引用本文: 龐敬沂, 邵永, 姚立彬, 李超, 時林森, 孟松, 王輝, 朱孝成. 腹部 CT 對急性非典型闌尾炎的診斷價值分析. 中國普外基礎與臨床雜志, 2017, 24(11): 1390-1393. doi: 10.7507/1007-9424.201705018 復制
急性闌尾炎典型的臨床表現為陣發性和轉移性右下腹痛、反跳痛及腹壁緊張[1],臨床上依靠病史、臨床癥狀和體格檢查或必要的輔助檢查如血常規及腹部彩超多可做出診斷。但臨床上近半數的急性闌尾炎表現并不典型,易誤診為急性膽囊炎、腎盂腎炎、腎或輸尿管結石、盲腸和升結腸憩室炎、末端回腸炎、腫瘤、腸易激綜合征等[2-3],這給臨床診療工作帶來一定的難度。通常腹部 CT 不作為闌尾炎的常規檢查項目,但對一些臨床表現不典型的闌尾炎,常規檢查的誤診和漏診率較高。有文獻[4]報道,誤診導致闌尾穿孔術后并發癥的發生率高達 40%~50%,死亡率為 2%~6%。因此,對急性非典型闌尾炎患者選擇合適的影像學檢查手段來確診尤為重要。本研究對筆者所在醫院科室 2016 年 10 月至 2017 年 6 月期間急診收治的 60 例無轉移性右下腹痛典型表現但行腹部 CT 檢查后診斷為急性非典型闌尾炎患者的臨床資料進行回顧性分析,以探討腹部 CT 對急性非典型闌尾炎的診斷價值。
1 臨床資料
1.1 一般資料
回顧性分析 2016 年 10 月至 2017 年 6 月期間筆者所在醫院科室收治的 60 例經腹部 CT 檢查后初步診斷為急性非典型闌尾炎患者的臨床資料,其中男 36 例,女 24 例;年齡 15~79 歲,中位年齡 43 歲。患者均以腹痛就診,其中伴發熱者 38 例(63.3%),伴惡心、嘔吐者 27 例(45.0%),伴腹膜炎者 28 例(46.7%)。行腹部 CT 檢查之前,因上腹痛伴腹膜炎懷疑診斷消化道穿孔 6 例,因腹痛、腹脹懷疑診斷腸梗阻 1 例,因右上腹疼痛懷疑診斷膽囊炎 10 例,因右下腹劇痛而無腹膜炎體征懷疑診斷輸尿管結石 4 例,上腹痛伴惡心、嘔吐懷疑診斷急性胃炎 12 例,因血壓下降伴休克癥狀懷疑診斷消化道出血 1 例,懷疑診斷急性闌尾炎 26 例,所有患者均行腹部 CT 檢查以進一步確診。
1.2 方法
患者無需特殊準備,常規方法,隨到檢查。采用多排螺旋 CT 對患者進行中下腹平掃檢查,全腹或加盆腔平掃,必要時加做腹部 CTA。
1.3 結果
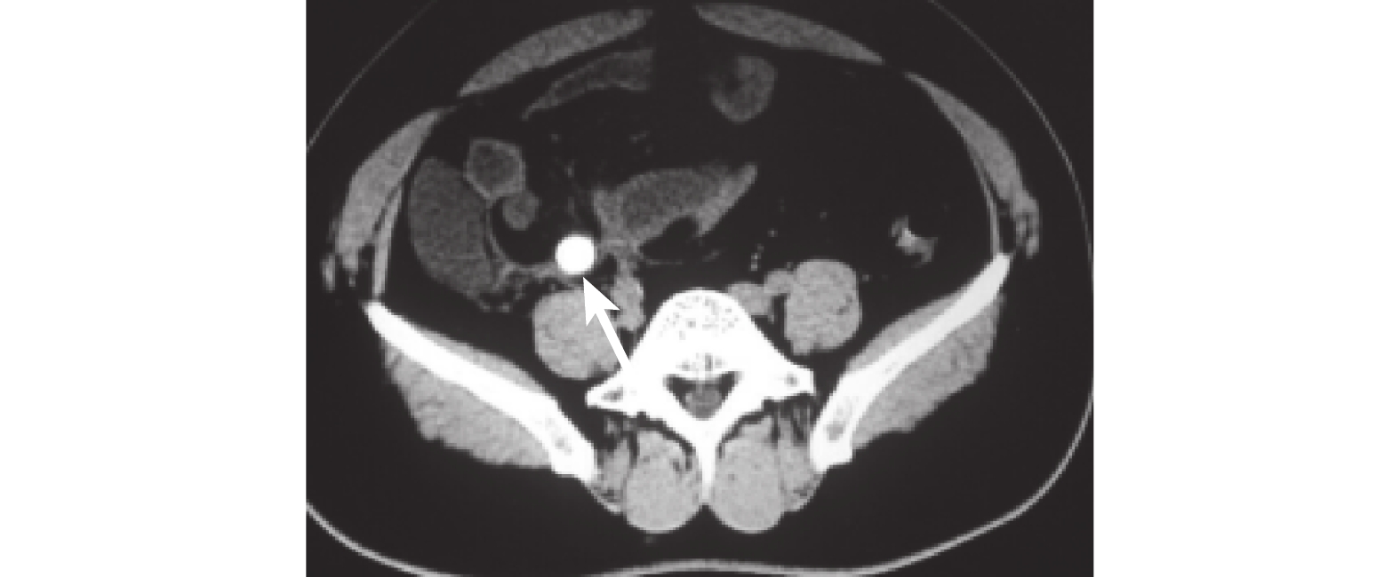
本組 60 例患者的 CT 影像學的主要表現為:闌尾增粗、管壁增厚 41 例,回盲部結構紊亂、周圍脂肪間隙不清、闌尾內有高密度糞石影 19 例,壞疽穿孔性闌尾炎可有腹腔散在氣體影 2 例,周圍腸管可有管壁增厚、積氣和積液 1 例,盆腔膿腫 1 例,伴有小腸梗阻 1 例,共有 5 例患者盲腸周圍可見少量游離氣體影。有 6 例患者的闌尾解剖異常,包括 2 例肝下闌尾、3 例腹膜后位闌尾及 1 例盆腔闌尾。所有患者均行腹腔鏡或剖腹探查手術治療,術后病理學檢查結果證實為急性闌尾炎 59 例,輸卵管感染積膿、膿液包裹闌尾 1 例,CT 檢查的診斷符合率為 98.3%。典型病例見圖 1~8。








2 討論
急性闌尾炎其特異性表現為轉移性右下腹痛及麥氏點壓痛,通常結合臨床檢驗的白細胞和中性粒細胞升高即可做出診斷,但相當一部分急性闌尾炎并不具備上述特異性表現。闌尾通常位于右下腹,也可能位于其他位置,如腹股溝管或股管;此外,發生在患者左側的闌尾炎可能為先天性畸形,如腸旋轉不良[5]。有的患者僅表現為上腹痛、臍周痛或全腹痛,或有的患者僅有惡心、嘔吐而無腹痛,較易與消化道穿孔、急性膽囊炎、尿路結石及一些婦科疾病的臨床癥狀混淆,這些稱為“急性非典型闌尾炎”[6],很容易誤診為上消化道穿孔、胰腺炎、膽囊炎等,因此給臨床診療工作帶來了一定的困難。由于急性闌尾炎病情發展迅速,所以選擇合適的檢查以確保闌尾炎診斷的準確性顯得極其重要。
隨著腹腔鏡手術日益成熟,患者對微創手術的意愿也愈發強烈,因此術前明確診斷以確立手術方式極其重要。有文獻[7-10]報道,CT 診斷闌尾炎的靈敏度和特異度較高,分別為 87%~100% 和 83%~100%,CT 不僅能清楚顯示闌尾的位置、形態及與周圍組織的關系,而且可以觀察到是否有穿孔、膿液、膿腫形成等,特別是對闌尾炎性腫塊的鑒別診斷具有重要意義[11]。因此,CT 對于急性非典型闌尾炎的術前診斷具有重要的臨床價值。
2.1 闌尾炎患者的 CT 表現
文獻[2]報道,急性闌尾炎的 CT 影像學改變為:闌尾直徑>6 mm、闌尾壁厚度>2 mm,有糞石、異常強化等。闌尾最常見的位置是下降腹腔內[12],急性闌尾炎患者的典型腹部 CT 表現為闌尾異常、闌尾周圍炎和盲腸末端改變,其中闌尾異常包括闌尾增粗(>6 mm)、管壁增厚(>2 mm)、管狀結構顯示不清、闌尾腔內可見糞石影,闌尾壁可呈同心圓樣改變,增強掃描可見闌尾壁強化等[13]。除此之外,若發生壞疽或膿腫,CT 可見盲腸壁增厚且淋巴結增大的情況[14]。若闌尾穿孔,則闌尾周圍可見氣體影,有助于進一步鑒別診斷是否為穿孔性闌尾炎[15]。本組病例中有 41 例患者的 CT 表現為闌尾增粗和管壁增厚,19 例患者表現為闌尾內糞石樣高密度影,2 例壞疽性闌尾炎患者 CT 表現出腹腔散在氣體影(此應注意與消化道穿孔鑒別),也有患者僅表現為盲腸周圍結構紊亂、脂肪間隙密度高及條索狀影。
闌尾糞石對診斷急性闌尾炎有相當重要的意義。本組 19 例患者在 CT 下可見闌尾糞石,當發現闌尾糞石同時合并闌尾周圍炎時,是診斷急性闌尾炎的可靠指征[16]。如有闌尾糞石伴盲腸周圍炎可診斷急性闌尾炎,但是如果只有盲腸周圍炎而未見到闌尾糞石,則只能懷疑診斷急性闌尾炎。
2.2 解剖異常情況的闌尾炎
闌尾也有解剖異常的情況,如回腸下位闌尾、腹膜后位闌尾、盆腔闌尾等,對于這些解剖異常的闌尾炎患者通常不表現出典型的轉移性右下腹痛,而是表現出惡心、嘔吐、腹脹或下腹疼痛,因此,通過彩超診斷有一定困難,此時行腹部 CT 比彩超具有一定的優勢[17]。本組有 6 例患者的闌尾解剖異常,包括 2 例肝下闌尾、3 例腹膜后位闌尾及 1 例盆腔闌尾,經行選擇腹部 CT 檢查后診斷為急性非典型闌尾炎,然后行急診手術治療,經病理學檢查確診。
從對本組資料的分析結果來看,對于臨床無典型急性闌尾炎表現的腹痛、腹脹等患者,可選擇行腹部 CT 檢查,從不同角度全方位地觀察病灶及周圍情況,以盡快診斷,以便進行有效的治療,提高急性非典型闌尾炎的確診率及降低陰性切除率[18]。腹部 CT 能夠更全面地展現患者腹部情況及病變周圍情況,并且不因為闌尾的解剖位置及腹部脹氣原因而影響診斷,診斷符合率較高。因此,腹部 CT 檢查對臨床醫生及時診斷并早期處理急性非典型闌尾炎具有重要的意義。
急性闌尾炎典型的臨床表現為陣發性和轉移性右下腹痛、反跳痛及腹壁緊張[1],臨床上依靠病史、臨床癥狀和體格檢查或必要的輔助檢查如血常規及腹部彩超多可做出診斷。但臨床上近半數的急性闌尾炎表現并不典型,易誤診為急性膽囊炎、腎盂腎炎、腎或輸尿管結石、盲腸和升結腸憩室炎、末端回腸炎、腫瘤、腸易激綜合征等[2-3],這給臨床診療工作帶來一定的難度。通常腹部 CT 不作為闌尾炎的常規檢查項目,但對一些臨床表現不典型的闌尾炎,常規檢查的誤診和漏診率較高。有文獻[4]報道,誤診導致闌尾穿孔術后并發癥的發生率高達 40%~50%,死亡率為 2%~6%。因此,對急性非典型闌尾炎患者選擇合適的影像學檢查手段來確診尤為重要。本研究對筆者所在醫院科室 2016 年 10 月至 2017 年 6 月期間急診收治的 60 例無轉移性右下腹痛典型表現但行腹部 CT 檢查后診斷為急性非典型闌尾炎患者的臨床資料進行回顧性分析,以探討腹部 CT 對急性非典型闌尾炎的診斷價值。
1 臨床資料
1.1 一般資料
回顧性分析 2016 年 10 月至 2017 年 6 月期間筆者所在醫院科室收治的 60 例經腹部 CT 檢查后初步診斷為急性非典型闌尾炎患者的臨床資料,其中男 36 例,女 24 例;年齡 15~79 歲,中位年齡 43 歲。患者均以腹痛就診,其中伴發熱者 38 例(63.3%),伴惡心、嘔吐者 27 例(45.0%),伴腹膜炎者 28 例(46.7%)。行腹部 CT 檢查之前,因上腹痛伴腹膜炎懷疑診斷消化道穿孔 6 例,因腹痛、腹脹懷疑診斷腸梗阻 1 例,因右上腹疼痛懷疑診斷膽囊炎 10 例,因右下腹劇痛而無腹膜炎體征懷疑診斷輸尿管結石 4 例,上腹痛伴惡心、嘔吐懷疑診斷急性胃炎 12 例,因血壓下降伴休克癥狀懷疑診斷消化道出血 1 例,懷疑診斷急性闌尾炎 26 例,所有患者均行腹部 CT 檢查以進一步確診。
1.2 方法
患者無需特殊準備,常規方法,隨到檢查。采用多排螺旋 CT 對患者進行中下腹平掃檢查,全腹或加盆腔平掃,必要時加做腹部 CTA。
1.3 結果
本組 60 例患者的 CT 影像學的主要表現為:闌尾增粗、管壁增厚 41 例,回盲部結構紊亂、周圍脂肪間隙不清、闌尾內有高密度糞石影 19 例,壞疽穿孔性闌尾炎可有腹腔散在氣體影 2 例,周圍腸管可有管壁增厚、積氣和積液 1 例,盆腔膿腫 1 例,伴有小腸梗阻 1 例,共有 5 例患者盲腸周圍可見少量游離氣體影。有 6 例患者的闌尾解剖異常,包括 2 例肝下闌尾、3 例腹膜后位闌尾及 1 例盆腔闌尾。所有患者均行腹腔鏡或剖腹探查手術治療,術后病理學檢查結果證實為急性闌尾炎 59 例,輸卵管感染積膿、膿液包裹闌尾 1 例,CT 檢查的診斷符合率為 98.3%。典型病例見圖 1~8。








2 討論
急性闌尾炎其特異性表現為轉移性右下腹痛及麥氏點壓痛,通常結合臨床檢驗的白細胞和中性粒細胞升高即可做出診斷,但相當一部分急性闌尾炎并不具備上述特異性表現。闌尾通常位于右下腹,也可能位于其他位置,如腹股溝管或股管;此外,發生在患者左側的闌尾炎可能為先天性畸形,如腸旋轉不良[5]。有的患者僅表現為上腹痛、臍周痛或全腹痛,或有的患者僅有惡心、嘔吐而無腹痛,較易與消化道穿孔、急性膽囊炎、尿路結石及一些婦科疾病的臨床癥狀混淆,這些稱為“急性非典型闌尾炎”[6],很容易誤診為上消化道穿孔、胰腺炎、膽囊炎等,因此給臨床診療工作帶來了一定的困難。由于急性闌尾炎病情發展迅速,所以選擇合適的檢查以確保闌尾炎診斷的準確性顯得極其重要。
隨著腹腔鏡手術日益成熟,患者對微創手術的意愿也愈發強烈,因此術前明確診斷以確立手術方式極其重要。有文獻[7-10]報道,CT 診斷闌尾炎的靈敏度和特異度較高,分別為 87%~100% 和 83%~100%,CT 不僅能清楚顯示闌尾的位置、形態及與周圍組織的關系,而且可以觀察到是否有穿孔、膿液、膿腫形成等,特別是對闌尾炎性腫塊的鑒別診斷具有重要意義[11]。因此,CT 對于急性非典型闌尾炎的術前診斷具有重要的臨床價值。
2.1 闌尾炎患者的 CT 表現
文獻[2]報道,急性闌尾炎的 CT 影像學改變為:闌尾直徑>6 mm、闌尾壁厚度>2 mm,有糞石、異常強化等。闌尾最常見的位置是下降腹腔內[12],急性闌尾炎患者的典型腹部 CT 表現為闌尾異常、闌尾周圍炎和盲腸末端改變,其中闌尾異常包括闌尾增粗(>6 mm)、管壁增厚(>2 mm)、管狀結構顯示不清、闌尾腔內可見糞石影,闌尾壁可呈同心圓樣改變,增強掃描可見闌尾壁強化等[13]。除此之外,若發生壞疽或膿腫,CT 可見盲腸壁增厚且淋巴結增大的情況[14]。若闌尾穿孔,則闌尾周圍可見氣體影,有助于進一步鑒別診斷是否為穿孔性闌尾炎[15]。本組病例中有 41 例患者的 CT 表現為闌尾增粗和管壁增厚,19 例患者表現為闌尾內糞石樣高密度影,2 例壞疽性闌尾炎患者 CT 表現出腹腔散在氣體影(此應注意與消化道穿孔鑒別),也有患者僅表現為盲腸周圍結構紊亂、脂肪間隙密度高及條索狀影。
闌尾糞石對診斷急性闌尾炎有相當重要的意義。本組 19 例患者在 CT 下可見闌尾糞石,當發現闌尾糞石同時合并闌尾周圍炎時,是診斷急性闌尾炎的可靠指征[16]。如有闌尾糞石伴盲腸周圍炎可診斷急性闌尾炎,但是如果只有盲腸周圍炎而未見到闌尾糞石,則只能懷疑診斷急性闌尾炎。
2.2 解剖異常情況的闌尾炎
闌尾也有解剖異常的情況,如回腸下位闌尾、腹膜后位闌尾、盆腔闌尾等,對于這些解剖異常的闌尾炎患者通常不表現出典型的轉移性右下腹痛,而是表現出惡心、嘔吐、腹脹或下腹疼痛,因此,通過彩超診斷有一定困難,此時行腹部 CT 比彩超具有一定的優勢[17]。本組有 6 例患者的闌尾解剖異常,包括 2 例肝下闌尾、3 例腹膜后位闌尾及 1 例盆腔闌尾,經行選擇腹部 CT 檢查后診斷為急性非典型闌尾炎,然后行急診手術治療,經病理學檢查確診。
從對本組資料的分析結果來看,對于臨床無典型急性闌尾炎表現的腹痛、腹脹等患者,可選擇行腹部 CT 檢查,從不同角度全方位地觀察病灶及周圍情況,以盡快診斷,以便進行有效的治療,提高急性非典型闌尾炎的確診率及降低陰性切除率[18]。腹部 CT 能夠更全面地展現患者腹部情況及病變周圍情況,并且不因為闌尾的解剖位置及腹部脹氣原因而影響診斷,診斷符合率較高。因此,腹部 CT 檢查對臨床醫生及時診斷并早期處理急性非典型闌尾炎具有重要的意義。