引用本文: 付瑞敏, 楊遠園, 文坤明. 1 例食管腹段支氣管源性食管囊腫行腹腔鏡手術切除的診治體會并文獻復習. 中國普外基礎與臨床雜志, 2021, 28(1): 111-114. doi: 10.7507/1007-9424.202004115 復制
支氣管囊腫(bronchogenic cysts)是由于在胚胎發育過程中,原始前腸的異常胚芽引起的一種罕見的先天性呼吸系統發育障礙性疾病,最常位于支氣管周圍,很少位于食管,因此支氣管源性食管囊腫比較罕見,多為體檢或壓迫周圍臟器出現相應癥狀后檢查發現。因該病無典型影像學表現,所以需要與其他病變進行鑒別診斷,術前明確診斷困難,組織病理學檢查是確診該病的唯一依據。由于支氣管源性食管囊腫比較罕見,臨床醫生缺乏對該病的認識,因此在診療過程中存在困難。現報道筆者所在醫院于 2019 年 6 月收治的 1 例腹腔鏡下切除食管腹段支氣管源性食管囊腫的診治過程,并復習相關文獻,為臨床醫師對該病的認識、診斷及選擇合適的治療方式提供一定的幫助。
1 病例資料
1.1 一般資料
患者,男,49 歲,因體檢發現肝胃間隙占位性病變 5 余天入院。5 d 前因在外院體檢,行腹部計算機斷層掃描(CT)時發現肝胃間隙占位性病變,但無吞咽困難,無惡心嘔吐,無腹痛腹脹、腹瀉及黑便史,為進一步治療就診于筆者所在醫院科室。查體:腹平軟,未捫及包塊,無壓痛、反跳痛及肌緊張。
1.2 輔助檢查
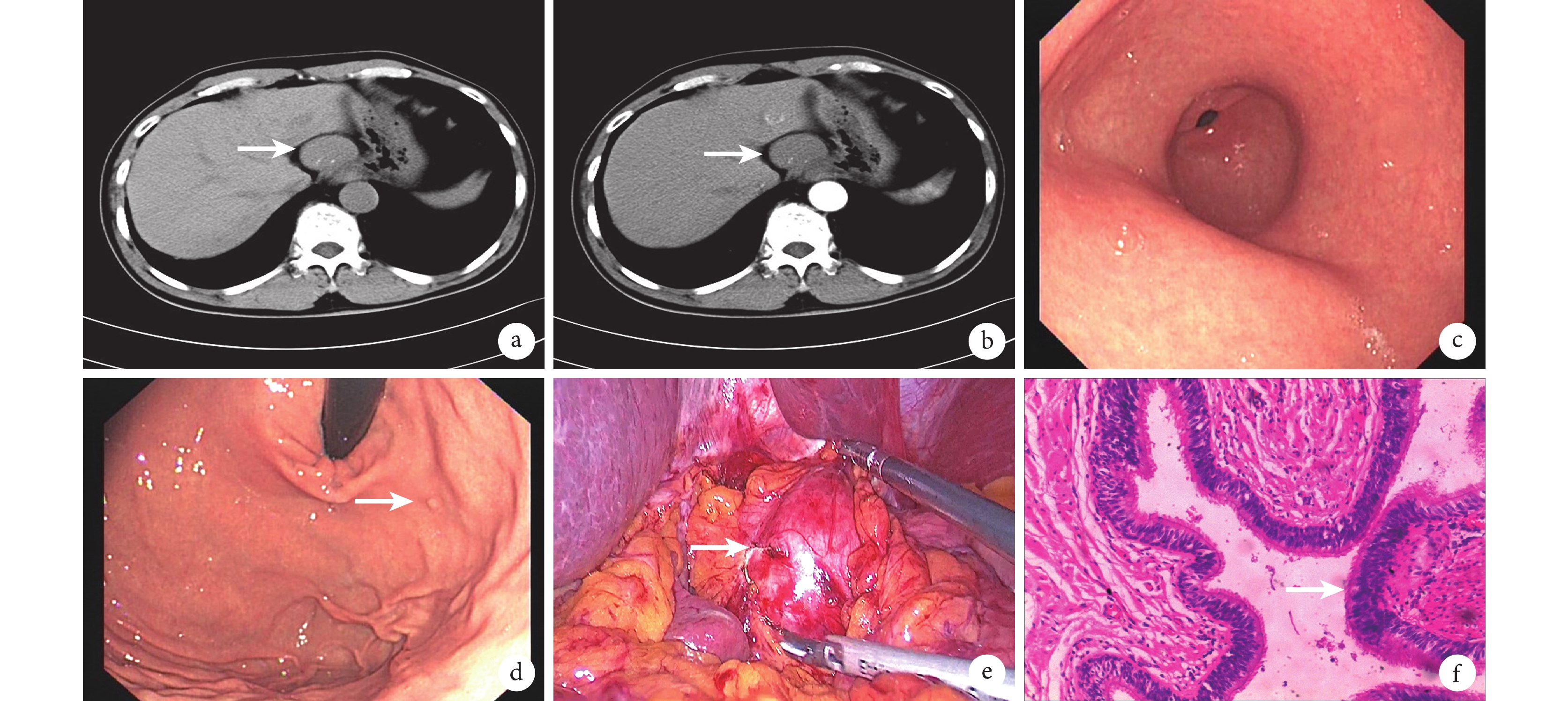
輔助檢查:全腹部 CT 平掃+增強掃描示,肝胃間隙腫物,疑腫瘤或增大淋巴結(圖1a、1b);電子食管鏡、胃鏡檢查示:食管腔各處形態及黏膜色澤未見異常,胃腔內除見一枚直徑約 0.2 cm 的息肉外,未見腫物或隆起性病變(圖1c、1d)。血生化、凝血功能、腫瘤標志物、胸部 X 線平片、心電圖和肺功能檢查均無明顯異常。

a:全腹部 CT 平掃見肝胃間隙一約 42 mm×33 mm 大的軟組織密度腫物(白箭),腫物位于肝胃間隙,與肝臟分界清楚,邊緣光滑,內見少量點狀和小結節狀鈣化灶;b:CT 增強掃描動脈期圖像見病變(白箭)無明顯強化;c 和 d:上消化道內鏡見食管腔各處形態及黏膜色澤未見異常,胃腔內除見一枚直徑約 0.2 cm 的息肉(白箭)外未見腫物或隆起性病變,形態及黏膜色澤未見異常;e:術中見腫瘤位于食管腹段,向腔外生長,呈囊性,約 4.0 cm×3.0 cm×4.0 cm 大(白箭);f:術后病理學圖像見囊壁由平滑肌組織構成,內襯假復層纖毛柱狀上皮(白箭),病理診斷為(食管腹段)支氣管源性囊腫(HE ×40)
1.3 術前診斷、手術方式及術中情況
術前診斷:① 肝胃間隙占位,胃腸間質瘤?腫大淋巴結?② 胃息肉。手術方式:全身麻醉下行腹腔鏡下食管腹段囊腫切除術。術中情況:術中見腫瘤位于食管腹段(圖1e),向腔外生長,囊性,約 4.0 cm×3.0 cm×4.0 cm 大。于腹腔鏡下完整切除囊腫,手術時間 95 min,術中出血量約 15 mL,手術過程順利。
1.4 術后病理、術后恢復及隨診情況
術后病理學診斷:(食管腹段)支氣管源性囊腫(圖1f)。術后予以維持水電解質平衡等對癥治療,術后無任何并發癥發生,于術后第 3 天康復出院。術后隨訪 6 個月,無不適癥狀,繼續隨訪。
2 討論
支氣管源性囊腫起源于原始前腸,是一種胚胎發育畸形導致的病變。發病機理目前仍不詳,多認為,在胚胎第 3 周前,前腸是由食管與氣管組成的同一管腔,在胚胎第 6 周,前腸背側形成食管,而前腸腹側形成氣管,支氣管源性囊腫就是發生在異常胚芽從原始前腸腹側脫離的過程中的。支氣管源性囊腫發生的部位是由異常胚芽出現的時間決定的,早期時囊腫多位于縱隔或肺門,晚期則多位于肺內。支氣管源性囊腫最常見的位置是胸部,以靠近隆突的中縱隔多見,其次是氣管旁、肺門和肺實質內,很少位于心包內、心臟內、食管以及胸外區域(如皮下、頸部和腹膜后)[1-2]。因支氣管源性囊腫發生在食管罕見,國內外偶有個案報道,所以發病率不詳[2]。該例患者的支氣管源性食管囊腫位于食管腹段,因食管腹段解剖位置特殊,位于膈肌與賁門之間,且長度較短,所以本例更加罕見。
支氣管源性食管囊腫的臨床表現與其大小、位置及生長方式有關:① 囊腫較小時可無任何癥狀;② 當囊腫向腔內生長時,會出現吞咽困難、腹痛、腹脹等梗阻表現;③ 當囊腫向腔外生長,位于膈肌以上的食管時,囊腫可因迅速增大壓迫周圍組織,可能出現呼吸困難等癥狀,而當位于膈肌以下的食管(食管腹段)時,因腹腔潛在空間較大,可無任何癥狀;④ 若囊腫因出血合并感染或破潰時可能出現發熱、胸痛、消化道出血等癥狀[3]。該病臨床表現不典型,因此不易發現,多為體檢或壓迫周圍臟器出現相應癥狀后檢查發現。本例患者病變位于食管腹段且向外生長,因腹腔潛在空間較大,并且未壓迫任何臟器,故無任何臨床癥狀。
支氣管源性食管囊腫的臨床診斷相對困難,需要結合患者的臨床表現并選擇合適的影像學檢查共同幫助診斷,并且該病需要與食管平滑肌瘤、間質瘤、后縱隔神經源性腫瘤等相鑒別。無癥狀患者常在體檢時意外發現該病,或者可能因其他疾病在行胃鏡檢查或腹部 CT 時發現;部分患者因出現癥狀后行相關檢查發現該病[3]。① 若病變向腔內生長,患者出現梗阻癥狀時:行食道鋇餐造影檢查可見充盈缺損表現;電子食管鏡檢查可見病變處的黏膜突出,表面黏膜光滑且色澤正常[4-5],與食管平滑肌瘤或間質瘤表現相似,需要與之鑒別;超聲內鏡(EUS)可以通過腫物內部回聲的不同,區分囊性或實質性病變,因此可以進一步用來鑒別囊腫和實性腫塊[6]。② 若病變向腔外生長,出現壓迫等癥狀時:可行 CT 或磁共振(MRI)檢查,CT 表現為圓形或橢圓形囊性病灶,為單房、薄壁,囊壁可有鈣化,邊界清楚,密度均勻,動、靜脈期均無增強。MRI 在診斷效果方面優于 CT,通常在 T1 加權像呈低信號,T2 加權像呈高信號,提示腫塊呈囊性,同時 MRI 還可以顯示病變與周圍組織的關系,可以鑒別后縱隔神經源性腫物[5, 7]。若囊內有出血、鈣化或富含黏液蛋白,CT 平掃呈高或略高密度,與常見的囊腫不同,容易誤診為間質瘤等實性腫塊[5, 8]。雖然在 Cheng 等[2]及 Turkyilmaz 等[8]的報道中,MRI 的診斷準確率優于 CT,但是當囊腫感染或鈣化時,MRI 也難以準確診斷。所以影像學檢查也只能幫助鑒別病變為囊性或實性,以及了解病變與周圍組織的關系,幫助選擇合適的手術方式,而無法明確診斷。該病例是在體檢過程中無意發現的,行腹部 CT 檢查見肝胃間隙軟組織密度腫物,增強無明顯強化,可疑腫瘤或增大淋巴結,由于該病罕見并且術前對其缺乏認識,影像學表現不典型,故術前診斷并未考慮該病,而是診斷為相對常見的胃腸間質瘤或腫大的淋巴結。
支氣管源性食管囊腫患者出現癥狀時應手術切除,而無癥狀者的治療一直存在爭議,但是多建議即使無癥狀也盡早行手術切除病變并明確診斷。由于囊腫進一步增大,有出血、繼發感染和穿孔,甚至惡變等的風險[9],并且在 Fievet 等[10]的研究中報道了支氣管源性囊腫在兒童患者中多無癥狀,但在 80% 的成年患者中出現了并發癥(如支氣管炎、肺炎、疼痛、發聲困難、咯血、吞咽困難等),同時這篇文章也報道了成年患者發生惡變的風險較兒童患者大,并且成年患者手術的切除范圍和創傷較兒童患者更大[11]。因此,即使無癥狀,也建議積極切除病變并且明確診斷。手術方式根據個體情況以及腫物的位置和大小而定。① 內鏡黏膜下剝離術(ESD):適合小并且無癥狀的食管腔內或壁內生長的腫物。② 外科手術:其適應證為,大且向食管腔外生長,有出血或穿孔表現,有惡變傾向的病變,內鏡下處理難度較大或內鏡下不能完整切除的病變。外科手術切除的方式通常是開胸手術或胸腔鏡手術,因為病變大多出現在胸腔,很少出現在食管腹段,所以開腹手術或腹腔鏡手術病例比較少見[3, 12]。近年來腔鏡手術因其創傷小、恢復快等優點,并且已證明其與開放手術一樣安全且有效,故被越來越多的外科醫生使用[13]。本例患者因考慮為肝胃間隙占位性病變,且術前診斷不明確,為切除病變及明確診斷,故行外科手術切除,結合影像學表現(病變位于肝胃間隙且邊界清楚),故選擇使用腹腔鏡手術切除病變。腹腔鏡下完整切除腫塊,術后患者快速康復出院,隨訪期間無任何不適。雖然腹腔鏡手術治療氣管源性食管囊腫的報道相對較少,但是對于這種發生在食管腹段的外生型的支氣管源性食管囊腫,可以首先選擇使用腹腔鏡手術下切除,該手術不僅安全,還能減少術后疼痛、切口感染等并發癥。
支氣管源性食管囊腫確診的唯一依據是病理學檢查。內鏡超聲引導下細針穿刺細胞學檢查(EUS-FNA)雖然可提供明確的診斷,但是準確穿刺到囊壁組織非常困難,并且直接穿刺囊腫可能會引起囊腫破裂、出血及感染,增加手術的困難,所以不推薦使用,故以組織病理學檢查為診斷依據。有研究[5, 14]總結,支氣管源性囊腫的典型組織病理學診斷特征是囊腫的內壁覆蓋有單層或假復層纖毛柱狀上皮,至少還應該觀察到以下表現中的1 種:平滑肌、漿液黏液腺組織以及透明軟骨。本例患者術中見病變位于食管腹段,呈囊性,囊腫內有乳白色囊性液,術后組織病理學見假復層纖毛柱狀上皮及平滑肌,故診斷為支氣管源性食管囊腫。
綜上所述,支氣管源性食管囊腫比較罕見,臨床表現不典型且影像學無特異性表現,容易診斷為其他相對常見的疾病,因此需要結合患者的臨床表現選擇合適的影像學檢查,以共同幫助診斷及鑒別其他疾病,還可以明確病變位置及其與周圍組織的關系,但術前明確診斷比較困難。因該病有出血、感染、破潰穿孔甚至惡變可能,因此無論有無癥狀,都建議積極手術切除,達到消除癥狀、預防并發癥并且通過組織病理學檢查明確診斷的目的。可根據腫瘤生長的部位、方式及大小,選擇不同的手術方式,不僅可以完整地切除囊腫,而且手術安全,預后較好。
重要聲明
利益沖突聲明:本文全體作者閱讀并理解了《中國普外基礎與臨床雜志》的政策聲明,我們沒有相互競爭的利益。
作者貢獻聲明:付瑞敏負責病例資料的收集、分析以及病例報道的撰寫;楊遠園負責部分病例資料的收集;文坤明對文章撰寫給予指導。
倫理聲明:本研究已通過遵義醫科大學附屬醫院的倫理審核批準(批文編號:KLL-2020-021)。
支氣管囊腫(bronchogenic cysts)是由于在胚胎發育過程中,原始前腸的異常胚芽引起的一種罕見的先天性呼吸系統發育障礙性疾病,最常位于支氣管周圍,很少位于食管,因此支氣管源性食管囊腫比較罕見,多為體檢或壓迫周圍臟器出現相應癥狀后檢查發現。因該病無典型影像學表現,所以需要與其他病變進行鑒別診斷,術前明確診斷困難,組織病理學檢查是確診該病的唯一依據。由于支氣管源性食管囊腫比較罕見,臨床醫生缺乏對該病的認識,因此在診療過程中存在困難。現報道筆者所在醫院于 2019 年 6 月收治的 1 例腹腔鏡下切除食管腹段支氣管源性食管囊腫的診治過程,并復習相關文獻,為臨床醫師對該病的認識、診斷及選擇合適的治療方式提供一定的幫助。
1 病例資料
1.1 一般資料
患者,男,49 歲,因體檢發現肝胃間隙占位性病變 5 余天入院。5 d 前因在外院體檢,行腹部計算機斷層掃描(CT)時發現肝胃間隙占位性病變,但無吞咽困難,無惡心嘔吐,無腹痛腹脹、腹瀉及黑便史,為進一步治療就診于筆者所在醫院科室。查體:腹平軟,未捫及包塊,無壓痛、反跳痛及肌緊張。
1.2 輔助檢查
輔助檢查:全腹部 CT 平掃+增強掃描示,肝胃間隙腫物,疑腫瘤或增大淋巴結(圖1a、1b);電子食管鏡、胃鏡檢查示:食管腔各處形態及黏膜色澤未見異常,胃腔內除見一枚直徑約 0.2 cm 的息肉外,未見腫物或隆起性病變(圖1c、1d)。血生化、凝血功能、腫瘤標志物、胸部 X 線平片、心電圖和肺功能檢查均無明顯異常。

a:全腹部 CT 平掃見肝胃間隙一約 42 mm×33 mm 大的軟組織密度腫物(白箭),腫物位于肝胃間隙,與肝臟分界清楚,邊緣光滑,內見少量點狀和小結節狀鈣化灶;b:CT 增強掃描動脈期圖像見病變(白箭)無明顯強化;c 和 d:上消化道內鏡見食管腔各處形態及黏膜色澤未見異常,胃腔內除見一枚直徑約 0.2 cm 的息肉(白箭)外未見腫物或隆起性病變,形態及黏膜色澤未見異常;e:術中見腫瘤位于食管腹段,向腔外生長,呈囊性,約 4.0 cm×3.0 cm×4.0 cm 大(白箭);f:術后病理學圖像見囊壁由平滑肌組織構成,內襯假復層纖毛柱狀上皮(白箭),病理診斷為(食管腹段)支氣管源性囊腫(HE ×40)
1.3 術前診斷、手術方式及術中情況
術前診斷:① 肝胃間隙占位,胃腸間質瘤?腫大淋巴結?② 胃息肉。手術方式:全身麻醉下行腹腔鏡下食管腹段囊腫切除術。術中情況:術中見腫瘤位于食管腹段(圖1e),向腔外生長,囊性,約 4.0 cm×3.0 cm×4.0 cm 大。于腹腔鏡下完整切除囊腫,手術時間 95 min,術中出血量約 15 mL,手術過程順利。
1.4 術后病理、術后恢復及隨診情況
術后病理學診斷:(食管腹段)支氣管源性囊腫(圖1f)。術后予以維持水電解質平衡等對癥治療,術后無任何并發癥發生,于術后第 3 天康復出院。術后隨訪 6 個月,無不適癥狀,繼續隨訪。
2 討論
支氣管源性囊腫起源于原始前腸,是一種胚胎發育畸形導致的病變。發病機理目前仍不詳,多認為,在胚胎第 3 周前,前腸是由食管與氣管組成的同一管腔,在胚胎第 6 周,前腸背側形成食管,而前腸腹側形成氣管,支氣管源性囊腫就是發生在異常胚芽從原始前腸腹側脫離的過程中的。支氣管源性囊腫發生的部位是由異常胚芽出現的時間決定的,早期時囊腫多位于縱隔或肺門,晚期則多位于肺內。支氣管源性囊腫最常見的位置是胸部,以靠近隆突的中縱隔多見,其次是氣管旁、肺門和肺實質內,很少位于心包內、心臟內、食管以及胸外區域(如皮下、頸部和腹膜后)[1-2]。因支氣管源性囊腫發生在食管罕見,國內外偶有個案報道,所以發病率不詳[2]。該例患者的支氣管源性食管囊腫位于食管腹段,因食管腹段解剖位置特殊,位于膈肌與賁門之間,且長度較短,所以本例更加罕見。
支氣管源性食管囊腫的臨床表現與其大小、位置及生長方式有關:① 囊腫較小時可無任何癥狀;② 當囊腫向腔內生長時,會出現吞咽困難、腹痛、腹脹等梗阻表現;③ 當囊腫向腔外生長,位于膈肌以上的食管時,囊腫可因迅速增大壓迫周圍組織,可能出現呼吸困難等癥狀,而當位于膈肌以下的食管(食管腹段)時,因腹腔潛在空間較大,可無任何癥狀;④ 若囊腫因出血合并感染或破潰時可能出現發熱、胸痛、消化道出血等癥狀[3]。該病臨床表現不典型,因此不易發現,多為體檢或壓迫周圍臟器出現相應癥狀后檢查發現。本例患者病變位于食管腹段且向外生長,因腹腔潛在空間較大,并且未壓迫任何臟器,故無任何臨床癥狀。
支氣管源性食管囊腫的臨床診斷相對困難,需要結合患者的臨床表現并選擇合適的影像學檢查共同幫助診斷,并且該病需要與食管平滑肌瘤、間質瘤、后縱隔神經源性腫瘤等相鑒別。無癥狀患者常在體檢時意外發現該病,或者可能因其他疾病在行胃鏡檢查或腹部 CT 時發現;部分患者因出現癥狀后行相關檢查發現該病[3]。① 若病變向腔內生長,患者出現梗阻癥狀時:行食道鋇餐造影檢查可見充盈缺損表現;電子食管鏡檢查可見病變處的黏膜突出,表面黏膜光滑且色澤正常[4-5],與食管平滑肌瘤或間質瘤表現相似,需要與之鑒別;超聲內鏡(EUS)可以通過腫物內部回聲的不同,區分囊性或實質性病變,因此可以進一步用來鑒別囊腫和實性腫塊[6]。② 若病變向腔外生長,出現壓迫等癥狀時:可行 CT 或磁共振(MRI)檢查,CT 表現為圓形或橢圓形囊性病灶,為單房、薄壁,囊壁可有鈣化,邊界清楚,密度均勻,動、靜脈期均無增強。MRI 在診斷效果方面優于 CT,通常在 T1 加權像呈低信號,T2 加權像呈高信號,提示腫塊呈囊性,同時 MRI 還可以顯示病變與周圍組織的關系,可以鑒別后縱隔神經源性腫物[5, 7]。若囊內有出血、鈣化或富含黏液蛋白,CT 平掃呈高或略高密度,與常見的囊腫不同,容易誤診為間質瘤等實性腫塊[5, 8]。雖然在 Cheng 等[2]及 Turkyilmaz 等[8]的報道中,MRI 的診斷準確率優于 CT,但是當囊腫感染或鈣化時,MRI 也難以準確診斷。所以影像學檢查也只能幫助鑒別病變為囊性或實性,以及了解病變與周圍組織的關系,幫助選擇合適的手術方式,而無法明確診斷。該病例是在體檢過程中無意發現的,行腹部 CT 檢查見肝胃間隙軟組織密度腫物,增強無明顯強化,可疑腫瘤或增大淋巴結,由于該病罕見并且術前對其缺乏認識,影像學表現不典型,故術前診斷并未考慮該病,而是診斷為相對常見的胃腸間質瘤或腫大的淋巴結。
支氣管源性食管囊腫患者出現癥狀時應手術切除,而無癥狀者的治療一直存在爭議,但是多建議即使無癥狀也盡早行手術切除病變并明確診斷。由于囊腫進一步增大,有出血、繼發感染和穿孔,甚至惡變等的風險[9],并且在 Fievet 等[10]的研究中報道了支氣管源性囊腫在兒童患者中多無癥狀,但在 80% 的成年患者中出現了并發癥(如支氣管炎、肺炎、疼痛、發聲困難、咯血、吞咽困難等),同時這篇文章也報道了成年患者發生惡變的風險較兒童患者大,并且成年患者手術的切除范圍和創傷較兒童患者更大[11]。因此,即使無癥狀,也建議積極切除病變并且明確診斷。手術方式根據個體情況以及腫物的位置和大小而定。① 內鏡黏膜下剝離術(ESD):適合小并且無癥狀的食管腔內或壁內生長的腫物。② 外科手術:其適應證為,大且向食管腔外生長,有出血或穿孔表現,有惡變傾向的病變,內鏡下處理難度較大或內鏡下不能完整切除的病變。外科手術切除的方式通常是開胸手術或胸腔鏡手術,因為病變大多出現在胸腔,很少出現在食管腹段,所以開腹手術或腹腔鏡手術病例比較少見[3, 12]。近年來腔鏡手術因其創傷小、恢復快等優點,并且已證明其與開放手術一樣安全且有效,故被越來越多的外科醫生使用[13]。本例患者因考慮為肝胃間隙占位性病變,且術前診斷不明確,為切除病變及明確診斷,故行外科手術切除,結合影像學表現(病變位于肝胃間隙且邊界清楚),故選擇使用腹腔鏡手術切除病變。腹腔鏡下完整切除腫塊,術后患者快速康復出院,隨訪期間無任何不適。雖然腹腔鏡手術治療氣管源性食管囊腫的報道相對較少,但是對于這種發生在食管腹段的外生型的支氣管源性食管囊腫,可以首先選擇使用腹腔鏡手術下切除,該手術不僅安全,還能減少術后疼痛、切口感染等并發癥。
支氣管源性食管囊腫確診的唯一依據是病理學檢查。內鏡超聲引導下細針穿刺細胞學檢查(EUS-FNA)雖然可提供明確的診斷,但是準確穿刺到囊壁組織非常困難,并且直接穿刺囊腫可能會引起囊腫破裂、出血及感染,增加手術的困難,所以不推薦使用,故以組織病理學檢查為診斷依據。有研究[5, 14]總結,支氣管源性囊腫的典型組織病理學診斷特征是囊腫的內壁覆蓋有單層或假復層纖毛柱狀上皮,至少還應該觀察到以下表現中的1 種:平滑肌、漿液黏液腺組織以及透明軟骨。本例患者術中見病變位于食管腹段,呈囊性,囊腫內有乳白色囊性液,術后組織病理學見假復層纖毛柱狀上皮及平滑肌,故診斷為支氣管源性食管囊腫。
綜上所述,支氣管源性食管囊腫比較罕見,臨床表現不典型且影像學無特異性表現,容易診斷為其他相對常見的疾病,因此需要結合患者的臨床表現選擇合適的影像學檢查,以共同幫助診斷及鑒別其他疾病,還可以明確病變位置及其與周圍組織的關系,但術前明確診斷比較困難。因該病有出血、感染、破潰穿孔甚至惡變可能,因此無論有無癥狀,都建議積極手術切除,達到消除癥狀、預防并發癥并且通過組織病理學檢查明確診斷的目的。可根據腫瘤生長的部位、方式及大小,選擇不同的手術方式,不僅可以完整地切除囊腫,而且手術安全,預后較好。
重要聲明
利益沖突聲明:本文全體作者閱讀并理解了《中國普外基礎與臨床雜志》的政策聲明,我們沒有相互競爭的利益。
作者貢獻聲明:付瑞敏負責病例資料的收集、分析以及病例報道的撰寫;楊遠園負責部分病例資料的收集;文坤明對文章撰寫給予指導。
倫理聲明:本研究已通過遵義醫科大學附屬醫院的倫理審核批準(批文編號:KLL-2020-021)。