引用本文: 任項項, 田雨, 肖剛, 張萌. 腹內型侵襲性纖維瘤病的診治分析(附 8 例報道). 中國普外基礎與臨床雜志, 2017, 24(11): 1361-1364. doi: 10.7507/1007-9424.201705090 復制
侵襲性纖維瘤病(aggressive fibromatosis,AF)是由 MacFarlane 教授在 1832 年發現并且首先報道的[1],1838 年 Mueller 教授將其命名為硬纖維瘤[2]。2013 年世界衛生組織(WHO)分類標準對 AF 進行了如下定義:AF 系指起源于深部軟組織肌成纖維細胞的單克隆增殖性腫瘤,其特征是局部侵襲及局部復發,但基本不會發生遠處轉移,屬于交界性腫瘤[3]。AF 的發病率在所有腫瘤中約占 0.03%,在所有軟組織腫瘤中約占 3%[3]。AF 的年發病率約為 50/10 萬[4]。Rampone 教授等[5]將 AF 分為 3 種類型:① 腹外型(占 50%~60%);② 腹壁型(約占 25%);③ 腹內型(約占 15%),該分類標準是依據腫瘤生長所在的部位進行分類的。研究[6-7]表明,盡管腹內型 AF 很少發生局部或者遠處淋巴結轉移,與良性腫瘤較為相似,但其在局部生長時會侵襲周圍組織,手術治療后會發生局部復發。由于腹內型 AF 是 3 種 AF 類型中最為少見的,因此對于腹內型 AF 的病例報道比較少。筆者對中國醫科大學附屬盛京醫院普外科收治的 8 例腹內型 AF 患者的臨床病理學資料進行了回顧性分析,旨在總結 AF 的臨床特點和診斷治療策略。
1 資料與方法
1.1 臨床資料
回顧性收集中國醫科大學附屬盛京醫院普外科于 2011 年 2 月至 2017 年 3 月期間收治的 8 例經手術及病理學檢查證實的腹內型 AF 患者的臨床病理學資料,男 3 例,女 5 例;中位年齡為 45 歲(18~71)歲,其中<20 歲 1 例,20~29 歲 1 例,30~39 歲1 例,40~49 歲 1 例,50~59 歲 2 例,≥60 歲 2 例。臨床表現為單純腹痛 4 例(反復間斷性腹痛 2 例,急性腹痛 2 例),既往健康,無并發癥;腹部包塊3 例,間斷出現便秘癥狀;外院術后復發 1 例(余7 例系初次就診)。病程 4~720 d,中位數為 130 d。
1.2 影像學檢查
本組病例全部行腹部增強 CT 檢查,其中 4 例考慮腫瘤性病變(2 例考慮間葉組織腫瘤,1 例考慮囊腺瘤,1 例考慮小腸間質瘤),其余 4 例患者未能明確是否為腫瘤性病變。腹部增強 CT 檢查均表現為腹腔內占位性病變,腫物最大徑 3.7~8.0 cm,平均 4.2 cm,大小形狀不均一;其中 6 例有累及周圍組織表現,增強掃描病變呈不均勻強化(圖 1)。
圖1
示術前強化期增強 CT 掃描圖像,見腹腔內一較大 腫塊影(白箭),邊界欠清楚,與周圍腸管分界不 清楚,增強掃描呈不均勻中等強化
1.3 手術及隨訪
8 例病例全部施行根治性手術,其中 1 例外院術后復發患者再次接受根治性手術治療,術后均未行放化療。術后采用電話進行隨訪,隨訪內容包括是否出現腹部不適癥狀,是否進行影像學檢查及檢查結果是否異常。
2 結果
2.1 手術結果
本組患者的手術均順利,無圍手術期死亡。術中發現 6 例患者的腫物(2 例位于腸系膜根部,3 例位于空腸處,1 例位于十二指腸與空腸交界處)與周圍組織(5 例為小腸,1 例為腸系膜)關系密切,無法分離,故切除腫物及周圍累及組織;2 例患者的腫物位于胰腺,未累及周圍組織,行單純腫物切除。7 例多發,1 例單發,術中均未發現淋巴結轉移。術后病理學檢查均提示切緣陰性。本組 8 例患者的手術時間為 92~493 min,平均 246 min;術中出血量為 20~1 000 mL,平均 321 mL,其中 3 例輸血,輸血量為 200~600 mL,平均 400 mL。全部病例術中放置腹腔引流管,引流管放置時間為 5~9 d,平均 6 d。術后 2 例患者在恢復過程中(術后 7 d和術后 5 d)出現腹痛癥狀,行保守治療后好轉,其余患者術后恢復良好。本組所有患者順利出院,住院時間為 11~75 d,平均 25 d。
2.2 術后病理組織學檢查
本組病例中有 7 例在術前未行病理學診斷,1 例外院術后復發患者于外院行病理學檢查確診為 AF。8 例患者的切除標本術后送病理學檢查:腫物切開時有沙礫感,切面白色有光澤(圖 2);腫物直徑為 3.5~12.5 cm,平均 7.1 cm。全部患者術后均經病理學檢查診斷為 AF,HE 染色后鏡下見腫瘤細胞以梭形為主,束狀排列,呈侵襲性生長(圖 3);鏡下細胞以一致性長形、梭形細胞增生為主,周圍可見膠原性間質和數量不等的血管,血管可見部分水腫。
圖2
示結腸近回盲部腸系膜處腫物,8 cm×8 cm×5 cm 大, 與周圍組織界限不清(白箭)
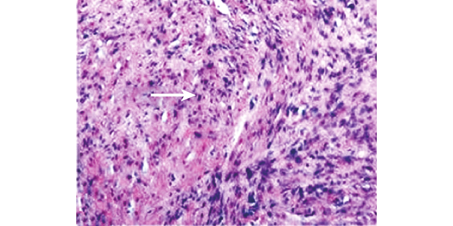
圖3
術后病理學檢查示瘤細胞呈梭形,束狀排列(白箭), 呈侵襲性生長(HE ×100)
8 例患者的免疫組織化學染色結果見表 1。由表 1 可見,8 例患者中僅有 1 例 Kit 蛋白(CD117)表達呈弱陽性;3 例 Ki-67 表達呈陽性;3 例平滑肌肌動蛋白(SMA)表達呈陽性(2 例陽性,1 例弱陽性);4 例 β-連環蛋白(β-catenin)表達呈陽性。
2.3 隨訪結果
8 例患者術后均獲訪,隨訪時間為 6~40 個月,中位隨訪時間為 23 個月,1 例患者于術后 212 d復發(系于盛京醫院初診患者),再次行根治性手術治療,其余 7 例患者隨訪期間無復發。
3 討論
3.1 腹內型 AF 的病因
AF 是由單克隆纖維母細胞過度增殖而形成的腫瘤,可能起源于肌肉筋膜結構,具有局部侵襲性生長、局部復發率較高及幾乎不發生淋巴結或相鄰器官轉移的特征[8]。AF 的發病原因存在多種,如遺傳因素、內分泌因素、物理因素等。大部分 AF 病例為散發,但有些也存在一定的家族性發病情況,如 Gardner 綜合征患者常常會伴有此類病變,尤其是腹內型 AF,提示遺傳因素可能是重要因素[9],但本組患者沒有家族病史。AF 的具體發病機制不詳,目前研究[10-11]提示,Wnt/β-catenin/腺瘤息肉病基因(APC)信號通路的激活對于 AF 的產生和發展具有重要的作用。有研究[12]提示,腹內型 AF 與胃間質瘤存在一些共同的基因表達。臨床上腹內型 AF 的發病率極低,但是其生長及復發具有惡性腫瘤的一些特征,很容易造成腸梗阻、尿路梗阻、腸穿孔、血管受侵等情況,所以腹內型 AF 相對于其他類型 AF,死亡率最高且預后最差[13]。
3.2 腹內型 AF 的臨床表現
腹內型 AF 多生長緩慢,由于腹腔內存在一定的空間,當出現腹部疼痛等癥狀時,腫物已經較大且多伴有局部浸潤,臨床表現以腹部腫塊或腫物侵襲局部組織或器官而引起的相關癥狀為主。目前有相關文獻[14]報道,腹內型 AF 因內臟器官受累而導致的癥狀有腸梗阻和腎積水。腫瘤的增大也會使患者的活動受限,腹內神經受壓迫而產生疼痛,也可因繼發感染導致腹膜炎癥狀而被發現。腹內型 AF 的發病年齡偏大,一般為中年人,有文獻[15]報道女性多于男性。本組病例的年齡為 18~71 歲(其中≥60 歲 2 例),女性稍多于男性,病程最長為 720 d,4 例首發癥狀為腹痛,3 例以腹部包塊為首發癥狀。
3.3 腹內型 AF 的診斷
Lazar 教授等[16]認為,AF 沒有固定且鮮明的特征用于此疾病的診斷,可能出現穩定性生長、侵襲性生長、術后復發、自然消退等情況。對于 AF 病例多采用腹部彩超、CT、MRI 等檢查方法,但這些檢查方法只能確定腫瘤的具體部位,無法用于確診,目前診斷 AF 的主要手段仍為病理學檢查。劉嘯峰等[17]認為,腹內型 AF 的多排螺旋 CT(MDCT)和 MRI 圖像存在一定的特征,這些特征性表現可提高對 AF 的診斷準確率,并可協助臨床進行術前評估。MDCT 平掃示腹內型 AF 病灶為單發或多發,表現為大小不等的圓形或不規則形;由于臨床上腹內型 AF 多存在浸潤,因此腫物多為等密度或稍低密度,密度不均勻,無明顯的出血、液化、壞死及鈣化表現,動態增強掃描可有不同程度的增強,可出現未被強化的條狀低密度區[17]。MRI 對于軟組織的顯影和對瘤體的定位更加清晰,能夠較好地顯示腫瘤的大小,同時能較為清晰地顯示腫瘤與周圍組織或鄰近血管等重要結構的關系,是術前評估腫瘤情況及術后監測腫瘤復發的重要檢查方法[18]。本組病例全部行腹部增強 CT 檢查,未行 MRI 檢查,CT 均表現為腹腔內占位性病變,其中 6 例有周圍組織受累表現。
3.4 腹內型 AF 的治療
目前國際上對于腹內型 AF 的治療沒有統一的標準,過去認為,積極的手術治療對于治療和預防腹內型 AF 復發有積極的作用[19]。隨著研究的深入,有學者[20]認為,對于腹內型 AF,在不出現嚴重并發癥的前提下,建議行密切觀察,進行積極的隨訪,因有超過 50% 的患者可以保持長期的穩定甚至出現瘤體縮小,其中腫瘤出現縮小的比例為 20%~30%。另有文獻報道,約 50% 的 AF 存在自限性[15],病情持續穩定或出現自行消退[10]。對于存在并發癥的腹內型 AF,手術治療仍然是目前較好的解決辦法[9]。因 AF 的瘤體無完整的被膜包被,具有浸潤生長特點,手術切除腫瘤時難以確定切除的具體范圍,一般建議手術切除肉眼所見腫瘤邊界以外 2~3 cm,以確保切緣的陰性(R0)。有研究者[21]提出腫物切除后,需行術中冰凍病理學檢查,切緣的病理結果至少為 R0。但目前對于手術的切除范圍仍存在爭議,當腫瘤難以完全切除或切除難以達到 R0時,適當保留有功能的器官,術后予以輔助放療[22]。然而目前對于術后輔助放療也存在爭議。有文獻[23]指出,對于術后切緣陽性的腫瘤,術后給予輔助放療可提高局部控制率,但偶爾出現不良反應[23],然而也有觀點[24]認為術后輔助放療并不能降低局部復發率。內分泌治療和非甾體類抗炎藥對于腹內型 AF 也有一定的效果[25]。目前有研究[26]表明,化療對 AF 也有一定的抑制作用。
綜上所述,腹內型 AF 在臨床中較為罕見,可出現腹痛、腹脹或腹膜炎相關癥狀,但其臨床癥狀與其他急腹癥難以鑒別,極少數患者無任何臨床癥狀。該病變在術前難以明確診斷,容易造成對腫物手術切除過度或不足。醫生在臨床工作中應提高對腹內型 AF 的認識,術前完善影像學檢查,則利于 AF 的診斷和定位,但確診仍依賴于術后的病理學檢查。手術治療時應在保留重要器官功能的前提下行擴大切除,對于不能完全切除的情況,術后給予積極的輔助放療或者化療,這對于減少局部復發有積極的作用。
侵襲性纖維瘤病(aggressive fibromatosis,AF)是由 MacFarlane 教授在 1832 年發現并且首先報道的[1],1838 年 Mueller 教授將其命名為硬纖維瘤[2]。2013 年世界衛生組織(WHO)分類標準對 AF 進行了如下定義:AF 系指起源于深部軟組織肌成纖維細胞的單克隆增殖性腫瘤,其特征是局部侵襲及局部復發,但基本不會發生遠處轉移,屬于交界性腫瘤[3]。AF 的發病率在所有腫瘤中約占 0.03%,在所有軟組織腫瘤中約占 3%[3]。AF 的年發病率約為 50/10 萬[4]。Rampone 教授等[5]將 AF 分為 3 種類型:① 腹外型(占 50%~60%);② 腹壁型(約占 25%);③ 腹內型(約占 15%),該分類標準是依據腫瘤生長所在的部位進行分類的。研究[6-7]表明,盡管腹內型 AF 很少發生局部或者遠處淋巴結轉移,與良性腫瘤較為相似,但其在局部生長時會侵襲周圍組織,手術治療后會發生局部復發。由于腹內型 AF 是 3 種 AF 類型中最為少見的,因此對于腹內型 AF 的病例報道比較少。筆者對中國醫科大學附屬盛京醫院普外科收治的 8 例腹內型 AF 患者的臨床病理學資料進行了回顧性分析,旨在總結 AF 的臨床特點和診斷治療策略。
1 資料與方法
1.1 臨床資料
回顧性收集中國醫科大學附屬盛京醫院普外科于 2011 年 2 月至 2017 年 3 月期間收治的 8 例經手術及病理學檢查證實的腹內型 AF 患者的臨床病理學資料,男 3 例,女 5 例;中位年齡為 45 歲(18~71)歲,其中<20 歲 1 例,20~29 歲 1 例,30~39 歲1 例,40~49 歲 1 例,50~59 歲 2 例,≥60 歲 2 例。臨床表現為單純腹痛 4 例(反復間斷性腹痛 2 例,急性腹痛 2 例),既往健康,無并發癥;腹部包塊3 例,間斷出現便秘癥狀;外院術后復發 1 例(余7 例系初次就診)。病程 4~720 d,中位數為 130 d。
1.2 影像學檢查
本組病例全部行腹部增強 CT 檢查,其中 4 例考慮腫瘤性病變(2 例考慮間葉組織腫瘤,1 例考慮囊腺瘤,1 例考慮小腸間質瘤),其余 4 例患者未能明確是否為腫瘤性病變。腹部增強 CT 檢查均表現為腹腔內占位性病變,腫物最大徑 3.7~8.0 cm,平均 4.2 cm,大小形狀不均一;其中 6 例有累及周圍組織表現,增強掃描病變呈不均勻強化(圖 1)。
圖1
示術前強化期增強 CT 掃描圖像,見腹腔內一較大 腫塊影(白箭),邊界欠清楚,與周圍腸管分界不 清楚,增強掃描呈不均勻中等強化
1.3 手術及隨訪
8 例病例全部施行根治性手術,其中 1 例外院術后復發患者再次接受根治性手術治療,術后均未行放化療。術后采用電話進行隨訪,隨訪內容包括是否出現腹部不適癥狀,是否進行影像學檢查及檢查結果是否異常。
2 結果
2.1 手術結果
本組患者的手術均順利,無圍手術期死亡。術中發現 6 例患者的腫物(2 例位于腸系膜根部,3 例位于空腸處,1 例位于十二指腸與空腸交界處)與周圍組織(5 例為小腸,1 例為腸系膜)關系密切,無法分離,故切除腫物及周圍累及組織;2 例患者的腫物位于胰腺,未累及周圍組織,行單純腫物切除。7 例多發,1 例單發,術中均未發現淋巴結轉移。術后病理學檢查均提示切緣陰性。本組 8 例患者的手術時間為 92~493 min,平均 246 min;術中出血量為 20~1 000 mL,平均 321 mL,其中 3 例輸血,輸血量為 200~600 mL,平均 400 mL。全部病例術中放置腹腔引流管,引流管放置時間為 5~9 d,平均 6 d。術后 2 例患者在恢復過程中(術后 7 d和術后 5 d)出現腹痛癥狀,行保守治療后好轉,其余患者術后恢復良好。本組所有患者順利出院,住院時間為 11~75 d,平均 25 d。
2.2 術后病理組織學檢查
本組病例中有 7 例在術前未行病理學診斷,1 例外院術后復發患者于外院行病理學檢查確診為 AF。8 例患者的切除標本術后送病理學檢查:腫物切開時有沙礫感,切面白色有光澤(圖 2);腫物直徑為 3.5~12.5 cm,平均 7.1 cm。全部患者術后均經病理學檢查診斷為 AF,HE 染色后鏡下見腫瘤細胞以梭形為主,束狀排列,呈侵襲性生長(圖 3);鏡下細胞以一致性長形、梭形細胞增生為主,周圍可見膠原性間質和數量不等的血管,血管可見部分水腫。
圖2
示結腸近回盲部腸系膜處腫物,8 cm×8 cm×5 cm 大, 與周圍組織界限不清(白箭)
圖3
術后病理學檢查示瘤細胞呈梭形,束狀排列(白箭), 呈侵襲性生長(HE ×100)
8 例患者的免疫組織化學染色結果見表 1。由表 1 可見,8 例患者中僅有 1 例 Kit 蛋白(CD117)表達呈弱陽性;3 例 Ki-67 表達呈陽性;3 例平滑肌肌動蛋白(SMA)表達呈陽性(2 例陽性,1 例弱陽性);4 例 β-連環蛋白(β-catenin)表達呈陽性。
2.3 隨訪結果
8 例患者術后均獲訪,隨訪時間為 6~40 個月,中位隨訪時間為 23 個月,1 例患者于術后 212 d復發(系于盛京醫院初診患者),再次行根治性手術治療,其余 7 例患者隨訪期間無復發。
3 討論
3.1 腹內型 AF 的病因
AF 是由單克隆纖維母細胞過度增殖而形成的腫瘤,可能起源于肌肉筋膜結構,具有局部侵襲性生長、局部復發率較高及幾乎不發生淋巴結或相鄰器官轉移的特征[8]。AF 的發病原因存在多種,如遺傳因素、內分泌因素、物理因素等。大部分 AF 病例為散發,但有些也存在一定的家族性發病情況,如 Gardner 綜合征患者常常會伴有此類病變,尤其是腹內型 AF,提示遺傳因素可能是重要因素[9],但本組患者沒有家族病史。AF 的具體發病機制不詳,目前研究[10-11]提示,Wnt/β-catenin/腺瘤息肉病基因(APC)信號通路的激活對于 AF 的產生和發展具有重要的作用。有研究[12]提示,腹內型 AF 與胃間質瘤存在一些共同的基因表達。臨床上腹內型 AF 的發病率極低,但是其生長及復發具有惡性腫瘤的一些特征,很容易造成腸梗阻、尿路梗阻、腸穿孔、血管受侵等情況,所以腹內型 AF 相對于其他類型 AF,死亡率最高且預后最差[13]。
3.2 腹內型 AF 的臨床表現
腹內型 AF 多生長緩慢,由于腹腔內存在一定的空間,當出現腹部疼痛等癥狀時,腫物已經較大且多伴有局部浸潤,臨床表現以腹部腫塊或腫物侵襲局部組織或器官而引起的相關癥狀為主。目前有相關文獻[14]報道,腹內型 AF 因內臟器官受累而導致的癥狀有腸梗阻和腎積水。腫瘤的增大也會使患者的活動受限,腹內神經受壓迫而產生疼痛,也可因繼發感染導致腹膜炎癥狀而被發現。腹內型 AF 的發病年齡偏大,一般為中年人,有文獻[15]報道女性多于男性。本組病例的年齡為 18~71 歲(其中≥60 歲 2 例),女性稍多于男性,病程最長為 720 d,4 例首發癥狀為腹痛,3 例以腹部包塊為首發癥狀。
3.3 腹內型 AF 的診斷
Lazar 教授等[16]認為,AF 沒有固定且鮮明的特征用于此疾病的診斷,可能出現穩定性生長、侵襲性生長、術后復發、自然消退等情況。對于 AF 病例多采用腹部彩超、CT、MRI 等檢查方法,但這些檢查方法只能確定腫瘤的具體部位,無法用于確診,目前診斷 AF 的主要手段仍為病理學檢查。劉嘯峰等[17]認為,腹內型 AF 的多排螺旋 CT(MDCT)和 MRI 圖像存在一定的特征,這些特征性表現可提高對 AF 的診斷準確率,并可協助臨床進行術前評估。MDCT 平掃示腹內型 AF 病灶為單發或多發,表現為大小不等的圓形或不規則形;由于臨床上腹內型 AF 多存在浸潤,因此腫物多為等密度或稍低密度,密度不均勻,無明顯的出血、液化、壞死及鈣化表現,動態增強掃描可有不同程度的增強,可出現未被強化的條狀低密度區[17]。MRI 對于軟組織的顯影和對瘤體的定位更加清晰,能夠較好地顯示腫瘤的大小,同時能較為清晰地顯示腫瘤與周圍組織或鄰近血管等重要結構的關系,是術前評估腫瘤情況及術后監測腫瘤復發的重要檢查方法[18]。本組病例全部行腹部增強 CT 檢查,未行 MRI 檢查,CT 均表現為腹腔內占位性病變,其中 6 例有周圍組織受累表現。
3.4 腹內型 AF 的治療
目前國際上對于腹內型 AF 的治療沒有統一的標準,過去認為,積極的手術治療對于治療和預防腹內型 AF 復發有積極的作用[19]。隨著研究的深入,有學者[20]認為,對于腹內型 AF,在不出現嚴重并發癥的前提下,建議行密切觀察,進行積極的隨訪,因有超過 50% 的患者可以保持長期的穩定甚至出現瘤體縮小,其中腫瘤出現縮小的比例為 20%~30%。另有文獻報道,約 50% 的 AF 存在自限性[15],病情持續穩定或出現自行消退[10]。對于存在并發癥的腹內型 AF,手術治療仍然是目前較好的解決辦法[9]。因 AF 的瘤體無完整的被膜包被,具有浸潤生長特點,手術切除腫瘤時難以確定切除的具體范圍,一般建議手術切除肉眼所見腫瘤邊界以外 2~3 cm,以確保切緣的陰性(R0)。有研究者[21]提出腫物切除后,需行術中冰凍病理學檢查,切緣的病理結果至少為 R0。但目前對于手術的切除范圍仍存在爭議,當腫瘤難以完全切除或切除難以達到 R0時,適當保留有功能的器官,術后予以輔助放療[22]。然而目前對于術后輔助放療也存在爭議。有文獻[23]指出,對于術后切緣陽性的腫瘤,術后給予輔助放療可提高局部控制率,但偶爾出現不良反應[23],然而也有觀點[24]認為術后輔助放療并不能降低局部復發率。內分泌治療和非甾體類抗炎藥對于腹內型 AF 也有一定的效果[25]。目前有研究[26]表明,化療對 AF 也有一定的抑制作用。
綜上所述,腹內型 AF 在臨床中較為罕見,可出現腹痛、腹脹或腹膜炎相關癥狀,但其臨床癥狀與其他急腹癥難以鑒別,極少數患者無任何臨床癥狀。該病變在術前難以明確診斷,容易造成對腫物手術切除過度或不足。醫生在臨床工作中應提高對腹內型 AF 的認識,術前完善影像學檢查,則利于 AF 的診斷和定位,但確診仍依賴于術后的病理學檢查。手術治療時應在保留重要器官功能的前提下行擴大切除,對于不能完全切除的情況,術后給予積極的輔助放療或者化療,這對于減少局部復發有積極的作用。

