引用本文: Nodjimadji Tamlengar Martial, 洪育蒲, 趙亮, 項明偉, 李滿, 陳辰, 王衛星. 栗精胺對重癥急性胰腺炎大鼠腎臟損傷保護作用的研究. 中國普外基礎與臨床雜志, 2017, 24(10): 1200-1205. doi: 10.7507/1007-9424.201703079 復制
重癥急性胰腺炎(severe acute pancreatitis,SAP)是臨床上的一種常見的危急重癥,易并發多種胰外臟器損傷。其中急性腎損傷的發病率高達 50%[1]。栗精胺(castanospermine,CS)是一種從豆科植物中提取的生物堿,在器官移植[2]、腦脊髓炎[3]、關節炎[4]、病毒感染[5]等疾病中起到免疫調節及抗炎的作用。目前關于 CS 在 SAP 腎損傷中保護作用的研究極少,故本實驗擬通過建立 SAP 大鼠模型,初步探討 CS 對 SAP 大鼠腎損傷的保護作用及其可能機制。
1 材料與方法
1.1 實驗動物、主要試劑及設備
SPF 級成年雄性 SD 大鼠 24 只,體質量 200~220 g,鼠齡 6~7 周,由湖北省疾病預防控制中心提供,適應性喂養 2~3 d。根據隨機數字表法將實驗大鼠隨機分為假手術組(SO 組)、SAP 組及 CS 干預組(CS 組),每組 8 只。主要試劑包括:牛磺膽酸鈉與 CS 購自美國 Sigma 公司,腫瘤壞死因子-α(TNF-α)抗體、細胞間黏附分子-1(ICAM-1)抗體與含半胱氨酸的天冬氨酸蛋白水解酶-3(Caspase-3)抗體購自美國 Abcam 公司,核因子-κB(NF-κB)抗體購自美國 CST 公司。免疫組織化學 EliVisionTM Super 檢測試劑盒購自福建邁新生物技術開發有限公司。主要設備包括:ADVIA 2400 全自動多功能生化分析儀(西門子公司)和 BX63 光學顯微鏡(奧林巴斯公司)。
1.2 方法
1.2.1 動物模型制備 大鼠術前 12 h 禁食,自由飲水,稱體質量。給予異氟烷氣體麻醉后消毒鋪巾,沿腹正中線切口開腹(切口長 1.5~2.0 cm),尋找十二指腸,暴露胰膽管,經十二指腸大乳頭開口處胰膽管逆行注射 5% 牛磺膽酸鈉生理鹽水溶液(1 mL/kg),以微型無損傷血管夾夾閉胰膽管兩端 5 min 后見胰腺出現水腫、出血,表明模型制備成功。逐層關腹,消毒。SO 組大鼠開腹后僅翻動十二指腸及胰腺后關腹。CS 組在 SAP 建模成功后立即經腹腔注射 CS 生理鹽水溶液(200 mg/kg)。
1.2.2 標本采集 建模后 12 h 再次用異氟烷麻醉大鼠,開腹后經下腔靜脈采血 3 mL,4 ℃ 下離心 10 min(3 000 r/min,r=10 cm),分離血清,分裝后 –20 ℃ 保存備用。取大鼠胰頭及左腎部分組織,經 4% 多聚甲醛固定,常規石蠟包埋。
1.3 檢測指標及方法
1.3.1 大鼠胰腺及腎臟組織的病理學檢查 石蠟切片脫蠟后,行蘇木精-伊紅(HE)染色,在光鏡下觀察大鼠胰腺及腎臟組織的病理學改變。
1.3.2 大鼠血清學指標檢測 應用全自動多功能生化分析儀檢測大鼠血清尿素氮(BUN)和肌酐(Cr)水平,以及淀粉酶(AMY)的活性。
1.3.3 大鼠腎臟組織中 NF-κB、TNF-α、ICAM-1 及 Caspase-3 蛋白的表達檢測 參照參考文獻[6]的方法,選取 3 組大鼠腎臟組織切片,脫蠟后梯度水化,行高溫抗原修復,再滅活內源性過氧化氫酶,給予一抗二抗孵育后行 DAB 顯色,詳細操作均按試劑盒說明書進行。以 PBS 溶液替代一抗作為陰性對照,未設陽性對照。在光學顯微鏡的高倍視野下觀察 NF-κB、TNF-α、ICAM-1 及 Caspase-3 蛋白的表達,以細胞質或細胞核有棕黃色顆粒定義為陽性表達。采用 Image-Pro Plus 6.0 專業圖像分析軟件進行積分光密度值(integrated optical density,IOD)測量,進行半定量分析。
1.4 統計學方法
采用 SPSS 22.0 統計軟件進行分析。計量資料以均數±標準差(
±s)表示,3 組間均數比較采用單因素方差分析,組間兩兩比較采用 Tukey’s HSD 檢驗。檢驗水準 α=0.05。
2 結果
SAP 組和 CS 組大鼠均建模成功,建模后 12 h 未見大鼠死亡,SO 組也未見大鼠死亡。
2.1 3 組大鼠胰腺和腎臟組織的病理學檢查結果
SO 組大鼠的胰腺和腎臟組織在光鏡下形態正常,組織結構清晰。SAP 組大鼠的胰腺小葉結構被破壞,出現大面積凝固樣壞死、炎性細胞浸潤等改變;SAP 組大鼠的腎臟組織可見淤血及炎性細胞浸潤,腎小管結構模糊,刷狀緣脫落,管腔內可見脫落的上皮細胞及碎片,甚至出現大量管型。CS 組大鼠的胰腺及腎臟組織的各種結構損傷程度較 SAP 組大鼠明顯減輕。詳見圖 1 和圖 2。


2.2 3 組大鼠的血清 Cr 水平、BUN 水平及 AMY 活性比較
與 SO 組比較,SAP 組大鼠的血清 Cr 水平、BUN 水平及 AMY 活性均較高(P<0.05);CS 組大鼠的 AMY 活性較高(P<0.05),但血清 Cr 水平和 BUN 水平與 SO 組比較差異均無統計學意義(P>0.05)。與 SAP 組比較,CS 組大鼠的血清 Cr 水平、BUN 水平及 AMY 活性均較低(P<0.05)。詳見圖 3。

2.3 3 組大鼠腎臟組織中 NF-κB、TNF-α、ICAM-1 及 Caspase-3 蛋白的表達比較
2.3.1 NF-κB 蛋白 NF-κB 蛋白的陽性表達為細胞核呈棕黃色染色。SO 組大鼠腎臟組織中 NF-κB 蛋白的表達微弱;SAP 組大鼠腎臟組織中 NF-κB 蛋白呈強陽性表達;CS 組大鼠腎臟組織中 NF-κB 蛋白的表達較 SAP 組明顯下調,與 SO 組比較無明顯差異。與 SO 組比較,SAP 組大鼠腎臟組織中 NF-κB 蛋白的 IOD 值較高(P<0.05),但 CS 組與 SO 組比較差異無統計學意義(P>0.05);與 SAP 組比較,CS 組大鼠腎臟組織中 NF-κB 蛋白的 IOD 值較低(P<0.05)。詳見圖 4。

2.3.2 TNF-α 蛋白 TNF-α 蛋白的陽性表達為細胞質被染成棕黃色。SO 組大鼠的細胞質中 TNF-α 蛋白有少許表達;SAP 組大鼠其 TNF-α 蛋白廣泛表達于細胞質;CS 組大鼠的細胞質中可見少量的 TNF-α 蛋白表達,較 SAP 組明顯下調,但仍強于 SO 組。與 SO 組比較,SAP 組和 CS 組大鼠腎臟組織中 TNF-α 蛋白的 IOD 值較高(P<0.05);與 SAP 組比較,CS 組大鼠腎臟組織中 TNF-α 蛋白的 IOD 值較低(P<0.05)。詳見圖 5。

2.3.3 ICAM-1 蛋白 ICAM-1 蛋白在腎臟組織中的陽性表達為細胞膜被染成棕黃色。SO 組大鼠的細胞膜上 ICAM-1 蛋白的表達極微弱;SAP 組大鼠的細胞膜上 ICAM-1 蛋白呈強陽性表達;CS 組大鼠的細胞膜上 ICAM-1 蛋白表達較 SAP 組明顯下調,與 SO 組比較無明顯差異。與 SO 組比較,SAP 組大鼠腎臟組織中 ICAM-1 蛋白的 IOD 值較高(P<0.05),但 CS 組和 SO 組比較差異無統計學意義(P>0.05);與 SAP 組比較,CS 組大鼠腎臟組織中 ICAM-1 蛋白的 IOD 值較低(P<0.05)。詳見圖 6。

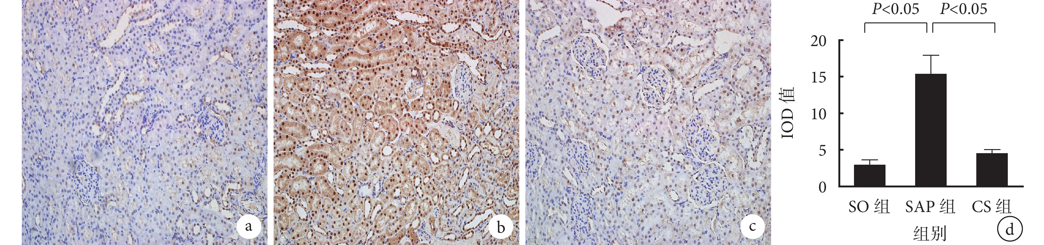
2.3.4 Caspase-3 蛋白 Caspase-3 蛋白在腎臟組織中的陽性表達為細胞質或細胞核被染成棕黃色。SO 組大鼠的細胞質及細胞核內有少許 Caspase-3 蛋白表達;SAP 組大鼠的細胞質及細胞核內 Caspase-3 蛋白廣泛表達;CS 組大鼠的細胞質及細胞核內可見少量 Caspase-3 蛋白表達,較 SAP 組明顯下調,與 SO 組比較無明顯差異。與 SO 組比較,SAP 組大鼠腎臟組織中 Caspase-3 蛋白的 IOD 值較高(P<0.05),但 CS 組和 SO 組比較差異無統計學意義(P<0.05);與 SAP 組比較,CS 組大鼠腎臟組織中 Caspase-3 蛋白的 IOD 值較低(P<0.05)。詳見圖 7。

3 討論
腎臟是 SAP 時常見的受損器官之一,其急性損傷發生率僅次于肺臟,繼發急性腎衰竭是 SAP 的主要死亡原因之一[7-9]。近年研究表明,CS 具有抑制炎癥反應[10]、調節免疫[11]、抗病毒[12]等作用,具有廣泛的臨床應用前景。為進一步探討 CS 保護 SAP 相關急性腎損傷的機理,本實驗采用 5% 牛磺膽酸鈉逆行胰膽管注射的方法建立 SAP 大鼠模型,建模成功后經腹腔注射 CS,在建模后 12 h 取材檢測大鼠腎臟組織中 NF-κB、TNF-α、ICAM-1 及 Caspase-3 蛋白的表達。實驗結果表明,SAP 組大鼠的胰腺及腎臟出現了明顯的病理損傷,且血清 AMY 活性、Cr 水平及 BUN 水平均較 SO 組升高,與筆者團隊[13-15]的前期研究結果一致,提示 SAP 組大鼠建模成功,SAP 大鼠的腎臟存在功能和結構上的損傷。而 CS 處理后 SAP 大鼠的血清 Cr 及 BUN 水平均降低,胰腺及腎臟的病理損傷得到改善,提示 CS 對 SAP 大鼠胰腺及腎臟損傷均具有保護作用。
TNF-α 在 SAP 發病過程中發揮著促炎和促凋亡作用[16-17]。TNF-α 不僅可以直接作用于腎小管,導致腎小管上皮細胞死亡,還能募集炎性細胞及促進炎性介質釋放[18-19]。ICAM-1 是一種細胞間黏附分子,主要介導多形核粒細胞與血管內皮細胞間的黏附,參與炎性細胞的遷移和浸潤,從而促進 SAP 炎癥反應進展,造成胰外臟器組織損傷[20-21]。NF-κB 是一種具有多向性調節作用的核轉錄因子,在炎性刺激等多種因素下被激活,并在轉錄水平上調節 TNF-α、ICAM-1 等多種細胞趨化因子及黏附分子的表達,從而參與 SAP 腎損傷過程[14, 22-23]。這些炎性介質的表達上調又可以促進 NF-κB 的核轉位與活化,形成一個正反饋的惡性循環過程,從而放大了 SAP 的炎癥效應[24],進而加重腎損傷,惡化 SAP 病情,影響患者的預后。Caspase-3 蛋白是 Caspase 級聯反應中下游的關鍵效應蛋白酶,在細胞凋亡過程中發揮著重要作用[25-26]。本實驗結果表明,CS 組大鼠腎臟組織中 NF-κB、TNF-α、ICAM-1 及 Caspase-3 蛋白的表達均較 SAP 組下調,表明 CS 可以抑制 NF-κB 的活化,下調下游炎性介質 TNF-α 和黏附分子 ICAM-1 的表達,減少腎臟細胞的凋亡,從而減輕 SAP 大鼠的急性腎損傷。這可能為 CS 用于治療 SAP 合并急性腎損傷提供了理論基礎及實驗依據。
重癥急性胰腺炎(severe acute pancreatitis,SAP)是臨床上的一種常見的危急重癥,易并發多種胰外臟器損傷。其中急性腎損傷的發病率高達 50%[1]。栗精胺(castanospermine,CS)是一種從豆科植物中提取的生物堿,在器官移植[2]、腦脊髓炎[3]、關節炎[4]、病毒感染[5]等疾病中起到免疫調節及抗炎的作用。目前關于 CS 在 SAP 腎損傷中保護作用的研究極少,故本實驗擬通過建立 SAP 大鼠模型,初步探討 CS 對 SAP 大鼠腎損傷的保護作用及其可能機制。
1 材料與方法
1.1 實驗動物、主要試劑及設備
SPF 級成年雄性 SD 大鼠 24 只,體質量 200~220 g,鼠齡 6~7 周,由湖北省疾病預防控制中心提供,適應性喂養 2~3 d。根據隨機數字表法將實驗大鼠隨機分為假手術組(SO 組)、SAP 組及 CS 干預組(CS 組),每組 8 只。主要試劑包括:牛磺膽酸鈉與 CS 購自美國 Sigma 公司,腫瘤壞死因子-α(TNF-α)抗體、細胞間黏附分子-1(ICAM-1)抗體與含半胱氨酸的天冬氨酸蛋白水解酶-3(Caspase-3)抗體購自美國 Abcam 公司,核因子-κB(NF-κB)抗體購自美國 CST 公司。免疫組織化學 EliVisionTM Super 檢測試劑盒購自福建邁新生物技術開發有限公司。主要設備包括:ADVIA 2400 全自動多功能生化分析儀(西門子公司)和 BX63 光學顯微鏡(奧林巴斯公司)。
1.2 方法
1.2.1 動物模型制備 大鼠術前 12 h 禁食,自由飲水,稱體質量。給予異氟烷氣體麻醉后消毒鋪巾,沿腹正中線切口開腹(切口長 1.5~2.0 cm),尋找十二指腸,暴露胰膽管,經十二指腸大乳頭開口處胰膽管逆行注射 5% 牛磺膽酸鈉生理鹽水溶液(1 mL/kg),以微型無損傷血管夾夾閉胰膽管兩端 5 min 后見胰腺出現水腫、出血,表明模型制備成功。逐層關腹,消毒。SO 組大鼠開腹后僅翻動十二指腸及胰腺后關腹。CS 組在 SAP 建模成功后立即經腹腔注射 CS 生理鹽水溶液(200 mg/kg)。
1.2.2 標本采集 建模后 12 h 再次用異氟烷麻醉大鼠,開腹后經下腔靜脈采血 3 mL,4 ℃ 下離心 10 min(3 000 r/min,r=10 cm),分離血清,分裝后 –20 ℃ 保存備用。取大鼠胰頭及左腎部分組織,經 4% 多聚甲醛固定,常規石蠟包埋。
1.3 檢測指標及方法
1.3.1 大鼠胰腺及腎臟組織的病理學檢查 石蠟切片脫蠟后,行蘇木精-伊紅(HE)染色,在光鏡下觀察大鼠胰腺及腎臟組織的病理學改變。
1.3.2 大鼠血清學指標檢測 應用全自動多功能生化分析儀檢測大鼠血清尿素氮(BUN)和肌酐(Cr)水平,以及淀粉酶(AMY)的活性。
1.3.3 大鼠腎臟組織中 NF-κB、TNF-α、ICAM-1 及 Caspase-3 蛋白的表達檢測 參照參考文獻[6]的方法,選取 3 組大鼠腎臟組織切片,脫蠟后梯度水化,行高溫抗原修復,再滅活內源性過氧化氫酶,給予一抗二抗孵育后行 DAB 顯色,詳細操作均按試劑盒說明書進行。以 PBS 溶液替代一抗作為陰性對照,未設陽性對照。在光學顯微鏡的高倍視野下觀察 NF-κB、TNF-α、ICAM-1 及 Caspase-3 蛋白的表達,以細胞質或細胞核有棕黃色顆粒定義為陽性表達。采用 Image-Pro Plus 6.0 專業圖像分析軟件進行積分光密度值(integrated optical density,IOD)測量,進行半定量分析。
1.4 統計學方法
采用 SPSS 22.0 統計軟件進行分析。計量資料以均數±標準差(
±s)表示,3 組間均數比較采用單因素方差分析,組間兩兩比較采用 Tukey’s HSD 檢驗。檢驗水準 α=0.05。
2 結果
SAP 組和 CS 組大鼠均建模成功,建模后 12 h 未見大鼠死亡,SO 組也未見大鼠死亡。
2.1 3 組大鼠胰腺和腎臟組織的病理學檢查結果
SO 組大鼠的胰腺和腎臟組織在光鏡下形態正常,組織結構清晰。SAP 組大鼠的胰腺小葉結構被破壞,出現大面積凝固樣壞死、炎性細胞浸潤等改變;SAP 組大鼠的腎臟組織可見淤血及炎性細胞浸潤,腎小管結構模糊,刷狀緣脫落,管腔內可見脫落的上皮細胞及碎片,甚至出現大量管型。CS 組大鼠的胰腺及腎臟組織的各種結構損傷程度較 SAP 組大鼠明顯減輕。詳見圖 1 和圖 2。


2.2 3 組大鼠的血清 Cr 水平、BUN 水平及 AMY 活性比較
與 SO 組比較,SAP 組大鼠的血清 Cr 水平、BUN 水平及 AMY 活性均較高(P<0.05);CS 組大鼠的 AMY 活性較高(P<0.05),但血清 Cr 水平和 BUN 水平與 SO 組比較差異均無統計學意義(P>0.05)。與 SAP 組比較,CS 組大鼠的血清 Cr 水平、BUN 水平及 AMY 活性均較低(P<0.05)。詳見圖 3。

2.3 3 組大鼠腎臟組織中 NF-κB、TNF-α、ICAM-1 及 Caspase-3 蛋白的表達比較
2.3.1 NF-κB 蛋白 NF-κB 蛋白的陽性表達為細胞核呈棕黃色染色。SO 組大鼠腎臟組織中 NF-κB 蛋白的表達微弱;SAP 組大鼠腎臟組織中 NF-κB 蛋白呈強陽性表達;CS 組大鼠腎臟組織中 NF-κB 蛋白的表達較 SAP 組明顯下調,與 SO 組比較無明顯差異。與 SO 組比較,SAP 組大鼠腎臟組織中 NF-κB 蛋白的 IOD 值較高(P<0.05),但 CS 組與 SO 組比較差異無統計學意義(P>0.05);與 SAP 組比較,CS 組大鼠腎臟組織中 NF-κB 蛋白的 IOD 值較低(P<0.05)。詳見圖 4。

2.3.2 TNF-α 蛋白 TNF-α 蛋白的陽性表達為細胞質被染成棕黃色。SO 組大鼠的細胞質中 TNF-α 蛋白有少許表達;SAP 組大鼠其 TNF-α 蛋白廣泛表達于細胞質;CS 組大鼠的細胞質中可見少量的 TNF-α 蛋白表達,較 SAP 組明顯下調,但仍強于 SO 組。與 SO 組比較,SAP 組和 CS 組大鼠腎臟組織中 TNF-α 蛋白的 IOD 值較高(P<0.05);與 SAP 組比較,CS 組大鼠腎臟組織中 TNF-α 蛋白的 IOD 值較低(P<0.05)。詳見圖 5。

2.3.3 ICAM-1 蛋白 ICAM-1 蛋白在腎臟組織中的陽性表達為細胞膜被染成棕黃色。SO 組大鼠的細胞膜上 ICAM-1 蛋白的表達極微弱;SAP 組大鼠的細胞膜上 ICAM-1 蛋白呈強陽性表達;CS 組大鼠的細胞膜上 ICAM-1 蛋白表達較 SAP 組明顯下調,與 SO 組比較無明顯差異。與 SO 組比較,SAP 組大鼠腎臟組織中 ICAM-1 蛋白的 IOD 值較高(P<0.05),但 CS 組和 SO 組比較差異無統計學意義(P>0.05);與 SAP 組比較,CS 組大鼠腎臟組織中 ICAM-1 蛋白的 IOD 值較低(P<0.05)。詳見圖 6。

2.3.4 Caspase-3 蛋白 Caspase-3 蛋白在腎臟組織中的陽性表達為細胞質或細胞核被染成棕黃色。SO 組大鼠的細胞質及細胞核內有少許 Caspase-3 蛋白表達;SAP 組大鼠的細胞質及細胞核內 Caspase-3 蛋白廣泛表達;CS 組大鼠的細胞質及細胞核內可見少量 Caspase-3 蛋白表達,較 SAP 組明顯下調,與 SO 組比較無明顯差異。與 SO 組比較,SAP 組大鼠腎臟組織中 Caspase-3 蛋白的 IOD 值較高(P<0.05),但 CS 組和 SO 組比較差異無統計學意義(P<0.05);與 SAP 組比較,CS 組大鼠腎臟組織中 Caspase-3 蛋白的 IOD 值較低(P<0.05)。詳見圖 7。

3 討論
腎臟是 SAP 時常見的受損器官之一,其急性損傷發生率僅次于肺臟,繼發急性腎衰竭是 SAP 的主要死亡原因之一[7-9]。近年研究表明,CS 具有抑制炎癥反應[10]、調節免疫[11]、抗病毒[12]等作用,具有廣泛的臨床應用前景。為進一步探討 CS 保護 SAP 相關急性腎損傷的機理,本實驗采用 5% 牛磺膽酸鈉逆行胰膽管注射的方法建立 SAP 大鼠模型,建模成功后經腹腔注射 CS,在建模后 12 h 取材檢測大鼠腎臟組織中 NF-κB、TNF-α、ICAM-1 及 Caspase-3 蛋白的表達。實驗結果表明,SAP 組大鼠的胰腺及腎臟出現了明顯的病理損傷,且血清 AMY 活性、Cr 水平及 BUN 水平均較 SO 組升高,與筆者團隊[13-15]的前期研究結果一致,提示 SAP 組大鼠建模成功,SAP 大鼠的腎臟存在功能和結構上的損傷。而 CS 處理后 SAP 大鼠的血清 Cr 及 BUN 水平均降低,胰腺及腎臟的病理損傷得到改善,提示 CS 對 SAP 大鼠胰腺及腎臟損傷均具有保護作用。
TNF-α 在 SAP 發病過程中發揮著促炎和促凋亡作用[16-17]。TNF-α 不僅可以直接作用于腎小管,導致腎小管上皮細胞死亡,還能募集炎性細胞及促進炎性介質釋放[18-19]。ICAM-1 是一種細胞間黏附分子,主要介導多形核粒細胞與血管內皮細胞間的黏附,參與炎性細胞的遷移和浸潤,從而促進 SAP 炎癥反應進展,造成胰外臟器組織損傷[20-21]。NF-κB 是一種具有多向性調節作用的核轉錄因子,在炎性刺激等多種因素下被激活,并在轉錄水平上調節 TNF-α、ICAM-1 等多種細胞趨化因子及黏附分子的表達,從而參與 SAP 腎損傷過程[14, 22-23]。這些炎性介質的表達上調又可以促進 NF-κB 的核轉位與活化,形成一個正反饋的惡性循環過程,從而放大了 SAP 的炎癥效應[24],進而加重腎損傷,惡化 SAP 病情,影響患者的預后。Caspase-3 蛋白是 Caspase 級聯反應中下游的關鍵效應蛋白酶,在細胞凋亡過程中發揮著重要作用[25-26]。本實驗結果表明,CS 組大鼠腎臟組織中 NF-κB、TNF-α、ICAM-1 及 Caspase-3 蛋白的表達均較 SAP 組下調,表明 CS 可以抑制 NF-κB 的活化,下調下游炎性介質 TNF-α 和黏附分子 ICAM-1 的表達,減少腎臟細胞的凋亡,從而減輕 SAP 大鼠的急性腎損傷。這可能為 CS 用于治療 SAP 合并急性腎損傷提供了理論基礎及實驗依據。