引用本文: 魯蒙, 田茂霖, 張鈴福, 修典榮. 4 例腸道內瘺患者行轉流治療的臨床分析. 中國普外基礎與臨床雜志, 2017, 24(9): 1125-1129. doi: 10.7507/1007-9424.201702011 復制
腸道內瘺可發生于小腸、結腸及直腸在內的任何腸段,常見的原因主要包括腫瘤播散、局部感染、炎癥性腸病、外傷或醫源性損傷、先天性畸形、放射性腸炎[1-2]等。男性患者易發生膀胱腸瘺[3],女性患者由于子宮和陰道將膀胱隔離,易發生直腸陰道瘺。部分小腸位于盆腔中,活動度較大,亦可與上述器官形成內瘺。腸道內瘺因病變部位較深、毗鄰組織臟器結構復雜、局部粘連致密等因素,其較腸道外瘺治療更為復雜、預后更差。腸道內瘺多為疑難雜癥,需多學科聯合診療,并無規范確定的手術治療方案。轉流手術是分期治療腸道內瘺的常用方法,可緩解患者臨床癥狀,同時也可作為分期手術中的一期手術[4]。但轉流手術的適應證應嚴格把握,且具體造瘺部位因個體差異而不同。筆者所在醫院科室于 2016 年收治 4 例不同類型腸道內瘺患者,均經歷了復雜的診療過程,現報道如下。
1 臨床資料
1.1 一般資料
回顧性分析 2016 年 1~12 月期間北京大學第三醫院普通外科收治的 4 例行轉流手術的腸道內瘺患者的臨床資料。
病例 1,為一60 歲男性患者。因低位直腸癌行新輔助治療后接受 Hartmann 手術,術后 9 個月時因直腸斷端腫瘤復發,再次行開腹直腸殘端腫瘤切除封閉術,第 2 次手術后 1 個月時拔除術前預防性放置的輸尿管支架后,第 2 天肛門持續性溢出淡黃色清亮液體。
病例 2,為一65 歲男性患者。因低位直腸癌新輔助治療后接受 Dixon術、末端回腸預防造瘺術。術后 8 個月時行小腸造瘺還納,還納術后 1 個月內逐漸出現尿路感染、氣尿癥狀。
病例 3,為一53 歲男性患者。下腹部隱痛伴反復尿路感染 6 個月,表現為尿頻、尿急、尿痛伴尿液渾濁、氣尿。
病例 4,為一52 歲女性患者。因宮頸癌行子宮切除術,術后 6 年時陰道內逐漸溢出大量棕黃色液體半個月,伴大便次數增多、量少。
4 例患者均無腹膜刺激征,肛門指診未觸及明確瘺口。
1.2 診斷
腸道內瘺的診斷依賴充分的術前檢查及多學科會診。重視肛門指診、陰道檢查、肛門注氣試驗或染料試驗,消化道及尿道造影有利于清晰評估瘺道走形及結構。CT 或 PET-CT 可協助判斷腹腔病變類型。腸鏡及膀胱鏡檢查亦有助于病因診斷。
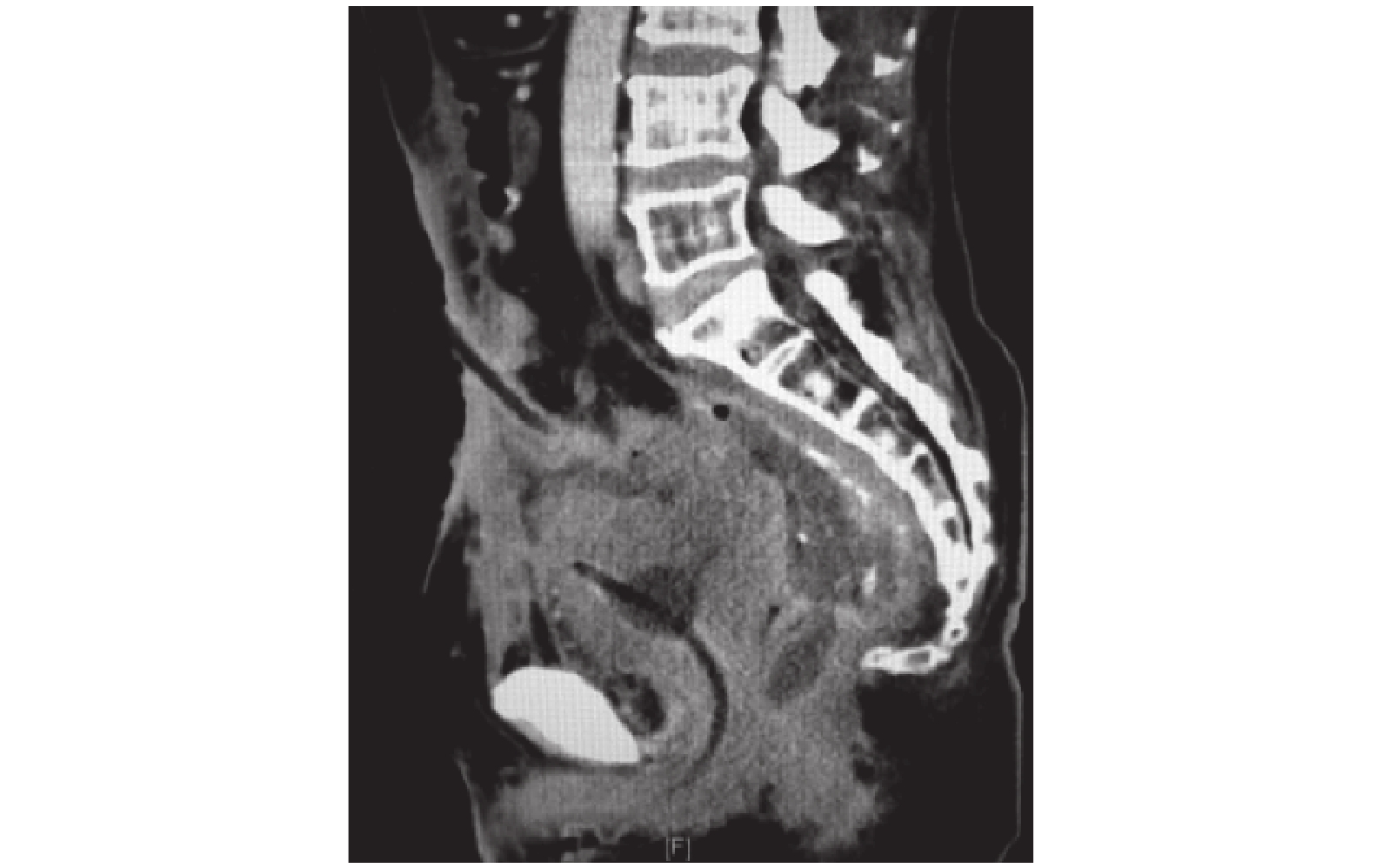
病例 1,曾行新輔助放療,術中盆腔與右側輸尿管粘連致密,分離困難。術后肛門溢出液檢查結果顯示肌酐水平明顯升高,達 2 800 μmol/L;CT 檢查提示殘余直腸腸壁增厚及盆腔軟組織病變,腫瘤復發可能性大,盆腔多發臟器受侵犯及粘連,直腸殘端瘺,骶前軟組織增厚(圖 1);泌尿系 CT 尿路造影提示右腎積水,右側輸尿管下段未見造影劑填充。綜合考慮術中可能存在右側輸尿管損傷,術后直腸殘端愈合不良,合并腫瘤復發,形成右側輸尿管直腸殘端瘺。

病例 2,為接受新輔助放療直腸癌患者,小腸造瘺還納后逐漸出現尿路感染,術后 1、9 及 12 個月復查 CT 時均可見直腸吻合口腸管管壁增厚,周圍脂肪間隙模糊,與精囊腺分界不清(圖 2a)。PET-CT 提示直腸吻合口周圍腸瘺合并感染可能。消化道造影提示直腸吻合口瘺,逆行尿路造影見尿道顯影不全、狹窄。腸鏡檢查提示距離肛門 5 cm 吻合口旁袋狀盲端多發息肉樣隆起伴竇道形成(圖 2b)。考慮該患者 Dixon 術后出現慢性放射性腸炎導致吻合口愈合不佳,形成慢性直腸尿道瘺,小腸還納后出現癥狀。

病例 3,病史較長,有下腹部隱痛合并尿路感染,CT 及腸鏡檢查見乙狀結腸及降結腸多發憩室(圖 3a),PET-CT 提示乙狀結腸-膀胱及乙狀結腸-直腸間多發條索樣含氣代謝增高灶,乙狀結腸壁多發代謝增高灶,傾向瘺管合并炎癥可能性大。消化道造影提示乙狀結腸憩室炎、憩室穿孔伴竇道形成(圖 3b),但尿路造影見膀胱充盈良好。考慮結腸憩室穿孔形成慢性炎性粘連,最終導致結腸膀胱瘺。

病例 4,陰道溢出物淀粉酶和肌酐水平正常,CT 和 PET-CT 提示陰道殘端乙狀結腸界線不清,乙狀結腸瘺或腫瘤復發轉移可能(圖 4a)。但肛門美藍注射試驗、腸鏡、尿路造影、結腸造影等均無異常,上消化道造影提示小腸陰道瘺,局部腸粘連(圖 4b)。最終確診為晚期腫瘤合并小腸陰道瘺。

1.3 治療及預后
病例 1,經多學科討論后,先于膀胱鏡下行右側輸尿管支架置入術,術后肛門溢液較前明顯減少,但右腎積水逐漸加重,且肛門溢液再次增多,3 個月后又行右側經皮腎造瘺術,效果良好。術后 5 個月時行 PET-CT 檢查提示盆腔、腹壁多發腫瘤轉移(圖 5)。
病例 2,經抗感染治療后行腹腔鏡橫結腸雙腔造瘺術,術后尿路感染癥狀消失。術后 6 個月時行經肛尿道瘺口修補、橫結腸造瘺還納術,癥狀控制良好。
病例 3,先行腹腔鏡探查,然后開腹行膀胱后壁分離、膀胱瘺修補、結腸修補及末端回腸雙腔造瘺術,術后氣尿癥狀消失,6 個月后行造瘺還納,未再出現尿路感染癥狀。
病例 4,行腹腔鏡末端回腸雙腔造瘺術,術后陰道溢液癥狀消失。術后 3 個月時出現腫瘤盆腔播散轉移。

2 討論
腸道內瘺常用的治療方式有內科治療、介入治療、手術治療等。內科治療包括局部護理、膿腫引流、禁食禁水或無渣飲食、腸外營養、抗感染治療等,其核心在于通過飲食及護理調節,短期內曠置內瘺病灶,從而期待達到病變自愈的目的[5]。雖然有研究報道內科治療對于直腸陰道瘺[6]、膀胱結腸瘺[7]等有效,但其僅適用于病因為良性病變且癥狀輕微的腸內瘺患者。介入治療是通過放置支架等材料封堵瘺口,將發生內瘺粘連的臟器相互分離,起到分流作用,從而改善局部瘺口條件。介入治療可通過自然管腔(如尿道、腸道等)進行操作,具有創傷小、恢復快優勢,但其受限于內瘺部位,如結直腸瘺可通過腸鏡下放置支架,而小腸瘺等高位內瘺則難以施行。通過放置支架可以緩解癥狀,對于晚期腫瘤或局部癥狀輕微的患者是較好的選擇[8-9]。對于大多數患者則需要接受手術治療,包括手術修補、切除或曠置瘺口的確定性手術,以及控制局部癥狀的轉流手術。本組的 4 例腸道內瘺患者均為不同原因引起的腸道與周圍臟器發生的內瘺,分別為輸尿管直腸殘端瘺、直腸尿道瘺、結腸膀胱瘺及小腸陰道瘺,根據病情最終均選擇了轉流手術。但在實際的臨床工作中應注意腸道內瘺的診斷,在充分權衡利弊后制定相應的治療方案,應該慎重選擇轉流手術。
2.1 腸道內瘺轉流手術的理論基礎
腸道內瘺為小腸或結直腸與周圍臟器長期粘連形成的瘺管,腸液與周圍臟器的分泌物相互流通而產生相關癥狀。由于肛門括約肌的壓力屏障,直腸內壓力明顯高于陰道,瘺口自愈的機會很小,一般均需手術治療。
腸道內瘺常因如腫瘤(病例 1、病例 4)、炎癥(病例 3)、醫源性損傷(病例 1)、先天性畸形、放射性腸炎(病例 1、病例 2)等原因而伴隨較嚴重的盆腔纖維化、粘連,組織愈合能力差,腸瘺自愈的可能性極小。若直接手術修補此類腸道內瘺,通常難以成功,反而可能促使瘺口進一步擴大,故轉流手術在腸內瘺的治療中起到了重要作用,可作為一期手術以緩解臨床癥狀,待瘺口條件好轉后再行二期確定性手術。針對預期生存期較短,或行確定性手術失敗率高、風險大的患者,轉流手術也可作為最終的治療方案。本組 4 例轉流手術中病例 1 和病例 4 的轉流作為了最終治療方案,病例 2 和病例 3 的轉流作為了分期治療的一期手術。
2.2 腸道內瘺轉流治療的指征
腸道內瘺治療方案的制定通常需要多學科共同參與,遵循多學科診療原則[10-12],提供明確的診斷及最佳的治療方案。如本組的病例 4 在入院時因陰道出現糞臭液體,結合 CT 及 PET-CT 檢查初步診斷為乙狀結腸陰道瘺,擬行橫結腸造瘺,后經過婦科、泌尿科、消化科、影像科及核醫學科會診,考慮盆腔內存在腫瘤廣泛轉移,追問病史得知患者飲水后 10 min 即出現陰道溢液,結合上消化道造影最終明確診斷為小腸陰道瘺,后行末端回腸雙腔造瘺。其他病例也經歷類似多學科會診。
轉流手術僅能緩解癥狀,并非內瘺的根治性治療方案,不能套用于所有患者,應根據腸道內瘺的情況制定個性化治療方案[13]。
腸道內瘺根據瘺口位置、大小及病因不同可分為單純性瘺及復雜性瘺。對于單純性內瘺,若癥狀輕微,可先行非手術治療并觀察,存在自行愈合的可能性;若癥狀嚴重,患者身體狀況好,瘺道非晚期惡性腫瘤或放療所致,且形成時間長、無明顯炎癥表現及腸梗阻,瘺口接近于直腸乙狀結腸交界處或乙狀結腸下段,腸道準備充分后可經腹行一期手術,切除病變腸管后腸斷端吻合,同時行瘺口修補[5, 14],也有其他手術方式如乙狀結腸曠置術[15]、帶蒂腸漿肌層片修復術[16]、纖維蛋白膠修復術[17]等。故對于單純性內瘺,應盡量選擇內科治療或確定性手術治療,較少選擇轉流手術。
復雜性內瘺由于原發病治療困難、瘺口局部條件差、瘺口直接處理失敗率高等因素,常需行轉流手術。復雜性內瘺行轉流手術的意義主要有以下 3 個方面:第 1,轉流手術對瘺口進行曠置,減輕瘺口處炎癥是修補的關鍵[18]。對于復發性直腸陰道瘺多為復雜性瘺,經多次修補后局部組織條件差,血供不佳,因而對于多次復發、修補不滿意、失敗率高的患者,應分期處理,一期行去功能造瘺,二期行手術修補[19-20]。若患者因腫瘤、放射性損傷、感染或炎癥反應形成腸內瘺時,膀胱和骶骨之間以及盆底主要韌帶之間發生粘連和瘢痕固定,失敗的危險較大,也應采用分期手術方法,行糞尿轉流,3~6 個月后再行瘺管切除或瘺口修補,聯合或不聯合病變腸管切除吻合[21-22],如病例 2 和病例 3。若局部情況良好也可同時行瘺修補及轉流手術;若病變位于低位直腸如腹膜返折以下,經腹手術切除再吻合難以成功,故直腸尿道瘺一般均需行糞尿轉流。第 2,對于全身營養狀況差、伴嚴重糖尿病或腸梗阻以及晚期腫瘤患者,可行以改善生存質量為目的的轉流手術,即永久性造瘺[23],如病例 1 和病例 4。第 3,轉流后可期待部分較小的瘺口自愈[4,13]。
2.3 轉流手術的注意事項
轉流手術實施造瘺的具體部位(小腸、結腸、其他)、類型(臨時性、永久性)與腸道內瘺的部位、病因、預后等密切相關。腸道造瘺部位常見于病灶近端腸道,可采用結腸或回腸造瘺。若腸管易于分離、提出體外,可采用腹腔鏡操作,對患者創傷更小。如病灶位于直腸,可行降結腸或橫結腸造瘺,食糜經小腸充分消化吸收后通過結腸排出,對消化功能影響較小。若結腸存在病變且近端結腸造瘺位置欠佳可行小腸造瘺。若主要癥狀并非腸道改流所致,可施行其他部位的轉流手術,如經皮腎造瘺等。
對于預期生存期較長、預后較好的患者,如外傷、感染或醫源性損傷導致的內瘺,一般施行臨時性轉流手術,曠置病變部位,待病灶緩解后行二期手術。病例 2 為腫瘤根治術后直腸吻合口尿道瘺,病例 3 為結腸憩室穿孔引起結腸膀胱瘺,分別行橫結腸雙腔造瘺和末端回腸雙腔造瘺,便于后期還納。病例 1 經多學科討論后認為,若腫瘤進展緩慢或術后輔助化療后緩解,直腸殘端瘺愈合、盆腔條件改善,可行二期輸尿管膀胱再植術。對預期生存期較短如腫瘤廣泛轉移者,以改善生存質量為主要目的,則施行永久性轉流手術,如病例 1 和病例 4。
腸道轉流手術首選雙腔造瘺,因其操作簡便、盲袢綜合征發生率低。但雙腔造瘺仍有部分腸內容物進入遠端到達瘺口,無法完全實現糞便轉流目的,對復發性內瘺及其他復雜性內瘺,應酌情選擇失功能性單腔造瘺。
2.4 重視轉流術后的隨訪
腸道內瘺診斷困難且治療效果存在一定的不確定性,給患者帶來生理和心理上的巨大痛苦。轉流手術雖能緩解癥狀,但在一定程度上仍給患者帶來精神和社會壓力。因而在施行轉流手術后,應重視患者的心理疏導,使其適應造瘺狀態,熟悉造瘺口的護理,保持造瘺口正常及清潔,同時應注意原發病的隨訪。
對于臨時性轉流患者術后 3~6 個月后應觀察瘺口控制情況如尿路感染、陰道溢液癥狀有無緩解等,復查膀胱造影或消化道造影,評估是否可行二期確定性瘺修補手術。
對于永久性造瘺患者,術后應密切隨訪患者的生存狀況及造瘺效果,如術前無法判別病變的良惡性或將炎性粘連誤診為腫瘤播散者,在術后隨訪過程中應及時發現,可根據病情及內瘺恢復情況更改治療方案,將永久性轉流改為臨時性轉流、后期酌情還納等。
綜上,腸道內瘺診療過程復雜,需要多學科參與,轉流手術作為治療腸內瘺的重要手段被應用廣泛,但應嚴格把握轉流指征,遵循社會–心理–生理治療模式,重視術后隨訪,最優化轉流手術的收益。
腸道內瘺可發生于小腸、結腸及直腸在內的任何腸段,常見的原因主要包括腫瘤播散、局部感染、炎癥性腸病、外傷或醫源性損傷、先天性畸形、放射性腸炎[1-2]等。男性患者易發生膀胱腸瘺[3],女性患者由于子宮和陰道將膀胱隔離,易發生直腸陰道瘺。部分小腸位于盆腔中,活動度較大,亦可與上述器官形成內瘺。腸道內瘺因病變部位較深、毗鄰組織臟器結構復雜、局部粘連致密等因素,其較腸道外瘺治療更為復雜、預后更差。腸道內瘺多為疑難雜癥,需多學科聯合診療,并無規范確定的手術治療方案。轉流手術是分期治療腸道內瘺的常用方法,可緩解患者臨床癥狀,同時也可作為分期手術中的一期手術[4]。但轉流手術的適應證應嚴格把握,且具體造瘺部位因個體差異而不同。筆者所在醫院科室于 2016 年收治 4 例不同類型腸道內瘺患者,均經歷了復雜的診療過程,現報道如下。
1 臨床資料
1.1 一般資料
回顧性分析 2016 年 1~12 月期間北京大學第三醫院普通外科收治的 4 例行轉流手術的腸道內瘺患者的臨床資料。
病例 1,為一60 歲男性患者。因低位直腸癌行新輔助治療后接受 Hartmann 手術,術后 9 個月時因直腸斷端腫瘤復發,再次行開腹直腸殘端腫瘤切除封閉術,第 2 次手術后 1 個月時拔除術前預防性放置的輸尿管支架后,第 2 天肛門持續性溢出淡黃色清亮液體。
病例 2,為一65 歲男性患者。因低位直腸癌新輔助治療后接受 Dixon術、末端回腸預防造瘺術。術后 8 個月時行小腸造瘺還納,還納術后 1 個月內逐漸出現尿路感染、氣尿癥狀。
病例 3,為一53 歲男性患者。下腹部隱痛伴反復尿路感染 6 個月,表現為尿頻、尿急、尿痛伴尿液渾濁、氣尿。
病例 4,為一52 歲女性患者。因宮頸癌行子宮切除術,術后 6 年時陰道內逐漸溢出大量棕黃色液體半個月,伴大便次數增多、量少。
4 例患者均無腹膜刺激征,肛門指診未觸及明確瘺口。
1.2 診斷
腸道內瘺的診斷依賴充分的術前檢查及多學科會診。重視肛門指診、陰道檢查、肛門注氣試驗或染料試驗,消化道及尿道造影有利于清晰評估瘺道走形及結構。CT 或 PET-CT 可協助判斷腹腔病變類型。腸鏡及膀胱鏡檢查亦有助于病因診斷。
病例 1,曾行新輔助放療,術中盆腔與右側輸尿管粘連致密,分離困難。術后肛門溢出液檢查結果顯示肌酐水平明顯升高,達 2 800 μmol/L;CT 檢查提示殘余直腸腸壁增厚及盆腔軟組織病變,腫瘤復發可能性大,盆腔多發臟器受侵犯及粘連,直腸殘端瘺,骶前軟組織增厚(圖 1);泌尿系 CT 尿路造影提示右腎積水,右側輸尿管下段未見造影劑填充。綜合考慮術中可能存在右側輸尿管損傷,術后直腸殘端愈合不良,合并腫瘤復發,形成右側輸尿管直腸殘端瘺。

病例 2,為接受新輔助放療直腸癌患者,小腸造瘺還納后逐漸出現尿路感染,術后 1、9 及 12 個月復查 CT 時均可見直腸吻合口腸管管壁增厚,周圍脂肪間隙模糊,與精囊腺分界不清(圖 2a)。PET-CT 提示直腸吻合口周圍腸瘺合并感染可能。消化道造影提示直腸吻合口瘺,逆行尿路造影見尿道顯影不全、狹窄。腸鏡檢查提示距離肛門 5 cm 吻合口旁袋狀盲端多發息肉樣隆起伴竇道形成(圖 2b)。考慮該患者 Dixon 術后出現慢性放射性腸炎導致吻合口愈合不佳,形成慢性直腸尿道瘺,小腸還納后出現癥狀。

病例 3,病史較長,有下腹部隱痛合并尿路感染,CT 及腸鏡檢查見乙狀結腸及降結腸多發憩室(圖 3a),PET-CT 提示乙狀結腸-膀胱及乙狀結腸-直腸間多發條索樣含氣代謝增高灶,乙狀結腸壁多發代謝增高灶,傾向瘺管合并炎癥可能性大。消化道造影提示乙狀結腸憩室炎、憩室穿孔伴竇道形成(圖 3b),但尿路造影見膀胱充盈良好。考慮結腸憩室穿孔形成慢性炎性粘連,最終導致結腸膀胱瘺。

病例 4,陰道溢出物淀粉酶和肌酐水平正常,CT 和 PET-CT 提示陰道殘端乙狀結腸界線不清,乙狀結腸瘺或腫瘤復發轉移可能(圖 4a)。但肛門美藍注射試驗、腸鏡、尿路造影、結腸造影等均無異常,上消化道造影提示小腸陰道瘺,局部腸粘連(圖 4b)。最終確診為晚期腫瘤合并小腸陰道瘺。

1.3 治療及預后
病例 1,經多學科討論后,先于膀胱鏡下行右側輸尿管支架置入術,術后肛門溢液較前明顯減少,但右腎積水逐漸加重,且肛門溢液再次增多,3 個月后又行右側經皮腎造瘺術,效果良好。術后 5 個月時行 PET-CT 檢查提示盆腔、腹壁多發腫瘤轉移(圖 5)。
病例 2,經抗感染治療后行腹腔鏡橫結腸雙腔造瘺術,術后尿路感染癥狀消失。術后 6 個月時行經肛尿道瘺口修補、橫結腸造瘺還納術,癥狀控制良好。
病例 3,先行腹腔鏡探查,然后開腹行膀胱后壁分離、膀胱瘺修補、結腸修補及末端回腸雙腔造瘺術,術后氣尿癥狀消失,6 個月后行造瘺還納,未再出現尿路感染癥狀。
病例 4,行腹腔鏡末端回腸雙腔造瘺術,術后陰道溢液癥狀消失。術后 3 個月時出現腫瘤盆腔播散轉移。

2 討論
腸道內瘺常用的治療方式有內科治療、介入治療、手術治療等。內科治療包括局部護理、膿腫引流、禁食禁水或無渣飲食、腸外營養、抗感染治療等,其核心在于通過飲食及護理調節,短期內曠置內瘺病灶,從而期待達到病變自愈的目的[5]。雖然有研究報道內科治療對于直腸陰道瘺[6]、膀胱結腸瘺[7]等有效,但其僅適用于病因為良性病變且癥狀輕微的腸內瘺患者。介入治療是通過放置支架等材料封堵瘺口,將發生內瘺粘連的臟器相互分離,起到分流作用,從而改善局部瘺口條件。介入治療可通過自然管腔(如尿道、腸道等)進行操作,具有創傷小、恢復快優勢,但其受限于內瘺部位,如結直腸瘺可通過腸鏡下放置支架,而小腸瘺等高位內瘺則難以施行。通過放置支架可以緩解癥狀,對于晚期腫瘤或局部癥狀輕微的患者是較好的選擇[8-9]。對于大多數患者則需要接受手術治療,包括手術修補、切除或曠置瘺口的確定性手術,以及控制局部癥狀的轉流手術。本組的 4 例腸道內瘺患者均為不同原因引起的腸道與周圍臟器發生的內瘺,分別為輸尿管直腸殘端瘺、直腸尿道瘺、結腸膀胱瘺及小腸陰道瘺,根據病情最終均選擇了轉流手術。但在實際的臨床工作中應注意腸道內瘺的診斷,在充分權衡利弊后制定相應的治療方案,應該慎重選擇轉流手術。
2.1 腸道內瘺轉流手術的理論基礎
腸道內瘺為小腸或結直腸與周圍臟器長期粘連形成的瘺管,腸液與周圍臟器的分泌物相互流通而產生相關癥狀。由于肛門括約肌的壓力屏障,直腸內壓力明顯高于陰道,瘺口自愈的機會很小,一般均需手術治療。
腸道內瘺常因如腫瘤(病例 1、病例 4)、炎癥(病例 3)、醫源性損傷(病例 1)、先天性畸形、放射性腸炎(病例 1、病例 2)等原因而伴隨較嚴重的盆腔纖維化、粘連,組織愈合能力差,腸瘺自愈的可能性極小。若直接手術修補此類腸道內瘺,通常難以成功,反而可能促使瘺口進一步擴大,故轉流手術在腸內瘺的治療中起到了重要作用,可作為一期手術以緩解臨床癥狀,待瘺口條件好轉后再行二期確定性手術。針對預期生存期較短,或行確定性手術失敗率高、風險大的患者,轉流手術也可作為最終的治療方案。本組 4 例轉流手術中病例 1 和病例 4 的轉流作為了最終治療方案,病例 2 和病例 3 的轉流作為了分期治療的一期手術。
2.2 腸道內瘺轉流治療的指征
腸道內瘺治療方案的制定通常需要多學科共同參與,遵循多學科診療原則[10-12],提供明確的診斷及最佳的治療方案。如本組的病例 4 在入院時因陰道出現糞臭液體,結合 CT 及 PET-CT 檢查初步診斷為乙狀結腸陰道瘺,擬行橫結腸造瘺,后經過婦科、泌尿科、消化科、影像科及核醫學科會診,考慮盆腔內存在腫瘤廣泛轉移,追問病史得知患者飲水后 10 min 即出現陰道溢液,結合上消化道造影最終明確診斷為小腸陰道瘺,后行末端回腸雙腔造瘺。其他病例也經歷類似多學科會診。
轉流手術僅能緩解癥狀,并非內瘺的根治性治療方案,不能套用于所有患者,應根據腸道內瘺的情況制定個性化治療方案[13]。
腸道內瘺根據瘺口位置、大小及病因不同可分為單純性瘺及復雜性瘺。對于單純性內瘺,若癥狀輕微,可先行非手術治療并觀察,存在自行愈合的可能性;若癥狀嚴重,患者身體狀況好,瘺道非晚期惡性腫瘤或放療所致,且形成時間長、無明顯炎癥表現及腸梗阻,瘺口接近于直腸乙狀結腸交界處或乙狀結腸下段,腸道準備充分后可經腹行一期手術,切除病變腸管后腸斷端吻合,同時行瘺口修補[5, 14],也有其他手術方式如乙狀結腸曠置術[15]、帶蒂腸漿肌層片修復術[16]、纖維蛋白膠修復術[17]等。故對于單純性內瘺,應盡量選擇內科治療或確定性手術治療,較少選擇轉流手術。
復雜性內瘺由于原發病治療困難、瘺口局部條件差、瘺口直接處理失敗率高等因素,常需行轉流手術。復雜性內瘺行轉流手術的意義主要有以下 3 個方面:第 1,轉流手術對瘺口進行曠置,減輕瘺口處炎癥是修補的關鍵[18]。對于復發性直腸陰道瘺多為復雜性瘺,經多次修補后局部組織條件差,血供不佳,因而對于多次復發、修補不滿意、失敗率高的患者,應分期處理,一期行去功能造瘺,二期行手術修補[19-20]。若患者因腫瘤、放射性損傷、感染或炎癥反應形成腸內瘺時,膀胱和骶骨之間以及盆底主要韌帶之間發生粘連和瘢痕固定,失敗的危險較大,也應采用分期手術方法,行糞尿轉流,3~6 個月后再行瘺管切除或瘺口修補,聯合或不聯合病變腸管切除吻合[21-22],如病例 2 和病例 3。若局部情況良好也可同時行瘺修補及轉流手術;若病變位于低位直腸如腹膜返折以下,經腹手術切除再吻合難以成功,故直腸尿道瘺一般均需行糞尿轉流。第 2,對于全身營養狀況差、伴嚴重糖尿病或腸梗阻以及晚期腫瘤患者,可行以改善生存質量為目的的轉流手術,即永久性造瘺[23],如病例 1 和病例 4。第 3,轉流后可期待部分較小的瘺口自愈[4,13]。
2.3 轉流手術的注意事項
轉流手術實施造瘺的具體部位(小腸、結腸、其他)、類型(臨時性、永久性)與腸道內瘺的部位、病因、預后等密切相關。腸道造瘺部位常見于病灶近端腸道,可采用結腸或回腸造瘺。若腸管易于分離、提出體外,可采用腹腔鏡操作,對患者創傷更小。如病灶位于直腸,可行降結腸或橫結腸造瘺,食糜經小腸充分消化吸收后通過結腸排出,對消化功能影響較小。若結腸存在病變且近端結腸造瘺位置欠佳可行小腸造瘺。若主要癥狀并非腸道改流所致,可施行其他部位的轉流手術,如經皮腎造瘺等。
對于預期生存期較長、預后較好的患者,如外傷、感染或醫源性損傷導致的內瘺,一般施行臨時性轉流手術,曠置病變部位,待病灶緩解后行二期手術。病例 2 為腫瘤根治術后直腸吻合口尿道瘺,病例 3 為結腸憩室穿孔引起結腸膀胱瘺,分別行橫結腸雙腔造瘺和末端回腸雙腔造瘺,便于后期還納。病例 1 經多學科討論后認為,若腫瘤進展緩慢或術后輔助化療后緩解,直腸殘端瘺愈合、盆腔條件改善,可行二期輸尿管膀胱再植術。對預期生存期較短如腫瘤廣泛轉移者,以改善生存質量為主要目的,則施行永久性轉流手術,如病例 1 和病例 4。
腸道轉流手術首選雙腔造瘺,因其操作簡便、盲袢綜合征發生率低。但雙腔造瘺仍有部分腸內容物進入遠端到達瘺口,無法完全實現糞便轉流目的,對復發性內瘺及其他復雜性內瘺,應酌情選擇失功能性單腔造瘺。
2.4 重視轉流術后的隨訪
腸道內瘺診斷困難且治療效果存在一定的不確定性,給患者帶來生理和心理上的巨大痛苦。轉流手術雖能緩解癥狀,但在一定程度上仍給患者帶來精神和社會壓力。因而在施行轉流手術后,應重視患者的心理疏導,使其適應造瘺狀態,熟悉造瘺口的護理,保持造瘺口正常及清潔,同時應注意原發病的隨訪。
對于臨時性轉流患者術后 3~6 個月后應觀察瘺口控制情況如尿路感染、陰道溢液癥狀有無緩解等,復查膀胱造影或消化道造影,評估是否可行二期確定性瘺修補手術。
對于永久性造瘺患者,術后應密切隨訪患者的生存狀況及造瘺效果,如術前無法判別病變的良惡性或將炎性粘連誤診為腫瘤播散者,在術后隨訪過程中應及時發現,可根據病情及內瘺恢復情況更改治療方案,將永久性轉流改為臨時性轉流、后期酌情還納等。
綜上,腸道內瘺診療過程復雜,需要多學科參與,轉流手術作為治療腸內瘺的重要手段被應用廣泛,但應嚴格把握轉流指征,遵循社會–心理–生理治療模式,重視術后隨訪,最優化轉流手術的收益。