腎腫瘤并左腎功能受損,腎功能不全是胃癌手術禁忌證;此外,本例患者擬行腎部分切除術,出血為其主要并發癥,胃癌手術也有不可預知的術中及術后出血風險。故建議患者先行腎癌及腎輸尿管結石手術,待其腎功能恢復后再行胃癌手術。分階段手術,可以減少同時手術的不良反應,盡管有可能會延遲第二種癌癥的治療,但對于復雜的多發性原發性腫瘤,分階段手術被認為是一種安全的手術方法[13]。
根據國際癌癥研究機構2018的數據[14],全球癌癥負擔已增加至1 810萬例,隨著全球癌癥發病率的增加,多發性原發性惡性腫瘤的發病率也將顯著上升。對于復雜的多發性原發性惡性腫瘤手術方式及手術時機的選擇,應多學科討論后慎重決定。該例患者雖同期患有腎癌和胃癌兩種原發性惡性腫瘤,但兩處腫瘤尚屬早期,手術治療后患者會有較好的預后。該患者在持續隨訪中。
重要聲明
利益沖突聲明:本文全體作者閱讀并理解了《中國普外基礎與臨床雜志》的政策聲明,我們沒有相互競爭的利益。
作者貢獻聲明:魏浩旗負責文章撰寫及患者的隨訪,劉海鵬負責論文設計及臨床資料的收集,陳曉指導、修改論文。
倫理聲明:本研究通過了蘭州大學第二醫院醫學倫理委員會的審批(批文編號:2021A-503)。