引用本文: 銀東智, 左健, 袁又能, 左燕妮, 羅海平, 汪燕舞. 白細胞介素-6 及微衛星不穩定在潰瘍性結腸炎相關性結直腸癌中的表達及意義. 中國普外基礎與臨床雜志, 2020, 27(7): 841-845. doi: 10.7507/1007-9424.201910009 復制
在正常人體中存在一套完整的 DNA 錯配修復(MMR)系統,如果此修復機制出現問題如 MMR 基因發生甲基化、突變或缺失,可以導致 MMR 蛋白表達缺失(dMMR)[1],繼而出現 DNA MMR 錯誤,出現這些簡單重復序列增多或丟失即微衛星不穩定性(MSI),其結果是子細胞發生突變甚或癌變[2]。因此,可以通過檢測 MMR 蛋白表達是否缺失來確定是否存在 MSI。潰瘍性結腸炎(UC)是一種病因尚不明確、特異性作用于直腸和結腸黏膜、慢性反復發作的炎癥性病變,UC 病程進展過程中可能會癌變即發展成 UC 相關性結直腸癌(UC-CRC)。結直腸癌中大多數呈散發性(非遺傳性)即散發性結直腸癌(SCRC),而少部分有遺傳背景,其中遺傳性非息肉結直腸癌(HNPCC)發病率占到結直腸癌總發病的 3%~5%[3]。有文獻[4]報道,90% 以上的 HNPCC 和 10%~15% 的 SCRC 均與 MSI 有關。另外,有研究[5-6]發現,結直腸癌患者的血清中白細胞介素-6(IL-6)的水平明顯增高可能與 MSI 有關,且這種現象也常見于 UC 的有炎癥黏膜上皮細胞中[7]。由此,在 UC-CRC 的發病過程中 MSI 是否參與其中并起到了怎樣的作用、炎癥因子 IL-6 是否參與了 MSI 的發生等這些問題的研究值得進一步進行探索。歐美等國家對此的相關研究雖然不多,但還是已經積累了一定的經驗,但中國作為亞洲的一個大國,UC-CRC 相關研究資料卻非常欠缺。筆者前期曾對 UC-CRC 患者的臨床病理特點作了分析總結[8],在本研究擬進一步分析 UC-CRC 患者中的 IL-6 及 MMR 蛋白表達情況并探討 UC 患者癌變過程中 IL-6 及 MSI 所起的作用。
1 資料與方法
1.1 病例納入標準和排除標準
① UC-CRC 納入標準:接受手術治療、術前未接受輔助放化療等治療,結腸鏡活檢和(或)手術后病理檢查明確診斷為結直腸癌且結腸鏡檢查見典型 UC 表現和(或)結腸鏡活檢和術后病理檢查診斷為 UC。② SCRC 納入標準:接受手術治療、術前未接受輔助放化療等治療,病理檢查診斷為結直腸癌,與 UC-CRC 患者同期收治且術后病理檢查示腫瘤分期相同。③ UC 患者的納入標準:與 UC-CRC 患者同期收治且診斷非 UC-CRC、SCRC 的 UC 患者,結腸鏡檢查見典型 UC 表現和(或)結腸鏡活檢和術后病理檢查診斷為 UC。④ 對照組患者的納入標準:納入與 UC-CRC 患者同期且診斷非 UC、UC-CRC、SCRC 患者,按每 1~2 個的病案號列表隨機抽選 1 個,共抽取 30 例作為對照組。
1.2 免疫組織化學方法檢測 hMLH1、hMSH2、hMSH6、hPMS2 及 IL-6 的蛋白表達
1.2.1 主要試劑
小鼠抗人 hMLH1、hMSH2、hMSH6、hPMS2、IL-6 單克隆抗體均購自武漢珈源生物醫學工程有限公司;血清 IL-6 定量檢測試劑盒購自北京熱景生物技術有限公司;EnVision 免疫組織化學檢測試劑盒購自丹麥 Dako 公司。
1.2.2 免疫組織化學染色
操作嚴格按試劑盒說明書進行,常規固定脫水、包埋切片、抗原修復等后依次滴加一抗、二抗、顯色,封片后顯微鏡下觀察。
1.2.3 染色結果判斷
① UC-CRC 及 SCRC 癌組織中 hMLH1、hMSH2、hMSH6、hPMS2 蛋白陽性表達:有絲分裂期的細胞中該抗原標記在染色體和細胞質,除有絲分裂期的細胞外,該抗體標記的陽性細胞顯示為細胞核呈棕黃色染色且背景無染色,組織內預期細胞中未見棕黃色著色為陰性表達;4 種 MMR 蛋白(hMLH1、hMSH2、hMSH6、hPMS2)中若有 1 種及以上表達缺失者則判定為錯配修復基因缺乏(dMMR),若 4 種 MMR 蛋白全部陽性表達則判定為錯配修復基因完整(pMMR)。② IL-6 蛋白陽性表達:抗體標記的細胞顯示細胞漿呈棕黃色著色且背景無染色為陽性表達,組織內預期細胞中未見棕黃色著色為陰性表達。其最終表達強度用半定量分析方法判定,觀察著色強度并評分(細胞未著色 0 分、淡黃色 1 分、棕黃色 2 分、棕褐色3 分)和鏡下隨機觀察 5 個高倍(×400)視野(每個視野計數 100 個細胞)的陽性細胞平均數判定陽性細胞百分率并進行評分(0~5% 為 0 分,6%~25% 為 1 分,26%~50% 為 2 分,51%~75% 為 3 分,>75% 為 4 分),將著色強度評分與陽性細胞百分率評分相乘得到染色指數值,當染色指數值>4 為高表達(陽性或強陽性)、≤4 為低表達(陰性或弱陽性)。由兩名經驗豐富的病理醫生共同做出最終結果判定。
1.2.4 血清 IL-6 定量分析
使用電化學發光免疫分析方法測定對照組、UC 組、UC-CRC 組及 SCRC 組患者的血清 IL-6 水平。
1.3 統計學方法
應用 SPSS 20.0 軟件對數據進行分析。血清 IL-6水平在對照組、UC 組、UC-CRC 組及 SCRC 組間比較采用 t 檢驗;UC-CRC 患者的 hMLH1、hPMS2、hMSH2 和 hMSH6 蛋白缺失情況采用卡方(χ2)檢驗進行相關分析;SCRC 及 UC-CRC 組織中 IL-6 蛋白表達與 MSI 蛋白表達的相關性分析采用 Spearman 等級相關分析。檢驗水準 α=0.05。
2 結果
2.1 本研究納入患者的基本情況
本研究納入了鄂東醫療集團(包括黃石市中心醫院中心院區及普愛院區、黃石市中醫院)2013 年 1 月至 2019 年 1 月期間收治的 UC-CRC 患者 17 例、SCRC 患者 55 例、UC 患者 43 例,對照組患者 30 例。
2.2 UC-CRC 及 SCRC 組織中 MMR 蛋白表達情況及相關性分析結果
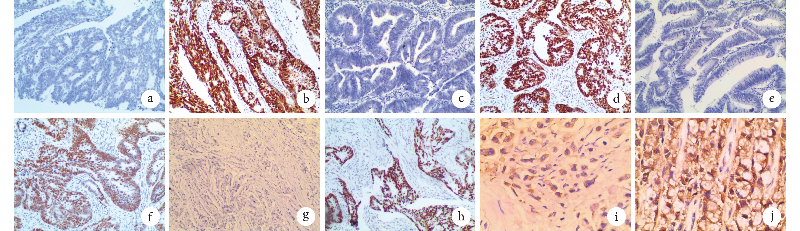
MMR 蛋白 hMLH1、hPMS2、hMSH2 和 hMSH6 在 UC-CRC 患者癌組織中的定性表達情況見圖1a–圖 1h,其在 UC-CRC 和 SCRC 癌組織中的表達情況見表1。在 UC-CRC 和 SCRC 癌組織中 hMLH1 和 hPMS2 共同缺失分別為 2 例(11.8%)和 2 例(3.6%)、hMSH2 和 hMSH6 共同缺失分別為 3 例(17.6%)和 2 例(3.6%),兩種癌組織中 hMLH1 與 hPMS2 蛋白表達缺失、hMSH2 與 hMSH6 蛋白表達缺失均明顯相關(P<0.05),見表 2 和表 3。

a:hMLH1(–);b:hMLH1(+);c:hMSH2(–);d:hMSH2(+);e:hMSH6(–);f:hMSH6(+);g:hPMS2(–);h:hPMS2(+);i:IL-6(+);j:CEA(+),可見大量印戒細胞



17 例 UC-CRC 癌組織中出現 dMMR 者共 7 例(總缺失率為 41.2%),而 55 例 SCRC 癌組織中出現 dMMR 者占 12 例(總缺失率為 21.8%),二者比較差異無統計學意義(χ2=2.505,P=0.113)。
2.3 IL-6 在 UC-CRC 癌組織中的表達以及 IL-6 與 MMR 蛋白表達的相關性分析結果
IL-6 蛋白在 UC-CRC 的眾多腫瘤細胞漿中呈陽性表達(圖1i),CEA 蛋白表達陽性的 UC-CRC 癌組織中可見大量印戒細胞表達(圖1j)。IL-6 蛋白在 UC-CRC 癌組織中高表達 9 例(52.9%),SCRC 癌組織中高表達 30 例(54.5%),UC-CRC 患者中 7 例 dMMR 者的 IL-6 高表達者 5 例(5/7),10 例 pMMR 者 IL-6 高表達者 4 例(4/10),因 UC-CRC 樣本量較小未進行統計分析,但從初步結果提示,dMMR 可能與 IL-6 有一定的關系;SCRC 癌組織中 MMR 蛋白表達與 IL-6 蛋白表達水平無明顯相關性(rs=0.04,P=0.77),見表4。

2.4 各組患者血清中 IL-6 水平
結果見表5。從表5 可見,血清 IL-6 水平在 UC 組明顯高于對照組(t=7.82,P<0.001),在 UC-CRC 組明顯高于 UC 組(t=4.97,P<0.001)及 SCRC 組(t=5.26,P=0.006)。


3 討論
結直腸腫瘤的發生是個遺傳、環境等多種因素相互作用下的多基因改變的復雜過程,常見的途徑之一是 MSI。微衛星是指基因組中一些簡單的、多不超過 10 個核苷酸的重復序列,多為由 2 個核苷酸組成的 10~50 次的重復序列,其基因的多態性由重復序列數量的多少所造成。正常人體中的 DNA MMR 系統是由 MMR 基因編碼的一系列 MMR 蛋白組成,是細胞復制出現異常時的一種保護機制,可識別 DNA 復制過程中出現的錯配堿基并進行水解和修復,從而維持 DNA 復制保真度,預防基因突變[9]。如果此修復機制出現問題,則會出現這些簡單重復序列增多或丟失即 MSI。pMMR 指 MMR 蛋白完整(所有位點均穩定時的情況)或基本完整表達(僅有 1 個位點出現不穩定時的情況)即微衛星穩定或微衛星低度不穩定,dMMR 指 MMR 蛋白明顯缺失(有不少于 2 個位點出現不穩定時的情況)即微衛星高度不穩定[10]。
對結直腸癌標本進行 MMR 蛋白表達檢測可用聚合酶鏈式反應(PCR)和免疫組織化學方法,相對于操作復雜、成本較高的 PCR 技術,免疫組織化學法操作簡便、價格低廉且與 PCR 檢測結果一致率較高[11],更利于在臨床上開展。因此,本研究用免疫組織化學方法檢測 MMR 蛋白 hMLH1、hMSH2、hMSH6 及 hPMS2 在 UC-CRC 組織中的表達情況。
目前,針對 UC-CRC 的 MSI 研究較少,本研究對此進行研究的結果顯示,在 17 例 UC-CRC 癌組織中出現至少 1 種 MMR 蛋白陰性表達者共 7 例(缺失率為 41.2%),而在 55 例 SCRC 癌組織中出現至少 1 種 MMR 蛋白陰性表達者共 12 例(缺失率為 21.8%),二者在發生 MSI 方面未見明顯差異,提示與 SCRC 類似,MSI 可能也參與了 UC-CRC 的發生及發展過程。在本研究中發現 UC-CRC 組的 hMLH1、hMSH2、hMSH6、hPMS2 蛋白表達缺失率分別為 17.6%、29.4%、23.5%、17.6%,這與歐洲一項結直腸癌的研究結果[12]相似。相關研究[13]發現,每個 DNA 結合的 hMutSα 復合體的信號轉導過程是由 hMutLα 異二聚體(hMLH1-hPMS2)完成的,其中 hMLH1 為主導蛋白,hPMS2 為配對蛋白;而 hMSH6 是 hMSH2 的 G∶T 結合配偶體,它們共同形成 hMutSα 錯配結合復合體(hMSH2-hMSH6),hMSH2 為主導蛋白、hMSH6 為配對蛋白,當主導蛋白 hMSH2 發生突變缺失時,hMSH6 是不穩定的,即可出現兩者的共同缺失,這種情況亦適用于 hMutLα 異二聚體(hMLH1-hPMS2)。在本研究中的結果顯示,hMLH1 和 hPMS2 共同缺失占 11.8%,hMSH2 和 hMSH6 共同缺失占 17.6%,而且 hMLH1 與 hPMS2 蛋白缺失之間、hMSH2 與 hMSH6 蛋白缺失之間均明顯相關,這與 Edelbrock 等[13]的研究結果相吻合。
UC 曾被認為在歐美等國家發病率較高[14],我國其患病率不高,但近年來發現其在我國的發病率呈快速上升趨勢[15]。UC 被認為可持續增加患者結直腸癌的發病風險,其結直腸黏膜上皮細胞在出現不典型增生或癌變之前就處于炎性變,長期的積累便出現了基因改變[16-20]。氧化應激作用是公認的 UC 和結直腸癌發生基因突變的驅動因素[21-22]。UC 被認為時常處于氧自由基過量的狀態,其中脫顆粒的多形核細胞引起細胞發生 DNA 突變等損傷[23-24],而多形核細胞能產生某些細胞因子(如 IL-6、TNF-α 等)促進腫瘤的發生、發展和轉移[25-26];且研究[5-6]發現,結直腸癌患者血清 IL-6 水平明顯增高,IL-6 可能參與了結直腸癌細胞的 MSI 發生,這種現象也常見于 UC 的有炎癥黏膜上皮細胞中[7]。那么 UC 癌變與 IL-6 是否有關?IL-6 是否亦通過誘導 MSI 而導致 UC-CRC 的發生?筆者從 2009 年接觸 UC-CRC,初始時因經驗缺乏,故在臨床診療中遇到了一些問題,然后對其臨床經驗進行了初步總結;從 2012 年開始,有了研究其發病機制的設想,故從 2013 年及以后術前確診或擬診病例我們均常規檢查了包括 IL-6 在內的多個臨床指標。本研究對對照組、UC 組、UC-CRC 組及 SCRC 組患者的血清 IL-6 水平進行分析發現,UC 組患者的血清 IL-6 水平明顯高于對照組(P<0.05),UC-CRC 組明顯高于 UC 組(P<0.05)及 SCRC 組(P<0.05),提示 IL-6 可能與 UC 患者反復炎癥損害及其最終癌變有關。進而本研究嘗試探討了在 SCRC 及 UC-CRC 組織中 IL-6 與 MMR 蛋白表達的關系,未發現 SCRC 癌組織中 MMR 與 IL-6 有關,不能確切明確 IL-6 參與了結直腸癌的 MSI 相關癌變機制;對于 UC-CRC,因其樣本量較少未進行統計學分析,但根據 UC-CRC 癌組織 dMMR 者中出現 IL-6 高表達的比例較高而 pMMR 者中出現 IL-6 低表達的比例較低初步推測 dMMR 可能與 IL-6 有一定的關系,即 IL-6 可能參與了 MSI 的發生,但是該推測有待將來積累更多的 UC-CRC 病例資料加以判斷是否正確。
總之,與 SCRC 類似,MSI 參與了 UC-CRC 的發生及發展過程。UC-CRC 的 MMR 蛋白缺失更常見于 hMLH1 與 hPMS2、hMSH2 與 hMSH6 表達的共同缺失,本研究結果未能發現 IL-6 參與了結直腸癌的 MSI 相關癌變機制的證據,然而從本研究的初步研究結果推測 IL-6 可能參與了 UC-CRC 患者 MSI 的發生。
重要聲明
利益沖突聲明:本文全體作者閱讀并理解了《中國普外基礎與臨床雜志》的政策聲明,我們無相互競爭的利益。
作者貢獻聲明:銀東智、左健參與了起草文章;袁又能對文章進行了審閱;銀東智、袁又能、羅海平參與了手術實施;左健、左燕妮、汪燕舞數據采集及數據庫的建立;銀東智、羅海平參與了數據的統計分析。
倫理聲明:本研究通過了鄂東醫療集團黃石市中心醫院倫理委員會審批(倫理批文編號:2019-WCK-013)。
在正常人體中存在一套完整的 DNA 錯配修復(MMR)系統,如果此修復機制出現問題如 MMR 基因發生甲基化、突變或缺失,可以導致 MMR 蛋白表達缺失(dMMR)[1],繼而出現 DNA MMR 錯誤,出現這些簡單重復序列增多或丟失即微衛星不穩定性(MSI),其結果是子細胞發生突變甚或癌變[2]。因此,可以通過檢測 MMR 蛋白表達是否缺失來確定是否存在 MSI。潰瘍性結腸炎(UC)是一種病因尚不明確、特異性作用于直腸和結腸黏膜、慢性反復發作的炎癥性病變,UC 病程進展過程中可能會癌變即發展成 UC 相關性結直腸癌(UC-CRC)。結直腸癌中大多數呈散發性(非遺傳性)即散發性結直腸癌(SCRC),而少部分有遺傳背景,其中遺傳性非息肉結直腸癌(HNPCC)發病率占到結直腸癌總發病的 3%~5%[3]。有文獻[4]報道,90% 以上的 HNPCC 和 10%~15% 的 SCRC 均與 MSI 有關。另外,有研究[5-6]發現,結直腸癌患者的血清中白細胞介素-6(IL-6)的水平明顯增高可能與 MSI 有關,且這種現象也常見于 UC 的有炎癥黏膜上皮細胞中[7]。由此,在 UC-CRC 的發病過程中 MSI 是否參與其中并起到了怎樣的作用、炎癥因子 IL-6 是否參與了 MSI 的發生等這些問題的研究值得進一步進行探索。歐美等國家對此的相關研究雖然不多,但還是已經積累了一定的經驗,但中國作為亞洲的一個大國,UC-CRC 相關研究資料卻非常欠缺。筆者前期曾對 UC-CRC 患者的臨床病理特點作了分析總結[8],在本研究擬進一步分析 UC-CRC 患者中的 IL-6 及 MMR 蛋白表達情況并探討 UC 患者癌變過程中 IL-6 及 MSI 所起的作用。
1 資料與方法
1.1 病例納入標準和排除標準
① UC-CRC 納入標準:接受手術治療、術前未接受輔助放化療等治療,結腸鏡活檢和(或)手術后病理檢查明確診斷為結直腸癌且結腸鏡檢查見典型 UC 表現和(或)結腸鏡活檢和術后病理檢查診斷為 UC。② SCRC 納入標準:接受手術治療、術前未接受輔助放化療等治療,病理檢查診斷為結直腸癌,與 UC-CRC 患者同期收治且術后病理檢查示腫瘤分期相同。③ UC 患者的納入標準:與 UC-CRC 患者同期收治且診斷非 UC-CRC、SCRC 的 UC 患者,結腸鏡檢查見典型 UC 表現和(或)結腸鏡活檢和術后病理檢查診斷為 UC。④ 對照組患者的納入標準:納入與 UC-CRC 患者同期且診斷非 UC、UC-CRC、SCRC 患者,按每 1~2 個的病案號列表隨機抽選 1 個,共抽取 30 例作為對照組。
1.2 免疫組織化學方法檢測 hMLH1、hMSH2、hMSH6、hPMS2 及 IL-6 的蛋白表達
1.2.1 主要試劑
小鼠抗人 hMLH1、hMSH2、hMSH6、hPMS2、IL-6 單克隆抗體均購自武漢珈源生物醫學工程有限公司;血清 IL-6 定量檢測試劑盒購自北京熱景生物技術有限公司;EnVision 免疫組織化學檢測試劑盒購自丹麥 Dako 公司。
1.2.2 免疫組織化學染色
操作嚴格按試劑盒說明書進行,常規固定脫水、包埋切片、抗原修復等后依次滴加一抗、二抗、顯色,封片后顯微鏡下觀察。
1.2.3 染色結果判斷
① UC-CRC 及 SCRC 癌組織中 hMLH1、hMSH2、hMSH6、hPMS2 蛋白陽性表達:有絲分裂期的細胞中該抗原標記在染色體和細胞質,除有絲分裂期的細胞外,該抗體標記的陽性細胞顯示為細胞核呈棕黃色染色且背景無染色,組織內預期細胞中未見棕黃色著色為陰性表達;4 種 MMR 蛋白(hMLH1、hMSH2、hMSH6、hPMS2)中若有 1 種及以上表達缺失者則判定為錯配修復基因缺乏(dMMR),若 4 種 MMR 蛋白全部陽性表達則判定為錯配修復基因完整(pMMR)。② IL-6 蛋白陽性表達:抗體標記的細胞顯示細胞漿呈棕黃色著色且背景無染色為陽性表達,組織內預期細胞中未見棕黃色著色為陰性表達。其最終表達強度用半定量分析方法判定,觀察著色強度并評分(細胞未著色 0 分、淡黃色 1 分、棕黃色 2 分、棕褐色3 分)和鏡下隨機觀察 5 個高倍(×400)視野(每個視野計數 100 個細胞)的陽性細胞平均數判定陽性細胞百分率并進行評分(0~5% 為 0 分,6%~25% 為 1 分,26%~50% 為 2 分,51%~75% 為 3 分,>75% 為 4 分),將著色強度評分與陽性細胞百分率評分相乘得到染色指數值,當染色指數值>4 為高表達(陽性或強陽性)、≤4 為低表達(陰性或弱陽性)。由兩名經驗豐富的病理醫生共同做出最終結果判定。
1.2.4 血清 IL-6 定量分析
使用電化學發光免疫分析方法測定對照組、UC 組、UC-CRC 組及 SCRC 組患者的血清 IL-6 水平。
1.3 統計學方法
應用 SPSS 20.0 軟件對數據進行分析。血清 IL-6水平在對照組、UC 組、UC-CRC 組及 SCRC 組間比較采用 t 檢驗;UC-CRC 患者的 hMLH1、hPMS2、hMSH2 和 hMSH6 蛋白缺失情況采用卡方(χ2)檢驗進行相關分析;SCRC 及 UC-CRC 組織中 IL-6 蛋白表達與 MSI 蛋白表達的相關性分析采用 Spearman 等級相關分析。檢驗水準 α=0.05。
2 結果
2.1 本研究納入患者的基本情況
本研究納入了鄂東醫療集團(包括黃石市中心醫院中心院區及普愛院區、黃石市中醫院)2013 年 1 月至 2019 年 1 月期間收治的 UC-CRC 患者 17 例、SCRC 患者 55 例、UC 患者 43 例,對照組患者 30 例。
2.2 UC-CRC 及 SCRC 組織中 MMR 蛋白表達情況及相關性分析結果
MMR 蛋白 hMLH1、hPMS2、hMSH2 和 hMSH6 在 UC-CRC 患者癌組織中的定性表達情況見圖1a–圖 1h,其在 UC-CRC 和 SCRC 癌組織中的表達情況見表1。在 UC-CRC 和 SCRC 癌組織中 hMLH1 和 hPMS2 共同缺失分別為 2 例(11.8%)和 2 例(3.6%)、hMSH2 和 hMSH6 共同缺失分別為 3 例(17.6%)和 2 例(3.6%),兩種癌組織中 hMLH1 與 hPMS2 蛋白表達缺失、hMSH2 與 hMSH6 蛋白表達缺失均明顯相關(P<0.05),見表 2 和表 3。

a:hMLH1(–);b:hMLH1(+);c:hMSH2(–);d:hMSH2(+);e:hMSH6(–);f:hMSH6(+);g:hPMS2(–);h:hPMS2(+);i:IL-6(+);j:CEA(+),可見大量印戒細胞



17 例 UC-CRC 癌組織中出現 dMMR 者共 7 例(總缺失率為 41.2%),而 55 例 SCRC 癌組織中出現 dMMR 者占 12 例(總缺失率為 21.8%),二者比較差異無統計學意義(χ2=2.505,P=0.113)。
2.3 IL-6 在 UC-CRC 癌組織中的表達以及 IL-6 與 MMR 蛋白表達的相關性分析結果
IL-6 蛋白在 UC-CRC 的眾多腫瘤細胞漿中呈陽性表達(圖1i),CEA 蛋白表達陽性的 UC-CRC 癌組織中可見大量印戒細胞表達(圖1j)。IL-6 蛋白在 UC-CRC 癌組織中高表達 9 例(52.9%),SCRC 癌組織中高表達 30 例(54.5%),UC-CRC 患者中 7 例 dMMR 者的 IL-6 高表達者 5 例(5/7),10 例 pMMR 者 IL-6 高表達者 4 例(4/10),因 UC-CRC 樣本量較小未進行統計分析,但從初步結果提示,dMMR 可能與 IL-6 有一定的關系;SCRC 癌組織中 MMR 蛋白表達與 IL-6 蛋白表達水平無明顯相關性(rs=0.04,P=0.77),見表4。

2.4 各組患者血清中 IL-6 水平
結果見表5。從表5 可見,血清 IL-6 水平在 UC 組明顯高于對照組(t=7.82,P<0.001),在 UC-CRC 組明顯高于 UC 組(t=4.97,P<0.001)及 SCRC 組(t=5.26,P=0.006)。


3 討論
結直腸腫瘤的發生是個遺傳、環境等多種因素相互作用下的多基因改變的復雜過程,常見的途徑之一是 MSI。微衛星是指基因組中一些簡單的、多不超過 10 個核苷酸的重復序列,多為由 2 個核苷酸組成的 10~50 次的重復序列,其基因的多態性由重復序列數量的多少所造成。正常人體中的 DNA MMR 系統是由 MMR 基因編碼的一系列 MMR 蛋白組成,是細胞復制出現異常時的一種保護機制,可識別 DNA 復制過程中出現的錯配堿基并進行水解和修復,從而維持 DNA 復制保真度,預防基因突變[9]。如果此修復機制出現問題,則會出現這些簡單重復序列增多或丟失即 MSI。pMMR 指 MMR 蛋白完整(所有位點均穩定時的情況)或基本完整表達(僅有 1 個位點出現不穩定時的情況)即微衛星穩定或微衛星低度不穩定,dMMR 指 MMR 蛋白明顯缺失(有不少于 2 個位點出現不穩定時的情況)即微衛星高度不穩定[10]。
對結直腸癌標本進行 MMR 蛋白表達檢測可用聚合酶鏈式反應(PCR)和免疫組織化學方法,相對于操作復雜、成本較高的 PCR 技術,免疫組織化學法操作簡便、價格低廉且與 PCR 檢測結果一致率較高[11],更利于在臨床上開展。因此,本研究用免疫組織化學方法檢測 MMR 蛋白 hMLH1、hMSH2、hMSH6 及 hPMS2 在 UC-CRC 組織中的表達情況。
目前,針對 UC-CRC 的 MSI 研究較少,本研究對此進行研究的結果顯示,在 17 例 UC-CRC 癌組織中出現至少 1 種 MMR 蛋白陰性表達者共 7 例(缺失率為 41.2%),而在 55 例 SCRC 癌組織中出現至少 1 種 MMR 蛋白陰性表達者共 12 例(缺失率為 21.8%),二者在發生 MSI 方面未見明顯差異,提示與 SCRC 類似,MSI 可能也參與了 UC-CRC 的發生及發展過程。在本研究中發現 UC-CRC 組的 hMLH1、hMSH2、hMSH6、hPMS2 蛋白表達缺失率分別為 17.6%、29.4%、23.5%、17.6%,這與歐洲一項結直腸癌的研究結果[12]相似。相關研究[13]發現,每個 DNA 結合的 hMutSα 復合體的信號轉導過程是由 hMutLα 異二聚體(hMLH1-hPMS2)完成的,其中 hMLH1 為主導蛋白,hPMS2 為配對蛋白;而 hMSH6 是 hMSH2 的 G∶T 結合配偶體,它們共同形成 hMutSα 錯配結合復合體(hMSH2-hMSH6),hMSH2 為主導蛋白、hMSH6 為配對蛋白,當主導蛋白 hMSH2 發生突變缺失時,hMSH6 是不穩定的,即可出現兩者的共同缺失,這種情況亦適用于 hMutLα 異二聚體(hMLH1-hPMS2)。在本研究中的結果顯示,hMLH1 和 hPMS2 共同缺失占 11.8%,hMSH2 和 hMSH6 共同缺失占 17.6%,而且 hMLH1 與 hPMS2 蛋白缺失之間、hMSH2 與 hMSH6 蛋白缺失之間均明顯相關,這與 Edelbrock 等[13]的研究結果相吻合。
UC 曾被認為在歐美等國家發病率較高[14],我國其患病率不高,但近年來發現其在我國的發病率呈快速上升趨勢[15]。UC 被認為可持續增加患者結直腸癌的發病風險,其結直腸黏膜上皮細胞在出現不典型增生或癌變之前就處于炎性變,長期的積累便出現了基因改變[16-20]。氧化應激作用是公認的 UC 和結直腸癌發生基因突變的驅動因素[21-22]。UC 被認為時常處于氧自由基過量的狀態,其中脫顆粒的多形核細胞引起細胞發生 DNA 突變等損傷[23-24],而多形核細胞能產生某些細胞因子(如 IL-6、TNF-α 等)促進腫瘤的發生、發展和轉移[25-26];且研究[5-6]發現,結直腸癌患者血清 IL-6 水平明顯增高,IL-6 可能參與了結直腸癌細胞的 MSI 發生,這種現象也常見于 UC 的有炎癥黏膜上皮細胞中[7]。那么 UC 癌變與 IL-6 是否有關?IL-6 是否亦通過誘導 MSI 而導致 UC-CRC 的發生?筆者從 2009 年接觸 UC-CRC,初始時因經驗缺乏,故在臨床診療中遇到了一些問題,然后對其臨床經驗進行了初步總結;從 2012 年開始,有了研究其發病機制的設想,故從 2013 年及以后術前確診或擬診病例我們均常規檢查了包括 IL-6 在內的多個臨床指標。本研究對對照組、UC 組、UC-CRC 組及 SCRC 組患者的血清 IL-6 水平進行分析發現,UC 組患者的血清 IL-6 水平明顯高于對照組(P<0.05),UC-CRC 組明顯高于 UC 組(P<0.05)及 SCRC 組(P<0.05),提示 IL-6 可能與 UC 患者反復炎癥損害及其最終癌變有關。進而本研究嘗試探討了在 SCRC 及 UC-CRC 組織中 IL-6 與 MMR 蛋白表達的關系,未發現 SCRC 癌組織中 MMR 與 IL-6 有關,不能確切明確 IL-6 參與了結直腸癌的 MSI 相關癌變機制;對于 UC-CRC,因其樣本量較少未進行統計學分析,但根據 UC-CRC 癌組織 dMMR 者中出現 IL-6 高表達的比例較高而 pMMR 者中出現 IL-6 低表達的比例較低初步推測 dMMR 可能與 IL-6 有一定的關系,即 IL-6 可能參與了 MSI 的發生,但是該推測有待將來積累更多的 UC-CRC 病例資料加以判斷是否正確。
總之,與 SCRC 類似,MSI 參與了 UC-CRC 的發生及發展過程。UC-CRC 的 MMR 蛋白缺失更常見于 hMLH1 與 hPMS2、hMSH2 與 hMSH6 表達的共同缺失,本研究結果未能發現 IL-6 參與了結直腸癌的 MSI 相關癌變機制的證據,然而從本研究的初步研究結果推測 IL-6 可能參與了 UC-CRC 患者 MSI 的發生。
重要聲明
利益沖突聲明:本文全體作者閱讀并理解了《中國普外基礎與臨床雜志》的政策聲明,我們無相互競爭的利益。
作者貢獻聲明:銀東智、左健參與了起草文章;袁又能對文章進行了審閱;銀東智、袁又能、羅海平參與了手術實施;左健、左燕妮、汪燕舞數據采集及數據庫的建立;銀東智、羅海平參與了數據的統計分析。
倫理聲明:本研究通過了鄂東醫療集團黃石市中心醫院倫理委員會審批(倫理批文編號:2019-WCK-013)。