引用本文: 劉愛祥, 王海清, 薄文滔, 馮燮林, 張輝, 王靜. 多學科診療模式治療“梗阻性黃疸伴肝門膽管占位”1 例病例報道. 中國普外基礎與臨床雜志, 2018, 25(4): 473-478. doi: 10.7507/1007-9424.201801027 復制
“梗阻性黃疸伴肝門膽管占位”是肝膽外科常見的臨床癥候群,臨床最常見于肝門膽管癌。除此之外,肝實質腫瘤侵犯壓迫肝門膽管、肝門膽管良性結節以及肝惡性腫瘤伴膽管癌栓(bile duct tumor thrombi,BDTT)也可引起梗阻性黃疸。由于缺乏特異性表現,這些疾病常對臨床診療造成干擾,易被誤診為“肝門膽管癌”,部分患者甚至需要術后病理學檢查才能確診[1]。筆者所在單位于 2017 年 5 月收治了 1 例“梗阻性黃疸伴肝門膽管占位”患者,術前診斷為肝門部膽管癌,經多學科團隊討論后修正診斷為肝細胞癌(hepatocellular carcinoma,HCC)合并 BDTT,施行手術切除,現報道其診療過程如下。
1 臨床資料
1.1 病史簡介
患者,男,58 歲,因“皮膚鞏膜黃染 2 周”收入筆者所在醫院治療。患者于 2 周前無明顯誘因出現皮膚鞏膜黃染,伴小便黃,大便呈陶土色;偶有低熱(最高體溫 38.2 ℃);無腹痛、腹脹、惡心、嘔吐、寒戰、高熱等癥狀。既往無膽管結石病史。
1.2 體檢
患者入院時生命體征平穩,皮膚鞏膜重度黃染;腹部平坦,未見怒張靜脈,腹部柔軟,無壓痛、反跳痛及肌緊張,肝、脾肋下未捫及,Murphy 征(-),移動性濁音陰性;雙下肢無水腫。
1.3 實驗室檢查
入院時肝功能:總膽紅素 366 μmol/L,直接膽紅素 265 μmol/L,白蛋白 36.3 g/L;腫瘤標志物:CA19-9 283 U/mL,AFP 227.4 μg/L;血常規:血紅蛋白 132 g/L,白細胞計數 4.1×109/L,血小板計數 81×109/L;乙肝五項:HBsAg(+)、HBsAb(-)、HBeAg(-)、HBeAb(+)、HBcAb(+);HBV-DNA<1 000 U/mL。凝血功能、大小便常規等未見異常。
1.4 影像學檢查
腹部彩超示:肝內膽管明顯擴張,左右肝管無法匯合;肝門區可見一 3.5 cm×2.5 cm 大的實性占位,肝實質內未見明顯占位病變。腹部增強 MRI 及水成像示:肝內膽管明顯擴張,肝門區可見一 3.7 cm×2.4 cm 大的實性占位,并向右肝管和左肝管內延伸,考慮肝門膽管癌可能性大(圖 1)。胸部 CT 及骨掃描未查見腫瘤轉移。

2 MDT 討論
2.1 影像科醫生
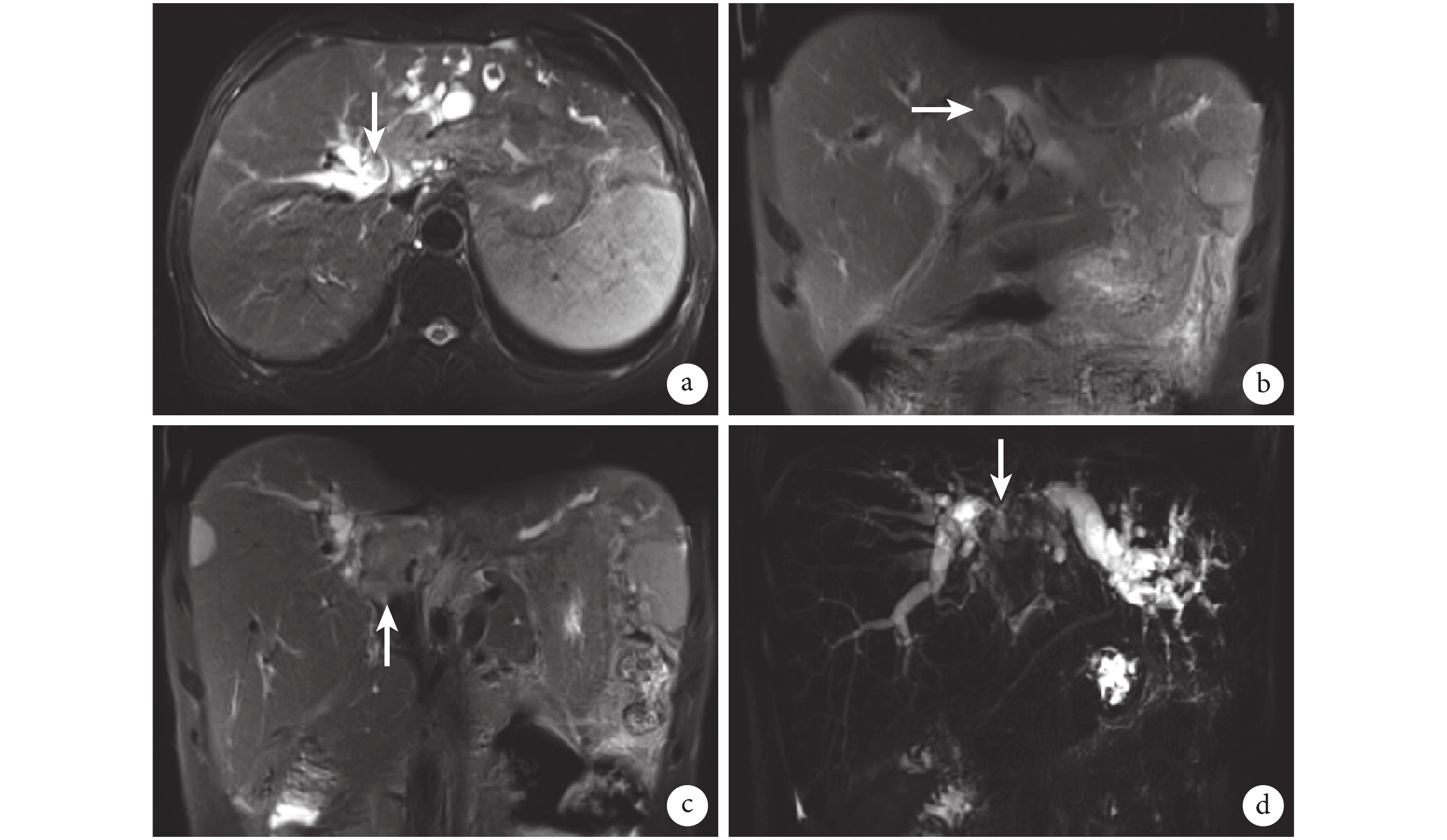
四川省腫瘤醫院影像科任靜主任醫師認為:患者的 MRI 圖像提示肝門區見一 3.7 cm×2.4 cm 大的實性占位,并向右肝管和左肝管內延伸;腫瘤向左肝管內延伸至左外葉膽管,向右延伸至膽管右前支和右后支匯合處,向下延伸至膽總管中段(圖 2);門靜脈左右支、肝動脈左右支及其主干均未見腫瘤侵犯(圖 3),肝門未見腫大淋巴結;脾臟明顯增大。MRI 掃描的 1~3 個層面中見左肝外葉有一 4.5 cm×4.5 cm 大的實性結節,動脈期明顯強化、門靜脈期強化減弱(圖 4),影像學考慮 HCC,因此之前的影像學閱片診斷錯誤。

a:BDTT 延伸至膽管右前、右后分叉處(白箭);b:BDTT 侵犯左肝外葉膽管(白箭);c:BDTT 延伸至膽總管內(白箭);d:BDTT 位于左右肝管及膽總管匯合處(白箭)


2.2 腫瘤科醫生
四川省腫瘤醫院腫瘤科蔡曉虹主任醫師認為:患者具有乙肝感染病史,血常規檢查示血小板降低,影像學檢查發現脾臟明顯增大,因此提示患者具有肝硬變背景。患者 AFP 升高,為 227.4 μg/L,結合 MRI 特異性表現,診斷為:① 梗阻性黃疸;② HCC 伴膽總管癌栓;③ 慢性乙型病毒性肝炎。治療上,考慮到 HCC 伴 BDTT 屬于 HCC 的晚期表現,建議首先解除膽管梗阻;腫瘤治療可行肝動脈灌注化療栓塞術、FOLFOX 化療以及索拉菲尼靶向治療,積極治療可嘗試手術治療。
2.3 介入科醫生
四川省腫瘤醫院介入科許國輝主任醫師認為:患者診斷明確,膽管梗阻明顯,治療上建議先行膽道引流解除梗阻。考慮到患者左側膽管梗阻位置較高,且腫瘤具有切除可能,建議行右側經皮肝穿刺膽道引流(percutaneous transhepatic cholangial drainage,PTCD)以解除膽管梗阻,并可促進右側肝臟的再生和左側肝臟的萎縮。若單側膽道引流無法緩解黃疸,可再次行左側 PTCD;患者肝功能恢復后如無法行手術切除,建議行肝動脈灌注化療栓塞。
2.4 肝膽外科醫生
四川省腫瘤醫院肝膽外科馮燮林主任醫師認為:患者目前診斷 HCC 伴 BDTT 明確;盡管屬于 HCC 晚期表現,但目前的研究表明 BDTT 對脈管壁的侵襲性明顯弱于門靜脈,因此切除術后可獲得較好的生存率。結合影像學表現可見原發腫瘤位于左肝外葉,BDTT 生長范圍較廣,但膽管腫瘤向右側膽管延伸未至二級分支膽管,仍具有手術切除左半肝及膽總管癌栓的可能;考慮到癌栓可能侵犯膽管壁,因此建議聯合膽總管切除及膽腸吻合術。
3 圍手術期處理
患者入院后 4 d 在局部麻醉下于介入科行右側 PTCD(圖 5)。手術順利,術后膽汁引流通暢、300~500 mL/d。PTCD 后 1 個月復查肝功能:總膽紅素 50.2 μmol/L,直接膽紅素 33.5 μmol/L,吲哚氰綠排泄試驗 15 min 滯留率為 8.1%。

4 手術及結果
4.1 手術情況
根據 MDT 討論結果,患者于全麻下行“左半肝切除+肝門膽管及癌栓切除+右肝管整形+肝門淋巴結清掃+膽腸吻合術”,術中見盆腹膜及大網膜光滑,腹腔內可見 100 mL 游離淡黃色腹水,肝臟呈明顯結節性肝硬變表現,左肝外葉近膈頂處捫及一 4.5 cm×4.5 cm×4.5 cm 大的質硬腫塊,膽總管中段及以上可捫及一 3.7 cm×2.4 cm×2.0 cm大的質硬癌栓,癌栓延伸至左肝管及膽管右前、右后支分叉處;術中探查其他部位未見異常。術中行左半肝切除+膽囊切除+肝門淋巴結清掃+肝門膽管、膽總管及癌栓切除;腫瘤切除后可見膽管右前、右后分支(圖 6a),予以整形后行膽腸吻合(圖 6b)。

a:術中切除右側膽管(白箭);b:術中行膽管右前支、右后支整形(白箭)
4.2 結果
該患者的手術順利,手術時間 380 min,術中出血 450 mL。術后患者恢復可,無明顯并發癥發生,于術后 12 d 出院。
5 術后病理診斷
四川省腫瘤醫院病理科周萍主任醫師:標本肉眼下可見左肝外葉處一 4.5 cm×4.5 cm×4.5 cm 大的質硬腫瘤,腫瘤向右侵犯左外葉膽管并延伸至左肝管、肝門膽管、右肝管及膽總管內,形成 BDTT。剖開膽總管可見癌栓約 3.7 cm×2.4 cm×2.0 cm 大,癌栓呈灰白色;爛肉狀,質較脆;呈柱狀,無蒂;易從膽管壁剝出;膽管壁光滑,肉眼未見腫瘤侵犯(圖 7)。病理學檢查及免疫組織化學檢查提示:(左肝腫瘤、膽管腫瘤)中分化 HCC,膽管壁和門靜脈未見腫瘤侵犯;未見微血管癌栓。

6 術后隨訪
患者術后 1 個月復查 AFP 降至正常。該患者術后已獲訪半年,未見腫瘤復發,繼續隨訪。
7 小結
本例患者因“梗阻性黃疸伴肝門膽管占位”就診,經常規的影像學檢查誤診為“肝門膽管癌”。經過 MDT,患者首先被修正診斷為“HCC 伴膽總管癌栓”,其次針對患者進行了圍手術期的個體化治療和積極的手術治療,使患者獲得了較好的生存預后。
HCC 是常見的惡性程度較高的腫瘤,易伴有門靜脈等血管侵犯[1-3],但 HCC 伴 BDTT 在臨床上不多見,臨床報道發生率為 1.4%~3.4%[4-5]。由于 HCC 伴 BDTT 常伴有黃疸、膽管炎、肝功能差和腫瘤膽管侵犯,曾被認為是 HCC 的晚期表現[3-4, 6-8]。因此,既往的治療方式以保守治療為主,常見的治療方式包括膽道引流、肝動脈栓塞、放化療等[1, 9-10]。
近年來,由于手術技術和圍手術期管理的進步,肝癌切除術后圍手術期的死亡率已降至 1% 以下[11],越來越多的醫學中心開始采用肝切除治療 HCC 伴 BDTT,并發現 HCC 伴 BDTT 行根治性切除術后能夠達到與常規 HCC 一致的 5 年生存率[3, 12]。因此,對于能夠進行原發病灶切除的 HCC 伴 BDTT 患者,有研究中心[13-14]建議進行根治性切除。一項包含 247 例 HCC 伴 BDTT 患者的大樣本研究[4]結果示,有 10.9%(27 例)的患者最終能夠進行肝切除,而有 42.5% 的患者采取了肝動脈化療栓塞治療,有 42.8% 的患者只進行了系統對癥治療[4];肝切除術后患者的中位生存時間為 11.5 個月,明顯高于肝動脈化療栓塞治療患者的 6.0 個月、化療治療患者的 2.4 個月和保守治療患者的 1.6 個月。因此,肝切除聯合 BDTT 切除成為 HCC 伴 BDTT 治療的首選。目前研究[5]表明,BDTT 與門靜脈癌栓不一樣,其并不是 HCC 的晚期表現形式,主要原因在于:① BDTT 并不呈浸潤性生長;② 部分臨床研究[2, 4]表明,HCC 伴 BDTT 能夠達到與常規 HCC 一致的臨床遠期效果。學者[5, 12]的研究表明,HCC 伴 BDTT 的生存率與 HCC 沒有明顯差異。這可能與 BDTT 的特征有關:BDTT 多呈棕紅色或灰白色;爛肉狀,質較脆;可呈條索狀或柱狀,部分有蒂;易從膽管壁剝出。多個研究[15-20]表明,大多數 BDTT 與肝門膽管癌不一樣,并不直接侵犯膽管壁。Navadgi 等[7]對 11 項包含 6 051 例患者(281 例 HCC 伴 BDTT,5 770 例 HCC)的研究進行系統評價后發現,HCC 伴 BDTT 患者具有更低的腫瘤分化程度和血管侵犯率,而這些因素才是決定患者術后預后的關鍵因素。多個研究[5, 12, 21-27]也證實,BDTT 并不是影響 HCC 預后的獨立危險因素;相反,根治性切除和腫瘤分期才影響 HCC 的預后。因此,目前的研究[7]證實,HCC 伴 BDTT 比常規 HCC 具有更晚的腫瘤分期和更差的肝功能,根治性切除術后的長期生存率略低于常規 HCC,但手術切除仍具有很好的臨床療效。對于具備切除條件的 HCC 伴 BDTT,外科切除是最好的治療選擇。
本例患者因“梗阻性黃疸”入院,曾被誤診為肝門膽管癌,但經 MDT 討論,及時糾正誤診,并給患者提供了個體化治療方案;術中手術探查和術后病理學檢查也證實了 MDT 討論的正確性和意義。通過該病例的病理標本,可見 BDTT 并不呈浸潤性生長,易從膽管壁剝離,膽管壁也光滑。盡管術后隨訪時間較短,但目前患者仍未復發,這表明 HCC 伴 BDTT 行手術切除能夠使患者獲益,這也與臨床報道的 HCC 伴 BDTT 的病理學特征和預后相符合。
綜上,MDT 模式不但可減少“梗阻性黃疸伴肝門膽管占位”的誤診,同時可使患者獲得最佳治療和個體化治療方案。
致謝:感謝賽生醫藥(中國)有限公司對該欄目的大力支持。
“梗阻性黃疸伴肝門膽管占位”是肝膽外科常見的臨床癥候群,臨床最常見于肝門膽管癌。除此之外,肝實質腫瘤侵犯壓迫肝門膽管、肝門膽管良性結節以及肝惡性腫瘤伴膽管癌栓(bile duct tumor thrombi,BDTT)也可引起梗阻性黃疸。由于缺乏特異性表現,這些疾病常對臨床診療造成干擾,易被誤診為“肝門膽管癌”,部分患者甚至需要術后病理學檢查才能確診[1]。筆者所在單位于 2017 年 5 月收治了 1 例“梗阻性黃疸伴肝門膽管占位”患者,術前診斷為肝門部膽管癌,經多學科團隊討論后修正診斷為肝細胞癌(hepatocellular carcinoma,HCC)合并 BDTT,施行手術切除,現報道其診療過程如下。
1 臨床資料
1.1 病史簡介
患者,男,58 歲,因“皮膚鞏膜黃染 2 周”收入筆者所在醫院治療。患者于 2 周前無明顯誘因出現皮膚鞏膜黃染,伴小便黃,大便呈陶土色;偶有低熱(最高體溫 38.2 ℃);無腹痛、腹脹、惡心、嘔吐、寒戰、高熱等癥狀。既往無膽管結石病史。
1.2 體檢
患者入院時生命體征平穩,皮膚鞏膜重度黃染;腹部平坦,未見怒張靜脈,腹部柔軟,無壓痛、反跳痛及肌緊張,肝、脾肋下未捫及,Murphy 征(-),移動性濁音陰性;雙下肢無水腫。
1.3 實驗室檢查
入院時肝功能:總膽紅素 366 μmol/L,直接膽紅素 265 μmol/L,白蛋白 36.3 g/L;腫瘤標志物:CA19-9 283 U/mL,AFP 227.4 μg/L;血常規:血紅蛋白 132 g/L,白細胞計數 4.1×109/L,血小板計數 81×109/L;乙肝五項:HBsAg(+)、HBsAb(-)、HBeAg(-)、HBeAb(+)、HBcAb(+);HBV-DNA<1 000 U/mL。凝血功能、大小便常規等未見異常。
1.4 影像學檢查
腹部彩超示:肝內膽管明顯擴張,左右肝管無法匯合;肝門區可見一 3.5 cm×2.5 cm 大的實性占位,肝實質內未見明顯占位病變。腹部增強 MRI 及水成像示:肝內膽管明顯擴張,肝門區可見一 3.7 cm×2.4 cm 大的實性占位,并向右肝管和左肝管內延伸,考慮肝門膽管癌可能性大(圖 1)。胸部 CT 及骨掃描未查見腫瘤轉移。

2 MDT 討論
2.1 影像科醫生
四川省腫瘤醫院影像科任靜主任醫師認為:患者的 MRI 圖像提示肝門區見一 3.7 cm×2.4 cm 大的實性占位,并向右肝管和左肝管內延伸;腫瘤向左肝管內延伸至左外葉膽管,向右延伸至膽管右前支和右后支匯合處,向下延伸至膽總管中段(圖 2);門靜脈左右支、肝動脈左右支及其主干均未見腫瘤侵犯(圖 3),肝門未見腫大淋巴結;脾臟明顯增大。MRI 掃描的 1~3 個層面中見左肝外葉有一 4.5 cm×4.5 cm 大的實性結節,動脈期明顯強化、門靜脈期強化減弱(圖 4),影像學考慮 HCC,因此之前的影像學閱片診斷錯誤。

a:BDTT 延伸至膽管右前、右后分叉處(白箭);b:BDTT 侵犯左肝外葉膽管(白箭);c:BDTT 延伸至膽總管內(白箭);d:BDTT 位于左右肝管及膽總管匯合處(白箭)


2.2 腫瘤科醫生
四川省腫瘤醫院腫瘤科蔡曉虹主任醫師認為:患者具有乙肝感染病史,血常規檢查示血小板降低,影像學檢查發現脾臟明顯增大,因此提示患者具有肝硬變背景。患者 AFP 升高,為 227.4 μg/L,結合 MRI 特異性表現,診斷為:① 梗阻性黃疸;② HCC 伴膽總管癌栓;③ 慢性乙型病毒性肝炎。治療上,考慮到 HCC 伴 BDTT 屬于 HCC 的晚期表現,建議首先解除膽管梗阻;腫瘤治療可行肝動脈灌注化療栓塞術、FOLFOX 化療以及索拉菲尼靶向治療,積極治療可嘗試手術治療。
2.3 介入科醫生
四川省腫瘤醫院介入科許國輝主任醫師認為:患者診斷明確,膽管梗阻明顯,治療上建議先行膽道引流解除梗阻。考慮到患者左側膽管梗阻位置較高,且腫瘤具有切除可能,建議行右側經皮肝穿刺膽道引流(percutaneous transhepatic cholangial drainage,PTCD)以解除膽管梗阻,并可促進右側肝臟的再生和左側肝臟的萎縮。若單側膽道引流無法緩解黃疸,可再次行左側 PTCD;患者肝功能恢復后如無法行手術切除,建議行肝動脈灌注化療栓塞。
2.4 肝膽外科醫生
四川省腫瘤醫院肝膽外科馮燮林主任醫師認為:患者目前診斷 HCC 伴 BDTT 明確;盡管屬于 HCC 晚期表現,但目前的研究表明 BDTT 對脈管壁的侵襲性明顯弱于門靜脈,因此切除術后可獲得較好的生存率。結合影像學表現可見原發腫瘤位于左肝外葉,BDTT 生長范圍較廣,但膽管腫瘤向右側膽管延伸未至二級分支膽管,仍具有手術切除左半肝及膽總管癌栓的可能;考慮到癌栓可能侵犯膽管壁,因此建議聯合膽總管切除及膽腸吻合術。
3 圍手術期處理
患者入院后 4 d 在局部麻醉下于介入科行右側 PTCD(圖 5)。手術順利,術后膽汁引流通暢、300~500 mL/d。PTCD 后 1 個月復查肝功能:總膽紅素 50.2 μmol/L,直接膽紅素 33.5 μmol/L,吲哚氰綠排泄試驗 15 min 滯留率為 8.1%。

4 手術及結果
4.1 手術情況
根據 MDT 討論結果,患者于全麻下行“左半肝切除+肝門膽管及癌栓切除+右肝管整形+肝門淋巴結清掃+膽腸吻合術”,術中見盆腹膜及大網膜光滑,腹腔內可見 100 mL 游離淡黃色腹水,肝臟呈明顯結節性肝硬變表現,左肝外葉近膈頂處捫及一 4.5 cm×4.5 cm×4.5 cm 大的質硬腫塊,膽總管中段及以上可捫及一 3.7 cm×2.4 cm×2.0 cm大的質硬癌栓,癌栓延伸至左肝管及膽管右前、右后支分叉處;術中探查其他部位未見異常。術中行左半肝切除+膽囊切除+肝門淋巴結清掃+肝門膽管、膽總管及癌栓切除;腫瘤切除后可見膽管右前、右后分支(圖 6a),予以整形后行膽腸吻合(圖 6b)。

a:術中切除右側膽管(白箭);b:術中行膽管右前支、右后支整形(白箭)
4.2 結果
該患者的手術順利,手術時間 380 min,術中出血 450 mL。術后患者恢復可,無明顯并發癥發生,于術后 12 d 出院。
5 術后病理診斷
四川省腫瘤醫院病理科周萍主任醫師:標本肉眼下可見左肝外葉處一 4.5 cm×4.5 cm×4.5 cm 大的質硬腫瘤,腫瘤向右侵犯左外葉膽管并延伸至左肝管、肝門膽管、右肝管及膽總管內,形成 BDTT。剖開膽總管可見癌栓約 3.7 cm×2.4 cm×2.0 cm 大,癌栓呈灰白色;爛肉狀,質較脆;呈柱狀,無蒂;易從膽管壁剝出;膽管壁光滑,肉眼未見腫瘤侵犯(圖 7)。病理學檢查及免疫組織化學檢查提示:(左肝腫瘤、膽管腫瘤)中分化 HCC,膽管壁和門靜脈未見腫瘤侵犯;未見微血管癌栓。

6 術后隨訪
患者術后 1 個月復查 AFP 降至正常。該患者術后已獲訪半年,未見腫瘤復發,繼續隨訪。
7 小結
本例患者因“梗阻性黃疸伴肝門膽管占位”就診,經常規的影像學檢查誤診為“肝門膽管癌”。經過 MDT,患者首先被修正診斷為“HCC 伴膽總管癌栓”,其次針對患者進行了圍手術期的個體化治療和積極的手術治療,使患者獲得了較好的生存預后。
HCC 是常見的惡性程度較高的腫瘤,易伴有門靜脈等血管侵犯[1-3],但 HCC 伴 BDTT 在臨床上不多見,臨床報道發生率為 1.4%~3.4%[4-5]。由于 HCC 伴 BDTT 常伴有黃疸、膽管炎、肝功能差和腫瘤膽管侵犯,曾被認為是 HCC 的晚期表現[3-4, 6-8]。因此,既往的治療方式以保守治療為主,常見的治療方式包括膽道引流、肝動脈栓塞、放化療等[1, 9-10]。
近年來,由于手術技術和圍手術期管理的進步,肝癌切除術后圍手術期的死亡率已降至 1% 以下[11],越來越多的醫學中心開始采用肝切除治療 HCC 伴 BDTT,并發現 HCC 伴 BDTT 行根治性切除術后能夠達到與常規 HCC 一致的 5 年生存率[3, 12]。因此,對于能夠進行原發病灶切除的 HCC 伴 BDTT 患者,有研究中心[13-14]建議進行根治性切除。一項包含 247 例 HCC 伴 BDTT 患者的大樣本研究[4]結果示,有 10.9%(27 例)的患者最終能夠進行肝切除,而有 42.5% 的患者采取了肝動脈化療栓塞治療,有 42.8% 的患者只進行了系統對癥治療[4];肝切除術后患者的中位生存時間為 11.5 個月,明顯高于肝動脈化療栓塞治療患者的 6.0 個月、化療治療患者的 2.4 個月和保守治療患者的 1.6 個月。因此,肝切除聯合 BDTT 切除成為 HCC 伴 BDTT 治療的首選。目前研究[5]表明,BDTT 與門靜脈癌栓不一樣,其并不是 HCC 的晚期表現形式,主要原因在于:① BDTT 并不呈浸潤性生長;② 部分臨床研究[2, 4]表明,HCC 伴 BDTT 能夠達到與常規 HCC 一致的臨床遠期效果。學者[5, 12]的研究表明,HCC 伴 BDTT 的生存率與 HCC 沒有明顯差異。這可能與 BDTT 的特征有關:BDTT 多呈棕紅色或灰白色;爛肉狀,質較脆;可呈條索狀或柱狀,部分有蒂;易從膽管壁剝出。多個研究[15-20]表明,大多數 BDTT 與肝門膽管癌不一樣,并不直接侵犯膽管壁。Navadgi 等[7]對 11 項包含 6 051 例患者(281 例 HCC 伴 BDTT,5 770 例 HCC)的研究進行系統評價后發現,HCC 伴 BDTT 患者具有更低的腫瘤分化程度和血管侵犯率,而這些因素才是決定患者術后預后的關鍵因素。多個研究[5, 12, 21-27]也證實,BDTT 并不是影響 HCC 預后的獨立危險因素;相反,根治性切除和腫瘤分期才影響 HCC 的預后。因此,目前的研究[7]證實,HCC 伴 BDTT 比常規 HCC 具有更晚的腫瘤分期和更差的肝功能,根治性切除術后的長期生存率略低于常規 HCC,但手術切除仍具有很好的臨床療效。對于具備切除條件的 HCC 伴 BDTT,外科切除是最好的治療選擇。
本例患者因“梗阻性黃疸”入院,曾被誤診為肝門膽管癌,但經 MDT 討論,及時糾正誤診,并給患者提供了個體化治療方案;術中手術探查和術后病理學檢查也證實了 MDT 討論的正確性和意義。通過該病例的病理標本,可見 BDTT 并不呈浸潤性生長,易從膽管壁剝離,膽管壁也光滑。盡管術后隨訪時間較短,但目前患者仍未復發,這表明 HCC 伴 BDTT 行手術切除能夠使患者獲益,這也與臨床報道的 HCC 伴 BDTT 的病理學特征和預后相符合。
綜上,MDT 模式不但可減少“梗阻性黃疸伴肝門膽管占位”的誤診,同時可使患者獲得最佳治療和個體化治療方案。
致謝:感謝賽生醫藥(中國)有限公司對該欄目的大力支持。