引用本文: 朱信強, 管文賢. CD31 聯合 D2-40 檢測在同時性結直腸癌腹膜轉移中的研究. 中國普外基礎與臨床雜志, 2017, 24(12): 1473-1479. doi: 10.7507/1007-9424.201706085 復制
結直腸腫瘤在我國東部沿海地區已成為最常見的消化道惡性腫瘤[1],雖然目前的醫療水平有所提高,但是結直腸癌的 5 年存活率并未顯著提高,在死亡患者中,腹膜轉移的發生率高達 40%~80%[2]。因此,尋找一些結直腸癌腹膜轉移的生物學標記對早期診斷及判斷預后具有重要意義。血管和淋巴管是最常見的轉移通道。Choi 等[3]對血管和淋巴管標志物 CD31 和 D2-40 在乳腺癌轉移及預后方面進行了研究,發現二者用于評估乳腺癌的預后及轉移有重要作用,但聯合檢測 CD31 和 D2-40 表達及其與結直腸癌腹膜轉移的相關性研究不多。為此,本研究聯合檢測了 CD31 和 D2-40 在結直腸癌組織中的表達情況以及其與結直腸癌腹膜轉移的關系,以期為結直腸癌腹膜轉移的早期診治提供新思路。
1 資料與方法
1.1 納入及排除標準
診斷為結直腸癌且有明確的電子腸鏡及活檢病理結果,有完整的術后病理及免疫組織化學檢測結果,有完善的基線資料如 MRI、CT 及血液學檢測結果。排除術前行新輔助治療、合并慢性疾病、遺傳性疾病及炎性腸道病變者。
1.2 研究對象
根據納入及排除標準,本研究選取了 2013–2016 年期間宿遷市人民醫院與南京大學醫學院附屬鼓樓醫院普外科收治的結直腸癌患者 59 例,其中伴腹膜轉移者 19 例,不伴腹膜轉移者 40 例,伴或不伴腹膜轉移結直腸癌患者的臨床病理學特征比較,僅 CA125 水平差異有統計學意義,其他因素差異無統計學意義,見表 1。另取正常結腸組織 6 例,來自宿遷市人民醫院非腫瘤結腸造瘺還納標本,其中男 4 例,女 2 例;年齡 34~56 歲、中位年齡 47.5 歲;CA125 水平均在正常范圍內。

1.3 方法
1.3.1 CD31 和 D2-40 蛋白表達的檢測方法
采用免疫組織化學 MaxVision 一步法檢測結直腸組織中 CD31 和 D2-40蛋白表達情況,其操作嚴格按照試劑盒說明進行(MaxVision 一步法試劑盒購自福州邁新生物技術有限公司)。選取研究對象手術切除的結直腸癌組織標本均得到患者及家屬知情同意,并通過醫院倫理委員會的批準授權備案。
1.3.2 免疫組織化學檢測結果判定
由宿遷市人民醫院 2 位病理學主任醫師運用雙盲法分析結果。① CD31 定位于細胞膜,陽性染色均為棕黃色。CD31 陽性標記的微血管密度參照 Weidner 校正方法[4]并加以調整。在腫瘤交界處軟組織區要去除平滑肌和相應管腔直徑的血管,這些組織影響微血管計數。用低倍鏡隨機觀察 3 個微血管數量最多的區域,取其平均值作為微血管密度值。② D2-40陽性表達為棕黃色,定位于淋巴內皮細胞的胞質中。D2-40 陽性標記的微淋巴管密度分析[5],首先用低倍鏡,選擇其中 3 個脈管集中區域,然后在高倍鏡下進一步觀察著色細胞的形狀,只要能區分開血管、細胞及纖維結締組織則標記為 1 個微淋巴管數目,取其 3 處平均值作為該組織的 D2-40 微淋巴管密度值。本研究中將排列均勻、稀少的血管、淋巴管定義為陰性,相反則陽性。
1.4 統計學方法
采用 SPSS 17.0 統計學軟件對數據進行分析。對符合正態分布的定量數據用均數±標準差(
±s)表示,采用方差分析 F 檢驗,組間比較用獨立樣本 t 檢驗;對于不符合正態分布的定量數據采用秩和檢驗。定性資料采用卡方檢驗。采用 Pearson 方法分析 CD31 陽性標記的微血管密度和 D2-40 陽性標記的微淋巴管密度在伴腹膜轉移和不伴腹膜轉移結直腸癌組織中表達的相關性。檢驗水準 α=0.05。
2 結果
2.1 不同組織中 CD31 及 D2-40 蛋白表達結果
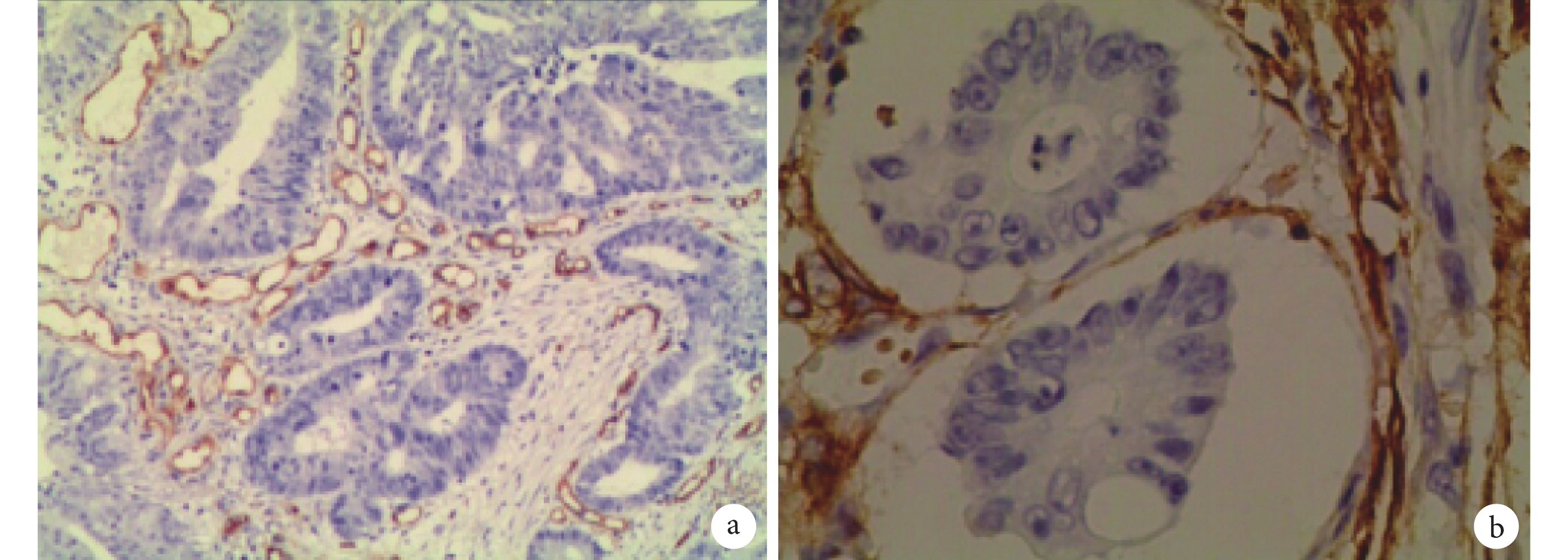
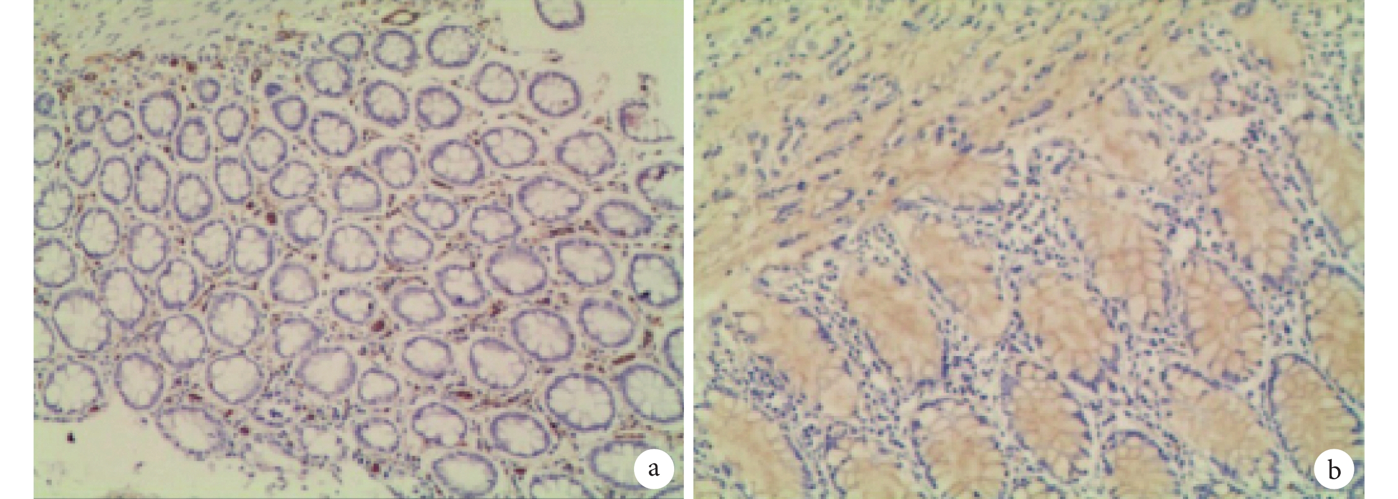
免疫組織化學方法檢測 CD31 及 D2-40 蛋白表達結果見圖 1–3。
在 6 例正常結腸組織中未檢測到 CD31 蛋白陽性表達,有 1 例檢測到 D2-40 蛋白有少量陽性表達;在 59例 結直腸癌組織中 CD31 蛋白表達全部陽性,有 48 例結直腸癌組織中檢測到 D2-40 蛋白陽性表達。在伴或不伴腹膜轉移的結直腸癌組織中的 CD31 和 D2-40 蛋白表達陽性率均明顯高于正常結腸組織,差異均有統計學意義(P 值分別為 0.023、0.041 和 0.031、0.027);在伴或不伴腹膜轉移的結直腸癌組織間的 CD31 和 D2-40 蛋白表達陽性率比較差異無統計學意義(P=0.271;P=1.031)。見表 2。




2.2 不同組織中 CD31 微血管密度和 D2-40 微淋巴管密度檢測結果
CD31 微血管密度在伴和不伴腹膜轉移的結直腸癌組織中均明顯高于正常結腸組織,差異均有統計學意義(P=0.004,P=0.002);D2-40 微淋巴管密度在伴腹膜轉移的結直腸癌組織中高于正常結腸組織(P=0.001),但不伴腹膜轉移的結直腸癌組織與正常結腸組織間比較差異無統計學意義(P=0.067);CD31 微血管密度和 D2-40 微淋巴管密度在伴腹膜轉移的結直腸癌組織中均明顯高于不伴腹膜轉移者(P=0.001,P=0.040)。見表 3。


2.3 CD31 微血管密度和 D2-40 微淋巴管密度間的相關性分析結果
在伴或不伴腹膜轉移結直腸癌組織中 CD31 微血管密度和 D2-40 微淋巴管密度呈正相關(r=0.342,P=0.012;r=0.119,P=0.008),見表 4。


2.4 伴或不伴腹膜轉移的結直腸癌組織中 CD31 微血管密度和 D2-40 微淋巴管密度與患者臨床病理特征間的關系
伴或不伴腹膜轉移結直腸癌組織中的 CD31 微血管密度和 D2-40 微淋巴管密度在其不同性別、年齡及腫瘤直徑的結直腸癌患者間比較差異均無統計學意義(P>0.05),并且不伴腹膜轉移結直腸癌組織中的 CD31 微血管密度和 D2-40 微淋巴管密度在其不同分化程度、病理類型及 CA125 水平的結直腸癌患者間比較差異也均無統計學意義(P>0.05),但是伴腹膜轉移結直腸癌組織中的 CD31 微血管密度和 D2-40 微淋巴管密度在其不同分化程度及病理類型的結直腸癌患者間比較差異均有統計學意義(P<0.05),即在伴腹膜轉移結直腸癌的高分化及腺癌患者的癌組織中的 CD31 微血管密度和 D2-40 微淋巴管密度均明顯低于其他類型患者;并且在伴腹膜轉移結直腸癌患者中 CA125 水平增高者的 D2-40 微淋巴管密度明顯高于 CA125 水平正常者(P<0.05),而 CD31 微血管密度沒有表現出統計學差異(P>0.05)。見表 5。


3 討論
3.1 CD31 和 D2-40 在結直腸癌腹膜轉移中的作用
CD31 作為血管內皮細胞黏附分子,其黏附于腫瘤細胞和血管內皮細胞,介導內皮細胞間的連接,對維護血管的完整性有重要作用,其在腫瘤組織內的所有血管中均有表達[6],是評估血管生成可靠的參數[7-8],在腫瘤組織的生長、增殖及遷移過程中發揮重要的作用[9-11]。隨著腫瘤組織的生長,腫瘤血管快速滋生,在新生血管形成下,有活性的腫瘤細胞容易侵入到新生血管的內部,為遠處轉移提供了必備條件;并且隨著微血管數量的累積即微血管密度增加,腫瘤微轉移病灶存活數量相應增多且進入血液循環的機會明顯增加[12],腫瘤的遠處轉移成功與否在一定程度上依賴腫瘤內新生血管的數量[13]。有研究者[14]還指出,CD31相關的巨噬細胞來源于轉移侵犯的腫瘤,不同于炎性增生的細胞,其可作為一個獨特的組織病理生物學標志提示腫瘤的轉移。
D2-40作為淋巴管內皮細胞特異性標志物,被廣泛應用于腫瘤淋巴管形成的研究。癌細胞的擴散可通過微淋巴管向淋巴結轉移,是腫瘤細胞侵襲、轉移的重要一步,因此,淋巴管生成在腫瘤淋巴結轉移過程中起著重要的作用。由于腫瘤的新生淋巴管僅單層內皮細胞,內皮細胞間的連接不緊密,缺乏連續的基底膜;同時腫瘤組織間質液壓通常增高,使連接淋巴管內皮細胞和周圍結締組織的錨絲的張力增加,造成內皮細胞間的開放連接增多、間隙增大,使得淋巴管抵御腫瘤侵入的能力非常弱,為腫瘤細胞的轉移提供了有利的通道[15]。有不少研究[16-19]通過檢測D2-40來鑒別脈管性腫瘤的起源及判斷腫瘤的侵襲性、轉移性,且其檢測的準確性和特異性均較高。孫建軍等[20]在裸鼠結腸腺癌原位種植研究中發現,結腸癌種植轉移組的D2-40、LYVE-1表達則呈強陽性,且多分布在腫瘤組織邊緣,乏氧、低組織壓易于腫瘤細胞的擴散轉移,出現腹膜轉移的結直腸癌中D2-40陽性標記計數增高即微淋巴管密度增加,結果提示了淋巴管在腹膜轉移中的介導作用。
本研究結果發現,CD31和D2-40蛋白表達陽性率在結直腸癌組織中均明顯高于其在正常結腸組織中的表達,但二者在伴或不伴腹膜轉移的結直腸癌組織間的表達陽性率差異無統計學意義,結果提示,無論是否發生轉移,CD31和D2-40蛋白在腫瘤組織中均呈高表達。 腫瘤在轉移過程中,微血管或微淋巴管數量增加即微血管或微淋巴管密度的增加,由于腫瘤細胞不但借助新生血管和淋巴管的生成實現遠處轉移[21-22],而且其遠處轉移成功與否在一定程度上還依賴于腫瘤內新生血管的數量,因而微血管或微淋巴管密度是否與結直腸癌腹膜轉移有一定關系呢?本研究結果發現,CD31 微血管密度和D2-40微淋巴管密度在伴腹膜轉移的結直腸癌組織中明顯高于不伴腹膜轉移者(P<0.05),并且二者呈正相關,結果提示,淋巴道轉移與血行轉移存在著相互的聯系,并且有研究[23-25]發現,局部微血管密度和微淋巴管密度與腫瘤轉移的關系密切。由于血管和淋巴管通道是腫瘤腹膜轉移的重要途徑,從側面反應參與了腹膜轉移,通過檢測CD31微血管密度和D2-40微淋巴管密度,在一定程度上可預測是否會發生腹膜轉移。CD31和D2-40蛋白對腫瘤腹膜轉移可能有一定的驅使作用,且兩者具有協同作用,血管和淋巴管互相滋生,維持血管壓力和組織滲透性,促使瘤細胞遷移增生,共同參與了腫瘤細胞的腹膜轉移。
3.2 CD31 微血管密度和 D2-40 微淋巴管密度與結直腸癌腹膜轉移患者臨床病理特征的關系
CD31 促使腫瘤血管生成,不但可以作為監測腫瘤進展、復發及轉移的有效指標,而且其與腫瘤的分化程度及病理類型有關,分化程度差的腫瘤,進展快,瘤體血管增生多,CD31 陽性標記的微血管密度就高;中低分化腫瘤患者,黏液腺癌和印戒細胞癌成分較多,本身的黏液成分產生機械壓力致使瘤細胞遷移,而其中的黏多糖成分,還能干擾周圍免疫細胞對腫瘤細胞的識別,更容易出現侵襲、轉移[26-29]。有研究[30]發現,在伴腹膜轉移的星形膠質細胞瘤中 CD31 微血管密度最高,提示瘤細胞增生活躍,驅使腫瘤細胞黏附于血管內皮細胞。在本研究中也發現,在不伴腹膜轉移結直腸癌組織中的 CD31 微血管密度在其不同分化程度、病理類型的結直腸癌患者間比較差異均無統計學意義(P>0.05),但是在伴腹膜轉移結直腸癌組織中的 CD31 微血管密度在其不同分化程度、病理類型的結直腸癌患者間比較差異均有統計學意義(P<0.05),即在伴腹膜轉移的高分化及腺癌組織中的 CD31 微血管密度明顯低于其他類型患者。本研究中沒有發現 CD31 微血管密度與結直腸癌患者的其他臨床病理特征有關。
有研究[31-32]報道,D2-40 與結直腸癌的分化程度及淋巴結轉移密切相關。本研究中發現,D2-40 微淋巴管密度與伴腹膜轉移結直腸癌患者的腫瘤病理類型和分化程度有關,即腫瘤分化程度低,瘤體增殖快,微淋巴管計數高。但其與不伴腹膜轉移結直腸癌患者的病理類型和分化程度均無關,也沒有發現其與不伴腹膜轉移結直腸癌患者的其他臨床病理特征有關,此結果也提示,D2-40 微淋巴管密度可能與結直腸癌患者腹膜轉移有一定的關系。
由于腫瘤的進展和侵犯,導致了正常腹膜細胞基膜的破壞,引起正常儲存于腹膜上皮細胞中的 CA125 釋放進入血液及體液,最終血清 CA125 水平升高,是腹膜轉移的危險因素,其對應的 D2-40 微淋巴管計數也相應增高,其實是對腫瘤侵犯轉移的不同表現形式[33]。
綜上所述,CD31、D2-40 陽性標記的微管道計數與結直腸癌腹膜轉移有密切的關系,且兩者呈正相關性,可能存在某些共同調控的方式協同參與結直腸癌腹膜轉移的發生。相信隨著研究的深入,聯合檢測 CD31和D2-40 或許能更好地早期預測結直腸癌是否會發生腹膜轉移。
結直腸腫瘤在我國東部沿海地區已成為最常見的消化道惡性腫瘤[1],雖然目前的醫療水平有所提高,但是結直腸癌的 5 年存活率并未顯著提高,在死亡患者中,腹膜轉移的發生率高達 40%~80%[2]。因此,尋找一些結直腸癌腹膜轉移的生物學標記對早期診斷及判斷預后具有重要意義。血管和淋巴管是最常見的轉移通道。Choi 等[3]對血管和淋巴管標志物 CD31 和 D2-40 在乳腺癌轉移及預后方面進行了研究,發現二者用于評估乳腺癌的預后及轉移有重要作用,但聯合檢測 CD31 和 D2-40 表達及其與結直腸癌腹膜轉移的相關性研究不多。為此,本研究聯合檢測了 CD31 和 D2-40 在結直腸癌組織中的表達情況以及其與結直腸癌腹膜轉移的關系,以期為結直腸癌腹膜轉移的早期診治提供新思路。
1 資料與方法
1.1 納入及排除標準
診斷為結直腸癌且有明確的電子腸鏡及活檢病理結果,有完整的術后病理及免疫組織化學檢測結果,有完善的基線資料如 MRI、CT 及血液學檢測結果。排除術前行新輔助治療、合并慢性疾病、遺傳性疾病及炎性腸道病變者。
1.2 研究對象
根據納入及排除標準,本研究選取了 2013–2016 年期間宿遷市人民醫院與南京大學醫學院附屬鼓樓醫院普外科收治的結直腸癌患者 59 例,其中伴腹膜轉移者 19 例,不伴腹膜轉移者 40 例,伴或不伴腹膜轉移結直腸癌患者的臨床病理學特征比較,僅 CA125 水平差異有統計學意義,其他因素差異無統計學意義,見表 1。另取正常結腸組織 6 例,來自宿遷市人民醫院非腫瘤結腸造瘺還納標本,其中男 4 例,女 2 例;年齡 34~56 歲、中位年齡 47.5 歲;CA125 水平均在正常范圍內。

1.3 方法
1.3.1 CD31 和 D2-40 蛋白表達的檢測方法
采用免疫組織化學 MaxVision 一步法檢測結直腸組織中 CD31 和 D2-40蛋白表達情況,其操作嚴格按照試劑盒說明進行(MaxVision 一步法試劑盒購自福州邁新生物技術有限公司)。選取研究對象手術切除的結直腸癌組織標本均得到患者及家屬知情同意,并通過醫院倫理委員會的批準授權備案。
1.3.2 免疫組織化學檢測結果判定
由宿遷市人民醫院 2 位病理學主任醫師運用雙盲法分析結果。① CD31 定位于細胞膜,陽性染色均為棕黃色。CD31 陽性標記的微血管密度參照 Weidner 校正方法[4]并加以調整。在腫瘤交界處軟組織區要去除平滑肌和相應管腔直徑的血管,這些組織影響微血管計數。用低倍鏡隨機觀察 3 個微血管數量最多的區域,取其平均值作為微血管密度值。② D2-40陽性表達為棕黃色,定位于淋巴內皮細胞的胞質中。D2-40 陽性標記的微淋巴管密度分析[5],首先用低倍鏡,選擇其中 3 個脈管集中區域,然后在高倍鏡下進一步觀察著色細胞的形狀,只要能區分開血管、細胞及纖維結締組織則標記為 1 個微淋巴管數目,取其 3 處平均值作為該組織的 D2-40 微淋巴管密度值。本研究中將排列均勻、稀少的血管、淋巴管定義為陰性,相反則陽性。
1.4 統計學方法
采用 SPSS 17.0 統計學軟件對數據進行分析。對符合正態分布的定量數據用均數±標準差(
±s)表示,采用方差分析 F 檢驗,組間比較用獨立樣本 t 檢驗;對于不符合正態分布的定量數據采用秩和檢驗。定性資料采用卡方檢驗。采用 Pearson 方法分析 CD31 陽性標記的微血管密度和 D2-40 陽性標記的微淋巴管密度在伴腹膜轉移和不伴腹膜轉移結直腸癌組織中表達的相關性。檢驗水準 α=0.05。
2 結果
2.1 不同組織中 CD31 及 D2-40 蛋白表達結果
免疫組織化學方法檢測 CD31 及 D2-40 蛋白表達結果見圖 1–3。
在 6 例正常結腸組織中未檢測到 CD31 蛋白陽性表達,有 1 例檢測到 D2-40 蛋白有少量陽性表達;在 59例 結直腸癌組織中 CD31 蛋白表達全部陽性,有 48 例結直腸癌組織中檢測到 D2-40 蛋白陽性表達。在伴或不伴腹膜轉移的結直腸癌組織中的 CD31 和 D2-40 蛋白表達陽性率均明顯高于正常結腸組織,差異均有統計學意義(P 值分別為 0.023、0.041 和 0.031、0.027);在伴或不伴腹膜轉移的結直腸癌組織間的 CD31 和 D2-40 蛋白表達陽性率比較差異無統計學意義(P=0.271;P=1.031)。見表 2。




2.2 不同組織中 CD31 微血管密度和 D2-40 微淋巴管密度檢測結果
CD31 微血管密度在伴和不伴腹膜轉移的結直腸癌組織中均明顯高于正常結腸組織,差異均有統計學意義(P=0.004,P=0.002);D2-40 微淋巴管密度在伴腹膜轉移的結直腸癌組織中高于正常結腸組織(P=0.001),但不伴腹膜轉移的結直腸癌組織與正常結腸組織間比較差異無統計學意義(P=0.067);CD31 微血管密度和 D2-40 微淋巴管密度在伴腹膜轉移的結直腸癌組織中均明顯高于不伴腹膜轉移者(P=0.001,P=0.040)。見表 3。


2.3 CD31 微血管密度和 D2-40 微淋巴管密度間的相關性分析結果
在伴或不伴腹膜轉移結直腸癌組織中 CD31 微血管密度和 D2-40 微淋巴管密度呈正相關(r=0.342,P=0.012;r=0.119,P=0.008),見表 4。


2.4 伴或不伴腹膜轉移的結直腸癌組織中 CD31 微血管密度和 D2-40 微淋巴管密度與患者臨床病理特征間的關系
伴或不伴腹膜轉移結直腸癌組織中的 CD31 微血管密度和 D2-40 微淋巴管密度在其不同性別、年齡及腫瘤直徑的結直腸癌患者間比較差異均無統計學意義(P>0.05),并且不伴腹膜轉移結直腸癌組織中的 CD31 微血管密度和 D2-40 微淋巴管密度在其不同分化程度、病理類型及 CA125 水平的結直腸癌患者間比較差異也均無統計學意義(P>0.05),但是伴腹膜轉移結直腸癌組織中的 CD31 微血管密度和 D2-40 微淋巴管密度在其不同分化程度及病理類型的結直腸癌患者間比較差異均有統計學意義(P<0.05),即在伴腹膜轉移結直腸癌的高分化及腺癌患者的癌組織中的 CD31 微血管密度和 D2-40 微淋巴管密度均明顯低于其他類型患者;并且在伴腹膜轉移結直腸癌患者中 CA125 水平增高者的 D2-40 微淋巴管密度明顯高于 CA125 水平正常者(P<0.05),而 CD31 微血管密度沒有表現出統計學差異(P>0.05)。見表 5。


3 討論
3.1 CD31 和 D2-40 在結直腸癌腹膜轉移中的作用
CD31 作為血管內皮細胞黏附分子,其黏附于腫瘤細胞和血管內皮細胞,介導內皮細胞間的連接,對維護血管的完整性有重要作用,其在腫瘤組織內的所有血管中均有表達[6],是評估血管生成可靠的參數[7-8],在腫瘤組織的生長、增殖及遷移過程中發揮重要的作用[9-11]。隨著腫瘤組織的生長,腫瘤血管快速滋生,在新生血管形成下,有活性的腫瘤細胞容易侵入到新生血管的內部,為遠處轉移提供了必備條件;并且隨著微血管數量的累積即微血管密度增加,腫瘤微轉移病灶存活數量相應增多且進入血液循環的機會明顯增加[12],腫瘤的遠處轉移成功與否在一定程度上依賴腫瘤內新生血管的數量[13]。有研究者[14]還指出,CD31相關的巨噬細胞來源于轉移侵犯的腫瘤,不同于炎性增生的細胞,其可作為一個獨特的組織病理生物學標志提示腫瘤的轉移。
D2-40作為淋巴管內皮細胞特異性標志物,被廣泛應用于腫瘤淋巴管形成的研究。癌細胞的擴散可通過微淋巴管向淋巴結轉移,是腫瘤細胞侵襲、轉移的重要一步,因此,淋巴管生成在腫瘤淋巴結轉移過程中起著重要的作用。由于腫瘤的新生淋巴管僅單層內皮細胞,內皮細胞間的連接不緊密,缺乏連續的基底膜;同時腫瘤組織間質液壓通常增高,使連接淋巴管內皮細胞和周圍結締組織的錨絲的張力增加,造成內皮細胞間的開放連接增多、間隙增大,使得淋巴管抵御腫瘤侵入的能力非常弱,為腫瘤細胞的轉移提供了有利的通道[15]。有不少研究[16-19]通過檢測D2-40來鑒別脈管性腫瘤的起源及判斷腫瘤的侵襲性、轉移性,且其檢測的準確性和特異性均較高。孫建軍等[20]在裸鼠結腸腺癌原位種植研究中發現,結腸癌種植轉移組的D2-40、LYVE-1表達則呈強陽性,且多分布在腫瘤組織邊緣,乏氧、低組織壓易于腫瘤細胞的擴散轉移,出現腹膜轉移的結直腸癌中D2-40陽性標記計數增高即微淋巴管密度增加,結果提示了淋巴管在腹膜轉移中的介導作用。
本研究結果發現,CD31和D2-40蛋白表達陽性率在結直腸癌組織中均明顯高于其在正常結腸組織中的表達,但二者在伴或不伴腹膜轉移的結直腸癌組織間的表達陽性率差異無統計學意義,結果提示,無論是否發生轉移,CD31和D2-40蛋白在腫瘤組織中均呈高表達。 腫瘤在轉移過程中,微血管或微淋巴管數量增加即微血管或微淋巴管密度的增加,由于腫瘤細胞不但借助新生血管和淋巴管的生成實現遠處轉移[21-22],而且其遠處轉移成功與否在一定程度上還依賴于腫瘤內新生血管的數量,因而微血管或微淋巴管密度是否與結直腸癌腹膜轉移有一定關系呢?本研究結果發現,CD31 微血管密度和D2-40微淋巴管密度在伴腹膜轉移的結直腸癌組織中明顯高于不伴腹膜轉移者(P<0.05),并且二者呈正相關,結果提示,淋巴道轉移與血行轉移存在著相互的聯系,并且有研究[23-25]發現,局部微血管密度和微淋巴管密度與腫瘤轉移的關系密切。由于血管和淋巴管通道是腫瘤腹膜轉移的重要途徑,從側面反應參與了腹膜轉移,通過檢測CD31微血管密度和D2-40微淋巴管密度,在一定程度上可預測是否會發生腹膜轉移。CD31和D2-40蛋白對腫瘤腹膜轉移可能有一定的驅使作用,且兩者具有協同作用,血管和淋巴管互相滋生,維持血管壓力和組織滲透性,促使瘤細胞遷移增生,共同參與了腫瘤細胞的腹膜轉移。
3.2 CD31 微血管密度和 D2-40 微淋巴管密度與結直腸癌腹膜轉移患者臨床病理特征的關系
CD31 促使腫瘤血管生成,不但可以作為監測腫瘤進展、復發及轉移的有效指標,而且其與腫瘤的分化程度及病理類型有關,分化程度差的腫瘤,進展快,瘤體血管增生多,CD31 陽性標記的微血管密度就高;中低分化腫瘤患者,黏液腺癌和印戒細胞癌成分較多,本身的黏液成分產生機械壓力致使瘤細胞遷移,而其中的黏多糖成分,還能干擾周圍免疫細胞對腫瘤細胞的識別,更容易出現侵襲、轉移[26-29]。有研究[30]發現,在伴腹膜轉移的星形膠質細胞瘤中 CD31 微血管密度最高,提示瘤細胞增生活躍,驅使腫瘤細胞黏附于血管內皮細胞。在本研究中也發現,在不伴腹膜轉移結直腸癌組織中的 CD31 微血管密度在其不同分化程度、病理類型的結直腸癌患者間比較差異均無統計學意義(P>0.05),但是在伴腹膜轉移結直腸癌組織中的 CD31 微血管密度在其不同分化程度、病理類型的結直腸癌患者間比較差異均有統計學意義(P<0.05),即在伴腹膜轉移的高分化及腺癌組織中的 CD31 微血管密度明顯低于其他類型患者。本研究中沒有發現 CD31 微血管密度與結直腸癌患者的其他臨床病理特征有關。
有研究[31-32]報道,D2-40 與結直腸癌的分化程度及淋巴結轉移密切相關。本研究中發現,D2-40 微淋巴管密度與伴腹膜轉移結直腸癌患者的腫瘤病理類型和分化程度有關,即腫瘤分化程度低,瘤體增殖快,微淋巴管計數高。但其與不伴腹膜轉移結直腸癌患者的病理類型和分化程度均無關,也沒有發現其與不伴腹膜轉移結直腸癌患者的其他臨床病理特征有關,此結果也提示,D2-40 微淋巴管密度可能與結直腸癌患者腹膜轉移有一定的關系。
由于腫瘤的進展和侵犯,導致了正常腹膜細胞基膜的破壞,引起正常儲存于腹膜上皮細胞中的 CA125 釋放進入血液及體液,最終血清 CA125 水平升高,是腹膜轉移的危險因素,其對應的 D2-40 微淋巴管計數也相應增高,其實是對腫瘤侵犯轉移的不同表現形式[33]。
綜上所述,CD31、D2-40 陽性標記的微管道計數與結直腸癌腹膜轉移有密切的關系,且兩者呈正相關性,可能存在某些共同調控的方式協同參與結直腸癌腹膜轉移的發生。相信隨著研究的深入,聯合檢測 CD31和D2-40 或許能更好地早期預測結直腸癌是否會發生腹膜轉移。