引用本文: 劉文平, 張永川, 張映林. 丹參酮 Ⅱ A 在小鼠肝臟缺血再灌注損傷模型中的保護作用及機制. 中國普外基礎與臨床雜志, 2020, 27(3): 298-303. doi: 10.7507/1007-9424.201907023 復制
肝臟缺血再灌注損傷可使如氧自由基等有害物質增多,從而引起肝臟實質細胞損傷[1];同時大量的氧自由基誘導肝臟間質細胞等通過旁分泌網絡分泌大量的炎癥介質,加劇微循環障礙、血小板激活和炎癥細胞浸潤,最終擴大肝實質細胞死亡等[2]。因此,抑制肝組織中氧自由基、炎癥介質等有害物質的產生可有效地減輕由缺血、缺氧和再灌注誘導的肝細胞凋亡和壞死[3]。丹參酮 Ⅱ A 是傳統中藥丹參的有效成分之一,具有降低心肌耗氧、改善微循環障礙、降脂、抗炎、抗氧化等功效[4]。近年來,丹參酮 Ⅱ A 被報道對肝臟纖維化、再生和炎癥具有明顯的調控作用。更重要的是,有研究[5]發現丹參酮 Ⅱ A 可能是通過調節大鼠庫普弗細胞高遷移率族蛋白 B1(high mobility group box 1 protein,HMGB1)的表達作為丹參酮 Ⅱ A 緩解肝臟缺血再灌注損傷作用的主要靶點。但丹參酮 Ⅱ A 如何通過 HMGB1 抑制肝臟缺血再灌注誘導炎癥損傷仍不清楚。基于此,本研究通過利用丹參酮 Ⅱ A 預處理小鼠后建立肝臟缺血再灌注損傷模型,以觀察參酮 Ⅱ A 預處理小鼠和模型小鼠的肝功能變化,通過兩者的肝臟組織病理變化和炎癥因子表達情況的比較以及檢測相應肝臟組織中 HMGB1 相關信號通路蛋白分子的變化情況,試圖解釋丹參酮 Ⅱ A 對肝臟缺血再灌注損傷的保護作用。
1 材料與方法
1.1 實驗動物
40 只雄性 C57BL/6J 小鼠購買于重慶醫科大學實驗動物中心(8 周齡,體質量 20~22 g,清潔級)。小鼠均飼養于濕度恒定為 21~23 ℃、12 h/12 h晝夜交替、自由進食進水、獨立通風籠具系統中。本實驗所涉及所有動物實驗及操作均符合中國政府實驗動物福利倫理審查指南對于實驗動物福利的相關法律及規定。
1.2 主要試劑及實驗儀器
1.2.1 主要試劑
丹參酮 Ⅱ A(純度大于 98.5%,溶劑為 90% 乙醇,配成 20 mg/mL 的原液)購買于成都普思生物科技股份有限公司;兔抗 Toll 樣受體 4(Toll like receptor 4,TLR4)抗體(bs-20595R,比例 1∶500)、兔抗晚期糖基化終產物特異性受體(receptor of advanced glycosylation end-product specific,RAGE)抗體(bs-4999R,比例 1∶500)、兔抗 HMGB1 抗體(bs-20633R,比例 1∶500)和兔抗 β-actin 抗體(bs-0061R,比例 1∶500)均購于北京博奧森生物科技公司;辣根過氧化物酶標記山羊抗兔 IgG(A0208,比例 1∶500)、BCA 蛋白濃度測定試劑盒(P0010S)、彩色預染蛋白質分子量標準 Marker(P0069)、原位末端標記(terminal-deoxynucleoitidyl transferase mediated nick end labeling,TUNEL)細胞凋亡檢測試劑盒(C1098)和特超敏電化學發光(electrochemiluminescence,ECL)試劑盒(P0018A)均購于江蘇碧云天公司;動物組織總 RNA 提取試劑盒(DP431)、cDNA 逆轉錄試劑盒(KR103)和實時熒光定量聚合酶鏈式反應(real-time quantitative polymerase chain reaction,qRT-PCR)檢測試劑盒(FP209-02)購于北京天根生化科技公司。
1.2.2 實驗儀器
全自動生化分析儀為貝克曼庫爾特公司產品;蛋白質垂直凝膠電泳槽系統、蛋白凝膠成像儀、RT-PCR 儀為 Bio-Rad 公司產品,酶標儀為 Eppendorf 公司產品,正置光學顯微鏡為尼康儀器公司產品。
1.3 方法
1.3.1 實驗動物分組、處理及標本收集
所有小鼠接受手術前均禁食 12 h、禁飲 6 h。40 只小鼠標記耳標后按照數字順序分籠,每籠 8 只,以 8 的倍數分層,每籠隨機分出 2 只小鼠,總共 4 組,每組 10 只小鼠,每組小鼠均進行標記。① 假手術組:小鼠接受手術前,每天經腹腔注射稀釋的乙醇生理鹽水(90% 乙醇 10 μL+生理鹽水 490 μL)溶液 0.5 mL,持續 1 周。1 周后小鼠經乙醚持續吸入麻醉,然后常規消毒皮膚,依次剪開皮膚、腹肌、腹膜,暴露腹腔后游離肝臟,最后再依次縫合腹膜、腹肌、皮膚。小鼠術后給予保溫、正常飲食等。② 丹參酮 Ⅱ A 預處理組(簡稱“丹參酮組”):小鼠接受手術前,每天經腹腔注射丹參酮 Ⅱ A 10 mg/(kg·d),注射體積為 0.5 mL,持續 1 周。1 周后小鼠完全參照假手術組操作。③ 缺血再灌注組:小鼠接受手術前,每天完全參照假手術組注射溶液,持續 1 周。1 周后小鼠被依次麻醉、消毒后暴露腹腔,暴露腹腔后游離肝臟并鈍性分離肝門區韌帶,然后利用動脈夾鉗夾肝門部 Glission 纖維鞘左支(肝左動脈、門靜脈左支及左肝管),觀察到肝臟表面顏色由鮮紅色逐漸變成淡黃色即證明阻斷成功;持續 90 min 后祛除動脈夾,恢復肝臟的血供,觀察到肝臟表面顏色逐漸轉為紅色即表示再灌注成功;最后關腹、術畢。對術后小鼠給予保溫、正常飲食。④ 丹參酮 Ⅱ A 預處理后缺血再灌注組(簡稱“丹參酮+缺血再灌注組” ):丹參酮 Ⅱ A 預處理完全參照丹參酮組的操作;缺血再灌注模型完全參照缺血再灌注組操作。所有小鼠均于手術后第 6 h 時處死,眼眶取血法收集外周血,并保存于 4 ℃ 肝素抗凝管中備用;收集肝臟組織標本分別用中性甲醛液固定和液氮保存備用。
1.3.2 肝功能檢測
收集的小鼠外周血經離心(2 000 r/min,r=7.5 cm,5 min)后獲得血清,再用全自動生化分析儀檢測血清中丙氨酸氨基轉移酶(alanine aminotransferase,ALT)和天冬氨酸氨基轉移酶(aspartate amino transferase,AST)水平。
1.3.3 肝臟組織病理檢查和 TUNEL 染色法檢測細胞凋亡
肝臟組織經固定、石蠟包埋、制作成切片。① 肝臟組織病理檢查。采用蘇木精-伊紅染色(hematoxylin-eosin staining,HE):常規脫蠟至水后,切片置于蘇木精溶液中 5 min;經飽和碳酸鋰返藍、乙醇脫水后置于伊紅染液中 2~3 min;再進行脫水、透明、封片;最后利用正置光學顯微鏡觀察,并采用 Suzuki 評分系統進行肝臟病理評分。② TUNEL 染色法檢測細胞凋亡。嚴格參照試劑盒操作,即常規脫蠟至水后,用蛋白酶 K 室溫消化30 min,隨后用 3% 過氧化氫溶液室溫封閉 30 min;然后用末端脫氧核苷酰轉移酶、地高辛標記的脫氧尿嘧啶核苷三磷酸和生物素標記的抗地高辛抗體暗室室溫孵育 2 h;接著用鏈霉親和素-辣根過氧化物酶工作液室溫孵育 30 min 以及用二氨基聯苯胺法室溫染色 2~5 min;之后用蘇木精復染細胞核、脫水、透明、封片;最后用光學顯微鏡放大 400 倍后觀察 100 個肝細胞中被染出黃褐色的細胞個數,兩者比即為肝細胞凋亡指數。
1.3.4 qRT-PCR 法檢測肝組織中腫瘤壞死因子-α(tumor necrosis factor-α,TNF-α)和白細胞介素 6(interleukin 6,IL-6)炎癥因子
① 提取肝組織總 RNA 參照試劑盒說明書操作,即肝組織(15 mg)加入含有人 β-巰基乙醇的裂解液進行勻漿,再加入蛋白酶 K 消化(56 ℃,20 min);離心(12 000 r/min,r=7.5 cm,5 min)后轉移到無酶 EP 管中;然后用等體積無水乙醇溶解、祛除蛋白和 DNA;最后 20 μL 無酶水溶解。② cDNA 合成:10 μL 體系中含 1 μL 的 10×RT Mix、1 μL 的 Super pure dNTPs、1 μL 的 Oligo-(dT)15、0.5 μL 的 Quant Reverse Transcriptase、1 μg 總 RNA 和無酶水補足至 10 μL,反應條件為 37 ℃,60 min。③ qRT-PCR 反應、SYBR Green 法:20 μL體系中含 10 μL 的 2×Talent qPCR PreMix、0.6 μL 的正向引物、0.6 μL 的反向引物、100 ng 的 cDNA 和無酶水補足至 20 μL;先進行 95 ℃ 預變性 3 min,1 個循環;然后 95 ℃、5 s 和 60 ℃、15 s 進行擴增反應,總共 40 個循環。基因引物序列:TNF-α 正義鏈為5′ -CCCTCACACTCAGATCATCTTCT-3′ ,反義鏈為5′ -GCTACGACGTGGGCTACAG-3′ ,擴增片段大小為 86 bp;IL-6 正義鏈為 5′ -TAGTCCTTCCTACCCCAATTTCC-3′ ,反義鏈為 5′ -TTGGTCCTTAGCCACTCCTTC-3′ ,擴增片段大小為 76 bp;β-actin 正義鏈為 5′ -GGCTGTATTCCCCTCCATCG-3′ ,反義鏈為 5′ -CCAGTTGGTAACAATGCCATGT-3′ ,擴增片段大小為 154 bp。最后進行半定量分析,公式為2—△△Ct,其中△△Ct=(Ct目的—Ct內參)對照組—(Ct目的—Ct內參)實驗組。
1.3.5 Western blot 法檢測肝組織中 TLR4、HMGB1 和 RAGE 的蛋白表達
① 肝臟組織總蛋白提取:取 100 mg 肝臟組織,加入 500 μL RIPA 裂解液勻漿,離心(12 000 r/min,r=7.5 cm,30 min)后獲得蛋白上清。② 凝膠電泳:采用 BCA 法測定蛋白濃度,設定每孔 60 μg 蛋白進行上樣,然后 10% 凝膠電泳(100 V,100 min), 250 mA、90 min 轉膜,封閉后加一抗 4 ℃ 孵育過夜;接著加二抗室溫孵育 90 min,最后采用 ECL 試劑盒在凝膠成像系統成像。③ 蛋白表達量的計算:用 Image Lab 軟件分別測量目的蛋白和內參蛋白的灰度值,目的蛋白的灰度值與內參蛋白的灰度值的比值即為目的蛋白的相對表達量。
1.4 統計學方法
采用 SPSS 18.0 軟件對數據進行統計分析。本研究中數據均為計量資料,以均值±標準差(±s)表示。各組數據先進行方差齊性檢驗,再采用 2×2 的析因設計分析。檢驗水準 α=0.05。
2 結果
2.1 丹參酮 ⅡA 可降低缺血再灌注小鼠的肝功能指標
數據見表 1。數據經方差齊性檢驗,析因設計分析結果顯示,丹參酮能降低 ALT 和 AST 的水平(P<0.05),缺血再灌注后 ALT 和 AST 的水平均顯著升高(P<0.05),丹參酮和缺血再灌注聯合會拮抗(協同)影響 ALT 和 AST 的水平(P<0.05)。


2.2 丹參酮 ⅡA 可減輕缺血再灌注小鼠的肝組織損傷及減少肝細胞凋亡
肝臟組織病理檢查和 TUNEL 染色檢測細胞凋亡情況見圖 1。肝臟組織病理評分和肝細胞凋亡指數數據見表 2。數據經方差齊性檢驗,析因設計分析結果顯示,丹參酮能改善肝臟組織的病理改變(P<0.05)和使凋亡指數降低(P<0.05),缺血再灌注使肝臟組織的病理評分明顯升高(P<0.05)和使凋亡指數顯著升高(P<0.05),丹參酮和缺血再灌注聯合會拮抗(協同)影響肝臟組織的病理評分(P<0.05)和細胞凋亡(P<0.05)。



2.3 丹參酮 ⅡA 可減少缺血再灌注小鼠的肝組織炎癥因子的分泌
數據見表 3。數據經方差齊性檢驗,析因設計分析結果顯示,丹參酮能減輕小鼠肝臟組織的炎性反應(P<0.05),缺血再灌注使肝臟組織的炎性反應明顯(P<0.05),丹參酮和缺血再灌注聯合會拮抗(協同)影響肝臟組織的炎性反應(P<0.05)。


2.4 丹參酮 ⅡA 可抑制缺血再灌注小鼠的肝組織 TLR4、HMGB1 和 RAGE 的蛋白表達
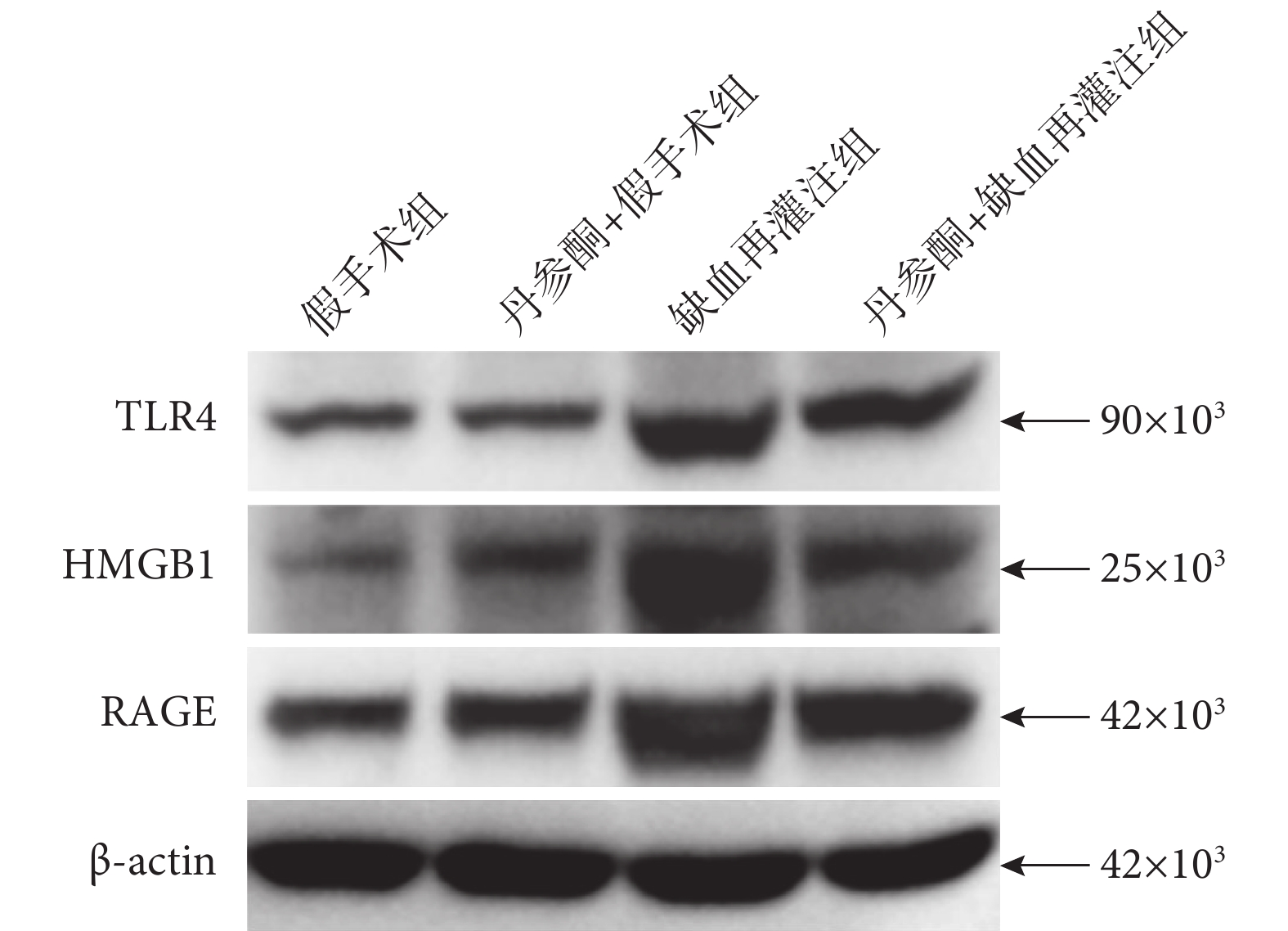
肝臟組織中 TLR4、HMGB1 和 RAGE 蛋白表達的定性結果見圖 2。TLR4、HMGB1 和 RAGE 蛋白表達數據見表 4。數據經方差齊性檢驗,析因設計分析結果顯示,丹參酮能減輕小鼠肝臟組織抑制 TLR4、HMGB1 和 RAGE 蛋白表達(P<0.05),缺血再灌注使肝臟組織中 TLR4、HMGB1 和 RAGE 蛋白表達顯著升高(P<0.05),丹參酮和缺血再灌注聯合會拮抗影響肝臟組織中 TLR4、HMGB1 和 RAGE 蛋白表達(P<0.05)。



3 討論
肝臟具有肝動脈和門靜脈兩套獨立的血供系統,因而在肝臟手術中易發生缺血再灌注損傷[6]。缺血再灌注損傷的病理機制包括暖缺血期和冷灌注期兩個階段,前者發生在肝臟缺血期,由于缺乏有效血供,導致肝實質細胞缺氧及能量供應障礙,從而使細胞膜鈉鉀泵轉運障礙、鈣離子內流、血竇內皮細胞水腫、多種有害物質如氧自由基等產生增多,從而引起肝臟實質細胞損傷[1];后者發生在肝臟血流再灌注期,大量的氧自由基誘導肝臟間質細胞、肝血竇內皮細胞、樹突狀細胞、中性粒細胞等通過旁分泌網絡分泌大量的炎癥介質,進一步加劇微循環障礙、血小板激活和炎癥細胞浸潤,最終擴大肝實質細胞死亡等[2]。缺血再灌注損傷是一種復雜的、動態發展的病理生理過程,因此,抑制肝組織中氧自由基、炎癥介質等有害物質的產生可有效地減輕由缺血、缺氧和再灌注誘導的肝細胞凋亡和壞死[3]。
作為傳統中藥的丹參酮 Ⅱ A 被報道具有以下功能:通過提高 Wnt/β-catenin 通路活性促進肝臟卵圓細胞的分化和增殖[7];通過下調轉化生長因子-β和 Ⅰ 型膠原蛋白抑制肝臟纖維化[8];通過抑制肝臟間質細胞中 TLR4的信號傳導而調節肝臟固有免疫反應[9]。丹參酮 Ⅱ A 對炎癥因子的調控作用已被許多研究者[10-12]報道,其具有的抗炎作用被廣泛用于器官缺血再灌注的研究,如 Pan 等[13]報道,丹參酮 Ⅱ A 磺酸鈉通過降低 HMGB1 表達,促進心肌細胞的自噬并減輕大鼠心臟缺血再灌注誘導的心肌損傷;Xu 等[14]發現,丹參酮 Ⅱ A 通過降低髓過氧化物酶等炎癥因子減輕大鼠腎臟的缺血再灌注損傷;劉月秋等[15]報道,丹參酮 Ⅱ A 通過抑制 Wnt/β-catenin/p53 信號途徑介導的炎癥和凋亡,減輕大鼠腦缺血再灌注損傷。同樣,丹參酮 Ⅱ A 對肝臟缺血再灌注損傷也展現強大的保護作用,如 Wang 等[16]報道,丹參酮 Ⅱ A 通過 MEK/ERK/mTOR 途徑激活自噬減輕肝臟缺血再灌注損傷;Qin 等[7]報道,丹參酮 Ⅱ A 通過下調 TLR4/NF-κB/HMGB1 通路減輕肝臟移植后缺血再灌注損傷;Li 等[5]報道,丹參酮 Ⅱ A 通過調節大鼠庫普弗細胞 HMGB1 的表達來減輕肝臟移植后缺血再灌注損傷。在本研究中也發現,丹參酮 Ⅱ A 預處理后對缺血再灌注損傷小鼠肝臟具有一定的保護作用,即顯著降低缺血再灌注小鼠的 ALT 和 AST 水平,減少肝組織病理損傷和肝細胞凋亡,同時可以抑制肝組織中炎癥因子 TNF-α 和 IL-6 的水平。以上研究結果提示,丹參酮 Ⅱ A 通過發揮其抗炎作用,可預防和緩解肝臟等重要實質器官缺血再灌注誘導實質器官損傷。
丹參酮 Ⅱ A 通過何種機制抑制肝臟缺血再灌注誘導炎癥損傷仍不清楚。有許多研究[13, 17-21]報道,HMGB1 可能是丹參酮 Ⅱ A 體內抑制炎癥反應的重要靶點之一,但在肝臟缺血再灌注模型中是否有此作用以及如何作用,仍值得深入研究。HMGB1 作為一種炎癥介質,在炎癥或應激狀態下被釋放至細胞外,識別固有免疫細胞膜上的模式識別受體,促進炎癥因子的分泌以及免疫細胞的遷移、分化等。有文獻[19-21]報道,抑制 HMGB1 的表達后,可通過抑制 TLR4/NF-κB 和炎癥小體通路改善壞死性小腸結腸炎的癥狀;有研究[22]報道通過維達立肽下調 TLR4/NF-κB/HMGB1 的活性而減輕肝臟缺血再灌注損傷。以上研究結果提示,HMGB1 介導固有免疫反應過程中主要通過激活 TLR4 介導的信號通路發揮促炎作用。同時,HMGB1 還可通過 RAGE 提高 TLR4 的表達,從而促進細胞分泌炎癥因子,而 TLR4 被激活后,繼續促進細胞內 HMGB1 釋放,擴大級聯反應。Ekanayaka 等[23]報道,HMGB1 抑制劑通過抑制 RAGE/TLR4 信號轉導抑制銅綠假單胞菌感染小鼠角膜的炎癥反應;Deng 等[24]證實肝細胞被脂多糖激活后,通過 TLR4 促進 HMGB1 釋放至細胞外,HMGB1 繼而通過 RAGE 激活 caspase-11,促進肝細胞凋亡;Yang 等[25]報道 HMGB1 拮抗劑、HMGB1 體外抗體及膽堿能激動劑能通過抑制 HMGB1/RAGE 介導的脂多糖內化作用,抑制炎癥信號轉導和巨噬細胞介導的炎癥反應。但是,RAGE 關于在缺血再灌注損傷的研究大多見于心臟、大腦、肺等器官,而在肝臟缺血再灌注損傷中鮮有報道。在本研究中觀察到,丹參酮 Ⅱ A 作用于缺血再灌注小鼠后肝組織中 HMGB1、TLR4、RAGE 的蛋白表達明顯下降,同時減少了缺血再灌注小鼠中肝組織的炎癥反應和肝細胞凋亡。然而,本研究只觀察了動物方面的現象,但 HMGB1、TLR4、RAGE 的蛋白是否存在直接作用,是否存在相互作用關系以及它們互相之間是怎么影響都沒有深入分析,并且在細胞層面及機制都未進行更深入的探討,這是本研究的局限之處。未來針對肝臟缺血再灌注模型中 RAGE 的作用及其作用機制,可能存在較大的潛在研究價值。
總之,從本研究中初步觀察到,丹參酮 Ⅱ A 預處理 1 周后建立缺血再灌注損傷小鼠模型,可顯著減輕缺血再灌注損傷小鼠的肝功能損傷和肝組織炎癥反應,同時下調肝組織 TLR4、HMGB1 和 RAGE 蛋白表達水平。提示丹參酮 Ⅱ A 降低肝臟缺血再灌注損傷和炎癥反應的作用可能與丹參酮 Ⅱ A 抑制 HMGB1 的蛋白表達后下調 RAGE 和 TLR4 蛋白以及抑制它們所介導的炎癥信號轉導有關。
重要聲明
利益沖突聲明:本文全體作者閱讀并理解了《中國普外基礎與臨床雜志》的政策聲明,我們無相互競爭的利益。
作者貢獻聲明:劉文平、張永川和張映林共同完成動物實驗;劉文平負責整理實驗數據;張映林負責完成稿件撰寫。
倫理聲明:本研究通過了綿陽市第三人民醫院倫理委員會審批[倫理編號:2019 年審(15)號]。
肝臟缺血再灌注損傷可使如氧自由基等有害物質增多,從而引起肝臟實質細胞損傷[1];同時大量的氧自由基誘導肝臟間質細胞等通過旁分泌網絡分泌大量的炎癥介質,加劇微循環障礙、血小板激活和炎癥細胞浸潤,最終擴大肝實質細胞死亡等[2]。因此,抑制肝組織中氧自由基、炎癥介質等有害物質的產生可有效地減輕由缺血、缺氧和再灌注誘導的肝細胞凋亡和壞死[3]。丹參酮 Ⅱ A 是傳統中藥丹參的有效成分之一,具有降低心肌耗氧、改善微循環障礙、降脂、抗炎、抗氧化等功效[4]。近年來,丹參酮 Ⅱ A 被報道對肝臟纖維化、再生和炎癥具有明顯的調控作用。更重要的是,有研究[5]發現丹參酮 Ⅱ A 可能是通過調節大鼠庫普弗細胞高遷移率族蛋白 B1(high mobility group box 1 protein,HMGB1)的表達作為丹參酮 Ⅱ A 緩解肝臟缺血再灌注損傷作用的主要靶點。但丹參酮 Ⅱ A 如何通過 HMGB1 抑制肝臟缺血再灌注誘導炎癥損傷仍不清楚。基于此,本研究通過利用丹參酮 Ⅱ A 預處理小鼠后建立肝臟缺血再灌注損傷模型,以觀察參酮 Ⅱ A 預處理小鼠和模型小鼠的肝功能變化,通過兩者的肝臟組織病理變化和炎癥因子表達情況的比較以及檢測相應肝臟組織中 HMGB1 相關信號通路蛋白分子的變化情況,試圖解釋丹參酮 Ⅱ A 對肝臟缺血再灌注損傷的保護作用。
1 材料與方法
1.1 實驗動物
40 只雄性 C57BL/6J 小鼠購買于重慶醫科大學實驗動物中心(8 周齡,體質量 20~22 g,清潔級)。小鼠均飼養于濕度恒定為 21~23 ℃、12 h/12 h晝夜交替、自由進食進水、獨立通風籠具系統中。本實驗所涉及所有動物實驗及操作均符合中國政府實驗動物福利倫理審查指南對于實驗動物福利的相關法律及規定。
1.2 主要試劑及實驗儀器
1.2.1 主要試劑
丹參酮 Ⅱ A(純度大于 98.5%,溶劑為 90% 乙醇,配成 20 mg/mL 的原液)購買于成都普思生物科技股份有限公司;兔抗 Toll 樣受體 4(Toll like receptor 4,TLR4)抗體(bs-20595R,比例 1∶500)、兔抗晚期糖基化終產物特異性受體(receptor of advanced glycosylation end-product specific,RAGE)抗體(bs-4999R,比例 1∶500)、兔抗 HMGB1 抗體(bs-20633R,比例 1∶500)和兔抗 β-actin 抗體(bs-0061R,比例 1∶500)均購于北京博奧森生物科技公司;辣根過氧化物酶標記山羊抗兔 IgG(A0208,比例 1∶500)、BCA 蛋白濃度測定試劑盒(P0010S)、彩色預染蛋白質分子量標準 Marker(P0069)、原位末端標記(terminal-deoxynucleoitidyl transferase mediated nick end labeling,TUNEL)細胞凋亡檢測試劑盒(C1098)和特超敏電化學發光(electrochemiluminescence,ECL)試劑盒(P0018A)均購于江蘇碧云天公司;動物組織總 RNA 提取試劑盒(DP431)、cDNA 逆轉錄試劑盒(KR103)和實時熒光定量聚合酶鏈式反應(real-time quantitative polymerase chain reaction,qRT-PCR)檢測試劑盒(FP209-02)購于北京天根生化科技公司。
1.2.2 實驗儀器
全自動生化分析儀為貝克曼庫爾特公司產品;蛋白質垂直凝膠電泳槽系統、蛋白凝膠成像儀、RT-PCR 儀為 Bio-Rad 公司產品,酶標儀為 Eppendorf 公司產品,正置光學顯微鏡為尼康儀器公司產品。
1.3 方法
1.3.1 實驗動物分組、處理及標本收集
所有小鼠接受手術前均禁食 12 h、禁飲 6 h。40 只小鼠標記耳標后按照數字順序分籠,每籠 8 只,以 8 的倍數分層,每籠隨機分出 2 只小鼠,總共 4 組,每組 10 只小鼠,每組小鼠均進行標記。① 假手術組:小鼠接受手術前,每天經腹腔注射稀釋的乙醇生理鹽水(90% 乙醇 10 μL+生理鹽水 490 μL)溶液 0.5 mL,持續 1 周。1 周后小鼠經乙醚持續吸入麻醉,然后常規消毒皮膚,依次剪開皮膚、腹肌、腹膜,暴露腹腔后游離肝臟,最后再依次縫合腹膜、腹肌、皮膚。小鼠術后給予保溫、正常飲食等。② 丹參酮 Ⅱ A 預處理組(簡稱“丹參酮組”):小鼠接受手術前,每天經腹腔注射丹參酮 Ⅱ A 10 mg/(kg·d),注射體積為 0.5 mL,持續 1 周。1 周后小鼠完全參照假手術組操作。③ 缺血再灌注組:小鼠接受手術前,每天完全參照假手術組注射溶液,持續 1 周。1 周后小鼠被依次麻醉、消毒后暴露腹腔,暴露腹腔后游離肝臟并鈍性分離肝門區韌帶,然后利用動脈夾鉗夾肝門部 Glission 纖維鞘左支(肝左動脈、門靜脈左支及左肝管),觀察到肝臟表面顏色由鮮紅色逐漸變成淡黃色即證明阻斷成功;持續 90 min 后祛除動脈夾,恢復肝臟的血供,觀察到肝臟表面顏色逐漸轉為紅色即表示再灌注成功;最后關腹、術畢。對術后小鼠給予保溫、正常飲食。④ 丹參酮 Ⅱ A 預處理后缺血再灌注組(簡稱“丹參酮+缺血再灌注組” ):丹參酮 Ⅱ A 預處理完全參照丹參酮組的操作;缺血再灌注模型完全參照缺血再灌注組操作。所有小鼠均于手術后第 6 h 時處死,眼眶取血法收集外周血,并保存于 4 ℃ 肝素抗凝管中備用;收集肝臟組織標本分別用中性甲醛液固定和液氮保存備用。
1.3.2 肝功能檢測
收集的小鼠外周血經離心(2 000 r/min,r=7.5 cm,5 min)后獲得血清,再用全自動生化分析儀檢測血清中丙氨酸氨基轉移酶(alanine aminotransferase,ALT)和天冬氨酸氨基轉移酶(aspartate amino transferase,AST)水平。
1.3.3 肝臟組織病理檢查和 TUNEL 染色法檢測細胞凋亡
肝臟組織經固定、石蠟包埋、制作成切片。① 肝臟組織病理檢查。采用蘇木精-伊紅染色(hematoxylin-eosin staining,HE):常規脫蠟至水后,切片置于蘇木精溶液中 5 min;經飽和碳酸鋰返藍、乙醇脫水后置于伊紅染液中 2~3 min;再進行脫水、透明、封片;最后利用正置光學顯微鏡觀察,并采用 Suzuki 評分系統進行肝臟病理評分。② TUNEL 染色法檢測細胞凋亡。嚴格參照試劑盒操作,即常規脫蠟至水后,用蛋白酶 K 室溫消化30 min,隨后用 3% 過氧化氫溶液室溫封閉 30 min;然后用末端脫氧核苷酰轉移酶、地高辛標記的脫氧尿嘧啶核苷三磷酸和生物素標記的抗地高辛抗體暗室室溫孵育 2 h;接著用鏈霉親和素-辣根過氧化物酶工作液室溫孵育 30 min 以及用二氨基聯苯胺法室溫染色 2~5 min;之后用蘇木精復染細胞核、脫水、透明、封片;最后用光學顯微鏡放大 400 倍后觀察 100 個肝細胞中被染出黃褐色的細胞個數,兩者比即為肝細胞凋亡指數。
1.3.4 qRT-PCR 法檢測肝組織中腫瘤壞死因子-α(tumor necrosis factor-α,TNF-α)和白細胞介素 6(interleukin 6,IL-6)炎癥因子
① 提取肝組織總 RNA 參照試劑盒說明書操作,即肝組織(15 mg)加入含有人 β-巰基乙醇的裂解液進行勻漿,再加入蛋白酶 K 消化(56 ℃,20 min);離心(12 000 r/min,r=7.5 cm,5 min)后轉移到無酶 EP 管中;然后用等體積無水乙醇溶解、祛除蛋白和 DNA;最后 20 μL 無酶水溶解。② cDNA 合成:10 μL 體系中含 1 μL 的 10×RT Mix、1 μL 的 Super pure dNTPs、1 μL 的 Oligo-(dT)15、0.5 μL 的 Quant Reverse Transcriptase、1 μg 總 RNA 和無酶水補足至 10 μL,反應條件為 37 ℃,60 min。③ qRT-PCR 反應、SYBR Green 法:20 μL體系中含 10 μL 的 2×Talent qPCR PreMix、0.6 μL 的正向引物、0.6 μL 的反向引物、100 ng 的 cDNA 和無酶水補足至 20 μL;先進行 95 ℃ 預變性 3 min,1 個循環;然后 95 ℃、5 s 和 60 ℃、15 s 進行擴增反應,總共 40 個循環。基因引物序列:TNF-α 正義鏈為5′ -CCCTCACACTCAGATCATCTTCT-3′ ,反義鏈為5′ -GCTACGACGTGGGCTACAG-3′ ,擴增片段大小為 86 bp;IL-6 正義鏈為 5′ -TAGTCCTTCCTACCCCAATTTCC-3′ ,反義鏈為 5′ -TTGGTCCTTAGCCACTCCTTC-3′ ,擴增片段大小為 76 bp;β-actin 正義鏈為 5′ -GGCTGTATTCCCCTCCATCG-3′ ,反義鏈為 5′ -CCAGTTGGTAACAATGCCATGT-3′ ,擴增片段大小為 154 bp。最后進行半定量分析,公式為2—△△Ct,其中△△Ct=(Ct目的—Ct內參)對照組—(Ct目的—Ct內參)實驗組。
1.3.5 Western blot 法檢測肝組織中 TLR4、HMGB1 和 RAGE 的蛋白表達
① 肝臟組織總蛋白提取:取 100 mg 肝臟組織,加入 500 μL RIPA 裂解液勻漿,離心(12 000 r/min,r=7.5 cm,30 min)后獲得蛋白上清。② 凝膠電泳:采用 BCA 法測定蛋白濃度,設定每孔 60 μg 蛋白進行上樣,然后 10% 凝膠電泳(100 V,100 min), 250 mA、90 min 轉膜,封閉后加一抗 4 ℃ 孵育過夜;接著加二抗室溫孵育 90 min,最后采用 ECL 試劑盒在凝膠成像系統成像。③ 蛋白表達量的計算:用 Image Lab 軟件分別測量目的蛋白和內參蛋白的灰度值,目的蛋白的灰度值與內參蛋白的灰度值的比值即為目的蛋白的相對表達量。
1.4 統計學方法
采用 SPSS 18.0 軟件對數據進行統計分析。本研究中數據均為計量資料,以均值±標準差(±s)表示。各組數據先進行方差齊性檢驗,再采用 2×2 的析因設計分析。檢驗水準 α=0.05。
2 結果
2.1 丹參酮 ⅡA 可降低缺血再灌注小鼠的肝功能指標
數據見表 1。數據經方差齊性檢驗,析因設計分析結果顯示,丹參酮能降低 ALT 和 AST 的水平(P<0.05),缺血再灌注后 ALT 和 AST 的水平均顯著升高(P<0.05),丹參酮和缺血再灌注聯合會拮抗(協同)影響 ALT 和 AST 的水平(P<0.05)。


2.2 丹參酮 ⅡA 可減輕缺血再灌注小鼠的肝組織損傷及減少肝細胞凋亡
肝臟組織病理檢查和 TUNEL 染色檢測細胞凋亡情況見圖 1。肝臟組織病理評分和肝細胞凋亡指數數據見表 2。數據經方差齊性檢驗,析因設計分析結果顯示,丹參酮能改善肝臟組織的病理改變(P<0.05)和使凋亡指數降低(P<0.05),缺血再灌注使肝臟組織的病理評分明顯升高(P<0.05)和使凋亡指數顯著升高(P<0.05),丹參酮和缺血再灌注聯合會拮抗(協同)影響肝臟組織的病理評分(P<0.05)和細胞凋亡(P<0.05)。



2.3 丹參酮 ⅡA 可減少缺血再灌注小鼠的肝組織炎癥因子的分泌
數據見表 3。數據經方差齊性檢驗,析因設計分析結果顯示,丹參酮能減輕小鼠肝臟組織的炎性反應(P<0.05),缺血再灌注使肝臟組織的炎性反應明顯(P<0.05),丹參酮和缺血再灌注聯合會拮抗(協同)影響肝臟組織的炎性反應(P<0.05)。


2.4 丹參酮 ⅡA 可抑制缺血再灌注小鼠的肝組織 TLR4、HMGB1 和 RAGE 的蛋白表達
肝臟組織中 TLR4、HMGB1 和 RAGE 蛋白表達的定性結果見圖 2。TLR4、HMGB1 和 RAGE 蛋白表達數據見表 4。數據經方差齊性檢驗,析因設計分析結果顯示,丹參酮能減輕小鼠肝臟組織抑制 TLR4、HMGB1 和 RAGE 蛋白表達(P<0.05),缺血再灌注使肝臟組織中 TLR4、HMGB1 和 RAGE 蛋白表達顯著升高(P<0.05),丹參酮和缺血再灌注聯合會拮抗影響肝臟組織中 TLR4、HMGB1 和 RAGE 蛋白表達(P<0.05)。



3 討論
肝臟具有肝動脈和門靜脈兩套獨立的血供系統,因而在肝臟手術中易發生缺血再灌注損傷[6]。缺血再灌注損傷的病理機制包括暖缺血期和冷灌注期兩個階段,前者發生在肝臟缺血期,由于缺乏有效血供,導致肝實質細胞缺氧及能量供應障礙,從而使細胞膜鈉鉀泵轉運障礙、鈣離子內流、血竇內皮細胞水腫、多種有害物質如氧自由基等產生增多,從而引起肝臟實質細胞損傷[1];后者發生在肝臟血流再灌注期,大量的氧自由基誘導肝臟間質細胞、肝血竇內皮細胞、樹突狀細胞、中性粒細胞等通過旁分泌網絡分泌大量的炎癥介質,進一步加劇微循環障礙、血小板激活和炎癥細胞浸潤,最終擴大肝實質細胞死亡等[2]。缺血再灌注損傷是一種復雜的、動態發展的病理生理過程,因此,抑制肝組織中氧自由基、炎癥介質等有害物質的產生可有效地減輕由缺血、缺氧和再灌注誘導的肝細胞凋亡和壞死[3]。
作為傳統中藥的丹參酮 Ⅱ A 被報道具有以下功能:通過提高 Wnt/β-catenin 通路活性促進肝臟卵圓細胞的分化和增殖[7];通過下調轉化生長因子-β和 Ⅰ 型膠原蛋白抑制肝臟纖維化[8];通過抑制肝臟間質細胞中 TLR4的信號傳導而調節肝臟固有免疫反應[9]。丹參酮 Ⅱ A 對炎癥因子的調控作用已被許多研究者[10-12]報道,其具有的抗炎作用被廣泛用于器官缺血再灌注的研究,如 Pan 等[13]報道,丹參酮 Ⅱ A 磺酸鈉通過降低 HMGB1 表達,促進心肌細胞的自噬并減輕大鼠心臟缺血再灌注誘導的心肌損傷;Xu 等[14]發現,丹參酮 Ⅱ A 通過降低髓過氧化物酶等炎癥因子減輕大鼠腎臟的缺血再灌注損傷;劉月秋等[15]報道,丹參酮 Ⅱ A 通過抑制 Wnt/β-catenin/p53 信號途徑介導的炎癥和凋亡,減輕大鼠腦缺血再灌注損傷。同樣,丹參酮 Ⅱ A 對肝臟缺血再灌注損傷也展現強大的保護作用,如 Wang 等[16]報道,丹參酮 Ⅱ A 通過 MEK/ERK/mTOR 途徑激活自噬減輕肝臟缺血再灌注損傷;Qin 等[7]報道,丹參酮 Ⅱ A 通過下調 TLR4/NF-κB/HMGB1 通路減輕肝臟移植后缺血再灌注損傷;Li 等[5]報道,丹參酮 Ⅱ A 通過調節大鼠庫普弗細胞 HMGB1 的表達來減輕肝臟移植后缺血再灌注損傷。在本研究中也發現,丹參酮 Ⅱ A 預處理后對缺血再灌注損傷小鼠肝臟具有一定的保護作用,即顯著降低缺血再灌注小鼠的 ALT 和 AST 水平,減少肝組織病理損傷和肝細胞凋亡,同時可以抑制肝組織中炎癥因子 TNF-α 和 IL-6 的水平。以上研究結果提示,丹參酮 Ⅱ A 通過發揮其抗炎作用,可預防和緩解肝臟等重要實質器官缺血再灌注誘導實質器官損傷。
丹參酮 Ⅱ A 通過何種機制抑制肝臟缺血再灌注誘導炎癥損傷仍不清楚。有許多研究[13, 17-21]報道,HMGB1 可能是丹參酮 Ⅱ A 體內抑制炎癥反應的重要靶點之一,但在肝臟缺血再灌注模型中是否有此作用以及如何作用,仍值得深入研究。HMGB1 作為一種炎癥介質,在炎癥或應激狀態下被釋放至細胞外,識別固有免疫細胞膜上的模式識別受體,促進炎癥因子的分泌以及免疫細胞的遷移、分化等。有文獻[19-21]報道,抑制 HMGB1 的表達后,可通過抑制 TLR4/NF-κB 和炎癥小體通路改善壞死性小腸結腸炎的癥狀;有研究[22]報道通過維達立肽下調 TLR4/NF-κB/HMGB1 的活性而減輕肝臟缺血再灌注損傷。以上研究結果提示,HMGB1 介導固有免疫反應過程中主要通過激活 TLR4 介導的信號通路發揮促炎作用。同時,HMGB1 還可通過 RAGE 提高 TLR4 的表達,從而促進細胞分泌炎癥因子,而 TLR4 被激活后,繼續促進細胞內 HMGB1 釋放,擴大級聯反應。Ekanayaka 等[23]報道,HMGB1 抑制劑通過抑制 RAGE/TLR4 信號轉導抑制銅綠假單胞菌感染小鼠角膜的炎癥反應;Deng 等[24]證實肝細胞被脂多糖激活后,通過 TLR4 促進 HMGB1 釋放至細胞外,HMGB1 繼而通過 RAGE 激活 caspase-11,促進肝細胞凋亡;Yang 等[25]報道 HMGB1 拮抗劑、HMGB1 體外抗體及膽堿能激動劑能通過抑制 HMGB1/RAGE 介導的脂多糖內化作用,抑制炎癥信號轉導和巨噬細胞介導的炎癥反應。但是,RAGE 關于在缺血再灌注損傷的研究大多見于心臟、大腦、肺等器官,而在肝臟缺血再灌注損傷中鮮有報道。在本研究中觀察到,丹參酮 Ⅱ A 作用于缺血再灌注小鼠后肝組織中 HMGB1、TLR4、RAGE 的蛋白表達明顯下降,同時減少了缺血再灌注小鼠中肝組織的炎癥反應和肝細胞凋亡。然而,本研究只觀察了動物方面的現象,但 HMGB1、TLR4、RAGE 的蛋白是否存在直接作用,是否存在相互作用關系以及它們互相之間是怎么影響都沒有深入分析,并且在細胞層面及機制都未進行更深入的探討,這是本研究的局限之處。未來針對肝臟缺血再灌注模型中 RAGE 的作用及其作用機制,可能存在較大的潛在研究價值。
總之,從本研究中初步觀察到,丹參酮 Ⅱ A 預處理 1 周后建立缺血再灌注損傷小鼠模型,可顯著減輕缺血再灌注損傷小鼠的肝功能損傷和肝組織炎癥反應,同時下調肝組織 TLR4、HMGB1 和 RAGE 蛋白表達水平。提示丹參酮 Ⅱ A 降低肝臟缺血再灌注損傷和炎癥反應的作用可能與丹參酮 Ⅱ A 抑制 HMGB1 的蛋白表達后下調 RAGE 和 TLR4 蛋白以及抑制它們所介導的炎癥信號轉導有關。
重要聲明
利益沖突聲明:本文全體作者閱讀并理解了《中國普外基礎與臨床雜志》的政策聲明,我們無相互競爭的利益。
作者貢獻聲明:劉文平、張永川和張映林共同完成動物實驗;劉文平負責整理實驗數據;張映林負責完成稿件撰寫。
倫理聲明:本研究通過了綿陽市第三人民醫院倫理委員會審批[倫理編號:2019 年審(15)號]。