引用本文: 蘇偉, 張勝龍, 王文濤, 陳衛霞, 魯昌立, 彭星辰. 胃肝樣腺癌的 MDT 討論. 中國普外基礎與臨床雜志, 2018, 25(2): 213-220. doi: 10.7507/1007-9424.201712015 復制
胃肝樣腺癌(hepatoid adenocarcinoma of the stomach,HAS)是一種較為罕見且較為重要的胃癌亞型,因其腫瘤病理學形態特點為組織由兩種不同而又緊密相關的腺癌區和類似肝細胞癌(hepato- celluar carcinoma,HCC)的肝樣分化區組成,因而具有腺癌和 HCC 樣分化的特點。其臨床特點是早期容易發生淋巴結及肝臟轉移,血清甲胎蛋白(AFP)升高,且預后差。因為 HAS 的臨床表現不典型,常常以肝占位為首發癥狀,加之輔助檢查及病理改變與 HCC 具有相似性,很容易被誤診為 HCC,尤其在原發性 HCC 高發區更容易被誤診。因此,目前面臨的困難仍是正確的診斷和有效的治療。四川大學華西醫院于 2017 年 10 月收治了 1 例肝占位患者,通過術前 MDT 團隊的討論后決定行手術治療,最終確診為 HAS。現就 MDT 討論內容、手術情況及術后情況報道如下,以期避免誤診的發生,并為 HAS 的診療模式提供參考。
1 臨床資料
1.1 病史簡介
患者,男,60 歲,因“上腹持續性隱痛 6 個月、加重 5 d”收入四川大學華西醫院治療。患者于 6 個月前無明顯誘因出現上腹隱痛,疼痛呈持續性,較劇烈;無惡心、嘔吐,無腹痛、腹瀉及腹脹,無嘔血、黑便,無寒戰、發熱,無乏力、胸悶、氣短等不適。5 d 前癥狀加重,于四川大學華西醫院行 CT 檢查發現肝臟占位,門診以“肝占位性病變”為初步診斷收入四川大學華西醫院肝臟外科。患者自患病以來,神志清楚,精神一般,飲食睡眠可,大小便無明顯異常,體質量減輕約 3 kg。
1.2 體格檢查
T:36.6 ℃,P:68 次/min,R:16 次/min,BP:137/82 mm Hg(1 mm Hg=0.133 kPa)。患者神志清楚,皮膚鞏膜無黃染,全身淺表淋巴結未捫及腫大。腹部外形正常,全腹柔軟,上腹部輕壓痛,腹部未觸及包塊,肝臟肋下未觸及,脾臟肋下未觸及,雙腎未觸及,移動性濁音陰性,腸鳴音正常。
1.3 實驗室檢查
血常規:RBC 3.79×1012/L,HGB 97 g/L。凝血功能:凝血酶原時間(PT)11.8 s,國際標準化比值(INR)1.00。肝功能指標:總膽紅素(TBIL)14.2 μmol/L,直接膽紅素(DBIL)4.3μmol/L,丙氨酸氨基轉移酶(ALT)34 U/L,門冬氨酸氨基轉移酶(AST)43 U/L,堿性磷酸酶(ALP)165 U/L,白蛋白(ALB)40.5 g/L,谷氨酰轉肽酶(GGT)78 U/L。血清腫瘤標志物:AFP>1 210.00 μg/L,異常凝血酶原-Ⅱ(PIVKA-Ⅱ)95.00 mAU/mL,癌胚抗原(CEA)4.23 μg/L,CA19-9 9.99 U/mL,CA-125 12.32 U/mL。抗-HBS:陽性;抗-HBC:陽性。
1.4 影像學檢查
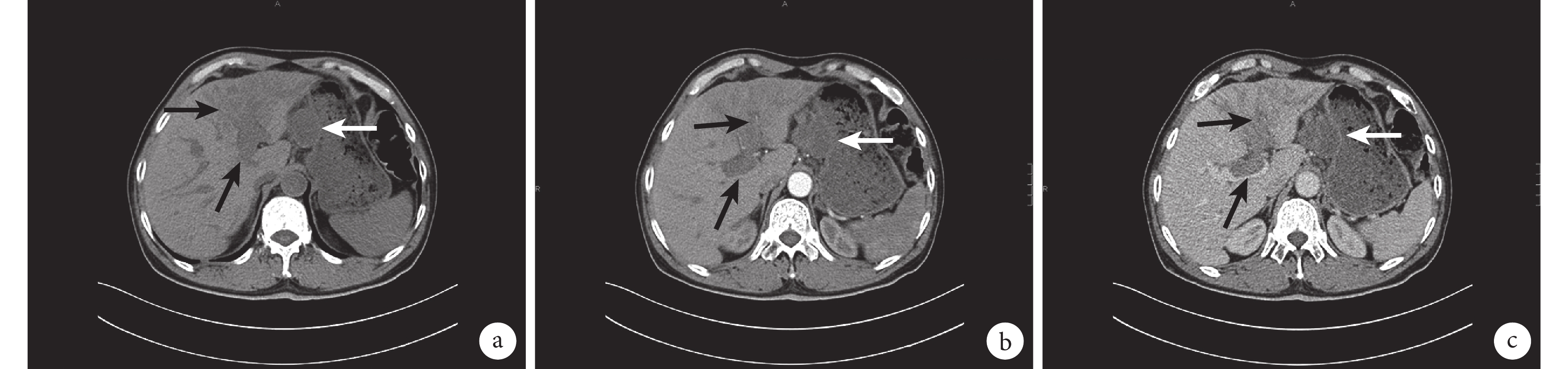
肝臟增強 CT 檢查(圖 1)示:肝左葉一稍低密度片團影,增強掃描呈輕度不均勻強化,并見病灶由肝動脈分支供血,肝內膽管明顯擴張,以肝左葉為著,局部病變與胃竇壁分界欠清;肝實質內少許不規則片狀稍低密度影,輕度強化;肝門區及肝胃韌帶旁見明顯腫大淋巴結,較大者約 3.9 cm×3.2 cm,并見液化壞死;門靜脈主干見一約 3.5 cm×1.3 cm大的低密度影。據以上考慮肝左葉腫瘤伴周圍淋巴結轉移、肝內轉移可能,門靜脈癌栓形成。

a:平掃圖像;b:動脈期圖像;c:靜脈期圖像;上黑箭指示肝左葉病灶,下黑箭指示門靜脈,白箭指示肝胃間隙腫物
2 MDT 討論
參與本病例討論的成員有:四川大學華西醫院肝臟外科王文濤教授,四川大學華西醫院影像科陳衛霞教授,四川大學華西醫院病理科魯昌立副主任醫師,四川大學華西醫院腫瘤科彭星辰副主任醫師,青海仁濟醫院肝膽外科蘇偉副主任醫師,成都市第二人民醫院肝膽外科張勝龍主治醫師。主管醫生蘇偉介紹病史,張勝龍醫生記錄匯總。各專家發言如下。
2.1 影像科醫生
四川大學華西醫院影像科陳衛霞教授閱片后考慮:胃體中遠段不規則增厚,增強掃描呈不均勻輕度強化,動脈期顯示黏膜面不光整、強化差;肝左外葉邊界不清、存在不均勻稍低密度腫塊,大小約 11.2 cm×6.4 cm,累及左內葉,動脈期不均勻輕度強化,門靜脈期密度低于背景肝實質;肝右葉前上段類似密度結節,邊界不清;門靜脈右支、左支及其分支增粗,腔內軟組織充填,強化時相及程度與肝左葉腫塊一致;肝胃韌帶及門腔間隙多個增大淋巴結,相互融合,平掃密度不均勻,不均勻輕度強化。最大腫塊約 3.9 cm×3.2 cm 大,與胃體壁分界不清,未見強化;肝右葉表面光整,背景肝未見肝硬變征象;脾臟不大,密度均勻;膽囊無異常;上腹腔無積液,腹主動脈周圍無增大淋巴結。
由于胃內容物多,影響對胃壁的精細觀察。冠狀面重建圖像顯示胃體小彎壁增厚呈結節狀、突向腔內外,且肝胃韌帶淋巴結增大、融合,僅依據影像學表現與胃癌難以鑒別。
肝內病灶呈邊界不清的稍低密度腫塊,動脈期僅輕度強化,提示動脈血供不豐富,門靜脈期強化程度與動脈期相似,并不具備典型 HCC 的 CT 增強表現;但門靜脈癌栓方面 HCC 的發生率遠遠高于肝轉移瘤。左葉腫塊較大且無消化系統腺癌轉移的特征性環狀強化,肝右葉結節亦無消化系統腺癌轉移的典型環狀強化。因此,肝內病灶既不是典型的 HCC、亦不是典型的消化系統腺癌轉移瘤,僅依據 CT 表現,難以明確診斷。
本病例的 AFP 明顯升高,但無基礎肝病,而 CEA 僅輕度升高,結合胃、肝內病灶綜合分析,應考慮“HAS 肝轉移”的可能性。
2.2 腫瘤科醫生
四川大學華西醫院腫瘤科彭星辰副主任醫師認為,HCC 的血清標志物主要是:① AFP 及異質體;② γ 谷氨酰轉肽酶同工酶 Ⅱ、堿性磷酸酶同工酶 Ⅰ、抗胰蛋白酶 Ⅰ、醛縮酶同工酶 A、巖藻糖苷酶、異常凝血酶原、鐵蛋白與酸性鐵蛋白。其中 AFP 的臨床應用最廣,診斷價值最大。HCC 患者的慢性 HBV 感染的發生率明顯高于對照人群。文獻報道,HCC 患者的 HBsAg 陽性率為 80%,抗 HBc 陽性率可達 95%。綜合患者病史及相關檢查考慮:肝臟腫瘤為原發并發生遠處轉移,不排除肝胃間隙間質瘤肝轉移。治療上建議行手術治療,根據病理結果再進行下一步治療。
2.3 專科醫生
四川大學華西醫院肝臟外科王文濤教授認為:HCC 在 CT 平掃下多表現為低密度占位,邊緣清晰或模糊,部分有包膜的 HCC 可顯示暈圈征;較大的 HCC 可見更低密度的壞死區,少數 HCC 可見鈣化;HCC 在增強 CT 檢查時,動脈期強化,靜脈期呈低密度,表現為快進快出。因該例患者的 AFP>1 200 ng/mL,有乙肝病史,CT 增強掃描顯示有門靜脈癌栓,暫不考慮胃癌肝轉移。因為較常見的胃癌肝轉移的 AFP 多不升高,極少會形成門靜脈癌栓。故綜合考慮為:原發性肝腫瘤肝胃間隙淋巴結轉移。因患者無明顯的手術禁忌,手術方式選擇左半肝切除+門靜脈癌栓取出+肝胃間隙淋巴結清掃術。
3 圍手術期處理
患者各項術前檢查均正常,肝功 Child-Pugh 分級為 A 級,吲哚菁綠(ICG)排泄試驗為 4.9%,有手術適應證,無明顯手術禁忌證。經 MDT 團隊討論后擬定行手術治療,做好術前準備。
4 手術及結果
4.1 手術情況
術中探查:肝臟大小形態正常,左肝 Ⅱ、Ⅲ 及 Ⅳ 段可捫及彌漫多發結節,部分結節突出肝臟表面,邊界欠清楚,質地硬,包塊累積第 1 肝門并侵犯門靜脈分叉處,胃小彎可分別捫及 6 cm×4 cm×3 cm 及 5 cm×4 cm×3 cm 大的包塊,侵犯胃壁。術中超聲檢查提示左肝彌漫性占位,提示癌栓位于門靜脈分叉處及整個門靜脈左支(圖 2),胃小彎包塊多考慮為融合的淋巴結,其中 5 cm×4 cm×3 cm 大的腫塊侵犯胃壁全層。

a:紅箭指示左肝彌漫性占位,藍箭指示左肝靜脈;b:紅箭指示門靜脈癌栓
四川大學華西醫院肝臟外科王文濤教授術式選擇策略:根據術中探查情況及術中超聲情況,考慮侵犯胃壁全層的腫物有可能是:① HCC 轉移至胃;② 肝、胃都為原發;③ 胃為原發,肝臟為轉移。因肝胃間隙一腫物侵犯遠端胃壁全層,無法單純行肝胃間隙淋巴結清掃,故術中決定行左半肝切除+門靜脈癌栓取出+遠端胃大部切除+肝胃間隙淋巴結清掃術(圖 3)。確診待術后病理學檢查結果。

a:術中切除左半肝,黃箭指示左半肝切除后的肝斷面,綠箭指示肝胃間隙腫物;b:術后大體標本,黃箭指示切除的左半肝腫瘤切面,綠箭指示肝胃間隙腫物,紅箭指示切除的遠端胃及受侵胃壁
4.2 結果
手術歷時 4.5 h,術中出血量約 800 mL,臨床考慮診斷:① HCC 胃轉移?② HCC、胃癌同時發生?③ 胃癌肝轉移。術后遵循快速康復理念,術后第1 天拔除胃管、早期下床活動,第 2 天給予流食,第3 天患者通氣排便,第 5 天確認腹腔無積液、拔除引流管,第 6 天出院。術后給予抗生素 3 d、保肝藥 5 d。術后患者恢復良好,無出血、膽汁漏等并發癥發生。
5 術后病理檢查
5.1 大體檢查
① 已剖帶部分十二指腸的遠端切除胃 1 個,10.7 cm×9.7 cm×4.5 cm 大;小彎側見一潰瘍型腫物,5.8 cm×3.2 cm×0.8 cm 大,底部污穢,質脆,腫物切面呈灰白兼暗紅色,實性,質中,侵及全層。② 已剖部分切除肝組織 1 塊,12.0 cm×10.0 cm×6.5 cm 大,被膜下見灰白色腫物,最大者為 8.5 cm×6.0 cm×5.0 cm 大,切面呈灰白色,實性,質中,與周圍肝組織分界欠清。周圍肝組織未見肝硬變改變。
5.2 鏡檢
5.2.1 胃
低倍鏡下見腫瘤呈結節狀、浸潤性生長,侵出漿膜,可見腫瘤與周邊正常胃組織的過渡;腫瘤表面見大片壞死及炎性滲出物(圖 4a)。中倍鏡下見腫瘤由管狀及乳頭狀腺癌區(圖 4b)+梁索狀及片團狀排列的肝樣區組成(圖 4c)。高倍鏡下見肝樣區瘤細胞呈卵圓形或多邊形,胞漿豐富,嗜酸性,核大而不規則,染色質顆粒不均勻,核分裂象易見,部分胞漿內可見嗜伊紅透明小體(圖 4d);瘤細胞巢內見豐富的小血管,伴有壞死,可見癌栓。

a:低倍鏡下見腫瘤呈結節狀、浸潤性生長,侵出漿膜,可見腫瘤與周邊正常胃組織的過渡(HE ×4);b:中倍鏡下見腫瘤由管狀及乳頭狀腺癌區(中央)+梁索狀及片團狀排列的肝樣區(周圍)組成,兩者有移行(HE ×10);c:中高倍鏡下見管狀腺癌區與肝樣區移行(HE ×20);d:高倍鏡下見肝樣區瘤細胞呈卵圓形或多邊形,胞漿豐富,嗜酸性,核大而不規則,染色質顆粒不均勻,核分裂象易見,部分胞漿內可見嗜伊紅透明小體(HE ×100)
5.2.2 肝
低倍鏡下見腫瘤呈結節狀、浸潤性生長,中高倍鏡下的組織學改變同胃(圖 5a),并見多處微血管內癌栓,周圍肝組織未見明顯異常。免疫組化結果示(圖 5b–5d):AFP 少數陽性,肝細胞(hepatocyte)少數陽性,磷脂酰肌醇蛋白聚糖-3(glypican-3,GPC3)陽性,谷氨酰胺合成酶(glutamate synthetase,GS)陽性,腸道上皮特異性基因 2(CDX2)少數陽性,嗜鉻粒蛋白 A(CgA)部分陽性,突觸素(Syn)陽性,CD56 陽性,上皮膜抗原(EMA)陰性,細胞角蛋白 20(CK20)陰性,Ki-67 陽性(指數約為 65%)。

a:高倍鏡下見腫瘤呈浸潤性生長,排列呈片團狀,瘤細胞卵圓形或多邊形,胞漿豐富,嗜酸性,核大而不規則,染色質顆粒不均勻,核分裂象易見,周圍肝組織未見明顯異常(HE ×40);b:免疫組化示 hepatocyte 陽性(SP ×400);c:免疫組化示 GPC3 陽性(SP ×400);d:免疫組化示 GS 陽性(SP ×400)
5.3 病理診斷
病理診斷為:HAS 伴神經內分泌分化及肝轉移。
四川大學華西醫院病理科魯昌立副主任醫師解讀:肝樣腺癌(hepatoid adenoearcinoma,HAC)是高侵襲性的腺癌,可以發生肝轉移,也可以發生胃轉移。在鏡下,HAC 與 HCC 不易鑒別[1]。本例胃與肝臟同時發現腫物,但胃部腫物可見癌與正常胃黏膜移行,并可見經典的胃管狀/乳頭狀腺癌的構型;鏡下肝臟無基礎性肝臟疾病。以上特征均有助于確定原發灶是胃。
免疫表型對 HAC 的診斷幫助很大[2]。HAC 組織中陽性表達的標志物有 GPC3、AFP、hepatocyte、精氨酸酶-1(arginase-1)、CEA、CK18、CK19、CK20、CK7、廣譜細胞角蛋白(PCK)及 CD10。特別是 GPC3 和 arginase-1 均為新近報道的陽性標志物。因 HAC 分化程度低,有時 hepatocyte 及 arginase-1 均為陰性表達,而 GPC3 呈陽性表達,這有助于診斷。文獻報道,GPC3 診斷 HCC 的特異度為 96%,敏感度為 77%。glutamate synthetase 表達于正常肝組織的腺泡 3 區,而在 1 區和 2 區則表達下調,這是肝細胞合成功能正常的標志。glutamate synthetase 也可表達于 HCC 組織中。glutamate synthetase 與 GPC3 聯合使用有助于提高 HCC 及其癌前病變的診斷率。
另外,組織學上似 HCC 的還有:皮質癌、神經內分泌腫瘤及以嗜酸性成分為主的腎細胞癌,均需注意鑒別。
因 HAC 比較罕見,預后比一般的低分化腺癌還要差,如果診斷的時候不注意,可能會當成一般的低分化腺癌而漏診。故在診斷胞漿嗜酸性的、呈梁柱狀或片團狀排列的低分化腺癌時,一定要做 GPC3、癌胚基因 4(SALL4)、AFP、hepatocyte 等檢測以排除 HAC 的可能性,防止漏診。
6 術后隨訪
此患者出院后 1 個月給予胃癌全身化療 1 次(奧沙利鉑+卡培他濱),至 2018 年 1 月已獲訪 2 個月,未見腫瘤復發轉移,繼續隨訪。
7 總結
HAC 是一種罕見但十分重要的特殊類型的肝外腫瘤,其臨床表現和組織學表現均酷似 HCC[3-6]。1970 年 HAC 被首次報道并被稱為產 AFP 腫瘤。隨后 Ishikura 等[7]報道了 7 例產 AFP 的胃腺癌。因為患者血清的 AFP 水平高達 4 730~700 000 μg/L,故臨床提出了 HAC 這一術語并一直沿用至今。HAC 可來源于不同的器官,如胃囊[8]、膽囊、結腸、膀胱[9]、胸腺、肺[10]、胰腺[11]、食管、子宮等多種臟器。尋找 HAC 的起源至關重要,及時和適當的治療可顯著改善患者的預后。各種 HAC 中以 HAS 最為常見[12]。HAS 是胃癌的一種獨特亞型,占胃癌的 0.3%~1%[13]。該病原發于胃黏膜,呈 HCC 樣分化,惡性度高,臨床常見肝轉移,預后差。由于 HAS 的發病率低,臨床醫生對其認識不足,特別是在 HAS 發生肝轉移時,臨床常將其誤診為 HCC 胃轉移。筆者將探討 HAS 的生物學特性、臨床表現、診療思路、病理和免疫組織學特點,以便提高對該病的認識。
7.1 臨床特點
HAS 多見于老年男性,男女比約為 2.3∶1,平均發病年齡為 63.5 歲[14],腫瘤原發灶多好發于胃竇部,以潰瘍浸潤型腫瘤為主,病理學類型以低分化腺癌多見,侵襲性強,極易發生肝轉移及周圍淋巴結轉移;癥狀主要表現為腹部隱痛、腹脹、反酸、燒心、黑便、食欲不振等消化道癥狀,發現時多已屬于中晚期,預后較普通胃癌差。除此之外,血清 AFP 升高是 HAS 的另一個特征性表現,其陽性率為 70%~80%[14]。AFP 值的高低與分化程度相關。同時,有 42.9% 的 HAS 患者伴 CEA 升高[15],而 CEA 是胃腸道腫瘤的重要標志物之一。CEA 陽性多提示腫瘤原發于胃腸道。因而,血清 CEA 和 AFP 同時升高要警惕 HAS 可能。
HAS 的另一顯著特點是易出現肝轉移和淋巴結轉移[15]。有研究[16]顯示,有 90% 的 HAS 手術時已出現肝臟和周圍淋巴結轉移,其他常見的轉移部位有肺和胰腺,少部分可轉移至脾臟及腦。Lee 等[17]通過對 8 例 HAS 患者行 CT 檢查發現,HAS 患者的胃壁異常增厚,在胃的原發病灶周圍可見淋巴結轉移及血管浸潤表現,部分患者已出現肝轉移(其他文獻[18-19]也有此發現)。另外,由于 HAS 的肝樣分化區腫瘤細胞與原發性 HCC 細胞類似,均具有較強的嗜肝性,容易侵犯周圍靜脈,與 HCC 一樣易形成癌栓,因而,血運豐富的器官或組織易首先受到侵犯。
7.2 病理學特點
HAS 通常發生于胃黏膜腺體,在病理形態學上,既有 HCC 樣分化區,又有腺癌分化的特點[20]。顯微鏡下,腫瘤細胞較大,細胞核呈圓形或卵圓形;細胞質較豐富,呈淡紅染色,可有核仁和有絲分裂紡錘體;部分腫瘤細胞形成髓質或條索狀結構;細胞間有豐富的血液和少量纖維組織;細胞之間可見嗜酸性玻璃樣 PAS 陽性小體;腫瘤細胞可以表現為脂肪變性或者分泌膽汁,呈現肝細胞樣分化。電子顯微鏡下,可以在腫瘤細胞之間觀察到毛細膽管結構。HAS 有嗜血管特征,脈管內癌栓較常見。
HAS 的免疫組化染色特點[21]:① AFP 主要在肝細胞樣分化區的腫瘤細胞的細胞質內表達,CEA 主要在腺癌區的腫瘤細胞的細胞膜及部分細胞質內表達,α 抗胰蛋白酶(α-AAT)和 α 抗糜蛋白酶(α-ACT)主要在肝細胞樣分化區的腫瘤細胞內表達;② α-AAT、α-ACT、GPC3 及 CK19 在肝細胞癌樣分化區多呈陽性;③ 少數病例可表達 CK7、CK20 和 CDX2,但都缺乏特異性;④ 腫瘤細胞的 Ki-67 增殖指數為 30%~80%,hepatocyte 可呈陰性表達。
7.3 診斷
HAS 早期無特異性臨床表現,隨著病程的進展可表現為反酸、燒心、腹脹、腹痛、黑便等消化道癥狀。檢驗結果提示血清 AFP 多升高,部分患者的 AFP 異常升高[22-24]。如患者沒有肝炎病史,AFP 異常升高時應懷疑此病,HAS 患者的血清 CEA 也可有不同程度的升高。CT 檢查可提示胃壁腫塊,部分患者可見腫大淋巴結,出現肝轉移時,可見肝占位性病變。胃鏡檢查確診 HAS 較困難,因為肝樣分化細胞位于癌組織深層,且所占體積小,胃鏡活檢對肝樣分化癌細胞的檢出陽性率低,主要靠術后病理學診斷。
7.4 鑒別診斷
HAS 主要需與原發性 HCC 相鑒別。當 HAS 并發肝轉移時,其轉移的腫瘤組織在形態上與原發性 HCC 相似,鑒別困難,臨床上也有誤診為 HCC 的報道[25-26]。原發性 HCC 的發生通常與乙肝病毒感染密切相關,多有肝硬變病史,可以查血清的病毒表面抗原,且 CT 檢查時肝臟有肝硬變表現。HAS 是原發于胃部的腫瘤,CT 和彩超檢查提示肝臟多無肝硬變表現。臨床上胃癌肝轉移較常見,而原發性 HCC 胃轉移少見。
7.5 治療及預后
手術切除是 HAS 的主要治療方式,需徹底的切除胃癌原發病灶和肝臟轉移病灶。手術適應證為:① 原發灶可行 D2 根治性切除;② 沒有腹腔內種植和肝外轉移;③ 肝轉移灶可切除。如果肝內轉移灶無法切除,但無肝外轉移,胃大部切除術也能延長生存期。如存在肝外的轉移和腹腔種植,則不建議手術,這時只能采用化療、介入治療、射頻消融等姑息療法。目前尚無針對性的化療方案[23],且 HAS 對化療的敏感性較差。常用的治療方案有紫杉醇聯合 5-Fu、紫杉醇聯合替吉奧及紫杉醇方案,完整的手術切除加上后續的全身化療可改善患者的生活質量,延長患者的生存時間。
HAS 的預后較普通胃癌差,文獻[14]報道平均生存期僅為 10~16 個月。影響預后的主要因素有:① 手術前后的血清 AFP 水平;② 肝轉移和遠處轉移情況;③ 病理檢查所示的腫瘤生物學活性(漿膜侵襲程度及有無靜脈的浸潤[27]);④ 手術根治的水平。其中 AFP 情況、淋巴結的轉移情況、腫瘤的浸潤深度及范圍是影響預后的獨立因素。
7.6 本例經驗教訓
本例患者術前無消化道癥狀且 AFP 顯著升高,CT 和 B 超檢查均提示肝占位并門靜脈癌栓、肝胃韌帶淋巴結腫大,行術中超聲才提示胃竇部腫物侵犯胃壁全層,故術中才決定行左半肝切除+門靜脈癌栓取出+遠端胃大部切除+肝胃間隙淋巴結清掃術。因此我們也要吸取教訓,對 AFP 升高的肝占位應該重視胃腸道的檢查,鑒別是否由 HAS 引起,而對胃癌也應常規檢測 AFP,以避免漏診、誤診等情況發生。
致謝:感謝賽生醫藥(中國)有限公司對該欄目的大力支持。
胃肝樣腺癌(hepatoid adenocarcinoma of the stomach,HAS)是一種較為罕見且較為重要的胃癌亞型,因其腫瘤病理學形態特點為組織由兩種不同而又緊密相關的腺癌區和類似肝細胞癌(hepato- celluar carcinoma,HCC)的肝樣分化區組成,因而具有腺癌和 HCC 樣分化的特點。其臨床特點是早期容易發生淋巴結及肝臟轉移,血清甲胎蛋白(AFP)升高,且預后差。因為 HAS 的臨床表現不典型,常常以肝占位為首發癥狀,加之輔助檢查及病理改變與 HCC 具有相似性,很容易被誤診為 HCC,尤其在原發性 HCC 高發區更容易被誤診。因此,目前面臨的困難仍是正確的診斷和有效的治療。四川大學華西醫院于 2017 年 10 月收治了 1 例肝占位患者,通過術前 MDT 團隊的討論后決定行手術治療,最終確診為 HAS。現就 MDT 討論內容、手術情況及術后情況報道如下,以期避免誤診的發生,并為 HAS 的診療模式提供參考。
1 臨床資料
1.1 病史簡介
患者,男,60 歲,因“上腹持續性隱痛 6 個月、加重 5 d”收入四川大學華西醫院治療。患者于 6 個月前無明顯誘因出現上腹隱痛,疼痛呈持續性,較劇烈;無惡心、嘔吐,無腹痛、腹瀉及腹脹,無嘔血、黑便,無寒戰、發熱,無乏力、胸悶、氣短等不適。5 d 前癥狀加重,于四川大學華西醫院行 CT 檢查發現肝臟占位,門診以“肝占位性病變”為初步診斷收入四川大學華西醫院肝臟外科。患者自患病以來,神志清楚,精神一般,飲食睡眠可,大小便無明顯異常,體質量減輕約 3 kg。
1.2 體格檢查
T:36.6 ℃,P:68 次/min,R:16 次/min,BP:137/82 mm Hg(1 mm Hg=0.133 kPa)。患者神志清楚,皮膚鞏膜無黃染,全身淺表淋巴結未捫及腫大。腹部外形正常,全腹柔軟,上腹部輕壓痛,腹部未觸及包塊,肝臟肋下未觸及,脾臟肋下未觸及,雙腎未觸及,移動性濁音陰性,腸鳴音正常。
1.3 實驗室檢查
血常規:RBC 3.79×1012/L,HGB 97 g/L。凝血功能:凝血酶原時間(PT)11.8 s,國際標準化比值(INR)1.00。肝功能指標:總膽紅素(TBIL)14.2 μmol/L,直接膽紅素(DBIL)4.3μmol/L,丙氨酸氨基轉移酶(ALT)34 U/L,門冬氨酸氨基轉移酶(AST)43 U/L,堿性磷酸酶(ALP)165 U/L,白蛋白(ALB)40.5 g/L,谷氨酰轉肽酶(GGT)78 U/L。血清腫瘤標志物:AFP>1 210.00 μg/L,異常凝血酶原-Ⅱ(PIVKA-Ⅱ)95.00 mAU/mL,癌胚抗原(CEA)4.23 μg/L,CA19-9 9.99 U/mL,CA-125 12.32 U/mL。抗-HBS:陽性;抗-HBC:陽性。
1.4 影像學檢查
肝臟增強 CT 檢查(圖 1)示:肝左葉一稍低密度片團影,增強掃描呈輕度不均勻強化,并見病灶由肝動脈分支供血,肝內膽管明顯擴張,以肝左葉為著,局部病變與胃竇壁分界欠清;肝實質內少許不規則片狀稍低密度影,輕度強化;肝門區及肝胃韌帶旁見明顯腫大淋巴結,較大者約 3.9 cm×3.2 cm,并見液化壞死;門靜脈主干見一約 3.5 cm×1.3 cm大的低密度影。據以上考慮肝左葉腫瘤伴周圍淋巴結轉移、肝內轉移可能,門靜脈癌栓形成。

a:平掃圖像;b:動脈期圖像;c:靜脈期圖像;上黑箭指示肝左葉病灶,下黑箭指示門靜脈,白箭指示肝胃間隙腫物
2 MDT 討論
參與本病例討論的成員有:四川大學華西醫院肝臟外科王文濤教授,四川大學華西醫院影像科陳衛霞教授,四川大學華西醫院病理科魯昌立副主任醫師,四川大學華西醫院腫瘤科彭星辰副主任醫師,青海仁濟醫院肝膽外科蘇偉副主任醫師,成都市第二人民醫院肝膽外科張勝龍主治醫師。主管醫生蘇偉介紹病史,張勝龍醫生記錄匯總。各專家發言如下。
2.1 影像科醫生
四川大學華西醫院影像科陳衛霞教授閱片后考慮:胃體中遠段不規則增厚,增強掃描呈不均勻輕度強化,動脈期顯示黏膜面不光整、強化差;肝左外葉邊界不清、存在不均勻稍低密度腫塊,大小約 11.2 cm×6.4 cm,累及左內葉,動脈期不均勻輕度強化,門靜脈期密度低于背景肝實質;肝右葉前上段類似密度結節,邊界不清;門靜脈右支、左支及其分支增粗,腔內軟組織充填,強化時相及程度與肝左葉腫塊一致;肝胃韌帶及門腔間隙多個增大淋巴結,相互融合,平掃密度不均勻,不均勻輕度強化。最大腫塊約 3.9 cm×3.2 cm 大,與胃體壁分界不清,未見強化;肝右葉表面光整,背景肝未見肝硬變征象;脾臟不大,密度均勻;膽囊無異常;上腹腔無積液,腹主動脈周圍無增大淋巴結。
由于胃內容物多,影響對胃壁的精細觀察。冠狀面重建圖像顯示胃體小彎壁增厚呈結節狀、突向腔內外,且肝胃韌帶淋巴結增大、融合,僅依據影像學表現與胃癌難以鑒別。
肝內病灶呈邊界不清的稍低密度腫塊,動脈期僅輕度強化,提示動脈血供不豐富,門靜脈期強化程度與動脈期相似,并不具備典型 HCC 的 CT 增強表現;但門靜脈癌栓方面 HCC 的發生率遠遠高于肝轉移瘤。左葉腫塊較大且無消化系統腺癌轉移的特征性環狀強化,肝右葉結節亦無消化系統腺癌轉移的典型環狀強化。因此,肝內病灶既不是典型的 HCC、亦不是典型的消化系統腺癌轉移瘤,僅依據 CT 表現,難以明確診斷。
本病例的 AFP 明顯升高,但無基礎肝病,而 CEA 僅輕度升高,結合胃、肝內病灶綜合分析,應考慮“HAS 肝轉移”的可能性。
2.2 腫瘤科醫生
四川大學華西醫院腫瘤科彭星辰副主任醫師認為,HCC 的血清標志物主要是:① AFP 及異質體;② γ 谷氨酰轉肽酶同工酶 Ⅱ、堿性磷酸酶同工酶 Ⅰ、抗胰蛋白酶 Ⅰ、醛縮酶同工酶 A、巖藻糖苷酶、異常凝血酶原、鐵蛋白與酸性鐵蛋白。其中 AFP 的臨床應用最廣,診斷價值最大。HCC 患者的慢性 HBV 感染的發生率明顯高于對照人群。文獻報道,HCC 患者的 HBsAg 陽性率為 80%,抗 HBc 陽性率可達 95%。綜合患者病史及相關檢查考慮:肝臟腫瘤為原發并發生遠處轉移,不排除肝胃間隙間質瘤肝轉移。治療上建議行手術治療,根據病理結果再進行下一步治療。
2.3 專科醫生
四川大學華西醫院肝臟外科王文濤教授認為:HCC 在 CT 平掃下多表現為低密度占位,邊緣清晰或模糊,部分有包膜的 HCC 可顯示暈圈征;較大的 HCC 可見更低密度的壞死區,少數 HCC 可見鈣化;HCC 在增強 CT 檢查時,動脈期強化,靜脈期呈低密度,表現為快進快出。因該例患者的 AFP>1 200 ng/mL,有乙肝病史,CT 增強掃描顯示有門靜脈癌栓,暫不考慮胃癌肝轉移。因為較常見的胃癌肝轉移的 AFP 多不升高,極少會形成門靜脈癌栓。故綜合考慮為:原發性肝腫瘤肝胃間隙淋巴結轉移。因患者無明顯的手術禁忌,手術方式選擇左半肝切除+門靜脈癌栓取出+肝胃間隙淋巴結清掃術。
3 圍手術期處理
患者各項術前檢查均正常,肝功 Child-Pugh 分級為 A 級,吲哚菁綠(ICG)排泄試驗為 4.9%,有手術適應證,無明顯手術禁忌證。經 MDT 團隊討論后擬定行手術治療,做好術前準備。
4 手術及結果
4.1 手術情況
術中探查:肝臟大小形態正常,左肝 Ⅱ、Ⅲ 及 Ⅳ 段可捫及彌漫多發結節,部分結節突出肝臟表面,邊界欠清楚,質地硬,包塊累積第 1 肝門并侵犯門靜脈分叉處,胃小彎可分別捫及 6 cm×4 cm×3 cm 及 5 cm×4 cm×3 cm 大的包塊,侵犯胃壁。術中超聲檢查提示左肝彌漫性占位,提示癌栓位于門靜脈分叉處及整個門靜脈左支(圖 2),胃小彎包塊多考慮為融合的淋巴結,其中 5 cm×4 cm×3 cm 大的腫塊侵犯胃壁全層。

a:紅箭指示左肝彌漫性占位,藍箭指示左肝靜脈;b:紅箭指示門靜脈癌栓
四川大學華西醫院肝臟外科王文濤教授術式選擇策略:根據術中探查情況及術中超聲情況,考慮侵犯胃壁全層的腫物有可能是:① HCC 轉移至胃;② 肝、胃都為原發;③ 胃為原發,肝臟為轉移。因肝胃間隙一腫物侵犯遠端胃壁全層,無法單純行肝胃間隙淋巴結清掃,故術中決定行左半肝切除+門靜脈癌栓取出+遠端胃大部切除+肝胃間隙淋巴結清掃術(圖 3)。確診待術后病理學檢查結果。

a:術中切除左半肝,黃箭指示左半肝切除后的肝斷面,綠箭指示肝胃間隙腫物;b:術后大體標本,黃箭指示切除的左半肝腫瘤切面,綠箭指示肝胃間隙腫物,紅箭指示切除的遠端胃及受侵胃壁
4.2 結果
手術歷時 4.5 h,術中出血量約 800 mL,臨床考慮診斷:① HCC 胃轉移?② HCC、胃癌同時發生?③ 胃癌肝轉移。術后遵循快速康復理念,術后第1 天拔除胃管、早期下床活動,第 2 天給予流食,第3 天患者通氣排便,第 5 天確認腹腔無積液、拔除引流管,第 6 天出院。術后給予抗生素 3 d、保肝藥 5 d。術后患者恢復良好,無出血、膽汁漏等并發癥發生。
5 術后病理檢查
5.1 大體檢查
① 已剖帶部分十二指腸的遠端切除胃 1 個,10.7 cm×9.7 cm×4.5 cm 大;小彎側見一潰瘍型腫物,5.8 cm×3.2 cm×0.8 cm 大,底部污穢,質脆,腫物切面呈灰白兼暗紅色,實性,質中,侵及全層。② 已剖部分切除肝組織 1 塊,12.0 cm×10.0 cm×6.5 cm 大,被膜下見灰白色腫物,最大者為 8.5 cm×6.0 cm×5.0 cm 大,切面呈灰白色,實性,質中,與周圍肝組織分界欠清。周圍肝組織未見肝硬變改變。
5.2 鏡檢
5.2.1 胃
低倍鏡下見腫瘤呈結節狀、浸潤性生長,侵出漿膜,可見腫瘤與周邊正常胃組織的過渡;腫瘤表面見大片壞死及炎性滲出物(圖 4a)。中倍鏡下見腫瘤由管狀及乳頭狀腺癌區(圖 4b)+梁索狀及片團狀排列的肝樣區組成(圖 4c)。高倍鏡下見肝樣區瘤細胞呈卵圓形或多邊形,胞漿豐富,嗜酸性,核大而不規則,染色質顆粒不均勻,核分裂象易見,部分胞漿內可見嗜伊紅透明小體(圖 4d);瘤細胞巢內見豐富的小血管,伴有壞死,可見癌栓。

a:低倍鏡下見腫瘤呈結節狀、浸潤性生長,侵出漿膜,可見腫瘤與周邊正常胃組織的過渡(HE ×4);b:中倍鏡下見腫瘤由管狀及乳頭狀腺癌區(中央)+梁索狀及片團狀排列的肝樣區(周圍)組成,兩者有移行(HE ×10);c:中高倍鏡下見管狀腺癌區與肝樣區移行(HE ×20);d:高倍鏡下見肝樣區瘤細胞呈卵圓形或多邊形,胞漿豐富,嗜酸性,核大而不規則,染色質顆粒不均勻,核分裂象易見,部分胞漿內可見嗜伊紅透明小體(HE ×100)
5.2.2 肝
低倍鏡下見腫瘤呈結節狀、浸潤性生長,中高倍鏡下的組織學改變同胃(圖 5a),并見多處微血管內癌栓,周圍肝組織未見明顯異常。免疫組化結果示(圖 5b–5d):AFP 少數陽性,肝細胞(hepatocyte)少數陽性,磷脂酰肌醇蛋白聚糖-3(glypican-3,GPC3)陽性,谷氨酰胺合成酶(glutamate synthetase,GS)陽性,腸道上皮特異性基因 2(CDX2)少數陽性,嗜鉻粒蛋白 A(CgA)部分陽性,突觸素(Syn)陽性,CD56 陽性,上皮膜抗原(EMA)陰性,細胞角蛋白 20(CK20)陰性,Ki-67 陽性(指數約為 65%)。

a:高倍鏡下見腫瘤呈浸潤性生長,排列呈片團狀,瘤細胞卵圓形或多邊形,胞漿豐富,嗜酸性,核大而不規則,染色質顆粒不均勻,核分裂象易見,周圍肝組織未見明顯異常(HE ×40);b:免疫組化示 hepatocyte 陽性(SP ×400);c:免疫組化示 GPC3 陽性(SP ×400);d:免疫組化示 GS 陽性(SP ×400)
5.3 病理診斷
病理診斷為:HAS 伴神經內分泌分化及肝轉移。
四川大學華西醫院病理科魯昌立副主任醫師解讀:肝樣腺癌(hepatoid adenoearcinoma,HAC)是高侵襲性的腺癌,可以發生肝轉移,也可以發生胃轉移。在鏡下,HAC 與 HCC 不易鑒別[1]。本例胃與肝臟同時發現腫物,但胃部腫物可見癌與正常胃黏膜移行,并可見經典的胃管狀/乳頭狀腺癌的構型;鏡下肝臟無基礎性肝臟疾病。以上特征均有助于確定原發灶是胃。
免疫表型對 HAC 的診斷幫助很大[2]。HAC 組織中陽性表達的標志物有 GPC3、AFP、hepatocyte、精氨酸酶-1(arginase-1)、CEA、CK18、CK19、CK20、CK7、廣譜細胞角蛋白(PCK)及 CD10。特別是 GPC3 和 arginase-1 均為新近報道的陽性標志物。因 HAC 分化程度低,有時 hepatocyte 及 arginase-1 均為陰性表達,而 GPC3 呈陽性表達,這有助于診斷。文獻報道,GPC3 診斷 HCC 的特異度為 96%,敏感度為 77%。glutamate synthetase 表達于正常肝組織的腺泡 3 區,而在 1 區和 2 區則表達下調,這是肝細胞合成功能正常的標志。glutamate synthetase 也可表達于 HCC 組織中。glutamate synthetase 與 GPC3 聯合使用有助于提高 HCC 及其癌前病變的診斷率。
另外,組織學上似 HCC 的還有:皮質癌、神經內分泌腫瘤及以嗜酸性成分為主的腎細胞癌,均需注意鑒別。
因 HAC 比較罕見,預后比一般的低分化腺癌還要差,如果診斷的時候不注意,可能會當成一般的低分化腺癌而漏診。故在診斷胞漿嗜酸性的、呈梁柱狀或片團狀排列的低分化腺癌時,一定要做 GPC3、癌胚基因 4(SALL4)、AFP、hepatocyte 等檢測以排除 HAC 的可能性,防止漏診。
6 術后隨訪
此患者出院后 1 個月給予胃癌全身化療 1 次(奧沙利鉑+卡培他濱),至 2018 年 1 月已獲訪 2 個月,未見腫瘤復發轉移,繼續隨訪。
7 總結
HAC 是一種罕見但十分重要的特殊類型的肝外腫瘤,其臨床表現和組織學表現均酷似 HCC[3-6]。1970 年 HAC 被首次報道并被稱為產 AFP 腫瘤。隨后 Ishikura 等[7]報道了 7 例產 AFP 的胃腺癌。因為患者血清的 AFP 水平高達 4 730~700 000 μg/L,故臨床提出了 HAC 這一術語并一直沿用至今。HAC 可來源于不同的器官,如胃囊[8]、膽囊、結腸、膀胱[9]、胸腺、肺[10]、胰腺[11]、食管、子宮等多種臟器。尋找 HAC 的起源至關重要,及時和適當的治療可顯著改善患者的預后。各種 HAC 中以 HAS 最為常見[12]。HAS 是胃癌的一種獨特亞型,占胃癌的 0.3%~1%[13]。該病原發于胃黏膜,呈 HCC 樣分化,惡性度高,臨床常見肝轉移,預后差。由于 HAS 的發病率低,臨床醫生對其認識不足,特別是在 HAS 發生肝轉移時,臨床常將其誤診為 HCC 胃轉移。筆者將探討 HAS 的生物學特性、臨床表現、診療思路、病理和免疫組織學特點,以便提高對該病的認識。
7.1 臨床特點
HAS 多見于老年男性,男女比約為 2.3∶1,平均發病年齡為 63.5 歲[14],腫瘤原發灶多好發于胃竇部,以潰瘍浸潤型腫瘤為主,病理學類型以低分化腺癌多見,侵襲性強,極易發生肝轉移及周圍淋巴結轉移;癥狀主要表現為腹部隱痛、腹脹、反酸、燒心、黑便、食欲不振等消化道癥狀,發現時多已屬于中晚期,預后較普通胃癌差。除此之外,血清 AFP 升高是 HAS 的另一個特征性表現,其陽性率為 70%~80%[14]。AFP 值的高低與分化程度相關。同時,有 42.9% 的 HAS 患者伴 CEA 升高[15],而 CEA 是胃腸道腫瘤的重要標志物之一。CEA 陽性多提示腫瘤原發于胃腸道。因而,血清 CEA 和 AFP 同時升高要警惕 HAS 可能。
HAS 的另一顯著特點是易出現肝轉移和淋巴結轉移[15]。有研究[16]顯示,有 90% 的 HAS 手術時已出現肝臟和周圍淋巴結轉移,其他常見的轉移部位有肺和胰腺,少部分可轉移至脾臟及腦。Lee 等[17]通過對 8 例 HAS 患者行 CT 檢查發現,HAS 患者的胃壁異常增厚,在胃的原發病灶周圍可見淋巴結轉移及血管浸潤表現,部分患者已出現肝轉移(其他文獻[18-19]也有此發現)。另外,由于 HAS 的肝樣分化區腫瘤細胞與原發性 HCC 細胞類似,均具有較強的嗜肝性,容易侵犯周圍靜脈,與 HCC 一樣易形成癌栓,因而,血運豐富的器官或組織易首先受到侵犯。
7.2 病理學特點
HAS 通常發生于胃黏膜腺體,在病理形態學上,既有 HCC 樣分化區,又有腺癌分化的特點[20]。顯微鏡下,腫瘤細胞較大,細胞核呈圓形或卵圓形;細胞質較豐富,呈淡紅染色,可有核仁和有絲分裂紡錘體;部分腫瘤細胞形成髓質或條索狀結構;細胞間有豐富的血液和少量纖維組織;細胞之間可見嗜酸性玻璃樣 PAS 陽性小體;腫瘤細胞可以表現為脂肪變性或者分泌膽汁,呈現肝細胞樣分化。電子顯微鏡下,可以在腫瘤細胞之間觀察到毛細膽管結構。HAS 有嗜血管特征,脈管內癌栓較常見。
HAS 的免疫組化染色特點[21]:① AFP 主要在肝細胞樣分化區的腫瘤細胞的細胞質內表達,CEA 主要在腺癌區的腫瘤細胞的細胞膜及部分細胞質內表達,α 抗胰蛋白酶(α-AAT)和 α 抗糜蛋白酶(α-ACT)主要在肝細胞樣分化區的腫瘤細胞內表達;② α-AAT、α-ACT、GPC3 及 CK19 在肝細胞癌樣分化區多呈陽性;③ 少數病例可表達 CK7、CK20 和 CDX2,但都缺乏特異性;④ 腫瘤細胞的 Ki-67 增殖指數為 30%~80%,hepatocyte 可呈陰性表達。
7.3 診斷
HAS 早期無特異性臨床表現,隨著病程的進展可表現為反酸、燒心、腹脹、腹痛、黑便等消化道癥狀。檢驗結果提示血清 AFP 多升高,部分患者的 AFP 異常升高[22-24]。如患者沒有肝炎病史,AFP 異常升高時應懷疑此病,HAS 患者的血清 CEA 也可有不同程度的升高。CT 檢查可提示胃壁腫塊,部分患者可見腫大淋巴結,出現肝轉移時,可見肝占位性病變。胃鏡檢查確診 HAS 較困難,因為肝樣分化細胞位于癌組織深層,且所占體積小,胃鏡活檢對肝樣分化癌細胞的檢出陽性率低,主要靠術后病理學診斷。
7.4 鑒別診斷
HAS 主要需與原發性 HCC 相鑒別。當 HAS 并發肝轉移時,其轉移的腫瘤組織在形態上與原發性 HCC 相似,鑒別困難,臨床上也有誤診為 HCC 的報道[25-26]。原發性 HCC 的發生通常與乙肝病毒感染密切相關,多有肝硬變病史,可以查血清的病毒表面抗原,且 CT 檢查時肝臟有肝硬變表現。HAS 是原發于胃部的腫瘤,CT 和彩超檢查提示肝臟多無肝硬變表現。臨床上胃癌肝轉移較常見,而原發性 HCC 胃轉移少見。
7.5 治療及預后
手術切除是 HAS 的主要治療方式,需徹底的切除胃癌原發病灶和肝臟轉移病灶。手術適應證為:① 原發灶可行 D2 根治性切除;② 沒有腹腔內種植和肝外轉移;③ 肝轉移灶可切除。如果肝內轉移灶無法切除,但無肝外轉移,胃大部切除術也能延長生存期。如存在肝外的轉移和腹腔種植,則不建議手術,這時只能采用化療、介入治療、射頻消融等姑息療法。目前尚無針對性的化療方案[23],且 HAS 對化療的敏感性較差。常用的治療方案有紫杉醇聯合 5-Fu、紫杉醇聯合替吉奧及紫杉醇方案,完整的手術切除加上后續的全身化療可改善患者的生活質量,延長患者的生存時間。
HAS 的預后較普通胃癌差,文獻[14]報道平均生存期僅為 10~16 個月。影響預后的主要因素有:① 手術前后的血清 AFP 水平;② 肝轉移和遠處轉移情況;③ 病理檢查所示的腫瘤生物學活性(漿膜侵襲程度及有無靜脈的浸潤[27]);④ 手術根治的水平。其中 AFP 情況、淋巴結的轉移情況、腫瘤的浸潤深度及范圍是影響預后的獨立因素。
7.6 本例經驗教訓
本例患者術前無消化道癥狀且 AFP 顯著升高,CT 和 B 超檢查均提示肝占位并門靜脈癌栓、肝胃韌帶淋巴結腫大,行術中超聲才提示胃竇部腫物侵犯胃壁全層,故術中才決定行左半肝切除+門靜脈癌栓取出+遠端胃大部切除+肝胃間隙淋巴結清掃術。因此我們也要吸取教訓,對 AFP 升高的肝占位應該重視胃腸道的檢查,鑒別是否由 HAS 引起,而對胃癌也應常規檢測 AFP,以避免漏診、誤診等情況發生。
致謝:感謝賽生醫藥(中國)有限公司對該欄目的大力支持。